JavaScript is disabled in your browser. Please enable JavaScript to view this website.
AB309345

Anti-Pelo antibody [EPR26003-259] - BSA and Azide free

Be the first to review this product! Submit a review

|

(0 Publication)

Rabbit Recombinant Monoclonal PELO antibody. Carrier free. Suitable for IP, WB, Flow Cyt (Intra), ICC/IF and reacts with Human, Mouse, Rat samples.

View Alternative Names

Protein pelota homolog, Pelo

7 Images
Flow Cytometry (Intracellular) - Anti-Pelo antibody [EPR26003-259] - BSA and Azide free (AB309345)
  • Flow Cyt (Intra)

Supplier Data

Flow Cytometry (Intracellular) - Anti-Pelo antibody [EPR26003-259] - BSA and Azide free (AB309345)

This data was developed using ab309344, the same antibody clone in a different buffer formulation. Flow cytometric analysis of HeLa (human cervical adenocarcinoma epithelial cell) cells labelling Pelo with ab309344 at 1/500 dilution (0.1 ug)/Red compared with a Rabbit monoclonal IgG (ab172730) / Left isotype control and an unlabelled control (cells without incubation with primary antibody and secondary antibody) (Blue). Goat Anti-Rabbit IgG (Alexa Fluor® 488, ab150081) at 1/5000 dilution was used as the secondary antibody.

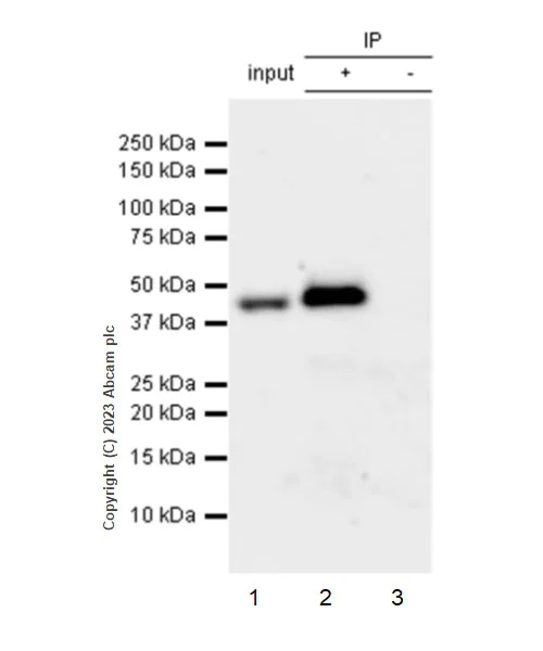
Immunoprecipitation - Anti-Pelo antibody [EPR26003-259] - BSA and Azide free (AB309345)
  • IP

Supplier Data

Immunoprecipitation - Anti-Pelo antibody [EPR26003-259] - BSA and Azide free (AB309345)

This data was developed using ab309344, the same antibody clone in a different buffer formulation. Pelo was immunoprecipitated from 0.35 mg HeLa (human cervical adenocarcinoma epithelial cell) whole cell lysate with ab309344 at 1/30 dilution (2ug in 0.35mg lysates). Western blot was performed on the immunoprecipitate using ab309344 at 1/1000 dilution. VeriBlot for IP secondary antibody(HRP)(ab131366) was used at 1/5000 dilution. Lane 1 : HeLa (human cervical adenocarcinoma epithelial cell) whole cell lysate Lane 2 : ab309344 IP in HeLa (human cervical adenocarcinoma epithelial cell) whole cell lysate Lane 3 : Rabbit monoclonal IgG (ab172730) instead of ab309344 in HeLa whole cell lysate Blocking and dilution buffer and concentration : 5% NFDM/TBST. Exposure time : 3 seconds Lysates were freshly made and used for Western blotting immediately to minimize protein degradation.

All lanes:

Immunoprecipitation - Anti-Pelo antibody [EPR26003-259] (<a href='/en-us/products/primary-antibodies/pelo-antibody-epr26003-259-ab309344'>ab309344</a>) at 1/30 dilution

All lanes:

HeLa (human cervical adenocarcinoma epithelial cell) whole cell lysate

Secondary

All lanes:

Immunoprecipitation - VeriBlot for IP Detection Reagent (HRP) (<a href='/en-us/products/reagents/veriblot-for-ip-detection-reagent-hrp-ab131366'>ab131366</a>) at 1/5000 dilution

false

Exposure time: 3s

Immunocytochemistry/ Immunofluorescence - Anti-Pelo antibody [EPR26003-259] - BSA and Azide free (AB309345)
  • ICC/IF

Supplier Data

Immunocytochemistry/ Immunofluorescence - Anti-Pelo antibody [EPR26003-259] - BSA and Azide free (AB309345)

This data was developed using ab309344, the same antibody clone in a different buffer formulation. Immunofluorescent analysis of 4% Paraformaldehyde-fixed, 0.1% TritonX-100 permeabilized RAW 264.7 (mouse abelson murine leukemia virus-induced tumor macrophage) cells labelling Pelo with ab309344 at 1/500 (0.94 ug/ml) dilution, followed by ab150081 Goat Anti-Rabbit IgG H&L (Alexa Fluor® 488) preadsorbed antibody at 1/1000 2 ug/ml dilution (Green). Confocal image showing mainly cytoplasmic staining in RAW 264.7 cell line.Image was taken with a confocal microscope(Leica-Microsystems, TCS SP8). is observed. ab195889 Anti-alpha Tubulin mouse monoclonal antibody - Microtubule Marker (Alexa Fluor® 594) was used to counterstain tubulin at 1/200 2.5ug/ml dilution (Red). The Nuclear counterstain was DAPI (Blue). Secondary antibody only control : Secondary antibody is ab150081 Goat Anti-Rabbit IgG H&L (Alexa Fluor® 488) preadsorbed at 1/1000 2 ug/ml dilution.

Flow Cytometry (Intracellular) - Anti-Pelo antibody [EPR26003-259] - BSA and Azide free (AB309345)
  • Flow Cyt (Intra)

Supplier Data

Flow Cytometry (Intracellular) - Anti-Pelo antibody [EPR26003-259] - BSA and Azide free (AB309345)

This data was developed using ab309344, the same antibody clone in a different buffer formulation. Flow cytometric analysis of RAW 264.7 (mouse Abelson murine leukemia virus-induced tumor macrophage) cells labelling Pelo with ab309344 at 1/500 dilution (0.1 ug)/Red compared with a Rabbit monoclonal IgG (ab172730) / Left isotype control and an unlabelled control (cells without incubation with primary antibody and secondary antibody) (Blue). Goat Anti-Rabbit IgG (Alexa Fluor® 488, ab150081) at 1/5000 dilution was used as the secondary antibody.

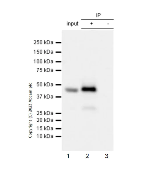
Immunoprecipitation - Anti-Pelo antibody [EPR26003-259] - BSA and Azide free (AB309345)
  • IP

Supplier Data

Immunoprecipitation - Anti-Pelo antibody [EPR26003-259] - BSA and Azide free (AB309345)

This data was developed using ab309344, the same antibody clone in a different buffer formulation. Pelo was immunoprecipitated from 0.35 mg RAW264.7 (mouse Abelson murine leukemia virus-induced tumor macrophage) whole cell lysate with ab309344 at 1/30 dilution (2ug in 0.35mg lysates). Western blot was performed on the immunoprecipitate using ab309344 at 1/1000 dilution. VeriBlot for IP secondary antibody(HRP)(ab131366) was used at 1/5000 dilution. Lane 1 : RAW264.7 (mouse Abelson murine leukemia virus-induced tumor macrophage) whole cell lysate Lane 2 : ab309344 IP in RAW264.7 (mouse Abelson murine leukemia virus-induced tumor macrophage) whole cell lysate Lane 3 : Rabbit monoclonal IgG (ab172730) instead of ab309344 in RAW264.7 whole cell lysate Blocking and dilution buffer and concentration : 5% NFDM/TBST. Exposure time : 15 seconds Lysates were freshly made and used for Western blotting immediately to minimize protein degradation.

All lanes:

Immunoprecipitation - Anti-Pelo antibody [EPR26003-259] (<a href='/en-us/products/primary-antibodies/pelo-antibody-epr26003-259-ab309344'>ab309344</a>) at 1/30 dilution

All lanes:

RAW264.7 (mouse Abelson murine leukemia virus-induced tumor macrophage) whole cell lysate

Secondary

All lanes:

Immunoprecipitation - VeriBlot for IP Detection Reagent (HRP) (<a href='/en-us/products/reagents/veriblot-for-ip-detection-reagent-hrp-ab131366'>ab131366</a>) at 1/5000 dilution

false

Exposure time: 15s

Western blot - Anti-Pelo antibody [EPR26003-259] - BSA and Azide free (AB309345)
  • WB

Supplier Data

Western blot - Anti-Pelo antibody [EPR26003-259] - BSA and Azide free (AB309345)

This data was developed using ab309344, the same antibody clone in a different buffer formulation. Blocking and diluting buffer and concentration : 5% NFDM/TBST The band beneath the target band (45 kDa) is likely to be degraded target fragment. Exposure time : 15 seconds

All lanes:

Western blot - Anti-Pelo antibody [EPR26003-259] (<a href='/en-us/products/primary-antibodies/pelo-antibody-epr26003-259-ab309344'>ab309344</a>) at 1/1000 dilution

Lane 1:

Mouse liver tissue lysate at 20 µg

Lane 2:

Mouse testis tissue lysate at 20 µg

Lane 3:

Human liver tissue lysate at 20 µg

Lane 4:

Rat liver tissue lysate at 20 µg

Lane 5:

NIH/3T3 (mouse embryonic fibroblast) whole cell lysate at 20 µg

Lane 6:

HepG2 (human hepatocellar carcinoma epithelial cell) whole cell lysate at 20 µg

Lane 7:

HeLa (human cervix adenocarcinoma epithelial cell) whole cell lysate at 20 µg

Secondary

All lanes:

Western blot - Goat Anti-Rabbit IgG H&L (HRP) (<a href='/en-us/products/secondary-antibodies/goat-rabbit-igg-h-l-hrp-ab97051'>ab97051</a>) at 1/100000 dilution

Observed band size: 45 kDa

false

Exposure time: 15s

Western blot - Anti-Pelo antibody [EPR26003-259] - BSA and Azide free (AB309345)
  • WB

Supplier Data

Western blot - Anti-Pelo antibody [EPR26003-259] - BSA and Azide free (AB309345)

This data was developed using ab309344, the same antibody clone in a different buffer formulation.

Blocking and diluting buffer and concentration : 5% NFDM/TBST.

All the lysates were kindly provided by Dr. Jiahuai Han, School of Life Sciences, Xiamen University.

The band beneath the target band (45 kDa) is likely to be degraded target fragment.

In Western blot, anti-GAPDH antibody (ab181602) loading control staining at 1/200000 dilution.

This blot was developed using a high sensitivity ECL substrate. The high-sensitivity ECL substrate used allows for the detection of proteins in the mid-femtogram range.

All lanes:

Western blot - Anti-Pelo antibody [EPR26003-259] (<a href='/en-us/products/primary-antibodies/pelo-antibody-epr26003-259-ab309344'>ab309344</a>) at 1/1000 dilution

Lane 1:

RAW264.7 (mouse Abelson murine leukemia virus-induced tumor macrophage) whole cell lysate at 20 µg

Lane 2:

PELO knockout RAW264.7 whole cell lysate at 20 µg

Secondary

All lanes:

Western blot - Goat Anti-Rabbit IgG H&L (HRP) (<a href='/en-us/products/secondary-antibodies/goat-rabbit-igg-h-l-hrp-ab97051'>ab97051</a>) at 1/100000 dilution

Observed band size: 45 kDa

true

Exposure time: 114s

Key facts

Host species

Rabbit

Clonality

Monoclonal

Clone number

EPR26003-259

Isotype

IgG

Carrier free

Yes

Reacts with

Human, Mouse, Rat

Applications

WB, IP, Flow Cyt (Intra), ICC/IF

applications

Immunogen

The exact immunogen used to generate this antibody is proprietary information.

Reactivity data

{ "title": "Reactivity Data", "filters": { "stats": ["", "Species", "Dilution Info", "Notes"], "tabs": { "all-applications": {"fullname" : "All Applications", "shortname": "All Applications"}, "IP" : {"fullname" : "Immunoprecipitation", "shortname":"IP"}, "WB" : {"fullname" : "Western blot", "shortname":"WB"}, "FlowCytIntra" : {"fullname" : "Flow Cytometry (Intracellular)", "shortname":"Flow Cyt (Intra)"}, "ICCIF" : {"fullname" : "Immunocytochemistry/ Immunofluorescence", "shortname":"ICC/IF"}, "IHCP" : {"fullname" : "Immunohistochemistry (Formalin/PFA-fixed paraffin-embedded sections)", "shortname":"IHC-P"} }, "product-promise": { "all": "all", "testedAndGuaranteed": "tested", "guaranteed": "expected", "predicted": "predicted", "notRecommended": "not-recommended" } }, "values": { "Human": { "IP-species-checked": "testedAndGuaranteed", "IP-species-dilution-info": "", "IP-species-notes": "<p></p>", "WB-species-checked": "testedAndGuaranteed", "WB-species-dilution-info": "", "WB-species-notes": "<p></p>", "FlowCytIntra-species-checked": "testedAndGuaranteed", "FlowCytIntra-species-dilution-info": "", "FlowCytIntra-species-notes": "<p></p>", "ICCIF-species-checked": "guaranteed", "ICCIF-species-dilution-info": "", "ICCIF-species-notes": "", "IHCP-species-checked": "notRecommended", "IHCP-species-dilution-info": "", "IHCP-species-notes": "<p></p>" }, "Mouse": { "IP-species-checked": "testedAndGuaranteed", "IP-species-dilution-info": "", "IP-species-notes": "<p></p>", "WB-species-checked": "testedAndGuaranteed", "WB-species-dilution-info": "", "WB-species-notes": "<p></p>", "FlowCytIntra-species-checked": "testedAndGuaranteed", "FlowCytIntra-species-dilution-info": "", "FlowCytIntra-species-notes": "<p></p>", "ICCIF-species-checked": "testedAndGuaranteed", "ICCIF-species-dilution-info": "", "ICCIF-species-notes": "<p></p>", "IHCP-species-checked": "notRecommended", "IHCP-species-dilution-info": "", "IHCP-species-notes": "<p></p>" }, "Rat": { "IP-species-checked": "guaranteed", "IP-species-dilution-info": "", "IP-species-notes": "", "WB-species-checked": "testedAndGuaranteed", "WB-species-dilution-info": "", "WB-species-notes": "<p></p>", "FlowCytIntra-species-checked": "guaranteed", "FlowCytIntra-species-dilution-info": "", "FlowCytIntra-species-notes": "", "ICCIF-species-checked": "guaranteed", "ICCIF-species-dilution-info": "", "ICCIF-species-notes": "", "IHCP-species-checked": "notRecommended", "IHCP-species-dilution-info": "", "IHCP-species-notes": "<p></p>" } } }

Product details

Patented technology
Our RabMAb® technology is a patented hybridoma-based technology for making rabbit monoclonal antibodies. For details on our patents, please refer to RabMAb® patents.

What are the advantages of a recombinant monoclonal antibody?
This product is a recombinant monoclonal antibody, which offers several advantages including:

  • - High batch-to-batch consistency and reproducibility
  • - Improved sensitivity and specificity
  • - Long-term security of supply
  • - Animal-free batch production

For more information, read more on recombinant antibodies.

Conjugation ready
Our carrier-free antibodies are typically supplied in a PBS-only formulation, purified and free of BSA, sodium azide and glycerol. This conjugation-ready format is designed for use with fluorochromes, metal isotopes, oligonucleotides, and enzymes, which makes them ideal for antibody labelling, functional and cell-based assays, flow-based assays (e.g. mass cytometry) and Multiplex Imaging applications.

Use our conjugation kits for antibody conjugates that are ready-to-use in as little as 20 minutes with 1 minute hands-on-time and 100% antibody recovery: available for fluorescent dyes, HRP, biotin and gold.

Compatibility
This product is compatible with the Maxpar® Antibody Labeling Kit from Fluidigm, without the need for antibody preparation. Maxpar® is a trademark of Fluidigm Canada Inc.

Properties and storage information

Form
Liquid
Purification technique
Affinity purification Protein A
Storage buffer
pH: 7.2 - 7.4 Constituents: 100% PBS
Shipped at conditions
Blue Ice
Appropriate short-term storage conditions
+4°C
Appropriate long-term storage conditions
+4°C

Supplementary information

This supplementary information is collated from multiple sources and compiled automatically.

PELO also known as Pelota Homolog is a protein with a molecular mass of approximately 44 kDa. It acts as a ribosome-associated protein involved in no-go decay (NGD) a quality control mechanism that resolves stalled ribosomes. PELO helps target and degrade mRNA whose translation is impaired. You can find expression of PELO in various human tissues with predominant activity observed in the heart liver and skeletal muscle.
Biological function summary

PELO contributes to the maintenance of cellular homeostasis by ensuring proper protein synthesis. It acts as part of a surveillance complex that detects and rectifies errors in mRNA translation. This function associates PELO with other factors like HBS1L which help facilitate ribosomal recycling under stress or erroneous conditions. This modulatory role is critical in mitigating potentially harmful effects of translation errors on cellular function.

Pathways

PELO operates within the major ribosome quality control pathway focusing on detecting stalled ribosomes and reclaiming their components for future use. This pathway links PELO with proteins such as HBS1L and ABCE1. These interactions highlight the fine regulatory mechanisms that exist to preserve fidelity and efficiency of translation processes in cells.

PELO exhibits connections with genetic translation-related abnormalities and neurodegenerative disorders. Abnormalities in PELO function correlate with diseases like Pelizaeus-Merzbacher disease which impacts myelin formation in the central nervous system. The connection of PELO with other proteins involved in translation fidelity highlights its potential influence in disorders related to protein synthesis errors.

Product protocols

For this product, it's our understanding that no specific protocols are required. You can visit:

Target data

Component of the Pelota-HBS1L complex, a complex that recognizes stalled ribosomes and triggers the No-Go Decay (NGD) pathway. In the Pelota-HBS1L complex, PELO recognizes ribosomes stalled at the 3' end of an mRNA and engages stalled ribosomes by destabilizing mRNA in the mRNA channel. Following mRNA extraction from stalled ribosomes by the SKI complex, the Pelota-HBS1L complex promotes recruitment of ABCE1, which drives the disassembly of stalled ribosomes, followed by degradation of damaged mRNAs as part of the NGD pathway. As part of the PINK1-regulated signaling, upon mitochondrial damage is recruited to the ribosome/mRNA-ribonucleoprotein complex associated to mitochondrial outer membrane thereby enabling the recruitment of autophagy receptors and induction of mitophagy.
See full target information Pelo

Product promise

We are committed to supporting your work with high-quality reagents, and we're here for you every step of the way. In the unlikely event that one of our products does not perform as expected, you're protected by our Product Promise.
For full details, please see our Terms & Conditions

Please note: All products are 'FOR RESEARCH USE ONLY. NOT FOR USE IN DIAGNOSTIC OR THERAPEUTIC PROCEDURES'.

For licensing inquiries, please contact partnerships@abcam.com