JavaScript is disabled in your browser. Please enable JavaScript to view this website.
AB140615

Anti-PELO antibody [EP7530]

Be the first to review this product! Submit a review

|

(4 Publications)

Rabbit Recombinant Monoclonal PELO antibody. Suitable for WB and reacts with Human samples. Cited in 4 publications.

View Alternative Names

CGI-17, PELO, Protein pelota homolog, hPelota, Protein Dom34 homolog

2 Images
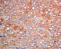
Immunohistochemistry (Formalin/PFA-fixed paraffin-embedded sections) - Anti-PELO antibody [EP7530] (AB140615)
  • IHC-P

Unknown

Immunohistochemistry (Formalin/PFA-fixed paraffin-embedded sections) - Anti-PELO antibody [EP7530] (AB140615)

Immunohistochemical analysis of paraffin embedded Human squamous cell cervical carcinoma tissue labelling PELO with ab140615 at 1/250 dilution.

Perform heat mediated antigen retrieval before commencing with IHC staining protocol.

Western blot - Anti-PELO antibody [EP7530] (AB140615)
  • WB

Lab

Western blot - Anti-PELO antibody [EP7530] (AB140615)

Blocking and diluting buffer and concentration : 5% NFDM/TBST. Primary antibody : incubated for 1h at room temperature. Secondary antibody : incubated for 1h at room temperature. Exposure time : Lane 1 : 80 seconds Lane 2 : 20 seconds Lane 3 : 180 seconds

All lanes:

Western blot - Anti-PELO antibody [EP7530] (ab140615) at 1/10000 dilution

Lane 1:

HeLa (Human cervix adenocarcinoma epithelial cell) whole cell lysate at 15 µg

Lane 2:

293T (Human embryonic kidney epithelial cell) whole cell lysate at 15 µg

Lane 3:

A375 (Human malignant melanoma epithelial cell) whole cell lysate at 15 µg

Secondary

All lanes:

Western blot - Goat Anti-Rabbit IgG H&L (HRP) (<a href='/en-us/products/secondary-antibodies/goat-rabbit-igg-h-l-hrp-ab97051'>ab97051</a>) at 1/20000 dilution

true

  • Carrier free

    Anti-PELO antibody [EP7530] - BSA and Azide free

Key facts

Host species

Rabbit

Clonality

Monoclonal

Clone number

EP7530

Isotype

IgG

Carrier free

No

Reacts with

Human

Applications

WB

applications

Immunogen

The exact immunogen used to generate this antibody is proprietary information.

Reactivity data

{ "title": "Reactivity Data", "filters": { "stats": ["", "Species", "Dilution Info", "Notes"], "tabs": { "all-applications": {"fullname" : "All Applications", "shortname": "All Applications"}, "IHCP" : {"fullname" : "Immunohistochemistry (Formalin/PFA-fixed paraffin-embedded sections)", "shortname":"IHC-P"}, "IP" : {"fullname" : "Immunoprecipitation", "shortname":"IP"}, "FlowCyt" : {"fullname" : "Flow Cytometry", "shortname":"Flow Cyt"}, "WB" : {"fullname" : "Western blot", "shortname":"WB"} }, "product-promise": { "all": "all", "testedAndGuaranteed": "tested", "guaranteed": "expected", "predicted": "predicted", "notRecommended": "not-recommended" } }, "values": { "Human": { "IHCP-species-checked": "notRecommended", "IHCP-species-dilution-info": "1/250 - 1/500", "IHCP-species-notes": "<p></p> Perform heat-mediated antigen retrieval before commencing with IHC staining protocol.", "IP-species-checked": "notRecommended", "IP-species-dilution-info": "", "IP-species-notes": "<p></p>", "FlowCyt-species-checked": "notRecommended", "FlowCyt-species-dilution-info": "", "FlowCyt-species-notes": "<p></p>", "WB-species-checked": "testedAndGuaranteed", "WB-species-dilution-info": "1/10000", "WB-species-notes": "<p></p>" } } }

Product details

Species reactivity
Mouse, Rat: We have preliminary internal testing data to indicate this antibody may not react with these species.
Please contact us for more information.

Patented technology
Our RabMAb® technology is a patented hybridoma-based technology for making rabbit monoclonal antibodies. For details on our patents, please refer to RabMAb® patents.

What are the advantages of a recombinant monoclonal antibody?
This product is a recombinant monoclonal antibody, which offers several advantages including:

  • - High batch-to-batch consistency and reproducibility
  • - Improved sensitivity and specificity
  • - Long-term security of supply
  • - Animal-free batch production

For more information, read more on recombinant antibodies.

Properties and storage information

Form
Liquid
Purification technique
Affinity purification Protein A
Storage buffer
pH: 7.2 - 7.4 Preservative: 0.01% Sodium azide Constituents: PBS, 40% Glycerol (glycerin, glycerine), 0.05% BSA
Shipped at conditions
Blue Ice
Appropriate short-term storage conditions
+4°C
Appropriate long-term storage conditions
-20°C

Supplementary information

This supplementary information is collated from multiple sources and compiled automatically.

PELO also known as Pelota Homolog is a protein with a molecular mass of approximately 44 kDa. It acts as a ribosome-associated protein involved in no-go decay (NGD) a quality control mechanism that resolves stalled ribosomes. PELO helps target and degrade mRNA whose translation is impaired. You can find expression of PELO in various human tissues with predominant activity observed in the heart liver and skeletal muscle.
Biological function summary

PELO contributes to the maintenance of cellular homeostasis by ensuring proper protein synthesis. It acts as part of a surveillance complex that detects and rectifies errors in mRNA translation. This function associates PELO with other factors like HBS1L which help facilitate ribosomal recycling under stress or erroneous conditions. This modulatory role is critical in mitigating potentially harmful effects of translation errors on cellular function.

Pathways

PELO operates within the major ribosome quality control pathway focusing on detecting stalled ribosomes and reclaiming their components for future use. This pathway links PELO with proteins such as HBS1L and ABCE1. These interactions highlight the fine regulatory mechanisms that exist to preserve fidelity and efficiency of translation processes in cells.

PELO exhibits connections with genetic translation-related abnormalities and neurodegenerative disorders. Abnormalities in PELO function correlate with diseases like Pelizaeus-Merzbacher disease which impacts myelin formation in the central nervous system. The connection of PELO with other proteins involved in translation fidelity highlights its potential influence in disorders related to protein synthesis errors.

Product protocols

For this product, it's our understanding that no specific protocols are required. You can visit:

Target data

Component of the Pelota-HBS1L complex, a complex that recognizes stalled ribosomes and triggers the No-Go Decay (NGD) pathway (PubMed : 21448132, PubMed : 23667253, PubMed : 27543824, PubMed : 27863242). In the Pelota-HBS1L complex, PELO recognizes ribosomes stalled at the 3' end of an mRNA and engages stalled ribosomes by destabilizing mRNA in the mRNA channel (PubMed : 27543824, PubMed : 27863242). Following mRNA extraction from stalled ribosomes by the SKI complex, the Pelota-HBS1L complex promotes recruitment of ABCE1, which drives the disassembly of stalled ribosomes, followed by degradation of damaged mRNAs as part of the NGD pathway (PubMed : 21448132, PubMed : 32006463). As part of the PINK1-regulated signaling, upon mitochondrial damage is recruited to the ribosome/mRNA-ribonucleoprotein complex associated to mitochondrial outer membrane thereby enabling the recruitment of autophagy receptors and induction of mitophagy (PubMed : 29861391).
See full target information PELO

Publications (4)

Recent publications for all applications. Explore the full list and refine your search

Oncogene 41:2945-2957 PubMed35437307

2022

PELO facilitates PLK1-induced the ubiquitination and degradation of Smad4 and promotes the progression of prostate cancer.

Applications

Unspecified application

Species

Unspecified reactive species

Ping Gao,Jing-Lan Hao,Qian-Wen Xie,Gui-Qin Han,Bin-Bing Xu,Hang Hu,Na-Er Sa,Xiao-Wen Du,Hai-Long Tang,Jian Yan,Xiao-Ming Dong

Molecular cell 75:835-848.e8 PubMed31378462

2019

MISTERMINATE Mechanistically Links Mitochondrial Dysfunction with Proteostasis Failure.

Applications

Unspecified application

Species

Unspecified reactive species

Zhihao Wu,Ishaq Tantray,Junghyun Lim,Songjie Chen,Yu Li,Zoe Davis,Cole Sitron,Jason Dong,Suzana Gispert,Georg Auburger,Onn Brandman,Xiaolin Bi,Michael Snyder,Bingwei Lu

PLoS genetics 15:e1007917 PubMed30707697

2019

Mammalian Hbs1L deficiency causes congenital anomalies and developmental delay associated with Pelota depletion and 80S monosome accumulation.

Applications

Unspecified application

Species

Unspecified reactive species

Amy E O'Connell,Maxim V Gerashchenko,Marie-Francoise O'Donohue,Samantha M Rosen,Eric Huntzinger,Diane Gleeson,Antonella Galli,Edward Ryder,Siqi Cao,Quinn Murphy,Shideh Kazerounian,Sarah U Morton,Klaus Schmitz-Abe,Vadim N Gladyshev,Pierre-Emmanuel Gleizes,Bertrand Séraphin,Pankaj B Agrawal

Cell metabolism 28:130-144.e7 PubMed29861391

2018

Ubiquitination of ABCE1 by NOT4 in Response to Mitochondrial Damage Links Co-translational Quality Control to PINK1-Directed Mitophagy.

Applications

Unspecified application

Species

Unspecified reactive species

Zhihao Wu,Yan Wang,Junghyun Lim,Boxiang Liu,Yanping Li,Rasika Vartak,Trisha Stankiewicz,Stephen Montgomery,Bingwei Lu
View all publications

Product promise

We are committed to supporting your work with high-quality reagents, and we're here for you every step of the way. In the unlikely event that one of our products does not perform as expected, you're protected by our Product Promise.
For full details, please see our Terms & Conditions

Please note: All products are 'FOR RESEARCH USE ONLY. NOT FOR USE IN DIAGNOSTIC OR THERAPEUTIC PROCEDURES'.

For licensing inquiries, please contact partnerships@abcam.com