JavaScript is disabled in your browser. Please enable JavaScript to view this website.
AB250932

Anti-PELP1 antibody [EPR15212] - BSA and Azide free

Be the first to review this product! Submit a review

|

(1 Publication)

Rabbit Recombinant Monoclonal PELP1 antibody. Carrier free. Suitable for IHC-P, WB and reacts with Rat, Human samples. Cited in 1 publication.

View Alternative Names

HMX3, MNAR, PELP1, Modulator of non-genomic activity of estrogen receptor, Transcription factor HMX3

4 Images
Immunohistochemistry (Formalin/PFA-fixed paraffin-embedded sections) - Anti-PELP1 antibody [EPR15212] - BSA and Azide free (AB250932)
  • IHC-P

Supplier Data

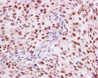
Immunohistochemistry (Formalin/PFA-fixed paraffin-embedded sections) - Anti-PELP1 antibody [EPR15212] - BSA and Azide free (AB250932)

This data was developed using ab187653, the same antibody clone in a different buffer formulation.

Immunohistochemical analysis of formalin fixed and paraffin embedded Human breast carcinoma tissue labeling PELP1 with ab187653 at 1/100 dilution, counterstained with Hematoxylin.

Perform heat mediated antigen retrieval with citrate buffer pH 6 before commencing with IHC staining protocol.

Immunohistochemistry (Formalin/PFA-fixed paraffin-embedded sections) - Anti-PELP1 antibody [EPR15212] - BSA and Azide free (AB250932)
  • IHC-P

Supplier Data

Immunohistochemistry (Formalin/PFA-fixed paraffin-embedded sections) - Anti-PELP1 antibody [EPR15212] - BSA and Azide free (AB250932)

This data was developed using ab187653, the same antibody clone in a different buffer formulation.

Immunohistochemical analysis of formalin fixed and paraffin embedded rat brain tissue labeling PELP1 with ab187653 at 1/100 dilution, counterstained with Hematoxylin.

Perform heat mediated antigen retrieval with citrate buffer pH 6 before commencing with IHC staining protocol.

Western blot - Anti-PELP1 antibody [EPR15212] - BSA and Azide free (AB250932)
  • WB

Supplier Data

Western blot - Anti-PELP1 antibody [EPR15212] - BSA and Azide free (AB250932)

This data was developed using ab187653, the same antibody clone in a different buffer formulation.

All lanes:

Western blot - Anti-PELP1 antibody [EPR15212] (<a href='/en-us/products/primary-antibodies/pelp1-antibody-epr15212-ab187653'>ab187653</a>) at 1/5000 dilution

Lane 1:

MCF-7 cell lysate at 10 µg

Lane 2:

293T cell lysate at 10 µg

Secondary

All lanes:

Goat Anti-Rabbit IgG, (H+L), Peroxidase conjugated at 1/1000 dilution

Predicted band size: 102 kDa,112 kDa,116 kDa,119 kDa,120 kDa,17 kDa,20 kDa,22 kDa,23 kDa,25 kDa,26 kDa,27 kDa,39 kDa,42 kDa,44 kDa,50 kDa,57 kDa,58 kDa,66 kDa,77 kDa,78 kDa

Observed band size: 78 kDa

true

Western blot - Anti-PELP1 antibody [EPR15212] - BSA and Azide free (AB250932)
  • WB

Supplier Data

Western blot - Anti-PELP1 antibody [EPR15212] - BSA and Azide free (AB250932)

This data was developed using ab187653, the same antibody clone in a different buffer formulation.

All lanes:

Western blot - Anti-PELP1 antibody [EPR15212] (<a href='/en-us/products/primary-antibodies/pelp1-antibody-epr15212-ab187653'>ab187653</a>) at 1/2000 dilution

All lanes:

MDA-MB-435 cell lysate at 10 µg

Secondary

All lanes:

Goat Anti-Rabbit IgG, (H+L), Peroxidase conjugated at 1/1000 dilution

Predicted band size: 120 kDa

true

Key facts

Host species

Rabbit

Clonality

Monoclonal

Clone number

EPR15212

Isotype

IgG

Carrier free

Yes

Reacts with

Rat, Human

Applications

WB, IHC-P

applications

Immunogen

The exact immunogen used to generate this antibody is proprietary information.

Reactivity data

{ "title": "Reactivity Data", "filters": { "stats": ["", "Species", "Dilution Info", "Notes"], "tabs": { "all-applications": {"fullname" : "All Applications", "shortname": "All Applications"}, "IHCP" : {"fullname" : "Immunohistochemistry (Formalin/PFA-fixed paraffin-embedded sections)", "shortname":"IHC-P"}, "WB" : {"fullname" : "Western blot", "shortname":"WB"} }, "product-promise": { "all": "all", "testedAndGuaranteed": "tested", "guaranteed": "expected", "predicted": "predicted", "notRecommended": "not-recommended" } }, "values": { "Human": { "IHCP-species-checked": "guaranteed", "IHCP-species-dilution-info": "", "IHCP-species-notes": "", "WB-species-checked": "testedAndGuaranteed", "WB-species-dilution-info": "", "WB-species-notes": "<p></p>" }, "Mouse": { "IHCP-species-checked": "predicted", "IHCP-species-dilution-info": "", "IHCP-species-notes": "", "WB-species-checked": "predicted", "WB-species-dilution-info": "", "WB-species-notes": "" }, "Rat": { "IHCP-species-checked": "testedAndGuaranteed", "IHCP-species-dilution-info": "", "IHCP-species-notes": "<p></p> Perform heat-mediated antigen retrieval with citrate buffer pH 6 before commencing with IHC staining protocol.", "WB-species-checked": "guaranteed", "WB-species-dilution-info": "", "WB-species-notes": "" } } }

Product details

ab250932 is the carrier-free version of ab187653.

Patented technology
Our RabMAb® technology is a patented hybridoma-based technology for making rabbit monoclonal antibodies. For details on our patents, please refer to RabMAb® patents.

What are the advantages of a recombinant monoclonal antibody?
This product is a recombinant monoclonal antibody, which offers several advantages including:

  • - High batch-to-batch consistency and reproducibility
  • - Improved sensitivity and specificity
  • - Long-term security of supply
  • - Animal-free batch production

For more information, read more on recombinant antibodies.

Conjugation ready
Our carrier-free antibodies are typically supplied in a PBS-only formulation, purified and free of BSA, sodium azide and glycerol. This conjugation-ready format is designed for use with fluorochromes, metal isotopes, oligonucleotides, and enzymes, which makes them ideal for antibody labelling, functional and cell-based assays, flow-based assays (e.g. mass cytometry) and Multiplex Imaging applications.

Use our conjugation kits for antibody conjugates that are ready-to-use in as little as 20 minutes with 1 minute hands-on-time and 100% antibody recovery: available for fluorescent dyes, HRP, biotin and gold.

Compatibility
This product is compatible with the Maxpar® Antibody Labeling Kit from Fluidigm, without the need for antibody preparation. Maxpar® is a trademark of Fluidigm Canada Inc.

Properties and storage information

Form
Liquid
Purification technique
Affinity purification Protein A
Storage buffer
pH: 7.2 - 7.4 Constituents: PBS
Shipped at conditions
Blue Ice
Appropriate short-term storage conditions
+4°C
Appropriate long-term storage conditions
+4°C
Storage information
Do Not Freeze

Supplementary information

This supplementary information is collated from multiple sources and compiled automatically.

The Proline Glutamic acid and Leucine-rich Protein 1 (PELP1) also known as Modulator of Nongenomic Activity of Estrogen Receptor (MNAR) plays a significant role in chromatin remodeling and transcriptional regulation. PELP1 has a molecular mass of approximately 160 kDa. It is broadly expressed in various tissues with particularly high levels in reproductive tissues and the brain. PELP1 participates in the recruitment of histone-modifying enzymes and acts as a scaffolding protein that interacts with several nuclear receptors and transcription factors.
Biological function summary

PELP1 acts within the nucleus and is central to gene expression regulation. It is an integral part of diverse protein complexes that engage in remodeling chromatin and modifying transcriptional activity. PELP1 interacts with estrogen receptors where it modulates both genomic and non-genomic signaling pathways affecting gene expression programs related to cell growth and differentiation. Additionally PELP1 associates with various other hormone receptors and transcription factors assisting in the intricate regulation of cell functions.

Pathways

Cellular growth and differentiation rely on the signaling roles that PELP1 performs. PELP1 is involved in the estrogen signaling pathway where it closely interacts with estrogen receptor alpha (ERα). This interaction links estrogen signaling to the cell cycle machinery and PI3K/AKT pathway influencing cell proliferation and survival. Another pathway in which PELP1 plays a critical role is the MAPK/ERK pathway where it cooperates with Src kinase highlighting its importance in cell signaling networks that regulate growth and differentiation.

PELP1 holds a strong association with hormone-driven cancers particularly breast and prostate cancers. In these contexts PELP1's interaction with estrogen and androgen receptors can dramatically alter tumor progression suggesting its role as an oncogene. Additionally aberrant expression and activity of PELP1 have implications in neurological disorders. In breast cancer PELP1 collaborates with ERα to drive estrogen-mediated growth whereas in prostate cancer it engages with androgen receptor (AR) promoting cell proliferation and resistance to therapy.

Product protocols

For this product, it's our understanding that no specific protocols are required. You can visit:

Target data

Coactivator of estrogen receptor-mediated transcription and a corepressor of other nuclear hormone receptors and sequence-specific transcription factors (PubMed : 14963108). Plays a role in estrogen receptor (ER) genomic activity when present in the nuclear compartment by activating the ER target genes in a hormonal stimulation dependent manner. Can facilitate ER non-genomic signaling via SRC and PI3K interaction in the cytosol. Plays a role in E2-mediated cell cycle progression by interacting with RB1. May have important functional implications in ER/growth factor cross-talk. Interacts with several growth factor signaling components including EGFR and HRS. Functions as the key stabilizing component of the Five Friends of Methylated CHTOP (5FMC) complex; the 5FMC complex is recruited to ZNF148 by methylated CHTOP, leading to desumoylation of ZNF148 and subsequent transactivation of ZNF148 target genes. Component of the PELP1 complex involved in the nucleolar steps of 28S rRNA maturation and the subsequent nucleoplasmic transit of the pre-60S ribosomal subunit. Regulates pre-60S association of the critical remodeling factor MDN1 (PubMed : 21326211). May promote tumorigenesis via its interaction with and modulation of several oncogenes including SRC, PI3K, STAT3 and EGFR. Plays a role in cancer cell metastasis via its ability to modulate E2-mediated cytoskeleton changes and cell migration via its interaction with SRC and PI3K.
See full target information PELP1

Publications (1)

Recent publications for all applications. Explore the full list and refine your search

Nature communications 14:3728 PubMed37349339

2023

NBEAL2 deficiency in humans leads to low CTLA-4 expression in activated conventional T cells.

Applications

Unspecified application

Species

Unspecified reactive species

Laure Delage,Francesco Carbone,Quentin Riller,Jean-Luc Zachayus,Erwan Kerbellec,Armelle Buzy,Marie-Claude Stolzenberg,Marine Luka,Camille de Cevins,Georges Kalouche,Rémi Favier,Alizée Michel,Sonia Meynier,Aurélien Corneau,Caroline Evrard,Nathalie Neveux,Sébastien Roudières,Brieuc P Pérot,Mathieu Fusaro,Christelle Lenoir,Olivier Pellé,Mélanie Parisot,Marc Bras,Sébastien Héritier,Guy Leverger,Anne-Sophie Korganow,Capucine Picard,Sylvain Latour,Bénédicte Collet,Alain Fischer,Bénédicte Neven,Aude Magérus,Mickaël Ménager,Benoit Pasquier,Frédéric Rieux-Laucat
View all publications

Product promise

We are committed to supporting your work with high-quality reagents, and we're here for you every step of the way. In the unlikely event that one of our products does not perform as expected, you're protected by our Product Promise.
For full details, please see our Terms & Conditions

Please note: All products are 'FOR RESEARCH USE ONLY. NOT FOR USE IN DIAGNOSTIC OR THERAPEUTIC PROCEDURES'.

For licensing inquiries, please contact partnerships@abcam.com