JavaScript is disabled in your browser. Please enable JavaScript to view this website.
AB214938

Anti-PDK4 antibody [EPR19727-245]

3

(1 Review)

|

(38 Publications)

Anti-PDK4 antibody [EPR19727-245] (ab214938) is a rabbit monoclonal antibody detecting PDK4 in Western Blot, Flow Cytometry (Intra), Flow Cytometry, IP. Suitable for Mouse, Rat.

- Biophysical QC for unrivalled batch-batch consistency
- Over 20 publications

View Alternative Names

Pyruvate dehydrogenase kinase isoform 4, Pdk4

6 Images
Flow Cytometry (Intracellular) - Anti-PDK4 antibody [EPR19727-245] (AB214938)
  • Flow Cyt (Intra)

Supplier Data

Flow Cytometry (Intracellular) - Anti-PDK4 antibody [EPR19727-245] (AB214938)

Intracellular flow cytometric analysis of 4% paraformaldehyde-fixed C2C12 (Mouse myoblast cell line) cells labeling PDK4 with ab214938 at 1/60 dilution (red) compared withRabbit IgG, monoclonal [EPR25A] - Isotype Control (ab172730; black) and an unlabelled control (cells without incubation with primary antibody and secondary antibody; blue). Goat Anti-Rabbit IgG (Alexa Fluor® 488) at 1/2000 dilution was used as the secondary antibody.

Immunoprecipitation - Anti-PDK4 antibody [EPR19727-245] (AB214938)
  • IP

Supplier Data

Immunoprecipitation - Anti-PDK4 antibody [EPR19727-245] (AB214938)

PDK4 was immunoprecipitated from 0.35 mg of mouse heart lysate with ab214938 at 1/30 dilution.

Western blot was performed from the immunoprecipitate using ab214938 at 1/1000 dilution.

VeriBlot for IP Detection Reagent (HRP) (ab131366), was used for detection at 1/10,000 dilution

Lane 1 : Mouse heart lysate 10μg (Input).

Lane 2 : ab214938 IP in mouse heart lysate.

Lane 3 : Rabbit IgG, monoclonal [EPR25A] - Isotype Control (ab172730) instead of ab214938 in mouse heart lysate.

Blocking and dilution buffer and concentration : 5% NFDM/TBST.

Exposure time : 0.5 second.

All lanes:

Immunoprecipitation - Anti-PDK4 antibody [EPR19727-245] (ab214938)

Predicted band size: 46 kDa,48 kDa

false

Western blot - Anti-PDK4 antibody [EPR19727-245] (AB214938)
  • WB

Supplier Data

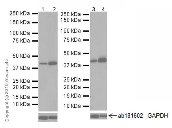
Western blot - Anti-PDK4 antibody [EPR19727-245] (AB214938)

Blocking/Dilution buffer : 5% NFDM/TBST.

Exposure time : Lane 1 : 5 seconds; Lane 2-4 : 3 minutes; Lane 5 : 1 minutes; Lane 6 : 10 seconds.

All lanes:

Western blot - Anti-PDK4 antibody [EPR19727-245] (ab214938) at 1/1000 dilution

Lane 1:

Mouse skeletal muscle lysate at 10 µg

Lane 2:

Mouse heart lysate at 10 µg

Lane 3:

Rat muscle lysate at 10 µg

Lane 4:

Rat heart lysate at 10 µg

Lane 5:

C2C12 (Mouse myoblast cell line) whole cell lysate at 10 µg

Lane 6:

C6 (Rat glial tumor cell line) whole cell lysate at 10 µg

Secondary

All lanes:

Western blot - Goat Anti-Rabbit IgG H&L (HRP) (<a href='/en-us/products/secondary-antibodies/goat-rabbit-igg-h-l-hrp-ab97051'>ab97051</a>) at 1/100000 dilution

Predicted band size: 46 kDa

Observed band size: 47 kDa

false

Western blot - Anti-PDK4 antibody [EPR19727-245] (AB214938)
  • WB

Supplier Data

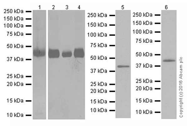
Western blot - Anti-PDK4 antibody [EPR19727-245] (AB214938)

Blocking/Dilution buffer : 5% NFDM/TBST.

Mouse PDK4, PDK1 and PDK2 recombinant proteins contain aa8-412, aa1-434 and aa1-407 respectively with a His-Tag®.

All lanes:

Western blot - Anti-PDK4 antibody [EPR19727-245] (ab214938) at 1/10000 dilution

Lane 1:

Mouse PDK4 recombinant protein at 0.01 µg

Lane 2:

Mouse PDK1 recombinant protein at 0.01 µg

Lane 3:

Mouse PDK2 recombinant protein at 0.01 µg

Secondary

All lanes:

Western blot - Goat Anti-Rabbit IgG H&L (HRP) (<a href='/en-us/products/secondary-antibodies/goat-rabbit-igg-h-l-hrp-ab97051'>ab97051</a>) at 1/100000 dilution

Predicted band size: 46 kDa

Observed band size: 47 kDa

false

Exposure time: 5s

Western blot - Anti-PDK4 antibody [EPR19727-245] (AB214938)
  • WB

Supplier Data

Western blot - Anti-PDK4 antibody [EPR19727-245] (AB214938)

Blocking/Dilution buffer : 5% NFDM/TBST.

The expression level of PDK4 is increased under the fasting state (PMID : 11723055 and PMID : 16606348).

Lanes 1 - 2:

Western blot - Anti-PDK4 antibody [EPR19727-245] (ab214938) at 1/10000 dilution

Lanes 3 - 4:

Western blot - Anti-PDK4 antibody [EPR19727-245] (ab214938) at 1/1000 dilution

Lane 1:

Heart from nonfasting mouse at 10 µg

Lane 2:

Heart from mouse fasting for 72 hours at 10 µg

Lane 3:

Gastrocnemius muscle from nonfasting mouse at 10 µg

Lane 4:

Gastrocnemius muscle from mouse fasting for 72 hours at 10 µg

Secondary

All lanes:

Western blot - Goat Anti-Rabbit IgG H&L (HRP) (<a href='/en-us/products/secondary-antibodies/goat-rabbit-igg-h-l-hrp-ab97051'>ab97051</a>) at 1/100000 dilution

Predicted band size: 46 kDa

Observed band size: 47 kDa

false

Exposure time: 5s

Western blot - Anti-PDK4 antibody [EPR19727-245] (AB214938)
  • WB

CiteAb

Western blot - Anti-PDK4 antibody [EPR19727-245] (AB214938)

PDK4 western blot using anti-PDK4 antibody [EPR19727-245] ab214938. Publication image and figure legend from Gao, K., Zhang, J., et al., 2020, Chin Med, PubMed 32158496.

ab214938 was used in this publication in western blot. This may not be the same as the application(s) guaranteed by Abcam. For a full list of applications guaranteed by Abcam for ab214938 please see the product overview.

Effects of QSG on the uncoupling of glycolysis from glucose oxidation in HF rats after AMI. a Lactate level in serum and myocardial tissue. Lactate level in serum and myocardial tissue was significantly increased following HF and downregulated with QSG treatment. n = 8 per group. Values are mean ± SE. Asterisks indicates significant differences. *p < 0.05, **p < 0.01. b Myocardial protein expressional levels of LDHA and PDK4 in the three groups. LDHA involved in regulating glycolysis was observably elevated in the model group. LDHA level was significantly down-regulated by treatment of QSG compared with the model group. PDK4, decreasing glucose oxidation by an inhibitory phosphorylation of the pyruvate dehydrogenase complex, was up-regulated in the model group and down-regulated in the QSG group. n = 4 per group. Values are mean ± SE. Asterisks indicates significant differences. *p < 0.05, **p < 0.01

false

  • Carrier free

    Anti-PDK4 antibody [EPR19727-245] - BSA and Azide free

Key facts

Host species

Rabbit

Clonality

Monoclonal

Clone number

EPR19727-245

Isotype

IgG

Carrier free

No

Reacts with

Mouse, Rat

Applications

WB, Flow Cyt (Intra), IP

applications

Immunogen

The exact immunogen used to generate this antibody is proprietary information.

Reactivity data

{ "title": "Reactivity Data", "filters": { "stats": ["", "Species", "Dilution Info", "Notes"], "tabs": { "all-applications": {"fullname" : "All Applications", "shortname": "All Applications"}, "IP" : {"fullname" : "Immunoprecipitation", "shortname":"IP"}, "WB" : {"fullname" : "Western blot", "shortname":"WB"}, "FlowCytIntra" : {"fullname" : "Flow Cytometry (Intracellular)", "shortname":"Flow Cyt (Intra)"} }, "product-promise": { "all": "all", "testedAndGuaranteed": "tested", "guaranteed": "expected", "predicted": "predicted", "notRecommended": "not-recommended" } }, "values": { "Mouse": { "IP-species-checked": "testedAndGuaranteed", "IP-species-dilution-info": "1/30", "IP-species-notes": "<p></p>", "WB-species-checked": "testedAndGuaranteed", "WB-species-dilution-info": "1/1000", "WB-species-notes": "<p></p>", "FlowCytIntra-species-checked": "testedAndGuaranteed", "FlowCytIntra-species-dilution-info": "1/60", "FlowCytIntra-species-notes": "<p><a href='/en-us/products/primary-antibodies/rabbit-igg-monoclonal-epr25a-isotype-control-ab172730'>ab172730</a> - Rabbit monoclonal IgG, is suitable for use as an isotype control with this antibody.</p>" }, "Rat": { "IP-species-checked": "guaranteed", "IP-species-dilution-info": "", "IP-species-notes": "", "WB-species-checked": "testedAndGuaranteed", "WB-species-dilution-info": "1/1000", "WB-species-notes": "<p></p>", "FlowCytIntra-species-checked": "guaranteed", "FlowCytIntra-species-dilution-info": "", "FlowCytIntra-species-notes": "" }, "Recombinant fragment - Mouse": { "IP-species-checked": "notRecommended", "IP-species-dilution-info": "", "IP-species-notes": "", "WB-species-checked": "testedAndGuaranteed", "WB-species-dilution-info": "1/1000", "WB-species-notes": "<p></p>", "FlowCytIntra-species-checked": "notRecommended", "FlowCytIntra-species-dilution-info": "", "FlowCytIntra-species-notes": "" } } }

Product details

What is this antibody validated in?
Anti-PDK4 antibody [EPR19727-245] (ab214938) is a rabbit recombinant monoclonal antibody and is validated for use in Western Blot (WB), Flow Cytometry (Intra), Flow Cytometry (Flow Cyt), Immunoprecipitation (IP) in Mouse, Rat samples.

What is the molecular weight of PDK4?
Anti-PDK4 [EPR19727-245] (ab214938) specifically detects a band for PDK4 (UniProt: O70571) at a molecular weight of 47kDa.

Trusted by the scientific community
Anti-PDK4 [EPR19727-245] (ab214938) was first used in a scientific publication in 2016 and has been cited over 20 times in peer-reviewed journals.

Trial sizes available!
Test your antibody or perform pre-screening before committing to a larger quantity. Sold in 10µl. Discover our selection of trial-size antibodies.

Other related products
We have a range of other formats of antibody clone [EPR19727-245] also available for your convenience: ab214938, Carrier free - ab222401

Patented technology
Our RabMAb® technology is a patented hybridoma-based technology for making rabbit monoclonal antibodies. For details on our patents, please refer to RabMAb® patents.

What are the advantages of a recombinant monoclonal antibody?
This product is a recombinant monoclonal antibody, which offers several advantages including:

  • - High batch-to-batch consistency and reproducibility
  • - Improved sensitivity and specificity
  • - Long-term security of supply
  • - Animal-free batch production

For more information, read more on recombinant antibodies.

Properties and storage information

Form
Liquid
Purification technique
Affinity purification Protein A
Storage buffer
pH: 7.2 - 7.4 Preservative: 0.01% Sodium azide Constituents: PBS, 40% Glycerol (glycerin, glycerine), 0.05% BSA
Shipped at conditions
Blue Ice
Appropriate short-term storage duration
1-2 weeks
Appropriate short-term storage conditions
+4°C
Appropriate long-term storage conditions
-20°C
Aliquoting information
Upon delivery aliquot
Storage information
Avoid freeze / thaw cycle

Supplementary information

This supplementary information is collated from multiple sources and compiled automatically.

PDK4 also known as Pyruvate Dehydrogenase Kinase Isozyme 4 plays an essential role in regulating mitochondrial energy metabolism. PDK4 phosphorylates the pyruvate dehydrogenase complex controlling the transformation of pyruvate to acetyl-CoA a critical step in energy production. The protein has a molecular weight of around 49 kDa. PDK4 expression occurs in various tissues with high levels observed in skeletal muscle heart and liver reflecting its role in energy metabolic processes.
Biological function summary

The enzyme functions to inhibit the pyruvate dehydrogenase complex by adding phosphate groups which reduces the conversion of pyruvate to acetyl-CoA and shifts energy production from carbohydrates to fats especially during fasting or prolonged exercise. PDK4 operates as a homodimer and is often part of a larger regulatory system balancing glucose and fatty acid oxidation in response to nutrient availability.

Pathways

PDK4 is integral to the regulation of both glucose metabolism and fatty acid oxidation. The enzyme interacts closely with the insulin signaling pathway where it modulates glucose uptake and utilization based on hormonal signals. Additionally PDK4 is a part of the hypoxia-inducible factor-1 (HIF-1) pathway where it plays a role in cellular response to low oxygen levels interacting with related proteins such as pyruvate dehydrogenase (PDH).

PDK4's activity is linked to metabolic conditions like diabetes and obesity where its altered expression can lead to insulin resistance by affecting glucose utilization. Furthermore PDK4 is associated with cardiovascular diseases through its influence on cardiac energy metabolism and its interaction with other proteins such as PDH contributing to heart dysfunction when deregulated.

Product protocols

For this product, it's our understanding that no specific protocols are required. You can visit:

Target data

Kinase that plays a key role in regulation of glucose and fatty acid metabolism and homeostasis via phosphorylation of the pyruvate dehydrogenase subunits PDHA1 and PDHA2. This inhibits pyruvate dehydrogenase activity, and thereby regulates metabolite flux through the tricarboxylic acid cycle, down-regulates aerobic respiration and inhibits the formation of acetyl-coenzyme A from pyruvate. Inhibition of pyruvate dehydrogenase decreases glucose utilization and increases fat metabolism in response to prolonged fasting and starvation. Plays an important role in maintaining normal blood glucose levels under starvation, and is involved in the insulin signaling cascade. Via its regulation of pyruvate dehydrogenase activity, plays an important role in maintaining normal blood pH and in preventing the accumulation of ketone bodies under starvation. In the fed state, mediates cellular responses to glucose levels and to a high-fat diet. Regulates both fatty acid oxidation and de novo fatty acid biosynthesis. Plays a role in the generation of reactive oxygen species. Protects detached epithelial cells against anoikis. Plays a role in cell proliferation via its role in regulating carbohydrate and fatty acid metabolism.
See full target information Pdk4

Publications (38)

Recent publications for all applications. Explore the full list and refine your search

Molecular metabolism 99:102211 PubMed40681103

2025

Mitochondrial-targeted plastoquinone therapy prevents early onset muscle weakness that occurs before atrophy during ovarian cancer.

Applications

Unspecified application

Species

Unspecified reactive species

Luca J Delfinis,Shahrzad Khajehzadehshoushtar,Luke D Flewwelling,Nathaniel J Andrews,Madison C Garibotti,Shivam Gandhi,Aditya N Brahmbhatt,Brooke A Morris,Bianca Garlisi,Sylvia Lauks,Caroline Aitken,Leslie Ogilvie,Stavroula Tsitkanou,Jeremy A Simpson,Nicholas P Greene,Arthur J Cheng,Jim Petrik,Christopher G R Perry

Cells 14: PubMed40558497

2025

The Loss of Gonadal Hormones Has a Different Impact on Aging Female and Male Mice Submitted to Heart Failure-Inducing Metabolic Hypertensive Stress.

Applications

Unspecified application

Species

Unspecified reactive species

Diwaba Carmel Teou,Emylie-Ann Labbé,Sara-Ève Thibodeau,Élisabeth Walsh-Wilkinson,Audrey Morin-Grandmont,Ann-Sarah Trudeau,Marie Arsenault,Jacques Couet

Nature communications 16:3933 PubMed40287424

2025

Nitro-oleic acid enhances mitochondrial metabolism and ameliorates heart failure with preserved ejection fraction in mice.

Applications

Unspecified application

Species

Unspecified reactive species

Marion Müller,Torben Schubert,Cornelius Welke,Tibor Maske,Thomas Patschkowski,Elfi Donhauser,Jacqueline Heinen-Weiler,Felix-Levin Hormann,Sven Heiles,Tina Johanna Schulz,Luisa Andrea Lengenfelder,Lucia Landwehrjohann,Elisa Theres Vogt,Bernd Stratmann,Jurek Hense,Simon Lüdtke,Martina Düfer,Elena Tolstik,Johann Dierks,Kristina Lorenz,Tamino Huxohl,Jan-Christian Reil,Vasco Sequeira,Francisco Jose Schopfer,Bruce A Freeman,Volker Rudolph,Uwe Schlomann,Anna Klinke

Biomedicines 12: PubMed39767721

2025

Sodium Phenylbutyrate Attenuates Cisplatin-Induced Acute Kidney Injury Through Inhibition of Pyruvate Dehydrogenase Kinase 4.

Applications

Unspecified application

Species

Unspecified reactive species

Chang Joo Oh,Wooyoung Choi,Ha Young Lee,In-Kyu Lee,Min-Ji Kim,Jae-Han Jeon

Frontiers in physiology 15:1462014 PubMed39469441

2024

Unveiling the proteome of the fasting heart: Insights into HIF-1 pathway regulation.

Applications

Unspecified application

Species

Unspecified reactive species

Daniel Benak,Kristyna Holzerova,Frantisek Kolar,Miloslava Chalupova,Marketa Hlavackova

Redox biology 75:103293 PubMed39094399

2024

CREG1 attenuates doxorubicin-induced cardiotoxicity by inhibiting the ferroptosis of cardiomyocytes.

Applications

Unspecified application

Species

Unspecified reactive species

Dan Liu,Xiaoli Cheng,Hanlin Wu,Haixu Song,Yuxin Bu,Jing Wang,Xiaolin Zhang,Chenghui Yan,Yaling Han

Scientific reports 14:11497 PubMed38769106

2024

Upregulation of the AMPK-FOXO1-PDK4 pathway is a primary mechanism of pyruvate dehydrogenase activity reduction in tafazzin-deficient cells.

Applications

Unspecified application

Species

Unspecified reactive species

Zhuqing Liang,Tyler Ralph-Epps,Michael W Schmidtke,Pablo Lazcano,Simone W Denis,Mária Balážová,Nevton Teixeira da Rosa,Mohamed Chakkour,Sanaa Hazime,Mindong Ren,Michael Schlame,Riekelt H Houtkooper,Miriam L Greenberg

BMC complementary medicine and therapies 24:190 PubMed38750550

2024

Bawei Chenxiang Wan ameliorates right ventricular hypertrophy in rats with high altitude heart disease by SIRT3-HIF1α-PDK/PDH signaling pathway improving fatty acid and glucose metabolism.

Applications

Unspecified application

Species

Unspecified reactive species

Yiwei Han,Shadi Li,Zhiying Zhang,Xin Ning,Jiajia Wu,Xiaoying Zhang

International immunology 36:223-240 PubMed38262747

2024

A purified diet affects intestinal epithelial proliferation and barrier functions through gut microbial alterations.

Applications

Unspecified application

Species

Unspecified reactive species

Hiroaki Shiratori,Kisara M Hattori,Kazuaki Nakata,Takuma Okawa,Seiga Komiyama,Yusuke Kinashi,Yuma Kabumoto,Yuria Kaneko,Motoyoshi Nagai,Tomoko Shindo,Nobuko Moritoki,Yuki I Kawamura,Taeko Dohi,Daisuke Takahashi,Shunsuke Kimura,Koji Hase

Cell death & disease 14:816 PubMed38086793

2023

Inhibition of PFKP in renal tubular epithelial cell restrains TGF-β induced glycolysis and renal fibrosis.

Applications

Unspecified application

Species

Unspecified reactive species

Shu Yang,Han Wu,Yanchun Li,Lixin Li,Jiaqing Xiang,Lin Kang,Guangyan Yang,Zhen Liang
View all publications

Product promise

We are committed to supporting your work with high-quality reagents, and we're here for you every step of the way. In the unlikely event that one of our products does not perform as expected, you're protected by our Product Promise.
For full details, please see our Terms & Conditions

Please note: All products are 'FOR RESEARCH USE ONLY. NOT FOR USE IN DIAGNOSTIC OR THERAPEUTIC PROCEDURES'.

For licensing inquiries, please contact partnerships@abcam.com