JavaScript is disabled in your browser. Please enable JavaScript to view this website.
AB274365

PE Anti-NMDAR2B antibody [S59]

Be the first to review this product! Submit a review

|

(1 Publication)

Mouse Recombinant Monoclonal NMDAR2B antibody - conjugated to PE. Suitable for IHC-P, WB, ICC/IF and reacts with Mouse, Rat, Human samples. Cited in 1 publication. Immunogen corresponding to Recombinant Fragment Protein within Rat Grin2b aa 1-300.

View Alternative Names

NMDAR2B, GRIN2B, GluN2B, Glutamate [NMDA] receptor subunit epsilon-2, N-methyl D-aspartate receptor subtype 2B, N-methyl-D-aspartate receptor subunit 3, NR2B, NR3, hNR3

4 Images
Immunocytochemistry/ Immunofluorescence - PE Anti-NMDAR2B antibody [S59] (AB274365)
  • ICC/IF

Unknown

Immunocytochemistry/ Immunofluorescence - PE Anti-NMDAR2B antibody [S59] (AB274365)

Immunocytochemistry/Immunofluorescence analysis of cold 100% methanol-fixed for 10 minutes at -20°C, HaCaT cells stained for NMDAR2B (Green) using ab93610 at 1/100 dilution, followed by a FITC-conjugated Goat Anti-Mouse secondary at 1/50 dilution.

This data was developed using the unconjugated version of this antibody (ab93610).

Immunohistochemistry (Formalin/PFA-fixed paraffin-embedded sections) - PE Anti-NMDAR2B antibody [S59] (AB274365)
  • IHC-P

Unknown

Immunohistochemistry (Formalin/PFA-fixed paraffin-embedded sections) - PE Anti-NMDAR2B antibody [S59] (AB274365)

Immunohistochemistry analysis of Bouin's Fixative-fixed, paraffin-embedded mouse backskin tissue stained for NMDAR2B (Green) using ab93610 at 1/100 dilution, followed by a FITC-conjugated Goat-Anti-Mouse secondary at 1/50 dilution.

This data was developed using the unconjugated version of this antibody (ab93610).

Western blot - PE Anti-NMDAR2B antibody [S59] (AB274365)
  • WB

Supplier Data

Western blot - PE Anti-NMDAR2B antibody [S59] (AB274365)

This data was developed using the unconjugated version of this antibody (ab93610).

All lanes:

Western blot - PE Anti-NMDAR2B antibody [S59] (ab274365) at 1/1000 dilution

All lanes:

Rat brain membrane tissue lysate at 15 µg

Predicted band size: 166 kDa

false

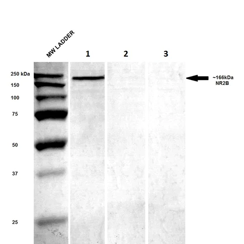
Western blot - PE Anti-NMDAR2B antibody [S59] (AB274365)
  • WB

Supplier Data

Western blot - PE Anti-NMDAR2B antibody [S59] (AB274365)

This data was developed using the unconjugated version of this antibody (ab93610).

All lanes:

Western blot - PE Anti-NMDAR2B antibody [S59] (ab274365) at 1/250 dilution

Lane 1:

NR2B induced HEK-293T lysate

Lane 2:

NR2B non-induced HEK-293T lysate

Lane 3:

Negative control

Predicted band size: 166 kDa

false

Key facts

Host species

Mouse

Clonality

Monoclonal

Clone number

S59

Isotype

IgG2b

Conjugation

PE

Excitation/Emission

Ex: 480;565nm, Em: 578nm

Carrier free

No

Reacts with

Mouse, Rat, Human

Applications

WB, ICC/IF, IHC-P

applications

Immunogen

Recombinant Fragment Protein within Rat Grin2b aa 1-300. The exact immunogen used to generate this antibody is proprietary information.

Q00960

Reactivity data

{ "title": "Reactivity Data", "filters": { "stats": ["", "Species", "Dilution Info", "Notes"], "tabs": { "all-applications": {"fullname" : "All Applications", "shortname": "All Applications"}, "IHCP" : {"fullname" : "Immunohistochemistry (Formalin/PFA-fixed paraffin-embedded sections)", "shortname":"IHC-P"}, "WB" : {"fullname" : "Western blot", "shortname":"WB"}, "ICCIF" : {"fullname" : "Immunocytochemistry/ Immunofluorescence", "shortname":"ICC/IF"} }, "product-promise": { "all": "all", "testedAndGuaranteed": "tested", "guaranteed": "expected", "predicted": "predicted", "notRecommended": "not-recommended" } }, "values": { "Human": { "IHCP-species-checked": "guaranteed", "IHCP-species-dilution-info": "", "IHCP-species-notes": "", "WB-species-checked": "testedAndGuaranteed", "WB-species-dilution-info": "", "WB-species-notes": "<p></p>", "ICCIF-species-checked": "testedAndGuaranteed", "ICCIF-species-dilution-info": "", "ICCIF-species-notes": "<p></p>" }, "Mouse": { "IHCP-species-checked": "testedAndGuaranteed", "IHCP-species-dilution-info": "", "IHCP-species-notes": "<p></p> Antigen retrieval is not essential but may optimise staining.", "WB-species-checked": "guaranteed", "WB-species-dilution-info": "", "WB-species-notes": "", "ICCIF-species-checked": "guaranteed", "ICCIF-species-dilution-info": "", "ICCIF-species-notes": "" }, "Rat": { "IHCP-species-checked": "guaranteed", "IHCP-species-dilution-info": "", "IHCP-species-notes": "", "WB-species-checked": "testedAndGuaranteed", "WB-species-dilution-info": "", "WB-species-notes": "<p></p>", "ICCIF-species-checked": "guaranteed", "ICCIF-species-dilution-info": "", "ICCIF-species-notes": "" } } }

Product details

The clone number has been updated from S59-36 to N59/36, both clone numbers name the same antibody clone.

What are the advantages of a recombinant monoclonal antibody?
This product is a recombinant monoclonal antibody, which offers several advantages including:

  • - High batch-to-batch consistency and reproducibility
  • - Improved sensitivity and specificity
  • - Long-term security of supply
  • - Animal-free batch production

For more information, read more on recombinant antibodies.

Properties and storage information

Form
Liquid
Purification technique
Affinity purification Protein G
Storage buffer
pH: 7.4 Preservative: 0.09% Sodium azide Constituents: PBS, 50% Glycerol (glycerin, glycerine)
Shipped at conditions
Blue Ice
Appropriate short-term storage duration
Up to 12 months
Appropriate short-term storage conditions
+4°C
Appropriate long-term storage conditions
+4°C
Aliquoting information
Upon delivery aliquot
Storage information
Store in the dark

Supplementary information

This supplementary information is collated from multiple sources and compiled automatically.

NMDAR2B also known as NR2B or GluN2B functions as a subunit of the NMDA receptor complex. It plays a role in synaptic transmission and plasticity in the central nervous system. The target weighs approximately 166 kDa. It is highly expressed in the cerebral cortex hippocampus and striatum. NMDAR2B interacts with other subunits in the NMDA receptor which assemble to form a functional ion channel that allows for calcium ion influx when activated by glutamate and glycine.
Biological function summary

The NMDAR2B subunit contributes to the regulation of synaptic strength and is essential for processes involved in learning and memory. As part of the NMDA receptor complex it mediates excitatory neurotransmission and is involved in synaptic plasticity processes such as long-term potentiation (LTP). These functions are significant for cognitive function and neural development. The receptor's role in signal transduction is aided by the unique properties conferred by the NMDAR2B subunit such as its high affinity for glycine and slower deactivation kinetics.

Pathways

NMDAR2B is involved in the glutamatergic signaling pathway which is important for neural communication. It also participates in the calcium signaling pathway affecting cellular responses to external stimuli. The protein interacts with CaMKII and PSD-95 which are proteins that influence synaptic strength and architecture through these pathways. Its involvement links it to a variety of signaling events important for brain function.

Alterations in NMDAR2B have been associated with neurodegenerative conditions such as Alzheimer's disease and neurodevelopmental disorders like schizophrenia. The protein's malfunction can lead to abnormal synaptic connectivity and excitotoxicity. It is linked to other proteins associated with these diseases such as beta-amyloid in Alzheimer's and dopamine receptor dysregulation in schizophrenia indicating its role in disease progression and symptom manifestation.

Product protocols

For this product, it's our understanding that no specific protocols are required. You can visit:

Target data

Component of N-methyl-D-aspartate (NMDA) receptors (NMDARs) that function as heterotetrameric, ligand-gated cation channels with high calcium permeability and voltage-dependent block by Mg(2+) (PubMed : 24272827, PubMed : 24863970, PubMed : 26875626, PubMed : 26919761, PubMed : 27839871, PubMed : 28095420, PubMed : 28126851, PubMed : 38538865, PubMed : 8768735). Participates in synaptic plasticity for learning and memory formation by contributing to the long-term depression (LTD) of hippocampus membrane currents (By similarity). Channel activation requires binding of the neurotransmitter L-glutamate to the GluN2 subunit, glycine or D-serine binding to the GluN1 subunit, plus membrane depolarization to eliminate channel inhibition by Mg(2+) (PubMed : 24272827, PubMed : 24863970, PubMed : 26875626, PubMed : 26919761, PubMed : 27839871, PubMed : 28095420, PubMed : 28126851, PubMed : 38538865, PubMed : 8768735). NMDARs mediate simultaneously the potasium efflux and the influx of calcium and sodium (By similarity). Each GluN2 subunit confers differential attributes to channel properties, including activation, deactivation and desensitization kinetics, pH sensitivity, Ca2(+) permeability, and binding to allosteric modulators (PubMed : 26875626, PubMed : 28095420, PubMed : 28126851, PubMed : 38538865, PubMed : 8768735). In concert with DAPK1 at extrasynaptic sites, acts as a central mediator for stroke damage. Its phosphorylation at Ser-1303 by DAPK1 enhances synaptic NMDA receptor channel activity inducing injurious Ca2+ influx through them, resulting in an irreversible neuronal death (By similarity).
See full target information GRIN2B

Publications (1)

Recent publications for all applications. Explore the full list and refine your search

Nature communications 15:1640 PubMed38388531

2024

TREX tetramer disruption alters RNA processing necessary for corticogenesis in THOC6 Intellectual Disability Syndrome.

Applications

Unspecified application

Species

Unspecified reactive species

Elizabeth A Werren,Geneva R LaForce,Anshika Srivastava,Delia R Perillo,Shaokun Li,Katherine Johnson,Safa Baris,Brandon Berger,Samantha L Regan,Christian D Pfennig,Sonja de Munnik,Rolph Pfundt,Malavika Hebbar,Raúl Jimenez-Heredia,Elif Karakoc-Aydiner,Ahmet Ozen,Jasmin Dmytrus,Ana Krolo,Ken Corning,E J Prijoles,Raymond J Louie,Robert Roger Lebel,Thuy-Linh Le,Jeanne Amiel,Christopher T Gordon,Kaan Boztug,Katta M Girisha,Anju Shukla,Stephanie L Bielas,Ashleigh E Schaffer
View all publications

Product promise

We are committed to supporting your work with high-quality reagents, and we're here for you every step of the way. In the unlikely event that one of our products does not perform as expected, you're protected by our Product Promise.
For full details, please see our Terms & Conditions

Please note: All products are 'FOR RESEARCH USE ONLY. NOT FOR USE IN DIAGNOSTIC OR THERAPEUTIC PROCEDURES'.

For licensing inquiries, please contact partnerships@abcam.com