JavaScript is disabled in your browser. Please enable JavaScript to view this website.
AB155996

Anti-PDHB antibody [EPR11097(B)]

Be the first to review this product! Submit a review

|

(18 Publications)

Rabbit Recombinant Monoclonal PDHB antibody. Suitable for IHC-P, Flow Cyt, WB, ICC/IF and reacts with Mouse, Rat, Human samples. Cited in 18 publications.

View Alternative Names

PHE1B, PDHB, PDHE1-B

6 Images
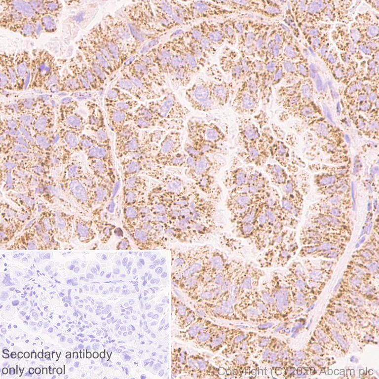
Immunohistochemistry (Formalin/PFA-fixed paraffin-embedded sections) - Anti-PDHB antibody [EPR11097(B)] (AB155996)
  • IHC-P

Lab

Immunohistochemistry (Formalin/PFA-fixed paraffin-embedded sections) - Anti-PDHB antibody [EPR11097(B)] (AB155996)

Immunohistochemistry (Formalin/PFA-fixed paraffin-embedded sections) analysis of human lung cancer tissue sections labeling PDHB with purified ab155996 at 1/1500 dilution (0.08 μg/mL). Heat mediated antigen retrieval was performed using Heat mediated antigen retrieval using Bond™ Epitope Retrieval Solution 2 (pH 9.0). Tissue was counterstained with Hematoxylin. Rabbit specific IHC polymer detection kit HRP/DAB (ab209101) secondary antibody was used. PBS instead of the primary antibody was used as the negative control.
The immunostaining was performed on a Leica Biosystems BOND® RX instrument.

Flow Cytometry - Anti-PDHB antibody [EPR11097(B)] (AB155996)
  • Flow Cyt

Lab

Flow Cytometry - Anti-PDHB antibody [EPR11097(B)] (AB155996)

Flow Cytometry analysis of HeLa (Human cervix adenocarcinoma epithelial cell) cells labelling PDHB with purified ab155996 at 1/20 dilution (10 µg/mL) (Red). Cells were fixed with 4% Paraformaldehyde and permeabilised with 90% Methanol. A Goat anti rabbit IgG (Alexa Fluor® 488, ab150077) secondary antibody was used at 1/2000. Isotype control - Rabbit monoclonal IgG (Black). Unlabelled control - Cell without incubation with primary antibody and secondary antibody (Blue).

Immunocytochemistry/ Immunofluorescence - Anti-PDHB antibody [EPR11097(B)] (AB155996)
  • ICC/IF

Supplier Data

Immunocytochemistry/ Immunofluorescence - Anti-PDHB antibody [EPR11097(B)] (AB155996)

Immunocytochemistry analysis of HepG2 (Human hepatocellular carcinoma epithelial cell) cells labeling PDHB with purified ab155996 at 1/50 dilution (2.5 μg/mL). Cells were fixed in 4% Paraformaldehyde and permeabilized with 0.1% tritonX-100. Cells were counterstained with ab195889 Anti-alpha Tubulin antibody [DM1A] - Microtubule Marker (Alexa Fluor® 594) 1/200 (2.5 μg/mL). Goat anti rabbit IgG (Alexa Fluor® 488, ab150077) was used as the secondary antibody at 1/1000 (2 μg/mL) dilution. DAPI (blue) was used as nuclear counterstain. PBS instead of the primary antibody was used as the secondary antibody only control.

Immunohistochemistry (Formalin/PFA-fixed paraffin-embedded sections) - Anti-PDHB antibody [EPR11097(B)] (AB155996)
  • IHC-P

Lab

Immunohistochemistry (Formalin/PFA-fixed paraffin-embedded sections) - Anti-PDHB antibody [EPR11097(B)] (AB155996)

Immunohistochemistry (Formalin/PFA-fixed paraffin-embedded sections) analysis of rat colon tissue sections labeling PDHB with purified ab155996 at 1/1500 dilution (0.08 µg/mL). Heat mediated antigen retrieval was performed using Heat mediated antigen retrieval using Bond™ Epitope Retrieval Solution 2 (pH 9.0). Tissue was counterstained with Hematoxylin. Rabbit specific IHC polymer detection kit HRP/DAB (ab209101) secondary antibody was used. PBS instead of the primary antibody was used as the negative control.
The immunostaining was performed on a Leica Biosystems BOND® RX instrument

Immunohistochemistry (Formalin/PFA-fixed paraffin-embedded sections) - Anti-PDHB antibody [EPR11097(B)] (AB155996)
  • IHC-P

Lab

Immunohistochemistry (Formalin/PFA-fixed paraffin-embedded sections) - Anti-PDHB antibody [EPR11097(B)] (AB155996)

Immunohistochemistry (Formalin/PFA-fixed paraffin-embedded sections) analysis of mouse spleen tissue sections labeling PDHB with purified ab155996 at 1/1500 dilution (0.08 μg/mL). Heat mediated antigen retrieval was performed using Heat mediated antigen retrieval using Bond™ Epitope Retrieval Solution 2 (pH 9.0). Tissue was counterstained with Hematoxylin. Rabbit specific IHC polymer detection kit HRP/DAB (ab209101) secondary antibody was used. PBS instead of the primary antibody was used as the negative control.
The immunostaining was performed on a Leica Biosystems BOND® RX instrument.

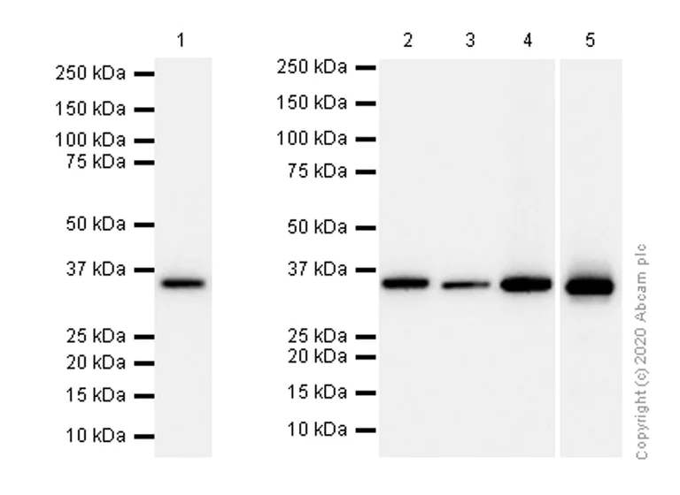
Western blot - Anti-PDHB antibody [EPR11097(B)] (AB155996)
  • WB

Unknown

Western blot - Anti-PDHB antibody [EPR11097(B)] (AB155996)

All lanes:

Western blot - Anti-PDHB antibody [EPR11097(B)] (ab155996) at 1/10000 dilution

Lane 1:

A375 (Human malignant melanoma epithelial cell) whole cell lysate at 15 µg

Lane 2:

HeLa (Human cervix adenocarcinoma epithelial cell) whole cell lysate at 20 µg

Lane 3:

Mouse spleen lysate at 20 µg

Lane 4:

Mouse kidney lysate at 20 µg

Lane 5:

Rat kidney lysate at 20 µg

Secondary

All lanes:

Western blot - Goat Anti-Rabbit IgG H&L (HRP) (<a href='/en-us/products/secondary-antibodies/goat-rabbit-igg-h-l-hrp-ab97051'>ab97051</a>) at 1/20000 dilution

Predicted band size: 39 kDa

false

  • 665 Alexa Fluor® 647

    Alexa Fluor® 647 Anti-PDHB antibody [EPR11097(B)]

  • 421 Alexa Fluor® 405

    Alexa Fluor® 405 Anti-PDHB antibody [EPR11097(B)]

  • 519 Alexa Fluor® 488

    Alexa Fluor® 488 Anti-PDHB antibody [EPR11097(B)]

  • Carrier free

    Anti-PDHB antibody [EPR11097(B)] - BSA and Azide free

  • 660 APC

    APC Anti-Pyruvate Dehydrogenase E1 beta subunit antibody [EPR11097(B)]

  • HRP

    HRP Anti-Pyruvate Dehydrogenase E1 beta subunit antibody [EPR11097(B)]

  • 565 Alexa Fluor® 555

    Alexa Fluor® 555 Anti-Pyruvate Dehydrogenase E1 beta subunit antibody [EPR11097(B)]

  • 617 Alexa Fluor® 594

    Alexa Fluor® 594 Anti-PDHB antibody [EPR11097(B)]

  • 578 PE

    PE Anti-Pyruvate Dehydrogenase E1 beta subunit antibody [EPR11097(B)]

  • 775 Alexa Fluor® 750

    Alexa Fluor® 750 Anti-PDHB antibody [EPR11097(B)]

Key facts

Host species

Rabbit

Clonality

Monoclonal

Clone number

EPR11097(B)

Isotype

IgG

Carrier free

No

Reacts with

Mouse, Rat, Human

Applications

IHC-P, ICC/IF, WB, Flow Cyt

applications

Immunogen

The exact immunogen used to generate this antibody is proprietary information.

Reactivity data

{ "title": "Reactivity Data", "filters": { "stats": ["", "Species", "Dilution Info", "Notes"], "tabs": { "all-applications": {"fullname" : "All Applications", "shortname": "All Applications"}, "IHCP" : {"fullname" : "Immunohistochemistry (Formalin/PFA-fixed paraffin-embedded sections)", "shortname":"IHC-P"}, "FlowCyt" : {"fullname" : "Flow Cytometry", "shortname":"Flow Cyt"}, "WB" : {"fullname" : "Western blot", "shortname":"WB"}, "ICCIF" : {"fullname" : "Immunocytochemistry/ Immunofluorescence", "shortname":"ICC/IF"} }, "product-promise": { "all": "all", "testedAndGuaranteed": "tested", "guaranteed": "expected", "predicted": "predicted", "notRecommended": "not-recommended" } }, "values": { "Human": { "IHCP-species-checked": "testedAndGuaranteed", "IHCP-species-dilution-info": "1/1500", "IHCP-species-notes": "<p><strong>For unpurified use at 1/50- 1/100.</strong></p>", "FlowCyt-species-checked": "testedAndGuaranteed", "FlowCyt-species-dilution-info": "1/20", "FlowCyt-species-notes": "<p></p>", "WB-species-checked": "testedAndGuaranteed", "WB-species-dilution-info": "1/10000 - 1/50000", "WB-species-notes": "<p></p>", "ICCIF-species-checked": "testedAndGuaranteed", "ICCIF-species-dilution-info": "1/50 - 1/250", "ICCIF-species-notes": "<p></p>" }, "Mouse": { "IHCP-species-checked": "testedAndGuaranteed", "IHCP-species-dilution-info": "1/1500", "IHCP-species-notes": "<p><strong>For unpurified use at 1/50- 1/100.</strong></p>", "FlowCyt-species-checked": "guaranteed", "FlowCyt-species-dilution-info": "", "FlowCyt-species-notes": "", "WB-species-checked": "testedAndGuaranteed", "WB-species-dilution-info": "1/10000 - 1/50000", "WB-species-notes": "<p></p>", "ICCIF-species-checked": "guaranteed", "ICCIF-species-dilution-info": "", "ICCIF-species-notes": "" }, "Rat": { "IHCP-species-checked": "testedAndGuaranteed", "IHCP-species-dilution-info": "1/1500", "IHCP-species-notes": "<p><strong>For unpurified use at 1/50- 1/100.</strong></p>", "FlowCyt-species-checked": "guaranteed", "FlowCyt-species-dilution-info": "", "FlowCyt-species-notes": "", "WB-species-checked": "testedAndGuaranteed", "WB-species-dilution-info": "1/10000 - 1/50000", "WB-species-notes": "<p></p>", "ICCIF-species-checked": "guaranteed", "ICCIF-species-dilution-info": "", "ICCIF-species-notes": "" } } }

Product details

Patented technology
Our RabMAb® technology is a patented hybridoma-based technology for making rabbit monoclonal antibodies. For details on our patents, please refer to RabMAb® patents.

What are the advantages of a recombinant monoclonal antibody?
This product is a recombinant monoclonal antibody, which offers several advantages including:

  • - High batch-to-batch consistency and reproducibility
  • - Improved sensitivity and specificity
  • - Long-term security of supply
  • - Animal-free batch production

For more information, read more on recombinant antibodies.

Properties and storage information

Form
Liquid
Purification technique
Affinity purification Protein A
Storage buffer
pH: 7.2 - 7.4 Preservative: 0.01% Sodium azide Constituents: PBS, 40% Glycerol (glycerin, glycerine), 0.05% BSA
Shipped at conditions
Blue Ice
Appropriate short-term storage duration
1-2 weeks
Appropriate short-term storage conditions
+4°C
Appropriate long-term storage conditions
-20°C
Aliquoting information
Upon delivery aliquot
Storage information
Avoid freeze / thaw cycle

Supplementary information

This supplementary information is collated from multiple sources and compiled automatically.

PDHB also known as pyruvate dehydrogenase beta subunit plays an important role in the conversion of pyruvate to acetyl-CoA. This protein forms a part of the pyruvate dehydrogenase complex (PDC) which occurs in mitochondria of numerous tissues. The PDHB subunit has a molecular mass of approximately 39 kDa. Expression of PDHB is not limited to one specific type of tissue it is generally found in various tissues indicating its widespread involvement in cellular metabolism.
Biological function summary

PDHB functions as an essential component of the PDC which catalyzes the decarboxylation of pyruvate linking glycolysis to the citric acid cycle. The PDC itself is a large multi-enzyme complex including other subunits such as E1 and E2 which coordinate efficiently to carry out its function. In this way PDHB contributes to energy production by enabling entry of carbon skeletons into the tricarboxylic acid cycle important for ATP generation.

Pathways

PDHB holds a significant role in central metabolic pathways namely glycolysis and the citric acid cycle. The conversion facilitated by the PDC forms a vital cornerstone for metabolic flux regulation influencing gluconeogenesis and fatty acid synthesis. PDHB also interacts with proteins such as pyruvate dehydrogenase kinase which regulates the PDC activity by phosphorylation thereby affecting energy metabolism directly.

Alterations in PDHB can lead to metabolic disorders such as pyruvate dehydrogenase deficiency potentially causing neurological dysfunction due to impaired energy metabolism. PDHB mutations also have a link to mitochondrial diseases reflecting its significant role in energy homeostasis. In these contexts proteins like the pyruvate dehydrogenase phosphatase are involved highlighting the clinical relevance of PDHB alterations in maintaining proper metabolic health.

Product protocols

For this product, it's our understanding that no specific protocols are required. You can visit:

Target data

Together with PDHA1 forms the heterotetrameric E1 subunit of the pyruvate dehydrogenase (PDH) complex (PubMed : 17474719, PubMed : 19081061). The PDH complex catalyzes the overall conversion of pyruvate to acetyl-CoA and CO(2), and thereby links cytoplasmic glycolysis and the mitochondrial tricarboxylic acid (TCA) cycle (Probable). It contains multiple copies of three enzymatic components : pyruvate dehydrogenase (E1), dihydrolipoamide acetyltransferase (E2) and dihydrolipoamide dehydrogenase (E3) (Probable). The E1 subunit catalyzes both the thiamine pyrophosphate (TPP)-dependent decarboxylation of pyruvate and the reductive acetylation of a lipoyl group covalently linked to the lipoyl-bearing domains of E2 (PubMed : 19081061).
See full target information PDHB

Publications (18)

Recent publications for all applications. Explore the full list and refine your search

The Journal of biological chemistry 301:110406 PubMed40544996

2025

PLK1-mediated PDHA1 phosphorylation drives mitochondrial dysfunction, mitophagy, and cancer progression in Cr(VI)-associated lung cancer.

Applications

Unspecified application

Species

Unspecified reactive species

Qiongsi Zhang,Jia Peng,Zhiguo Li,Xiongjian Rao,Derek B Allison,Qi Qiao,Zhuangzhuang Zhang,Yifan Kong,Yanquan Zhang,Ruixin Wang,Jinghui Liu,Xinyi Wang,Chaohao Li,Fengyi Mao,Qing Shao,Tianyan Gao,Xiaoqi Liu

British journal of pharmacology 182:2409-2425 PubMed39933533

2025

Targeting FDX1 by trilobatin to inhibit cuproptosis in doxorubicin-induced cardiotoxicity.

Applications

Unspecified application

Species

Unspecified reactive species

Jiajia Wei,Guozhen Lan,Wenfang Zhang,Wang Ran,Yu Wei,Xin Liu,Yuandong Zhang,Qihai Gong,Haibo Li,Jianmei Gao

Journal of neuroinflammation 21:33 PubMed38273366

2024

The glucocorticoid receptor as a master regulator of the Müller cell response to diabetic conditions in mice.

Applications

Unspecified application

Species

Unspecified reactive species

Anna M Pfaller,Lew Kaplan,Madalena Carido,Felix Grassmann,Nundehui Díaz-Lezama,Farhad Ghaseminejad,Kirsten A Wunderlich,Sarah Glänzer,Oliver Bludau,Thomas Pannicke,Bernhard H F Weber,Susanne F Koch,Boyan Bonev,Stefanie M Hauck,Antje Grosche

Advanced science (Weinheim, Baden-Wurttemberg, Germany) 9:e2202104 PubMed36310121

2022

Genome-Wide CRISPR/Cas9 Library Screening Revealed Dietary Restriction of Glutamine in Combination with Inhibition of Pyruvate Metabolism as Effective Liver Cancer Treatment.

Applications

Unspecified application

Species

Unspecified reactive species

Chunxue Yang,Derek Lee,Misty Shuo Zhang,Aki Pui-Wah Tse,Lai Wei,Macus Hao-Ran Bao,Bowie Po-Yee Wong,Cerise Yuen-Ki Chan,Vincent Wai-Hin Yuen,Yiling Chen,Carmen Chak-Lui Wong

Journal of cellular and molecular medicine 26:5078-5094 PubMed36071546

2022

ISGylation of EMD promotes its interaction with PDHA to inhibit aerobic oxidation in lung adenocarcinoma.

Applications

Unspecified application

Species

Unspecified reactive species

Congcong Zhang,Jiangtao Cui,Leiqun Cao,Xiaoting Tian,Yayou Miao,Yikun Wang,Shiyu Qiu,Wanxin Guo,Lifang Ma,Jinjing Xia,Xiao Zhang

Human molecular genetics 32:431-449 PubMed35997788

2022

Expression and subcellular localization of USH1C/harmonin in human retina provides insights into pathomechanisms and therapy.

Applications

Unspecified application

Species

Unspecified reactive species

Kerstin Nagel-Wolfrum,Benjamin R Fadl,Mirjana M Becker,Kirsten A Wunderlich,Jessica Schäfer,Daniel Sturm,Jacques Fritze,Burcu Gür,Lew Kaplan,Tommaso Andreani,Tobias Goldmann,Matthew Brooks,Margaret R Starostik,Anagha Lokhande,Melissa Apel,Karl R Fath,Katarina Stingl,Susanne Kohl,Margaret M DeAngelis,Ursula Schlötzer-Schrehardt,Ivana K Kim,Leah A Owen,Jan M Vetter,Norbert Pfeiffer,Miguel A Andrade-Navarro,Antje Grosche,Anand Swaroop,Uwe Wolfrum

Molecules (Basel, Switzerland) 27: PubMed35956917

2022

Acetyl-CoA Deficiency Is Involved in the Regulation of Iron Overload on Lipid Metabolism in Apolipoprotein E Knockout Mice.

Applications

Unspecified application

Species

Unspecified reactive species

Gang Luo,Lu Xiang,Lin Xiao

PloS one 15:e0243489 PubMed33370314

2020

The plasticity of the pyruvate dehydrogenase complex confers a labile structure that is associated with its catalytic activity.

Applications

Unspecified application

Species

Unspecified reactive species

Jaehyoun Lee,Seunghee Oh,Saikat Bhattacharya,Ying Zhang,Laurence Florens,Michael P Washburn,Jerry L Workman

International journal of molecular sciences 21: PubMed33187113

2020

Cell-Type-Specific Complement Profiling in the ABCA4 Mouse Model of Stargardt Disease.

Applications

Unspecified application

Species

Unspecified reactive species

Yassin Jabri,Josef Biber,Nundehui Diaz-Lezama,Antje Grosche,Diana Pauly

Neoplasma 68:362-374 PubMed33118833

2020

LncRNA MEG3 promotes endoplasmic reticulum stress and suppresses proliferation and invasion of colorectal carcinoma cells through the MEG3/miR-103a-3p/PDHB ceRNA pathway.

Applications

Unspecified application

Species

Unspecified reactive species

Guoqin Wang,Qiuwen Ye,Shujuan Ning,Zhuangqing Yang,Yunlan Chen,Lijuan Zhang,Youguang Huang,Fujia Xie,Xi Cheng,Junlin Chi,Yi Lei,Rong Guo,Jiangqiong Han
View all publications

Product promise

We are committed to supporting your work with high-quality reagents, and we're here for you every step of the way. In the unlikely event that one of our products does not perform as expected, you're protected by our Product Promise.
For full details, please see our Terms & Conditions

Please note: All products are 'FOR RESEARCH USE ONLY. NOT FOR USE IN DIAGNOSTIC OR THERAPEUTIC PROCEDURES'.

For licensing inquiries, please contact partnerships@abcam.com