JavaScript is disabled in your browser. Please enable JavaScript to view this website.
AB240084

Anti-PDX1 antibody [EPR3358(2)] - BSA and Azide free

Be the first to review this product! Submit a review

|

(3 Publications)

Rabbit Recombinant Monoclonal PDX1 antibody. Carrier free. Suitable for IHC-P, WB, ICC/IF and reacts with Human, Mouse samples. Cited in 3 publications.

View Alternative Names

IPF1, STF1, PDX1, Pancreas/duodenum homeobox protein 1, PDX-1, Glucose-sensitive factor, Insulin promoter factor 1, Insulin upstream factor 1, Islet/duodenum homeobox-1, Somatostatin-transactivating factor 1, GSF, IPF-1, IUF-1, IDX-1, STF-1

10 Images
Immunocytochemistry/ Immunofluorescence - Anti-PDX1 antibody [EPR3358(2)] - BSA and Azide free (AB240084)
  • ICC/IF

Lab

Immunocytochemistry/ Immunofluorescence - Anti-PDX1 antibody [EPR3358(2)] - BSA and Azide free (AB240084)

This data was developed using the same antibody clone in a different buffer formulation containing PBS, BSA, glycerol, and sodium azide (ab134150).

Immunofluorescent analysis of 4% Paraformaldehyde-fixed, 0.1% TritonX-100 permeabilized DLD-1(human colorectal adenocarcinoma epithelial cell) cells labelling PDX1 with ab134150 at 1/500 (2.05 µg/ml) dilution followed by a ab150081 Goat Anti-Rabbit IgG H&L (Alexa Fluor® 488) preadsorbed at a 1/1000 (2 µg) dilution (Green).

Confocal image showing nuclear staining in DLD-1 cells (shown in green), which is non-specific. The counterstain was observed in magenta. Nuclear DNA was labelled with DAPI (shown in blue).
Negative control : HepG2.
Image was taken with a confocal microscope (Leica-Microsystems, TCS SP8).

ab195889 Anti-alpha Tubulin mouse monoclonal antibody - Microtubule Marker (Alexa Fluor® 594) was used to counterstain tubulin at 1/200 (2.5µg/ml) dilution (Magenta). The Nuclear counterstain was DAPI (Blue).

Secondary antibody only control : ab150081 Goat Anti-Rabbit IgG H&L (Alexa Fluor® 488) preadsorbed at a 1/1000 (2 µg) dilution.

Immunohistochemistry (Formalin/PFA-fixed paraffin-embedded sections) - Anti-PDX1 antibody [EPR3358(2)] - BSA and Azide free (AB240084)
  • IHC-P

Unknown

Immunohistochemistry (Formalin/PFA-fixed paraffin-embedded sections) - Anti-PDX1 antibody [EPR3358(2)] - BSA and Azide free (AB240084)

Immunohistochemical analysis of paraffin embedded Human Colonic adenocarcinoma tissue using ab134150, unpurified, showing +ve staining.

This data was developed using the same antibody clone in a different buffer formulation containing PBS, BSA, glycerol, and sodium azide (ab134150).

Perform heat mediated antigen retrieval before commencing with IHC staining protocol.

Immunohistochemistry (Formalin/PFA-fixed paraffin-embedded sections) - Anti-PDX1 antibody [EPR3358(2)] - BSA and Azide free (AB240084)
  • IHC-P

Supplier Data

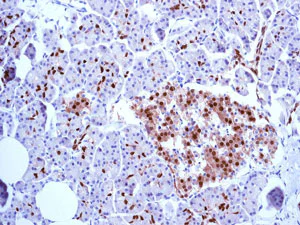
Immunohistochemistry (Formalin/PFA-fixed paraffin-embedded sections) - Anti-PDX1 antibody [EPR3358(2)] - BSA and Azide free (AB240084)

ab134150 staining PDX1 in Human pancreas tissue sections by Immunohistochemistry (IHC-P - paraformaldehyde-fixed, paraffin-embedded sections). Tissue was fixed and paraffin-embedded, antigen retrieval was by heat mediation in Tris/EDTA buffer pH9. Samples were incubated with primary antibody (1/500). An undiluted HRP-conjugated anti-rabbit IgG was used as the secondary antibody. Tissue counterstained with Hematoxylin. PBS was used in the negative control rather than the Primary antibody.

This data was developed using the same antibody clone in a different buffer formulation containing PBS, BSA, glycerol, and sodium azide (ab134150).

Immunohistochemistry (Formalin/PFA-fixed paraffin-embedded sections) - Anti-PDX1 antibody [EPR3358(2)] - BSA and Azide free (AB240084)
  • IHC-P

AbReview38544****

Immunohistochemistry (Formalin/PFA-fixed paraffin-embedded sections) - Anti-PDX1 antibody [EPR3358(2)] - BSA and Azide free (AB240084)

ab134150, unpurified, staining PDX1 in Human pancreas tissue sections by Immunohistochemistry (IHC-P - paraformaldehyde-fixed, paraffin-embedded sections). Tissue was fixed with formaldehyde and blocked with 5% serum for 1 hour at 24°C; antigen retrieval was by heat mediation in 10mM sodium citrate, pH 6.0. Samples were incubated with primary antibody (1/1000 in 2% BSA) for 16 hours at 4°C. An Alexa Fluor® 488-conjugated Donkey anti-rabbit IgG polyclonal (1/400) was used as the secondary antibody.

This data was developed using the same antibody clone in a different buffer formulation containing PBS, BSA, glycerol, and sodium azide (ab134150).

This image is courtesy of an anonymous Abreview

Immunocytochemistry/ Immunofluorescence - Anti-PDX1 antibody [EPR3358(2)] - BSA and Azide free (AB240084)
  • ICC/IF

Lab

Immunocytochemistry/ Immunofluorescence - Anti-PDX1 antibody [EPR3358(2)] - BSA and Azide free (AB240084)

ab134150 staining PDX1 in the BXPC-3 cell line by ICC/IF (Immunocytochemistry/immunofluorescence). Cells were fixed with 4% Paraformaldehyde. Samples were incubated with primary antibody (1/150). An Alexa Fluor®555-conjugated Goat anti-rabbit IgG (1/500) was used as the secondary antibody. Nuclei were counterstained with DAPI.

This data was developed using the same antibody clone in a different buffer formulation containing PBS, BSA, glycerol, and sodium azide (ab134150).

Immunohistochemistry (Formalin/PFA-fixed paraffin-embedded sections) - Anti-PDX1 antibody [EPR3358(2)] - BSA and Azide free (AB240084)
  • IHC-P

Unknown

Immunohistochemistry (Formalin/PFA-fixed paraffin-embedded sections) - Anti-PDX1 antibody [EPR3358(2)] - BSA and Azide free (AB240084)

Immunohistochemical analysis of paraffin embedded normal Human Normal brain tissue using ab134150, unpurified, showing -ve staining.

This data was developed using the same antibody clone in a different buffer formulation containing PBS, BSA, glycerol, and sodium azide (ab134150).

Perform heat mediated antigen retrieval before commencing with IHC staining protocol.

Immunohistochemistry (Formalin/PFA-fixed paraffin-embedded sections) - Anti-PDX1 antibody [EPR3358(2)] - BSA and Azide free (AB240084)
  • IHC-P

Unknown

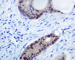
Immunohistochemistry (Formalin/PFA-fixed paraffin-embedded sections) - Anti-PDX1 antibody [EPR3358(2)] - BSA and Azide free (AB240084)

Immunohistochemical analysis of paraffin embedded Human duodenum tissue labelled with ab134150, unpurified, at 1/1000 dilution.

This data was developed using the same antibody clone in a different buffer formulation containing PBS, BSA, glycerol, and sodium azide (ab134150).

Perform heat mediated antigen retrieval before commencing with IHC staining protocol.

Immunohistochemistry (Formalin/PFA-fixed paraffin-embedded sections) - Anti-PDX1 antibody [EPR3358(2)] - BSA and Azide free (AB240084)
  • IHC-P

Unknown

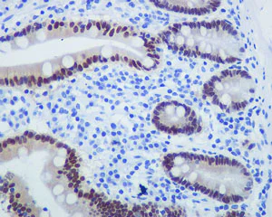
Immunohistochemistry (Formalin/PFA-fixed paraffin-embedded sections) - Anti-PDX1 antibody [EPR3358(2)] - BSA and Azide free (AB240084)

Immunohistochemical analysis of paraffin embedded Human pancreas tissue labelled with ab134150, unpurified, at 1/1000 dilution.

This data was developed using the same antibody clone in a different buffer formulation containing PBS, BSA, glycerol, and sodium azide (ab134150).

Perform heat mediated antigen retrieval before commencing with IHC staining protocol.

Western blot - Anti-PDX1 antibody [EPR3358(2)] - BSA and Azide free (AB240084)
  • WB

Unknown

Western blot - Anti-PDX1 antibody [EPR3358(2)] - BSA and Azide free (AB240084)

The expression profile observed in BxPC-3 is consistent with the literature (PMID : 12947327). Negative control : BxPC-3 (PMID : 12947327)

All lanes:

Western blot - Anti-PDX1 antibody [EPR3358(2)] (<a href='/en-us/products/primary-antibodies/pdx1-antibody-epr33582-ab134150'>ab134150</a>) at 1/1000 dilution

Lane 1:

Caco-2 (Human colorectal adenocarcinoma epithelial cell) whole cell lysate at 20 µg

Lane 2:

BxPC-3 (Human pancreas adenocarcinoma epithelial cell) whole cell lysate at 20 µg

Lane 3:

Beta-TC-6 (Mouse pancreas insulinoma beta cell) whole cell lysate at 20 µg

Secondary

All lanes:

Western blot - Goat Anti-Rabbit IgG H&L (HRP) (<a href='/en-us/products/secondary-antibodies/goat-rabbit-igg-h-l-hrp-ab97051'>ab97051</a>) at 1/20000 dilution

Predicted band size: 30 kDa

Observed band size: 40 kDa

false

OI-RD Scanning - Anti-PDX1 antibody [EPR3358(2)] - BSA and Azide free (AB240084)
  • OI-RD Scanning

Unknown

OI-RD Scanning - Anti-PDX1 antibody [EPR3358(2)] - BSA and Azide free (AB240084)

We have systematically measured KD (the equilibrium dissociation constant between the antibody and its antigen), of more than 840 recombinant antibodies to assess not only their individual KD values but also to see the average affinity of antibody. Based on the comparison with published literature values for mouse monoclonal antibodies, Recombinant antibodies appear to be on average 1-2 order of magnitude higher affinity.

Key facts

Host species

Rabbit

Clonality

Monoclonal

Clone number

EPR3358(2)

Isotype

IgG

Carrier free

Yes

Reacts with

Mouse, Human

Applications

WB, IHC-P, ICC/IF

applications

Immunogen

The exact immunogen used to generate this antibody is proprietary information.

Specificity

The mouse recommendation is based on the WB results. We do not guarantee IHC-P for mouse.

Reactivity data

{ "title": "Reactivity Data", "filters": { "stats": ["", "Species", "Dilution Info", "Notes"], "tabs": { "all-applications": {"fullname" : "All Applications", "shortname": "All Applications"}, "IHCP" : {"fullname" : "Immunohistochemistry (Formalin/PFA-fixed paraffin-embedded sections)", "shortname":"IHC-P"}, "WB" : {"fullname" : "Western blot", "shortname":"WB"}, "ICCIF" : {"fullname" : "Immunocytochemistry/ Immunofluorescence", "shortname":"ICC/IF"} }, "product-promise": { "all": "all", "testedAndGuaranteed": "tested", "guaranteed": "expected", "predicted": "predicted", "notRecommended": "not-recommended" } }, "values": { "Human": { "IHCP-species-checked": "testedAndGuaranteed", "IHCP-species-dilution-info": "", "IHCP-species-notes": "<p></p>", "WB-species-checked": "testedAndGuaranteed", "WB-species-dilution-info": "", "WB-species-notes": "<p></p>", "ICCIF-species-checked": "testedAndGuaranteed", "ICCIF-species-dilution-info": "", "ICCIF-species-notes": "<p></p>" }, "Mouse": { "IHCP-species-checked": "notRecommended", "IHCP-species-dilution-info": "", "IHCP-species-notes": "<p></p>", "WB-species-checked": "testedAndGuaranteed", "WB-species-dilution-info": "", "WB-species-notes": "<p></p>", "ICCIF-species-checked": "guaranteed", "ICCIF-species-dilution-info": "", "ICCIF-species-notes": "" } } }

Product details

ab240084 is the carrier-free version of ab134150.

Patented technology
Our RabMAb® technology is a patented hybridoma-based technology for making rabbit monoclonal antibodies. For details on our patents, please refer to RabMAb® patents.

What are the advantages of a recombinant monoclonal antibody?
This product is a recombinant monoclonal antibody, which offers several advantages including:

  • - High batch-to-batch consistency and reproducibility
  • - Improved sensitivity and specificity
  • - Long-term security of supply
  • - Animal-free batch production

For more information, read more on recombinant antibodies.

Conjugation ready
Our carrier-free antibodies are typically supplied in a PBS-only formulation, purified and free of BSA, sodium azide and glycerol. This conjugation-ready format is designed for use with fluorochromes, metal isotopes, oligonucleotides, and enzymes, which makes them ideal for antibody labelling, functional and cell-based assays, flow-based assays (e.g. mass cytometry) and Multiplex Imaging applications.

Use our conjugation kits for antibody conjugates that are ready-to-use in as little as 20 minutes with 1 minute hands-on-time and 100% antibody recovery: available for fluorescent dyes, HRP, biotin and gold.

Compatibility
This product is compatible with the Maxpar® Antibody Labeling Kit from Fluidigm, without the need for antibody preparation. Maxpar® is a trademark of Fluidigm Canada Inc.

Species reactivity
Rat: We have preliminary internal testing data to indicate this antibody may not react with this species.
Please contact us for more information.

Properties and storage information

Form
Liquid
Purification technique
Affinity purification Protein A
Storage buffer
pH: 7.2 - 7.4 Constituents: PBS
Shipped at conditions
Blue Ice
Appropriate short-term storage conditions
+4°C
Appropriate long-term storage conditions
+4°C
Storage information
Do Not Freeze

Supplementary information

This supplementary information is collated from multiple sources and compiled automatically.

Pancreatic duodenal homeobox 1 (PDX1) also known as insulin promoter factor 1 (IPF1) is an important transcription factor with a molecular weight of approximately 31 kDa. PDX1 plays an essential role in the development and function of the pancreas. This protein is mainly expressed in the pancreatic beta cells where it regulates gene expression linked to insulin production. Its expression also extends to the duodenum where it influences other developmental processes.
Biological function summary

PDX1 plays a critical role in pancreatic development beta-cell differentiation and insulin gene transcription. It functions as part of a protein complex that controls key aspects of beta-cell identity and function. The interactions within this complex allow PDX1 to effectively modulate pancreatic gene expression and maintain glucose homeostasis.

Pathways

PDX1 is deeply involved in the insulin secretion pathway and the regulation of glucose metabolism. It interacts with other transcription factors such as MAFA and NEUROD1 to carry out its role in these pathways. The presence of PDX1 in these pathways ensures the proper regulation of genes essential for insulin production and release connecting it to various metabolic processes.

PDX1 associates mainly with diabetes mellitus and pancreatic agenesis. Mutations or functional impairments in PDX1 affect insulin production leading to diabetes. Furthermore in pancreatic agenesis where the pancreas fails to develop PDX1 malfunctions are often implicated. PDX1 interactions with proteins like MAFA and NEUROD1 during this process are critical; alterations in these relationships can exacerbate disease states linking PDX1 to both genetic and acquired forms of pancreatic dysfunction.

Product protocols

For this product, it's our understanding that no specific protocols are required. You can visit:

Target data

Activates insulin, somatostatin, glucokinase, islet amyloid polypeptide and glucose transporter type 2 gene transcription. Particularly involved in glucose-dependent regulation of insulin gene transcription. As part of a PDX1 : PBX1b : MEIS2b complex in pancreatic acinar cells is involved in the transcriptional activation of the ELA1 enhancer; the complex binds to the enhancer B element and cooperates with the transcription factor 1 complex (PTF1) bound to the enhancer A element. Binds preferentially the DNA motif 5'-[CT]TAAT[TG]-3'. During development, specifies the early pancreatic epithelium, permitting its proliferation, branching and subsequent differentiation. At adult stage, required for maintaining the hormone-producing phenotype of the beta-cell.
See full target information PDX1

Publications (3)

Recent publications for all applications. Explore the full list and refine your search

NPJ precision oncology 7:95 PubMed37723227

2023

Targeted single-cell proteomic analysis identifies new liquid biopsy biomarkers associated with multiple myeloma.

Applications

Unspecified application

Species

Unspecified reactive species

Sonia M Setayesh,Libere J Ndacayisaba,Kate E Rappard,Valerie Hennes,Luz Yurany Moreno Rueda,Guilin Tang,Pei Lin,Robert Z Orlowski,David E Symer,Elisabet E Manasanch,Stephanie N Shishido,Peter Kuhn

Life (Basel, Switzerland) 13: PubMed37511945

2023

Circulating Epithelial Cells in Patients with Intraductal Papillary Mucinous Neoplasm of the Pancreas.

Applications

Unspecified application

Species

Unspecified reactive species

Jasmina Kuvendjiska,Felix Müller,Peter Bronsert,Sylvia Timme-Bronsert,Stefan Fichtner-Feigl,Birte Kulemann

Regenerative therapy 18:391-400 PubMed34722835

2021

Circ_0134944 inhibits osteogenesis through miR-127-5p/PDX1/SPHK1 pathway.

Applications

Unspecified application

Species

Unspecified reactive species

Da-Wei Zhang,Tao Chen,Jin-Xiang Li,Hong-Gang Wang,Zong-Wen Huang,Hai Lv
View all publications

Product promise

We are committed to supporting your work with high-quality reagents, and we're here for you every step of the way. In the unlikely event that one of our products does not perform as expected, you're protected by our Product Promise.
For full details, please see our Terms & Conditions

Please note: All products are 'FOR RESEARCH USE ONLY. NOT FOR USE IN DIAGNOSTIC OR THERAPEUTIC PROCEDURES'.

For licensing inquiries, please contact partnerships@abcam.com