JavaScript is disabled in your browser. Please enable JavaScript to view this website.
AB155096

Anti-PDHA1 antibody [EPR11099]

Be the first to review this product! Submit a review

|

(7 Publications)

Rabbit Recombinant Monoclonal PDHA1 antibody. Suitable for IHC-P, WB, ICC/IF, Flow Cyt (Intra) and reacts with Human, Mouse, Rat samples. Cited in 7 publications.

View Alternative Names

PHE1A, PDHA1, PDHE1-A type I

5 Images
Flow Cytometry (Intracellular) - Anti-PDHA1 antibody [EPR11099] (AB155096)
  • Flow Cyt (Intra)

Unknown

Flow Cytometry (Intracellular) - Anti-PDHA1 antibody [EPR11099] (AB155096)

Overlay histogram showing HeLa cells stained with ab155096 (red line). The cells were fixed with 80% methanol (5 min) and then permeabilized with 0.1% PBS-Tween for 20 min. The cells were then incubated in 1x PBS / 10% normal goat serum / 0.3M glycine to block non-specific protein-protein interactions followed by the antibody (ab155096, 1/10000 dilution) for 30 min at 22°C. The secondary antibody used was Alexa Fluor® 488 goat anti-rabbit IgG (H&L) (ab150077) at 1/2000 dilution for 30 min at 22°C. Isotype control antibody (black line) was rabbit IgG (monoclonal) (0.1μg/1x106 cells) used under the same conditions. Unlabelled sample (blue line) was also used as a control. Acquisition of >5,000 events were collected using a 20mW Argon ion laser (488nm) and 525/30 bandpass filter.

Immunohistochemistry (Formalin/PFA-fixed paraffin-embedded sections) - Anti-PDHA1 antibody [EPR11099] (AB155096)
  • IHC-P

Unknown

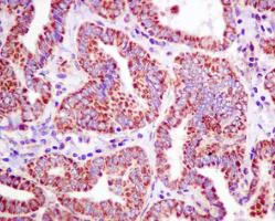
Immunohistochemistry (Formalin/PFA-fixed paraffin-embedded sections) - Anti-PDHA1 antibody [EPR11099] (AB155096)

Immunohistochemical analysis of paraffin-embedded Human thyroid carcinoma tissue labeling PDHA1 with ab155096 at 1/50 dilution.

Perform heat mediated antigen retrieval before commencing with IHC staining protocol.

Western blot - Anti-PDHA1 antibody [EPR11099] (AB155096)
  • WB

Unknown

Western blot - Anti-PDHA1 antibody [EPR11099] (AB155096)

All lanes:

Western blot - Anti-PDHA1 antibody [EPR11099] (ab155096) at 1/1000 dilution

Lane 1:

HepG2 cell lysate at 10 µg

Lane 2:

293T cell lysate at 10 µg

Lane 3:

HeLa cell lysate at 10 µg

Lane 4:

Jurkat cell lysate at 10 µg

Secondary

All lanes:

Goat anti-rabbit HRP conjugated at 1/2000 dilution

Predicted band size: 43 kDa

false

Western blot - Anti-PDHA1 antibody [EPR11099] (AB155096)
  • WB

Lab

Western blot - Anti-PDHA1 antibody [EPR11099] (AB155096)

Lanes 1 - 3 : Merged signal (red and green). Green - ab155096 observed at 43 kDa. Red - loading control, ab130007, observed at 130 kDa.

ab155096 was shown to recognize PDHA1 in wild-type HeLa cells as signal was lost at the expected MW in PDHA1 knockout cells. Additional cross-reactive bands were observed in the wild-type and knockout cells. Wild-type and PDHA1 knockout samples were subjected to SDS-PAGE. The membrane was blocked with 3% Milk. ab155096 and ab130007 (Mouse anti Vinculin loading control) were incubated overnight at 4°C at 1/1000 dilution and 1/20000 dilution respectively. Blots were developed with Goat anti-Rabbit IgG H&L (IRDye® 800CW) preabsorbed ab216773 and Goat anti-Mouse IgG H&L (IRDye® 680RD) preabsorbed ab216776 secondary antibodies at 1/20000 dilution for 1 hour at room temperature before imaging.

All lanes:

Western blot - Anti-PDHA1 antibody [EPR11099] (ab155096) at 1/1000 dilution

Lane 1:

Wild-type HeLa whole cell lysate at 20 µg

Lane 2:

PDHA1 knockout HeLa whole cell lysate at 20 µg

Lane 3:

HEK-293 whole cell lysate at 20 µg

Predicted band size: 43 kDa

Observed band size: 43 kDa

false

Immunocytochemistry/ Immunofluorescence - Anti-PDHA1 antibody [EPR11099] (AB155096)
  • ICC/IF

Unknown

Immunocytochemistry/ Immunofluorescence - Anti-PDHA1 antibody [EPR11099] (AB155096)

Immunofluorescent analysis of HeLa cells labeling PDHA1 with ab155096 at 1/250 dilution.

Key facts

Host species

Rabbit

Clonality

Monoclonal

Clone number

EPR11099

Isotype

IgG

Carrier free

No

Reacts with

Human

Applications

ICC/IF, Flow Cyt (Intra), WB, IHC-P

applications

Immunogen

The exact immunogen used to generate this antibody is proprietary information.

Reactivity data

{ "title": "Reactivity Data", "filters": { "stats": ["", "Species", "Dilution Info", "Notes"], "tabs": { "all-applications": {"fullname" : "All Applications", "shortname": "All Applications"}, "IHCP" : {"fullname" : "Immunohistochemistry (Formalin/PFA-fixed paraffin-embedded sections)", "shortname":"IHC-P"}, "WB" : {"fullname" : "Western blot", "shortname":"WB"}, "ICCIF" : {"fullname" : "Immunocytochemistry/ Immunofluorescence", "shortname":"ICC/IF"}, "FlowCytIntra" : {"fullname" : "Flow Cytometry (Intracellular)", "shortname":"Flow Cyt (Intra)"} }, "product-promise": { "all": "all", "testedAndGuaranteed": "tested", "guaranteed": "expected", "predicted": "predicted", "notRecommended": "not-recommended" } }, "values": { "Human": { "IHCP-species-checked": "testedAndGuaranteed", "IHCP-species-dilution-info": "1/50 - 1/100", "IHCP-species-notes": "<p></p>", "WB-species-checked": "testedAndGuaranteed", "WB-species-dilution-info": "1/1000 - 1/2000", "WB-species-notes": "<p></p>", "ICCIF-species-checked": "testedAndGuaranteed", "ICCIF-species-dilution-info": "1/250 - 1/500", "ICCIF-species-notes": "<p></p>", "FlowCytIntra-species-checked": "testedAndGuaranteed", "FlowCytIntra-species-dilution-info": "1/1000 - 1/10000", "FlowCytIntra-species-notes": "<p><a href='/en-us/products/primary-antibodies/rabbit-igg-monoclonal-epr25a-isotype-control-ab172730'>ab172730</a> - Rabbit monoclonal IgG, is suitable for use as an isotype control with this antibody.</p>" }, "Mouse": { "IHCP-species-checked": "predicted", "IHCP-species-dilution-info": "", "IHCP-species-notes": "", "WB-species-checked": "guaranteed", "WB-species-dilution-info": "", "WB-species-notes": "<p></p>", "ICCIF-species-checked": "predicted", "ICCIF-species-dilution-info": "", "ICCIF-species-notes": "", "FlowCytIntra-species-checked": "predicted", "FlowCytIntra-species-dilution-info": "", "FlowCytIntra-species-notes": "" }, "Rat": { "IHCP-species-checked": "predicted", "IHCP-species-dilution-info": "", "IHCP-species-notes": "", "WB-species-checked": "guaranteed", "WB-species-dilution-info": "", "WB-species-notes": "<p></p>", "ICCIF-species-checked": "predicted", "ICCIF-species-dilution-info": "", "ICCIF-species-notes": "", "FlowCytIntra-species-checked": "predicted", "FlowCytIntra-species-dilution-info": "", "FlowCytIntra-species-notes": "" } } }

Product details

Patented technology
Our RabMAb® technology is a patented hybridoma-based technology for making rabbit monoclonal antibodies. For details on our patents, please refer to RabMAb® patents.

What are the advantages of a recombinant monoclonal antibody?
This product is a recombinant monoclonal antibody, which offers several advantages including:

  • - High batch-to-batch consistency and reproducibility
  • - Improved sensitivity and specificity
  • - Long-term security of supply
  • - Animal-free batch production

For more information, read more on recombinant antibodies.

Properties and storage information

Form
Liquid
Purity
Tissue culture supernatant
Storage buffer
pH: 7.2 - 7.4 Preservative: 0.01% Sodium azide Constituents: PBS, 50% Tissue culture supernatant, 40% Glycerol (glycerin, glycerine), 0.05% BSA
Shipped at conditions
Blue Ice
Appropriate short-term storage conditions
+4°C
Appropriate long-term storage conditions
-20°C

Supplementary information

This supplementary information is collated from multiple sources and compiled automatically.

PDHA1 also known as the pyruvate dehydrogenase E1 alpha subunit plays a mechanical role in cellular metabolism. It forms part of the larger pyruvate dehydrogenase (PDH) complex where it serves as a critical catalytic component. PDHA1 is expressed ubiquitously across different tissue types reflecting its fundamental function in energy production. The molecular weight of the PDHA1 protein is approximately 43 kDa. Alternate names for this protein include the PDH E1 component and it partners closely with other components in the PDH complex to facilitate its role.
Biological function summary

PDHA1 engages in the conversion of pyruvate into acetyl-CoA an important step in cellular respiration. This protein is part of the PDH complex which consists of multiple copies of three catalytic and two regulatory subunits. The conversion process is essential for linking glycolysis to the citric acid cycle efficiently channeling energy substrates within the cell. Furthermore the functional activity of PDHA1 is regulated through phosphorylation by the pyruvate dehydrogenase kinases (PDKs) and dephosphorylation by PDH phosphatases.

Pathways

PDHA1 is integral to the metabolic pathway of cellular respiration and energy production. It enables the transition between glycolysis and the citric acid cycle by facilitating the conversion of pyruvate to acetyl-CoA which enters the citric acid cycle. Related proteins in this pathway include PDHA2 and the regulatory PDKs that modulate PDHA1 activity. These interactions ensure energy metabolism adapts to various cellular conditions influencing energy balance and substrate utilization.

Mutations or dysfunctions in PDHA1 can lead to disorders such as pyruvate dehydrogenase deficiency and Leigh syndrome. These conditions result from impaired energy metabolism leading to severe neurological symptoms and overall energy deficits in tissues with high metabolic demands. The link between PDHA1 and diseases highlights the importance of maintaining its function. Additionally altered interaction with proteins involved in phosphorylation such as the PDKs can exacerbate pathogenic conditions by further disbalancing metabolic activities.

Product protocols

For this product, it's our understanding that no specific protocols are required. You can visit:

Target data

The pyruvate dehydrogenase complex catalyzes the overall conversion of pyruvate to acetyl-CoA and CO(2), and thereby links the glycolytic pathway to the tricarboxylic cycle.
See full target information PDHA1

Publications (7)

Recent publications for all applications. Explore the full list and refine your search

Journal of molecular and cellular cardiology 164:136-147 PubMed34923199

2021

A roadmap for the characterization of energy metabolism in human cardiomyocytes derived from induced pluripotent stem cells.

Applications

Unspecified application

Species

Unspecified reactive species

Giulia Emanuelli,Anna Zoccarato,Christina M Reumiller,Angelos Papadopoulos,Mei Chong,Sabine Rebs,Kai Betteridge,Matteo Beretta,Katrin Streckfuss-Bömeke,Ajay M Shah

Journal of molecular and cellular cardiology 158:38-48 PubMed34023353

2021

Dimethyl fumarate preserves left ventricular infarct integrity following myocardial infarction via modulation of cardiac macrophage and fibroblast oxidative metabolism.

Applications

Unspecified application

Species

Unspecified reactive species

Alan J Mouton,Elizabeth R Flynn,Sydney P Moak,Nikaela M Aitken,Ana C M Omoto,Xuan Li,Alexandre A da Silva,Zhen Wang,Jussara M do Carmo,John E Hall

Journal of the American Heart Association 10:e018212 PubMed33666098

2021

Interaction of Obesity and Hypertension on Cardiac Metabolic Remodeling and Survival Following Myocardial Infarction.

Applications

Unspecified application

Species

Unspecified reactive species

Alan J Mouton,Elizabeth R Flynn,Sydney P Moak,Xuan Li,Alexandre A da Silva,Zhen Wang,Jussara M do Carmo,Michael E Hall,John E Hall

Frontiers in cell and developmental biology 8:660 PubMed32850799

2020

Mitochondrial Proteome of Affected Glutamatergic Neurons in a Mouse Model of Leigh Syndrome.

Applications

Unspecified application

Species

Unspecified reactive species

Alejandro Gella,Patricia Prada-Dacasa,Montserrat Carrascal,Andrea Urpi,Melania González-Torres,Joaquin Abian,Elisenda Sanz,Albert Quintana

Biochimica et biophysica acta. Molecular and cell 1863:734-749 PubMed29653252

2018

Inactivation of ceramide synthase 2 catalytic activity in mice affects transcription of genes involved in lipid metabolism and cell division.

Applications

WB

Species

Unspecified reactive species

Andreas Bickert,Paul Kern,Martina van Uelft,Stefanie Herresthal,Thomas Ulas,Katharina Gutbrod,Bernadette Breiden,Joachim Degen,Konrad Sandhoff,Joachim L Schultze,Peter Dörmann,Dieter Hartmann,Reinhard Bauer,Klaus Willecke

Cell systems 5:564-577.e12 PubMed29128334

2017

A Map of Human Mitochondrial Protein Interactions Linked to Neurodegeneration Reveals New Mechanisms of Redox Homeostasis and NF-κB Signaling.

Applications

Unspecified application

Species

Unspecified reactive species

Ramy H Malty,Hiroyuki Aoki,Ashwani Kumar,Sadhna Phanse,Shahreen Amin,Qingzhou Zhang,Zoran Minic,Florian Goebels,Gabriel Musso,Zhuoran Wu,Hosam Abou-Tok,Michael Meyer,Viktor Deineko,Sandy Kassir,Vishaldeep Sidhu,Matthew Jessulat,Nichollas E Scott,Xuejian Xiong,James Vlasblom,Bhanu Prasad,Leonard J Foster,Tiziana Alberio,Barbara Garavaglia,Haiyuan Yu,Gary D Bader,Ken Nakamura,John Parkinson,Mohan Babu

The Journal of biological chemistry 288:19739-49 PubMed23689508

2013

Impact of peripheral ketolytic deficiency on hepatic ketogenesis and gluconeogenesis during the transition to birth.

Applications

Unspecified application

Species

Unspecified reactive species

David G Cotter,Baris Ercal,D André d'Avignon,Dennis J Dietzen,Peter A Crawford
View all publications

Product promise

We are committed to supporting your work with high-quality reagents, and we're here for you every step of the way. In the unlikely event that one of our products does not perform as expected, you're protected by our Product Promise.
For full details, please see our Terms & Conditions

Please note: All products are 'FOR RESEARCH USE ONLY. NOT FOR USE IN DIAGNOSTIC OR THERAPEUTIC PROCEDURES'.

For licensing inquiries, please contact partnerships@abcam.com