JavaScript is disabled in your browser. Please enable JavaScript to view this website.
AB177461

Anti-PDHA1 (phospho S293) antibody [EPR12200]

5

(2 Reviews)

|

(74 Publications)

Anti-PDHA1 (phospho S293) antibody [EPR12200] (ab177461) is a rabbit monoclonal antibody detecting PDHA1 in Western Blot, IP, IHC-P, ELISA. Suitable for Human, Mouse, Rat.

- Biophysical QC for unrivalled batch-batch consistency
- Over 50 publications

View Alternative Names

PHE1A, PDHA1, PDHE1-A type I

13 Images
Immunohistochemistry (Formalin/PFA-fixed paraffin-embedded sections) - Anti-PDHA1 (phospho S293) antibody [EPR12200] (AB177461)
  • IHC-P

Supplier Data

Immunohistochemistry (Formalin/PFA-fixed paraffin-embedded sections) - Anti-PDHA1 (phospho S293) antibody [EPR12200] (AB177461)

Immunohistochemical analysis of paraffin-embedded human colon tissue labeling PDHA1 with unpurified ab177461 at 1/50 dilution. Heat mediated antigen retrieval was performed using citrate buffer pH 6 before commencing with IHC staining protocol.

Immunohistochemistry (Formalin/PFA-fixed paraffin-embedded sections) - Anti-PDHA1 (phospho S293) antibody [EPR12200] (AB177461)
  • IHC-P

Supplier Data

Immunohistochemistry (Formalin/PFA-fixed paraffin-embedded sections) - Anti-PDHA1 (phospho S293) antibody [EPR12200] (AB177461)

Immunohistochemical analysis of paraffin-embedded human breast tissue labeling PDHA1 with unpurified ab177461 at 1/50 dilution. Heat mediated antigen retrieval was performed using citrate buffer pH 6 before commencing with IHC staining protocol.

Immunohistochemistry (Formalin/PFA-fixed paraffin-embedded sections) - Anti-PDHA1 (phospho S293) antibody [EPR12200] (AB177461)
  • IHC-P

Unknown

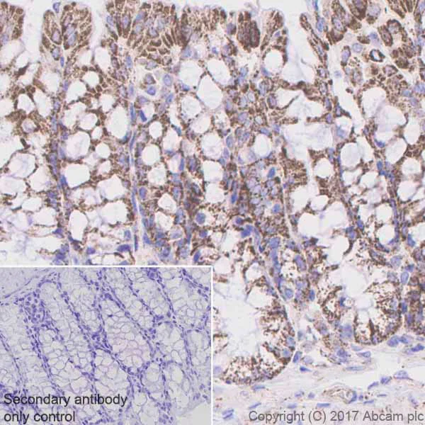
Immunohistochemistry (Formalin/PFA-fixed paraffin-embedded sections) - Anti-PDHA1 (phospho S293) antibody [EPR12200] (AB177461)

Immunohistochemistry (Formalin/PFA-fixed paraffin-embedded sections) analysis of human colon tissue sections labeling PDHA1 with Purified ab177461 at 1 : 250 dilution (0.52 μg/ml). Heat mediated antigen retrieval was performed using ab93684 (Tris/EDTA buffer, pH 9.0). Tissue was counterstained with Hematoxylin. ImmunoHistoProbe one step HRP Polymer (ready to use) secondary antibody was used at 1 : 0 dilution. PBS instead of the primary antibody was used as the negative control.

ELISA - Anti-PDHA1 (phospho S293) antibody [EPR12200] (AB177461)
  • ELISA

Lab

ELISA - Anti-PDHA1 (phospho S293) antibody [EPR12200] (AB177461)

Serially diluted unpurified ab177461 was bound to immobilised human phospho peptide (S293) - or Control peptide (1 microgram x mL-1). The antibody was detected by HRP-labelled goat anti-rabbit IgG (ab97080; diluted 50000 times) and signal was developed with TMB substrate.

Immunoprecipitation - Anti-PDHA1 (phospho S293) antibody [EPR12200] (AB177461)
  • IP

Unknown

Immunoprecipitation - Anti-PDHA1 (phospho S293) antibody [EPR12200] (AB177461)

ab177461 (purified) at 1 : 20 dilution (2μg) immunoprecipitating PDHA1 in HEK-293T (Human epithelial cell line from embryonic kidney transformed with large T antigen) whole cell lysate.
Lane 1 (input) : HEK-293T whole cell lysate 10μg
Lane 2 (+) : ab177461 & HEK-293T whole cell lysate
Lane 3 (-) : Rabbit monoclonal IgG (ab172730) instead of ab177461 in HEK-293T whole cell lysate
For western blotting, VeriBlot for IP Detection Reagent(HRP) (ab131366) was used for detection at 1 : 1000 dilution.
Blocking and diluting buffer : 5% NFDM/TBST.

All lanes:

Immunoprecipitation - Anti-PDHA1 (phospho S293) antibody [EPR12200] (ab177461)

Predicted band size: 43 kDa

false

Immunohistochemistry (Formalin/PFA-fixed paraffin-embedded sections) - Anti-PDHA1 (phospho S293) antibody [EPR12200] (AB177461)
  • IHC-P

Unknown

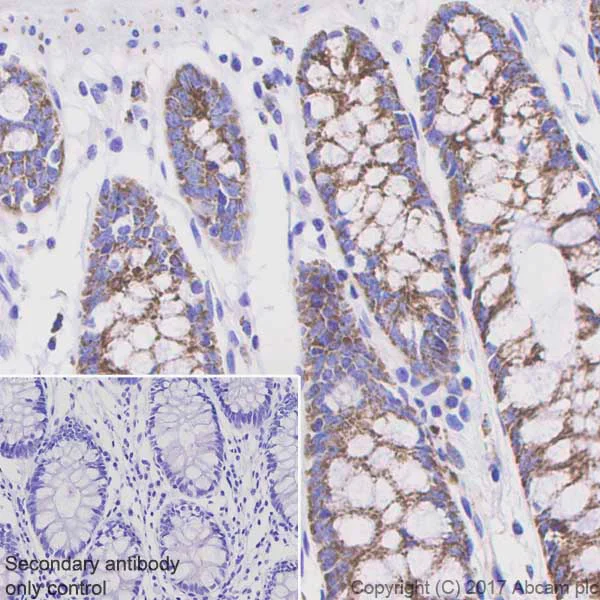
Immunohistochemistry (Formalin/PFA-fixed paraffin-embedded sections) - Anti-PDHA1 (phospho S293) antibody [EPR12200] (AB177461)

Immunohistochemistry (Formalin/PFA-fixed paraffin-embedded sections) analysis of mouse colon tissue sections labeling PDHA1 with Purified ab177461 at 1 : 250 dilution (0.52 μg/ml). Heat mediated antigen retrieval was performed using ab93684 (Tris/EDTA buffer, pH 9.0). Tissue was counterstained with Hematoxylin. ImmunoHistoProbe one step HRP Polymer (ready to use) secondary antibody was used at 1 : 0 dilution. PBS instead of the primary antibody was used as the negative control.

Immunohistochemistry (Formalin/PFA-fixed paraffin-embedded sections) - Anti-PDHA1 (phospho S293) antibody [EPR12200] (AB177461)
  • IHC-P

Unknown

Immunohistochemistry (Formalin/PFA-fixed paraffin-embedded sections) - Anti-PDHA1 (phospho S293) antibody [EPR12200] (AB177461)

Immunohistochemistry (Formalin/PFA-fixed paraffin-embedded sections) analysis of rat colon tissue sections labeling PDHA1 with Purified ab177461 at 1 : 250 dilution (0.52 μg/ml). Heat mediated antigen retrieval was performed using ab93684 (Tris/EDTA buffer, pH 9.0). Tissue was counterstained with Hematoxylin. ImmunoHistoProbe one step HRP Polymer (ready to use) secondary antibody was used at 1 : 0 dilution. PBS instead of the primary antibody was used as the negative control.

Western blot - Anti-PDHA1 (phospho S293) antibody [EPR12200] (AB177461)
  • WB

Lab

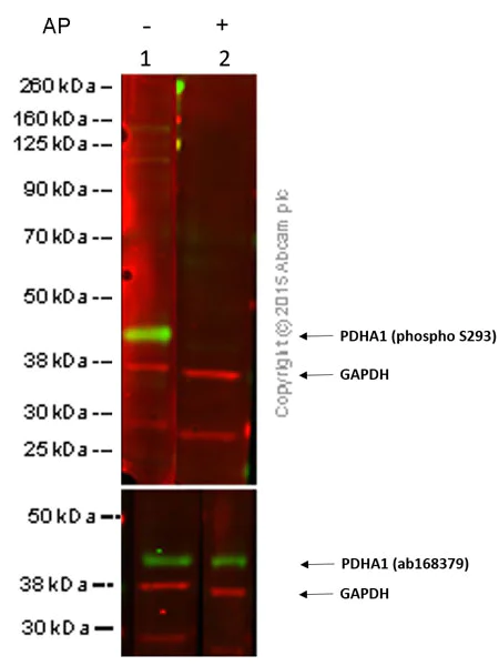
Western blot - Anti-PDHA1 (phospho S293) antibody [EPR12200] (AB177461)

This blot was produced using a 4-12% Bis-tris gel under the MOPS buffer system. The gel was run at 200V for 50 minutes before being transferred onto a Nitrocellulose membrane at 30V for 70 minutes. The membrane was then blocked for an hour and then treated with either buffer (lane 1) or alkaline phosphatase (lane 2), before being incubated with ab177461 overnight at 4°C. Antibody binding was detected using IR-labelled goat anti-rabbit (green) and goat anti-mouse (Red) at 1 : 10,000 dilution for one hour at room temperature before imaging.

All lanes:

Western blot - Anti-PDHA1 (phospho S293) antibody [EPR12200] (ab177461) at 1/1000 dilution

All lanes:

HeLa Whole Cell Lysate + Calyculin A (30nM for 20min) at 20 µg

Secondary

All lanes:

goat anti-rabbit (green) and goat anti-mouse at 1/10000 dilution

Predicted band size: 43 kDa

false

Western blot - Anti-PDHA1 (phospho S293) antibody [EPR12200] (AB177461)
  • WB

Supplier Data

Western blot - Anti-PDHA1 (phospho S293) antibody [EPR12200] (AB177461)

All lanes:

Western blot - Anti-PDHA1 (phospho S293) antibody [EPR12200] (ab177461) at 1/1000 dilution

Lane 1:

HEK-293T cell lysates untreated at 10 µg

Lane 2:

HEK-293T cell lysates, membrane treated with Lambda Phosphatase at 10 µg

Secondary

All lanes:

Goat-anti-rabbit HRP at 1/2000 dilution

Predicted band size: 43 kDa

true

Western blot - Anti-PDHA1 (phospho S293) antibody [EPR12200] (AB177461)
  • WB

Unknown

Western blot - Anti-PDHA1 (phospho S293) antibody [EPR12200] (AB177461)

Blocking and diluting buffer : 5% NFDM/TBST

All lanes:

Western blot - Anti-PDHA1 (phospho S293) antibody [EPR12200] (ab177461) at 1/2000 dilution

Lane 1:

HT-29 (Human colorectal adenocarcinoma epithelial cell) whole cell lysates at 15 µg

Lane 2:

HT-29 (Human colorectal adenocarcinoma epithelial cell) treated with 8 mM Sodium butyrate for 24 hours whole cell lysates at 15 µg

Lane 3:

HT-29 (Human colorectal adenocarcinoma epithelial cell) treated with 8 mM Sodium butyrate for 24 hours whole cell lysates.Then the membrane was incubated with phosphatase at 15 µg

Secondary

All lanes:

Western blot - Goat Anti-Rabbit IgG H&L (HRP) (<a href='/en-us/products/secondary-antibodies/goat-rabbit-igg-h-l-hrp-ab97051'>ab97051</a>) at 1/20000 dilution

Predicted band size: 43 kDa

false

Western blot - Anti-PDHA1 (phospho S293) antibody [EPR12200] (AB177461)
  • WB

Unknown

Western blot - Anti-PDHA1 (phospho S293) antibody [EPR12200] (AB177461)

Blocking and diluting buffer : 5% NFDM/TBST

All lanes:

Western blot - Anti-PDHA1 (phospho S293) antibody [EPR12200] (ab177461) at 1/2000 dilution

Lane 1:

Rat kidney lysates at 15 µg

Lane 2:

Rat kidney lysates.Then the membrane was incubated with phosphatase. at 15 µg

Secondary

All lanes:

Western blot - Goat Anti-Rabbit IgG H&L (HRP) (<a href='/en-us/products/secondary-antibodies/goat-rabbit-igg-h-l-hrp-ab97051'>ab97051</a>) at 1/20000 dilution

Predicted band size: 43 kDa

false

Western blot - Anti-PDHA1 (phospho S293) antibody [EPR12200] (AB177461)
  • WB

Supplier Data

Western blot - Anti-PDHA1 (phospho S293) antibody [EPR12200] (AB177461)

All lanes:

Western blot - Anti-PDHA1 (phospho S293) antibody [EPR12200] (ab177461) at 1/1000 dilution

Lane 1:

Immunoprecipitation pellet from HEK-293T cell lysate at 10 µg

Lane 2:

1X PBS (negative control)

Secondary

All lanes:

Goat-anti-rabbit HRP at 1/2000 dilution

Predicted band size: 43 kDa

true

Western blot - Anti-PDHA1 (phospho S293) antibody [EPR12200] (AB177461)
  • WB

Unknown

Western blot - Anti-PDHA1 (phospho S293) antibody [EPR12200] (AB177461)

All lanes:

Western blot - Anti-PDHA1 (phospho S293) antibody [EPR12200] (ab177461) at 1/2000 dilution

Lane 1:

Mouse kidney lysates at 15 µg

Lane 2:

Mouse kidney lysates.Then the membrane was incubated with phosphatase at 15 µg

Secondary

All lanes:

Western blot - Goat Anti-Rabbit IgG H&L (HRP) (<a href='/en-us/products/secondary-antibodies/goat-rabbit-igg-h-l-hrp-ab97051'>ab97051</a>) at 1/20000 dilution

Predicted band size: 43 kDa

false

  • Carrier free

    Anti-PDHA1 (phospho S293) antibody [EPR12200] - BSA and Azide free

Key facts

Host species

Rabbit

Clonality

Monoclonal

Clone number

EPR12200

Isotype

IgG

Carrier free

No

Reacts with

Mouse, Rat, Human

Applications

ELISA, IHC-P, IP, WB

applications

Immunogen

The exact immunogen used to generate this antibody is proprietary information.

Reactivity data

{ "title": "Reactivity Data", "filters": { "stats": ["", "Species", "Dilution Info", "Notes"], "tabs": { "all-applications": {"fullname" : "All Applications", "shortname": "All Applications"}, "IP" : {"fullname" : "Immunoprecipitation", "shortname":"IP"}, "ELISA" : {"fullname" : "ELISA", "shortname":"ELISA"}, "WB" : {"fullname" : "Western blot", "shortname":"WB"}, "IHCP" : {"fullname" : "Immunohistochemistry (Formalin/PFA-fixed paraffin-embedded sections)", "shortname":"IHC-P"} }, "product-promise": { "all": "all", "testedAndGuaranteed": "tested", "guaranteed": "expected", "predicted": "predicted", "notRecommended": "not-recommended" } }, "values": { "Human": { "IP-species-checked": "testedAndGuaranteed", "IP-species-dilution-info": "1/10 - 1/100", "IP-species-notes": "<p></p>", "ELISA-species-checked": "testedAndGuaranteed", "ELISA-species-dilution-info": "", "ELISA-species-notes": "<p></p>", "WB-species-checked": "testedAndGuaranteed", "WB-species-dilution-info": "1/1000 - 1/5000", "WB-species-notes": "<p></p>", "IHCP-species-checked": "testedAndGuaranteed", "IHCP-species-dilution-info": "1/250", "IHCP-species-notes": "<p><strong>For unpurified use at 1/50 - 1/100. </strong></p> Perform heat-mediated antigen retrieval with Tris/EDTA buffer pH 9.0 before commencing with IHC staining protocol." }, "Mouse": { "IP-species-checked": "guaranteed", "IP-species-dilution-info": "", "IP-species-notes": "", "ELISA-species-checked": "guaranteed", "ELISA-species-dilution-info": "", "ELISA-species-notes": "", "WB-species-checked": "testedAndGuaranteed", "WB-species-dilution-info": "1/1000 - 1/5000", "WB-species-notes": "<p></p>", "IHCP-species-checked": "testedAndGuaranteed", "IHCP-species-dilution-info": "1/250", "IHCP-species-notes": "<p><strong>For unpurified use at 1/50 - 1/100. </strong></p> Perform heat-mediated antigen retrieval with Tris/EDTA buffer pH 9.0 before commencing with IHC staining protocol." }, "Rat": { "IP-species-checked": "guaranteed", "IP-species-dilution-info": "", "IP-species-notes": "", "ELISA-species-checked": "guaranteed", "ELISA-species-dilution-info": "", "ELISA-species-notes": "", "WB-species-checked": "testedAndGuaranteed", "WB-species-dilution-info": "1/1000 - 1/5000", "WB-species-notes": "<p></p>", "IHCP-species-checked": "testedAndGuaranteed", "IHCP-species-dilution-info": "1/250", "IHCP-species-notes": "<p><strong>For unpurified use at 1/50 - 1/100. </strong></p> Perform heat-mediated antigen retrieval with Tris/EDTA buffer pH 9.0 before commencing with IHC staining protocol." } } }

Product details

What is this antibody validated in?
Anti-PDHA1 (phospho S293) antibody [EPR12200] (ab177461) is a rabbit recombinant monoclonal antibody and is validated for use in Western Blot (WB), Immunoprecipitation (IP), Immunohistochemistry (IHC-P), ELISA in Human, Mouse, Rat samples.

What is the molecular weight of PDHA1?
Anti-PDHA1 (phospho S293) [EPR12200] (ab177461) specifically detects a band for PDHA1 (UniProt: P08559) at a molecular weight of 40kDa.

Trusted by the scientific community
Anti-PDHA1 (phospho S293) [EPR12200] (ab177461) was first used in a scientific publication in 2013 and has been cited over 50 times in peer-reviewed journals.

Trial sizes available!
Test your antibody or perform pre-screening before committing to a larger quantity. Sold in 10µl. Discover our selection of trial-size antibodies.

Other related products
We have a range of other formats of antibody clone [EPR12200] also available for your convenience: ab177461, Carrier free - ab227565

Patented technology
Our RabMAb® technology is a patented hybridoma-based technology for making rabbit monoclonal antibodies. For details on our patents, please refer to RabMAb® patents.

What are the advantages of a recombinant monoclonal antibody?
This product is a recombinant monoclonal antibody, which offers several advantages including:

  • - High batch-to-batch consistency and reproducibility
  • - Improved sensitivity and specificity
  • - Long-term security of supply
  • - Animal-free batch production

For more information, read more on recombinant antibodies.

Properties and storage information

Form
Liquid
Purification technique
Affinity purification Protein A
Storage buffer
pH: 7.2 - 7.4 Preservative: 0.01% Sodium azide Constituents: PBS, 40% Glycerol (glycerin, glycerine), 0.05% BSA
Shipped at conditions
Blue Ice
Appropriate short-term storage duration
1-2 weeks
Appropriate short-term storage conditions
+4°C
Appropriate long-term storage conditions
-20°C
Aliquoting information
Upon delivery aliquot
Storage information
Avoid freeze / thaw cycle

Supplementary information

This supplementary information is collated from multiple sources and compiled automatically.

PDHA1 also known as the pyruvate dehydrogenase E1 alpha subunit plays a mechanical role in cellular metabolism. It forms part of the larger pyruvate dehydrogenase (PDH) complex where it serves as a critical catalytic component. PDHA1 is expressed ubiquitously across different tissue types reflecting its fundamental function in energy production. The molecular weight of the PDHA1 protein is approximately 43 kDa. Alternate names for this protein include the PDH E1 component and it partners closely with other components in the PDH complex to facilitate its role.
Biological function summary

PDHA1 engages in the conversion of pyruvate into acetyl-CoA an important step in cellular respiration. This protein is part of the PDH complex which consists of multiple copies of three catalytic and two regulatory subunits. The conversion process is essential for linking glycolysis to the citric acid cycle efficiently channeling energy substrates within the cell. Furthermore the functional activity of PDHA1 is regulated through phosphorylation by the pyruvate dehydrogenase kinases (PDKs) and dephosphorylation by PDH phosphatases.

Pathways

PDHA1 is integral to the metabolic pathway of cellular respiration and energy production. It enables the transition between glycolysis and the citric acid cycle by facilitating the conversion of pyruvate to acetyl-CoA which enters the citric acid cycle. Related proteins in this pathway include PDHA2 and the regulatory PDKs that modulate PDHA1 activity. These interactions ensure energy metabolism adapts to various cellular conditions influencing energy balance and substrate utilization.

Mutations or dysfunctions in PDHA1 can lead to disorders such as pyruvate dehydrogenase deficiency and Leigh syndrome. These conditions result from impaired energy metabolism leading to severe neurological symptoms and overall energy deficits in tissues with high metabolic demands. The link between PDHA1 and diseases highlights the importance of maintaining its function. Additionally altered interaction with proteins involved in phosphorylation such as the PDKs can exacerbate pathogenic conditions by further disbalancing metabolic activities.

Product protocols

For this product, it's our understanding that no specific protocols are required. You can visit:

Target data

Together with PDHB forms the heterotetrameric E1 subunit of the pyruvate dehydrogenase (PDH) complex (PubMed : 17474719, PubMed : 19081061). The PDH complex catalyzes the overall conversion of pyruvate to acetyl-CoA and CO(2), and thereby links cytoplasmic glycolysis and the mitochondrial tricarboxylic acid (TCA) cycle (PubMed : 19081061, PubMed : 7782287). It contains multiple copies of three enzymatic components : pyruvate dehydrogenase (E1), dihydrolipoamide acetyltransferase (E2) and dihydrolipoamide dehydrogenase (E3) (Probable). The E1 subunit catalyzes both the thiamine pyrophosphate (TPP)-dependent decarboxylation of pyruvate and the reductive acetylation of a lipoyl group covalently linked to the lipoyl-bearing domains of E2 (PubMed : 17474719, PubMed : 19081061, PubMed : 7782287).
See full target information PDHA1 phospho S293

Publications (74)

Recent publications for all applications. Explore the full list and refine your search

PLoS genetics 21:e1011602 PubMed41021639

2025

Metabolic coupling of ROS generation and antioxidant synthesis by the GABA shunt pathway in myeloid-like blood progenitor cells of Drosophila.

Applications

Unspecified application

Species

Unspecified reactive species

Manisha Goyal,Sakshi Tiwari,Jagriti Arora,Bruce Cooper,Ramaswamy Subramanian,Tina Mukherjee

Clinical and translational medicine 15:e70404 PubMed40681476

2025

PDK4 and nutrient responses explain muscle specific manifestation in mitochondrial disease.

Applications

Unspecified application

Species

Unspecified reactive species

Swagat Pradhan,Takayuki Mito,Nahid A Khan,Sofiia Olander,Aleksandra Zhaivoron,Thomas G McWilliams,Anu Suomalainen

Nature communications 16:1661 PubMed39955281

2025

FGF21 protects against HFpEF by improving cardiac mitochondrial bioenergetics in mice.

Applications

Unspecified application

Species

Unspecified reactive species

Ke Zhang,Jing Gan,Baile Wang,Wei Lei,Dong Zhen,Jie Yang,Ningrui Wang,Congcong Wen,Xiaotang Gao,Xiaokun Li,Aimin Xu,Xinguang Liu,Yulin Li,Fan Wu,Zhuofeng Lin

International journal of molecular sciences 26: PubMed39796278

2025

Glutaminase-2 Expression Induces Metabolic Changes and Regulates Pyruvate Dehydrogenase Activity in Glioblastoma Cells.

Applications

Unspecified application

Species

Unspecified reactive species

Juan De Los Santos-Jiménez,José A Campos-Sandoval,Tracy Rosales,Bookyung Ko,Francisco J Alonso,Javier Márquez,Ralph J DeBerardinis,José M Matés

Communications biology 7:1701 PubMed39725685

2024

Therapeutic potential of microglial SMEK1 in regulating H3K9 lactylation in cerebral ischemia-reperfusion.

Applications

Unspecified application

Species

Unspecified reactive species

Wei-Yue Si,Chun-Lin Yang,Shu-Li Wei,Tong Du,Liang-Kang Li,Jing Dong,Yang Zhou,Heng Li,Peng Zhang,Qi-Ji Liu,Rui-Sheng Duan,Ruo-Nan Duan

Nature communications 15:9945 PubMed39550366

2024

NOTCH1 mitochondria localization during heart development promotes mitochondrial metabolism and the endothelial-to-mesenchymal transition in mice.

Applications

Unspecified application

Species

Unspecified reactive species

Jie Wang,Rui Zhao,Sha Xu,Xiang-Yu Zhou,Ke Cai,Yu-Ling Chen,Ze-Yu Zhou,Xin Sun,Yan Shi,Feng Wang,Yong-Hao Gui,Hui Tao,Jian-Yuan Zhao

Science advances 10:eado5887 PubMed39454000

2024

Mitochondrial fatty acid oxidation drives senescence.

Applications

Unspecified application

Species

Unspecified reactive species

Shota Yamauchi,Yuki Sugiura,Junji Yamaguchi,Xiangyu Zhou,Satoshi Takenaka,Takeru Odawara,Shunsuke Fukaya,Takao Fujisawa,Isao Naguro,Yasuo Uchiyama,Akiko Takahashi,Hidenori Ichijo

iScience 27:110510 PubMed39175772

2024

BCL2L13 at endoplasmic reticulum-mitochondria contact sites regulates calcium homeostasis to maintain skeletal muscle function.

Applications

Unspecified application

Species

Unspecified reactive species

Dogan Grepper,Cassandra Tabasso,Nadège Zanou,Axel K F Aguettaz,Mauricio Castro-Sepulveda,Dorian V Ziegler,Sylviane Lagarrigue,Yoan Arribat,Adrien Martinotti,Ammar Ebrahimi,Jean Daraspe,Lluis Fajas,Francesca Amati

FEBS open bio 14:1441-1454 PubMed38952051

2024

Extracellular glucose triggers metabolic reprogramming of cultured human bronchial epithelial cells and indirect fibroblast activation.

Applications

Unspecified application

Species

Unspecified reactive species

Sangmi S Park,Rafael Ward,Patrick Geraghty,Itsaso Garcia-Arcos

Theranostics 14:3565-3582 PubMed38948069

2024

A novel selenium analog of HDACi-based twin drug induces apoptosis and cell cycle arrest via CDC25A to improve prostate cancer therapy.

Applications

Unspecified application

Species

Unspecified reactive species

Zhiyong Shi,Miaomiao Liu,Xiaowen Zhang,Jingyang Wang,Junwei Zhang,Zeyan Peng,Li Meng,Ruijing Wang,Lihong Guo,Qiang Zhang,Jing Li,Liang Yang,Jie Liu,Yang Xu,Jie Yan,Jianlin Cui,Shan Ren,Yang Gao,Yanming Wang,Zhi Qi
View all publications

Product promise

We are committed to supporting your work with high-quality reagents, and we're here for you every step of the way. In the unlikely event that one of our products does not perform as expected, you're protected by our Product Promise.
For full details, please see our Terms & Conditions

Please note: All products are 'FOR RESEARCH USE ONLY. NOT FOR USE IN DIAGNOSTIC OR THERAPEUTIC PROCEDURES'.

For licensing inquiries, please contact partnerships@abcam.com