JavaScript is disabled in your browser. Please enable JavaScript to view this website.
AB84094

Anti-PELP1 antibody

Be the first to review this product! Submit a review

|

(1 Publication)

Rabbit Polyclonal PELP1 antibody. Suitable for IHC-P and reacts with Mouse, Human samples. Cited in 1 publication. Immunogen corresponding to Synthetic Peptide within Human PELP1 aa 1000-1050.

View Alternative Names

HMX3, MNAR, PELP1, Modulator of non-genomic activity of estrogen receptor, Transcription factor HMX3

2 Images
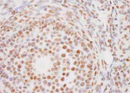
Immunohistochemistry (Formalin/PFA-fixed paraffin-embedded sections) - Anti-PELP1 antibody (AB84094)
  • IHC-P

Unknown

Immunohistochemistry (Formalin/PFA-fixed paraffin-embedded sections) - Anti-PELP1 antibody (AB84094)

Detection of Human MNAR by Immunohistochemistry.

Sample : FFPE section of Human breast adenocarcinoma.
Antibody : ab84094 used at a dilution of 1/500.

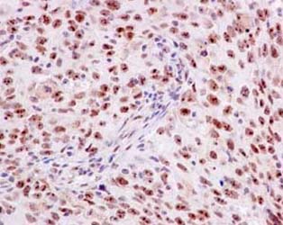
Immunohistochemistry (Formalin/PFA-fixed paraffin-embedded sections) - Anti-PELP1 antibody (AB84094)
  • IHC-P

Unknown

Immunohistochemistry (Formalin/PFA-fixed paraffin-embedded sections) - Anti-PELP1 antibody (AB84094)

Detection of Mouse MNAR by Immunohistochemistry.

Sample : FFPE section of Mouse ovary.
Antibody : ab84094 used at a dilution of 1/100.
Detection : DAB.

Key facts

Host species

Rabbit

Clonality

Polyclonal

Isotype

IgG

Carrier free

No

Reacts with

Mouse, Human

Applications

IHC-P

applications

Immunogen

Synthetic Peptide within Human PELP1 aa 1000-1050. The exact immunogen used to generate this antibody is proprietary information.

Q8IZL8

Reactivity data

{ "title": "Reactivity Data", "filters": { "stats": ["", "Species", "Dilution Info", "Notes"], "tabs": { "all-applications": {"fullname" : "All Applications", "shortname": "All Applications"}, "IHCP" : {"fullname" : "Immunohistochemistry (Formalin/PFA-fixed paraffin-embedded sections)", "shortname":"IHC-P"} }, "product-promise": { "all": "all", "testedAndGuaranteed": "tested", "guaranteed": "expected", "predicted": "predicted", "notRecommended": "not-recommended" } }, "values": { "Human": { "IHCP-species-checked": "testedAndGuaranteed", "IHCP-species-dilution-info": "1/100 - 1/500", "IHCP-species-notes": "<p>Epitope exposure is recommended. Epitope exposure with citrate buffer will enhance staining.</p>" }, "Mouse": { "IHCP-species-checked": "testedAndGuaranteed", "IHCP-species-dilution-info": "1/100 - 1/500", "IHCP-species-notes": "<p>Epitope exposure is recommended. Epitope exposure with citrate buffer will enhance staining.</p>" }, "Chimpanzee": { "IHCP-species-checked": "predicted", "IHCP-species-dilution-info": "", "IHCP-species-notes": "" }, "Gorilla": { "IHCP-species-checked": "predicted", "IHCP-species-dilution-info": "", "IHCP-species-notes": "" } } }

Properties and storage information

Form
Liquid
Purification technique
Affinity purification Immunogen
Storage buffer
pH: 6.8 - 7.4 Preservative: 0.09% Sodium azide Constituents: Tris buffered saline, 0.1% BSA
Shipped at conditions
Blue Ice
Appropriate short-term storage conditions
+4°C
Appropriate long-term storage conditions
+4°C
Aliquoting information
Upon delivery aliquot
Storage information
Avoid freeze / thaw cycle

Supplementary information

This supplementary information is collated from multiple sources and compiled automatically.

The Proline Glutamic acid and Leucine-rich Protein 1 (PELP1) also known as Modulator of Nongenomic Activity of Estrogen Receptor (MNAR) plays a significant role in chromatin remodeling and transcriptional regulation. PELP1 has a molecular mass of approximately 160 kDa. It is broadly expressed in various tissues with particularly high levels in reproductive tissues and the brain. PELP1 participates in the recruitment of histone-modifying enzymes and acts as a scaffolding protein that interacts with several nuclear receptors and transcription factors.
Biological function summary

PELP1 acts within the nucleus and is central to gene expression regulation. It is an integral part of diverse protein complexes that engage in remodeling chromatin and modifying transcriptional activity. PELP1 interacts with estrogen receptors where it modulates both genomic and non-genomic signaling pathways affecting gene expression programs related to cell growth and differentiation. Additionally PELP1 associates with various other hormone receptors and transcription factors assisting in the intricate regulation of cell functions.

Pathways

Cellular growth and differentiation rely on the signaling roles that PELP1 performs. PELP1 is involved in the estrogen signaling pathway where it closely interacts with estrogen receptor alpha (ERα). This interaction links estrogen signaling to the cell cycle machinery and PI3K/AKT pathway influencing cell proliferation and survival. Another pathway in which PELP1 plays a critical role is the MAPK/ERK pathway where it cooperates with Src kinase highlighting its importance in cell signaling networks that regulate growth and differentiation.

PELP1 holds a strong association with hormone-driven cancers particularly breast and prostate cancers. In these contexts PELP1's interaction with estrogen and androgen receptors can dramatically alter tumor progression suggesting its role as an oncogene. Additionally aberrant expression and activity of PELP1 have implications in neurological disorders. In breast cancer PELP1 collaborates with ERα to drive estrogen-mediated growth whereas in prostate cancer it engages with androgen receptor (AR) promoting cell proliferation and resistance to therapy.

Product protocols

For this product, it's our understanding that no specific protocols are required. You can visit:

Target data

Coactivator of estrogen receptor-mediated transcription and a corepressor of other nuclear hormone receptors and sequence-specific transcription factors (PubMed : 14963108). Plays a role in estrogen receptor (ER) genomic activity when present in the nuclear compartment by activating the ER target genes in a hormonal stimulation dependent manner. Can facilitate ER non-genomic signaling via SRC and PI3K interaction in the cytosol. Plays a role in E2-mediated cell cycle progression by interacting with RB1. May have important functional implications in ER/growth factor cross-talk. Interacts with several growth factor signaling components including EGFR and HRS. Functions as the key stabilizing component of the Five Friends of Methylated CHTOP (5FMC) complex; the 5FMC complex is recruited to ZNF148 by methylated CHTOP, leading to desumoylation of ZNF148 and subsequent transactivation of ZNF148 target genes. Component of the PELP1 complex involved in the nucleolar steps of 28S rRNA maturation and the subsequent nucleoplasmic transit of the pre-60S ribosomal subunit. Regulates pre-60S association of the critical remodeling factor MDN1 (PubMed : 21326211). May promote tumorigenesis via its interaction with and modulation of several oncogenes including SRC, PI3K, STAT3 and EGFR. Plays a role in cancer cell metastasis via its ability to modulate E2-mediated cytoskeleton changes and cell migration via its interaction with SRC and PI3K.
See full target information PELP1

Publications (1)

Recent publications for all applications. Explore the full list and refine your search

PloS one 7:e44973 PubMed23028713

2012

Gene expression and functional annotation of the human ciliary body epithelia.

Applications

IHC-FoFr

Species

Human

Sarah F Janssen,Theo G M F Gorgels,Koen Bossers,Jacoline B Ten Brink,Anke H W Essing,Martijn Nagtegaal,Peter J van der Spek,Nomdo M Jansonius,Arthur A B Bergen
View all publications

Product promise

We are committed to supporting your work with high-quality reagents, and we're here for you every step of the way. In the unlikely event that one of our products does not perform as expected, you're protected by our Product Promise.
For full details, please see our Terms & Conditions

Please note: All products are 'FOR RESEARCH USE ONLY. NOT FOR USE IN DIAGNOSTIC OR THERAPEUTIC PROCEDURES'.

For licensing inquiries, please contact partnerships@abcam.com