JavaScript is disabled in your browser. Please enable JavaScript to view this website.
AB192833

Anti-Pellino 1 + Pellino 2 antibody [EPR19282]

Be the first to review this product! Submit a review

|

(1 Publication)

Rabbit Recombinant Monoclonal Pellino 1 antibody. Suitable for WB and reacts with Recombinant full length protein - Human, Mouse, Rat, Human samples. Cited in 1 publication.

View Alternative Names

PRISM, PELI1, E3 ubiquitin-protein ligase pellino homolog 1, Pellino-1, Pellino-related intracellular-signaling molecule, RING-type E3 ubiquitin transferase pellino homolog 1

4 Images
Western blot - Anti-Pellino 1 + Pellino 2 antibody [EPR19282] (AB192833)
  • WB

Unknown

Western blot - Anti-Pellino 1 + Pellino 2 antibody [EPR19282] (AB192833)

Blocking/dilution buffer : 5% NFDM/TBST.

All lanes:

Western blot - Anti-Pellino 1 + Pellino 2 antibody [EPR19282] (ab192833) at 1/1000 dilution

Lane 1:

Jurkat (Human T cell leukemia cell line from peripheral blood) whole cell lysate at 10 µg

Lane 2:

Daudi (Human Burkitt's lymphoma cell line) whole cell lysate at 10 µg

Lane 3:

HeLa (Human epithelial cell line from cervix adenocarcinoma) whole cell lysate at 10 µg

Secondary

All lanes:

Western blot - Goat Anti-Rabbit IgG H&L (HRP) (<a href='/en-us/products/secondary-antibodies/goat-rabbit-igg-h-l-hrp-ab97051'>ab97051</a>) at 1/100000 dilution

Predicted band size: 46 kDa

Observed band size: 46 kDa

false

Exposure time: 3min

Western blot - Anti-Pellino 1 + Pellino 2 antibody [EPR19282] (AB192833)
  • WB

Supplier Data

Western blot - Anti-Pellino 1 + Pellino 2 antibody [EPR19282] (AB192833)

Blocking/dilution buffer : 5% NFDM/TBST.

Exposure times : Lane 1 : 1 second; Lane 2 and 3 : 1 minute.

Human Pellino 1 full length recombinant protein contains aa1-418 with a His-Tag®. Human Pellino 2 full length recombinant protein contains aa1-420 with a His-Tag®. Human Pellino 3 full length recombinant protein contains aa1-469 with a His-Tag®. All three recombinant proteins were made in-house.

All lanes:

Western blot - Anti-Pellino 1 + Pellino 2 antibody [EPR19282] (ab192833) at 1/5000 dilution

Lane 1:

Human Pellino 1 full length recombinant protein at 0.01 µg

Lane 2:

Human Pellino 2 full length recombinant protein at 0.01 µg

Lane 3:

Human Pellino 3 full length recombinant protein at 0.01 µg

Secondary

All lanes:

Western blot - Goat Anti-Rabbit IgG H&L (HRP) (<a href='/en-us/products/secondary-antibodies/goat-rabbit-igg-h-l-hrp-ab97051'>ab97051</a>) at 1/100000 dilution

Predicted band size: 46 kDa

Observed band size: 46 kDa

false

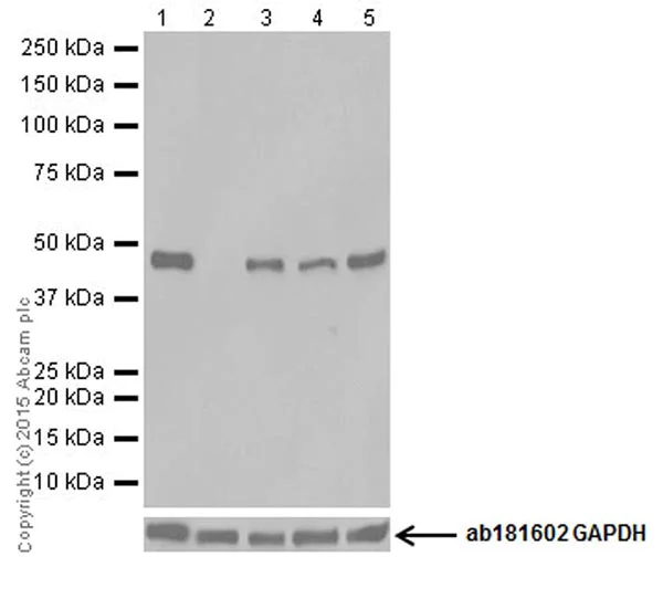
Western blot - Anti-Pellino 1 + Pellino 2 antibody [EPR19282] (AB192833)
  • WB

Supplier Data

Western blot - Anti-Pellino 1 + Pellino 2 antibody [EPR19282] (AB192833)

Blocking/dilution buffer : 5% NFDM/TBST.

The expression of Pellino 1 can be induced by LPS. (PMID : 21204785).

All lanes:

Western blot - Anti-Pellino 1 + Pellino 2 antibody [EPR19282] (ab192833) at 1/1000 dilution

Lane 1:

Ramos (Human Burkitt's lymphoma cell line) whole cell lysate at 20 µg

Lane 2:

Untreated RAW 264.7 (Mouse macrophage cell line transformed with Abelson murine leukemia virus) whole cell lysate at 20 µg

Lane 3:

RAW 264.7 (Mouse macrophage cell line transformed with Abelson murine leukemia virus) treated with 1 μg/ml LPS for 6 hours, whole cell lysate at 20 µg

Lane 4:

Untreated PC-12 (Rat adrenal gland pheochromocytoma cell line) whole cell lysate at 20 µg

Lane 5:

PC-12 (Rat adrenal gland pheochromocytoma cell line) treated with 1 μg/ml LPS for 6 hours whole cell lysate at 20 µg

Secondary

All lanes:

Western blot - Goat Anti-Rabbit IgG H&L (HRP) (<a href='/en-us/products/secondary-antibodies/goat-rabbit-igg-h-l-hrp-ab97051'>ab97051</a>) at 1/100000 dilution

Predicted band size: 46 kDa

Observed band size: 46 kDa

false

Exposure time: 3min

Western blot - Anti-Pellino 1 + Pellino 2 antibody [EPR19282] (AB192833)
  • WB

Supplier Data

Western blot - Anti-Pellino 1 + Pellino 2 antibody [EPR19282] (AB192833)

Blocking/dilution buffer : 5% NFDM/TBST.

All lanes:

Western blot - Anti-Pellino 1 + Pellino 2 antibody [EPR19282] (ab192833) at 1/1000 dilution

Lane 1:

Mouse brain lysate at 10 µg

Lane 2:

Rat brain lysate at 10 µg

Lane 3:

C6 (Rat glial tumor cell line) whole cell lysate at 10 µg

Lane 4:

NIH/3T3 (Mouse embryonic fibroblast cell line) whole cell lysate at 10 µg

Secondary

All lanes:

Western blot - Goat Anti-Rabbit IgG H&L (HRP) (<a href='/en-us/products/secondary-antibodies/goat-rabbit-igg-h-l-hrp-ab97051'>ab97051</a>) at 1/100000 dilution

Predicted band size: 46 kDa

Observed band size: 46 kDa

false

Exposure time: 3min

  • Carrier free

    Anti-Pellino 1+Pellino 2 antibody [EPR19282] - BSA and Azide free

Key facts

Host species

Rabbit

Clonality

Monoclonal

Clone number

EPR19282

Isotype

IgG

Carrier free

No

Reacts with

Mouse, Rat, Human

Applications

WB

applications

Immunogen

The exact immunogen used to generate this antibody is proprietary information.

Reactivity data

{ "title": "Reactivity Data", "filters": { "stats": ["", "Species", "Dilution Info", "Notes"], "tabs": { "all-applications": {"fullname" : "All Applications", "shortname": "All Applications"}, "WB" : {"fullname" : "Western blot", "shortname":"WB"} }, "product-promise": { "all": "all", "testedAndGuaranteed": "tested", "guaranteed": "expected", "predicted": "predicted", "notRecommended": "not-recommended" } }, "values": { "Human": { "WB-species-checked": "testedAndGuaranteed", "WB-species-dilution-info": "1/1000", "WB-species-notes": "<p></p>" }, "Mouse": { "WB-species-checked": "testedAndGuaranteed", "WB-species-dilution-info": "1/1000", "WB-species-notes": "<p></p>" }, "Rat": { "WB-species-checked": "testedAndGuaranteed", "WB-species-dilution-info": "1/1000", "WB-species-notes": "<p></p>" }, "Recombinant full length protein - Human": { "WB-species-checked": "testedAndGuaranteed", "WB-species-dilution-info": "1/1000", "WB-species-notes": "<p></p>" } } }

Product details

Patented technology
Our RabMAb® technology is a patented hybridoma-based technology for making rabbit monoclonal antibodies. For details on our patents, please refer to RabMAb® patents.

What are the advantages of a recombinant monoclonal antibody?
This product is a recombinant monoclonal antibody, which offers several advantages including:

  • - High batch-to-batch consistency and reproducibility
  • - Improved sensitivity and specificity
  • - Long-term security of supply
  • - Animal-free batch production

For more information, read more on recombinant antibodies.

Properties and storage information

Form
Liquid
Purification technique
Affinity purification Protein A
Storage buffer
pH: 7.2 - 7.4 Preservative: 0.01% Sodium azide Constituents: PBS, 40% Glycerol (glycerin, glycerine), 0.05% BSA
Shipped at conditions
Blue Ice
Appropriate short-term storage duration
1-2 weeks
Appropriate short-term storage conditions
+4°C
Appropriate long-term storage conditions
-20°C
Aliquoting information
Upon delivery aliquot
Storage information
Avoid freeze / thaw cycle

Supplementary information

This supplementary information is collated from multiple sources and compiled automatically.

Pellino 1 and Pellino 2 are E3 ubiquitin ligases known for their roles in mediating immune responses. Alternate names for Pellino proteins include PEK and PELI. Pellino 1 has a molecular mass of approximately 47 kDa while Pellino 2 has a mass around 45 kDa. These proteins localize mainly in the cytoplasm and nucleus of immune cells such as macrophages and dendritic cells. They participate in transmitting signals from receptors to downstream signaling proteins essential for regulating immune pathways.
Biological function summary

These proteins play significant roles in controlling the TLR/IL-1 signaling pathway. Pellino 1 and Pellino 2 can form complexes with other signaling intermediates like IRAK1 and TRAF6 which are key components in innate immunity. They add ubiquitin molecules to specific target proteins thereby modulating their stability and activity. This ubiquitination process is important in facilitating the proper response to infections.

Pathways

Pellino 1 and Pellino 2 are integral to the NF-kB and MAPK signaling pathways both of which are central to immune response regulation. They interact with proteins like IRAK1 to promote activation of these pathways leading to gene expression necessary for inflammation and defense mechanisms. This regulation ensures that cells mount an appropriate immune response against pathogens and maintain homeostasis.

Impaired function or regulation of Pellino proteins links to autoimmune diseases such as rheumatoid arthritis and inflammatory disorders like Crohn’s disease. These conditions involve inappropriate activation of immune pathways where increased Pellino activity can exacerbate inflammatory responses. Pellino proteins connect with TNF-alpha a cytokine prominent in these disorders highlighting their critical roles in disease modulation.

Product protocols

For this product, it's our understanding that no specific protocols are required. You can visit:

Target data

E3 ubiquitin ligase catalyzing the covalent attachment of ubiquitin moieties onto substrate proteins (PubMed : 12496252, PubMed : 17675297, PubMed : 29883609, PubMed : 30952868). Involved in the TLR and IL-1 signaling pathways via interaction with the complex containing IRAK kinases and TRAF6 (PubMed : 12496252, PubMed : 17675297). Acts as a positive regulator of inflammatory response in microglia through activation of NF-kappa-B and MAP kinase (By similarity). Mediates 'Lys-63'-linked polyubiquitination of IRAK1 allowing subsequent NF-kappa-B activation (PubMed : 12496252, PubMed : 17675297). Conjugates 'Lys-63'-linked ubiquitin chains to the adapter protein ASC/PYCARD, which in turn is crucial for NLRP3 inflammasome activation (PubMed : 34706239). Mediates 'Lys-48'-linked polyubiquitination of RIPK3 leading to its subsequent proteasome-dependent degradation; preferentially recognizes and mediates the degradation of the 'Thr-182' phosphorylated form of RIPK3 (PubMed : 29883609). Negatively regulates necroptosis by reducing RIPK3 expression (PubMed : 29883609). Mediates 'Lys-63'-linked ubiquitination of RIPK1 (PubMed : 29883609). Following phosphorylation by ATM, catalyzes 'Lys-63'-linked ubiquitination of NBN, promoting DNA repair via homologous recombination (PubMed : 30952868). Negatively regulates activation of the metabolic mTORC1 signaling pathway by mediating 'Lys-63'-linked ubiquitination of mTORC1-inhibitory protein TSC1 and thereby promoting TSC1/TSC2 complex stability (PubMed : 33215753).
See full target information PELI1

Additional targets

PELI2

Publications (1)

Recent publications for all applications. Explore the full list and refine your search

International journal of molecular sciences 25: PubMed39337395

2024

Metabolomics-Based Study of the Protective Effect of 4-Hydroxybenzyl Alcohol on Ischemic Astrocytes.

Applications

Unspecified application

Species

Unspecified reactive species

Tian Xiao,Xingzhi Yu,Jie Tao,Liping Yang,Xiaohua Duan
View all publications

Product promise

We are committed to supporting your work with high-quality reagents, and we're here for you every step of the way. In the unlikely event that one of our products does not perform as expected, you're protected by our Product Promise.
For full details, please see our Terms & Conditions

Please note: All products are 'FOR RESEARCH USE ONLY. NOT FOR USE IN DIAGNOSTIC OR THERAPEUTIC PROCEDURES'.

For licensing inquiries, please contact partnerships@abcam.com