JavaScript is disabled in your browser. Please enable JavaScript to view this website.
AB225993

Anti-PDIA6 antibody

Be the first to review this product! Submit a review

|

(1 Publication)

Rabbit Polyclonal PDIA6 antibody. Suitable for IHC-P, IP, WB and reacts with Human samples. Cited in 1 publication. Immunogen corresponding to Synthetic Peptide within Human PDIA6 aa 350 to C-terminus.

View Alternative Names

ERP5, P5, TXNDC7, PDIA6, Protein disulfide-isomerase A6, Endoplasmic reticulum protein 5, Protein disulfide isomerase P5, Thioredoxin domain-containing protein 7, ER protein 5, ERp5

3 Images
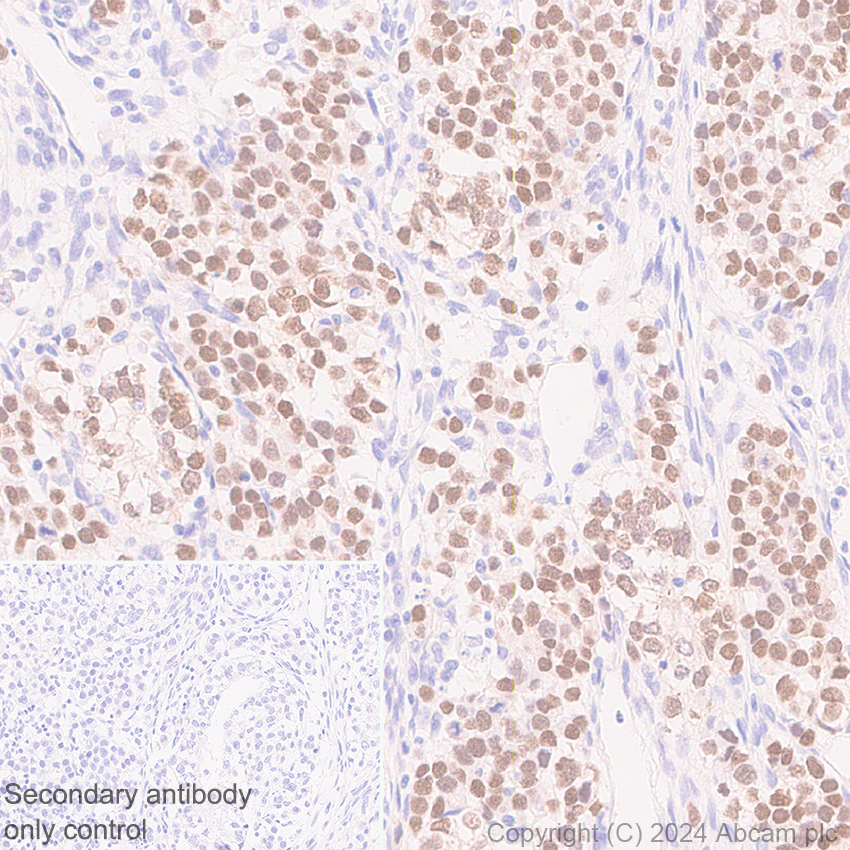
Immunohistochemistry (Formalin/PFA-fixed paraffin-embedded sections) - Anti-PDIA6 antibody (AB225993)
  • IHC-P

Supplier Data

Immunohistochemistry (Formalin/PFA-fixed paraffin-embedded sections) - Anti-PDIA6 antibody (AB225993)

Formalin-fixed, paraffin-embedded human colon carcinoma tissue stained for PDIA6 using ab225993 at 1/5000 dilution in immunohistochemical analysis.

Detection : DAB staining.

Immunoprecipitation - Anti-PDIA6 antibody (AB225993)
  • IP

Supplier Data

Immunoprecipitation - Anti-PDIA6 antibody (AB225993)

PDIA6 was immunoprecipitated from HEK-293T (human epithelial cell line from embryonic kidney transformed with large T antigen) whole cell lysate (prepared using NETN lysis buffer; 1 mg for IP, 20% of IP loaded) with ab225993 at 6 μg/mg lysate. Western blot was performed from the immunoprecipitate using ab225993 at 0.1 μg/ml.

Lane 1 : ab225993IP in HEK-293T whole cell lysate.

Lane 2 : Control IgG IP in HEK-293T whole cell lysate.

Detection : Chemiluminescence with exposure time of 30 seconds.

All lanes:

Immunoprecipitation - Anti-PDIA6 antibody (ab225993)

Predicted band size: 48 kDa

false

Western blot - Anti-PDIA6 antibody (AB225993)
  • WB

Supplier Data

Western blot - Anti-PDIA6 antibody (AB225993)

Lysates prepared using NETN lysis buffer.

All lanes:

Western blot - Anti-PDIA6 antibody (ab225993) at 0.1 µg/mL

Lane 1:

HeLa (human epithelial cell line from cervix adenocarcinoma) whole cell lysate at 50 µg

Lane 2:

HEK-293T (human epithelial cell line from embryonic kidney transformed with large T antigen) whole cell lysate at 50 µg

Lane 3:

Jurkat (human T cell leukemia cell line from peripheral blood) whole cell lysate at 50 µg

Lane 4:

TCMK-1 (mouse kidney epithelial cell line) whole cell lysate at 50 µg

Lane 5:

NIH/3T3 (mouse embryo fibroblast cell line) whole cell lysate at 50 µg

Predicted band size: 48 kDa

true

Exposure time: 30s

Key facts

Host species

Rabbit

Clonality

Polyclonal

Isotype

IgG

Carrier free

No

Reacts with

Human

Applications

IHC-P, WB, IP

applications

Immunogen

Synthetic Peptide within Human PDIA6 aa 350 to C-terminus. The exact immunogen used to generate this antibody is proprietary information.

Q15084

Reactivity data

{ "title": "Reactivity Data", "filters": { "stats": ["", "Species", "Dilution Info", "Notes"], "tabs": { "all-applications": {"fullname" : "All Applications", "shortname": "All Applications"}, "IHCP" : {"fullname" : "Immunohistochemistry (Formalin/PFA-fixed paraffin-embedded sections)", "shortname":"IHC-P"}, "IP" : {"fullname" : "Immunoprecipitation", "shortname":"IP"}, "WB" : {"fullname" : "Western blot", "shortname":"WB"} }, "product-promise": { "all": "all", "testedAndGuaranteed": "tested", "guaranteed": "expected", "predicted": "predicted", "notRecommended": "not-recommended" } }, "values": { "Human": { "IHCP-species-checked": "testedAndGuaranteed", "IHCP-species-dilution-info": "1/2000 - 1/10000", "IHCP-species-notes": "<p></p> Perform heat-mediated antigen retrieval with citrate buffer pH 6 before commencing with IHC staining protocol.", "IP-species-checked": "testedAndGuaranteed", "IP-species-dilution-info": "2-10 µg/mg of lysate", "IP-species-notes": "<p></p>", "WB-species-checked": "testedAndGuaranteed", "WB-species-dilution-info": "1/2000 - 1/10000", "WB-species-notes": "<p></p>" }, "Orangutan": { "IHCP-species-checked": "predicted", "IHCP-species-dilution-info": "", "IHCP-species-notes": "", "IP-species-checked": "predicted", "IP-species-dilution-info": "", "IP-species-notes": "", "WB-species-checked": "predicted", "WB-species-dilution-info": "", "WB-species-notes": "" } } }

Properties and storage information

Form
Liquid
Purification technique
Affinity purification Immunogen
Purification notes
ab225993 was affinity purified using an epitope specific to PDIA6 immobilized on solid support.
Storage buffer
pH: 7 - 8 Preservative: 0.09% Sodium azide Constituents: Tris citrate/phosphate
Shipped at conditions
Blue Ice
Appropriate short-term storage duration
1-2 weeks
Appropriate short-term storage conditions
+4°C
Appropriate long-term storage conditions
-20°C
Aliquoting information
Upon delivery aliquot
Storage information
Avoid freeze / thaw cycle

Supplementary information

This supplementary information is collated from multiple sources and compiled automatically.

PDIA6 also known as Protein Disulfide Isomerase Family A Member 6 is a protein with a molecular mass of approximately 48 kDa. This protein resides primarily in the endoplasmic reticulum (ER) where it engages in the formation and rearrangement of disulfide bonds during the protein folding process. PDIA6 also facilitates chaperone activity aiding the proper folding of nascent proteins. Its expression is widespread but shows higher levels in secretory tissues reflecting its involvement in protein synthesis and processing.
Biological function summary

PDIA6 plays a critical role in maintaining cellular homeostasis by ensuring correct protein folding within the ER. It interacts with various substrates and is part of a larger protein complex along with other ER-resident chaperones and foldases. This protein also responds to ER stress by assisting in the unfolded protein response (UPR) a signaling cascade that restores normal function of the ER or triggers apoptosis if the stress is unresolved.

Pathways

PDIA6 holds a significant position in the folding modification and degradation of proteins via the ER-associated degradation (ERAD) pathway. This pathway involves collaboration with proteins such as BiP and ERp72 which together prevent accumulation of misfolded proteins. PDIA6 also contributes to the cellular redox homeostasis playing an important role in maintaining the balance of oxidative states within the cell which can influence pathways like the UPR.

PDIA6 associates with conditions characterized by ER stress including neurodegenerative disorders like Alzheimer's disease as well as cancer. In Alzheimer’s disease alterations in its function may affect the handling of misfolded proteins aligning it with amyloid precursor protein processing. In cancer its modulation of protein folding and stress responses links it to oncogenic pathways interacting with proteins such as p53 which can influence cell apoptosis and survival.

Product protocols

For this product, it's our understanding that no specific protocols are required. You can visit:

Target data

May function as a chaperone that inhibits aggregation of misfolded proteins (PubMed : 12204115). Negatively regulates the unfolded protein response (UPR) through binding to UPR sensors such as ERN1, which in turn inactivates ERN1 signaling (PubMed : 24508390). May also regulate the UPR via the EIF2AK3 UPR sensor (PubMed : 24508390). Plays a role in platelet aggregation and activation by agonists such as convulxin, collagen and thrombin (PubMed : 15466936).
See full target information PDIA6

Publications (1)

Recent publications for all applications. Explore the full list and refine your search

OncoTargets and therapy 13:2399-2409 PubMed32273713

2020

CircRNA ZNF609 Knockdown Suppresses Cell Growth via Modulating miR-188/ELF2 Axis in Nasopharyngeal Carcinoma.

Applications

Unspecified application

Species

Unspecified reactive species

Mingyan Li,Yujie Li,Min Yu
View all publications

Product promise

We are committed to supporting your work with high-quality reagents, and we're here for you every step of the way. In the unlikely event that one of our products does not perform as expected, you're protected by our Product Promise.
For full details, please see our Terms & Conditions

Please note: All products are 'FOR RESEARCH USE ONLY. NOT FOR USE IN DIAGNOSTIC OR THERAPEUTIC PROCEDURES'.

For licensing inquiries, please contact partnerships@abcam.com