JavaScript is disabled in your browser. Please enable JavaScript to view this website.
AB234633

Anti-PDX1 antibody [EPR22002] - BSA and Azide free

Be the first to review this product! Submit a review

|

(1 Publication)

Rabbit Recombinant Monoclonal PDX1 antibody. Carrier free. Suitable for IHC-P, IP, WB, ICC/IF and reacts with Mouse, Rat, Human samples. Cited in 1 publication.

View Alternative Names

IPF1, STF1, PDX1, Pancreas/duodenum homeobox protein 1, PDX-1, Glucose-sensitive factor, Insulin promoter factor 1, Insulin upstream factor 1, Islet/duodenum homeobox-1, Somatostatin-transactivating factor 1, GSF, IPF-1, IUF-1, IDX-1, STF-1

6 Images
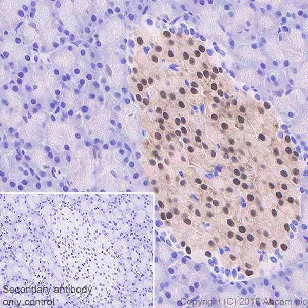
Immunohistochemistry (Formalin/PFA-fixed paraffin-embedded sections) - Anti-PDX1 antibody [EPR22002] - BSA and Azide free (AB234633)
  • IHC-P

Supplier Data

Immunohistochemistry (Formalin/PFA-fixed paraffin-embedded sections) - Anti-PDX1 antibody [EPR22002] - BSA and Azide free (AB234633)

Immunohistochemical analysis of paraffin-embedded human pancreas tissue labeling PDX1 with ab219207 at 1/500 dilution, followed by Rabbit specific IHC polymer detection kit HRP/DAB (ab209101) ready to use. Nuclear and weak cytoplasmic staining on human pancreatic islet and pancreatic acini (PMID : 1847781, PMID : 22688334) is observed. Counter stained with hematoxylin.

Secondary antibody only control : Used PBS instead of primary antibody, secondary antibody is Rabbit specific IHC polymer detection kit HRP/DAB (ab209101) ready to use.

Performed on a Leica Biosystems BOND® RX instrument.

This data was developed using the same antibody clone in a different buffer formulation containing PBS, BSA, glycerol, and sodium azide (ab219207).

Heat mediated antigen retrieval was performed before commencing with IHC staining protocol.

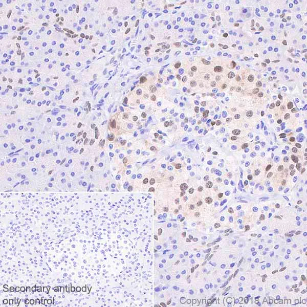
Immunohistochemistry (Formalin/PFA-fixed paraffin-embedded sections) - Anti-PDX1 antibody [EPR22002] - BSA and Azide free (AB234633)
  • IHC-P

Supplier Data

Immunohistochemistry (Formalin/PFA-fixed paraffin-embedded sections) - Anti-PDX1 antibody [EPR22002] - BSA and Azide free (AB234633)

Immunohistochemical analysis of paraffin-embedded mouse pancreas tissue labeling PDX1 with ab219207 at 1/500 dilution, followed by Rabbit specific IHC polymer detection kit HRP/DAB (ab209101) ready to use. Nuclear and weak cytoplasmic staining in mouse pancreatic islet (PMID : 1847781, PMID : 22688334) is observed. Counter stained with hematoxylin.

Secondary antibody only control : Used PBS instead of primary antibody, secondary antibody is Rabbit specific IHC polymer detection kit HRP/DAB (ab209101) ready to use.

Performed on a Leica Biosystems BOND® RX instrument.

This data was developed using the same antibody clone in a different buffer formulation containing PBS, BSA, glycerol, and sodium azide (ab219207).

Heat mediated antigen retrieval was performed before commencing with IHC staining protocol.

Immunohistochemistry (Formalin/PFA-fixed paraffin-embedded sections) - Anti-PDX1 antibody [EPR22002] - BSA and Azide free (AB234633)
  • IHC-P

Supplier Data

Immunohistochemistry (Formalin/PFA-fixed paraffin-embedded sections) - Anti-PDX1 antibody [EPR22002] - BSA and Azide free (AB234633)

Immunohistochemical analysis of paraffin-embedded rat pancreas tissue labeling PDX1 with ab219207 at 1/500 dilution, followed by Rabbit specific IHC polymer detection kit HRP/DAB (ab209101) ready to use. Nuclear and weak cytoplasmic staining in rat pancreatic islet (PMID : 1847781, PMID : 22688334) is observed. Counter stained with hematoxylin.

Secondary antibody only control : Used PBS instead of primary antibody, secondary antibody is Rabbit specific IHC polymer detection kit HRP/DAB (ab209101) ready to use.

Performed on a Leica Biosystems BOND® RX instrument.

This data was developed using the same antibody clone in a different buffer formulation containing PBS, BSA, glycerol, and sodium azide (ab219207).

Heat mediated antigen retrieval was performed before commencing with IHC staining protocol.

Immunocytochemistry/ Immunofluorescence - Anti-PDX1 antibody [EPR22002] - BSA and Azide free (AB234633)
  • ICC/IF

Supplier Data

Immunocytochemistry/ Immunofluorescence - Anti-PDX1 antibody [EPR22002] - BSA and Azide free (AB234633)

Immunofluorescent analysis of 4% paraformaldehyde-fixed, 0.1% Triton X-100 permeabilized Beta-TC-6 (mouse pancreas insulinoma beta cell line) and NIH/3T3 (mouse embyro fibroblast cell line) cells labeling PDX1 with ab219207 at 1/1000 dilution followed by Goat Anti-Rabbit IgG H&L (Alexa Fluor® 488) (ab150077) secondary antibody at 1/1000 dilution (green).

Confocal image showing nuclear staining in Beta-TC-6 cells.

Negative control : NIH/3T3 (PMID : 25271154).

The nuclear counter stain is DAPI (blue). Tubulin is detected with Anti-alpha Tubulin antibody [DM1A] - Microtubule Marker (Alexa Fluor® 594) (ab195889) (red) at 1/200 dilution.

Secondary antibody only control : Used PBS instead of primary antibody, secondary antibody is Goat Anti-Rabbit IgG H&L (Alexa Fluor® 488) (ab150077) secondary antibody at 1/1000 dilution.

This data was developed using the same antibody clone in a different buffer formulation containing PBS, BSA, glycerol, and sodium azide (ab219207).

Immunoprecipitation - Anti-PDX1 antibody [EPR22002] - BSA and Azide free (AB234633)
  • IP

Supplier Data

Immunoprecipitation - Anti-PDX1 antibody [EPR22002] - BSA and Azide free (AB234633)

PFX1 was immunoprecipitated from 0.35 mg of Beta-TC-6 (mouse pancreas insulinoma beta cell line) whole cell lysate with ab219207 at 1/30 dilution. Western blot was performed from the immunoprecipitate using ab219207 at 1/1000 dilution. VeriBlot for IP Detection Reagent (HRP) (ab131366), was used for detection at 1/5000 dilution.

Lane 1 : Beta-TC-6 whole cell lysate 10 μg (Input).
Lane 2 : ab219207 IP in Beta-TC-6 whole cell lysate.
Lane 3 : Rabbit monoclonal IgG (ab172730) instead of ab219207 in Beta-TC-6 whole cell lysate.

Blocking/Dilution buffer : 5% NFDM/TBST.

Exposure time : 3 seconds.

The molecular mass observed is consistent with what has been described in the literature (PMID : 12488243).

This data was developed using the same antibody clone in a different buffer formulation containing PBS, BSA, glycerol, and sodium azide (ab219207).

All lanes:

Immunoprecipitation - Anti-PDX1 antibody [EPR22002] (<a href='/en-us/products/primary-antibodies/pdx1-antibody-epr22002-ab219207'>ab219207</a>)

Predicted band size: 30 kDa

false

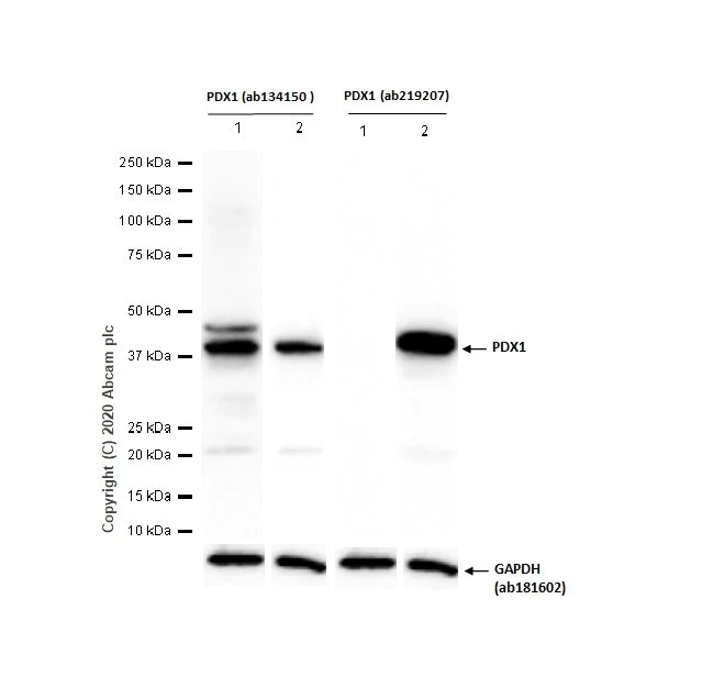
Western blot - Anti-PDX1 antibody [EPR22002] - BSA and Azide free (AB234633)
  • WB

Unknown

Western blot - Anti-PDX1 antibody [EPR22002] - BSA and Azide free (AB234633)

This data was developed using the same antibody clone in a different buffer formulation containing PBS, BSA, glycerol, and sodium azide (ab219207 & ab134150).

All lanes:

Anti-PDX1 antibody at 1/1000 dilution

Lane 1:

Caco-2 (Human colorectal adenocarcinoma epithelial cell) whole cell lysate at 20 µg

Lane 2:

Beta-TC-6 (Mouse pancreas insulinoma beta cell) whole cell lysate at 20 µg

Secondary

All lanes:

Western blot - Goat Anti-Rabbit IgG H&L (HRP) (<a href='/en-us/products/secondary-antibodies/goat-rabbit-igg-h-l-hrp-ab97051'>ab97051</a>) at 1/20000 dilution

Predicted band size: 30 kDa

Observed band size: 40 kDa

false

Key facts

Host species

Rabbit

Clonality

Monoclonal

Clone number

EPR22002

Isotype

IgG

Carrier free

Yes

Reacts with

Mouse, Rat, Human

Applications

ICC/IF, IHC-P, WB, IP

applications

Immunogen

The exact immunogen used to generate this antibody is proprietary information.

Specificity

Human and rat species are recommended based on IHC result. This antibody is unsuitable to be used in western blot on human and rat samples.

Reactivity data

{ "title": "Reactivity Data", "filters": { "stats": ["", "Species", "Dilution Info", "Notes"], "tabs": { "all-applications": {"fullname" : "All Applications", "shortname": "All Applications"}, "IHCP" : {"fullname" : "Immunohistochemistry (Formalin/PFA-fixed paraffin-embedded sections)", "shortname":"IHC-P"}, "IP" : {"fullname" : "Immunoprecipitation", "shortname":"IP"}, "WB" : {"fullname" : "Western blot", "shortname":"WB"}, "ICCIF" : {"fullname" : "Immunocytochemistry/ Immunofluorescence", "shortname":"ICC/IF"} }, "product-promise": { "all": "all", "testedAndGuaranteed": "tested", "guaranteed": "expected", "predicted": "predicted", "notRecommended": "not-recommended" } }, "values": { "Human": { "IHCP-species-checked": "testedAndGuaranteed", "IHCP-species-dilution-info": "", "IHCP-species-notes": "<p>Perform heat-mediated antigen retrieval using Bond™ Epitope Retrieval Solution 2 (pH 9.0) for 20 minutes.</p>", "IP-species-checked": "guaranteed", "IP-species-dilution-info": "", "IP-species-notes": "", "WB-species-checked": "notRecommended", "WB-species-dilution-info": "", "WB-species-notes": "<p>Human and rat species are recommended based on IHC result. This antibody is unsuitable to be used in western blot on human and rat samples.</p>", "ICCIF-species-checked": "guaranteed", "ICCIF-species-dilution-info": "", "ICCIF-species-notes": "" }, "Mouse": { "IHCP-species-checked": "testedAndGuaranteed", "IHCP-species-dilution-info": "", "IHCP-species-notes": "<p>Perform heat-mediated antigen retrieval using Bond™ Epitope Retrieval Solution 2 (pH 9.0) for 20 minutes.</p>", "IP-species-checked": "testedAndGuaranteed", "IP-species-dilution-info": "", "IP-species-notes": "<p></p>", "WB-species-checked": "testedAndGuaranteed", "WB-species-dilution-info": "", "WB-species-notes": "<p>Human and rat species are recommended based on IHC result. This antibody is unsuitable to be used in western blot on human and rat samples.</p>", "ICCIF-species-checked": "testedAndGuaranteed", "ICCIF-species-dilution-info": "", "ICCIF-species-notes": "<p></p>" }, "Rat": { "IHCP-species-checked": "testedAndGuaranteed", "IHCP-species-dilution-info": "", "IHCP-species-notes": "<p>Perform heat-mediated antigen retrieval using Bond™ Epitope Retrieval Solution 2 (pH 9.0) for 20 minutes.</p>", "IP-species-checked": "guaranteed", "IP-species-dilution-info": "", "IP-species-notes": "", "WB-species-checked": "notRecommended", "WB-species-dilution-info": "", "WB-species-notes": "<p>Human and rat species are recommended based on IHC result. This antibody is unsuitable to be used in western blot on human and rat samples.</p>", "ICCIF-species-checked": "guaranteed", "ICCIF-species-dilution-info": "", "ICCIF-species-notes": "" } } }

Product details

ab234633 is the carrier-free version of ab219207.

Patented technology
Our RabMAb® technology is a patented hybridoma-based technology for making rabbit monoclonal antibodies. For details on our patents, please refer to RabMAb® patents.

What are the advantages of a recombinant monoclonal antibody?
This product is a recombinant monoclonal antibody, which offers several advantages including:

  • - High batch-to-batch consistency and reproducibility
  • - Improved sensitivity and specificity
  • - Long-term security of supply
  • - Animal-free batch production

For more information, read more on recombinant antibodies.

Conjugation ready
Our carrier-free antibodies are typically supplied in a PBS-only formulation, purified and free of BSA, sodium azide and glycerol. This conjugation-ready format is designed for use with fluorochromes, metal isotopes, oligonucleotides, and enzymes, which makes them ideal for antibody labelling, functional and cell-based assays, flow-based assays (e.g. mass cytometry) and Multiplex Imaging applications.

Use our conjugation kits for antibody conjugates that are ready-to-use in as little as 20 minutes with 1 minute hands-on-time and 100% antibody recovery: available for fluorescent dyes, HRP, biotin and gold.

Compatibility
This product is compatible with the Maxpar® Antibody Labeling Kit from Fluidigm, without the need for antibody preparation. Maxpar® is a trademark of Fluidigm Canada Inc.

Properties and storage information

Form
Liquid
Purification technique
Affinity purification Protein A
Storage buffer
pH: 7.2 - 7.4 Constituents: PBS
Shipped at conditions
Blue Ice
Appropriate short-term storage conditions
+4°C
Appropriate long-term storage conditions
+4°C
Storage information
Do Not Freeze

Supplementary information

This supplementary information is collated from multiple sources and compiled automatically.

Pancreatic duodenal homeobox 1 (PDX1) also known as insulin promoter factor 1 (IPF1) is an important transcription factor with a molecular weight of approximately 31 kDa. PDX1 plays an essential role in the development and function of the pancreas. This protein is mainly expressed in the pancreatic beta cells where it regulates gene expression linked to insulin production. Its expression also extends to the duodenum where it influences other developmental processes.
Biological function summary

PDX1 plays a critical role in pancreatic development beta-cell differentiation and insulin gene transcription. It functions as part of a protein complex that controls key aspects of beta-cell identity and function. The interactions within this complex allow PDX1 to effectively modulate pancreatic gene expression and maintain glucose homeostasis.

Pathways

PDX1 is deeply involved in the insulin secretion pathway and the regulation of glucose metabolism. It interacts with other transcription factors such as MAFA and NEUROD1 to carry out its role in these pathways. The presence of PDX1 in these pathways ensures the proper regulation of genes essential for insulin production and release connecting it to various metabolic processes.

PDX1 associates mainly with diabetes mellitus and pancreatic agenesis. Mutations or functional impairments in PDX1 affect insulin production leading to diabetes. Furthermore in pancreatic agenesis where the pancreas fails to develop PDX1 malfunctions are often implicated. PDX1 interactions with proteins like MAFA and NEUROD1 during this process are critical; alterations in these relationships can exacerbate disease states linking PDX1 to both genetic and acquired forms of pancreatic dysfunction.

Product protocols

For this product, it's our understanding that no specific protocols are required. You can visit:

Target data

Activates insulin, somatostatin, glucokinase, islet amyloid polypeptide and glucose transporter type 2 gene transcription. Particularly involved in glucose-dependent regulation of insulin gene transcription. As part of a PDX1 : PBX1b : MEIS2b complex in pancreatic acinar cells is involved in the transcriptional activation of the ELA1 enhancer; the complex binds to the enhancer B element and cooperates with the transcription factor 1 complex (PTF1) bound to the enhancer A element. Binds preferentially the DNA motif 5'-[CT]TAAT[TG]-3'. During development, specifies the early pancreatic epithelium, permitting its proliferation, branching and subsequent differentiation. At adult stage, required for maintaining the hormone-producing phenotype of the beta-cell.
See full target information PDX1

Publications (1)

Recent publications for all applications. Explore the full list and refine your search

Cells 11: PubMed35159267

2022

Effect of Withanolide A on 7-Ketocholesterol Induced Cytotoxicity in hCMEC/D3 Brain Endothelial Cells.

Applications

Unspecified application

Species

Unspecified reactive species

Sandra Soh,Wei-Yi Ong
View all publications

Product promise

We are committed to supporting your work with high-quality reagents, and we're here for you every step of the way. In the unlikely event that one of our products does not perform as expected, you're protected by our Product Promise.
For full details, please see our Terms & Conditions

Please note: All products are 'FOR RESEARCH USE ONLY. NOT FOR USE IN DIAGNOSTIC OR THERAPEUTIC PROCEDURES'.

For licensing inquiries, please contact partnerships@abcam.com