JavaScript is disabled in your browser. Please enable JavaScript to view this website.
AB307986

Anti-PDIA2/PDIP antibody [RP23040009]

Be the first to review this product! Submit a review

|

(0 Publication)

Rabbit Recombinant Multiclonal PDIA2/PDIP antibody. Suitable for IHC-P and reacts with Human samples. Immunogen corresponding to Recombinant Fragment Protein within Human PDIA2.

View Alternative Names

PDIP, PDIA2, Protein disulfide-isomerase A2, Pancreas-specific protein disulfide isomerase, PDIp

1 Images
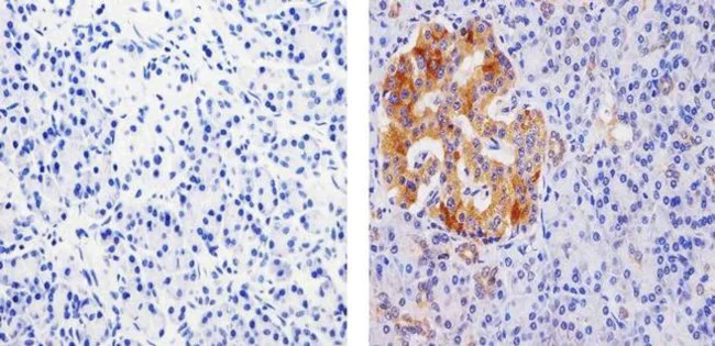
Immunohistochemistry paraffin embedded sections - Anti-PDIA2/PDIP antibody [RP23040009] (AB307986)
  • IHC-P

Supplier Data

Immunohistochemistry paraffin embedded sections - Anti-PDIA2/PDIP antibody [RP23040009] (AB307986)

Immunohistochemical analysis of paraffin-embedded human pancreas tissue labelling PDIA2 with ab307986 at 1/20 dilution, followed by HRP-conjugated secondary antibody (right). Nuclear staining on human pancreas tissue is observed. Counter stained with Hematoxylin. Secondary antibody only control (left) : Used PBS instead of primary antibody, secondary antibody is HRP-conjugated secondary antibody.

Key facts

Host species

Rabbit

Clonality

Multiclonal

Clone number

RP23040009

Isotype

IgG

Carrier free

No

Reacts with

Human

Applications

IHC-P

applications

Immunogen

Recombinant Fragment Protein within Human PDIA2.

Q13087

Reactivity data

{ "title": "Reactivity Data", "filters": { "stats": ["", "Species", "Dilution Info", "Notes"], "tabs": { "all-applications": {"fullname" : "All Applications", "shortname": "All Applications"}, "IHCP" : {"fullname" : "Immunohistochemistry (Formalin/PFA-fixed paraffin-embedded sections)", "shortname":"IHC-P"} }, "product-promise": { "all": "all", "testedAndGuaranteed": "tested", "guaranteed": "expected", "predicted": "predicted", "notRecommended": "not-recommended" } }, "values": { "Human": { "IHCP-species-checked": "testedAndGuaranteed", "IHCP-species-dilution-info": "1/20", "IHCP-species-notes": "<p></p> Perform heat-mediated antigen retrieval with citrate buffer pH 6 before commencing with IHC staining protocol." } } }

Product details

What are recombinant multiclonals?
Recombinant multiclonals are a mixture of recombinant antibodies co-expressed from a library of heavy and light chains. They offer several advantages including:

  • - The sensitivity of polyclonal antibodies by recognising multiple epitopes
  • - High batch-to-batch consistency and reproducibility
  • - Improved sensitivity and specificity
  • - Long-term security of supply
  • - Animal-free batch production

View our range of recombinant multiclonal antibodies.

Properties and storage information

Form
Liquid
Storage buffer
pH: 7.4 Preservative: 0.09% Sodium azide Constituents: 99.91% PBS
Shipped at conditions
Blue Ice
Appropriate short-term storage duration
1-2 weeks
Appropriate short-term storage conditions
+4°C
Appropriate long-term storage conditions
-20°C
Aliquoting information
Upon delivery aliquot
Storage information
Avoid freeze / thaw cycle

Supplementary information

This supplementary information is collated from multiple sources and compiled automatically.

PDIA2 also known as PDIP is a protein disulfide isomerase with a prominent role in catalyzing protein folding through the isomerization of disulfide bonds. It is part of the broader family known as PDI proteins. PDIA2 has a mass of approximately 57 kDa and expression occurs mainly in the endoplasmic reticulum. Its enzymatic activity contributes to the maintenance of cellular homeostasis by ensuring proper protein conformation. Researchers have identified PDIA2 as a target for potential PDI inhibitors due to its critical function in protein folding.
Biological function summary

PDIA2 facilitates the correct formation of disulfide bonds which is essential for protein maturation and stability. This protein operates within a multi-component complex involved in oxidative protein folding regulating the redox state in the endoplasmic reticulum environment. By assisting in proper protein assembly PDIA2 maintains the equilibrium of protein synthesis folding and degradation suggesting its importance in cellular protein metabolism.

Pathways

Studies show that PDIA2 plays a role in the oxidative protein folding pathway which is part of the larger cellular response network to oxidative stress. The interaction of PDIA2 with other protein disulfide isomerases such as PDI and ERP57 highlights its role in this critical pathway. Furthermore PDIA2 is linked to the unfolded protein response pathway indicating its involvement in cell stress conditions where misfolded proteins accumulate.

PDIA2 has associations with metabolic disorders and neurodegenerative diseases. Its role in the proper folding of insulin and other secreted proteins links PDIA2 to diabetes-related conditions. Additionally research suggests connections between PDIA2 and neurodegenerative diseases like Alzheimer's where protein misfolding and aggregation play pivotal roles. PDIA2's relationship with proteins like amyloid precursor protein further corroborates its involvement in the pathological processes of such disorders.

Product protocols

For this product, it's our understanding that no specific protocols are required. You can visit:

Target data

Acts as an intracellular estrogen-binding protein. May be involved in modulating cellular levels and biological functions of estrogens in the pancreas. May act as a chaperone that inhibits aggregation of misfolded proteins.
See full target information PDIA2

Product promise

We are committed to supporting your work with high-quality reagents, and we're here for you every step of the way. In the unlikely event that one of our products does not perform as expected, you're protected by our Product Promise.
For full details, please see our Terms & Conditions

Please note: All products are 'FOR RESEARCH USE ONLY. NOT FOR USE IN DIAGNOSTIC OR THERAPEUTIC PROCEDURES'.

For licensing inquiries, please contact partnerships@abcam.com