JavaScript is disabled in your browser. Please enable JavaScript to view this website.
AB249188

Anti-PDHA1 antibody [EPR11099] - BSA and Azide free

Be the first to review this product! Submit a review

|

(1 Publication)

Rabbit Recombinant Monoclonal PDHA1 antibody. Carrier free. Suitable for IHC-P, ICC/IF, WB, Flow Cyt (Intra) and reacts with Human, Mouse, Rat samples. Cited in 1 publication.

View Alternative Names

PHE1A, PDHA1, PDHE1-A type I

5 Images
Flow Cytometry (Intracellular) - Anti-PDHA1 antibody [EPR11099] - BSA and Azide free (AB249188)
  • Flow Cyt (Intra)

Unknown

Flow Cytometry (Intracellular) - Anti-PDHA1 antibody [EPR11099] - BSA and Azide free (AB249188)

This data was developed using ab155096, the same antibody clone in a different buffer formulation.Overlay histogram showing HeLa cells stained with ab155096 (red line). The cells were fixed with 80% methanol (5 min) and then permeabilized with 0.1% PBS-Tween for 20 min. The cells were then incubated in 1x PBS / 10% normal goat serum / 0.3M glycine to block non-specific protein-protein interactions followed by the antibody (ab155096, 1/10000 dilution) for 30 min at 22°C. The secondary antibody used was Alexa Fluor® 488 goat anti-rabbit IgG (H&L) (ab150077) at 1/2000 dilution for 30 min at 22°C. Isotype control antibody (black line) was rabbit IgG (monoclonal) (0.1μg/1x106 cells) used under the same conditions. Unlabelled sample (blue line) was also used as a control. Acquisition of >5,000 events were collected using a 20mW Argon ion laser (488nm) and 525/30 bandpass filter.

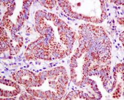
Immunohistochemistry (Formalin/PFA-fixed paraffin-embedded sections) - Anti-PDHA1 antibody [EPR11099] - BSA and Azide free (AB249188)
  • IHC-P

Unknown

Immunohistochemistry (Formalin/PFA-fixed paraffin-embedded sections) - Anti-PDHA1 antibody [EPR11099] - BSA and Azide free (AB249188)

This data was developed using ab155096, the same antibody clone in a different buffer formulation.Immunohistochemical analysis of paraffin-embedded Human thyroid carcinoma tissue labeling PDHA1 with ab155096 at 1/50 dilution. Perform heat mediated antigen retrieval before commencing with IHC staining protocol.

Western blot - Anti-PDHA1 antibody [EPR11099] - BSA and Azide free (AB249188)
  • WB

Unknown

Western blot - Anti-PDHA1 antibody [EPR11099] - BSA and Azide free (AB249188)

This data was developed using ab155096, the same antibody clone in a different buffer formulation.

All lanes:

Western blot - Anti-PDHA1 antibody [EPR11099] (<a href='/en-us/products/primary-antibodies/pdha1-antibody-epr11099-ab155096'>ab155096</a>) at 1/1000 dilution

Lane 1:

HepG2 cell lysate at 10 µg

Lane 2:

293T cell lysate at 10 µg

Lane 3:

HeLa cell lysate at 10 µg

Lane 4:

Jurkat cell lysate at 10 µg

Secondary

All lanes:

Goat anti-rabbit HRP conjugated at 1/2000 dilution

Predicted band size: 43 kDa

false

Western blot - Anti-PDHA1 antibody [EPR11099] - BSA and Azide free (AB249188)
  • WB

Lab

Western blot - Anti-PDHA1 antibody [EPR11099] - BSA and Azide free (AB249188)

This data was developed using ab155096, the same antibody clone in a different buffer formulation.

Lanes 1 - 3 : Merged signal (red and green). Green - ab155096 observed at 43 kDa. Red - loading control, ab130007, observed at 130 kDa.

ab155096 was shown to recognize PDHA1 in wild-type HeLa cells as signal was lost at the expected MW in PDHA1 knockout cells. Additional cross-reactive bands were observed in the wild-type and knockout cells. Wild-type and PDHA1 knockout samples were subjected to SDS-PAGE. The membrane was blocked with 3% Milk. ab155096 and ab130007 (Mouse anti-Vinculin loading control) were incubated overnight at 4°C at 1/1000 dilution and 1/20000 dilution respectively. Blots were developed with Goat anti-Rabbit IgG H&L (IRDye® 800CW) preabsorbed ab216773 and Goat anti-Mouse IgG H&L (IRDye® 680RD) preabsorbed ab216776 secondary antibodies at 1/20000 dilution for 1 hour at room temperature before imaging.

All lanes:

Western blot - Anti-PDHA1 antibody [EPR11099] (<a href='/en-us/products/primary-antibodies/pdha1-antibody-epr11099-ab155096'>ab155096</a>) at 1/1000 dilution

Lane 1:

Wild-type HeLa whole cell lysate at 20 µg

Lane 2:

PDHA1 knockout HeLa whole cell lysate at 20 µg

Lane 3:

HEK-293 whole cell lysate at 20 µg

Predicted band size: 43 kDa

Observed band size: 43 kDa

false

Immunocytochemistry/ Immunofluorescence - Anti-PDHA1 antibody [EPR11099] - BSA and Azide free (AB249188)
  • ICC/IF

Unknown

Immunocytochemistry/ Immunofluorescence - Anti-PDHA1 antibody [EPR11099] - BSA and Azide free (AB249188)

This data was developed using ab155096, the same antibody clone in a different buffer formulation.

Immunofluorescent analysis of HeLa cells labeling PDHA1 with ab155096 at 1/250 dilution.

Key facts

Host species

Rabbit

Clonality

Monoclonal

Clone number

EPR11099

Isotype

IgG

Carrier free

Yes

Reacts with

Human

Applications

Flow Cyt (Intra), WB, ICC/IF, IHC-P

applications

Immunogen

The exact immunogen used to generate this antibody is proprietary information.

Reactivity data

{ "title": "Reactivity Data", "filters": { "stats": ["", "Species", "Dilution Info", "Notes"], "tabs": { "all-applications": {"fullname" : "All Applications", "shortname": "All Applications"}, "IHCP" : {"fullname" : "Immunohistochemistry (Formalin/PFA-fixed paraffin-embedded sections)", "shortname":"IHC-P"}, "ICCIF" : {"fullname" : "Immunocytochemistry/ Immunofluorescence", "shortname":"ICC/IF"}, "WB" : {"fullname" : "Western blot", "shortname":"WB"}, "FlowCytIntra" : {"fullname" : "Flow Cytometry (Intracellular)", "shortname":"Flow Cyt (Intra)"} }, "product-promise": { "all": "all", "testedAndGuaranteed": "tested", "guaranteed": "expected", "predicted": "predicted", "notRecommended": "not-recommended" } }, "values": { "Human": { "IHCP-species-checked": "testedAndGuaranteed", "IHCP-species-dilution-info": "", "IHCP-species-notes": "<p></p>", "ICCIF-species-checked": "testedAndGuaranteed", "ICCIF-species-dilution-info": "", "ICCIF-species-notes": "<p></p>", "WB-species-checked": "testedAndGuaranteed", "WB-species-dilution-info": "", "WB-species-notes": "<p></p>", "FlowCytIntra-species-checked": "testedAndGuaranteed", "FlowCytIntra-species-dilution-info": "", "FlowCytIntra-species-notes": "<p></p>" }, "Mouse": { "IHCP-species-checked": "predicted", "IHCP-species-dilution-info": "", "IHCP-species-notes": "", "ICCIF-species-checked": "predicted", "ICCIF-species-dilution-info": "", "ICCIF-species-notes": "", "WB-species-checked": "guaranteed", "WB-species-dilution-info": "", "WB-species-notes": "<p></p>", "FlowCytIntra-species-checked": "predicted", "FlowCytIntra-species-dilution-info": "", "FlowCytIntra-species-notes": "" }, "Rat": { "IHCP-species-checked": "predicted", "IHCP-species-dilution-info": "", "IHCP-species-notes": "", "ICCIF-species-checked": "predicted", "ICCIF-species-dilution-info": "", "ICCIF-species-notes": "", "WB-species-checked": "guaranteed", "WB-species-dilution-info": "", "WB-species-notes": "<p></p>", "FlowCytIntra-species-checked": "predicted", "FlowCytIntra-species-dilution-info": "", "FlowCytIntra-species-notes": "" } } }

Product details

ab249188 is the carrier-free version of ab155096.

Patented technology
Our RabMAb® technology is a patented hybridoma-based technology for making rabbit monoclonal antibodies. For details on our patents, please refer to RabMAb® patents.

What are the advantages of a recombinant monoclonal antibody?
This product is a recombinant monoclonal antibody, which offers several advantages including:

  • - High batch-to-batch consistency and reproducibility
  • - Improved sensitivity and specificity
  • - Long-term security of supply
  • - Animal-free batch production

For more information, read more on recombinant antibodies.

Conjugation ready
Our carrier-free antibodies are typically supplied in a PBS-only formulation, purified and free of BSA, sodium azide and glycerol. This conjugation-ready format is designed for use with fluorochromes, metal isotopes, oligonucleotides, and enzymes, which makes them ideal for antibody labelling, functional and cell-based assays, flow-based assays (e.g. mass cytometry) and Multiplex Imaging applications.

Use our conjugation kits for antibody conjugates that are ready-to-use in as little as 20 minutes with 1 minute hands-on-time and 100% antibody recovery: available for fluorescent dyes, HRP, biotin and gold.

Compatibility
This product is compatible with the Maxpar® Antibody Labeling Kit from Fluidigm, without the need for antibody preparation. Maxpar® is a trademark of Fluidigm Canada Inc.

Properties and storage information

Form
Liquid
Purification technique
Affinity purification
Storage buffer
pH: 7.2 - 7.4 Constituents: PBS
Shipped at conditions
Blue Ice
Appropriate short-term storage conditions
+4°C
Appropriate long-term storage conditions
+4°C
Storage information
Do Not Freeze

Supplementary information

This supplementary information is collated from multiple sources and compiled automatically.

PDHA1 also known as the pyruvate dehydrogenase E1 alpha subunit plays a mechanical role in cellular metabolism. It forms part of the larger pyruvate dehydrogenase (PDH) complex where it serves as a critical catalytic component. PDHA1 is expressed ubiquitously across different tissue types reflecting its fundamental function in energy production. The molecular weight of the PDHA1 protein is approximately 43 kDa. Alternate names for this protein include the PDH E1 component and it partners closely with other components in the PDH complex to facilitate its role.
Biological function summary

PDHA1 engages in the conversion of pyruvate into acetyl-CoA an important step in cellular respiration. This protein is part of the PDH complex which consists of multiple copies of three catalytic and two regulatory subunits. The conversion process is essential for linking glycolysis to the citric acid cycle efficiently channeling energy substrates within the cell. Furthermore the functional activity of PDHA1 is regulated through phosphorylation by the pyruvate dehydrogenase kinases (PDKs) and dephosphorylation by PDH phosphatases.

Pathways

PDHA1 is integral to the metabolic pathway of cellular respiration and energy production. It enables the transition between glycolysis and the citric acid cycle by facilitating the conversion of pyruvate to acetyl-CoA which enters the citric acid cycle. Related proteins in this pathway include PDHA2 and the regulatory PDKs that modulate PDHA1 activity. These interactions ensure energy metabolism adapts to various cellular conditions influencing energy balance and substrate utilization.

Mutations or dysfunctions in PDHA1 can lead to disorders such as pyruvate dehydrogenase deficiency and Leigh syndrome. These conditions result from impaired energy metabolism leading to severe neurological symptoms and overall energy deficits in tissues with high metabolic demands. The link between PDHA1 and diseases highlights the importance of maintaining its function. Additionally altered interaction with proteins involved in phosphorylation such as the PDKs can exacerbate pathogenic conditions by further disbalancing metabolic activities.

Product protocols

For this product, it's our understanding that no specific protocols are required. You can visit:

Target data

The pyruvate dehydrogenase complex catalyzes the overall conversion of pyruvate to acetyl-CoA and CO(2), and thereby links the glycolytic pathway to the tricarboxylic cycle.
See full target information PDHA1

Publications (1)

Recent publications for all applications. Explore the full list and refine your search

International journal of clinical and experimental 13:2973-2983 PubMed33425098

2020

Adsorption of miR-218 by lncRNA HOTAIR regulates PDE7A and affects glioma cell proliferation, invasion, and apoptosis.

Applications

Unspecified application

Species

Unspecified reactive species

Yigong Wei,Kun Zhou,Cheng Wang,Xiaolin Du,Qing Xiao,Changyi Chen
View all publications

Product promise

We are committed to supporting your work with high-quality reagents, and we're here for you every step of the way. In the unlikely event that one of our products does not perform as expected, you're protected by our Product Promise.
For full details, please see our Terms & Conditions

Please note: All products are 'FOR RESEARCH USE ONLY. NOT FOR USE IN DIAGNOSTIC OR THERAPEUTIC PROCEDURES'.

For licensing inquiries, please contact partnerships@abcam.com