JavaScript is disabled in your browser. Please enable JavaScript to view this website.
AB219207

Anti-PDX1 antibody [EPR22002]

  • BOND RX™ Validated
  • RabMAb
  • Recombinant
  • 20ul selling size
  • What is this?

Be the first to review this product! Submit a review

|

(11 Publications)

Anti-PDX1 antibody [EPR22002] (ab219207) is a rabbit monoclonal antibody detecting PDX1 in Western Blot, IP, IHC-P, ICC/IF. Suitable for Human, Mouse, Rat.

- Biophysical QC for unrivalled batch-batch consistency

View Alternative Names

IPF1, STF1, PDX1, Pancreas/duodenum homeobox protein 1, PDX-1, Glucose-sensitive factor, Insulin promoter factor 1, Insulin upstream factor 1, Islet/duodenum homeobox-1, Somatostatin-transactivating factor 1, GSF, IPF-1, IUF-1, IDX-1, STF-1

7 Images
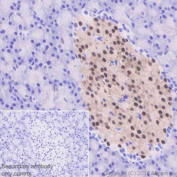
Immunohistochemistry (Formalin/PFA-fixed paraffin-embedded sections) - Anti-PDX1 antibody [EPR22002] (AB219207)
  • IHC-P

Supplier Data

Immunohistochemistry (Formalin/PFA-fixed paraffin-embedded sections) - Anti-PDX1 antibody [EPR22002] (AB219207)

Immunohistochemical analysis of paraffin-embedded human pancreas tissue labeling PDX1 with ab219207 at 1/500 dilution, followed by Rabbit specific IHC polymer detection kit HRP/DAB (ab209101) ready to use. Nuclear and weak cytoplasmic staining on human pancreatic islet and pancreatic acini (PMID : 1847781, PMID : 22688334) is observed. Counter stained with hematoxylin.

Secondary antibody only control : Used PBS instead of primary antibody, secondary antibody is Rabbit specific IHC polymer detection kit HRP/DAB (ab209101) ready to use.

Performed on a Leica Biosystems BOND® RX instrument.

Perform heat mediated antigen retrieval before commencing with IHC staining protocol.

Immunocytochemistry/ Immunofluorescence - Anti-PDX1 antibody [EPR22002] (AB219207)
  • ICC/IF

Supplier Data

Immunocytochemistry/ Immunofluorescence - Anti-PDX1 antibody [EPR22002] (AB219207)

Immunofluorescent analysis of 4% paraformaldehyde-fixed, 0.1% Triton X-100 permeabilized Beta-TC-6 (mouse pancreas insulinoma beta cell line) and NIH/3T3 (mouse embyro fibroblast cell line) cells labeling PDX1 with ab219207 at 1/1000 dilution followed by Goat Anti-Rabbit IgG H&L (Alexa Fluor® 488) (ab150077) secondary antibody at 1/1000 dilution (green).

Confocal image showing nuclear staining in Beta-TC-6 cells.

Negative control : NIH/3T3 (PMID : 25271154).

The nuclear counter stain is DAPI (blue). Tubulin is detected with Anti-alpha Tubulin antibody [DM1A] - Microtubule Marker (Alexa Fluor® 594) (ab195889) (red) at 1/200 dilution.

Secondary antibody only control : Used PBS instead of primary antibody, secondary antibody is Goat Anti-Rabbit IgG H&L (Alexa Fluor® 488) (ab150077) secondary antibody at 1/1000 dilution.

Immunohistochemistry (Formalin/PFA-fixed paraffin-embedded sections) - Anti-PDX1 antibody [EPR22002] (AB219207)
  • IHC-P

Supplier Data

Immunohistochemistry (Formalin/PFA-fixed paraffin-embedded sections) - Anti-PDX1 antibody [EPR22002] (AB219207)

Immunohistochemical analysis of paraffin-embedded mouse pancreas tissue labeling PDX1 with ab219207 at 1/500 dilution, followed by Rabbit specific IHC polymer detection kit HRP/DAB (ab209101) ready to use. Nuclear and weak cytoplasmic staining in mouse pancreatic islet (PMID : 1847781, PMID : 22688334) is observed. Counter stained with hematoxylin.

Secondary antibody only control : Used PBS instead of primary antibody, secondary antibody is Rabbit specific IHC polymer detection kit HRP/DAB (ab209101) ready to use.

Performed on a Leica Biosystems BOND® RX instrument.

Perform heat mediated antigen retrieval before commencing with IHC staining protocol.

Immunohistochemistry (Formalin/PFA-fixed paraffin-embedded sections) - Anti-PDX1 antibody [EPR22002] (AB219207)
  • IHC-P

Supplier Data

Immunohistochemistry (Formalin/PFA-fixed paraffin-embedded sections) - Anti-PDX1 antibody [EPR22002] (AB219207)

Immunohistochemical analysis of paraffin-embedded rat pancreas tissue labeling PDX1 with ab219207 at 1/500 dilution, followed by Rabbit specific IHC polymer detection kit HRP/DAB (ab209101) ready to use. Nuclear and weak cytoplasmic staining in rat pancreatic islet (PMID : 1847781, PMID : 22688334) is observed. Counter stained with hematoxylin.

Secondary antibody only control : Used PBS instead of primary antibody, secondary antibody is Rabbit specific IHC polymer detection kit HRP/DAB (ab209101) ready to use.

Performed on a Leica Biosystems BOND® RX instrument.

Perform heat mediated antigen retrieval before commencing with IHC staining protocol.

Immunoprecipitation - Anti-PDX1 antibody [EPR22002] (AB219207)
  • IP

Supplier Data

Immunoprecipitation - Anti-PDX1 antibody [EPR22002] (AB219207)

PFX1 was immunoprecipitated from 0.35 mg of Beta-TC-6 (mouse pancreas insulinoma beta cell line) whole cell lysate with ab219207 at 1/30 dilution. Western blot was performed from the immunoprecipitate using ab219207 at 1/1000 dilution. VeriBlot for IP Detection Reagent (HRP) (ab131366), was used for detection at 1/5000 dilution.

Lane 1 : Beta-TC-6 whole cell lysate 10 μg (Input).
Lane 2 : ab219207 IP in Beta-TC-6 whole cell lysate.
Lane 3 : Rabbit monoclonal IgG (ab172730) instead of ab219207 in Beta-TC-6 whole cell lysate.

Blocking/Dilution buffer : 5% NFDM/TBST.

Exposure time : 3 seconds.

The molecular mass observed is consistent with what has been described in the literature (PMID : 12488243).

All lanes:

Immunoprecipitation - Anti-PDX1 antibody [EPR22002] (ab219207)

Predicted band size: 30 kDa

false

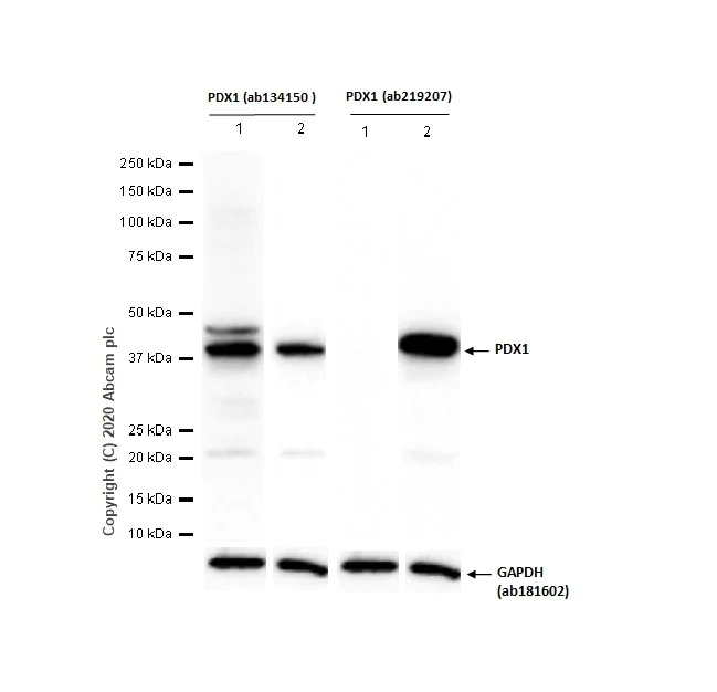
Western blot - Anti-PDX1 antibody [EPR22002] (AB219207)
  • WB

Unknown

Western blot - Anti-PDX1 antibody [EPR22002] (AB219207)

Lane 1 : 60 seconds

Lane 2 : 7 seconds

All lanes:

Anti-PDX1 antibody at 1/1000 dilution

Lane 1:

Caco-2 (Human colorectal adenocarcinoma epithelial cell) whole cell lysate at 20 µg

Lane 2:

Beta-TC-6 (Mouse pancreas insulinoma beta cell) whole cell lysate at 20 µg

Secondary

All lanes:

Western blot - Goat Anti-Rabbit IgG H&L (HRP) (<a href='/en-us/products/secondary-antibodies/goat-rabbit-igg-h-l-hrp-ab97051'>ab97051</a>) at 1/20000 dilution

Predicted band size: 30 kDa

Observed band size: 40 kDa

false

Western blot - Anti-PDX1 antibody [EPR22002] (AB219207)
  • WB

Supplier Data

Western blot - Anti-PDX1 antibody [EPR22002] (AB219207)

Blocking/Dilution buffer : 5% NFDM/TBST.

The molecular mass observed is consistent with what has been described in the literature (PMID : 12488243)

Negative control : NIH/3T3 (PMID : 25271154)

All lanes:

Western blot - Anti-PDX1 antibody [EPR22002] (ab219207) at 1/1000 dilution

Lane 1:

Beta-TC-6 (mouse pancreas insulinoma beta cell line) whole cell lysate at 10 µg

Lane 2:

NIH/3T3 (mouse embyro fibroblast cell line) whole cell lysate at 10 µg

Secondary

All lanes:

Western blot - Goat Anti-Rabbit IgG H&L (HRP) (<a href='/en-us/products/secondary-antibodies/goat-rabbit-igg-h-l-hrp-ab97051'>ab97051</a>) at 1/100000 dilution

Predicted band size: 30 kDa

Observed band size: 46 kDa

true

Exposure time: 92s

  • Carrier free

    Anti-PDX1 antibody [EPR22002] - BSA and Azide free

Key facts

Host species

Rabbit

Clonality

Monoclonal

Clone number

EPR22002

Isotype

IgG

Carrier free

No

Reacts with

Mouse, Rat, Human

Applications

ICC/IF, IHC-P, IP, WB

applications

Immunogen

The exact immunogen used to generate this antibody is proprietary information.

Specificity

Human and rat species are recommended based on IHC result. This antibody is unsuitable to be used in western blot on human and rat samples.

Reactivity data

{ "title": "Reactivity Data", "filters": { "stats": ["", "Species", "Dilution Info", "Notes"], "tabs": { "all-applications": {"fullname" : "All Applications", "shortname": "All Applications"}, "IHCP" : {"fullname" : "Immunohistochemistry (Formalin/PFA-fixed paraffin-embedded sections)", "shortname":"IHC-P"}, "IP" : {"fullname" : "Immunoprecipitation", "shortname":"IP"}, "WB" : {"fullname" : "Western blot", "shortname":"WB"}, "ICCIF" : {"fullname" : "Immunocytochemistry/ Immunofluorescence", "shortname":"ICC/IF"} }, "product-promise": { "all": "all", "testedAndGuaranteed": "tested", "guaranteed": "expected", "predicted": "predicted", "notRecommended": "not-recommended" } }, "values": { "Human": { "IHCP-species-checked": "testedAndGuaranteed", "IHCP-species-dilution-info": "1/500", "IHCP-species-notes": "<p>Perform heat-mediated antigen retrieval using Bond™ Epitope Retrieval Solution 2 (pH 9.0) for 20 minutes.</p> Perform heat-mediated antigen retrieval before commencing with IHC staining protocol.", "IP-species-checked": "guaranteed", "IP-species-dilution-info": "", "IP-species-notes": "", "WB-species-checked": "testedAndGuaranteed", "WB-species-dilution-info": "1/1000", "WB-species-notes": "<p>Human and rat species are recommended based on IHC result. This antibody is unsuitable to be used in western blot on human and rat samples.</p>", "ICCIF-species-checked": "guaranteed", "ICCIF-species-dilution-info": "", "ICCIF-species-notes": "" }, "Mouse": { "IHCP-species-checked": "testedAndGuaranteed", "IHCP-species-dilution-info": "1/500", "IHCP-species-notes": "<p>Perform heat-mediated antigen retrieval using Bond™ Epitope Retrieval Solution 2 (pH 9.0) for 20 minutes.</p> Perform heat-mediated antigen retrieval before commencing with IHC staining protocol.", "IP-species-checked": "testedAndGuaranteed", "IP-species-dilution-info": "1/30", "IP-species-notes": "<p></p>", "WB-species-checked": "testedAndGuaranteed", "WB-species-dilution-info": "1/1000", "WB-species-notes": "<p>Human and rat species are recommended based on IHC result. This antibody is unsuitable to be used in western blot on human and rat samples.</p>", "ICCIF-species-checked": "testedAndGuaranteed", "ICCIF-species-dilution-info": "1/1000", "ICCIF-species-notes": "<p></p>" }, "Rat": { "IHCP-species-checked": "testedAndGuaranteed", "IHCP-species-dilution-info": "1/500", "IHCP-species-notes": "<p>Perform heat-mediated antigen retrieval using Bond™ Epitope Retrieval Solution 2 (pH 9.0) for 20 minutes.</p> Perform heat-mediated antigen retrieval before commencing with IHC staining protocol.", "IP-species-checked": "guaranteed", "IP-species-dilution-info": "", "IP-species-notes": "", "WB-species-checked": "guaranteed", "WB-species-dilution-info": "", "WB-species-notes": "", "ICCIF-species-checked": "guaranteed", "ICCIF-species-dilution-info": "", "ICCIF-species-notes": "" } } }

Product details

What is this antibody validated in?
Anti-PDX1 antibody [EPR22002] (ab219207) is a rabbit recombinant monoclonal antibody and is validated for use in Western Blot (WB), Immunoprecipitation (IP), Immunohistochemistry (IHC-P), Immunocytochemistry/immunofluorescence (ICC/IF) in Human, Mouse, Rat samples.

What is the molecular weight of PDX1?
Anti-PDX1 [EPR22002] (ab219207) specifically detects a band for PDX1 (UniProt: P52946) at a molecular weight of 31kDa.

Trial sizes available!
Test your antibody or perform pre-screening before committing to a larger quantity. Sold in 10µl. Discover our selection of trial-size antibodies.

Other related products
We have a range of other formats of antibody clone [EPR22002] also available for your convenience: ab219207, Carrier free - ab234633

Patented technology
Our RabMAb® technology is a patented hybridoma-based technology for making rabbit monoclonal antibodies. For details on our patents, please refer to RabMAb® patents.

What are the advantages of a recombinant monoclonal antibody?
This product is a recombinant monoclonal antibody, which offers several advantages including:

  • - High batch-to-batch consistency and reproducibility
  • - Improved sensitivity and specificity
  • - Long-term security of supply
  • - Animal-free batch production

For more information, read more on recombinant antibodies.

Properties and storage information

Form
Liquid
Purification technique
Affinity purification Protein A
Storage buffer
pH: 7.2 - 7.4 Preservative: 0.01% Sodium azide Constituents: PBS, 40% Glycerol (glycerin, glycerine), 0.05% BSA
Shipped at conditions
Blue Ice
Appropriate short-term storage duration
1-2 weeks
Appropriate short-term storage conditions
+4°C
Appropriate long-term storage conditions
-20°C
Aliquoting information
Upon delivery aliquot
Storage information
Avoid freeze / thaw cycle

Supplementary information

This supplementary information is collated from multiple sources and compiled automatically.

Pancreatic duodenal homeobox 1 (PDX1) also known as insulin promoter factor 1 (IPF1) is an important transcription factor with a molecular weight of approximately 31 kDa. PDX1 plays an essential role in the development and function of the pancreas. This protein is mainly expressed in the pancreatic beta cells where it regulates gene expression linked to insulin production. Its expression also extends to the duodenum where it influences other developmental processes.
Biological function summary

PDX1 plays a critical role in pancreatic development beta-cell differentiation and insulin gene transcription. It functions as part of a protein complex that controls key aspects of beta-cell identity and function. The interactions within this complex allow PDX1 to effectively modulate pancreatic gene expression and maintain glucose homeostasis.

Pathways

PDX1 is deeply involved in the insulin secretion pathway and the regulation of glucose metabolism. It interacts with other transcription factors such as MAFA and NEUROD1 to carry out its role in these pathways. The presence of PDX1 in these pathways ensures the proper regulation of genes essential for insulin production and release connecting it to various metabolic processes.

PDX1 associates mainly with diabetes mellitus and pancreatic agenesis. Mutations or functional impairments in PDX1 affect insulin production leading to diabetes. Furthermore in pancreatic agenesis where the pancreas fails to develop PDX1 malfunctions are often implicated. PDX1 interactions with proteins like MAFA and NEUROD1 during this process are critical; alterations in these relationships can exacerbate disease states linking PDX1 to both genetic and acquired forms of pancreatic dysfunction.

Product protocols

For this product, it's our understanding that no specific protocols are required. You can visit:

Target data

Activates insulin, somatostatin, glucokinase, islet amyloid polypeptide and glucose transporter type 2 gene transcription. Particularly involved in glucose-dependent regulation of insulin gene transcription. As part of a PDX1 : PBX1b : MEIS2b complex in pancreatic acinar cells is involved in the transcriptional activation of the ELA1 enhancer; the complex binds to the enhancer B element and cooperates with the transcription factor 1 complex (PTF1) bound to the enhancer A element. Binds preferentially the DNA motif 5'-[CT]TAAT[TG]-3'. During development, specifies the early pancreatic epithelium, permitting its proliferation, branching and subsequent differentiation. At adult stage, required for maintaining the hormone-producing phenotype of the beta-cell.
See full target information PDX1

Publications (11)

Recent publications for all applications. Explore the full list and refine your search

International journal of endocrinology 2024:1672096 PubMed39734383

2024

Angiotensin (1-7) Improves Pancreatic Islet Function via Upregulating PDX-1 and GCK: A Dose-Dependent Study in Mice.

Applications

Unspecified application

Species

Unspecified reactive species

Ziwei Lin,Jiaqi Lin,Anqi Huang,Zixu Zhang,Xinyi Wu,Guoshu Yin,Chiju Wei,Wencan Xu

International journal of molecular sciences 25: PubMed39273600

2024

From iPSCs to Pancreatic β Cells: Unveiling Molecular Pathways and Enhancements with Vitamin C and Retinoic Acid in Diabetes Research.

Applications

Unspecified application

Species

Unspecified reactive species

Felipe Arroyave,Yomaira Uscátegui,Fernando Lizcano

iScience 27:109540 PubMed38577099

2024

Islet-resident macrophage-derived miR-155 promotes β cell decompensation via targeting PDX1.

Applications

Unspecified application

Species

Unspecified reactive species

Yan Zhang,Rong Cong,Tingting Lv,Kerong Liu,Xiaoai Chang,Yating Li,Xiao Han,Yunxia Zhu

Nature communications 15:2526 PubMed38514666

2024

Trimethylamine N-oxide impairs β-cell function and glucose tolerance.

Applications

Unspecified application

Species

Unspecified reactive species

Lijuan Kong,Qijin Zhao,Xiaojing Jiang,Jinping Hu,Qian Jiang,Li Sheng,Xiaohong Peng,Shusen Wang,Yibing Chen,Yanjun Wan,Shaocong Hou,Xingfeng Liu,Chunxiao Ma,Yan Li,Li Quan,Liangyi Chen,Bing Cui,Pingping Li

Nature communications 14:5354 PubMed37660175

2023

Deciphering early human pancreas development at the single-cell level.

Applications

Unspecified application

Species

Unspecified reactive species

Zhuo Ma,Xiaofei Zhang,Wen Zhong,Hongyan Yi,Xiaowei Chen,Yinsuo Zhao,Yanlin Ma,Eli Song,Tao Xu

Transgenic research 32:305-319 PubMed37247123

2023

The potential oncogenic effect of tissue-specific expression of JC polyoma T antigen in digestive epithelial cells.

Applications

Unspecified application

Species

Unspecified reactive species

Hua-Chuan Zheng,Hang Xue,Hong-Zhi Sun,Wen-Jing Yun,Zheng-Guo Cui

Artificial organs 47:1298-1308 PubMed37032529

2023

Transplantation of insulin-producing cells derived from human MSCs to treat diabetes in a non-human primate model.

Applications

Unspecified application

Species

Unspecified reactive species

Zhu Zhoujun,Feng Bingzheng,Yang Yuwei,Zhang Yingying,Xu Zhiran,He Chunhua,Leng Jing,Tang Haibo,Li Wanli,Zhang Ting,Li Fujun,Chen Jibing,Gao Hongjun

Molecular therapy. Methods & clinical development 28:355-365 PubMed36879848

2023

Specific reprogramming of alpha cells to insulin-producing cells by short glucagon promoter-driven Pdx1 and MafA.

Applications

Unspecified application

Species

Unspecified reactive species

Ping Guo,Ting Zhang,Aiping Lu,Chiyo Shiota,Matthieu Huard,Kaitlyn E Whitney,Johnny Huard

Journal of biochemical and molecular toxicology 36:e23004 PubMed35191145

2022

Gypenoside A attenuates dysfunction of pancreatic β cells by activating PDX1 signal transduction via the inhibition of miR-150-3p both in vivo and in vitro.

Applications

Unspecified application

Species

Unspecified reactive species

Yue Li

International journal of molecular sciences 22: PubMed34199609

2021

Expression Profiles of ASIC1/2 and TRPV1/4 in Common Skin Tumors.

Applications

Unspecified application

Species

Unspecified reactive species

Kirsten Ackermann,Susanne Wallner,Christoph Brochhausen,Stephan Schreml
View all publications

Product promise

We are committed to supporting your work with high-quality reagents, and we're here for you every step of the way. In the unlikely event that one of our products does not perform as expected, you're protected by our Product Promise.
For full details, please see our Terms & Conditions

Please note: All products are 'FOR RESEARCH USE ONLY. NOT FOR USE IN DIAGNOSTIC OR THERAPEUTIC PROCEDURES'.

For licensing inquiries, please contact partnerships@abcam.com