JavaScript is disabled in your browser. Please enable JavaScript to view this website.
AB171083

Anti-PDZRN4 antibody [EPR11852]

Be the first to review this product! Submit a review

|

(2 Publications)

Rabbit Recombinant Monoclonal PDZRN4 antibody. Suitable for IHC-P, WB, Flow Cyt (Intra) and reacts with Human samples. Cited in 2 publications.

View Alternative Names

LNX4, SEMCAP3L, PDZRN4, PDZ domain-containing RING finger protein 4, Ligand of Numb protein X 4, SEMACAP3-like protein

4 Images
Flow Cytometry (Intracellular) - Anti-PDZRN4 antibody [EPR11852] (AB171083)
  • Flow Cyt (Intra)

Supplier Data

Flow Cytometry (Intracellular) - Anti-PDZRN4 antibody [EPR11852] (AB171083)

Intracellular flow cytometric analysis of permeabilized U87-MG cells labeling PDZRN4 with ab171083 at 1/100 dilution (red), compared to arabbit IgG negative control (green).

Immunohistochemistry (Formalin/PFA-fixed paraffin-embedded sections) - Anti-PDZRN4 antibody [EPR11852] (AB171083)
  • IHC-P

Supplier Data

Immunohistochemistry (Formalin/PFA-fixed paraffin-embedded sections) - Anti-PDZRN4 antibody [EPR11852] (AB171083)

Immunohistochemical analysis of paraffin-embedded Human lung carcinoma tissue labeling PDZRN4 with ab171083 at 1/50 dilution.

Perform heat mediated antigen retrieval with citrate buffer pH 6 before commencing with IHC staining protocol.

Immunohistochemistry (Formalin/PFA-fixed paraffin-embedded sections) - Anti-PDZRN4 antibody [EPR11852] (AB171083)
  • IHC-P

Supplier Data

Immunohistochemistry (Formalin/PFA-fixed paraffin-embedded sections) - Anti-PDZRN4 antibody [EPR11852] (AB171083)

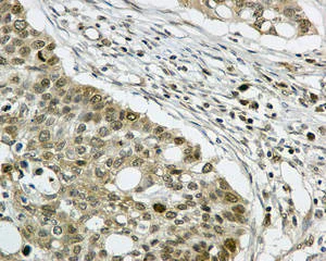
Immunohistochemical analysis of paraffin-embedded Human cervical carcinoma tissue labeling PDZRN4 with ab171083 at 1/50 dilution.

Perform heat mediated antigen retrieval with citrate buffer pH 6 before commencing with IHC staining protocol.

Western blot - Anti-PDZRN4 antibody [EPR11852] (AB171083)
  • WB

Supplier Data

Western blot - Anti-PDZRN4 antibody [EPR11852] (AB171083)

All lanes:

Western blot - Anti-PDZRN4 antibody [EPR11852] (ab171083) at 1/1000 dilution

Lane 1:

Human prostate tissue lysate at 10 µg

Lane 2:

HepG2 cell lysate at 10 µg

Lane 3:

U87-MG cell lysate at 10 µg

Predicted band size: 117 kDa

false

  • Carrier free

    Anti-PDZRN4 antibody [EPR11852] - BSA and Azide free

Key facts

Host species

Rabbit

Clonality

Monoclonal

Clone number

EPR11852

Isotype

IgG

Carrier free

No

Reacts with

Human

Applications

Flow Cyt (Intra), WB, IHC-P

applications

Immunogen

The exact immunogen used to generate this antibody is proprietary information.

Reactivity data

{ "title": "Reactivity Data", "filters": { "stats": ["", "Species", "Dilution Info", "Notes"], "tabs": { "all-applications": {"fullname" : "All Applications", "shortname": "All Applications"}, "IHCP" : {"fullname" : "Immunohistochemistry (Formalin/PFA-fixed paraffin-embedded sections)", "shortname":"IHC-P"}, "IP" : {"fullname" : "Immunoprecipitation", "shortname":"IP"}, "WB" : {"fullname" : "Western blot", "shortname":"WB"}, "FlowCytIntra" : {"fullname" : "Flow Cytometry (Intracellular)", "shortname":"Flow Cyt (Intra)"} }, "product-promise": { "all": "all", "testedAndGuaranteed": "tested", "guaranteed": "expected", "predicted": "predicted", "notRecommended": "not-recommended" } }, "values": { "Human": { "IHCP-species-checked": "testedAndGuaranteed", "IHCP-species-dilution-info": "1/50 - 1/100", "IHCP-species-notes": "<p></p>", "IP-species-checked": "notRecommended", "IP-species-dilution-info": "", "IP-species-notes": "<p></p>", "WB-species-checked": "testedAndGuaranteed", "WB-species-dilution-info": "1/1000 - 1/5000", "WB-species-notes": "<p></p>", "FlowCytIntra-species-checked": "testedAndGuaranteed", "FlowCytIntra-species-dilution-info": "1/100 - 1/500", "FlowCytIntra-species-notes": "<p><a href='/en-us/products/primary-antibodies/rabbit-igg-monoclonal-epr25a-isotype-control-ab172730'>ab172730</a> - Rabbit monoclonal IgG, is suitable for use as an isotype control with this antibody.</p>" }, "Mouse": { "IHCP-species-checked": "notRecommended", "IHCP-species-dilution-info": "1/50 - 1/100", "IHCP-species-notes": "<p></p>", "IP-species-checked": "notRecommended", "IP-species-dilution-info": "", "IP-species-notes": "<p></p>", "WB-species-checked": "notRecommended", "WB-species-dilution-info": "1/1000 - 1/5000", "WB-species-notes": "<p></p>", "FlowCytIntra-species-checked": "notRecommended", "FlowCytIntra-species-dilution-info": "1/100 - 1/500", "FlowCytIntra-species-notes": "<p><a href='/en-us/products/primary-antibodies/rabbit-igg-monoclonal-epr25a-isotype-control-ab172730'>ab172730</a> - Rabbit monoclonal IgG, is suitable for use as an isotype control with this antibody.</p>" }, "Rat": { "IHCP-species-checked": "notRecommended", "IHCP-species-dilution-info": "1/50 - 1/100", "IHCP-species-notes": "<p></p>", "IP-species-checked": "notRecommended", "IP-species-dilution-info": "", "IP-species-notes": "<p></p>", "WB-species-checked": "notRecommended", "WB-species-dilution-info": "1/1000 - 1/5000", "WB-species-notes": "<p></p>", "FlowCytIntra-species-checked": "notRecommended", "FlowCytIntra-species-dilution-info": "1/100 - 1/500", "FlowCytIntra-species-notes": "<p><a href='/en-us/products/primary-antibodies/rabbit-igg-monoclonal-epr25a-isotype-control-ab172730'>ab172730</a> - Rabbit monoclonal IgG, is suitable for use as an isotype control with this antibody.</p>" } } }

Product details

Patented technology
Our RabMAb® technology is a patented hybridoma-based technology for making rabbit monoclonal antibodies. For details on our patents, please refer to RabMAb® patents.

What are the advantages of a recombinant monoclonal antibody?
This product is a recombinant monoclonal antibody, which offers several advantages including:

  • - High batch-to-batch consistency and reproducibility
  • - Improved sensitivity and specificity
  • - Long-term security of supply
  • - Animal-free batch production

For more information, read more on recombinant antibodies.

Properties and storage information

Form
Liquid
Purification technique
Affinity purification Protein A
Storage buffer
pH: 7.2 - 7.4 Preservative: 0.01% Sodium azide Constituents: BSA, Glycerol (glycerin, glycerine)
Shipped at conditions
Blue Ice
Appropriate short-term storage duration
1-2 weeks
Appropriate short-term storage conditions
+4°C
Appropriate long-term storage conditions
-20°C
Aliquoting information
Upon delivery aliquot
Storage information
Avoid freeze / thaw cycle

Supplementary information

This supplementary information is collated from multiple sources and compiled automatically.

PDZRN4 also known as LNX4 (Ligand of Numb-Protein X 4) functions mechanically as a modular scaffold protein playing a role in protein-protein interactions. It belongs to the PDZ and RING finger protein family and contains both PDZ domains and a RING finger motif. PDZRN4 has a molecular mass of approximately 82 kDa. Researchers have found this protein highly expressed in regions of the central nervous system and testis suggesting tissue-specific roles and significance.
Biological function summary

PDZRN4 facilitates interactions in cellular signaling networks. It acts as an important adaptor molecule that helps in organizing signaling complexes. PDZRN4 is often part of larger protein complexes integrating signals for proper neuronal development and function. It modulates synaptic transmission by interacting with other PDZ domain-containing proteins influencing receptor localization and synaptic stability.

Pathways

PDZRN4 involves itself in synaptic signaling particularly impacting pathways related to neuronal communication and calcium signaling. It is most importantly connected to the Ras signaling pathway. PDZRN4 interacts with proteins like Numb which plays a part in cell fate determination and PSD-95 known for its role in synapse formation and stabilization. These interactions highlight its influence on neuronal plasticity and developmental processes.

PDZRN4 has associations with neurological conditions specifically Alzheimer’s disease and autism spectrum disorders. Abnormal expression or dysfunction of PDZRN4 can disrupt synaptic architecture implicating it in cognitive impairments observed in Alzheimer's disease. The protein also interacts with Numb a significant player in the Notch signaling pathway contributing to neurodevelopmental disorders like autism when misregulated. These connections highlight PDZRN4's potential as a therapeutic target in managing these conditions.

Product protocols

For this product, it's our understanding that no specific protocols are required. You can visit:

Publications (2)

Recent publications for all applications. Explore the full list and refine your search

Frontiers in immunology 15:1457163 PubMed39575241

2024

The role of S100A8 and S100A9 in external auditory canal cholesteatoma.

Applications

Unspecified application

Species

Unspecified reactive species

Guanwen He,Weijing Han,Zhongshou Zhu,Rifu Wei,Chang Lin

Journal of Cancer 13:2293-2300 PubMed35517421

2022

PDZRN4 suppresses tumorigenesis and androgen therapy-resistance in prostate cancer.

Applications

Unspecified application

Species

Unspecified reactive species

Peng Jin,Lielin Wu,Gang Zhang,Bo Yang,Bisong Zhu
View all publications

Product promise

We are committed to supporting your work with high-quality reagents, and we're here for you every step of the way. In the unlikely event that one of our products does not perform as expected, you're protected by our Product Promise.
For full details, please see our Terms & Conditions

Please note: All products are 'FOR RESEARCH USE ONLY. NOT FOR USE IN DIAGNOSTIC OR THERAPEUTIC PROCEDURES'.

For licensing inquiries, please contact partnerships@abcam.com