JavaScript is disabled in your browser. Please enable JavaScript to view this website.
AB325184

Anti-PDHA1 (phospho S232) antibody [EPR29825-102] – BSA and Azide free

Be the first to review this product! Submit a review

|

(0 Publication)

Rabbit Recombinant Monoclonal PDHA1 phospho S232 antibody. Carrier free. Suitable for Dot, ICC/IF, IHC-P, WB and reacts with Synthetic peptide - Human, Human, Mouse samples.

View Alternative Names

PHE1A, PDHA1, PDHE1-A type I

15 Images
Immunohistochemistry (Formalin/PFA-fixed paraffin-embedded sections) - Anti-PDHA1 (phospho S232) antibody [EPR29825-102] – BSA and Azide free (AB325184)
  • IHC-P

Supplier Data

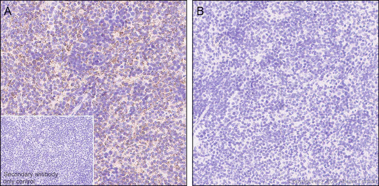
Immunohistochemistry (Formalin/PFA-fixed paraffin-embedded sections) - Anti-PDHA1 (phospho S232) antibody [EPR29825-102] – BSA and Azide free (AB325184)

This data was developed using ab325169, the same antibody clone in a different buffer formulation.

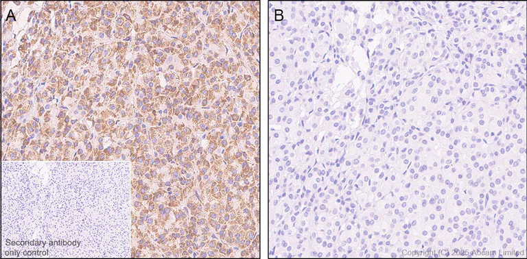
Immunohistochemical analysis of paraffin-embedded Human spleen tissue labeling PDHA1 (phospho S232) with ab325169 at 1/500 (1.05 ug/ml) dilution, followed by a ready to use Rabbit specific IHC polymer detection kit HRP/DAB (ab209101).

Positive staining on (A) human spleen without Lambda Protein phosphatase treatment; no staining on (B) human spleen with Lambda Protein phosphatase treatment. The primary antibody was incubated for 30 mins at room temperature.
The immunostaining was performed on a Leica Biosystems BOND® RX instrument

Counterstained with Hematoxylin.

Secondary antibody only control : Secondary antibody is a ready to use Rabbit specific IHC polymer detection kit HRP/DAB (ab209101).

Heat mediated antigen retrieval was performed with Tris-EDTA buffer (pH 9.0, Epitope Retrieval Solution2) for 20 mins

Immunohistochemistry (Formalin/PFA-fixed paraffin-embedded sections) - Anti-PDHA1 (phospho S232) antibody [EPR29825-102] – BSA and Azide free (AB325184)
  • IHC-P

Supplier Data

Immunohistochemistry (Formalin/PFA-fixed paraffin-embedded sections) - Anti-PDHA1 (phospho S232) antibody [EPR29825-102] – BSA and Azide free (AB325184)

This data was developed using ab325169, the same antibody clone in a different buffer formulation.

Immunohistochemical analysis of paraffin-embedded (A) Wild type A549 (untreated with Lambda Protein phosphatase); (B) A549 (human lung carcinoma epithelial cell) treated with 100ng/ml Calyculin A for 10min (untreated with Lambda Protein phosphatase); (C) PDHA1 knockout A549 treated with 100ng/ml Calyculin A for 10min (untreated with Lambda Protein phosphatase); (D) Wild type A549 (treated with Lambda Protein phosphatase); (E) A549 (human lung carcinoma epithelial cell) treated with 100ng/ml Calyculin A for 10min (treated with Lambda Protein phosphatase); (F) PDHA1 knockout A549 treated with 100ng/ml Calyculin A for 10min (treated with Lambda Protein phosphatase) labeling PDHA1 (phospho S232) with ab325169 at 1/500 (1.05 ug/ml) dilution, followed by a ready to use Rabbit specific IHC polymer detection kit HRP/DAB (ab209101).

Positive staining on (A) Wild-type A549, with enhanced expression on (B) Wild-type A549 treated with 100ng/ml Calyculin A for 10 min. No staining on (C) PDHA1 knockout A549 treated with 100ng/ml Calyculin A for 10 min. No staining on any cell pellets treated with Lambda Protein phosphatase (D, E and F). The primary antibody was incubated for 30 mins at room temperature.
The immunostaining was performed on a Leica Biosystems BOND® RX instrument

Counterstained with Hematoxylin.

Secondary antibody only control : Secondary antibody is a ready to use Rabbit specific IHC polymer detection kit HRP/DAB (ab209101).

Heat mediated antigen retrieval was performed with Tris-EDTA buffer (pH 9.0, Epitope Retrieval Solution2) for 20 mins

Immunohistochemistry (Formalin/PFA-fixed paraffin-embedded sections) - Anti-PDHA1 (phospho S232) antibody [EPR29825-102] – BSA and Azide free (AB325184)
  • IHC-P

Supplier Data

Immunohistochemistry (Formalin/PFA-fixed paraffin-embedded sections) - Anti-PDHA1 (phospho S232) antibody [EPR29825-102] – BSA and Azide free (AB325184)

This data was developed using ab325169, the same antibody clone in a different buffer formulation.

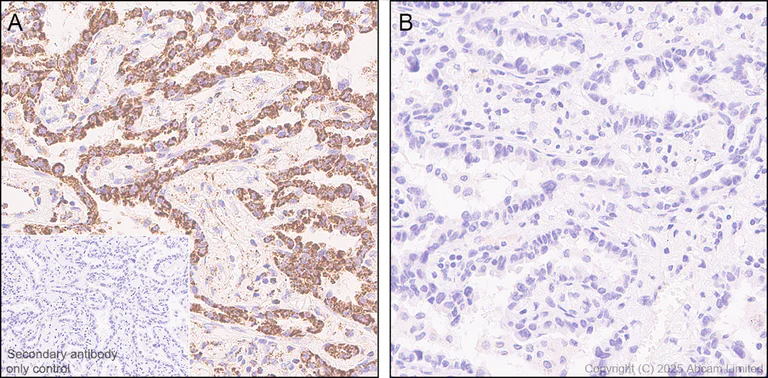
Immunohistochemical analysis of paraffin-embedded Human lung carcinoma tissue labeling PDHA1 (phospho S232) with ab325169 at 1/500 (1.05 ug/ml) dilution, followed by a ready to use Rabbit specific IHC polymer detection kit HRP/DAB (ab209101).

Positive staining on (A) human lung carcinoma without Lambda Protein phosphatase treatment; no staining on (B) human lung carcinoma with Lambda Protein phosphatase treatment. The primary antibody was incubated for 30 mins at room temperature.
The immunostaining was performed on a Leica Biosystems BOND® RX instrument

Counterstained with Hematoxylin.

Secondary antibody only control : Secondary antibody is a ready to use Rabbit specific IHC polymer detection kit HRP/DAB (ab209101).

Heat mediated antigen retrieval was performed with Tris-EDTA buffer (pH 9.0, Epitope Retrieval Solution2) for 20 mins

Immunohistochemistry (Formalin/PFA-fixed paraffin-embedded sections) - Anti-PDHA1 (phospho S232) antibody [EPR29825-102] – BSA and Azide free (AB325184)
  • IHC-P

Supplier Data

Immunohistochemistry (Formalin/PFA-fixed paraffin-embedded sections) - Anti-PDHA1 (phospho S232) antibody [EPR29825-102] – BSA and Azide free (AB325184)

This data was developed using ab325169, the same antibody clone in a different buffer formulation.

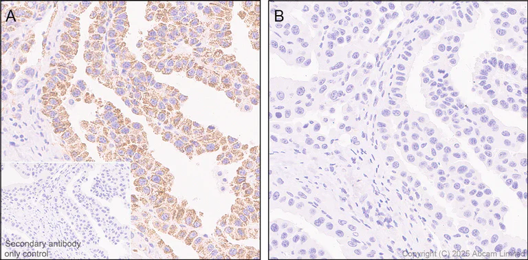
Immunohistochemical analysis of paraffin-embedded Human liver carcinoma tissue labeling PDHA1 (phospho S232) with ab325169 at 1/500 (1.05 ug/ml) dilution, followed by a ready to use Rabbit specific IHC polymer detection kit HRP/DAB (ab209101).

Positive staining on (A) human liver carcinoma without Lambda Protein phosphatase treatment; no staining on (B) human liver carcinoma with Lambda Protein phosphatase treatment. The primary antibody was incubated for 30 mins at room temperature.
The immunostaining was performed on a Leica Biosystems BOND® RX instrument

Counterstained with Hematoxylin.

Secondary antibody only control : Secondary antibody is a ready to use Rabbit specific IHC polymer detection kit HRP/DAB (ab209101).

Heat mediated antigen retrieval was performed with Tris-EDTA buffer (pH 9.0, Epitope Retrieval Solution2) for 20 mins

Immunohistochemistry (Formalin/PFA-fixed paraffin-embedded sections) - Anti-PDHA1 (phospho S232) antibody [EPR29825-102] – BSA and Azide free (AB325184)
  • IHC-P

Supplier Data

Immunohistochemistry (Formalin/PFA-fixed paraffin-embedded sections) - Anti-PDHA1 (phospho S232) antibody [EPR29825-102] – BSA and Azide free (AB325184)

This data was developed using ab325169, the same antibody clone in a different buffer formulation.

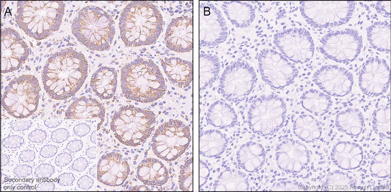
Immunohistochemical analysis of paraffin-embedded Human colon tissue labeling PDHA1 (phospho S232) with ab325169 at 1/500 (1.05 ug/ml) dilution, followed by a ready to use Rabbit specific IHC polymer detection kit HRP/DAB (ab209101).

Positive staining on (A) human colon without Lambda Protein phosphatase treatment; no staining on (B) human colon with Lambda Protein phosphatase treatment. The primary antibody was incubated for 30 mins at room temperature.
The immunostaining was performed on a Leica Biosystems BOND® RX instrument

Counterstained with Hematoxylin.

Secondary antibody only control : Secondary antibody is a ready to use Rabbit specific IHC polymer detection kit HRP/DAB (ab209101).

Heat mediated antigen retrieval was performed with Tris-EDTA buffer (pH 9.0, Epitope Retrieval Solution2) for 20 mins

Immunocytochemistry/ Immunofluorescence - Anti-PDHA1 (phospho S232) antibody [EPR29825-102] – BSA and Azide free (AB325184)
  • ICC/IF

Supplier Data

Immunocytochemistry/ Immunofluorescence - Anti-PDHA1 (phospho S232) antibody [EPR29825-102] – BSA and Azide free (AB325184)

This data was developed using ab325169, the same antibody clone in a different buffer formulation.

Immunofluorescent analysis of 4% Paraformaldehyde-fixed, 0.1% TritonX-100 permeabilized parental A549+CA; parental A549+CA+LP; PDHA1 KO A549+CA; PDHA1 KO A549+CA+LP cells labelling PDHA1 (phospho S232) with ab325169 at 1/50 dilution, followed by ab150081 Goat Anti-Rabbit IgG H&L (Alexa Fluor® 488) preadsorbed antibody at 1/1000 dilution (Green).

Confocal image showing cytoplasmic staining in parental A549 cells treated with Calyculin A (100ng/ml) for 5 mins (shown in green) but no staining in parental A549 cells treated with Calyculin A (100ng/ml) for 5 mins then Lambda Protein Phosphatase treatment 31°C for 2 hours, PDHA1 KO A549 cells treated with Calyculin A (100ng/ml) for 5 mins and PDHA1 KO A549 cells treated with Calyculin A (100ng/ml) for 5 mins then Lambda Protein Phosphatase treatment 31°C for 2 hours. The counterstain was observed in magenta. Nuclear DNA was labeled with DAPI (shown in blue).
A : parental A549 cells treated with Calyculin A (100ng/ml) for 5 mins
B : parental A549 cells treated with Calyculin A (100ng/ml) for 5 mins then Lambda Protein Phosphatase treatment 31°C for 2 hours
C : PDHA1 KO A549 cells treated with Calyculin A (100ng/ml) for 5 mins
D : PDHA1 KO A549 cells treated with Calyculin A (100ng/ml) for 5 mins then Lambda Protein Phosphatase treatment 31°C for 2 hours
Image was taken with a confocal microscope (Leica-Microsystems, TCS SP8).

ab7291 Anti-alpha Tubulin mouse monoclonal antibody was used to counterstain tubulin at 1/1000 dilution (Magenta). The Nuclear counterstain was DAPI (Blue).

-ve control 1 : ab325169 at 1/50 dilution, followed by ab150120 Goat Anti-Mouse IgG H&L (Alexa Fluor® 594) antibody at 1/1000 dilution.
-ve control 2 : ab7291 at 1/1000 dilution, followed by ab150081 Goat Anti-Rabbit IgG H&L (Alexa Fluor® 488) preadsorbed antibody at 1/1000 dilution.

Immunohistochemistry (Formalin/PFA-fixed paraffin-embedded sections) - Anti-PDHA1 (phospho S232) antibody [EPR29825-102] – BSA and Azide free (AB325184)
  • IHC-P

Supplier Data

Immunohistochemistry (Formalin/PFA-fixed paraffin-embedded sections) - Anti-PDHA1 (phospho S232) antibody [EPR29825-102] – BSA and Azide free (AB325184)

This data was developed using ab325169, the same antibody clone in a different buffer formulation.

Immunohistochemical analysis of paraffin-embedded Mouse breast carcinoma tissue labeling PDHA1 (phospho S232) with ab325169 at 1/500 (1.05 ug/ml) dilution, followed by a ready to use Rabbit specific IHC polymer detection kit HRP/DAB (ab209101).

Positive staining on (A) mouse breast carcinoma without Lambda Protein phosphatase treatment; no staining on (B) mouse breast carcinoma with Lambda Protein phosphatase treatment. The primary antibody was incubated for 30 mins at room temperature.
The immunostaining was performed on a Leica Biosystems BOND® RX instrument

Counterstained with Hematoxylin.

Secondary antibody only control : Secondary antibody is a ready to use Rabbit specific IHC polymer detection kit HRP/DAB (ab209101).

Heat mediated antigen retrieval was performed with Tris-EDTA buffer (pH 9.0, Epitope Retrieval Solution2) for 20 mins

Immunohistochemistry (Formalin/PFA-fixed paraffin-embedded sections) - Anti-PDHA1 (phospho S232) antibody [EPR29825-102] – BSA and Azide free (AB325184)
  • IHC-P

Supplier Data

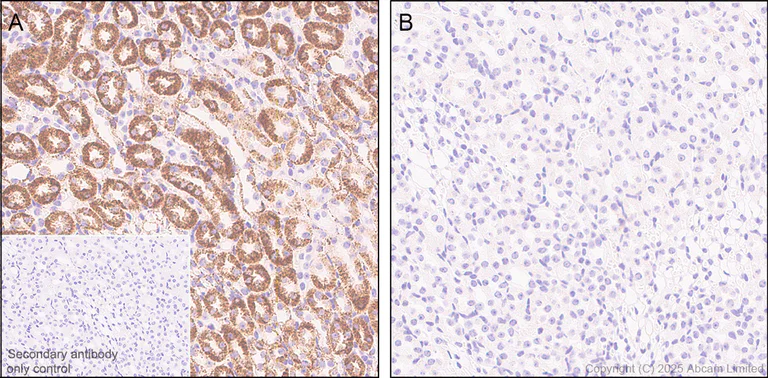
Immunohistochemistry (Formalin/PFA-fixed paraffin-embedded sections) - Anti-PDHA1 (phospho S232) antibody [EPR29825-102] – BSA and Azide free (AB325184)

This data was developed using ab325169, the same antibody clone in a different buffer formulation.

Immunohistochemical analysis of paraffin-embedded Mouse kidney tissue labeling PDHA1 (phospho S232) with ab325169 at 1/500 (1.05 ug/ml) dilution, followed by a ready to use Rabbit specific IHC polymer detection kit HRP/DAB (ab209101).

Positive staining on (A) mouse kidney without Lambda Protein phosphatase treatment; no staining on (B) mouse kidney with Lambda Protein phosphatase treatment. The primary antibody was incubated for 30 mins at room temperature.
The immunostaining was performed on a Leica Biosystems BOND® RX instrument

Counterstained with Hematoxylin.

Secondary antibody only control : Secondary antibody is a ready to use Rabbit specific IHC polymer detection kit HRP/DAB (ab209101).

Heat mediated antigen retrieval was performed with Tris-EDTA buffer (pH 9.0, Epitope Retrieval Solution2) for 20 mins

Immunohistochemistry (Formalin/PFA-fixed paraffin-embedded sections) - Anti-PDHA1 (phospho S232) antibody [EPR29825-102] – BSA and Azide free (AB325184)
  • IHC-P

Supplier Data

Immunohistochemistry (Formalin/PFA-fixed paraffin-embedded sections) - Anti-PDHA1 (phospho S232) antibody [EPR29825-102] – BSA and Azide free (AB325184)

This data was developed using ab325169, the same antibody clone in a different buffer formulation.

Immunohistochemical analysis of paraffin-embedded Mouse spleen tissue labeling PDHA1 (phospho S232) with ab325169 at 1/500 (1.05 ug/ml) dilution, followed by a ready to use Rabbit specific IHC polymer detection kit HRP/DAB (ab209101).

Positive staining on (A) mouse spleen without Lambda Protein phosphatase treatment; no staining on (B) mouse spleen with Lambda Protein phosphatase treatment. The primary antibody was incubated for 30 mins at room temperature.
The immunostaining was performed on a Leica Biosystems BOND® RX instrument

Counterstained with Hematoxylin.

Secondary antibody only control : Secondary antibody is a ready to use Rabbit specific IHC polymer detection kit HRP/DAB (ab209101).

Heat mediated antigen retrieval was performed with Tris-EDTA buffer (pH 9.0, Epitope Retrieval Solution2) for 20 mins

Immunohistochemistry (Formalin/PFA-fixed paraffin-embedded sections) - Anti-PDHA1 (phospho S232) antibody [EPR29825-102] – BSA and Azide free (AB325184)
  • IHC-P

Supplier Data

Immunohistochemistry (Formalin/PFA-fixed paraffin-embedded sections) - Anti-PDHA1 (phospho S232) antibody [EPR29825-102] – BSA and Azide free (AB325184)

This data was developed using ab325169, the same antibody clone in a different buffer formulation.

Immunohistochemical analysis of paraffin-embedded Mouse lung carcinoma tissue labeling PDHA1 (phospho S232) with ab325169 at 1/500 (1.05 ug/ml) dilution, followed by a ready to use Rabbit specific IHC polymer detection kit HRP/DAB (ab209101).

Positive staining on (A) mouse lung carcinoma without Lambda Protein phosphatase treatment; no staining on (B) mouse lung carcinoma with Lambda Protein phosphatase treatment. The primary antibody was incubated for 30 mins at room temperature.
The immunostaining was performed on a Leica Biosystems BOND® RX instrument

Counterstained with Hematoxylin.

Secondary antibody only control : Secondary antibody is a ready to use Rabbit specific IHC polymer detection kit HRP/DAB (ab209101).

Heat mediated antigen retrieval was performed with Tris-EDTA buffer (pH 9.0, Epitope Retrieval Solution2) for 20 mins

Western blot - Anti-PDHA1 (phospho S232) antibody [EPR29825-102] – BSA and Azide free (AB325184)
  • WB

Supplier Data

Western blot - Anti-PDHA1 (phospho S232) antibody [EPR29825-102] – BSA and Azide free (AB325184)

This data was developed using ab325169, the same antibody clone in a different buffer formulation.

Blocking and diluting buffer and concentration : 5% NFDM/TBST.

In Western blot, Anti-COX IV antibody [EPR9442 (ABC)] - Mitochondrial Loading Control - (ab202554) staining at 1/1000 dilution.

All lanes:

Western blot - Anti-PDHA1 (phospho S232) antibody [EPR29825-102] (<a href='/en-us/products/primary-antibodies/pdha1-phospho-s232-antibody-epr29825-102-ab325169'>ab325169</a>) at 1/1000 dilution

Lane 1:

HeLa (human cervical adenocarcinoma epithelial cell) mitochondria fraction at 20 µg

Lane 2:

HeLa non-mitochondrial fraction at 20 µg

Secondary

All lanes:

Western blot - Goat Anti-Rabbit IgG H&L (HRP) (<a href='/en-us/products/secondary-antibodies/goat-rabbit-igg-h-l-hrp-ab97051'>ab97051</a>) at 1/20000 dilution

Observed band size: 43 kDa,17 kDa,36 kDa

false

Exposure time: 26s

Western blot - Anti-PDHA1 (phospho S232) antibody [EPR29825-102] – BSA and Azide free (AB325184)
  • WB

Supplier Data

Western blot - Anti-PDHA1 (phospho S232) antibody [EPR29825-102] – BSA and Azide free (AB325184)

This data was developed using ab325169, the same antibody clone in a different buffer formulation.

Blocking and diluting buffer and concentration : 5% NFDM/TBST.

In Western blot, Anti-PDHA1 antibody [EPR11098] - (ab168379) staining at 1/1000 dilution.

All lanes:

Western blot - Anti-PDHA1 (phospho S232) antibody [EPR29825-102] (<a href='/en-us/products/primary-antibodies/pdha1-phospho-s232-antibody-epr29825-102-ab325169'>ab325169</a>) at 1/1000 dilution

Lane 1:

HeLa (human cervical adenocarcinoma epithelial cell) whole cell lysate (untreated membrane) at 20 µg

Lane 2:

HeLa (human cervical adenocarcinoma epithelial cell) whole cell lysate (Lambda Protein Phosphatase treated membrane) at 20 µg

Secondary

All lanes:

Western blot - Goat Anti-Rabbit IgG H&L (HRP) (<a href='/en-us/products/secondary-antibodies/goat-rabbit-igg-h-l-hrp-ab97051'>ab97051</a>) at 1/20000 dilution

Observed band size: 43 kDa

false

Exposure time: 26s

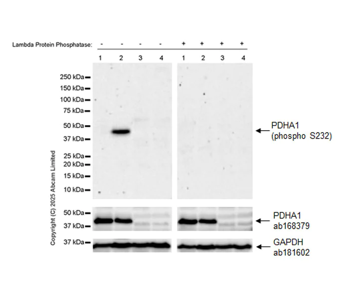
Western blot - Anti-PDHA1 (phospho S232) antibody [EPR29825-102] – BSA and Azide free (AB325184)
  • WB

Supplier Data

Western blot - Anti-PDHA1 (phospho S232) antibody [EPR29825-102] – BSA and Azide free (AB325184)

This data was developed using ab325169, the same antibody clone in a different buffer formulation.

Blocking and diluting buffer and concentration : 5% NFDM/TBST.

Performed under reducing conditions.

In Western blot, ab325169 was shown to bind specifically to PDHA1. Target of interest was observed at 43 kDa in induced wild-type A549 cell lysates (lane 2) with no signal observed at this size in induced PDHA1 knockout cell line (lane 4).

Lanes 1-4 on the left untreated membrane with Lambda Protein Phosphatase; Lanes 1-4 on the right treated membrane with Lambda Protein Phosphatase.

In Western blot, Anti-GAPDH antibody [EPR16891] - Loading Control (ab181602) staining at 1/200000 dilution.

In Western blot, Anti-PDHA1 antibody [EPR11098] - (ab168379) staining at 1/1000 dilution.

All lanes:

Western blot - Anti-PDHA1 (phospho S232) antibody [EPR29825-102] (<a href='/en-us/products/primary-antibodies/pdha1-phospho-s232-antibody-epr29825-102-ab325169'>ab325169</a>) at 1/1000 dilution

Lane 1:

Untreated A549 (human lung carcinoma epithelial cell) whole cell lysate at 20 µg

Lane 2:

A549 treated with 100ng/ml Calyculin A for 30 minutes whole cell lysate at 20 µg

Lane 3:

Untreated PDHA1 knockout A549 whole cell lysate at 20 µg

Lane 4:

PDHA1 knockout A549 treated with 100ng/ml Calyculin A for 30 minutes whole cell lysate at 20 µg

Secondary

All lanes:

Western blot - Goat Anti-Rabbit IgG H&L (HRP) (<a href='/en-us/products/secondary-antibodies/goat-rabbit-igg-h-l-hrp-ab97051'>ab97051</a>) at 1/20000 dilution

Observed band size: 43 kDa,36 kDa

false

Exposure time: 180s

Western blot - Anti-PDHA1 (phospho S232) antibody [EPR29825-102] – BSA and Azide free (AB325184)
  • WB

Supplier Data

Western blot - Anti-PDHA1 (phospho S232) antibody [EPR29825-102] – BSA and Azide free (AB325184)

This data was developed using ab325169, the same antibody clone in a different buffer formulation.

Blocking and diluting buffer and concentration : 5% NFDM/TBST.

In Western blot, Anti-PDHA1 antibody [EPR11098] - (ab168379) staining at 1/1000 dilution.

All lanes:

Western blot - Anti-PDHA1 (phospho S232) antibody [EPR29825-102] (<a href='/en-us/products/primary-antibodies/pdha1-phospho-s232-antibody-epr29825-102-ab325169'>ab325169</a>) at 1/1000 dilution

Lane 1:

Untreated NIH/3T3 (mouse embryonic fibroblast) whole cell lysate (untreated membrane) at 20 µg

Lane 2:

NIH/3T3 treated with 100ng/ml Calyculin A for 30 minutes whole cell lysate (untreated membrane) at 20 µg

Lane 3:

NIH/3T3 treated with 100ng/ml Calyculin A for 30 minutes whole cell lysate (Lambda Protein Phosphatase treated membrane) at 20 µg

Secondary

All lanes:

Western blot - Goat Anti-Rabbit IgG H&L (HRP) (<a href='/en-us/products/secondary-antibodies/goat-rabbit-igg-h-l-hrp-ab97051'>ab97051</a>) at 1/20000 dilution

Observed band size: 43 kDa

false

Exposure time: 10s

Dot Blot - Anti-PDHA1 (phospho S232) antibody [EPR29825-102] – BSA and Azide free (AB325184)
  • Dot

Supplier Data

Dot Blot - Anti-PDHA1 (phospho S232) antibody [EPR29825-102] – BSA and Azide free (AB325184)

This data was developed using ab325169, the same antibody clone in a different buffer formulation.

Dot blot analysis of PDHA1 (phospho S232) using ab325169 at 1 : 1000 (0.525 ug/ml) followed by a Goat Anti-Rabbit IgG, (H+L), Peroxidase conjugated (ab97051) at 1 : 100,000 dilution.

Lane 1 : PDHA1 (phospho S232) peptide
Lane 2 : PDHA1 non-phospho peptide
Lane 3 : PDHA1 (phospho T231) peptide
Lane 4 : PDHA1 (phospho S239) peptide

Exposure time : 180 seconds.

Blocking and diluting buffer and concentration : 5% NFDM/TBST.

All lanes:

Dot Blot - Anti-PDHA1 (phospho S232) antibody [EPR29825-102] (<a href='/en-us/products/primary-antibodies/pdha1-phospho-s232-antibody-epr29825-102-ab325169'>ab325169</a>) at 1/1000 dilution

Lane 1:

PDHA1 (phospho S232) peptide

Lane 2:

PDHA1 non-phospho peptide

Lane 3:

PDHA1 (phospho T231) peptide

Lane 4:

PDHA1 (phospho S239) peptide

Secondary

All lanes:

Dot Blot - Goat Anti-Rabbit IgG H&L (HRP) (<a href='/en-us/products/secondary-antibodies/goat-rabbit-igg-h-l-hrp-ab97051'>ab97051</a>) at 1/100000 dilution

false

Exposure time: 180s

Key facts

Host species

Rabbit

Clonality

Monoclonal

Clone number

EPR29825-102

Isotype

IgG

Carrier free

Yes

Reacts with

Human, Mouse

Applications

Dot, WB, IHC-P, ICC/IF

applications

Immunogen

The exact immunogen used to generate this antibody is proprietary information.

Specificity

Unsuitable for mouse ICC

Reactivity data

{ "title": "Reactivity Data", "filters": { "stats": ["", "Species", "Dilution Info", "Notes"], "tabs": { "all-applications": {"fullname" : "All Applications", "shortname": "All Applications"}, "Dot" : {"fullname" : "Dot Blot", "shortname":"Dot"}, "ICCIF" : {"fullname" : "Immunocytochemistry/ Immunofluorescence", "shortname":"ICC/IF"}, "IHCP" : {"fullname" : "Immunohistochemistry (Formalin/PFA-fixed paraffin-embedded sections)", "shortname":"IHC-P"}, "WB" : {"fullname" : "Western blot", "shortname":"WB"} }, "product-promise": { "all": "all", "testedAndGuaranteed": "tested", "guaranteed": "expected", "predicted": "predicted", "notRecommended": "not-recommended" } }, "values": { "Human": { "Dot-species-checked": "guaranteed", "Dot-species-dilution-info": "", "Dot-species-notes": "", "ICCIF-species-checked": "testedAndGuaranteed", "ICCIF-species-dilution-info": "", "ICCIF-species-notes": "<p></p>", "IHCP-species-checked": "testedAndGuaranteed", "IHCP-species-dilution-info": "", "IHCP-species-notes": "<p></p> Perform heat-mediated antigen retrieval with Tris/EDTA buffer pH 9.0 before commencing with IHC staining protocol.", "WB-species-checked": "testedAndGuaranteed", "WB-species-dilution-info": "", "WB-species-notes": "<p></p>" }, "Mouse": { "Dot-species-checked": "guaranteed", "Dot-species-dilution-info": "", "Dot-species-notes": "", "ICCIF-species-checked": "notRecommended", "ICCIF-species-dilution-info": "", "ICCIF-species-notes": "<p></p>", "IHCP-species-checked": "testedAndGuaranteed", "IHCP-species-dilution-info": "", "IHCP-species-notes": "<p></p> Perform heat-mediated antigen retrieval with Tris/EDTA buffer pH 9.0 before commencing with IHC staining protocol.", "WB-species-checked": "testedAndGuaranteed", "WB-species-dilution-info": "", "WB-species-notes": "<p></p>" }, "Synthetic peptide - Human": { "Dot-species-checked": "testedAndGuaranteed", "Dot-species-dilution-info": "", "Dot-species-notes": "<p></p>", "ICCIF-species-checked": "notRecommended", "ICCIF-species-dilution-info": "", "ICCIF-species-notes": "", "IHCP-species-checked": "notRecommended", "IHCP-species-dilution-info": "", "IHCP-species-notes": "", "WB-species-checked": "notRecommended", "WB-species-dilution-info": "", "WB-species-notes": "" } } }

Product details

ab325184 is the carrier-free version of ab325169

Compatibility
This product is compatible with the Maxpar® Antibody Labeling Kit from Fluidigm, without the need for antibody preparation. Maxpar® is a trademark of Fluidigm Canada Inc.

Conjugation ready
Our carrier-free antibodies are typically supplied in a PBS-only formulation, purified and free of BSA, sodium azide and glycerol. This conjugation-ready format is designed for use with fluorochromes, metal isotopes, oligonucleotides, and enzymes, which makes them ideal for antibody labelling, functional and cell-based assays, flow-based assays (e.g. mass cytometry) and Multiplex Imaging applications.

Use our conjugation kits for antibody conjugates that are ready-to-use in as little as 20 minutes with 1 minute hands-on-time and 100% antibody recovery: available for fluorescent dyes, HRP, biotin and gold.

What are the advantages of a recombinant monoclonal antibody?
This product is a recombinant monoclonal antibody, which offers several advantages including:

  • - High batch-to-batch consistency and reproducibility
  • - Improved sensitivity and specificity
  • - Long-term security of supply
  • - Animal-free batch production

For more information, read more on recombinant antibodies.

Patented technology
Our RabMAb® technology is a patented hybridoma-based technology for making rabbit monoclonal antibodies. For details on our patents, please refer to RabMAb® patents.

Properties and storage information

Form
Liquid
Purification technique
Affinity purification Protein A
Storage buffer
pH: 7.2 - 7.4 Constituents: PBS
Shipped at conditions
Blue Ice
Appropriate short-term storage conditions
+4°C
Appropriate long-term storage conditions
+4°C

Product protocols

For this product, it's our understanding that no specific protocols are required. You can visit:

Target data

The pyruvate dehydrogenase complex catalyzes the overall conversion of pyruvate to acetyl-CoA and CO(2), and thereby links the glycolytic pathway to the tricarboxylic cycle.
See full target information PDHA1 phospho S232

Product promise

We are committed to supporting your work with high-quality reagents, and we're here for you every step of the way. In the unlikely event that one of our products does not perform as expected, you're protected by our Product Promise.
For full details, please see our Terms & Conditions

Please note: All products are 'FOR RESEARCH USE ONLY. NOT FOR USE IN DIAGNOSTIC OR THERAPEUTIC PROCEDURES'.

For licensing inquiries, please contact partnerships@abcam.com