JavaScript is disabled in your browser. Please enable JavaScript to view this website.
AB155953

Anti-PDHB antibody [EPR11096(B)]

Be the first to review this product! Submit a review

|

(0 Publication)

Rabbit Recombinant Monoclonal PDHB antibody. Suitable for IHC-P, WB, ICC/IF, Flow Cyt (Intra) and reacts with Human samples.

View Alternative Names

PHE1B, PDHB, PDHE1-B

9 Images
Immunohistochemistry (Formalin/PFA-fixed paraffin-embedded sections) - Anti-PDHB antibody [EPR11096(B)] (AB155953)
  • IHC-P

Unknown

Immunohistochemistry (Formalin/PFA-fixed paraffin-embedded sections) - Anti-PDHB antibody [EPR11096(B)] (AB155953)

ab155953 showing +ve staining in Human heart.

Perform heat mediated antigen retrieval before commencing with IHC staining protocol.

Immunohistochemistry (Formalin/PFA-fixed paraffin-embedded sections) - Anti-PDHB antibody [EPR11096(B)] (AB155953)
  • IHC-P

Unknown

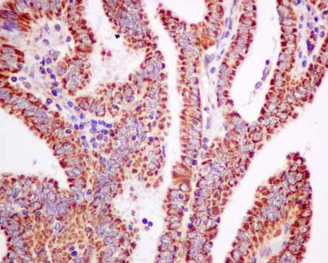
Immunohistochemistry (Formalin/PFA-fixed paraffin-embedded sections) - Anti-PDHB antibody [EPR11096(B)] (AB155953)

ab155953 showing +ve staining in Human ovarian carcinoma.

Perform heat mediated antigen retrieval before commencing with IHC staining protocol.

Immunocytochemistry/ Immunofluorescence - Anti-PDHB antibody [EPR11096(B)] (AB155953)
  • ICC/IF

Unknown

Immunocytochemistry/ Immunofluorescence - Anti-PDHB antibody [EPR11096(B)] (AB155953)

Immunofluorescent analysis of HepG2 cells labeling PDHB with ab155953 at 1/100 dilution.

Immunohistochemistry (Formalin/PFA-fixed paraffin-embedded sections) - Anti-PDHB antibody [EPR11096(B)] (AB155953)
  • IHC-P

Unknown

Immunohistochemistry (Formalin/PFA-fixed paraffin-embedded sections) - Anti-PDHB antibody [EPR11096(B)] (AB155953)

ab155953 showing +ve staining in Human thyroid gland carcinoma.

Perform heat mediated antigen retrieval before commencing with IHC staining protocol.

Immunohistochemistry (Formalin/PFA-fixed paraffin-embedded sections) - Anti-PDHB antibody [EPR11096(B)] (AB155953)
  • IHC-P

Unknown

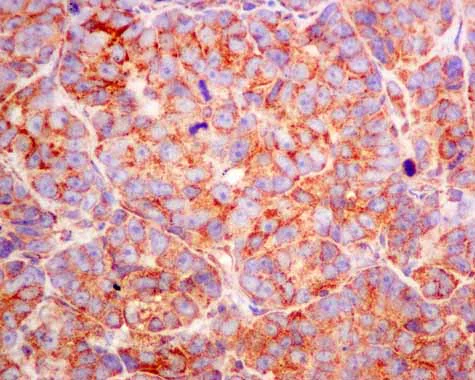
Immunohistochemistry (Formalin/PFA-fixed paraffin-embedded sections) - Anti-PDHB antibody [EPR11096(B)] (AB155953)

Immunohistochemical analysis of paraffin-embedded Human pancreas tissue labeling PDHB with ab155953 at 1/50 dilution.

Perform heat mediated antigen retrieval before commencing with IHC staining protocol.

Immunohistochemistry (Formalin/PFA-fixed paraffin-embedded sections) - Anti-PDHB antibody [EPR11096(B)] (AB155953)
  • IHC-P

Unknown

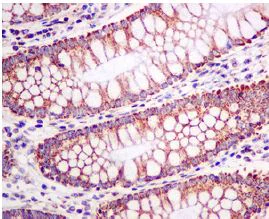
Immunohistochemistry (Formalin/PFA-fixed paraffin-embedded sections) - Anti-PDHB antibody [EPR11096(B)] (AB155953)

Immunohistochemical analysis of paraffin-embedded Human colon tissue labeling PDHB with ab155953 at 1/50 dilution.

Perform heat mediated antigen retrieval before commencing with IHC staining protocol.

Immunohistochemistry (Formalin/PFA-fixed paraffin-embedded sections) - Anti-PDHB antibody [EPR11096(B)] (AB155953)
  • IHC-P

Unknown

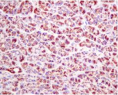
Immunohistochemistry (Formalin/PFA-fixed paraffin-embedded sections) - Anti-PDHB antibody [EPR11096(B)] (AB155953)

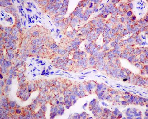
ab155953 showing +ve staining in Human gastric adenocarcinoma.

Perform heat mediated antigen retrieval before commencing with IHC staining protocol.

Flow Cytometry (Intracellular) - Anti-PDHB antibody [EPR11096(B)] (AB155953)
  • Flow Cyt (Intra)

Unknown

Flow Cytometry (Intracellular) - Anti-PDHB antibody [EPR11096(B)] (AB155953)

Intracellular flow cytometric analysis of permeabilized A375 cells labeling PDHBwith ab155953 at 1/10 dilution (red) compared with a rabbit IgG negative control (green).

Western blot - Anti-PDHB antibody [EPR11096(B)] (AB155953)
  • WB

Unknown

Western blot - Anti-PDHB antibody [EPR11096(B)] (AB155953)

All lanes:

Western blot - Anti-PDHB antibody [EPR11096(B)] (ab155953) at 1/1000 dilution

Lane 1:

HepG2 cell lysate at 10 µg

Lane 2:

Human fetal heart tissue lysate at 10 µg

Lane 3:

HeLa cell lysate at 10 µg

Lane 4:

A375 cell lysate at 10 µg

Secondary

All lanes:

Goat anti-rabbit HRP at 1/2000 dilution

Predicted band size: 39 kDa

false

Key facts

Host species

Rabbit

Clonality

Monoclonal

Clone number

EPR11096(B)

Isotype

IgG

Carrier free

No

Reacts with

Human

Applications

IHC-P, WB, Flow Cyt (Intra), ICC/IF

applications

Immunogen

The exact immunogen used to generate this antibody is proprietary information.

Reactivity data

{ "title": "Reactivity Data", "filters": { "stats": ["", "Species", "Dilution Info", "Notes"], "tabs": { "all-applications": {"fullname" : "All Applications", "shortname": "All Applications"}, "IHCP" : {"fullname" : "Immunohistochemistry (Formalin/PFA-fixed paraffin-embedded sections)", "shortname":"IHC-P"}, "IP" : {"fullname" : "Immunoprecipitation", "shortname":"IP"}, "WB" : {"fullname" : "Western blot", "shortname":"WB"}, "ICCIF" : {"fullname" : "Immunocytochemistry/ Immunofluorescence", "shortname":"ICC/IF"}, "FlowCytIntra" : {"fullname" : "Flow Cytometry (Intracellular)", "shortname":"Flow Cyt (Intra)"} }, "product-promise": { "all": "all", "testedAndGuaranteed": "tested", "guaranteed": "expected", "predicted": "predicted", "notRecommended": "not-recommended" } }, "values": { "Human": { "IHCP-species-checked": "testedAndGuaranteed", "IHCP-species-dilution-info": "1/50 - 1/100", "IHCP-species-notes": "<p></p>", "IP-species-checked": "notRecommended", "IP-species-dilution-info": "", "IP-species-notes": "<p></p>", "WB-species-checked": "testedAndGuaranteed", "WB-species-dilution-info": "1/1000 - 1/10000", "WB-species-notes": "<p></p>", "ICCIF-species-checked": "testedAndGuaranteed", "ICCIF-species-dilution-info": "1/100 - 1/250", "ICCIF-species-notes": "<p></p>", "FlowCytIntra-species-checked": "testedAndGuaranteed", "FlowCytIntra-species-dilution-info": "1/10 - 1/100", "FlowCytIntra-species-notes": "<p><a href='/en-us/products/primary-antibodies/rabbit-igg-monoclonal-epr25a-isotype-control-ab172730'>ab172730</a> - Rabbit monoclonal IgG, is suitable for use as an isotype control with this antibody.</p>" } } }

You may be interested in:

AB109902

Pyruvate dehydrogenase (PDH) Enzyme Activity Microplate Assay Kit

3

4 Reviews

View product

We recommend this product because it’s often used in the same experiment or related research.

We advise that you always check the datasheet to ensure it fits your experiments, or contact ourtechnical teamfor help.

Product details

Properties and storage information

Form
Liquid
Purity
Tissue culture supernatant
Storage buffer
pH: 7.2 - 7.4 Preservative: 0.01% Sodium azide Constituents: 50% Tissue culture supernatant, 40% Glycerol (glycerin, glycerine), 9% PBS, 0.05% BSA
Shipped at conditions
Blue Ice
Appropriate short-term storage conditions
+4°C
Appropriate long-term storage conditions
-20°C

Supplementary information

This supplementary information is collated from multiple sources and compiled automatically.

PDHB also known as pyruvate dehydrogenase beta subunit plays an important role in the conversion of pyruvate to acetyl-CoA. This protein forms a part of the pyruvate dehydrogenase complex (PDC) which occurs in mitochondria of numerous tissues. The PDHB subunit has a molecular mass of approximately 39 kDa. Expression of PDHB is not limited to one specific type of tissue it is generally found in various tissues indicating its widespread involvement in cellular metabolism.
Biological function summary

PDHB functions as an essential component of the PDC which catalyzes the decarboxylation of pyruvate linking glycolysis to the citric acid cycle. The PDC itself is a large multi-enzyme complex including other subunits such as E1 and E2 which coordinate efficiently to carry out its function. In this way PDHB contributes to energy production by enabling entry of carbon skeletons into the tricarboxylic acid cycle important for ATP generation.

Pathways

PDHB holds a significant role in central metabolic pathways namely glycolysis and the citric acid cycle. The conversion facilitated by the PDC forms a vital cornerstone for metabolic flux regulation influencing gluconeogenesis and fatty acid synthesis. PDHB also interacts with proteins such as pyruvate dehydrogenase kinase which regulates the PDC activity by phosphorylation thereby affecting energy metabolism directly.

Alterations in PDHB can lead to metabolic disorders such as pyruvate dehydrogenase deficiency potentially causing neurological dysfunction due to impaired energy metabolism. PDHB mutations also have a link to mitochondrial diseases reflecting its significant role in energy homeostasis. In these contexts proteins like the pyruvate dehydrogenase phosphatase are involved highlighting the clinical relevance of PDHB alterations in maintaining proper metabolic health.

Product protocols

For this product, it's our understanding that no specific protocols are required. You can visit:

Target data

The pyruvate dehydrogenase complex catalyzes the overall conversion of pyruvate to acetyl-CoA and CO(2), and thereby links the glycolytic pathway to the tricarboxylic cycle.
See full target information PDHB

Product promise

We are committed to supporting your work with high-quality reagents, and we're here for you every step of the way. In the unlikely event that one of our products does not perform as expected, you're protected by our Product Promise.
For full details, please see our Terms & Conditions

Associated Products

Select an associated product type
Alternative Product
Primary Antibodies

AB210028

Alexa Fluor® 647 Anti-PDHB antibody [EPR11097(B)]

primary-antibodies

alexa-fluor-647-pdhb-antibody-epr11097b-ab210028

0

(0 reviews)

Alternative Product
Primary Antibodies

AB210029

Alexa Fluor® 405 Anti-PDHB antibody [EPR11097(B)]

primary-antibodies

alexa-fluor-405-pdhb-antibody-epr11097b-ab210029

0

(0 reviews)

Alternative Product
Primary Antibodies

AB208255

Alexa Fluor® 488 Anti-PDHB antibody [EPR11097(B)]

primary-antibodies

alexa-fluor-488-pdhb-antibody-epr11097b-ab208255

0

(0 reviews)

Alternative Product
Primary Antibodies

AB155996

Anti-PDHB antibody [EPR11097(B)]

primary-antibodies

pdhb-antibody-epr11097b-ab155996

0

(0 reviews)

Alternative Product
Primary Antibodies

AB110331

Anti-PDHB antibody [17A5E2H8]

primary-antibodies

pdhb-antibody-17a5e2h8-ab110331

5

(1 reviews)

Alternative Product
Primary Antibodies

AB211838

Alexa Fluor® 594 Anti-PDHB antibody [EPR11097(B)]

primary-antibodies

alexa-fluor-594-pdhb-antibody-epr11097b-ab211838

0

(0 reviews)

Please note: All products are 'FOR RESEARCH USE ONLY. NOT FOR USE IN DIAGNOSTIC OR THERAPEUTIC PROCEDURES'.

For licensing inquiries, please contact partnerships@abcam.com