JavaScript is disabled in your browser. Please enable JavaScript to view this website.
AB196631

Anti-PDZK3/Pin1 antibody

Be the first to review this product! Submit a review

|

(1 Publication)

Rabbit Polyclonal PDZK3/Pin1 antibody. Suitable for IHC-P, ICC/IF and reacts with Human samples. Cited in 1 publication. Immunogen corresponding to Synthetic Peptide within Human PDZD2.

View Alternative Names

AIPC, KIAA0300, PDZK3, PDZD2, PDZ domain-containing protein 2, Activated in prostate cancer protein, PDZ domain-containing protein 3

2 Images
Immunocytochemistry/ Immunofluorescence - Anti-PDZK3/Pin1 antibody (AB196631)
  • ICC/IF

Supplier Data

Immunocytochemistry/ Immunofluorescence - Anti-PDZK3/Pin1 antibody (AB196631)

Immunofluorscence analysis of HepG2 cells labeling PDZK3/Pin1 with ab196631 at 1/100 dilution. The image on the right is treated with the synthesized peptide.

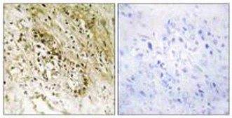
Immunohistochemistry (Formalin/PFA-fixed paraffin-embedded sections) - Anti-PDZK3/Pin1 antibody (AB196631)
  • IHC-P

Supplier Data

Immunohistochemistry (Formalin/PFA-fixed paraffin-embedded sections) - Anti-PDZK3/Pin1 antibody (AB196631)

Immunohistochemical analysis of formalin fixed and paraffin embedded Human prostate carcinoma tissue labeling PDZK3/Pin1 with ab196631 at 1/50 dilution. The image on the right is treated with the synthesized peptide.

Key facts

Host species

Rabbit

Clonality

Polyclonal

Isotype

IgG

Carrier free

No

Reacts with

Human

Applications

ICC/IF, IHC-P

applications

Immunogen

Synthetic Peptide within Human PDZD2. The exact immunogen used to generate this antibody is proprietary information.

O15018

Reactivity data

{ "title": "Reactivity Data", "filters": { "stats": ["", "Species", "Dilution Info", "Notes"], "tabs": { "all-applications": {"fullname" : "All Applications", "shortname": "All Applications"}, "IHCP" : {"fullname" : "Immunohistochemistry (Formalin/PFA-fixed paraffin-embedded sections)", "shortname":"IHC-P"}, "ICCIF" : {"fullname" : "Immunocytochemistry/ Immunofluorescence", "shortname":"ICC/IF"} }, "product-promise": { "all": "all", "testedAndGuaranteed": "tested", "guaranteed": "expected", "predicted": "predicted", "notRecommended": "not-recommended" } }, "values": { "Human": { "IHCP-species-checked": "testedAndGuaranteed", "IHCP-species-dilution-info": "1/50 - 1/100", "IHCP-species-notes": "<p></p>", "ICCIF-species-checked": "testedAndGuaranteed", "ICCIF-species-dilution-info": "1/100 - 1/500", "ICCIF-species-notes": "<p></p>" }, "Mouse": { "IHCP-species-checked": "predicted", "IHCP-species-dilution-info": "", "IHCP-species-notes": "", "ICCIF-species-checked": "predicted", "ICCIF-species-dilution-info": "", "ICCIF-species-notes": "" } } }

Properties and storage information

Form
Liquid
Purification technique
Affinity purification Immunogen
Storage buffer
pH: 7.4 Preservative: 0.02% Sodium azide Constituents: 50% Glycerol (glycerin, glycerine), 49% PBS, 0.87% Sodium chloride
Shipped at conditions
Blue Ice
Appropriate short-term storage duration
1-2 weeks
Appropriate short-term storage conditions
+4°C
Appropriate long-term storage conditions
-20°C
Aliquoting information
Upon delivery aliquot
Storage information
Avoid freeze / thaw cycle

Supplementary information

This supplementary information is collated from multiple sources and compiled automatically.

PDZK3 also known as Pin1 is a peptidyl-prolyl cis-trans isomerase that weighs approximately 18 kDa. It modifies the conformation of phosphorylated serine/threonine-proline motifs influencing protein function and stability. PDZK3 is expressed in many tissues including the brain heart and lungs. It plays a significant role in cellular processes by altering protein-protein interactions through its isomerase activity.
Biological function summary

PDZK3 performs a critical role in regulating cell cycle progression and growth through its modulation of protein folding and conformation changes. It is a part of a complex functioning with other proteins to stabilize and regulate substrates such as Cdc25C a phosphatase and cyclin-dependent kinases. These interactions facilitate transitions between cell cycle phases and support cellular response to various stimuli.

Pathways

PDZK3 directly participates in signal transduction processes particularly the MAPK/ERK pathway and the Wnt signaling pathway. In the MAPK/ERK pathway PDZK3 interacts with proteins such as Raf-1 and MEK1 to impact cell proliferation and differentiation. In the Wnt signaling pathway PDZK3 connects with beta-catenin contributing to regulation of gene expression and maintenance of cellular functions.

PDZK3's dysregulation correlates with cancer and Alzheimer's disease. PDZK3 overexpression or malfunction may lead to unchecked cell division and tumorigenesis linking it with oncogenic proteins such as c-Myc. In Alzheimer's disease PDZK3 affects tau phosphorylation connecting with tau proteins which can cause tau tangles contributing to cognitive decline. Understanding PDZK3's involvement offers insights into therapeutic targets for these conditions.

Product protocols

For this product, it's our understanding that no specific protocols are required. You can visit:

Publications (1)

Recent publications for all applications. Explore the full list and refine your search

Oncology reports 41:2729-2738 PubMed30896877

2019

miR-363 acts as a tumor suppressor in osteosarcoma cells by inhibiting PDZD2.

Applications

Unspecified application

Species

Unspecified reactive species

Fan He,Long Fang,Qingshui Yin
View all publications

Product promise

We are committed to supporting your work with high-quality reagents, and we're here for you every step of the way. In the unlikely event that one of our products does not perform as expected, you're protected by our Product Promise.
For full details, please see our Terms & Conditions

Please note: All products are 'FOR RESEARCH USE ONLY. NOT FOR USE IN DIAGNOSTIC OR THERAPEUTIC PROCEDURES'.

For licensing inquiries, please contact partnerships@abcam.com