JavaScript is disabled in your browser. Please enable JavaScript to view this website.
AB110335

Anti-PDK1 antibody [2H3AA11]

Be the first to review this product! Submit a review

|

(5 Publications)

Mouse Monoclonal PDK1 antibody. Suitable for Flow Cyt, WB, ICC/IF and reacts with Human samples. Cited in 5 publications.

View Alternative Names

PDHK1, PDK1, Pyruvate dehydrogenase kinase isoform 1, PDH kinase 1

6 Images
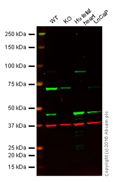
Western blot - Anti-PDK1 antibody [2H3AA11] (AB110335)
  • WB

Lab

Western blot - Anti-PDK1 antibody [2H3AA11] (AB110335)

Lane 1 : Wild-type HAP1 cell lysate (20 μg)
Lane 2 : PDK1 knockout HAP1 cell lysate (20 μg)
Lane 3 : Human fetal heart lysate (20 μg)
Lane 4 : LnCaP cell lysate (20 μg)
Lanes 1 - 4 : Merged signal (red and green). Green - ab110335 observed at 46 kDa. Red - loading control, ab8245, observed at 37 kDa.

ab110335 detected the expected band for PDK1 in wild-type cells and the band was not seen in knockout cells. Additional cross-reactive bands were observed in the wild-type and knockout cells. Wild-type and PDK1 knockout samples were subjected to SDS-PAGE. ab110335 and ab8245 (loading control to GAPDH) were diluted 1 μg/mL and 1/10 000 respectively and incubated overnight at 4°C. Blots were developed with Goat anti-Mouse IgG H&L (IRDye® 800CW) preadsorbed (ab216772) and Goat Anti-Rabbit IgG H&L (IRDye® 680RD) preadsorbed (ab216777) secondary antibodies at 1/10 000 dilution for 1 hour at room temperature before imaging.

All lanes:

Western blot - Anti-PDK1 antibody [2H3AA11] (ab110335)

Predicted band size: 49 kDa

false

Flow Cytometry - Anti-PDK1 antibody [2H3AA11] (AB110335)
  • Flow Cyt

Unknown

Flow Cytometry - Anti-PDK1 antibody [2H3AA11] (AB110335)

HL-60 cells were stained with 1 µg/mL PDK1 antibody (ab110335) (blue) or an equal amount of an isotype control antibody (red) and analyzed by flow cytometry.

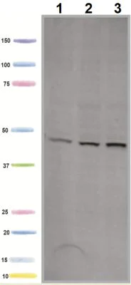
Western blot - Anti-PDK1 antibody [2H3AA11] (AB110335)
  • WB

Unknown

Western blot - Anti-PDK1 antibody [2H3AA11] (AB110335)

All lanes:

Western blot - Anti-PDK1 antibody [2H3AA11] (ab110335) at 1 µg/mL

Lane 1:

Human heart lysate at 10 µg

Lane 2:

Human liver lysate at 10 µg

Lane 3:

Recombinant Human PDK1 at 0.01 µg

Lane 4:

Recombinant Human PDK2 at 0.01 µg

Lane 5:

Recombinant Human PDK3 at 0.01 µg

Lane 6:

Recombinant Human PDK4 at 0.01 µg

Predicted band size: 49 kDa

false

Western blot - Anti-PDK1 antibody [2H3AA11] (AB110335)
  • WB

Unknown

Western blot - Anti-PDK1 antibody [2H3AA11] (AB110335)

Treatment with either CoCl2 or DFO results in increased expression of PDK1, which is known to be transcriptionally upregulated in response to hypoxia.

All lanes:

Western blot - Anti-PDK1 antibody [2H3AA11] (ab110335) at 1 µg/mL

Lane 1:

HeLa cells incubated for 24 hours with vehicle at 30 µg

Lane 2:

HeLa cells incubated for 24 hours with 100 µM cobalt chloride (CoCl2) at 30 µg

Lane 3:

HeLa cells incubated for 24 hours with 1 mM deferoxamine (DFO) at 30 µg

Predicted band size: 49 kDa

false

Immunocytochemistry/ Immunofluorescence - Anti-PDK1 antibody [2H3AA11] (AB110335)
  • ICC/IF

Unknown

Immunocytochemistry/ Immunofluorescence - Anti-PDK1 antibody [2H3AA11] (AB110335)

Immunocytochemistry image of PDK1 stained HeLa cells. The Upper image shows cells which were paraformaldehyde fixed (4%, 20 minutes) and Triton X-100 permeabilized (0.1%, 15 minutes). The cells were incubated with the PDK1 antibody (ab110335) at 2 µg/mL for 2 hours at room temperature or over night at 4°C. The secondary antibody was (green) Alexa Fluor® 488 goat anti-mouse IgG (H+L) at a 1/1000 dilution for 1 hour. 10% Goat serum was used as the blocking agent for all blocking steps. The target protein locates to the mitochondrial matrix.
The lower image shows cells co-stained with an antibody against HSP60 (red), an enzyme also located in the mitochondrial matrix. The composite image shows an identical mitochondrial pattern for both antibodies indicated by merged orange color.

Western blot - Anti-PDK1 antibody [2H3AA11] (AB110335)
  • WB

CiteAb

Western blot - Anti-PDK1 antibody [2H3AA11] (AB110335)

PDK1 western blot using anti-PDK1 antibody [2H3AA11] ab110335. Publication image and figure legend from Goto, M., Miwa, H., et al., 2014, BMC Cancer, PubMed 24506813.

ab110335 was used in this publication in western blot. This may not be the same as the application(s) guaranteed by Abcam. For a full list of applications guaranteed by Abcam for ab110335 please see the product overview.

Western blot of PDK1. NB4 and THP-1 were cultured in the same condition as cell proliferation assay for 24 hours. PDK1 was abundantly expressed in NB4 even under normoxia, culture under hypoxia did not augment the expression of PDK1 in NB4. Expression of PDK1 was augmented by hypoxia in THP-1. Top, PDK1; bottom, β-actin. H : under hypoxia, N : under normoxia.

false

Key facts

Host species

Mouse

Clonality

Monoclonal

Clone number

2H3AA11

Isotype

IgG1

Light chain type

kappa

Carrier free

No

Reacts with

Human

Applications

Flow Cyt, ICC/IF, WB

applications

Immunogen

The exact immunogen used to generate this antibody is proprietary information.

Specificity

This antibody does not cross-react with other isoforms of human PDK (i.e. PDK2, 3 or 4) and does not cross-react with rat or mouse samples.

Reactivity data

{ "title": "Reactivity Data", "filters": { "stats": ["", "Species", "Dilution Info", "Notes"], "tabs": { "all-applications": {"fullname" : "All Applications", "shortname": "All Applications"}, "FlowCyt" : {"fullname" : "Flow Cytometry", "shortname":"Flow Cyt"}, "WB" : {"fullname" : "Western blot", "shortname":"WB"}, "ICCIF" : {"fullname" : "Immunocytochemistry/ Immunofluorescence", "shortname":"ICC/IF"} }, "product-promise": { "all": "all", "testedAndGuaranteed": "tested", "guaranteed": "expected", "predicted": "predicted", "notRecommended": "not-recommended" } }, "values": { "Human": { "FlowCyt-species-checked": "testedAndGuaranteed", "FlowCyt-species-dilution-info": "1 µg/mL", "FlowCyt-species-notes": "<p><a href='/en-us/products/primary-antibodies/mouse-igg1-kappa-monoclonal-15-6e10a7-isotype-control-ab170190'>ab170190</a> - Mouse monoclonal IgG1, is suitable for use as an isotype control with this antibody.</p>", "WB-species-checked": "testedAndGuaranteed", "WB-species-dilution-info": "1 µg/mL", "WB-species-notes": "<p></p>", "ICCIF-species-checked": "testedAndGuaranteed", "ICCIF-species-dilution-info": "1 µg/mL", "ICCIF-species-notes": "<p></p>" } } }

Product details

Properties and storage information

Form
Liquid
Purification technique
Proprietary technique
Purification notes
Produced in vitro using hybridomas grown in serum-free medium, and then purified by biochemical fractionation. Purity >95% by SDS-PAGE.
Storage buffer
pH: 7.5 Preservative: 0.02% Sodium azide Constituents: HEPES buffered saline
Shipped at conditions
Blue Ice
Appropriate short-term storage conditions
+4°C
Appropriate long-term storage conditions
+4°C
Storage information
Do Not Freeze

Product protocols

For this product, it's our understanding that no specific protocols are required. You can visit:

Target data

Kinase that plays a key role in regulation of glucose and fatty acid metabolism and homeostasis via phosphorylation of the pyruvate dehydrogenase subunits PDHA1 and PDHA2. This inhibits pyruvate dehydrogenase activity, and thereby regulates metabolite flux through the tricarboxylic acid cycle, down-regulates aerobic respiration and inhibits the formation of acetyl-coenzyme A from pyruvate. Plays an important role in cellular responses to hypoxia and is important for cell proliferation under hypoxia. Protects cells against apoptosis in response to hypoxia and oxidative stress.
See full target information PDK1

Publications (5)

Recent publications for all applications. Explore the full list and refine your search

Cell cycle (Georgetown, Tex.) 20:1209-1219 PubMed34048311

2021

MicroRNA let-7i-3p affects osteoblast differentiation in ankylosing spondylitis via targeting PDK1.

Applications

Unspecified application

Species

Unspecified reactive species

Sixin Sun,Ying Xu,Zhijun Zhu,Dequn Kong,Hongming Liu,Zhao Zhou,Lei Wang

PloS one 14:e0220490 PubMed31365585

2019

Alterations in platelet bioenergetics in Group 2 PH-HFpEF patients.

Applications

Unspecified application

Species

Unspecified reactive species

Quyen L Nguyen,Yinna Wang,Nicole Helbling,Marc A Simon,Sruti Shiva

Molecular systems biology 13:953 PubMed29109155

2017

Temporal fluxomics reveals oscillations in TCA cycle flux throughout the mammalian cell cycle.

Applications

Unspecified application

Species

Unspecified reactive species

Eunyong Ahn,Praveen Kumar,Dzmitry Mukha,Amit Tzur,Tomer Shlomi

JCI insight 2:e91415 PubMed28289721

2017

Platelets from pulmonary hypertension patients show increased mitochondrial reserve capacity.

Applications

Unspecified application

Species

Unspecified reactive species

Quyen L Nguyen,Catherine Corey,Pamela White,Annie Watson,Mark T Gladwin,Marc A Simon,Sruti Shiva

BMC cancer 14:76 PubMed24506813

2014

Adaptation of leukemia cells to hypoxic condition through switching the energy metabolism or avoiding the oxidative stress.

Applications

WB

Species

Human

Mineaki Goto,Hiroshi Miwa,Kazuto Suganuma,Norikazu Tsunekawa-Imai,Masato Shikami,Motonori Mizutani,Shohei Mizuno,Ichiro Hanamura,Masakazu Nitta
View all publications

Product promise

We are committed to supporting your work with high-quality reagents, and we're here for you every step of the way. In the unlikely event that one of our products does not perform as expected, you're protected by our Product Promise.
For full details, please see our Terms & Conditions

Associated Products

Select an associated product type
Alternative Product
Primary Antibodies

AB110025

Anti-PDK1 antibody [4A11]

primary-antibodies

pdk1-antibody-4a11-ab110025

4

(2 reviews)

Alternative Product
Primary Antibodies

AB90444

Anti-PDK1 antibody

primary-antibodies

pdk1-antibody-ab90444

4

(1 reviews)

Alternative Product
Primary Antibodies

AB227682

Anti-PDK1 antibody [SP270] - C-terminal

primary-antibodies

pdk1-antibody-sp270-c-terminal-ab227682

0

(0 reviews)

Alternative Product
Primary Antibodies

AB180171

Anti-PDK1 antibody [EPR13015] - C-terminal

primary-antibodies

pdk1-antibody-epr13015-c-terminal-ab180171

0

(0 reviews)

Alternative Product
Primary Antibodies

AB207450

Anti-PDK1 antibody [EPR19573]

primary-antibodies

pdk1-antibody-epr19573-ab207450

0

(0 reviews)

Alternative Product
Primary Antibodies

AB175190

Anti-PDK1 antibody [EPR13009]

primary-antibodies

pdk1-antibody-epr13009-ab175190

0

(0 reviews)

Alternative Product
Primary Antibodies

AB202468

Anti-PDK1 antibody [EPR19571]

primary-antibodies

pdk1-antibody-epr19571-ab202468

0

(0 reviews)

Please note: All products are 'FOR RESEARCH USE ONLY. NOT FOR USE IN DIAGNOSTIC OR THERAPEUTIC PROCEDURES'.

For licensing inquiries, please contact partnerships@abcam.com