JavaScript is disabled in your browser. Please enable JavaScript to view this website.
AB270611

Anti-Pellino 1 + Pellino 2 antibody [EPR23275-22] - BSA and Azide free

Be the first to review this product! Submit a review

|

(0 Publication)

Rabbit Recombinant Monoclonal Pellino 1 antibody. Carrier free. Suitable for WB, IP, Flow Cyt (Intra) and reacts with Mouse, Rat, Human, Recombinant full length protein - Human samples.

View Alternative Names

PRISM, PELI1, E3 ubiquitin-protein ligase pellino homolog 1, Pellino-1, Pellino-related intracellular-signaling molecule, RING-type E3 ubiquitin transferase pellino homolog 1

3 Images
Flow Cytometry (Intracellular) - Anti-Pellino 1 + Pellino 2 antibody [EPR23275-22] - BSA and Azide free (AB270611)
  • Flow Cyt (Intra)

Unknown

Flow Cytometry (Intracellular) - Anti-Pellino 1 + Pellino 2 antibody [EPR23275-22] - BSA and Azide free (AB270611)

Intracellular flow cytometric analysis of 4% paraformaldehyde fixed, 90% methanol permeabilized Ramos (Human Burkitt's lymphoma B lymphocyte) cells labelling Pellino 1+ Pellino 2 with ab254297 at 1/50 dilution (1ug) (Red) (Red) compared with a Rabbit monoclonal IgG (ab172730) (Black) isotype control and an unlabelled control (cells without incubation with primary antibody and secondary antibody) (Blue).

A Goat anti rabbit IgG (Alexa Fluor® 488, ab150077) at 1/2000 dilution was used as the secondary antibody.

This data was developed using the same antibody clone in a different buffer formulation containing PBS, BSA, glycerol, and sodium azide (ab254297).

Flow Cytometry (Intracellular) - Anti-Pellino 1 + Pellino 2 antibody [EPR23275-22] - BSA and Azide free (AB270611)
  • Flow Cyt (Intra)

Unknown

Flow Cytometry (Intracellular) - Anti-Pellino 1 + Pellino 2 antibody [EPR23275-22] - BSA and Azide free (AB270611)

Intracellular flow cytometric analysis of 4% paraformaldehyde fixed, 90% methanol permeabilized Daudi (Human Burkitt's lymphoma lymphoblast) cells labelling Pellino 1+ Pellino 2 with ab254297 at 1/50 dilution (1ug) (Red) (Red) compared with a Rabbit monoclonal IgG (ab172730) (Black) isotype control and an unlabelled control (cells without incubation with primary antibody and secondary antibody) (Blue).

A Goat anti rabbit IgG (Alexa Fluor® 488, ab150077) at 1/2000 dilution was used as the secondary antibody.

This data was developed using the same antibody clone in a different buffer formulation containing PBS, BSA, glycerol, and sodium azide (ab254297).

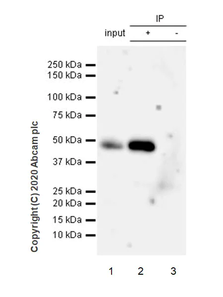
Immunoprecipitation - Anti-Pellino 1 + Pellino 2 antibody [EPR23275-22] - BSA and Azide free (AB270611)
  • IP

Unknown

Immunoprecipitation - Anti-Pellino 1 + Pellino 2 antibody [EPR23275-22] - BSA and Azide free (AB270611)

Pellino 1+ Pellino 2 was immunoprecipitated from 0.35 mg Daudi (human burkitt's lymphoma lymphoblast) whole cell lysate with ab254297 at 1/30 dilution (2ug in 0.35mg lysates). Western blot was performed on the immunoprecipitate using 254297 at 1/1000 dilution. VeriBlot for IP Detection Reagent (HRP)(ab131366) was used at 1/5000 dilution.

Lane 1 : Daudi (human burkitt's lymphoma lymphoblast) whole cell lysate 10 ug

Lane 2 : 254297 IP in Daudi whole cell lysate

Lane 3 : Rabbit monoclonal IgG (ab172730) instead of ab254297 in Daudi whole cell lysate

Blocking and dilution buffer and concentration : 5% NFDM/TBST.

Exposure time : 110 seconds.

This data was developed using the same antibody clone in a different buffer formulation containing PBS, BSA, glycerol, and sodium azide (ab254297).

All lanes:

Immunoprecipitation - Anti-Pellino 1 + Pellino 2 antibody [EPR23275-22] (<a href='/en-us/products/primary-antibodies/pellino-1-pellino-2-antibody-epr23275-22-ab254297'>ab254297</a>)

Observed band size: 46 kDa

false

  • Unconjugated

    Anti-Pellino 1 + Pellino 2 antibody [EPR23275-22]

Key facts

Host species

Rabbit

Clonality

Monoclonal

Clone number

EPR23275-22

Isotype

IgG

Carrier free

Yes

Reacts with

Mouse, Rat, Human

Applications

Flow Cyt (Intra), WB, IP

applications

Immunogen

The exact immunogen used to generate this antibody is proprietary information.

Reactivity data

{ "title": "Reactivity Data", "filters": { "stats": ["", "Species", "Dilution Info", "Notes"], "tabs": { "all-applications": {"fullname" : "All Applications", "shortname": "All Applications"}, "WB" : {"fullname" : "Western blot", "shortname":"WB"}, "IP" : {"fullname" : "Immunoprecipitation", "shortname":"IP"}, "IHCP" : {"fullname" : "Immunohistochemistry (Formalin/PFA-fixed paraffin-embedded sections)", "shortname":"IHC-P"}, "ICCIF" : {"fullname" : "Immunocytochemistry/ Immunofluorescence", "shortname":"ICC/IF"}, "FlowCytIntra" : {"fullname" : "Flow Cytometry (Intracellular)", "shortname":"Flow Cyt (Intra)"} }, "product-promise": { "all": "all", "testedAndGuaranteed": "tested", "guaranteed": "expected", "predicted": "predicted", "notRecommended": "not-recommended" } }, "values": { "Human": { "WB-species-checked": "testedAndGuaranteed", "WB-species-dilution-info": "", "WB-species-notes": "<p></p>", "IP-species-checked": "testedAndGuaranteed", "IP-species-dilution-info": "", "IP-species-notes": "<p></p>", "IHCP-species-checked": "notRecommended", "IHCP-species-dilution-info": "", "IHCP-species-notes": "<p></p>", "ICCIF-species-checked": "notRecommended", "ICCIF-species-dilution-info": "", "ICCIF-species-notes": "<p></p>", "FlowCytIntra-species-checked": "testedAndGuaranteed", "FlowCytIntra-species-dilution-info": "", "FlowCytIntra-species-notes": "<p></p>" }, "Mouse": { "WB-species-checked": "testedAndGuaranteed", "WB-species-dilution-info": "", "WB-species-notes": "<p></p>", "IP-species-checked": "guaranteed", "IP-species-dilution-info": "", "IP-species-notes": "", "IHCP-species-checked": "notRecommended", "IHCP-species-dilution-info": "", "IHCP-species-notes": "<p></p>", "ICCIF-species-checked": "notRecommended", "ICCIF-species-dilution-info": "", "ICCIF-species-notes": "", "FlowCytIntra-species-checked": "guaranteed", "FlowCytIntra-species-dilution-info": "", "FlowCytIntra-species-notes": "" }, "Rat": { "WB-species-checked": "testedAndGuaranteed", "WB-species-dilution-info": "", "WB-species-notes": "<p></p>", "IP-species-checked": "guaranteed", "IP-species-dilution-info": "", "IP-species-notes": "", "IHCP-species-checked": "notRecommended", "IHCP-species-dilution-info": "", "IHCP-species-notes": "<p></p>", "ICCIF-species-checked": "notRecommended", "ICCIF-species-dilution-info": "", "ICCIF-species-notes": "", "FlowCytIntra-species-checked": "guaranteed", "FlowCytIntra-species-dilution-info": "", "FlowCytIntra-species-notes": "" }, "Recombinant full length protein - Human": { "WB-species-checked": "testedAndGuaranteed", "WB-species-dilution-info": "", "WB-species-notes": "<p></p>", "IP-species-checked": "notRecommended", "IP-species-dilution-info": "", "IP-species-notes": "", "IHCP-species-checked": "notRecommended", "IHCP-species-dilution-info": "", "IHCP-species-notes": "", "ICCIF-species-checked": "notRecommended", "ICCIF-species-dilution-info": "", "ICCIF-species-notes": "", "FlowCytIntra-species-checked": "notRecommended", "FlowCytIntra-species-dilution-info": "", "FlowCytIntra-species-notes": "" } } }

Product details

ab270611 is the carrier-free version of ab254297.

Patented technology
Our RabMAb® technology is a patented hybridoma-based technology for making rabbit monoclonal antibodies. For details on our patents, please refer to RabMAb® patents.

What are the advantages of a recombinant monoclonal antibody?
This product is a recombinant monoclonal antibody, which offers several advantages including:

  • - High batch-to-batch consistency and reproducibility
  • - Improved sensitivity and specificity
  • - Long-term security of supply
  • - Animal-free batch production

For more information, read more on recombinant antibodies.

Conjugation ready
Our carrier-free antibodies are typically supplied in a PBS-only formulation, purified and free of BSA, sodium azide and glycerol. This conjugation-ready format is designed for use with fluorochromes, metal isotopes, oligonucleotides, and enzymes, which makes them ideal for antibody labelling, functional and cell-based assays, flow-based assays (e.g. mass cytometry) and Multiplex Imaging applications.

Use our conjugation kits for antibody conjugates that are ready-to-use in as little as 20 minutes with 1 minute hands-on-time and 100% antibody recovery: available for fluorescent dyes, HRP, biotin and gold.

Compatibility
This product is compatible with the Maxpar® Antibody Labeling Kit from Fluidigm, without the need for antibody preparation. Maxpar® is a trademark of Fluidigm Canada Inc.

Properties and storage information

Form
Liquid
Purification technique
Affinity purification Protein A
Storage buffer
pH: 7.2 - 7.4 Constituents: PBS
Shipped at conditions
Blue Ice
Appropriate short-term storage conditions
+4°C
Appropriate long-term storage conditions
+4°C
Storage information
Do Not Freeze

Supplementary information

This supplementary information is collated from multiple sources and compiled automatically.

Pellino 1 and Pellino 2 are E3 ubiquitin ligases known for their roles in mediating immune responses. Alternate names for Pellino proteins include PEK and PELI. Pellino 1 has a molecular mass of approximately 47 kDa while Pellino 2 has a mass around 45 kDa. These proteins localize mainly in the cytoplasm and nucleus of immune cells such as macrophages and dendritic cells. They participate in transmitting signals from receptors to downstream signaling proteins essential for regulating immune pathways.
Biological function summary

These proteins play significant roles in controlling the TLR/IL-1 signaling pathway. Pellino 1 and Pellino 2 can form complexes with other signaling intermediates like IRAK1 and TRAF6 which are key components in innate immunity. They add ubiquitin molecules to specific target proteins thereby modulating their stability and activity. This ubiquitination process is important in facilitating the proper response to infections.

Pathways

Pellino 1 and Pellino 2 are integral to the NF-kB and MAPK signaling pathways both of which are central to immune response regulation. They interact with proteins like IRAK1 to promote activation of these pathways leading to gene expression necessary for inflammation and defense mechanisms. This regulation ensures that cells mount an appropriate immune response against pathogens and maintain homeostasis.

Impaired function or regulation of Pellino proteins links to autoimmune diseases such as rheumatoid arthritis and inflammatory disorders like Crohn’s disease. These conditions involve inappropriate activation of immune pathways where increased Pellino activity can exacerbate inflammatory responses. Pellino proteins connect with TNF-alpha a cytokine prominent in these disorders highlighting their critical roles in disease modulation.

Product protocols

For this product, it's our understanding that no specific protocols are required. You can visit:

Target data

E3 ubiquitin ligase catalyzing the covalent attachment of ubiquitin moieties onto substrate proteins (PubMed : 12496252, PubMed : 17675297, PubMed : 29883609, PubMed : 30952868). Involved in the TLR and IL-1 signaling pathways via interaction with the complex containing IRAK kinases and TRAF6 (PubMed : 12496252, PubMed : 17675297). Acts as a positive regulator of inflammatory response in microglia through activation of NF-kappa-B and MAP kinase (By similarity). Mediates 'Lys-63'-linked polyubiquitination of IRAK1 allowing subsequent NF-kappa-B activation (PubMed : 12496252, PubMed : 17675297). Conjugates 'Lys-63'-linked ubiquitin chains to the adapter protein ASC/PYCARD, which in turn is crucial for NLRP3 inflammasome activation (PubMed : 34706239). Mediates 'Lys-48'-linked polyubiquitination of RIPK3 leading to its subsequent proteasome-dependent degradation; preferentially recognizes and mediates the degradation of the 'Thr-182' phosphorylated form of RIPK3 (PubMed : 29883609). Negatively regulates necroptosis by reducing RIPK3 expression (PubMed : 29883609). Mediates 'Lys-63'-linked ubiquitination of RIPK1 (PubMed : 29883609). Following phosphorylation by ATM, catalyzes 'Lys-63'-linked ubiquitination of NBN, promoting DNA repair via homologous recombination (PubMed : 30952868). Negatively regulates activation of the metabolic mTORC1 signaling pathway by mediating 'Lys-63'-linked ubiquitination of mTORC1-inhibitory protein TSC1 and thereby promoting TSC1/TSC2 complex stability (PubMed : 33215753).
See full target information PELI1

Additional targets

PELI2

Product promise

We are committed to supporting your work with high-quality reagents, and we're here for you every step of the way. In the unlikely event that one of our products does not perform as expected, you're protected by our Product Promise.
For full details, please see our Terms & Conditions

Please note: All products are 'FOR RESEARCH USE ONLY. NOT FOR USE IN DIAGNOSTIC OR THERAPEUTIC PROCEDURES'.

For licensing inquiries, please contact partnerships@abcam.com