JavaScript is disabled in your browser. Please enable JavaScript to view this website.
AB215978

Anti-PDGFR alpha + PDGFR beta antibody [Y92] - Low endotoxin, Azide free

5

(2 Reviews)

|

(5 Publications)

Rabbit Recombinant Monoclonal PDGFR beta antibody. Carrier free. Suitable for IHC-P, ICC/IF, IP, WB, Flow Cyt (Intra), ELISA and reacts with Human, Mouse, Rat samples. Cited in 5 publications.

View Alternative Names

CD140b, PDGFR, PDGFR1, PDGFRB, Platelet-derived growth factor receptor beta, PDGF-R-beta, PDGFR-beta, Beta platelet-derived growth factor receptor, Beta-type platelet-derived growth factor receptor, CD140 antigen-like family member B, Platelet-derived growth factor receptor 1, PDGFR-1

10 Images
Immunohistochemistry (Formalin/PFA-fixed paraffin-embedded sections) - Anti-PDGFR alpha + PDGFR beta antibody [Y92] - Low endotoxin, Azide free (AB215978)
  • IHC-P

Unknown

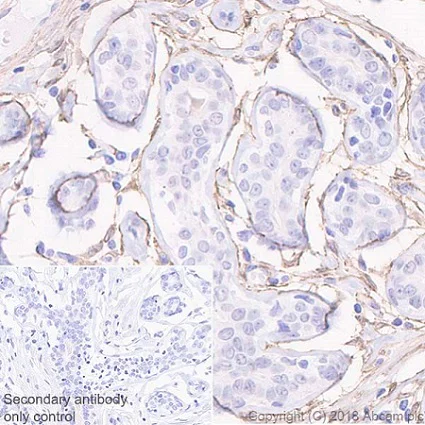
Immunohistochemistry (Formalin/PFA-fixed paraffin-embedded sections) - Anti-PDGFR alpha + PDGFR beta antibody [Y92] - Low endotoxin, Azide free (AB215978)

ab32570 staining PDGFR alpha + beta in human breast tissue sections by Immunohistochemistry (IHC-P - paraformaldehyde-fixed, paraffin-embedded sections). Shows positive staining on stromal cells. Heat mediated antigen retrieval was performed using ab93684 (Tris/EDTA buffer, pH 9.0). Samples were incubated with primary antibody (1/500). An HRP-conjugated Goat anti-rabbit IgG (ready to use) was used as the secondary antibody. Counter stained with Hematoxylin.

This data was developed using the same antibody clone in a different buffer formulation containing PBS, BSA, glycerol, and sodium azide (ab32570).

Immunohistochemistry (Formalin/PFA-fixed paraffin-embedded sections) - Anti-PDGFR alpha + PDGFR beta antibody [Y92] - Low endotoxin, Azide free (AB215978)
  • IHC-P

Unknown

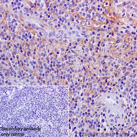
Immunohistochemistry (Formalin/PFA-fixed paraffin-embedded sections) - Anti-PDGFR alpha + PDGFR beta antibody [Y92] - Low endotoxin, Azide free (AB215978)

Immunohistochemical staining of paraffin embedded human spleen with purified ab32570 at a working dilution of 1/50. The secondary antibody used is ab97051, a HRP-conjugated goat anti-rabbit IgG (H+L), at a dilution of 1/500. The sample is counter-stained with hematoxylin. Antigen retrieval was perfomed using Tris-EDTA buffer, pH 9.0. PBS was used instead of the primary antibody as the negative control, and is shown in the inset.This data was developed using the same antibody clone in a different buffer formulation containing PBS, BSA, glycerol, and sodium azide (ab32570).

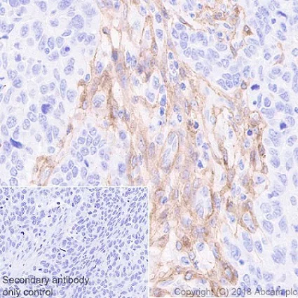
Immunohistochemistry (Formalin/PFA-fixed paraffin-embedded sections) - Anti-PDGFR alpha + PDGFR beta antibody [Y92] - Low endotoxin, Azide free (AB215978)
  • IHC-P

Unknown

Immunohistochemistry (Formalin/PFA-fixed paraffin-embedded sections) - Anti-PDGFR alpha + PDGFR beta antibody [Y92] - Low endotoxin, Azide free (AB215978)

ab32570 staining PDGFR alpha + beta in human lung cancer tissue sections by Immunohistochemistry (IHC-P - paraformaldehyde-fixed, paraffin-embedded sections). Shows positive staining on stromal cells. Heat mediated antigen retrieval was performed using ab93684 (Tris/EDTA buffer, pH 9.0). Samples were incubated with primary antibody (1/500). An HRP-conjugated Goat anti-rabbit IgG (ready to use) was used as the secondary antibody. Counter stained with Hematoxylin.

This data was developed using the same antibody clone in a different buffer formulation containing PBS, BSA, glycerol, and sodium azide (ab32570).

Immunocytochemistry/ Immunofluorescence - Anti-PDGFR alpha + PDGFR beta antibody [Y92] - Low endotoxin, Azide free (AB215978)
  • ICC/IF

PubMed

Immunocytochemistry/ Immunofluorescence - Anti-PDGFR alpha + PDGFR beta antibody [Y92] - Low endotoxin, Azide free (AB215978)

Immunofluorescence analysis of NIH/3T3 (Mouse embryo fibroblast cell line) cells stimulated with PDGF, staining PDGFR alpha + beta with unpurified ab32570.

This data was developed using the same antibody clone in a different buffer formulation containing PBS, BSA, glycerol, and sodium azide (ab32570).

Image from Miyata M et al. J Biol Chem. 2009 Sep 4;284(36):24595-609. Epub 2009 Jul 9. Fig 1.; doi: 10.1074/jbc.M109.016436; September 4 2009 The Journal of Biological Chemistry 284 24595-24609.

Flow Cytometry (Intracellular) - Anti-PDGFR alpha + PDGFR beta antibody [Y92] - Low endotoxin, Azide free (AB215978)
  • Flow Cyt (Intra)

Unknown

Flow Cytometry (Intracellular) - Anti-PDGFR alpha + PDGFR beta antibody [Y92] - Low endotoxin, Azide free (AB215978)

Intracellular Flow Cytometry analysis of NIH/3T3 (Mouse embryo fibroblast cell line) cells labeling PDGFR alpha +beta (red) with ab32570 at a 1/20 dilution. Cells were fixed with 4% paraformaldehyde and permeabilized with 90% methanol. A goat anti-rabbit IgG (Alexa Fluor® 488) (ab150077) was used as the secondary antibody at a 1/2000 dilution. Black - Rabbit monoclonal IgG (ab172730). Blue (unlabeled control) - Cells without incubation with primary and secondary antibodies.

This data was developed using the same antibody clone in a different buffer formulation containing PBS, BSA, glycerol, and sodium azide (ab32570).

Immunocytochemistry/ Immunofluorescence - Anti-PDGFR alpha + PDGFR beta antibody [Y92] - Low endotoxin, Azide free (AB215978)
  • ICC/IF

Unknown

Immunocytochemistry/ Immunofluorescence - Anti-PDGFR alpha + PDGFR beta antibody [Y92] - Low endotoxin, Azide free (AB215978)

Immunofluorescence staining of NIH/3T3 (Mouse embryo fibroblast cell line) cells with purified ab32570 at a working dilution of 1 in 100, counter-stained with DAPI. Tubulin was stained with mouse anti-tubulin at a dilution of 1/1000 (ab7291) and Alexa Fluor® 594 goat anti-mouse at a dilution of 1/500 (ab150120) . The secondary antibody was ab150077 Alexa Fluor® 488 goat anti rabbit, used at a dilution of 1 in 500. The cells were fixed in 4% PFA and permeabilized using 0.1% Triton X 100.

The negative controls are shown in the bottom middle and right hand panels - for the first negative control, purified ab32570 was used at a dilution of 1/200 followed by an Alexa Fluor® 555 goat anti-mouse antibody at a dilution of 1/500 and for the second negative control mouse primary antibody (ab7291) and anti-rabbit secondary antibody (ab15007) were used.

This data was developed using the same antibody clone in a different buffer formulation containing PBS, BSA, glycerol, and sodium azide (ab32570).

Immunocytochemistry/ Immunofluorescence - Anti-PDGFR alpha + PDGFR beta antibody [Y92] - Low endotoxin, Azide free (AB215978)
  • ICC/IF

Lab

Immunocytochemistry/ Immunofluorescence - Anti-PDGFR alpha + PDGFR beta antibody [Y92] - Low endotoxin, Azide free (AB215978)

Clone Y92 (ab215978) has been successfully conjugated by Abcam. This image was generated using Anti-PDGFR beta antibody [Y92] (Alexa Fluor® 488). Please refer to ab196376 for protocol details.

ab196376 staining PDGFR alpha + beta in NIH3T3 cells. The cells were fixed with 100% methanol (5 min), permeabilised in 0.1% Triton X-100 for 5 minutes and then blocked in 1% BSA/10% normal goat serum/0.3M glycine in 0.1% PBS-Tween for 1h. The cells were then incubated with ab196376 at 1/50 dilution (shown in green) and ab195889, Mouse monoclonal [DM1A] to alpha Tubulin (Alexa Fluor® 594, shown in red) at 1/167 dilution overnight at +4°C. Nuclear DNA was labelled in blue with DAPI.
Image was taken with a confocal microscope (Leica-Microsystems, TCS SP8).

Western blot - Anti-PDGFR alpha + PDGFR beta antibody [Y92] - Low endotoxin, Azide free (AB215978)
  • WB

Lab

Western blot - Anti-PDGFR alpha + PDGFR beta antibody [Y92] - Low endotoxin, Azide free (AB215978)

This data was developed using the same antibody clone in a different buffer formulation (ab32570).

Lanes 1 - 4 : Merged signal (red and green). Green - ab32570 observed at 170 kDa. Red - loading control ab7291 (Mouse anti-Alpha Tubulin [DM1A]) observed at 55 kDa.

ab32570 was shown to react with PDGFRB in wild-type SH-SY5Y cells in Western blot with loss of signal observed in PDGFRB knockout cell line ab273749 (knockout cell lysate ab275523). Wild-type SH-SY5Y and PDGFRB knockout cell lysates were subjected to SDS-PAGE. Membranes were blocked in fluorescent western blot (TBS-based) blocking solution before incubation with ab32570 and ab7291 (Mouse anti-Alpha Tubulin [DM1A]) overnight at 4 °C at a 1 in 5000 dilution and a 1 in 20000 dilution respectively. Blots were incubated with Goat anti-Rabbit IgG H&L (IRDye® 800CW) preabsorbed (ab216773) and Goat anti-Mouse IgG H&L (IRDye® 680RD) preabsorbed (ab216776) secondary antibodies at 1 in 20000 dilution for 1 h at room temperature before imaging.

All lanes:

Western blot - Anti-PDGFR alpha + PDGFR beta antibody [Y92] - C-terminal (<a href='/en-us/products/primary-antibodies/pdgfr-alpha-pdgfr-beta-antibody-y92-c-terminal-ab32570'>ab32570</a>) at 1/5000 dilution

Lane 1:

Wild-type SH-SY5Y cell lysate at 30 µg

Lane 2:

PDGFR beta knockout SH-SY5Y cell lysate at 30 µg

Lane 2:

Western blot - Human PDGFRB knockout SH-SY5Y cell line (<a href='/en-us/products/cell-lines/human-pdgfrb-knockout-sh-sy5y-cell-line-ab273749'>ab273749</a>)

Lane 3:

Human Skeletal Muscle tissue lysate at 30 µg

Lane 4:

HeLa cell lysate at 30 µg

Predicted band size: 123 kDa

Observed band size: 170 kDa

false

Immunoprecipitation - Anti-PDGFR alpha + PDGFR beta antibody [Y92] - Low endotoxin, Azide free (AB215978)
  • IP

Unknown

Immunoprecipitation - Anti-PDGFR alpha + PDGFR beta antibody [Y92] - Low endotoxin, Azide free (AB215978)

ab32570 (purified) at 1/20 immunoprecipitating PDGFR alpha + beta in NIH/3T3 (Mouse embryo fibroblast cell line) (Lane 1 and 2). Lane 3 - PBS.

For western blotting a HRP-conjugated anti-rabbit IgG specific to the non-reduced form of IgG was used as the secondary antibody (1/1500).

Blocking buffer and concentration : 5% NFDM/TBST.

Diluting buffer and concentration : 5% NFDM /TBST.

This data was developed using the same antibody clone in a different buffer formulation containing PBS, BSA, glycerol, and sodium azide (ab32570).

All lanes:

Immunoprecipitation - Anti-PDGFR alpha + PDGFR beta antibody [Y92] - C-terminal (<a href='/en-us/products/primary-antibodies/pdgfr-alpha-pdgfr-beta-antibody-y92-c-terminal-ab32570'>ab32570</a>)

Observed band size: 175 kDa

false

Western blot - Anti-PDGFR alpha + PDGFR beta antibody [Y92] - Low endotoxin, Azide free (AB215978)
  • WB

Lab

Western blot - Anti-PDGFR alpha + PDGFR beta antibody [Y92] - Low endotoxin, Azide free (AB215978)

This data was developed using the same antibody clone in a different buffer formulation containing PBS, BSA, glycerol, and sodium azide (ab32570).

Blocking/Diluting buffer and concentration : 5% NFDM/TBST

All lanes:

Western blot - Anti-PDGFR alpha + PDGFR beta antibody [Y92] - C-terminal (<a href='/en-us/products/primary-antibodies/pdgfr-alpha-pdgfr-beta-antibody-y92-c-terminal-ab32570'>ab32570</a>) at 1/1000 dilution

Lane 1:

Western blot - Recombinant human PDGFR beta protein (<a href='/en-us/products/proteins-peptides/recombinant-human-pdgfr-beta-protein-ab60833'>ab60833</a>) at 0.1 µg

Lane 2:

Western blot - Recombinant human PDGFR alpha protein (<a href='/en-us/products/proteins-peptides/recombinant-human-pdgfr-alpha-protein-ab84797'>ab84797</a>) at 0.1 µg

Secondary

All lanes:

Western blot - Goat Anti-Rabbit IgG H&L (HRP) (<a href='/en-us/products/secondary-antibodies/goat-rabbit-igg-h-l-hrp-ab97051'>ab97051</a>) at 1/20000 dilution

false

Exposure time: 3s

Key facts

Host species

Rabbit

Clonality

Monoclonal

Clone number

Y92

Isotype

IgG

Carrier free

Yes

Reacts with

Mouse, Rat, Human

Applications

ELISA, Flow Cyt (Intra), IHC-P, ICC/IF, IP, WB

applications

Immunogen

The exact immunogen used to generate this antibody is proprietary information.

Specificity

Expression levels of the target protein vary with sample type and some optimisation may be required.

Reactivity data

{ "title": "Reactivity Data", "filters": { "stats": ["", "Species", "Dilution Info", "Notes"], "tabs": { "all-applications": {"fullname" : "All Applications", "shortname": "All Applications"}, "IHCP" : {"fullname" : "Immunohistochemistry (Formalin/PFA-fixed paraffin-embedded sections)", "shortname":"IHC-P"}, "ICCIF" : {"fullname" : "Immunocytochemistry/ Immunofluorescence", "shortname":"ICC/IF"}, "IP" : {"fullname" : "Immunoprecipitation", "shortname":"IP"}, "WB" : {"fullname" : "Western blot", "shortname":"WB"}, "FlowCytIntra" : {"fullname" : "Flow Cytometry (Intracellular)", "shortname":"Flow Cyt (Intra)"}, "ELISA" : {"fullname" : "ELISA", "shortname":"ELISA"} }, "product-promise": { "all": "all", "testedAndGuaranteed": "tested", "guaranteed": "expected", "predicted": "predicted", "notRecommended": "not-recommended" } }, "values": { "Human": { "IHCP-species-checked": "testedAndGuaranteed", "IHCP-species-dilution-info": "", "IHCP-species-notes": "<p></p> Perform heat-mediated antigen retrieval before commencing with IHC staining protocol.", "ICCIF-species-checked": "guaranteed", "ICCIF-species-dilution-info": "", "ICCIF-species-notes": "", "IP-species-checked": "guaranteed", "IP-species-dilution-info": "", "IP-species-notes": "", "WB-species-checked": "testedAndGuaranteed", "WB-species-dilution-info": "", "WB-species-notes": "<p>For samples expressing low levels of PDGFR beta, the amount of lysate loaded may need to be increased to allow detection.</p>", "FlowCytIntra-species-checked": "guaranteed", "FlowCytIntra-species-dilution-info": "", "FlowCytIntra-species-notes": "", "ELISA-species-checked": "testedAndGuaranteed", "ELISA-species-dilution-info": "", "ELISA-species-notes": "<p>Primary antibody concentration range: 1000 - 0 ng/mL.</p>" }, "Mouse": { "IHCP-species-checked": "guaranteed", "IHCP-species-dilution-info": "", "IHCP-species-notes": "", "ICCIF-species-checked": "testedAndGuaranteed", "ICCIF-species-dilution-info": "", "ICCIF-species-notes": "<p></p>", "IP-species-checked": "testedAndGuaranteed", "IP-species-dilution-info": "", "IP-species-notes": "<p></p>", "WB-species-checked": "testedAndGuaranteed", "WB-species-dilution-info": "", "WB-species-notes": "<p>For samples expressing low levels of PDGFR beta, the amount of lysate loaded may need to be increased to allow detection.</p>", "FlowCytIntra-species-checked": "testedAndGuaranteed", "FlowCytIntra-species-dilution-info": "", "FlowCytIntra-species-notes": "<p></p>", "ELISA-species-checked": "guaranteed", "ELISA-species-dilution-info": "", "ELISA-species-notes": "" }, "Rat": { "IHCP-species-checked": "guaranteed", "IHCP-species-dilution-info": "", "IHCP-species-notes": "", "ICCIF-species-checked": "guaranteed", "ICCIF-species-dilution-info": "", "ICCIF-species-notes": "", "IP-species-checked": "guaranteed", "IP-species-dilution-info": "", "IP-species-notes": "", "WB-species-checked": "testedAndGuaranteed", "WB-species-dilution-info": "", "WB-species-notes": "<p>For samples expressing low levels of PDGFR beta, the amount of lysate loaded may need to be increased to allow detection.</p>", "FlowCytIntra-species-checked": "guaranteed", "FlowCytIntra-species-dilution-info": "", "FlowCytIntra-species-notes": "", "ELISA-species-checked": "guaranteed", "ELISA-species-dilution-info": "", "ELISA-species-notes": "" } } }

Product details

ab215978 is the carrier-free version of ab32570.

Patented technology
Our RabMAb® technology is a patented hybridoma-based technology for making rabbit monoclonal antibodies. For details on our patents, please refer to RabMAb® patents.

What are the advantages of a recombinant monoclonal antibody?
This product is a recombinant monoclonal antibody, which offers several advantages including:

  • - High batch-to-batch consistency and reproducibility
  • - Improved sensitivity and specificity
  • - Long-term security of supply
  • - Animal-free batch production

For more information, read more on recombinant antibodies.

Conjugation ready
Our carrier-free antibodies are typically supplied in a PBS-only formulation, purified and free of BSA, sodium azide and glycerol. This conjugation-ready format is designed for use with fluorochromes, metal isotopes, oligonucleotides, and enzymes, which makes them ideal for antibody labelling, functional and cell-based assays, flow-based assays (e.g. mass cytometry) and Multiplex Imaging applications.

Use our conjugation kits for antibody conjugates that are ready-to-use in as little as 20 minutes with 1 minute hands-on-time and 100% antibody recovery: available for fluorescent dyes, HRP, biotin and gold.

Compatibility
This product is compatible with the Maxpar® Antibody Labeling Kit from Fluidigm, without the need for antibody preparation. Maxpar® is a trademark of Fluidigm Canada Inc.

What does low endotoxin mean?
Our low endotoxin, azide-free formats have low endotoxin level (1 EU/mg, determined by the TAL assay) and are free from azide, to achieve consistent experimental results in functional assays.

Properties and storage information

Form
Liquid
Purification technique
Affinity purification Protein A
Storage buffer
pH: 7.2 - 7.4 Constituents: PBS
Shipped at conditions
Blue Ice
Appropriate short-term storage conditions
+4°C
Appropriate long-term storage conditions
+4°C
Storage information
Do Not Freeze

Supplementary information

This supplementary information is collated from multiple sources and compiled automatically.

PDGFR alpha and PDGFR beta are receptor tyrosine kinases also known as CD140a and CD140b. Both receptors have a molecular mass of about 180 kDa. PDGFR alpha is expressed in a variety of tissues including placenta astrocytes and vascular smooth muscle cells. PDGFR beta is more specific to fibroblasts smooth muscle cells and in the vascular system. These receptors bind platelet-derived growth factors (PDGFs) and become activated through dimerization and autophosphorylation.
Biological function summary

These receptors drive cellular processes like proliferation differentiation and migration. PDGFR alpha and beta operate as a significant part of a receptor complex. They modulate responses in mesenchymal cells and influence developmental pathways. In the vasculature system these receptors play roles in maintaining structure and function of blood vessels. Alterations in receptor activities can affect development of tissues and organs.

Pathways

PDGFR alpha and beta are key players in the PI3K-Akt signaling pathway and MAPK pathway. The activation of these pathways leads to cellular processes like survival and growth. PDGFR activity often interacts with other proteins such as SHP-2 RAS and Akt. These interactions contribute to the regulation of cellular responses to external growth signals embedding PDGFR in a web of intracellular cascade systems.

PDGFRs have linkage to conditions like cancer and fibrotic diseases. Aberrant PDGFR alpha activity has connections to glioblastoma while PDGFR beta alterations often relate to systemic sclerosis. These receptors can work alongside proteins like VEGF and TGF-beta within these diseases. Their dysregulation leads to pathological angiogenesis and abnormal cell proliferation making them targets for therapeutic intervention.

Product protocols

For this product, it's our understanding that no specific protocols are required. You can visit:

Target data

The protein expressed by the PDGFRB gene is a tyrosine-protein kinase that functions as a cell-surface receptor for various PDGF homodimers and heterodimers, playing an essential role in embryonic development, cell proliferation, survival, differentiation, chemotaxis, and migration. It is crucial for blood vessel development by promoting the proliferation and migration of, as well as recruitment of, pericytes and smooth muscle cells to endothelial cells. It has a role in vascular smooth muscle cell migration and neointima formation at injury sites, and is necessary for normal cardiovascular development and pericyte recruitment in kidney glomeruli. The protein facilitates actin cytoskeleton rearrangement and membrane ruffle formation. Ligand binding activates signaling cascades depending on the ligand bound and interactions with PDGFRA, leading to phosphorylation of several substrates, activation of signaling pathways such as AKT1, MAPK, and SRC family kinases, and production of molecules like diacylglycerol and inositol trisphosphate. Receptor signaling is downregulated by protein phosphatases and receptor internalization. This supplementary information is collated from multiple sources and compiled automatically.
See full target information PDGFRB

Additional targets

PDGFRA

Publications (5)

Recent publications for all applications. Explore the full list and refine your search

iScience 27:110550 PubMed39165839

2024

Multiplex spatial omics reveals changes in immune-epithelial crosstalk during inflammation and dysplasia development in chronic IBD patients.

Applications

Unspecified application

Species

Unspecified reactive species

Matthijs J D Baars,Evelien Floor,Neeraj Sinha,José J M Ter Linde,Stephanie van Dam,Mojtaba Amini,Isaäc J Nijman,Joren R Ten Hove,Julia Drylewicz,G Johan A Offerhaus,Miangela M Laclé,Bas Oldenburg,Yvonne Vercoulen

Cancer cell 42:396-412.e5 PubMed38242124

2024

Cancer-associated fibroblast phenotypes are associated with patient outcome in non-small cell lung cancer.

Applications

Unspecified application

Species

Unspecified reactive species

Lena Cords,Stefanie Engler,Martina Haberecker,Jan Hendrik Rüschoff,Holger Moch,Natalie de Souza,Bernd Bodenmiller

Physiological reports 11: PubMed37962017

2023

The effects of treadmill exercise on brain angiogenesis in ovariectomized rats.

Applications

Unspecified application

Species

Unspecified reactive species

Eun-Jung Yoon,Jiwon Jeong,Eunji Yoon,Dongsun Park

International journal of molecular sciences 24: PubMed37175945

2023

Effects of Therapeutic Platelet-Rich Plasma on Overactive Bladder via Modulating Hyaluronan Synthesis in Ovariectomized Rat.

Applications

Unspecified application

Species

Unspecified reactive species

Jian-He Lu,Kuang-Shun Chueh,Tai-Jui Juan,Jing-Wen Mao,Rong-Jyh Lin,Yi-Chen Lee,Mei-Chen Shen,Ting-Wei Sun,Hung-Yu Lin,Yung-Shun Juan

Bioscience trends 17:136-147 PubMed36823043

2023

FOXA2 plays a critical role in hepatocellular carcinoma progression and lenvatinib-associated drug resistance.

Applications

Unspecified application

Species

Unspecified reactive species

Zhengxia Wang,Junyi Shen,Chuwen Chen,Tianfu Wen,Chuan Li
View all publications

Product promise

We are committed to supporting your work with high-quality reagents, and we're here for you every step of the way. In the unlikely event that one of our products does not perform as expected, you're protected by our Product Promise.
For full details, please see our Terms & Conditions

Please note: All products are 'FOR RESEARCH USE ONLY. NOT FOR USE IN DIAGNOSTIC OR THERAPEUTIC PROCEDURES'.

For licensing inquiries, please contact partnerships@abcam.com