JavaScript is disabled in your browser. Please enable JavaScript to view this website.
AB215035

Anti-PEG10/EDR antibody [EPR20051]

  • RabMAb
  • Recombinant
  • KO Validated
  • 20ul selling size
  • What is this?

Be the first to review this product! Submit a review

|

(7 Publications)

Rabbit Recombinant Monoclonal PEG10/EDR antibody. Suitable for IP, WB, ICC/IF, Flow Cyt (Intra), IHC-P and reacts with Human samples. Cited in 7 publications.

View Alternative Names

EDR, KIAA1051e, MAR2, MART2, MEF3L1, RGAG3, PEG10, Retrotransposon-derived protein PEG10, Embryonal carcinoma differentiation-regulated protein, Mammalian retrotransposon-derived protein 2, Myelin expression factor 3-like protein 1, Paternally expressed gene 10 protein, Retrotransposon gag domain-containing protein 3, Retrotransposon-derived gag-like polyprotein, Ty3/Gypsy-like protein, MEF3-like protein 1

10 Images
Immunocytochemistry/ Immunofluorescence - Anti-PEG10/EDR antibody [EPR20051] (AB215035)
  • ICC/IF

Supplier Data

Immunocytochemistry/ Immunofluorescence - Anti-PEG10/EDR antibody [EPR20051] (AB215035)

Immunofluorescent analysis of 4% paraformaldehyde-fixed, 0.1% Triton X-100 permeabilized HepG2 (Human liver hepatocellular carcinoma cell line) cells labeling PEG10/EDR with ab215035 at 1/500 dilution, followed by Goat anti-rabbit IgG (Alexa Fluor® 488) (ab150077) secondary antibody at 1/1000 dilution (green). Confocal image showing cytoplasmic staining on HepG2 cell line.

The nuclear counter stain is DAPI (blue). Tubulin is detected with ab195889 (Anti-alpha Tubulin antibody [DM1A] - Microtubule Marker (Alexa Fluor® 594)) at 1/200 dilution (red).

Secondary antibody only control : Used PBS instead of primary antibody, secondary antibody is Goat anti-rabbit IgG (Alexa Fluor® 488) (ab150077) at 1/1000 dilution.

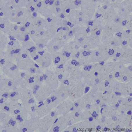
Immunohistochemistry (Formalin/PFA-fixed paraffin-embedded sections) - Anti-PEG10/EDR antibody [EPR20051] (AB215035)
  • IHC-P

Supplier Data

Immunohistochemistry (Formalin/PFA-fixed paraffin-embedded sections) - Anti-PEG10/EDR antibody [EPR20051] (AB215035)

Immunohistochemical analysis of paraffin-embedded human liver tissue labeling PEG10/EDR with ab215035 at 1/500 dilution, followed by Goat Anti-Rabbit IgG H&L (HRP) at 1/500 dilution.

Negative staining on normal cells in human liver.

Counter stained with Hematoxylin.

Perform heat mediated antigen retrieval with Tris/EDTA buffer pH 9.0 before commencing with IHC staining protocol.

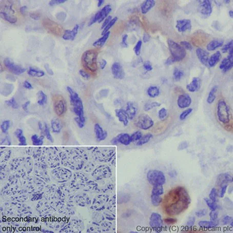
Immunohistochemistry (Formalin/PFA-fixed paraffin-embedded sections) - Anti-PEG10/EDR antibody [EPR20051] (AB215035)
  • IHC-P

Supplier Data

Immunohistochemistry (Formalin/PFA-fixed paraffin-embedded sections) - Anti-PEG10/EDR antibody [EPR20051] (AB215035)

Immunohistochemical analysis of paraffin-embedded human liver cancer tissue labeling PEG10/EDR with ab215035 at 1/500 dilution, followed by Goat Anti-Rabbit IgG H&L (HRP) at 1/500 dilution. Cytoplasmic staining on part of the cells in human liver cancer is observed. Counter stained with Hematoxylin.

Secondary antibody only control : Used PBS instead of primary antibody, secondary antibody is Goat Anti-Rabbit IgG H&L (HRP) at 1/500 dilution.

Perform heat mediated antigen retrieval with Tris/EDTA buffer pH 9.0 before commencing with IHC staining protocol.

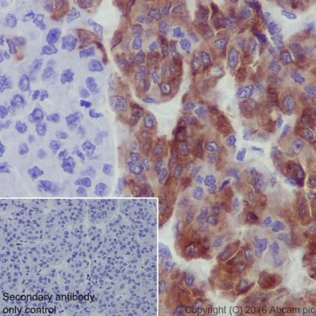
Immunohistochemistry (Formalin/PFA-fixed paraffin-embedded sections) - Anti-PEG10/EDR antibody [EPR20051] (AB215035)
  • IHC-P

Supplier Data

Immunohistochemistry (Formalin/PFA-fixed paraffin-embedded sections) - Anti-PEG10/EDR antibody [EPR20051] (AB215035)

Immunohistochemical analysis of paraffin-embedded human testis tissue labeling PEG10/EDR with ab215035 at 1/500 dilution, followed by Goat Anti-Rabbit IgG H&L (HRP) at 1/500 dilution. Cytoplasmic staining on the germ cells in human testis is observed. Counter stained with Hematoxylin.

Secondary antibody only control : Used PBS instead of primary antibody, secondary antibody is Goat Anti-Rabbit IgG H&L (HRP) at 1/500 dilution.

Perform heat mediated antigen retrieval with Tris/EDTA buffer pH 9.0 before commencing with IHC staining protocol.

Immunohistochemistry (Formalin/PFA-fixed paraffin-embedded sections) - Anti-PEG10/EDR antibody [EPR20051] (AB215035)
  • IHC-P

Supplier Data

Immunohistochemistry (Formalin/PFA-fixed paraffin-embedded sections) - Anti-PEG10/EDR antibody [EPR20051] (AB215035)

Immunohistochemical analysis of paraffin-embedded human placenta tissue labeling PEG10/EDR with ab215035 at 1/500 dilution, followed by Goat Anti-Rabbit IgG H&L (HRP) at 1/500 dilution. Cytoplasmic staining on some cells in human placenta is observed. Counter stained with Hematoxylin.

Secondary antibody only control : Used PBS instead of primary antibody, secondary antibody is Goat Anti-Rabbit IgG H&L (HRP) at 1/500 dilution.

Perform heat mediated antigen retrieval with Tris/EDTA buffer pH 9.0 before commencing with IHC staining protocol.

Flow Cytometry (Intracellular) - Anti-PEG10/EDR antibody [EPR20051] (AB215035)
  • Flow Cyt (Intra)

Supplier Data

Flow Cytometry (Intracellular) - Anti-PEG10/EDR antibody [EPR20051] (AB215035)

Intracellular flow cytometric analysis of 4% paraformaldehyde-fixed HepG2 (Human liver hepatocellular carcinoma cell line) cells labeling PEG10/EDR with ab215035 at 1/500 dilution (red) compared with a rabbit monoclonal IgG isotype control (ab172730; black) and an unlabelled control (cells without incubation with primary antibody and secondary antibody; blue). Goat anti rabbit IgG (Alexa Fluor® 488) at 1/2000 dilution was used as the secondary antibody.

Immunoprecipitation - Anti-PEG10/EDR antibody [EPR20051] (AB215035)
  • IP

Supplier Data

Immunoprecipitation - Anti-PEG10/EDR antibody [EPR20051] (AB215035)

PEG10/EDR was immunoprecipitated from 0.35 mg of HepG2 (Human liver hepatocellular carcinoma cell line) whole cell lysate with ab215035 at 1/30 dilution. Western blot was performed from the immunoprecipitate using ab215035 at 1/1000 dilution. VeriBlot for IP Detection Reagent (HRP) (ab131366), was used for detection at 1/10,000 dilution

Lane 1 : HepG2 whole cell lysate, 10 μg (Input).

Lane 2 : ab215035 IP in HepG2 whole cell lysate.

Lane 3 : Rabbit monoclonal IgG (ab172730) instead of ab215035 in HepG2 whole cell lysate.

Blocking and dilution buffer and concentration : 5% NFDM/TBST.

Exposure time : 3 seconds.

All lanes:

Immunoprecipitation - Anti-PEG10/EDR antibody [EPR20051] (ab215035)

Predicted band size: 80 kDa

false

Western blot - Anti-PEG10/EDR antibody [EPR20051] (AB215035)
  • WB

Supplier Data

Western blot - Anti-PEG10/EDR antibody [EPR20051] (AB215035)

Blocking/Dilution buffer : 5% NFDM/TBST.

The expression of PEG10/EDR in HepG2 cells is consistent with what has been described in the literature PMID : 17942406.

Lanes 1 - 2:

Western blot - Anti-PEG10/EDR antibody [EPR20051] (ab215035) at 1/2000 dilution

Lane 3:

Western blot - Anti-PEG10/EDR antibody [EPR20051] (ab215035) at 1/10000 dilution

Lane 1:

HEK 293 (Human epithelial cell line from embryonic kidney) whole cell lysate at 10 µg

Lane 2:

HeLa (Human epithelial cell line from cervix adenocarcinoma) whole cell lysate at 10 µg

Lane 3:

HepG2 (Human liver hepatocellular carcinoma cell line) whole cell lysate at 10 µg

Secondary

All lanes:

Western blot - Goat Anti-Rabbit IgG H&L (HRP) (<a href='/en-us/products/secondary-antibodies/goat-rabbit-igg-h-l-hrp-ab97051'>ab97051</a>) at 1/100000 dilution

Predicted band size: 80 kDa

Observed band size: 100 kDa

false

Exposure time: 3min

Western blot - Anti-PEG10/EDR antibody [EPR20051] (AB215035)
  • WB

Lab

Western blot - Anti-PEG10/EDR antibody [EPR20051] (AB215035)

Lanes 1-4 : Merged signal (red and green). Green - ab215035 observed at 100 kDa. Red - loading control ab7291 observed at 50 kDa.

ab215035 Anti-PEG10/EDR antibody [EPR20051] was shown to specifically react with PEG10/EDR in wild-type HeLa cells. Loss of signal was observed when knockout cell line ab265925 (knockout cell lysate ab258103) was used. Wild-type and PEG10/EDR knockout samples were subjected to SDS-PAGE. ab215035 and Anti-alpha Tubulin antibody [DM1A] - Loading Control (ab7291) were incubated overnight at 4°C at 1 in 1000 dilution and 1 in 20000 dilution respectively. Blots were developed with Goat anti-Rabbit IgG H&L (IRDye® 800CW) preadsorbed (ab216773) and Goat anti-Mouse IgG H&L (IRDye® 680RD) preadsorbed (ab216776) secondary antibodies at 1 in 20000 dilution for 1 hour at room temperature before imaging.

All lanes:

Western blot - Anti-PEG10/EDR antibody [EPR20051] (ab215035) at 1/1000 dilution

Lane 1:

Wild-type HeLa cell lysate at 20 µg

Lane 2:

PEG10 knockout HeLa cell lysate at 20 µg

Lane 2:

Western blot - Human PEG10 (EDR) knockout HeLa cell line (<a href='/en-us/products/cell-lines/human-peg10-edr-knockout-hela-cell-line-ab265925'>ab265925</a>)

Lane 3:

HepG2 cell lysate at 20 µg

Secondary

All lanes:

Western blot - Goat anti-Rabbit IgG H&L (IRDye® 800CW) preadsorbed (<a href='/en-us/products/secondary-antibodies/goat-rabbit-igg-h-l-irdye-800cw-preadsorbed-ab216773'>ab216773</a>) at 1/10000 dilution

Predicted band size: 80 kDa

Observed band size: 100 kDa

false

Western blot - Anti-PEG10/EDR antibody [EPR20051] (AB215035)
  • WB

Supplier Data

Western blot - Anti-PEG10/EDR antibody [EPR20051] (AB215035)

Blocking/Dilution buffer : 5% NFDM/TBST.

All lanes:

Western blot - Anti-PEG10/EDR antibody [EPR20051] (ab215035) at 1/1000 dilution

All lanes:

Human testis lysate at 10 µg

Secondary

All lanes:

Goat Anti-Rabbit IgG Peroxidase Conjugate, specific to the non-reduced form of IgG at 1/100000 dilution

Predicted band size: 80 kDa

Observed band size: 100 kDa

false

Exposure time: 1min

  • Carrier free

    Anti-PEG10/EDR antibody [EPR20051] - BSA and Azide free

Key facts

Host species

Rabbit

Clonality

Monoclonal

Clone number

EPR20051

Isotype

IgG

Carrier free

No

Reacts with

Human

Applications

Flow Cyt (Intra), WB, IHC-P, IP, ICC/IF

applications

Immunogen

The exact immunogen used to generate this antibody is proprietary information.

Reactivity data

{ "title": "Reactivity Data", "filters": { "stats": ["", "Species", "Dilution Info", "Notes"], "tabs": { "all-applications": {"fullname" : "All Applications", "shortname": "All Applications"}, "IP" : {"fullname" : "Immunoprecipitation", "shortname":"IP"}, "WB" : {"fullname" : "Western blot", "shortname":"WB"}, "ICCIF" : {"fullname" : "Immunocytochemistry/ Immunofluorescence", "shortname":"ICC/IF"}, "FlowCytIntra" : {"fullname" : "Flow Cytometry (Intracellular)", "shortname":"Flow Cyt (Intra)"}, "IHCP" : {"fullname" : "Immunohistochemistry (Formalin/PFA-fixed paraffin-embedded sections)", "shortname":"IHC-P"} }, "product-promise": { "all": "all", "testedAndGuaranteed": "tested", "guaranteed": "expected", "predicted": "predicted", "notRecommended": "not-recommended" } }, "values": { "Human": { "IP-species-checked": "testedAndGuaranteed", "IP-species-dilution-info": "1/30", "IP-species-notes": "<p></p>", "WB-species-checked": "testedAndGuaranteed", "WB-species-dilution-info": "1/1000", "WB-species-notes": "<p></p>", "ICCIF-species-checked": "testedAndGuaranteed", "ICCIF-species-dilution-info": "1/500", "ICCIF-species-notes": "<p></p>", "FlowCytIntra-species-checked": "testedAndGuaranteed", "FlowCytIntra-species-dilution-info": "1/500", "FlowCytIntra-species-notes": "<p></p>", "IHCP-species-checked": "testedAndGuaranteed", "IHCP-species-dilution-info": "1/500", "IHCP-species-notes": "<p></p> Perform heat-mediated antigen retrieval with Tris/EDTA buffer pH 9.0 before commencing with IHC staining protocol." } } }

Product details

Patented technology
Our RabMAb® technology is a patented hybridoma-based technology for making rabbit monoclonal antibodies. For details on our patents, please refer to RabMAb® patents.

What are the advantages of a recombinant monoclonal antibody?
This product is a recombinant monoclonal antibody, which offers several advantages including:

  • - High batch-to-batch consistency and reproducibility
  • - Improved sensitivity and specificity
  • - Long-term security of supply
  • - Animal-free batch production

For more information, read more on recombinant antibodies.

Properties and storage information

Form
Liquid
Purification technique
Affinity purification Protein A
Storage buffer
pH: 7.2 - 7.4 Preservative: 0.01% Sodium azide Constituents: PBS, 40% Glycerol (glycerin, glycerine), 0.05% BSA
Shipped at conditions
Blue Ice
Appropriate short-term storage duration
1-2 weeks
Appropriate short-term storage conditions
+4°C
Appropriate long-term storage conditions
-20°C
Aliquoting information
Upon delivery aliquot
Storage information
Avoid freeze / thaw cycle

Supplementary information

This supplementary information is collated from multiple sources and compiled automatically.

PEG10 also known as EDR2 is a paternally expressed imprinted gene that encodes the PEG10 protein. The PEG10 protein has a molecular mass of approximately 150 kDa. It shows expression most notably in the placenta during development but also in other tissues like the liver and brain. The protein contains two open reading frames that produce different products via a frameshift mechanism similar to retroviral proteins.
Biological function summary

The PEG10 protein plays multiple roles especially in cell proliferation apoptosis inhibition and promoting cell survival. It can be part of larger protein complexes that modulate cellular responses to stress and developmental cues. The protein's multifaceted activities are important during embryogenesis where it supports trophoblast development and placental formation.

Pathways

PEG10 interacts with signaling cascades such as the TGF-beta signaling pathway and is involved in cell cycle regulation. PEG10 works alongside proteins like paternally expressed genes that connect with TGF-beta pathways influencing cellular differentiation and growth. Its integration in these pathways highlights its role in managing cellular environments and responses to cellular stress signals.

PEG10 expression over-activation has associations with cancer especially hepatocellular carcinoma and pancreatic cancer. In these contexts PEG10 interacts with proteins like H3L3 contributing to oncogenic pathways that drive tumor cell proliferation and survival. Elevated levels of PEG10 can serve as potential biomarkers for certain cancers suggesting their role in disease progression and possible therapeutic targeting.

Product protocols

For this product, it's our understanding that no specific protocols are required. You can visit:

Target data

Retrotransposon-derived protein that binds its own mRNA and self-assembles into virion-like capsids (PubMed : 34413232). Forms virion-like extracellular vesicles that encapsulate their own mRNA and are released from cells, enabling intercellular transfer of PEG10 mRNA (PubMed : 34413232). Binds its own mRNA in the 5'-UTR region, in the region near the boundary between the nucleocapsid (NC) and protease (PRO) coding sequences and in the beginning of the 3'-UTR region (PubMed : 34413232). Involved in placenta formation : required for trophoblast stem cells differentiation (By similarity). Involved at the immediate early stage of adipocyte differentiation (By similarity). Overexpressed in many cancers and enhances tumor progression : promotes cell proliferation by driving cell cycle progression from G0/G1 (PubMed : 12810624, PubMed : 16423995, PubMed : 26235627, PubMed : 28193232). Enhances cancer progression by inhibiting the TGF-beta signaling, possibly via interaction with the TGF-beta receptor ACVRL1 (PubMed : 15611116, PubMed : 26235627, PubMed : 30094509). May bind to the 5'-GCCTGTCTTT-3' DNA sequence of the MB1 domain in the myelin basic protein (MBP) promoter; additional evidences are however required to confirm this result (By similarity).
See full target information PEG10

Publications (7)

Recent publications for all applications. Explore the full list and refine your search

Science advances 11:eadu6354 PubMed40680123

2025

Endogenous retrovirus-like proteins recruit UBQLN2 to stress granules and shape their functional biology.

Applications

Unspecified application

Species

Unspecified reactive species

Harihar M Mohan,Martin G Fernandez,Camellia Huang,Rita Lin,Jaimie H Ryou,Donald Seyfried,Nikolas Grotewold,Anna J Barget,Alexandra M Whiteley,Venkatesha Basrur,Shyamal Mosalaganti,Henry L Paulson,Lisa M Sharkey

Genome biology 25:117 PubMed38715110

2024

Disruption of maternal vascular remodeling by a fetal endoretrovirus-derived gene in preeclampsia.

Applications

Unspecified application

Species

Unspecified reactive species

Xiaoli Gong,Wei He,Wan Jin,Hongwei Ma,Gang Wang,Jiaxin Li,Yu Xiao,Yangyu Zhao,Qiong Chen,Huanhuan Guo,Jiexia Yang,Yiming Qi,Wei Dong,Meng Fu,Xiaojuan Li,Jiusi Liu,Xinghui Liu,Aihua Yin,Yi Zhang,Yuan Wei

Nature communications 12:6718 PubMed34795250

2021

Identifying regulators of parental imprinting by CRISPR/Cas9 screening in haploid human embryonic stem cells.

Applications

Unspecified application

Species

Unspecified reactive species

Shiran Bar,Dan Vershkov,Gal Keshet,Elyad Lezmi,Naama Meller,Atilgan Yilmaz,Ofra Yanuka,Malka Nissim-Rafinia,Eran Meshorer,Talia Eldar-Geva,Nissim Benvenisty

Cell reports. Medicine 2:100360 PubMed34467244

2021

Secreted retrovirus-like GAG-domain-containing protein PEG10 is regulated by UBE3A and is involved in Angelman syndrome pathophysiology.

Applications

Unspecified application

Species

Unspecified reactive species

Nikhil J Pandya,Congwei Wang,Veronica Costa,Paul Lopatta,Sonja Meier,F Isabella Zampeta,A Mattijs Punt,Edwin Mientjes,Philip Grossen,Tania Distler,Manuel Tzouros,Yasmina Martí,Balazs Banfai,Christoph Patsch,Soren Rasmussen,Marius Hoener,Marco Berrera,Thomas Kremer,Tom Dunkley,Martin Ebeling,Ben Distel,Ype Elgersma,Ravi Jagasia

Journal of cellular physiology 236:3918-3928 PubMed33145762

2020

Mesenchymal stem cells induce PD-L1 expression through the secretion of CCL5 in breast cancer cells.

Applications

Unspecified application

Species

Unspecified reactive species

Hamidreza Aboulkheyr Es,Bahareh Bigdeli,Sareh Zhand,Amir R Aref,Jean P Thiery,Majid E Warkiani

Experimental eye research 193:107960 PubMed32035086

2020

LncRNA MIR7-3HG executes a positive role in retinoblastoma progression via modulating miR-27a-3p/PEG10 axis.

Applications

Unspecified application

Species

Unspecified reactive species

Fengkui Ding,Kai Jiang,Yanjuan Sheng,Chuanbao Li,Huaicheng Zhu

Placenta 74:55-58 PubMed30541665

2018

Isolation of villous cytotrophoblasts from second trimester human placentas.

Applications

Unspecified application

Species

Unspecified reactive species

Tanja Jankovic-Karasoulos,Dale McAninch,Dylan McCullough,Rebecca L Wilson,Tina Bianco-Miotto,Claire T Roberts
View all publications

Product promise

We are committed to supporting your work with high-quality reagents, and we're here for you every step of the way. In the unlikely event that one of our products does not perform as expected, you're protected by our Product Promise.
For full details, please see our Terms & Conditions

Please note: All products are 'FOR RESEARCH USE ONLY. NOT FOR USE IN DIAGNOSTIC OR THERAPEUTIC PROCEDURES'.

For licensing inquiries, please contact partnerships@abcam.com