JavaScript is disabled in your browser. Please enable JavaScript to view this website.
AB32570

Anti-PDGFR alpha + PDGFR beta antibody [Y92] - C-terminal

  • BOND RX™ Validated
  • RabMAb
  • Recombinant
  • KO Validated
  • What is this?

4

(31 Reviews)

|

(444 Publications)

Anti-PDGFR alpha + PDGFR beta antibody [Y92] - C-terminal (ab32570) is a rabbit monoclonal antibody detecting PDGFR alpha in Western Blot, Flow Cytometry (Intra), Flow Cytometry, IP, IHC-P, ICC/IF, ELISA. Suitable for Human, Mouse, Rat.

- KO validated for confirmed specificity
- Biophysical QC for unrivalled batch-batch consistency
- Over 330 publications
- Trusted since 2006

View Alternative Names

CD140b, PDGFR, PDGFR1, PDGFRB, Platelet-derived growth factor receptor beta, PDGF-R-beta, PDGFR-beta, Beta platelet-derived growth factor receptor, Beta-type platelet-derived growth factor receptor, CD140 antigen-like family member B, Platelet-derived growth factor receptor 1, PDGFR-1

17 Images
Western blot - Anti-PDGFR alpha + PDGFR beta antibody [Y92] - C-terminal (AB32570)
  • WB

Unknown

Western blot - Anti-PDGFR alpha + PDGFR beta antibody [Y92] - C-terminal (AB32570)

Blocking buffer : 5% NFDM/TBST

Dilution buffer : 5% NFDM/TBST

All lanes:

Western blot - Anti-PDGFR alpha + PDGFR beta antibody [Y92] - C-terminal (ab32570) at 1/5000 dilution

All lanes:

Human fetal brain tissue lysate at 10 µg

Secondary

All lanes:

HRP goat anti-rabbit (H+L) at 1/1000 dilution

Observed band size: 175 kDa

false

Immunohistochemistry (Formalin/PFA-fixed paraffin-embedded sections) - Anti-PDGFR alpha + PDGFR beta antibody [Y92] - C-terminal (AB32570)
  • IHC-P

Unknown

Immunohistochemistry (Formalin/PFA-fixed paraffin-embedded sections) - Anti-PDGFR alpha + PDGFR beta antibody [Y92] - C-terminal (AB32570)

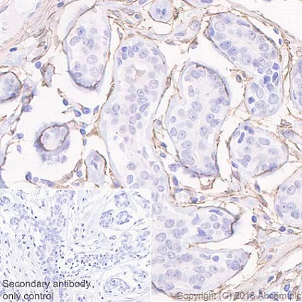
Immunohistochemical staining of paraffin embedded human spleen with purified ab32570 at a working dilution of 1/50. The secondary antibody used is ab97051, a HRP-conjugated goat anti-rabbit IgG (H+L), at a dilution of 1/500. The sample is counter-stained with hematoxylin. Antigen retrieval was perfomed using Tris-EDTA buffer, pH 9.0. PBS was used instead of the primary antibody as the negative control, and is shown in the inset.

Immunohistochemistry (Formalin/PFA-fixed paraffin-embedded sections) - Anti-PDGFR alpha + PDGFR beta antibody [Y92] - C-terminal (AB32570)
  • IHC-P

Lab

Immunohistochemistry (Formalin/PFA-fixed paraffin-embedded sections) - Anti-PDGFR alpha + PDGFR beta antibody [Y92] - C-terminal (AB32570)

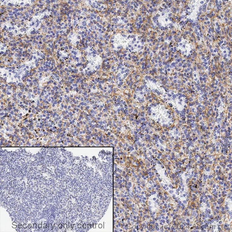
Immunohistochemical analysis of formalin fixed paraffin embedded human spleen labelling PDGFR alpha + PDGFR beta with ab32570 at a concentration of 0.5µg/ml.

The immunostaining was performed on a Ventana DISCOVERY ULTRA (Roche Tissue Diagnostics) instrument with an OptiView DAB IHC Detection Kit. Heat mediated antigen retrieval was conducted for 32min with DISCOVERY cell conditioning solution (CC1) 100°C, pH8.5. ab32570 anti-PDGFR alpha + PDGFR beta was incubated at 37°C for 16min.

Sections were counterstained is with Hematoxylin II. Image inset shows absence of staining in secondary antibody only control.

Customers are encouraged to optimise antigen retrieval conditions, antibody concentration, incubation times and temperature for best results in their own IHC assay workflow (automated and manual)

Immunohistochemistry (Formalin/PFA-fixed paraffin-embedded sections) - Anti-PDGFR alpha + PDGFR beta antibody [Y92] - C-terminal (AB32570)
  • IHC-P

Unknown

Immunohistochemistry (Formalin/PFA-fixed paraffin-embedded sections) - Anti-PDGFR alpha + PDGFR beta antibody [Y92] - C-terminal (AB32570)

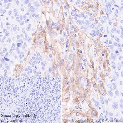
ab32570 staining PDGFR beta in human breast tissue sections by Immunohistochemistry (IHC-P - paraformaldehyde-fixed, paraffin-embedded sections). Shows positive staining on stromal cells. Heat mediated antigen retrieval was performed using ab93684 (Tris/EDTA buffer, pH 9.0). Samples were incubated with primary antibody (1/500). An HRP-conjugated Goat anti-rabbit IgG (ready to use) was used as the secondary antibody. Counter stained with Hematoxylin.

Immunohistochemistry (Formalin/PFA-fixed paraffin-embedded sections) - Anti-PDGFR alpha + PDGFR beta antibody [Y92] - C-terminal (AB32570)
  • IHC-P

Lab

Immunohistochemistry (Formalin/PFA-fixed paraffin-embedded sections) - Anti-PDGFR alpha + PDGFR beta antibody [Y92] - C-terminal (AB32570)

Immunohistochemical analysis of formalin fixed paraffin embedded human spleen labelling PDGFR alpha + PDGFR beta with ab32570 at a concentration of 0.1µg/ml. The immunostaining was performed on a Leica Biosystems BOND® RX instrument with a Bond™ Polymer Refine Detection kit. Heat mediated antigen retrieval was performed with Tris-EDTA buffer (pH 9.0, Epitope Retrieval Solution 2) for 20 mins.

ab32570 anti-PDGFR alpha + PDGFR beta antibody [Y92] was incubated for 15mins at room temperature. Sections were counterstained with Hematoxylin. Image inset shows absence of staining in secondary antibody only control.

Customers are encouraged to optimise antigen retrieval conditions, antibody concentration, incubation times and temperature for best results in their own IHC assay workflow (automated and manual)

Immunohistochemistry (Formalin/PFA-fixed paraffin-embedded sections) - Anti-PDGFR alpha + PDGFR beta antibody [Y92] - C-terminal (AB32570)
  • IHC-P

Unknown

Immunohistochemistry (Formalin/PFA-fixed paraffin-embedded sections) - Anti-PDGFR alpha + PDGFR beta antibody [Y92] - C-terminal (AB32570)

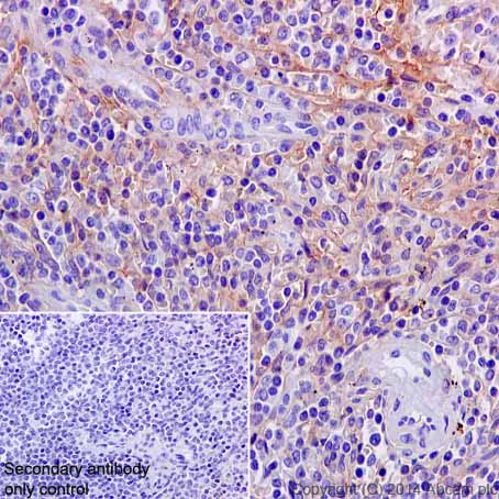
ab32570 staining PDGFR beta in human lung cancer tissue sections by Immunohistochemistry (IHC-P - paraformaldehyde-fixed, paraffin-embedded sections). Shows positive staining on stromal cells. Heat mediated antigen retrieval was performed using ab93684 (Tris/EDTA buffer, pH 9.0). Samples were incubated with primary antibody (1/500). An HRP-conjugated Goat anti-rabbit IgG (ready to use) was used as the secondary antibody. Counter stained with Hematoxylin.

ELISA - Anti-PDGFR alpha + PDGFR beta antibody [Y92] - C-terminal (AB32570)
  • ELISA

Supplier Data

ELISA - Anti-PDGFR alpha + PDGFR beta antibody [Y92] - C-terminal (AB32570)

ELISA showing primary antibody ab32570 binding to the antigen Human PDGFR alpha protein and Human PDGFR beta protein.

Primary antibody concentration ranges from 0 - 1000 ng/mL.

Alkaline Phosphatase-conjugated AffiniPure Goat Anti-Rabbit IgG (H+L) was used as a secondary antibody at 1/2500 dilution.

Immunocytochemistry/ Immunofluorescence - Anti-PDGFR alpha + PDGFR beta antibody [Y92] - C-terminal (AB32570)
  • ICC/IF

Unknown

Immunocytochemistry/ Immunofluorescence - Anti-PDGFR alpha + PDGFR beta antibody [Y92] - C-terminal (AB32570)

Immunofluorescence staining of NIH/3T3 (Mouse embryo fibroblast cell line) cells with purified ab32570 at a working dilution of 1 in 100, counter-stained with DAPI. Tubulin was stained with mouse anti-tubulin at a dilution of 1/1000 (ab7291) and Alexa Fluor® 594 goat anti-mouse at a dilution of 1/500 (ab150120) . The secondary antibody was ab150077 Alexa Fluor® 488 goat anti rabbit, used at a dilution of 1 in 500. The cells were fixed in 4% PFA and permeabilized using 0.1% Triton X 100.

The negative controls are shown in the bottom middle and right hand panels - for the first negative control, purified ab32570 was used at a dilution of 1/200 followed by an Alexa Fluor® 555 goat anti-mouse antibody at a dilution of 1/500 and for the second negative control mouse primary antibody (ab7291) and anti-rabbit secondary antibody (ab15007) were used.

Flow Cytometry (Intracellular) - Anti-PDGFR alpha + PDGFR beta antibody [Y92] - C-terminal (AB32570)
  • Flow Cyt (Intra)

Unknown

Flow Cytometry (Intracellular) - Anti-PDGFR alpha + PDGFR beta antibody [Y92] - C-terminal (AB32570)

Intracellular Flow Cytometry analysis of NIH/3T3 (Mouse embryo fibroblast cell line) cells labeling PDGFR beta (red) with ab32570 at a 1/20 dilution. Cells were fixed with 4% paraformaldehyde and permeabilized with 90% methanol. A goat anti-rabbit IgG (Alexa Fluor® 488) (ab150077) was used as the secondary antibody at a 1/2000 dilution. Black - Rabbit monoclonal IgG (ab172730). Blue (unlabeled control) - Cells without incubation with primary and secondary antibodies.

Immunocytochemistry/ Immunofluorescence - Anti-PDGFR alpha + PDGFR beta antibody [Y92] - C-terminal (AB32570)
  • ICC/IF

PubMed

Immunocytochemistry/ Immunofluorescence - Anti-PDGFR alpha + PDGFR beta antibody [Y92] - C-terminal (AB32570)

Immunofluorescence analysis of NIH/3T3 (Mouse embryo fibroblast cell line) cells stimulated with PDGF, staining PDGFR beta with unpurified ab32570.

Image from Miyata M et al. J Biol Chem. 2009 Sep 4;284(36):24595-609. Epub 2009 Jul 9. Fig 1.; doi: 10.1074/jbc.M109.016436; September 4 2009 The Journal of Biological Chemistry 284 24595-24609.

Immunoprecipitation - Anti-PDGFR alpha + PDGFR beta antibody [Y92] - C-terminal (AB32570)
  • IP

Unknown

Immunoprecipitation - Anti-PDGFR alpha + PDGFR beta antibody [Y92] - C-terminal (AB32570)

ab32570 (purified) at 1/20 immunoprecipitating PDGFR beta in NIH/3T3 (Mouse embryo fibroblast cell line) (Lane 1 and 2). Lane 3 - PBS.

For western blotting a HRP-conjugated anti-rabbit IgG specific to the non-reduced form of IgG was used as the secondary antibody (1/1500).

Blocking buffer and concentration : 5% NFDM/TBST.

Diluting buffer and concentration : 5% NFDM /TBST.

All lanes:

Immunoprecipitation - Anti-PDGFR alpha + PDGFR beta antibody [Y92] - C-terminal (ab32570)

Observed band size: 175 kDa

false

Western blot - Anti-PDGFR alpha + PDGFR beta antibody [Y92] - C-terminal (AB32570)
  • WB

Unknown

Western blot - Anti-PDGFR alpha + PDGFR beta antibody [Y92] - C-terminal (AB32570)

Blocking buffer : 5% NFDM/TBST

Dilution buffer : 5% NFDM/TBST

All lanes:

Western blot - Anti-PDGFR alpha + PDGFR beta antibody [Y92] - C-terminal (ab32570) at 1/10000 dilution

All lanes:

SH-SY5Y (Human neuroblastoma cell line from bone marrow) cell lysate at 10 µg

Secondary

All lanes:

HRP goat anti-rabbit (H+L) at 1/1000 dilution

Observed band size: 175 kDa

false

Western blot - Anti-PDGFR alpha + PDGFR beta antibody [Y92] - C-terminal (AB32570)
  • WB

Lab

Western blot - Anti-PDGFR alpha + PDGFR beta antibody [Y92] - C-terminal (AB32570)

Lanes 1 - 4 : Merged signal (red and green). Green - ab32570 observed at 170 kDa. Red - loading control ab7291 (Mouse anti-Alpha Tubulin [DM1A]) observed at 55 kDa.

ab32570 was shown to react with PDGFRB in wild-type SH-SY5Y cells in Western blot with weakened signal observed in PDGFRB knockout cell line ab273749 (knockout cell lysate ab275523). Wild-type SH-SY5Y and PDGFRB knockout cell lysates were subjected to SDS-PAGE. Membranes were blocked in fluorescent western blot (TBS-based) blocking solution before incubation with ab32570 and ab7291 (Mouse anti-Alpha Tubulin [DM1A]) overnight at 4 °C at a 1 in 5000 dilution and a 1 in 20000 dilution respectively. Blots were incubated with Goat anti-Rabbit IgG H&L (IRDye® 800CW) preabsorbed (ab216773) and Goat anti-Mouse IgG H&L (IRDye® 680RD) preabsorbed (ab216776) secondary antibodies at 1 in 20000 dilution for 1 h at room temperature before imaging. The weak signal observed in PDGFRB knockout cell line should be PDGFRA.

All lanes:

Western blot - Anti-PDGFR alpha + PDGFR beta antibody [Y92] - C-terminal (ab32570) at 1/5000 dilution

Lane 1:

Wild-type SH-SY5Y cell lysate at 30 µg

Lane 2:

PDGFR beta knockout SH-SY5Y cell lysate at 30 µg

Lane 2:

Western blot - Human PDGFRB knockout SH-SY5Y cell line (<a href='/en-us/products/cell-lines/human-pdgfrb-knockout-sh-sy5y-cell-line-ab273749'>ab273749</a>)

Lane 3:

Human Skeletal Muscle tissue lysate at 30 µg

Lane 4:

HeLa cell lysate at 30 µg

Predicted band size: 123 kDa

Observed band size: 170 kDa

false

Western blot - Anti-PDGFR alpha + PDGFR beta antibody [Y92] - C-terminal (AB32570)
  • WB

Unknown

Western blot - Anti-PDGFR alpha + PDGFR beta antibody [Y92] - C-terminal (AB32570)

Blocking buffer : 5% NFDM/TBST

Dilution buffer : 5% NFDM/TBST

All lanes:

Western blot - Anti-PDGFR alpha + PDGFR beta antibody [Y92] - C-terminal (ab32570) at 1/50000 dilution

All lanes:

NIH/3T3 (Mouse embryo fibroblast cell line) cell lysate at 10 µg

Secondary

All lanes:

HRP goat anti-rabbit (H+L) at 1/1000 dilution

Observed band size: 175 kDa

false

Western blot - Anti-PDGFR alpha + PDGFR beta antibody [Y92] - C-terminal (AB32570)
  • WB

Unknown

Western blot - Anti-PDGFR alpha + PDGFR beta antibody [Y92] - C-terminal (AB32570)

Blocking buffer : 5% NFDM/TBST

Dilution buffer : 5% NFDM/TBST

All lanes:

Western blot - Anti-PDGFR alpha + PDGFR beta antibody [Y92] - C-terminal (ab32570) at 1/10000 dilution

Lane 1:

Rat brain tissue lysate at 20 µg

Lane 2:

Rat heart tissue lysate at 20 µg

Lane 3:

Mouse brain tissue lysate at 20 µg

Secondary

All lanes:

HRP goat anti-rabbit (H+L) at 1/1000 dilution

Observed band size: 175 kDa

false

Western blot - Anti-PDGFR alpha + PDGFR beta antibody [Y92] - C-terminal (AB32570)
  • WB

Lab

Western blot - Anti-PDGFR alpha + PDGFR beta antibody [Y92] - C-terminal (AB32570)

Different batches of ab32570 were tested on Rat brain lysate at 1.0 µg/ml. 15 µg of lysate was loaded in each lane. Bands observed at 175 kDa.

All lanes:

Western blot - Anti-PDGFR alpha + PDGFR beta antibody [Y92] - C-terminal (ab32570)

false

Western blot - Anti-PDGFR alpha + PDGFR beta antibody [Y92] - C-terminal (AB32570)
  • WB

Lab

Western blot - Anti-PDGFR alpha + PDGFR beta antibody [Y92] - C-terminal (AB32570)

Blocking/Diluting buffer and concentration : 5% NFDM/TBST

All lanes:

Western blot - Anti-PDGFR alpha + PDGFR beta antibody [Y92] - C-terminal (ab32570) at 1/1000 dilution

Lane 1:

Western blot - Recombinant human PDGFR beta protein (<a href='/en-us/products/proteins-peptides/recombinant-human-pdgfr-beta-protein-ab60833'>ab60833</a>) at 0.1 µg

Lane 2:

Western blot - Recombinant human PDGFR alpha protein (<a href='/en-us/products/proteins-peptides/recombinant-human-pdgfr-alpha-protein-ab84797'>ab84797</a>) at 0.1 µg

Secondary

All lanes:

Western blot - Goat Anti-Rabbit IgG H&L (HRP) (<a href='/en-us/products/secondary-antibodies/goat-rabbit-igg-h-l-hrp-ab97051'>ab97051</a>) at 1/20000 dilution

false

Exposure time: 3s

  • 421 Alexa Fluor® 405

    Alexa Fluor® 405 Anti-PDGFR alpha + PDGFR beta antibody [Y92]

  • 617 Alexa Fluor® 594

    Alexa Fluor® 594 Anti-PDGFR alpha + PDGFR beta antibody [Y92]

  • 519 Alexa Fluor® 488

    Alexa Fluor® 488 Anti-PDGFR alpha + PDGFR beta antibody [Y92]

  • 578 PE

    PE Anti-PDGFR alpha + PDGFR beta antibody [Y92] (C-terminal)

  • HRP

    HRP Anti-PDGFR alpha + PDGFR beta antibody [Y92]

  • Carrier free

    Anti-PDGFR alpha + PDGFR beta antibody [Y92] - BSA and Azide free

  • 660 APC

    APC Anti-PDGFR alpha + PDGFR beta antibody [Y92] - C-terminal

  • Carrier free

    Anti-PDGFR alpha + PDGFR beta antibody [Y92] - Low endotoxin, Azide free

Key facts

Host species

Rabbit

Clonality

Monoclonal

Clone number

Y92

Isotype

IgG

Carrier free

No

Reacts with

Mouse, Rat, Human

Applications

WB, Flow Cyt (Intra), ICC/IF, ELISA, IP, IHC-P

applications

Immunogen

The exact immunogen used to generate this antibody is proprietary information.

Specificity

Expression levels of the target protein vary with sample type and some optimisation may be required.

Reactivity data

{ "title": "Reactivity Data", "filters": { "stats": ["", "Species", "Dilution Info", "Notes"], "tabs": { "all-applications": {"fullname" : "All Applications", "shortname": "All Applications"}, "IHCP" : {"fullname" : "Immunohistochemistry (Formalin/PFA-fixed paraffin-embedded sections)", "shortname":"IHC-P"}, "IP" : {"fullname" : "Immunoprecipitation", "shortname":"IP"}, "ELISA" : {"fullname" : "ELISA", "shortname":"ELISA"}, "WB" : {"fullname" : "Western blot", "shortname":"WB"}, "ICCIF" : {"fullname" : "Immunocytochemistry/ Immunofluorescence", "shortname":"ICC/IF"}, "FlowCytIntra" : {"fullname" : "Flow Cytometry (Intracellular)", "shortname":"Flow Cyt (Intra)"} }, "product-promise": { "all": "all", "testedAndGuaranteed": "tested", "guaranteed": "expected", "predicted": "predicted", "notRecommended": "not-recommended" } }, "values": { "Human": { "IHCP-species-checked": "testedAndGuaranteed", "IHCP-species-dilution-info": "1/50 - 1/500", "IHCP-species-notes": "<p>Optimisation of the IHC protocol may be required depending on the sample used.</p> Perform heat-mediated antigen retrieval before commencing with IHC staining protocol.", "IP-species-checked": "guaranteed", "IP-species-dilution-info": "", "IP-species-notes": "", "ELISA-species-checked": "testedAndGuaranteed", "ELISA-species-dilution-info": "", "ELISA-species-notes": "<p>Primary antibody concentration range: 1000 - 0 ng/mL.</p>", "WB-species-checked": "testedAndGuaranteed", "WB-species-dilution-info": "1/5000 - 1/20000", "WB-species-notes": "<p>For samples expressing low levels of PDGFR beta, the amount of lysate loaded may need to be increased to allow detection.</p>", "ICCIF-species-checked": "guaranteed", "ICCIF-species-dilution-info": "", "ICCIF-species-notes": "", "FlowCytIntra-species-checked": "guaranteed", "FlowCytIntra-species-dilution-info": "", "FlowCytIntra-species-notes": "" }, "Mouse": { "IHCP-species-checked": "guaranteed", "IHCP-species-dilution-info": "", "IHCP-species-notes": "", "IP-species-checked": "testedAndGuaranteed", "IP-species-dilution-info": "1/20", "IP-species-notes": "<p></p>", "ELISA-species-checked": "guaranteed", "ELISA-species-dilution-info": "", "ELISA-species-notes": "", "WB-species-checked": "testedAndGuaranteed", "WB-species-dilution-info": "1/5000 - 1/20000", "WB-species-notes": "<p>For samples expressing low levels of PDGFR beta, the amount of lysate loaded may need to be increased to allow detection.</p>", "ICCIF-species-checked": "testedAndGuaranteed", "ICCIF-species-dilution-info": "1/100", "ICCIF-species-notes": "<p></p>", "FlowCytIntra-species-checked": "testedAndGuaranteed", "FlowCytIntra-species-dilution-info": "1/20", "FlowCytIntra-species-notes": "<p></p>" }, "Rat": { "IHCP-species-checked": "guaranteed", "IHCP-species-dilution-info": "", "IHCP-species-notes": "", "IP-species-checked": "guaranteed", "IP-species-dilution-info": "", "IP-species-notes": "", "ELISA-species-checked": "guaranteed", "ELISA-species-dilution-info": "", "ELISA-species-notes": "", "WB-species-checked": "testedAndGuaranteed", "WB-species-dilution-info": "1/5000 - 1/20000", "WB-species-notes": "<p>For samples expressing low levels of PDGFR beta, the amount of lysate loaded may need to be increased to allow detection.</p>", "ICCIF-species-checked": "guaranteed", "ICCIF-species-dilution-info": "", "ICCIF-species-notes": "", "FlowCytIntra-species-checked": "guaranteed", "FlowCytIntra-species-dilution-info": "", "FlowCytIntra-species-notes": "" } } }

Product details

Anti-PDGFR alpha + PDGFR beta antibody [Y92] - C-terminal (ab32570) was developed by Abcam using patented rabbit monoclonal antibody technology and is validated for use in ELISA, Flow Cyt (Intra), ICC/IF, IHC-P, IP and WB.

Anti-PDGFR alpha + PDGFR beta antibody [Y92] - C-terminal (ab32570) was first used in a scientific publication in 1984 and has been cited over 332 times in peer reviewed journals. It's performance in Western blot and IHC in human and mouse samples is trusted by the scientific community.

Abcam's high quality manufacturing and validation processes ensure Anti-PDGFR alpha + PDGFR beta antibody [Y92] - C-terminal (ab32570) has high sensitivity and specificity alongside high lot-to-lot consistency and reproducibility.

The specificity of Anti-PDGFR alpha + PDGFR beta antibody [Y92] - C-terminal (ab32570) has been confirmed by Western Blot testing in PDGFRB knockout SH-SY5Y cells (ab273749).

Anti-PDGFR alpha + PDGFR beta antibody [Y92] - C-terminal (ab32570) has 31 independent reviews from customers.

Anti-PDGFR alpha + PDGFR beta antibody [Y92] - C-terminal (ab32570) specifically detects PDGFR alpha (UniProt ID: P09619; Molecular weight: 121kDa) and is sold in 100 µL and 1 mL selling sizes.

Conjugation-ready, carrier free format available for antibody clone Y92 - ab215978.

Antibody clone Y92 is also available pre-conjugated to a variety of labels for your convenience - HRP, Alexa Fluor® 488, Alexa Fluor® 594, Alexa Fluor® 405, PE, APC (ab195515, ab196376, ab206872, ab206873, ab307638, ab314942).

Top cited recombinant antibody to PDGRalpha and PDGRbeta on the market with >423 citations. PDGFR alpha and PDGFR beta are key markers in studying cell proliferation, differentiation and angiogenesis, making them invaluable biomarkers for cancer and vascular research

Patented technology
Our RabMAb® technology is a patented hybridoma-based technology for making rabbit monoclonal antibodies. For details on our patents, please refer to RabMAb® patents.

What are the advantages of a recombinant monoclonal antibody?
This product is a recombinant monoclonal antibody, which offers several advantages including:

  • - High batch-to-batch consistency and reproducibility
  • - Improved sensitivity and specificity
  • - Long-term security of supply
  • - Animal-free batch production

For more information, read more on recombinant antibodies.

Shipping conditions update: ambient shipping

This product will be delivered at ambient temperature instead of chilled – this is by design. Extensive stability testing confirmed that our products are suitable for shipment under ambient conditions and maintain expected quality.

Why the change?

It’s part of our commitment to more sustainable packaging solutions, with ambient deliveries using eco-friendly materials such as recyclable cardboard instead of polystyrene.

What you need to know

  • Ambient shipments come clearly marked on the delivery note.
  • No ice will be included in ambient shipments, but mixed orders (ambient and cold-chain items) will still arrive with ice packs to protect temperature-sensitive products.
  • Warranty coverage remains fully valid, aligned with our validated shipping method.
  • Please store the product as per the datasheet instructions upon receipt.

Find out more - https://www.abcam.com/en-us/support/shipping-storage-support/ambient-shipping

Properties and storage information

Form
Liquid
Purification technique
Affinity purification Protein A
Storage buffer
pH: 7.2 - 7.4 Preservative: 0.01% Sodium azide Constituents: PBS, 40% Glycerol (glycerin, glycerine), 0.05% BSA
Shipped at conditions
Conditional Ambient
Appropriate short-term storage conditions
+4°C
Appropriate long-term storage conditions
-20°C
Aliquoting information
Upon delivery aliquot
Storage information
Avoid freeze / thaw cycle

Supplementary information

This supplementary information is collated from multiple sources and compiled automatically.

PDGFR alpha and PDGFR beta are receptor tyrosine kinases also known as CD140a and CD140b. Both receptors have a molecular mass of about 180 kDa. PDGFR alpha is expressed in a variety of tissues including placenta astrocytes and vascular smooth muscle cells. PDGFR beta is more specific to fibroblasts smooth muscle cells and in the vascular system. These receptors bind platelet-derived growth factors (PDGFs) and become activated through dimerization and autophosphorylation.
Biological function summary

These receptors drive cellular processes like proliferation differentiation and migration. PDGFR alpha and beta operate as a significant part of a receptor complex. They modulate responses in mesenchymal cells and influence developmental pathways. In the vasculature system these receptors play roles in maintaining structure and function of blood vessels. Alterations in receptor activities can affect development of tissues and organs.

Pathways

PDGFR alpha and beta are key players in the PI3K-Akt signaling pathway and MAPK pathway. The activation of these pathways leads to cellular processes like survival and growth. PDGFR activity often interacts with other proteins such as SHP-2 RAS and Akt. These interactions contribute to the regulation of cellular responses to external growth signals embedding PDGFR in a web of intracellular cascade systems.

PDGFRs have linkage to conditions like cancer and fibrotic diseases. Aberrant PDGFR alpha activity has connections to glioblastoma while PDGFR beta alterations often relate to systemic sclerosis. These receptors can work alongside proteins like VEGF and TGF-beta within these diseases. Their dysregulation leads to pathological angiogenesis and abnormal cell proliferation making them targets for therapeutic intervention.

Product protocols

For this product, it's our understanding that no specific protocols are required. You can visit:

Target data

The protein expressed by the PDGFRB gene is a tyrosine-protein kinase that functions as a cell-surface receptor for various PDGF homodimers and heterodimers, playing an essential role in embryonic development, cell proliferation, survival, differentiation, chemotaxis, and migration. It is crucial for blood vessel development by promoting the proliferation and migration of, as well as recruitment of, pericytes and smooth muscle cells to endothelial cells. It has a role in vascular smooth muscle cell migration and neointima formation at injury sites, and is necessary for normal cardiovascular development and pericyte recruitment in kidney glomeruli. The protein facilitates actin cytoskeleton rearrangement and membrane ruffle formation. Ligand binding activates signaling cascades depending on the ligand bound and interactions with PDGFRA, leading to phosphorylation of several substrates, activation of signaling pathways such as AKT1, MAPK, and SRC family kinases, and production of molecules like diacylglycerol and inositol trisphosphate. Receptor signaling is downregulated by protein phosphatases and receptor internalization. This supplementary information is collated from multiple sources and compiled automatically.
See full target information PDGFRB

Additional targets

PDGFRA

Publications (444)

Recent publications for all applications. Explore the full list and refine your search

Acta neuropathologica 150:39 PubMed41060400

2025

Impact of APOE on cerebrovascular lipid profile in Alzheimer's disease.

Applications

Unspecified application

Species

Unspecified reactive species

Yasuteru Inoue,Hu Wang,Michael G Heckman,Yingxue Ren,Launia J White,Wenyan Lu,Pengjiao Wang,Julia Tcw,Shunsuke Koga,Alla Alnobani,Michael DeTure,Melissa E Murray,Ronald C Petersen,Dennis W Dickson,Guojun Bu,Xianlin Han,Takahisa Kanekiyo

eNeuro 12: PubMed41057266

2025

The PDGFBB-PDGFRβ Pathway and Laminins in Pericytes Are Involved in the Temporal Change of AQP4 Polarity during Temporal Lobe Epilepsy Pathogenesis.

Applications

Unspecified application

Species

Unspecified reactive species

Lin Lin,Hongxia Tang,Ke Cui,Zeyi Kang,Tengwei Pan,Changqiang Feng,Xiaohong Zhao,Jiewei Wang,Zhiyuan Chen,Zhengli Jiang,Gang Wu

Signal transduction and targeted therapy 10:299 PubMed40935839

2025

Coinhibition of the MEK/RTK pathway has high therapeutic efficacy in KRAS-mutant non-small cell lung cancer.

Applications

Unspecified application

Species

Unspecified reactive species

Jun Lu,Minjuan Hu,Yikai Zhao,Tianqing Chu,Wei Zhang,Yijia Zhou,Xinlei Cai,Jun Wu,Liang Hu,Chunlei Shi,Liwen Xiong,Aiqin Gu,Huimin Wang,Yanwei Zhang,Yuqing Lou,Runbo Zhong,Zhiqiang Gao,Hongyu Liu,Chao Zhou,Yingli Wu,Liang Zhu,Hua Zhong,Hongbin Ji,Baohui Han

International journal of molecular sciences 26: PubMed40869422

2025

Biphasic Electrical Stimulation of Schwann Cells on Conducting Polymer-Coated Carbon Microfibers.

Applications

Unspecified application

Species

Unspecified reactive species

Alexandra Alves-Sampaio,Jorge E Collazos-Castro

Frontiers in cell and developmental biology 13:1603405 PubMed40809694

2025

Osteogenic shift in the adipose-derived stem cells of is linked to impaired adipose tissue self-renewal.

Applications

Unspecified application

Species

Unspecified reactive species

M Boldyreva,E Zubkova,E Trubkina,M Agareva,S Michurina,N Alekseeva,I Beloglazova,E Ratner,Ye Parfyonova,I Stafeev

The Korean journal of physiology & pharmacology : official journal of the Korean Physiological Society and the Korean Society of Pharmacology 29:613-623 PubMed40709393

2025

Tie2 activator 4E2 ameliorates diabetic nephropathy and synergizes with dapagliflozin in a mouse model.

Applications

Unspecified application

Species

Unspecified reactive species

Da Som Jeong,Soo Min Ko,Ji-Young Lee,Hyo-Jeong Han,Yerin Lee,Weon Sup Lee,Eun-Ah Lee,Woo-Chan Son,Jinho Shin

Nature communications 16:6753 PubMed40695868

2025

Transdifferentiation of tongue muscle cells into cancer-associated fibroblasts in response to tongue squamous cell carcinoma.

Applications

Unspecified application

Species

Unspecified reactive species

Weifan Lin,Wuheng Huang,Shiqiang Mei,Xiangwan Lu,Junheng Zheng,Hua Wang,Lingling Zheng,Yan Zhang

Journal of neuroinflammation 22:181 PubMed40653490

2025

Molecular pathology of acute spinal cord injury in middle-aged mice.

Applications

Unspecified application

Species

Unspecified reactive species

Corey Fehlberg,Danny John,Brian Kang,James S Choi,Susana Cerqueira,Alexis Brake,Jae K Lee

Cells 14: PubMed40643504

2025

9-cis-Retinoic Acid Improves Disease Modelling in iPSC-Derived Liver Organoids.

Applications

Unspecified application

Species

Unspecified reactive species

Mina Kazemzadeh Dastjerd,Vincent Merens,Ayla Smout,Rebeca De Wolf,Christophe Chesné,Catherine Verfaillie,Stefaan Verhulst,Leo A van Grunsven

Bioactive materials 52:541-563 PubMed40599343

2025

Hypoxia preconditioned MSC exosomes attenuate high-altitude cerebral edema via the miR-125a-5p/RTEF-1 axis to protect vascular endothelial cells.

Applications

Unspecified application

Species

Unspecified reactive species

Jia-Chen Zuo,Jun Liang,Nan Hu,Bin Yao,Qi-Jian Zhang,Xiao-Li Zeng,Ling-Jie Zhang,Xu Zhang,Zhe-Han Chang,Chong Chen,Xin-Jian Yan,Wen-Wei Shao,Ping Zhu,Xiao-Hong Li
View all publications

Product promise

We are committed to supporting your work with high-quality reagents, and we're here for you every step of the way. In the unlikely event that one of our products does not perform as expected, you're protected by our Product Promise.
For full details, please see our Terms & Conditions

Please note: All products are 'FOR RESEARCH USE ONLY. NOT FOR USE IN DIAGNOSTIC OR THERAPEUTIC PROCEDURES'.

For licensing inquiries, please contact partnerships@abcam.com