JavaScript is disabled in your browser. Please enable JavaScript to view this website.
AB324275

Anti-PDHA1 (phospho S300) antibody [EPR29824-87] - BSA and Azide free

  • BOND RX™ Validated
  • RabMAb
  • Recombinant
  • KO Validated
  • Advanced Validation
  • What is this?

Be the first to review this product! Submit a review

|

(0 Publication)

Rabbit Recombinant Monoclonal PDHA1 phospho S300 antibody. Carrier free. Suitable for Dot, ICC/IF, IHC-P, WB, mIHC and reacts with Synthetic peptide - Human, Human, Mouse samples.

View Alternative Names

PHE1A, PDHE1-A type I

13 Images
Multiplex immunohistochemistry - Anti-PDHA1 (phospho S300) antibody [EPR29824-87] - BSA and Azide free (AB324275)
  • mIHC

Supplier Data

Multiplex immunohistochemistry - Anti-PDHA1 (phospho S300) antibody [EPR29824-87] - BSA and Azide free (AB324275)

This data was developed using ab324265, the same antibody clone in a different buffer formulation.

Multiplex immunohistochemistry analysis of formalin/PFA-fixed paraffin-embedded human colon tissue staining PDHA1 (phospho S300) with ab324265 at a 1 : 500 (0.994 ug/ml) dilution, ab202554 anti-COX4 used at 1 : 500 (0.228 ug/ml) dilution.

Panel A : merged staining of anti-PDHA1 (phospho S300) (green; Opal™520), anti-COX4 (magenta; Opal™570) on human colon.
Panel B : anti-PDHA1 (phospho S300) showed granular staining in human colon.
Panel C : anti-COX4 showed granular staining in human colon.
Panel D : Nuclear DNA was labeled with DAPI (shown in blue).

The section was incubated in three rounds of staining : in the order of ab324265, ab202554 for 30 mins at room temperature. Each round was followed by a separate fluorescent tyramide signal amplification system.

The immunostaining was performed on a Leica Biosystems BOND® RX instrument with an Opal™ 4-color kit. Image acquisition was performed with Leica SP8 confocal microscope.

Nuclear counter stain with DAPI.

Heat mediated antigen retrieval with Tris-EDTA buffer (pH 9.0, epitope retrieval solution2) for 20 mins.

Immunohistochemistry (Formalin/PFA-fixed paraffin-embedded sections) - Anti-PDHA1 (phospho S300) antibody [EPR29824-87] - BSA and Azide free (AB324275)
  • IHC-P

Supplier Data

Immunohistochemistry (Formalin/PFA-fixed paraffin-embedded sections) - Anti-PDHA1 (phospho S300) antibody [EPR29824-87] - BSA and Azide free (AB324275)

This data was developed using ab324265, the same antibody clone in a different buffer formulation.

Immunohistochemical analysis of paraffin-embedded (A) Human colon without alkaline phosphatase treatment (B) Human colon with alkaline phosphatase treatment tissue labeling PDHA1 (phospho S300) with ab324265 at 1/500 (0.994 ug/ml) dilution, followed by a ready to use Rabbit specific IHC polymer detection kit HRP/DAB (ab209101).

Positive staining on (A) human colon without alkaline phosphatase treatment; negative staining on (B) human colon with alkaline phosphatase treatment. The primary antibody was incubated for 30 mins at room temperature.
The immunostaining was performed on a Leica Biosystems BOND® RX instrument

Counterstained with Hematoxylin.

Secondary antibody only control : Secondary antibody is a ready to use Rabbit specific IHC polymer detection kit HRP/DAB (ab209101).

Heat mediated antigen retrieval was performed with Tris-EDTA buffer (pH 9.0, Epitope Retrieval Solution2) for 20 mins

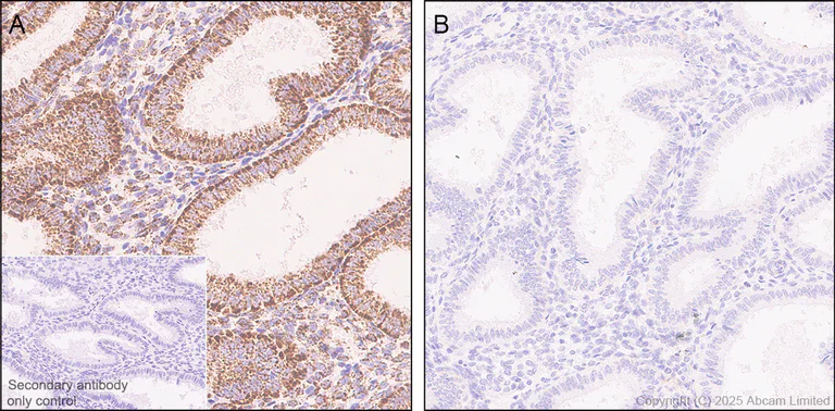
Immunohistochemistry (Formalin/PFA-fixed paraffin-embedded sections) - Anti-PDHA1 (phospho S300) antibody [EPR29824-87] - BSA and Azide free (AB324275)
  • IHC-P

Supplier Data

Immunohistochemistry (Formalin/PFA-fixed paraffin-embedded sections) - Anti-PDHA1 (phospho S300) antibody [EPR29824-87] - BSA and Azide free (AB324275)

This data was developed using ab324265, the same antibody clone in a different buffer formulation.

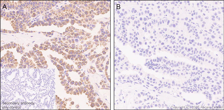
Immunohistochemical analysis of paraffin-embedded (A) Human endometrial carcinoma without alkaline phosphatase treatment (B) Human endometrial carcinoma with alkaline phosphatase treatment tissue labeling PDHA1 (phospho S300) with ab324265 at 1/500 (0.994 ug/ml) dilution, followed by a ready to use Rabbit specific IHC polymer detection kit HRP/DAB (ab209101).

Positive staining on (A) human endometrial carcinoma without alkaline phosphatase treatment; negative staining on (B) human endometrial carcinoma with alkaline phosphatase treatment. The primary antibody was incubated for 30 mins at room temperature.
The immunostaining was performed on a Leica Biosystems BOND® RX instrument

Counterstained with Hematoxylin.

Secondary antibody only control : Secondary antibody is a ready to use Rabbit specific IHC polymer detection kit HRP/DAB (ab209101).

Heat mediated antigen retrieval was performed with Tris-EDTA buffer (pH 9.0, Epitope Retrieval Solution2) for 20 mins

Immunocytochemistry/ Immunofluorescence - Anti-PDHA1 (phospho S300) antibody [EPR29824-87] - BSA and Azide free (AB324275)
  • ICC/IF

Supplier Data

Immunocytochemistry/ Immunofluorescence - Anti-PDHA1 (phospho S300) antibody [EPR29824-87] - BSA and Azide free (AB324275)

This data was developed using ab324265, the same antibody clone in a different buffer formulation.

Immunofluorescent analysis of 4% Paraformaldehyde-fixed, 0.1% TritonX-100 permeabilized PDHA1 KO A549 (PDHA1 knockout human lung carcinoma epithelial cell)(ab261866) cells labelling PDHA1 (phospho S300) with ab324265 at 1/200 (2.485 ug/ml) dilution, followed by ab150081 Goat Anti-Rabbit IgG H&L (Alexa Fluor® 488) preadsorbed antibody at 1/ab150081 1000 2ug/ml dilution (Green).

Confocal image showing cytoplasmic staining in A549 cell line (shown in green) treated with Calyculin A (100 ng/mL) for 30 min, and no staining after alkaline phosphatase (AP) treatment.
A : parental A549 cells
B : parental A549 cells treated with Calyculin A (100 ng/mL) for 30 min
C : parental A549 cells treated with Calyculin A (100 ng/mL) for 30 min after alkaline phosphatase (AP) treatment
D : PDHA1 knockout A549 cells treated with Calyculin A (100 ng/mL) for 30 min
The counterstain was observed in magenta. Nuclear DNA was labelled with DAPI (shown in blue). Image was taken with a confocal microscope (Leica-Microsystems, TCS SP8).

ab7291 Anti-alpha Tubulin mouse monoclonal antibody was used to counterstain tubulin at 1/ab7291 1000 1ug/ml dilution (Magenta). The Nuclear counterstain was DAPI (Blue).

Immunohistochemistry (Formalin/PFA-fixed paraffin-embedded sections) - Anti-PDHA1 (phospho S300) antibody [EPR29824-87] - BSA and Azide free (AB324275)
  • IHC-P

Supplier Data

Immunohistochemistry (Formalin/PFA-fixed paraffin-embedded sections) - Anti-PDHA1 (phospho S300) antibody [EPR29824-87] - BSA and Azide free (AB324275)

This data was developed using ab324265, the same antibody clone in a different buffer formulation.

Immunohistochemical analysis of paraffin-embedded (A) Human endometrium without alkaline phosphatase treatment (B) Human endometrium with alkaline phosphatase treatment tissue labeling PDHA1 (phospho S300) with ab324265 at 1/500 (0.994 ug/ml) dilution, followed by a ready to use Rabbit specific IHC polymer detection kit HRP/DAB (ab209101).

Positive staining on (A) human endometrium without alkaline phosphatase treatment; negative staining on (B) human endometrium with alkaline phosphatase treatment. The primary antibody was incubated for 30 mins at room temperature.
The immunostaining was performed on a Leica Biosystems BOND® RX instrument

Counterstained with Hematoxylin.

Secondary antibody only control : Secondary antibody is a ready to use Rabbit specific IHC polymer detection kit HRP/DAB (ab209101).

Heat mediated antigen retrieval was performed with Tris-EDTA buffer (pH 9.0, Epitope Retrieval Solution2) for 20 mins

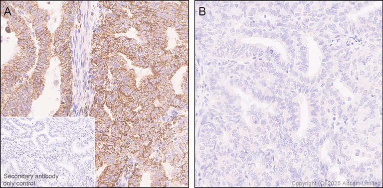
Immunohistochemistry (Formalin/PFA-fixed paraffin-embedded sections) - Anti-PDHA1 (phospho S300) antibody [EPR29824-87] - BSA and Azide free (AB324275)
  • IHC-P

Supplier Data

Immunohistochemistry (Formalin/PFA-fixed paraffin-embedded sections) - Anti-PDHA1 (phospho S300) antibody [EPR29824-87] - BSA and Azide free (AB324275)

This data was developed using ab324265, the same antibody clone in a different buffer formulation.

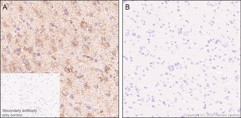
Immunohistochemical analysis of paraffin-embedded (A) Human astrocytoma without alkaline phosphatase treatment (B) Human astrocytoma with alkaline phosphatase treatment tissue labeling PDHA1 (phospho S300) with ab324265 at 1/500 (0.994 ug/ml) dilution, followed by a ready to use Rabbit specific IHC polymer detection kit HRP/DAB (ab209101).

Positive staining on (A) human astrocytoma without alkaline phosphatase treatment; negative staining on (B) human astrocytoma with alkaline phosphatase treatment. The primary antibody was incubated for 30 mins at room temperature.
The immunostaining was performed on a Leica Biosystems BOND® RX instrument

Counterstained with Hematoxylin.

Secondary antibody only control : Secondary antibody is a ready to use Rabbit specific IHC polymer detection kit HRP/DAB (ab209101).

Heat mediated antigen retrieval was performed with Tris-EDTA buffer (pH 9.0, Epitope Retrieval Solution2) for 20 mins

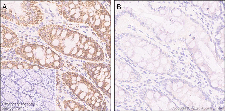
Immunohistochemistry (Formalin/PFA-fixed paraffin-embedded sections) - Anti-PDHA1 (phospho S300) antibody [EPR29824-87] - BSA and Azide free (AB324275)
  • IHC-P

Supplier Data

Immunohistochemistry (Formalin/PFA-fixed paraffin-embedded sections) - Anti-PDHA1 (phospho S300) antibody [EPR29824-87] - BSA and Azide free (AB324275)

This data was developed using ab324265, the same antibody clone in a different buffer formulation.

Immunohistochemical analysis of paraffin-embedded (A) Mouse colon without alkaline phosphatase treatment (B) Mouse colon with alkaline phosphatase treatment tissue labeling PDHA1 (phospho S300) with ab324265 at 1/500 (0.994 ug/ml) dilution, followed by a ready to use Rabbit specific IHC polymer detection kit HRP/DAB (ab209101).

Positive staining on (A) mouse colon without alkaline phosphatase treatment; negative staining on (B) mouse colon with alkaline phosphatase treatment. The primary antibody was incubated for 30 mins at room temperature.
The immunostaining was performed on a Leica Biosystems BOND® RX instrument

Counterstained with Hematoxylin.

Secondary antibody only control : Secondary antibody is a ready to use Rabbit specific IHC polymer detection kit HRP/DAB (ab209101).

Heat mediated antigen retrieval was performed with Tris-EDTA buffer (pH 9.0, Epitope Retrieval Solution2) for 20 mins

Immunohistochemistry (Formalin/PFA-fixed paraffin-embedded sections) - Anti-PDHA1 (phospho S300) antibody [EPR29824-87] - BSA and Azide free (AB324275)
  • IHC-P

Supplier Data

Immunohistochemistry (Formalin/PFA-fixed paraffin-embedded sections) - Anti-PDHA1 (phospho S300) antibody [EPR29824-87] - BSA and Azide free (AB324275)

This data was developed using ab324265, the same antibody clone in a different buffer formulation.

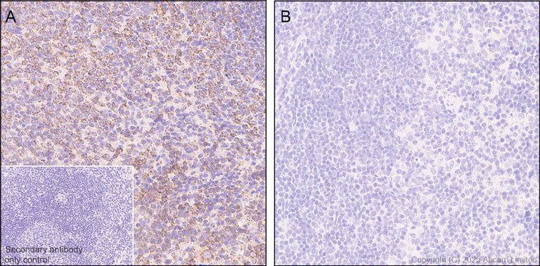
Immunohistochemical analysis of paraffin-embedded (A) Mouse spleen without alkaline phosphatase treatment (B) Mouse spleen with alkaline phosphatase treatment tissue labeling PDHA1 (phospho S300) with ab324265 at 1/500 (0.994 ug/ml) dilution, followed by a ready to use Rabbit specific IHC polymer detection kit HRP/DAB (ab209101).

Positive staining on (A) mouse spleen without alkaline phosphatase treatment; negative staining on (B) mouse spleen with alkaline phosphatase treatment. The primary antibody was incubated for 30 mins at room temperature.
The immunostaining was performed on a Leica Biosystems BOND® RX instrument

Counterstained with Hematoxylin.

Secondary antibody only control : Secondary antibody is a ready to use Rabbit specific IHC polymer detection kit HRP/DAB (ab209101).

Heat mediated antigen retrieval was performed with Tris-EDTA buffer (pH 9.0, Epitope Retrieval Solution2) for 20 mins

Immunohistochemistry (Formalin/PFA-fixed paraffin-embedded sections) - Anti-PDHA1 (phospho S300) antibody [EPR29824-87] - BSA and Azide free (AB324275)
  • IHC-P

Supplier Data

Immunohistochemistry (Formalin/PFA-fixed paraffin-embedded sections) - Anti-PDHA1 (phospho S300) antibody [EPR29824-87] - BSA and Azide free (AB324275)

This data was developed using ab324265, the same antibody clone in a different buffer formulation.

Immunohistochemical analysis of paraffin-embedded (A) Mouse lung papillary adenocarcinoma without alkaline phosphatase treatment (B) Mouse lung papillary adenocarcinoma with alkaline phosphatase treatment tissue labeling PDHA1 (phospho S300) with ab324265 at 1/500 (0.994 ug/ml) dilution, followed by a ready to use Rabbit specific IHC polymer detection kit HRP/DAB (ab209101).

Positive staining on (A) mouse lung papillary adenocarcinoma without alkaline phosphatase treatment; negative staining on (B) mouse lung papillary adenocarcinoma with alkaline phosphatase treatment. The primary antibody was incubated for 30 mins at room temperature.
The immunostaining was performed on a Leica Biosystems BOND® RX instrument

Counterstained with Hematoxylin.

Secondary antibody only control : Secondary antibody is a ready to use Rabbit specific IHC polymer detection kit HRP/DAB (ab209101).

Heat mediated antigen retrieval was performed with Tris-EDTA buffer (pH 9.0, Epitope Retrieval Solution2) for 20 mins

Immunohistochemistry (Formalin/PFA-fixed paraffin-embedded sections) - Anti-PDHA1 (phospho S300) antibody [EPR29824-87] - BSA and Azide free (AB324275)
  • IHC-P

Supplier Data

Immunohistochemistry (Formalin/PFA-fixed paraffin-embedded sections) - Anti-PDHA1 (phospho S300) antibody [EPR29824-87] - BSA and Azide free (AB324275)

This data was developed using ab324265, the same antibody clone in a different buffer formulation.

Immunohistochemical analysis of paraffin-embedded (A) Mouse hepatocellular carcinoma without alkaline phosphatase treatment (B) Mouse hepatocellular carcinoma with alkaline phosphatase treatment tissue labeling PDHA1 (phospho S300) with ab324265 at 1/500 (0.994 ug/ml) dilution, followed by a ready to use Rabbit specific IHC polymer detection kit HRP/DAB (ab209101).

Positive staining on (A) mouse hepatocellular carcinoma without alkaline phosphatase treatment; negative staining on (B) mouse hepatocellular carcinoma with alkaline phosphatase treatment. The primary antibody was incubated for 30 mins at room temperature.
The immunostaining was performed on a Leica Biosystems BOND® RX instrument

Counterstained with Hematoxylin.

Secondary antibody only control : Secondary antibody is a ready to use Rabbit specific IHC polymer detection kit HRP/DAB (ab209101).

Heat mediated antigen retrieval was performed with Tris-EDTA buffer (pH 9.0, Epitope Retrieval Solution2) for 20 mins

Western blot - Anti-PDHA1 (phospho S300) antibody [EPR29824-87] - BSA and Azide free (AB324275)
  • WB

Supplier Data

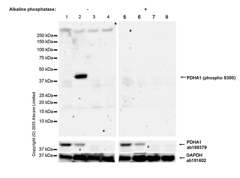
Western blot - Anti-PDHA1 (phospho S300) antibody [EPR29824-87] - BSA and Azide free (AB324275)

This data was developed using ab324265, the same antibody clone in a different buffer formulation.

Blocking and diluting buffer and concentration : 5% NFDM/TBST.

Performed under reducing conditions.

In Western blot, ab324265 was shown to bind specifically toPDHA1 (phospho S300). Target of interest was observed at 43 kDa in Wild-type A549 treated with 100ng/ml Calyculin A (lane 2), with no signal observed at this size in PDHA1 knockout cell line (lanes 3-4).

The identity of the band higher than 250 kDa is unknown.

In Western blot, Anti-GAPDH antibody [EPR16891] - Loading Control (ab181602) staining at 1/200000 dilution.

In Western blot, Anti-PDHA1 antibody (ab168379) staining at 1/1000 dilution.

All lanes:

Western blot - Anti-PDHA1 (phospho S300) antibody [EPR29824-87] (<a href='/en-us/products/primary-antibodies/pdha1-phospho-s300-antibody-epr29824-87-ab324265'>ab324265</a>) at 1/1000 dilution

Lane 1:

Untreated Wild-type A549 (human lung carcinoma epithelial cell) whole cell lysate (untreated membrane) at 20 µg

Lane 2:

Wild-type A549 treated with 100ng/ml Calyculin A for 30 min whole cell lysate (untreated membrane) at 20 µg

Lane 3:

Untreated PDHA1 knockout A549 whole cell lysate (untreated membrane) at 20 µg

Lane 4:

PDHA1 knockout A549 treated with 100ng/ml Calyculin A for 30 min whole cell lysate (untreated membrane) at 20 µg

Lane 5:

Untreated Wild-type A549 (human lung carcinoma epithelial cell) whole cell lysate (alkaline phosphatase treated membrane) at 20 µg

Lane 6:

Wild-type A549 treated with 100ng/ml Calyculin A for 30 min whole cell lysate (alkaline phosphatase treated membrane) at 20 µg

Lane 7:

Untreated PDHA1 knockout A549 whole cell lysate (alkaline phosphatase treated membrane) at 20 µg

Lane 8:

PDHA1 knockout A549 treated with 100ng/ml Calyculin A for 30 min whole cell lysate (alkaline phosphatase treated membrane) at 20 µg

Secondary

All lanes:

Western blot - Goat Anti-Rabbit IgG H&L (HRP) (<a href='/en-us/products/secondary-antibodies/goat-rabbit-igg-h-l-hrp-ab97051'>ab97051</a>) at 1/100000 dilution

Observed band size: 43 kDa,36 kDa

false

Exposure time: 180s

Western blot - Anti-PDHA1 (phospho S300) antibody [EPR29824-87] - BSA and Azide free (AB324275)
  • WB

Supplier Data

Western blot - Anti-PDHA1 (phospho S300) antibody [EPR29824-87] - BSA and Azide free (AB324275)

This data was developed using ab324265, the same antibody clone in a different buffer formulation.

Blocking and diluting buffer and concentration : 5% NFDM/TBST.

The identity of the band higher than 250 kDa is unknown.

In Western blot, Anti-GAPDH antibody [EPR16891] - Loading Control (ab181602) staining at 1/200000 dilution.

In Western blot, Anti-PDHA1 antibody (ab168379) staining at 1/1000 dilution.

All lanes:

Western blot - Anti-PDHA1 (phospho S300) antibody [EPR29824-87] (<a href='/en-us/products/primary-antibodies/pdha1-phospho-s300-antibody-epr29824-87-ab324265'>ab324265</a>) at 1/1000 dilution

Lane 1:

Untreated HeLa (human cervical adenocarcinoma epithelial cell) whole cell lysate (untreated membrane) at 20 µg

Lane 2:

HeLa treated with 100ng/ml Calyculin A for 30 min whole cell lysate (untreated membrane) at 20 µg

Lane 3:

Untreated NIH/3T3 (mouse embryonic fibroblast) whole cell lysate (untreated membrane) at 20 µg

Lane 4:

NIH/3T3 treated with 100ng/ml Calyculin A for 30 min whole cell lysate (untreated membrane) at 20 µg

Lane 5:

Untreated HeLa (human cervical adenocarcinoma epithelial cell) whole cell lysate (alkaline phosphatase treated membrane) at 20 µg

Lane 6:

HeLa treated with 100ng/ml Calyculin A for 30 min whole cell lysate (alkaline phosphatase treated membrane) at 20 µg

Lane 7:

Untreated NIH/3T3 (mouse embryonic fibroblast) whole cell lysate (alkaline phosphatase treated membrane) at 20 µg

Lane 8:

NIH/3T3 treated with 100ng/ml Calyculin A for 30 min whole cell lysate (alkaline phosphatase treated membrane) at 20 µg

Secondary

All lanes:

Western blot - Goat Anti-Rabbit IgG H&L (HRP) (<a href='/en-us/products/secondary-antibodies/goat-rabbit-igg-h-l-hrp-ab97051'>ab97051</a>) at 1/100000 dilution

Observed band size: 43 kDa,36 kDa

false

Exposure time: 180s

Dot Blot - Anti-PDHA1 (phospho S300) antibody [EPR29824-87] - BSA and Azide free (AB324275)
  • Dot

Supplier Data

Dot Blot - Anti-PDHA1 (phospho S300) antibody [EPR29824-87] - BSA and Azide free (AB324275)

This data was developed using ab324265, the same antibody clone in a different buffer formulation.

Dot blot analysis of PDHA1 (phospho S300) using ab324265 at 1000 (0.497 ug/ml) followed by a Goat Anti-Rabbit IgG, (H+L), Peroxidase conjugated (ab97051) at 1 : 100,000 dilution.

Lane1 : PDHA1 (phospho S300) peptide a
Lane2 : PDHA1 (phospho S300) peptide b
Lane3 : PDHA1 non-phospho peptide c
Lane4 : PDHA1 (phospho Y301) peptide d
Lane5 : PDHA1 (phospho T303) peptide e
Lane6 : PDHA1 (phospho S295) peptide f

Exposure time : 180 seconds.

Blocking and diluting buffer and concentration : 5% NFDM/TBST.

All lanes:

Dot Blot - Anti-PDHA1 (phospho S300) antibody [EPR29824-87] (<a href='/en-us/products/primary-antibodies/pdha1-phospho-s300-antibody-epr29824-87-ab324265'>ab324265</a>) at 1/1000 dilution

Lane 1:

PDHA1 (phospho S300) peptide a

Lane 2:

PDHA1 (phospho S300) peptide b

Lane 3:

PDHA1 non-phospho peptide c

Lane 4:

PDHA1 (phospho Y301) peptide d

Lane 5:

PDHA1 (phospho T303) peptide e

Lane 6:

PDHA1 (phospho S295) peptide f

Secondary

All lanes:

Dot Blot - Goat Anti-Rabbit IgG H&L (HRP) (<a href='/en-us/products/secondary-antibodies/goat-rabbit-igg-h-l-hrp-ab97051'>ab97051</a>) at 1/100000 dilution

false

Exposure time: 180s

  • Unconjugated

    Anti-PDHA1 (phospho S300) antibody [EPR29824-87]

Key facts

Host species

Rabbit

Clonality

Monoclonal

Clone number

EPR29824-87

Isotype

IgG

Carrier free

Yes

Reacts with

Human, Mouse

Applications

mIHC, ICC/IF, IHC-P, Dot, WB

applications

Immunogen

The exact immunogen used to generate this antibody is proprietary information.

Specificity

Unsuitable for mouse ICC

Reactivity data

{ "title": "Reactivity Data", "filters": { "stats": ["", "Species", "Dilution Info", "Notes"], "tabs": { "all-applications": {"fullname" : "All Applications", "shortname": "All Applications"}, "Dot" : {"fullname" : "Dot Blot", "shortname":"Dot"}, "ICCIF" : {"fullname" : "Immunocytochemistry/ Immunofluorescence", "shortname":"ICC/IF"}, "IHCP" : {"fullname" : "Immunohistochemistry (Formalin/PFA-fixed paraffin-embedded sections)", "shortname":"IHC-P"}, "WB" : {"fullname" : "Western blot", "shortname":"WB"}, "mIHC" : {"fullname" : "Multiplex immunohistochemistry", "shortname":"mIHC"} }, "product-promise": { "all": "all", "testedAndGuaranteed": "tested", "guaranteed": "expected", "predicted": "predicted", "notRecommended": "not-recommended" } }, "values": { "Human": { "Dot-species-checked": "guaranteed", "Dot-species-dilution-info": "", "Dot-species-notes": "", "ICCIF-species-checked": "testedAndGuaranteed", "ICCIF-species-dilution-info": "", "ICCIF-species-notes": "<p></p>", "IHCP-species-checked": "testedAndGuaranteed", "IHCP-species-dilution-info": "", "IHCP-species-notes": "<p></p> Perform heat-mediated antigen retrieval with Tris/EDTA buffer pH 9.0 before commencing with IHC staining protocol.", "WB-species-checked": "testedAndGuaranteed", "WB-species-dilution-info": "", "WB-species-notes": "<p></p>", "mIHC-species-checked": "testedAndGuaranteed", "mIHC-species-dilution-info": "", "mIHC-species-notes": "<p></p> Perform heat-mediated antigen retrieval with Tris/EDTA buffer pH 9.0 before commencing with IHC staining protocol." }, "Mouse": { "Dot-species-checked": "guaranteed", "Dot-species-dilution-info": "", "Dot-species-notes": "", "ICCIF-species-checked": "guaranteed", "ICCIF-species-dilution-info": "", "ICCIF-species-notes": "", "IHCP-species-checked": "testedAndGuaranteed", "IHCP-species-dilution-info": "", "IHCP-species-notes": "<p></p> Perform heat-mediated antigen retrieval with Tris/EDTA buffer pH 9.0 before commencing with IHC staining protocol.", "WB-species-checked": "testedAndGuaranteed", "WB-species-dilution-info": "", "WB-species-notes": "<p></p>", "mIHC-species-checked": "guaranteed", "mIHC-species-dilution-info": "", "mIHC-species-notes": "" }, "Synthetic peptide - Human": { "Dot-species-checked": "testedAndGuaranteed", "Dot-species-dilution-info": "", "Dot-species-notes": "<p></p>", "ICCIF-species-checked": "notRecommended", "ICCIF-species-dilution-info": "", "ICCIF-species-notes": "", "IHCP-species-checked": "notRecommended", "IHCP-species-dilution-info": "", "IHCP-species-notes": "", "WB-species-checked": "notRecommended", "WB-species-dilution-info": "", "WB-species-notes": "", "mIHC-species-checked": "notRecommended", "mIHC-species-dilution-info": "", "mIHC-species-notes": "" } } }

Product details

ab324275 is the carrier-free version of ab324265

Patented technology
Our RabMAb® technology is a patented hybridoma-based technology for making rabbit monoclonal antibodies. For details on our patents, please refer to RabMAb® patents.

What are the advantages of a recombinant monoclonal antibody?
This product is a recombinant monoclonal antibody, which offers several advantages including:

  • - High batch-to-batch consistency and reproducibility
  • - Improved sensitivity and specificity
  • - Long-term security of supply
  • - Animal-free batch production

For more information, read more on recombinant antibodies.

Conjugation ready
Our carrier-free antibodies are typically supplied in a PBS-only formulation, purified and free of BSA, sodium azide and glycerol. This conjugation-ready format is designed for use with fluorochromes, metal isotopes, oligonucleotides, and enzymes, which makes them ideal for antibody labelling, functional and cell-based assays, flow-based assays (e.g. mass cytometry) and Multiplex Imaging applications.

Use our conjugation kits for antibody conjugates that are ready-to-use in as little as 20 minutes with 1 minute hands-on-time and 100% antibody recovery: available for fluorescent dyes, HRP, biotin and gold.

Compatibility
This product is compatible with the Maxpar® Antibody Labeling Kit from Fluidigm, without the need for antibody preparation. Maxpar® is a trademark of Fluidigm Canada Inc.

Properties and storage information

Form
Liquid
Purification technique
Affinity purification Protein A
Storage buffer
pH: 7.2 - 7.4 Constituents: 100% PBS
Shipped at conditions
Blue Ice
Appropriate short-term storage conditions
+4°C
Appropriate long-term storage conditions
+4°C

Product protocols

For this product, it's our understanding that no specific protocols are required. You can visit:

Target data

The pyruvate dehydrogenase complex catalyzes the overall conversion of pyruvate to acetyl-CoA and CO(2), and thereby links the glycolytic pathway to the tricarboxylic cycle.
See full target information PDHA1 phospho S300

Product promise

We are committed to supporting your work with high-quality reagents, and we're here for you every step of the way. In the unlikely event that one of our products does not perform as expected, you're protected by our Product Promise.
For full details, please see our Terms & Conditions

Please note: All products are 'FOR RESEARCH USE ONLY. NOT FOR USE IN DIAGNOSTIC OR THERAPEUTIC PROCEDURES'.

For licensing inquiries, please contact partnerships@abcam.com