JavaScript is disabled in your browser. Please enable JavaScript to view this website.
AB200203

Anti-PELP1 antibody [EPR15213]

Be the first to review this product! Submit a review

|

(0 Publication)

Rabbit Recombinant Monoclonal PELP1 antibody. Suitable for WB, ICC/IF, Flow Cyt (Intra), IHC-P and reacts with Human samples.

View Alternative Names

HMX3, MNAR, PELP1, Modulator of non-genomic activity of estrogen receptor, Transcription factor HMX3

14 Images
Western blot - Anti-PELP1 antibody [EPR15213] (AB200203)
  • WB

Supplier Data

Western blot - Anti-PELP1 antibody [EPR15213] (AB200203)

Blocking/Dilution buffer : 5% NFDM/TBST.

The expression profile observed is consistent with what has been described in the literature PMID : 16141397

All lanes:

Western blot - Anti-PELP1 antibody [EPR15213] (ab200203) at 1/1000 dilution

All lanes:

HEK-293 (Human epithelial cells from embryonic kidney) cell lysate at 20 µg

Secondary

All lanes:

Goat Anti-Rabbit IgG, (H+L), Peroxidase conjugated at 1/1000 dilution

Predicted band size: 120 kDa

Observed band size: 160 kDa

false

Exposure time: 15s

Western blot - Anti-PELP1 antibody [EPR15213] (AB200203)
  • WB

Supplier Data

Western blot - Anti-PELP1 antibody [EPR15213] (AB200203)

Blocking/Dilution buffer : 5% NFDM/TBST.

The expression profile observed is consistent with what has been described in the literature PMID : 16141397

All lanes:

Western blot - Anti-PELP1 antibody [EPR15213] (ab200203) at 1/10000 dilution

All lanes:

HeLa (Human epithelial cells from cervix adenocarcinoma) cell lysate

Secondary

All lanes:

Goat Anti-Rabbit IgG, (H+L), Peroxidase conjugated at 1/1000 dilution

Predicted band size: 120 kDa

Observed band size: 160 kDa

false

Exposure time: 30s

Western blot - Anti-PELP1 antibody [EPR15213] (AB200203)
  • WB

Supplier Data

Western blot - Anti-PELP1 antibody [EPR15213] (AB200203)

Blocking/Dilution buffer : 5% NFDM/TBST.

The expression profile observed is consistent with what has been described in the literature PMID : 16141397

All lanes:

Western blot - Anti-PELP1 antibody [EPR15213] (ab200203) at 1/1000 dilution

All lanes:

Human fetal brain lysate at 20 µg

Secondary

All lanes:

Anti-Rabbit IgG (HRP), specific to the non-reduced form of IgG at 1/1000 dilution

Predicted band size: 120 kDa

Observed band size: 160 kDa

false

Exposure time: 3min

Western blot - Anti-PELP1 antibody [EPR15213] (AB200203)
  • WB

Supplier Data

Western blot - Anti-PELP1 antibody [EPR15213] (AB200203)

Blocking/Dilution buffer : 5% NFDM/TBST.

The expression profile observed is consistent with what has been described in the literature PMID : 16141397

All lanes:

Western blot - Anti-PELP1 antibody [EPR15213] (ab200203) at 1/20000 dilution

All lanes:

Human breast cancer lysate at 10 µg

Secondary

All lanes:

Anti-Rabbit IgG (HRP), specific to the non-reduced form of IgG at 1/1000 dilution

Predicted band size: 120 kDa

Observed band size: 160 kDa

false

Exposure time: 3min

Western blot - Anti-PELP1 antibody [EPR15213] (AB200203)
  • WB

Supplier Data

Western blot - Anti-PELP1 antibody [EPR15213] (AB200203)

Blocking/Dilution buffer : 5% NFDM/TBST.

The expression profile observed is consistent with what has been described in the literature PMID : 16141397

All lanes:

Western blot - Anti-PELP1 antibody [EPR15213] (ab200203) at 1/20000 dilution

Lane 1:

T-47D (Human ductal breast epithelial tumor cell line) cell lysate at 10 µg

Lane 2:

MCF7 (Human breast adenocarcinoma cell line) cell lysate at 10 µg

Secondary

All lanes:

Anti-Rabbit IgG (HRP), specific to the non-reduced form of IgG at 1/1000 dilution

Predicted band size: 120 kDa

Observed band size: 160 kDa

false

Exposure time: 10s

Immunohistochemistry (Formalin/PFA-fixed paraffin-embedded sections) - Anti-PELP1 antibody [EPR15213] (AB200203)
  • IHC-P

Supplier Data

Immunohistochemistry (Formalin/PFA-fixed paraffin-embedded sections) - Anti-PELP1 antibody [EPR15213] (AB200203)

Immunohistochemical analysis of paraffin-embedded Human cervix carcinoma tissue labeling PELP1 with ab200203 at 1/250 dilution followed by Goat Anti-Rabbit IgG H&L (HRP) (ab97051) at 1/500 dilution. Nuclear and weakly cytoplasm staining on Human cervix carcinoma tissue is observed. Counter stained with Hematoxylin.

Secondary antibody only control : Used PBS instead of primary antibody secondary antibody is Goat Anti-Rabbit IgG H&L (HRP) (ab97051) at 1/500 dilution.

Perform heat mediated antigen retrieval with Tris/EDTA buffer pH 9.0 before commencing with IHC staining protocol.

Immunohistochemistry (Formalin/PFA-fixed paraffin-embedded sections) - Anti-PELP1 antibody [EPR15213] (AB200203)
  • IHC-P

Supplier Data

Immunohistochemistry (Formalin/PFA-fixed paraffin-embedded sections) - Anti-PELP1 antibody [EPR15213] (AB200203)

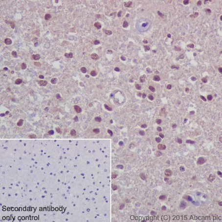
Immunohistochemical analysis of paraffin-embedded Human astrocytoma tissue labeling PELP1 with ab200203 at 1/250 dilution followed by Goat Anti-Rabbit IgG H&L (HRP) (ab97051) at 1/500 dilution. Nuclear and weakly cytoplasm staining on Human astrocytoma tissue is observed. Counter stained with Hematoxylin.

Secondary antibody only control : Used PBS instead of primary antibody secondary antibody is Goat Anti-Rabbit IgG H&L (HRP) (ab97051) at 1/500 dilution.

Perform heat mediated antigen retrieval with Tris/EDTA buffer pH 9.0 before commencing with IHC staining protocol.

Immunohistochemistry (Formalin/PFA-fixed paraffin-embedded sections) - Anti-PELP1 antibody [EPR15213] (AB200203)
  • IHC-P

Supplier Data

Immunohistochemistry (Formalin/PFA-fixed paraffin-embedded sections) - Anti-PELP1 antibody [EPR15213] (AB200203)

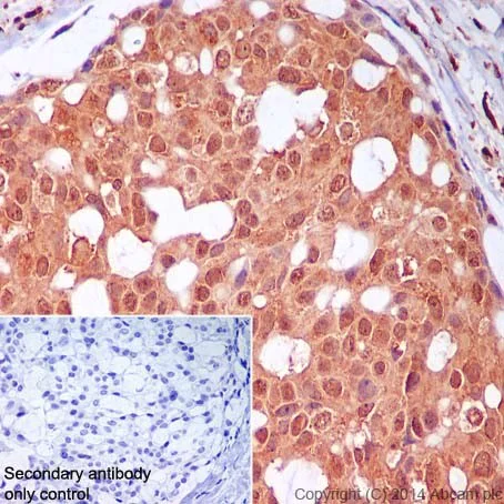
Immunohistochemical analysis of paraffin-embedded Human breast carcinoma tissue labeling PELP1 with ab200203 at 1/250 dilution followed by Goat Anti-Rabbit IgG H&L (HRP) (ab97051) at 1/500 dilution. Nuclear and cytoplasm staining on Human breast carcinoma tissue is observed. Counter stained with Hematoxylin.

Secondary antibody only control : Used PBS instead of primary antibody secondary antibody is Goat Anti-Rabbit IgG H&L (HRP) (ab97051) at 1/500 dilution.

Perform heat mediated antigen retrieval with Tris/EDTA buffer pH 9.0 before commencing with IHC staining protocol.

Immunohistochemistry (Formalin/PFA-fixed paraffin-embedded sections) - Anti-PELP1 antibody [EPR15213] (AB200203)
  • IHC-P

Supplier Data

Immunohistochemistry (Formalin/PFA-fixed paraffin-embedded sections) - Anti-PELP1 antibody [EPR15213] (AB200203)

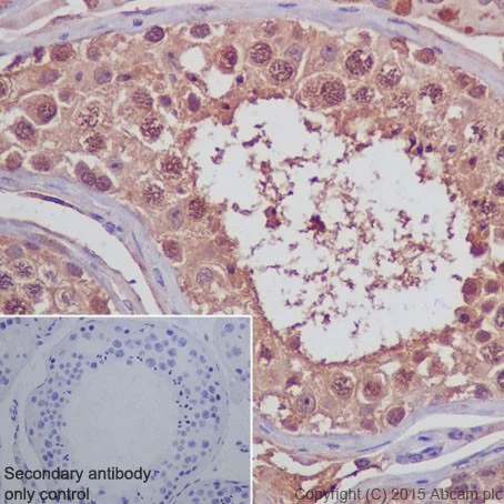
Immunohistochemical analysis of paraffin-embedded Human testis tissue labeling PELP1 with ab200203 at 1/250 dilution followed by Goat Anti-Rabbit IgG H&L (HRP) (ab97051) at 1/500 dilution. Nuclear and cytoplasm staining on Human testis tissue is observed. Counter stained with Hematoxylin.

Secondary antibody only control : Used PBS instead of primary antibody secondary antibody is Goat Anti-Rabbit IgG H&L (HRP) (ab97051) at 1/500 dilution.

Perform heat mediated antigen retrieval with Tris/EDTA buffer pH 9.0 before commencing with IHC staining protocol.

Immunohistochemistry (Formalin/PFA-fixed paraffin-embedded sections) - Anti-PELP1 antibody [EPR15213] (AB200203)
  • IHC-P

Supplier Data

Immunohistochemistry (Formalin/PFA-fixed paraffin-embedded sections) - Anti-PELP1 antibody [EPR15213] (AB200203)

Immunohistochemical analysis of paraffin-embedded Human liver tissue labeling PELP1 with ab200203 at 1/250 dilution followed by Goat Anti-Rabbit IgG H&L (HRP) (ab97051) at 1/500 dilution. Nuclear and cytoplasm staining on Human liver tissue is observed. Counter stained with Hematoxylin.

Secondary antibody only control : Used PBS instead of primary antibody secondary antibody is Goat Anti-Rabbit IgG H&L (HRP) (ab97051) at 1/500 dilution.

Perform heat mediated antigen retrieval with Tris/EDTA buffer pH 9.0 before commencing with IHC staining protocol.

Immunohistochemistry (Formalin/PFA-fixed paraffin-embedded sections) - Anti-PELP1 antibody [EPR15213] (AB200203)
  • IHC-P

Supplier Data

Immunohistochemistry (Formalin/PFA-fixed paraffin-embedded sections) - Anti-PELP1 antibody [EPR15213] (AB200203)

Immunohistochemical analysis of paraffin-embedded human kidney tissue labeling PELP1 with ab200203 at 1/250 dilution followed by Goat Anti-Rabbit IgG H&L (HRP) (ab97051) at 1/500 dilution. Nuclear and cytoplasm staining on Human kidney tissue is observed. Counter stained with Hematoxylin.

Secondary antibody only control : Used PBS instead of primary antibody secondary antibody is Goat Anti-Rabbit IgG H&L (HRP) (ab97051) at 1/500 dilution.

Perform heat mediated antigen retrieval with Tris/EDTA buffer pH 9.0 before commencing with IHC staining protocol.

Immunocytochemistry/ Immunofluorescence - Anti-PELP1 antibody [EPR15213] (AB200203)
  • ICC/IF

Supplier Data

Immunocytochemistry/ Immunofluorescence - Anti-PELP1 antibody [EPR15213] (AB200203)

Immunofluorescent analysis of 4% paraformaldehyde-fixed 0.1% Triton X-100 permeabilized HeLa (Human epithelial cells from cervix adenocarcinoma) cells labeling PELP1 with ab200203 at 1/250 dilution followed by Goat anti-rabbit IgG (Alexa Fluor® 488) (ab150077) secondary antibody at 1/500 dilution (green). Nuclear staining on HeLa cell line is observed. The nuclear counter stain is DAPI (blue). Tubulin is detected with ab7291 (anti-Tubulin mouse mAb) at 1/1000 dilution and ab150120 (AlexaFluor®594 Goat anti-Mouse secondary) at 1/500 dilution (red).

The negative controls are as follows :
-ve control 1 : ab200203 at 1/250 dilution followed by ab150120 (AlexaFluor®594 Goat anti-Mouse secondary) at 1/500 dilution.
-ve control 2 : ab7291 (anti-Tubulin mouse mAb) at 1/1000 dilution followed by ab150077 (Alexa Fluor®488 Goat Anti-Rabbit IgG H&L) at 1/500 dilution.

Immunocytochemistry/ Immunofluorescence - Anti-PELP1 antibody [EPR15213] (AB200203)
  • ICC/IF

Supplier Data

Immunocytochemistry/ Immunofluorescence - Anti-PELP1 antibody [EPR15213] (AB200203)

Immunofluorescent analysis of 4% paraformaldehyde-fixed 0.1% Triton X-100 permeabilized MCF7 (Human breast adenocarcinoma cell line) cells labeling PELP1 with ab200203 at 1/250 dilution followed by Goat anti-rabbit IgG (Alexa Fluor® 488) (ab150077) secondary antibody at 1/500 dilution (green). Nuclear and weakly cytoplasmic staining on MCF7 cell line is observed. The nuclear counter stain is DAPI (blue). Tubulin is detected with ab7291 (anti-Tubulin mouse mAb) at 1/1000 dilution and ab150120 (AlexaFluor®594 Goat anti-Mouse secondary) at 1/500 dilution (red).

The negative controls are as follows :
-ve control 1 : ab200203 at 1/250 dilution followed by ab150120 (AlexaFluor®594 Goat anti-Mouse secondary) at 1/500 dilution.
-ve control 2 : ab7291 (anti-Tubulin mouse mAb) at 1/1000 dilution followed by ab150077 (Alexa Fluor®488 Goat Anti-Rabbit IgG H&L) at 1/500 dilution.

Flow Cytometry (Intracellular) - Anti-PELP1 antibody [EPR15213] (AB200203)
  • Flow Cyt (Intra)

Supplier Data

Flow Cytometry (Intracellular) - Anti-PELP1 antibody [EPR15213] (AB200203)

Intracellular flow cytometric analysis of 2% paraformaldehyde-fixed HeLa (Human epithelial cells from cervix adenocarcinoma) cells labeling PELP1 with ab200203 at 1/300 dilution (red) compared with a rabbit monoclonal IgG isotype control (ab172730; black) and an unlabelled control (cells without incubation with primary antibody and secondary antibody; blue). Goat anti rabbit IgG (FITC) at 1/500 dilution was used as the secondary antibody.

  • Carrier free

    Anti-PELP1 antibody [EPR15213] - BSA and Azide free

Key facts

Host species

Rabbit

Clonality

Monoclonal

Clone number

EPR15213

Isotype

IgG

Carrier free

No

Reacts with

Human

Applications

ICC/IF, WB, Flow Cyt (Intra), IHC-P

applications

Immunogen

The exact immunogen used to generate this antibody is proprietary information.

Reactivity data

{ "title": "Reactivity Data", "filters": { "stats": ["", "Species", "Dilution Info", "Notes"], "tabs": { "all-applications": {"fullname" : "All Applications", "shortname": "All Applications"}, "WB" : {"fullname" : "Western blot", "shortname":"WB"}, "ICCIF" : {"fullname" : "Immunocytochemistry/ Immunofluorescence", "shortname":"ICC/IF"}, "FlowCytIntra" : {"fullname" : "Flow Cytometry (Intracellular)", "shortname":"Flow Cyt (Intra)"}, "IHCP" : {"fullname" : "Immunohistochemistry (Formalin/PFA-fixed paraffin-embedded sections)", "shortname":"IHC-P"} }, "product-promise": { "all": "all", "testedAndGuaranteed": "tested", "guaranteed": "expected", "predicted": "predicted", "notRecommended": "not-recommended" } }, "values": { "Human": { "WB-species-checked": "testedAndGuaranteed", "WB-species-dilution-info": "1/1000", "WB-species-notes": "<p></p> Perform heat-mediated antigen retrieval with Tris/EDTA buffer pH 9.0 before commencing with IHC staining protocol.", "ICCIF-species-checked": "testedAndGuaranteed", "ICCIF-species-dilution-info": "1/250", "ICCIF-species-notes": "<p></p>", "FlowCytIntra-species-checked": "testedAndGuaranteed", "FlowCytIntra-species-dilution-info": "1/300", "FlowCytIntra-species-notes": "<p></p>", "IHCP-species-checked": "testedAndGuaranteed", "IHCP-species-dilution-info": "1/250", "IHCP-species-notes": "<p></p> Perform heat-mediated antigen retrieval with Tris/EDTA buffer pH 9.0 before commencing with IHC staining protocol." } } }

Product details

Patented technology
Our RabMAb® technology is a patented hybridoma-based technology for making rabbit monoclonal antibodies. For details on our patents, please refer to RabMAb® patents.

What are the advantages of a recombinant monoclonal antibody?
This product is a recombinant monoclonal antibody, which offers several advantages including:

  • - High batch-to-batch consistency and reproducibility
  • - Improved sensitivity and specificity
  • - Long-term security of supply
  • - Animal-free batch production

For more information, read more on recombinant antibodies.

Properties and storage information

Form
Liquid
Purification technique
Affinity purification Protein A
Storage buffer
pH: 7.2 - 7.4 Preservative: 0.01% Sodium azide Constituents: 59% PBS, 40% Glycerol (glycerin, glycerine), 0.05% BSA
Shipped at conditions
Blue Ice
Appropriate short-term storage duration
1-2 weeks
Appropriate short-term storage conditions
+4°C
Appropriate long-term storage conditions
-20°C
Aliquoting information
Upon delivery aliquot
Storage information
Avoid freeze / thaw cycle

Supplementary information

This supplementary information is collated from multiple sources and compiled automatically.

The Proline Glutamic acid and Leucine-rich Protein 1 (PELP1) also known as Modulator of Nongenomic Activity of Estrogen Receptor (MNAR) plays a significant role in chromatin remodeling and transcriptional regulation. PELP1 has a molecular mass of approximately 160 kDa. It is broadly expressed in various tissues with particularly high levels in reproductive tissues and the brain. PELP1 participates in the recruitment of histone-modifying enzymes and acts as a scaffolding protein that interacts with several nuclear receptors and transcription factors.
Biological function summary

PELP1 acts within the nucleus and is central to gene expression regulation. It is an integral part of diverse protein complexes that engage in remodeling chromatin and modifying transcriptional activity. PELP1 interacts with estrogen receptors where it modulates both genomic and non-genomic signaling pathways affecting gene expression programs related to cell growth and differentiation. Additionally PELP1 associates with various other hormone receptors and transcription factors assisting in the intricate regulation of cell functions.

Pathways

Cellular growth and differentiation rely on the signaling roles that PELP1 performs. PELP1 is involved in the estrogen signaling pathway where it closely interacts with estrogen receptor alpha (ERα). This interaction links estrogen signaling to the cell cycle machinery and PI3K/AKT pathway influencing cell proliferation and survival. Another pathway in which PELP1 plays a critical role is the MAPK/ERK pathway where it cooperates with Src kinase highlighting its importance in cell signaling networks that regulate growth and differentiation.

PELP1 holds a strong association with hormone-driven cancers particularly breast and prostate cancers. In these contexts PELP1's interaction with estrogen and androgen receptors can dramatically alter tumor progression suggesting its role as an oncogene. Additionally aberrant expression and activity of PELP1 have implications in neurological disorders. In breast cancer PELP1 collaborates with ERα to drive estrogen-mediated growth whereas in prostate cancer it engages with androgen receptor (AR) promoting cell proliferation and resistance to therapy.

Product protocols

For this product, it's our understanding that no specific protocols are required. You can visit:

Target data

Coactivator of estrogen receptor-mediated transcription and a corepressor of other nuclear hormone receptors and sequence-specific transcription factors (PubMed : 14963108). Plays a role in estrogen receptor (ER) genomic activity when present in the nuclear compartment by activating the ER target genes in a hormonal stimulation dependent manner. Can facilitate ER non-genomic signaling via SRC and PI3K interaction in the cytosol. Plays a role in E2-mediated cell cycle progression by interacting with RB1. May have important functional implications in ER/growth factor cross-talk. Interacts with several growth factor signaling components including EGFR and HRS. Functions as the key stabilizing component of the Five Friends of Methylated CHTOP (5FMC) complex; the 5FMC complex is recruited to ZNF148 by methylated CHTOP, leading to desumoylation of ZNF148 and subsequent transactivation of ZNF148 target genes. Component of the PELP1 complex involved in the nucleolar steps of 28S rRNA maturation and the subsequent nucleoplasmic transit of the pre-60S ribosomal subunit. Regulates pre-60S association of the critical remodeling factor MDN1 (PubMed : 21326211). May promote tumorigenesis via its interaction with and modulation of several oncogenes including SRC, PI3K, STAT3 and EGFR. Plays a role in cancer cell metastasis via its ability to modulate E2-mediated cytoskeleton changes and cell migration via its interaction with SRC and PI3K.
See full target information PELP1

Product promise

We are committed to supporting your work with high-quality reagents, and we're here for you every step of the way. In the unlikely event that one of our products does not perform as expected, you're protected by our Product Promise.
For full details, please see our Terms & Conditions

Associated Products

Select an associated product type
Alternative Product
Primary Antibodies

AB187653

Anti-PELP1 antibody [EPR15212]

primary-antibodies

pelp1-antibody-epr15212-ab187653

0

(0 reviews)

Alternative Product
Primary Antibodies

AB270398

Anti-PELP1 antibody [EPR22863-99]

primary-antibodies

pelp1-antibody-epr22863-99-ab270398

0

(0 reviews)

Alternative Product
Primary Antibodies

AB270405

Anti-PELP1 antibody [EPR22863-99] - BSA and Azide free

primary-antibodies

pelp1-antibody-epr22863-99-bsa-and-azide-free-ab270405

0

(0 reviews)

Alternative Product
Primary Antibodies

AB256825

Anti-PELP1 antibody [EPR22864-62] - BSA and Azide free

primary-antibodies

pelp1-antibody-epr22864-62-bsa-and-azide-free-ab256825

0

(0 reviews)

Alternative Product
Primary Antibodies

AB256488

Anti-PELP1 antibody [EPR22864-62]

primary-antibodies

pelp1-antibody-epr22864-62-ab256488

0

(0 reviews)

Alternative Product
Primary Antibodies

AB84094

Anti-PELP1 antibody

primary-antibodies

pelp1-antibody-ab84094

0

(0 reviews)

Please note: All products are 'FOR RESEARCH USE ONLY. NOT FOR USE IN DIAGNOSTIC OR THERAPEUTIC PROCEDURES'.

For licensing inquiries, please contact partnerships@abcam.com