JavaScript is disabled in your browser. Please enable JavaScript to view this website.
AB249239

Anti-PDHB antibody [EPR11097(B)] - BSA and Azide free

Be the first to review this product! Submit a review

|

(0 Publication)

Rabbit Recombinant Monoclonal PDHB antibody. Carrier free. Suitable for IHC-P, ICC/IF, Flow Cyt, WB and reacts with Mouse, Rat, Human samples.

View Alternative Names

PHE1B, PDHB, PDHE1-B

6 Images
Immunohistochemistry (Formalin/PFA-fixed paraffin-embedded sections) - Anti-PDHB antibody [EPR11097(B)] - BSA and Azide free (AB249239)
  • IHC-P

Lab

Immunohistochemistry (Formalin/PFA-fixed paraffin-embedded sections) - Anti-PDHB antibody [EPR11097(B)] - BSA and Azide free (AB249239)

This data was developed using ab155996, the same antibody clone in a different buffer formulation.

Immunohistochemistry (Formalin/PFA-fixed paraffin-embedded sections) analysis of human lung cancer tissue sections labeling PDHB with purified ab155996 at 1/1500 dilution (0.08 μg/mL). Heat mediated antigen retrieval was performed using Heat mediated antigen retrieval using Bond™ Epitope Retrieval Solution 2 (pH 9.0). Tissue was counterstained with Hematoxylin. Rabbit specific IHC polymer detection kit HRP/DAB (ab209101) secondary antibody was used at 1/0 dilution. PBS instead of the primary antibody was used as the negative control.
The immunostaining was performed on a Leica Biosystems BOND® RX instrument.

Flow Cytometry - Anti-PDHB antibody [EPR11097(B)] - BSA and Azide free (AB249239)
  • Flow Cyt

Lab

Flow Cytometry - Anti-PDHB antibody [EPR11097(B)] - BSA and Azide free (AB249239)

This data was developed using ab155996, the same antibody clone in a different buffer formulation.
Flow Cytometry analysis of HeLa (Human cervix adenocarcinoma epithelial cell) cells labelling PDHB with purified ab155996 at 1/20 dilution (10 µg/mL) (Red). Cells were fixed with 4% Paraformaldehyde and permeabilised with 90% Methanol. A Goat anti rabbit IgG (Alexa Fluor® 488, ab150077) secondary antibody was used at 1/2000. Isotype control - Rabbit monoclonal IgG (Black). Unlabelled control - Cell without incubation with primary antibody and secondary antibody (Blue).

Immunocytochemistry/ Immunofluorescence - Anti-PDHB antibody [EPR11097(B)] - BSA and Azide free (AB249239)
  • ICC/IF

Supplier Data

Immunocytochemistry/ Immunofluorescence - Anti-PDHB antibody [EPR11097(B)] - BSA and Azide free (AB249239)

This data was developed using ab155996, the same antibody clone in a different buffer formulation.

Immunocytochemistry analysis of HepG2 (Human hepatocellular carcinoma epithelial cell) cells labeling PDHB with purified ab155996 at 1/50 dilution (2.5 μg/mL). Cells were fixed in 4% Paraformaldehyde and permeabilized with 0.1% tritonX-100. Cells were counterstained with ab195889 Anti-alpha Tubulin antibody [DM1A] - Microtubule Marker (Alexa Fluor® 594) 1/200 (2.5 μg/mL). Goat anti rabbit IgG (Alexa Fluor® 488, ab150077) was used as the secondary antibody at 1/1000 (2 μg/mL) dilution. DAPI (blue) was used as nuclear counterstain. PBS instead of the primary antibody was used as the secondary antibody only control.

Immunohistochemistry (Formalin/PFA-fixed paraffin-embedded sections) - Anti-PDHB antibody [EPR11097(B)] - BSA and Azide free (AB249239)
  • IHC-P

Lab

Immunohistochemistry (Formalin/PFA-fixed paraffin-embedded sections) - Anti-PDHB antibody [EPR11097(B)] - BSA and Azide free (AB249239)

This data was developed using ab155996, the same antibody clone in a different buffer formulation.

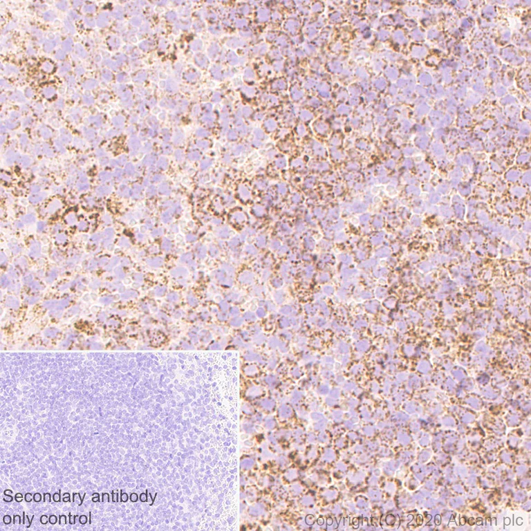
Immunohistochemistry (Formalin/PFA-fixed paraffin-embedded sections) analysis of mouse spleen tissue sections labeling PDHB with purified ab155996 at 1/1500 dilution (0.08 μg/mL). Heat mediated antigen retrieval was performed using Heat mediated antigen retrieval using Bond™ Epitope Retrieval Solution 2 (pH 9.0). Tissue was counterstained with Hematoxylin. Rabbit specific IHC polymer detection kit HRP/DAB (ab209101) secondary antibody was used at 1/0 dilution. PBS instead of the primary antibody was used as the negative control.
The immunostaining was performed on a Leica Biosystems BOND® RX instrument.

Immunohistochemistry (Formalin/PFA-fixed paraffin-embedded sections) - Anti-PDHB antibody [EPR11097(B)] - BSA and Azide free (AB249239)
  • IHC-P

Lab

Immunohistochemistry (Formalin/PFA-fixed paraffin-embedded sections) - Anti-PDHB antibody [EPR11097(B)] - BSA and Azide free (AB249239)

This data was developed using ab155996, the same antibody clone in a different buffer formulation.

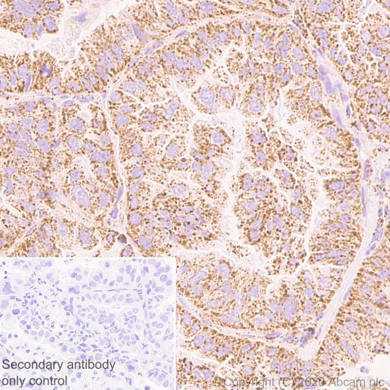
Immunohistochemistry (Formalin/PFA-fixed paraffin-embedded sections) analysis of rat colon tissue sections labeling PDHB with purified ab155996 at 1/1500 dilution (0.08 μg/mL). Heat mediated antigen retrieval was performed using Heat mediated antigen retrieval using Bond™ Epitope Retrieval Solution 2 (pH 9.0). Tissue was counterstained with Hematoxylin. Rabbit specific IHC polymer detection kit HRP/DAB (ab209101) secondary antibody was used at 1/0 dilution. PBS instead of the primary antibody was used as the negative control.
The immunostaining was performed on a Leica Biosystems BOND® RX instrument.

Western blot - Anti-PDHB antibody [EPR11097(B)] - BSA and Azide free (AB249239)
  • WB

Unknown

Western blot - Anti-PDHB antibody [EPR11097(B)] - BSA and Azide free (AB249239)

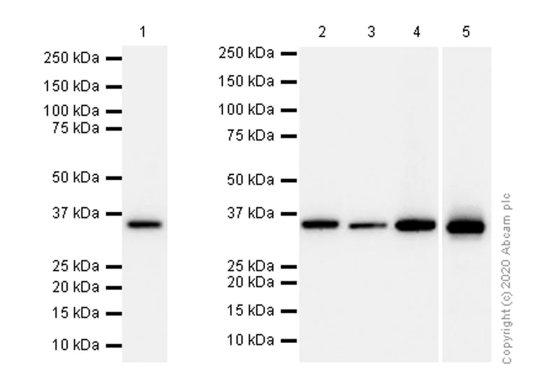
All lanes:

Western blot - Anti-PDHB antibody [EPR11097(B)] (<a href='/en-us/products/primary-antibodies/pdhb-antibody-epr11097b-ab155996'>ab155996</a>) at 1/10000 dilution

Lane 1:

A375 (Human malignant melanoma epithelial cell) whole cell lysate at 15 µg

Lane 2:

HeLa (Human cervix adenocarcinoma epithelial cell) whole cell lysate at 20 µg

Lane 3:

Mouse spleen lysate at 20 µg

Lane 4:

Mouse kidney lysate at 20 µg

Lane 5:

Rat kidney lysate at 20 µg

Secondary

All lanes:

Western blot - Goat Anti-Rabbit IgG H&L (HRP) (<a href='/en-us/products/secondary-antibodies/goat-rabbit-igg-h-l-hrp-ab97051'>ab97051</a>) at 1/20000 dilution

Predicted band size: 39 kDa

false

  • Unconjugated

    Anti-PDHB antibody [EPR11097(B)]

  • 775 Alexa Fluor® 750

    Alexa Fluor® 750 Anti-PDHB antibody [EPR11097(B)]

  • 665 Alexa Fluor® 647

    Alexa Fluor® 647 Anti-PDHB antibody [EPR11097(B)]

  • 421 Alexa Fluor® 405

    Alexa Fluor® 405 Anti-PDHB antibody [EPR11097(B)]

  • 519 Alexa Fluor® 488

    Alexa Fluor® 488 Anti-PDHB antibody [EPR11097(B)]

  • 660 APC

    APC Anti-Pyruvate Dehydrogenase E1 beta subunit antibody [EPR11097(B)]

  • HRP

    HRP Anti-Pyruvate Dehydrogenase E1 beta subunit antibody [EPR11097(B)]

  • 565 Alexa Fluor® 555

    Alexa Fluor® 555 Anti-Pyruvate Dehydrogenase E1 beta subunit antibody [EPR11097(B)]

  • 617 Alexa Fluor® 594

    Alexa Fluor® 594 Anti-PDHB antibody [EPR11097(B)]

  • 578 PE

    PE Anti-Pyruvate Dehydrogenase E1 beta subunit antibody [EPR11097(B)]

Key facts

Host species

Rabbit

Clonality

Monoclonal

Clone number

EPR11097(B)

Isotype

IgG

Carrier free

Yes

Reacts with

Mouse, Rat, Human

Applications

Flow Cyt, IHC-P, ICC/IF, WB

applications

Immunogen

The exact immunogen used to generate this antibody is proprietary information.

Reactivity data

{ "title": "Reactivity Data", "filters": { "stats": ["", "Species", "Dilution Info", "Notes"], "tabs": { "all-applications": {"fullname" : "All Applications", "shortname": "All Applications"}, "IHCP" : {"fullname" : "Immunohistochemistry (Formalin/PFA-fixed paraffin-embedded sections)", "shortname":"IHC-P"}, "ICCIF" : {"fullname" : "Immunocytochemistry/ Immunofluorescence", "shortname":"ICC/IF"}, "FlowCyt" : {"fullname" : "Flow Cytometry", "shortname":"Flow Cyt"}, "WB" : {"fullname" : "Western blot", "shortname":"WB"} }, "product-promise": { "all": "all", "testedAndGuaranteed": "tested", "guaranteed": "expected", "predicted": "predicted", "notRecommended": "not-recommended" } }, "values": { "Human": { "IHCP-species-checked": "testedAndGuaranteed", "IHCP-species-dilution-info": "", "IHCP-species-notes": "<p></p>", "ICCIF-species-checked": "testedAndGuaranteed", "ICCIF-species-dilution-info": "", "ICCIF-species-notes": "<p></p>", "FlowCyt-species-checked": "testedAndGuaranteed", "FlowCyt-species-dilution-info": "", "FlowCyt-species-notes": "<p></p>", "WB-species-checked": "testedAndGuaranteed", "WB-species-dilution-info": "", "WB-species-notes": "<p></p>" }, "Mouse": { "IHCP-species-checked": "testedAndGuaranteed", "IHCP-species-dilution-info": "", "IHCP-species-notes": "<p></p>", "ICCIF-species-checked": "guaranteed", "ICCIF-species-dilution-info": "", "ICCIF-species-notes": "", "FlowCyt-species-checked": "guaranteed", "FlowCyt-species-dilution-info": "", "FlowCyt-species-notes": "", "WB-species-checked": "testedAndGuaranteed", "WB-species-dilution-info": "", "WB-species-notes": "<p></p>" }, "Rat": { "IHCP-species-checked": "testedAndGuaranteed", "IHCP-species-dilution-info": "", "IHCP-species-notes": "<p></p>", "ICCIF-species-checked": "guaranteed", "ICCIF-species-dilution-info": "", "ICCIF-species-notes": "", "FlowCyt-species-checked": "guaranteed", "FlowCyt-species-dilution-info": "", "FlowCyt-species-notes": "", "WB-species-checked": "testedAndGuaranteed", "WB-species-dilution-info": "", "WB-species-notes": "<p></p>" } } }

Product details

ab249239 is the carrier-free version of ab155996.

Patented technology
Our RabMAb® technology is a patented hybridoma-based technology for making rabbit monoclonal antibodies. For details on our patents, please refer to RabMAb® patents.

What are the advantages of a recombinant monoclonal antibody?
This product is a recombinant monoclonal antibody, which offers several advantages including:

  • - High batch-to-batch consistency and reproducibility
  • - Improved sensitivity and specificity
  • - Long-term security of supply
  • - Animal-free batch production

For more information, read more on recombinant antibodies.

Conjugation ready
Our carrier-free antibodies are typically supplied in a PBS-only formulation, purified and free of BSA, sodium azide and glycerol. This conjugation-ready format is designed for use with fluorochromes, metal isotopes, oligonucleotides, and enzymes, which makes them ideal for antibody labelling, functional and cell-based assays, flow-based assays (e.g. mass cytometry) and Multiplex Imaging applications.

Use our conjugation kits for antibody conjugates that are ready-to-use in as little as 20 minutes with 1 minute hands-on-time and 100% antibody recovery: available for fluorescent dyes, HRP, biotin and gold.

Compatibility
This product is compatible with the Maxpar® Antibody Labeling Kit from Fluidigm, without the need for antibody preparation. Maxpar® is a trademark of Fluidigm Canada Inc.

Properties and storage information

Form
Liquid
Purification technique
Affinity purification Protein A
Storage buffer
pH: 7.2 - 7.4 Constituents: PBS
Shipped at conditions
Blue Ice
Appropriate short-term storage conditions
+4°C
Appropriate long-term storage conditions
+4°C
Storage information
Do Not Freeze

Supplementary information

This supplementary information is collated from multiple sources and compiled automatically.

PDHB also known as pyruvate dehydrogenase beta subunit plays an important role in the conversion of pyruvate to acetyl-CoA. This protein forms a part of the pyruvate dehydrogenase complex (PDC) which occurs in mitochondria of numerous tissues. The PDHB subunit has a molecular mass of approximately 39 kDa. Expression of PDHB is not limited to one specific type of tissue it is generally found in various tissues indicating its widespread involvement in cellular metabolism.
Biological function summary

PDHB functions as an essential component of the PDC which catalyzes the decarboxylation of pyruvate linking glycolysis to the citric acid cycle. The PDC itself is a large multi-enzyme complex including other subunits such as E1 and E2 which coordinate efficiently to carry out its function. In this way PDHB contributes to energy production by enabling entry of carbon skeletons into the tricarboxylic acid cycle important for ATP generation.

Pathways

PDHB holds a significant role in central metabolic pathways namely glycolysis and the citric acid cycle. The conversion facilitated by the PDC forms a vital cornerstone for metabolic flux regulation influencing gluconeogenesis and fatty acid synthesis. PDHB also interacts with proteins such as pyruvate dehydrogenase kinase which regulates the PDC activity by phosphorylation thereby affecting energy metabolism directly.

Alterations in PDHB can lead to metabolic disorders such as pyruvate dehydrogenase deficiency potentially causing neurological dysfunction due to impaired energy metabolism. PDHB mutations also have a link to mitochondrial diseases reflecting its significant role in energy homeostasis. In these contexts proteins like the pyruvate dehydrogenase phosphatase are involved highlighting the clinical relevance of PDHB alterations in maintaining proper metabolic health.

Product protocols

For this product, it's our understanding that no specific protocols are required. You can visit:

Target data

The pyruvate dehydrogenase complex catalyzes the overall conversion of pyruvate to acetyl-CoA and CO(2), and thereby links the glycolytic pathway to the tricarboxylic cycle.
See full target information PDHB

Product promise

We are committed to supporting your work with high-quality reagents, and we're here for you every step of the way. In the unlikely event that one of our products does not perform as expected, you're protected by our Product Promise.
For full details, please see our Terms & Conditions

Please note: All products are 'FOR RESEARCH USE ONLY. NOT FOR USE IN DIAGNOSTIC OR THERAPEUTIC PROCEDURES'.

For licensing inquiries, please contact partnerships@abcam.com