JavaScript is disabled in your browser. Please enable JavaScript to view this website.
AB11432

Anti-PDIA6 antibody

Be the first to review this product! Submit a review

|

(17 Publications)

Rabbit Polyclonal PDIA6 antibody. Suitable for WB, ICC/IF and reacts with Human samples. Cited in 17 publications. Immunogen corresponding to Synthetic Peptide within Human PDIA6 aa 450 to C-terminus.

View Alternative Names

ERP5, P5, TXNDC7, PDIA6, Protein disulfide-isomerase A6, Endoplasmic reticulum protein 5, Protein disulfide isomerase P5, Thioredoxin domain-containing protein 7, ER protein 5, ERp5

3 Images
Immunocytochemistry/ Immunofluorescence - Anti-PDIA6 antibody (AB11432)
  • ICC/IF

Supplier Data

Immunocytochemistry/ Immunofluorescence - Anti-PDIA6 antibody (AB11432)

Immunocytochemistry/ Immunofluorescence analysis of 70% confluent log phase A549 cells labeling PDIA6 with ab11432. The cells were fixed with 4% paraformaldehyde for 10 minutes, permeabilized with 0.1% Triton™ X-100 for 10 minutes, and blocked with 1% BSA for 1 hour at room temperature. The cells were labeled with ab11432 at 1/250 dilution in 0.1% BSA and incubated for 3 hours at room temperature and then labeled with Goat anti-Rabbit IgG (H+L) Secondary Antibody, Alexa Fluor® 488 conjugate at a dilution of 1/2000 for 45 minutes at room temperature (Panel a : green). Nuclei (Panel b : blue) were stained with SlowFade® Gold Antifade Mountant with DAPI. F-actin (Panel c : red) was stained with Rhodamine Phalloidin, 1/300). Panel d represents the merged image showing cytoplasmic localization. Panel e shows the no primary antibody control. The images were captured at 60X magnification.

Immunocytochemistry/ Immunofluorescence - Anti-PDIA6 antibody (AB11432)
  • ICC/IF

Unknown

Immunocytochemistry/ Immunofluorescence - Anti-PDIA6 antibody (AB11432)

ICC/IF image of ab11432 stained HeLa cells. The cells were 4% formaldehyde fixed (10 min) and then incubated in 1%BSA / 10% normal goat serum / 0.3M glycine in 0.1% PBS-Tween for 1h to permeabilise the cells and block non-specific protein-protein interactions. The cells were then incubated with the antibody (ab11432, 1µg/ml) overnight at +4°C. The secondary antibody (green) was ab96899, DyLight® 488 goat anti-rabbit IgG (H+L) used at a 1/250 dilution for 1h. Alexa Fluor® 594 WGA was used to label plasma membranes (red) at a 1/200 dilution for 1h. DAPI was used to stain the cell nuclei (blue) at a concentration of 1.43µM.

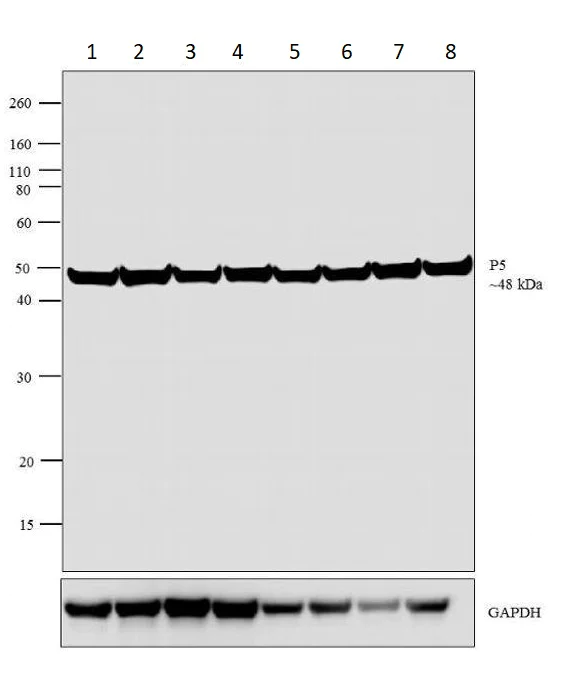
Western blot - Anti-PDIA6 antibody (AB11432)
  • WB

Supplier Data

Western blot - Anti-PDIA6 antibody (AB11432)

Detected by chemiluminescence.

All lanes:

Western blot - Anti-PDIA6 antibody (ab11432) at 1/250 dilution

Lane 1:

A549 cell lysate at 30 µg

Lane 2:

A431 cell lysate at 30 µg

Lane 3:

HeLa cell lysate at 30 µg

Lane 4:

MCF7 cell lysate at 30 µg

Lane 5:

K-562 cell lysate at 30 µg

Lane 6:

Caco-2 cell lysate at 30 µg

Lane 7:

HepG2 cell lysate at 30 µg

Lane 8:

COLO 205 cell lysate at 30 µg

Secondary

All lanes:

Goat anti-Rabbit IgG (H+L), HRP conjugate at 1/2500 dilution

Predicted band size: 48 kDa

Observed band size: 48 kDa

false

Key facts

Host species

Rabbit

Clonality

Polyclonal

Isotype

IgG

Carrier free

No

Reacts with

Human

Applications

WB, ICC/IF

applications

Immunogen

Synthetic Peptide within Human PDIA6 aa 450 to C-terminus. The exact immunogen used to generate this antibody is proprietary information.

Q15084

Reactivity data

{ "title": "Reactivity Data", "filters": { "stats": ["", "Species", "Dilution Info", "Notes"], "tabs": { "all-applications": {"fullname" : "All Applications", "shortname": "All Applications"}, "WB" : {"fullname" : "Western blot", "shortname":"WB"}, "ICCIF" : {"fullname" : "Immunocytochemistry/ Immunofluorescence", "shortname":"ICC/IF"} }, "product-promise": { "all": "all", "testedAndGuaranteed": "tested", "guaranteed": "expected", "predicted": "predicted", "notRecommended": "not-recommended" } }, "values": { "Human": { "WB-species-checked": "testedAndGuaranteed", "WB-species-dilution-info": "1/250", "WB-species-notes": "<p></p>", "ICCIF-species-checked": "testedAndGuaranteed", "ICCIF-species-dilution-info": "1/250", "ICCIF-species-notes": "<p></p>" }, "Rat": { "WB-species-checked": "predicted", "WB-species-dilution-info": "", "WB-species-notes": "", "ICCIF-species-checked": "predicted", "ICCIF-species-dilution-info": "", "ICCIF-species-notes": "" }, "Hamster": { "WB-species-checked": "predicted", "WB-species-dilution-info": "", "WB-species-notes": "", "ICCIF-species-checked": "predicted", "ICCIF-species-dilution-info": "", "ICCIF-species-notes": "" }, "Xenopus laevis": { "WB-species-checked": "predicted", "WB-species-dilution-info": "", "WB-species-notes": "", "ICCIF-species-checked": "predicted", "ICCIF-species-dilution-info": "", "ICCIF-species-notes": "" } } }

Have you thought about this alternative?

AB154820

Anti-PDIA6 antibody [EPR10132(B)]

5
3 Reviews
View product

We’re constantly upgrading our range to offer the highest quality products. We have selected this alternative product for your review because it gives improved performance, is easier and more convenient to use, or is available faster.

Properties and storage information

Form
Liquid
Purity
Whole antiserum
Storage buffer
Preservative: 0.01% Sodium azide
Shipped at conditions
Blue Ice
Appropriate short-term storage duration
1-2 weeks
Appropriate short-term storage conditions
+4°C
Appropriate long-term storage conditions
-20°C
Aliquoting information
Upon delivery aliquot
Storage information
Avoid freeze / thaw cycle

Supplementary information

This supplementary information is collated from multiple sources and compiled automatically.

PDIA6 also known as Protein Disulfide Isomerase Family A Member 6 is a protein with a molecular mass of approximately 48 kDa. This protein resides primarily in the endoplasmic reticulum (ER) where it engages in the formation and rearrangement of disulfide bonds during the protein folding process. PDIA6 also facilitates chaperone activity aiding the proper folding of nascent proteins. Its expression is widespread but shows higher levels in secretory tissues reflecting its involvement in protein synthesis and processing.
Biological function summary

PDIA6 plays a critical role in maintaining cellular homeostasis by ensuring correct protein folding within the ER. It interacts with various substrates and is part of a larger protein complex along with other ER-resident chaperones and foldases. This protein also responds to ER stress by assisting in the unfolded protein response (UPR) a signaling cascade that restores normal function of the ER or triggers apoptosis if the stress is unresolved.

Pathways

PDIA6 holds a significant position in the folding modification and degradation of proteins via the ER-associated degradation (ERAD) pathway. This pathway involves collaboration with proteins such as BiP and ERp72 which together prevent accumulation of misfolded proteins. PDIA6 also contributes to the cellular redox homeostasis playing an important role in maintaining the balance of oxidative states within the cell which can influence pathways like the UPR.

PDIA6 associates with conditions characterized by ER stress including neurodegenerative disorders like Alzheimer's disease as well as cancer. In Alzheimer’s disease alterations in its function may affect the handling of misfolded proteins aligning it with amyloid precursor protein processing. In cancer its modulation of protein folding and stress responses links it to oncogenic pathways interacting with proteins such as p53 which can influence cell apoptosis and survival.

Product protocols

For this product, it's our understanding that no specific protocols are required. You can visit:

Target data

May function as a chaperone that inhibits aggregation of misfolded proteins (PubMed : 12204115). Negatively regulates the unfolded protein response (UPR) through binding to UPR sensors such as ERN1, which in turn inactivates ERN1 signaling (PubMed : 24508390). May also regulate the UPR via the EIF2AK3 UPR sensor (PubMed : 24508390). Plays a role in platelet aggregation and activation by agonists such as convulxin, collagen and thrombin (PubMed : 15466936).
See full target information PDIA6

Publications (17)

Recent publications for all applications. Explore the full list and refine your search

Science advances 8:eabm6063 PubMed35319980

2022

Endoplasmic reticulum chaperone genes encode effectors of long-term memory.

Applications

Unspecified application

Species

Unspecified reactive species

Snehajyoti Chatterjee,Ethan Bahl,Utsav Mukherjee,Emily N Walsh,Mahesh Shivarama Shetty,Amy L Yan,Yann Vanrobaeys,Joseph D Lederman,K Peter Giese,Jacob Michaelson,Ted Abel

Neuron 110:436-451.e11 PubMed34793693

2021

Rescue of α-synuclein aggregation in Parkinson's patient neurons by synergistic enhancement of ER proteostasis and protein trafficking.

Applications

Unspecified application

Species

Unspecified reactive species

Iva Stojkovska,Willayat Y Wani,Friederike Zunke,Nandkishore R Belur,Egor A Pavlenko,Nkatha Mwenda,Karan Sharma,Laetitia Francelle,Joseph R Mazzulli

Frontiers in molecular biosciences 8:702341 PubMed34692768

2021

Characterization of the Cancer-Associated Meprin Βeta Variants G45R and G89R.

Applications

Unspecified application

Species

Unspecified reactive species

Antonin Gellrich,Franka Scharfenberg,Florian Peters,Martin Sammel,Ole Helm,Fred Armbrust,Frederike Schmidt,Juliane Lokau,Christoph Garbers,Susanne Sebens,Philipp Arnold,Christoph Becker-Pauly

World journal of surgical oncology 19:88 PubMed33761940

2021

PDIA6 contributes to aerobic glycolysis and cancer progression in oral squamous cell carcinoma.

Applications

Unspecified application

Species

Unspecified reactive species

Ling Mao,Xiaoweng Wu,Zhengpeng Gong,Ming Yu,Zhi Huang

STAR protocols 2:100340 PubMed33659904

2021

Analysis of lysosomal hydrolase trafficking and activity in human iPSC-derived neuronal models.

Applications

Unspecified application

Species

Unspecified reactive species

Leah K Cuddy,Joseph R Mazzulli

Molecular medicine reports 23: PubMed33398381

2021

Vascular endothelial ERp72 is involved in the inflammatory response in a rat model of skeletal muscle injury.

Applications

Unspecified application

Species

Unspecified reactive species

Noureddine Ben Khalaf,Dalal Al-Μehatab,Dahmani M Fathallah

Molecular cancer research : MCR 18:847-858 PubMed32102897

2020

Heat Shock Protein 47 Maintains Cancer Cell Growth by Inhibiting the Unfolded Protein Response Transducer IRE1α.

Applications

Unspecified application

Species

Unspecified reactive species

Akihiro Yoneda,Kaori Sakai-Sawada,Kenjiro Minomi,Yasuaki Tamura

British journal of pharmacology 177:1556-1567 PubMed31713846

2020

Phosphatidylinositol 3-kinase-δ controls endoplasmic reticulum membrane fluidity and permeability in fungus-induced allergic inflammation in mice.

Applications

Unspecified application

Species

Unspecified reactive species

Hwa-Young Lee,Geum-Hwa Lee,Hyung-Ryong Kim,Yong-Chul Lee,Han-Jung Chae

International journal of molecular sciences 20: PubMed31060243

2019

Functional Characterization of Colon Cancer-Associated Mutations in : Modifications in the Pro-Domain Interfere with Trafficking and Maturation.

Applications

Unspecified application

Species

Unspecified reactive species

Egor Pavlenko,Anne-Sophie Cabron,Philipp Arnold,Jan Philipp Dobert,Stefan Rose-John,Friederike Zunke

EMBO reports 20: PubMed30733280

2019

The intramembrane protease SPPL2c promotes male germ cell development by cleaving phospholamban.

Applications

Unspecified application

Species

Unspecified reactive species

Johannes Niemeyer,Torben Mentrup,Ronny Heidasch,Stephan A Müller,Uddipta Biswas,Rieke Meyer,Alkmini A Papadopoulou,Verena Dederer,Martina Haug-Kröper,Vivian Adamski,Renate Lüllmann-Rauch,Martin Bergmann,Artur Mayerhofer,Paul Saftig,Gunther Wennemuth,Rolf Jessberger,Regina Fluhrer,Stefan F Lichtenthaler,Marius K Lemberg,Bernd Schröder
View all publications

Product promise

We are committed to supporting your work with high-quality reagents, and we're here for you every step of the way. In the unlikely event that one of our products does not perform as expected, you're protected by our Product Promise.
For full details, please see our Terms & Conditions

Associated Products

Select an associated product type
Alternative Product
Primary Antibodies

AB225993

Anti-PDIA6 antibody

primary-antibodies

pdia6-antibody-ab225993

0

(0 reviews)

Alternative Product
Primary Antibodies

AB201733

HRP Anti-PDIA6 antibody [EPR10132(B)]

primary-antibodies

hrp-pdia6-antibody-epr10132b-ab201733

0

(0 reviews)

Alternative Product
Primary Antibodies

AB227545

Anti-PDIA6 antibody

primary-antibodies

pdia6-antibody-ab227545

0

(0 reviews)

Please note: All products are 'FOR RESEARCH USE ONLY. NOT FOR USE IN DIAGNOSTIC OR THERAPEUTIC PROCEDURES'.

For licensing inquiries, please contact partnerships@abcam.com