JavaScript is disabled in your browser. Please enable JavaScript to view this website.
AB154820

Anti-PDIA6 antibody [EPR10132(B)]

5

(3 Reviews)

|

(11 Publications)

Rabbit Recombinant Monoclonal PDIA6 antibody. Suitable for WB, ICC/IF, Flow Cyt (Intra) and reacts with Rat, Human samples. Cited in 11 publications.

View Alternative Names

ERP5, P5, TXNDC7, PDIA6, Protein disulfide-isomerase A6, Endoplasmic reticulum protein 5, Protein disulfide isomerase P5, Thioredoxin domain-containing protein 7, ER protein 5, ERp5

3 Images
Flow Cytometry (Intracellular) - Anti-PDIA6 antibody [EPR10132(B)] (AB154820)
  • Flow Cyt (Intra)

Supplier Data

Flow Cytometry (Intracellular) - Anti-PDIA6 antibody [EPR10132(B)] (AB154820)

Flow Cytometry analysis of HT-1080 (Human fibrosarcoma epithelial cell) cells labelling PDIA6 with purified ab154820 at 1/100 dilution (10 µg/ml) (red). Cells were fixed with 4% Paraformaldehyde and permeabilised with 90% Methanol. A Goat anti-rabbit IgG (Alexa Fluor® 488) (ab150081) secondary antibody was used at 1/2000. Isotype control - Rabbit monoclonal IgG (black). Unlabelled control - Cell without incubation with primary antibody and secondary antibody (blue).

Immunocytochemistry/ Immunofluorescence - Anti-PDIA6 antibody [EPR10132(B)] (AB154820)
  • ICC/IF

Supplier Data

Immunocytochemistry/ Immunofluorescence - Anti-PDIA6 antibody [EPR10132(B)] (AB154820)

Immunocytochemistry analysis of K-562 (Human chronic myelogenous leukemia lymphoblast) cells labeling PDIA6 with purified ab154820 at 1 : 100 dilution (9.5 µg/ml). Cells were fixed in 4% Paraformaldehyde and permeabilized with 0.1% tritonX-100. Goat anti-rabbit IgG (Alexa Fluor® 488) (ab150077) was used as the secondary antibody at 1 : 1000 (2 µg/ml) dilution. DAPI (blue) was used as a nuclear counterstain. PBS instead of the primary antibody was used as the secondary antibody only control.

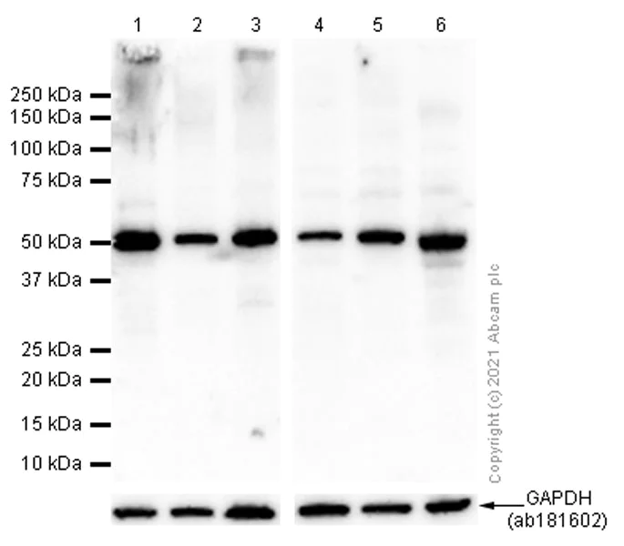
Western blot - Anti-PDIA6 antibody [EPR10132(B)] (AB154820)
  • WB

Supplier Data

Western blot - Anti-PDIA6 antibody [EPR10132(B)] (AB154820)

All lanes:

Western blot - Anti-PDIA6 antibody [EPR10132(B)] (ab154820) at 1/1000 dilution

Lane 1:

HepG2 (Human hepatocellular carcinoma epithelial cell) whole cell lysate at 20 µg

Lane 2:

K-562 (Human chronic myelogenous leukemia lymphoblast) whole cell lysate at 20 µg

Lane 3:

HT-1080 (Human fibrosarcoma epithelial cell) whole cell lysate at 20 µg

Lane 4:

Rat spleen lysate at 20 µg

Lane 5:

Rat testis lysate at 20 µg

Lane 6:

Rat liver lysate at 20 µg

Secondary

All lanes:

Western blot - Goat Anti-Rabbit IgG H&L (HRP) (<a href='/en-us/products/secondary-antibodies/goat-rabbit-igg-h-l-hrp-ab97051'>ab97051</a>) at 1/20000 dilution

Predicted band size: 48 kDa

Observed band size: 48 kDa

false

  • HRP

    HRP Anti-PDIA6 antibody [EPR10132(B)]

  • Carrier free

    Anti-PDIA6 antibody [EPR10132(B)] - BSA and Azide free

Key facts

Host species

Rabbit

Clonality

Monoclonal

Clone number

EPR10132(B)

Isotype

IgG

Carrier free

No

Reacts with

Human, Rat

Applications

Flow Cyt (Intra), ICC/IF, WB

applications

Immunogen

The exact immunogen used to generate this antibody is proprietary information.

Reactivity data

{ "title": "Reactivity Data", "filters": { "stats": ["", "Species", "Dilution Info", "Notes"], "tabs": { "all-applications": {"fullname" : "All Applications", "shortname": "All Applications"}, "WB" : {"fullname" : "Western blot", "shortname":"WB"}, "ICCIF" : {"fullname" : "Immunocytochemistry/ Immunofluorescence", "shortname":"ICC/IF"}, "FlowCytIntra" : {"fullname" : "Flow Cytometry (Intracellular)", "shortname":"Flow Cyt (Intra)"} }, "product-promise": { "all": "all", "testedAndGuaranteed": "tested", "guaranteed": "expected", "predicted": "predicted", "notRecommended": "not-recommended" } }, "values": { "Human": { "WB-species-checked": "testedAndGuaranteed", "WB-species-dilution-info": "1/1000 - 1/10000", "WB-species-notes": "<p></p>", "ICCIF-species-checked": "testedAndGuaranteed", "ICCIF-species-dilution-info": "1/100", "ICCIF-species-notes": "<p><strong>For unpurified use at 1/250 - 1/500.</strong></p>", "FlowCytIntra-species-checked": "testedAndGuaranteed", "FlowCytIntra-species-dilution-info": "1/100 - 1/500", "FlowCytIntra-species-notes": "<p><a href='/en-us/products/primary-antibodies/rabbit-igg-monoclonal-epr25a-isotype-control-ab172730'>ab172730</a> - Rabbit monoclonal IgG, is suitable for use as an isotype control with this antibody.</p>" }, "Rat": { "WB-species-checked": "testedAndGuaranteed", "WB-species-dilution-info": "1/1000 - 1/10000", "WB-species-notes": "<p></p>", "ICCIF-species-checked": "guaranteed", "ICCIF-species-dilution-info": "", "ICCIF-species-notes": "", "FlowCytIntra-species-checked": "guaranteed", "FlowCytIntra-species-dilution-info": "", "FlowCytIntra-species-notes": "" } } }

Product details

Patented technology
Our RabMAb® technology is a patented hybridoma-based technology for making rabbit monoclonal antibodies. For details on our patents, please refer to RabMAb® patents.

What are the advantages of a recombinant monoclonal antibody?
This product is a recombinant monoclonal antibody, which offers several advantages including:

  • - High batch-to-batch consistency and reproducibility
  • - Improved sensitivity and specificity
  • - Long-term security of supply
  • - Animal-free batch production

For more information, read more on recombinant antibodies.

Properties and storage information

Form
Liquid
Purification technique
Affinity purification Protein A
Storage buffer
pH: 7.2 - 7.4 Preservative: 0.01% Sodium azide Constituents: 59% PBS, 40% Glycerol (glycerin, glycerine), 0.05% BSA
Shipped at conditions
Blue Ice
Appropriate short-term storage duration
1-2 weeks
Appropriate short-term storage conditions
+4°C
Appropriate long-term storage conditions
-20°C
Aliquoting information
Upon delivery aliquot
Storage information
Avoid freeze / thaw cycle

Supplementary information

This supplementary information is collated from multiple sources and compiled automatically.

PDIA6 also known as Protein Disulfide Isomerase Family A Member 6 is a protein with a molecular mass of approximately 48 kDa. This protein resides primarily in the endoplasmic reticulum (ER) where it engages in the formation and rearrangement of disulfide bonds during the protein folding process. PDIA6 also facilitates chaperone activity aiding the proper folding of nascent proteins. Its expression is widespread but shows higher levels in secretory tissues reflecting its involvement in protein synthesis and processing.
Biological function summary

PDIA6 plays a critical role in maintaining cellular homeostasis by ensuring correct protein folding within the ER. It interacts with various substrates and is part of a larger protein complex along with other ER-resident chaperones and foldases. This protein also responds to ER stress by assisting in the unfolded protein response (UPR) a signaling cascade that restores normal function of the ER or triggers apoptosis if the stress is unresolved.

Pathways

PDIA6 holds a significant position in the folding modification and degradation of proteins via the ER-associated degradation (ERAD) pathway. This pathway involves collaboration with proteins such as BiP and ERp72 which together prevent accumulation of misfolded proteins. PDIA6 also contributes to the cellular redox homeostasis playing an important role in maintaining the balance of oxidative states within the cell which can influence pathways like the UPR.

PDIA6 associates with conditions characterized by ER stress including neurodegenerative disorders like Alzheimer's disease as well as cancer. In Alzheimer’s disease alterations in its function may affect the handling of misfolded proteins aligning it with amyloid precursor protein processing. In cancer its modulation of protein folding and stress responses links it to oncogenic pathways interacting with proteins such as p53 which can influence cell apoptosis and survival.

Product protocols

For this product, it's our understanding that no specific protocols are required. You can visit:

Target data

May function as a chaperone that inhibits aggregation of misfolded proteins (PubMed : 12204115). Negatively regulates the unfolded protein response (UPR) through binding to UPR sensors such as ERN1, which in turn inactivates ERN1 signaling (PubMed : 24508390). May also regulate the UPR via the EIF2AK3 UPR sensor (PubMed : 24508390). Plays a role in platelet aggregation and activation by agonists such as convulxin, collagen and thrombin (PubMed : 15466936).
See full target information PDIA6

Publications (11)

Recent publications for all applications. Explore the full list and refine your search

Molecular medicine reports 31: PubMed40242951

2025

Preliminary exploration of endoplasmic reticulum stress transmission in astrocytes and neurons, and its mediators.

Applications

Unspecified application

Species

Unspecified reactive species

Yating Ling,Muhammad Abid Hayat,Xiaorui Lv,Dongdong Niu,Yu Zeng,Yun Qiu,Bo Chen,Jiabo Hu

Nature chemical biology 21:490-500 PubMed39215100

2024

µMap proximity labeling in living cells reveals stress granule disassembly mechanisms.

Applications

Unspecified application

Species

Unspecified reactive species

Chenmengxiao Roderick Pan,Steve D Knutson,Sean W Huth,David W C MacMillan

JCI insight 9: PubMed38912589

2024

Protein disulfide isomerase is essential for spermatogenesis in mice.

Applications

Unspecified application

Species

Unspecified reactive species

Yaqiong Zhang,Aizhen Yang,Zhenzhen Zhao,Fengwu Chen,Xiaofeng Yan,Yue Han,Depei Wu,Yi Wu

Cardiovascular diabetology 23:129 PubMed38622592

2024

Circ_005077 accelerates myocardial lipotoxicity induced by high-fat diet via CyPA/p47PHOX mediated ferroptosis.

Applications

Unspecified application

Species

Unspecified reactive species

Xinzhu Ni,Lian Duan,Yandong Bao,Jinyang Li,Xiaowen Zhang,Dalin Jia,Nan Wu

Proceedings of the National Academy of Sciences of the United States of America 120:e2216857120 PubMed37216546

2023

Redox states in the endoplasmic reticulum directly regulate the activity of calcium channel, inositol 1,4,5-trisphosphate receptors.

Applications

Unspecified application

Species

Unspecified reactive species

Shohei Fujii,Ryo Ushioda,Kazuhiro Nagata

Anais brasileiros de dermatologia 98:17-25 PubMed36244946

2022

Downregulated miR-181a alleviates HO-induced oxidative stress and cellular senescence by targeting PDIA6 in human foreskin fibroblasts.

Applications

Unspecified application

Species

Unspecified reactive species

Yan Huang,Huimin Yan,Yanqing Yang,Jinfei Zhou,Qijun Xu,Hu Meng

Environmental toxicology 37:637-649 PubMed34894065

2021

β-Amyrin ameliorates diabetic nephropathy in mice and regulates the miR-181b-5p/HMGB2 axis in high glucose-stimulated HK-2 cells.

Applications

Unspecified application

Species

Unspecified reactive species

Wenhua Xu,Hongwu Zhang,Qinfeng Zhang,Jialan Xu

Frontiers in pharmacology 11:39 PubMed32116715

2020

Fibroblast Growth Factor 10 Attenuates Renal Damage by Regulating Endoplasmic Reticulum Stress After Ischemia-Reperfusion Injury.

Applications

Unspecified application

Species

Unspecified reactive species

Xiaohua Tan,Lixia Yu,Ruo Yang,Qianyu Tao,Lijun Xiang,Jian Xiao,Jin-San Zhang

PLoS genetics 15:e1008215 PubMed31260448

2019

XBP1 signalling is essential for alleviating mutant protein aggregation in ER-stress related skeletal disease.

Applications

Unspecified application

Species

Unspecified reactive species

Katarzyna A Piróg,Ella P Dennis,Claire L Hartley,Robert M Jackson,Jamie Soul,Jean-Marc Schwartz,John F Bateman,Raymond P Boot-Handford,Michael D Briggs

Cell stress & chaperones 24:159-173 PubMed30543055

2018

Mesencephalic astrocyte-derived neurotropic factor is an important factor in chondrocyte ER homeostasis.

Applications

Unspecified application

Species

Unspecified reactive species

P A Bell,E P Dennis,C L Hartley,R M Jackson,A Porter,R P Boot-Handford,K A Pirog,M D Briggs
View all publications

Product promise

We are committed to supporting your work with high-quality reagents, and we're here for you every step of the way. In the unlikely event that one of our products does not perform as expected, you're protected by our Product Promise.
For full details, please see our Terms & Conditions

Please note: All products are 'FOR RESEARCH USE ONLY. NOT FOR USE IN DIAGNOSTIC OR THERAPEUTIC PROCEDURES'.

For licensing inquiries, please contact partnerships@abcam.com