JavaScript is disabled in your browser. Please enable JavaScript to view this website.
AB256488

Anti-PELP1 antibody [EPR22864-62]

Be the first to review this product! Submit a review

|

(1 Publication)

Rabbit Recombinant Monoclonal PELP1 antibody. Suitable for WB, ICC/IF, Flow Cyt (Intra), IHC-P and reacts with Human samples. Cited in 1 publication.

View Alternative Names

HMX3, MNAR, PELP1, Modulator of non-genomic activity of estrogen receptor, Transcription factor HMX3

8 Images
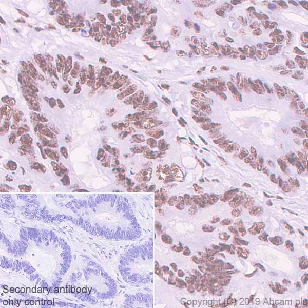
Immunohistochemistry (Formalin/PFA-fixed paraffin-embedded sections) - Anti-PELP1 antibody [EPR22864-62] (AB256488)
  • IHC-P

Unknown

Immunohistochemistry (Formalin/PFA-fixed paraffin-embedded sections) - Anti-PELP1 antibody [EPR22864-62] (AB256488)

Immunohistochemical analysis of paraffin-embedded human colon cancer tissue labeling PELP1 with ab256488 at 1/ 2000 dilution (0.24μg/ml) followed by a ready to use Rabbit specific IHC polymer detection kit HRP/DAB (ab209101). Positive staining in human colon cancer (PMID : 19478391) is observed. The section was incubated with ab256488 for 15 mins at room temperature. Counterstained with hematoxylin.

Secondary antibody only control : Secondary antibody is a ready to use Rabbit specific IHC polymer detection kit HRP/DAB (ab209101).

Heat mediated antigen retrieval with Tris-EDTA buffer (pH 9.0, epitope retrieval solution 2) for 20 mins.

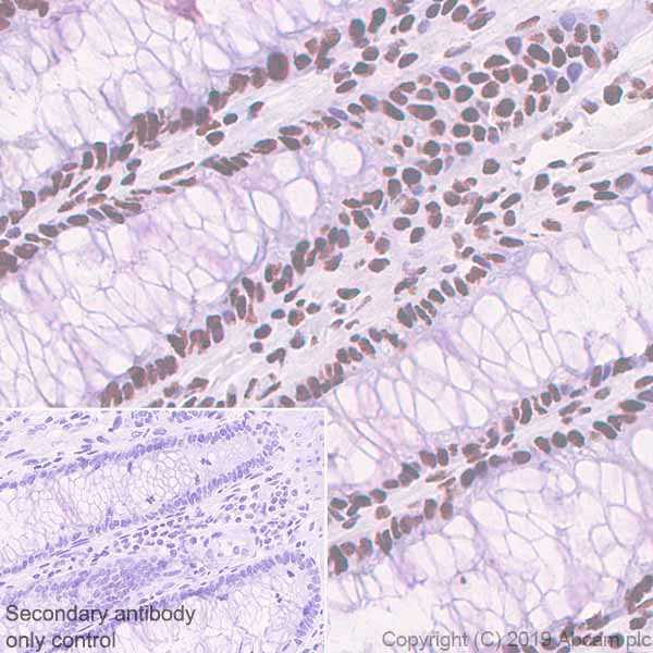
Immunohistochemistry (Formalin/PFA-fixed paraffin-embedded sections) - Anti-PELP1 antibody [EPR22864-62] (AB256488)
  • IHC-P

Unknown

Immunohistochemistry (Formalin/PFA-fixed paraffin-embedded sections) - Anti-PELP1 antibody [EPR22864-62] (AB256488)

Immunohistochemical analysis of paraffin-embedded human colon tissue labeling PELP1 with ab256488 at 1/ 2000 dilution (0.24μg/ml) followed by a ready to use Rabbit specific IHC polymer detection kit HRP/DAB (ab209101). Positive staining in human colon (PMID : 19478391) is observed. The section was incubated with ab256488 for 15 mins at room temperature. Counterstained with hematoxylin.

Secondary antibody only control : Secondary antibody is a ready to use Rabbit specific IHC polymer detection kit HRP/DAB (ab209101).

Heat mediated antigen retrieval with Tris-EDTA buffer (pH 9.0, epitope retrieval solution 2) for 20 mins.

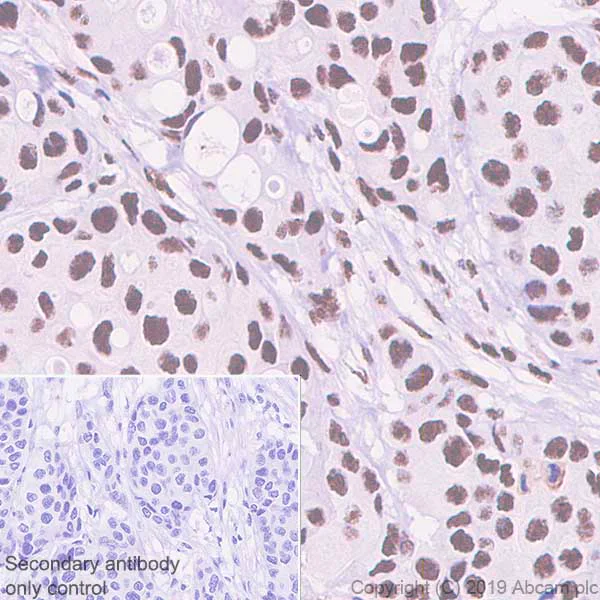
Immunohistochemistry (Formalin/PFA-fixed paraffin-embedded sections) - Anti-PELP1 antibody [EPR22864-62] (AB256488)
  • IHC-P

Unknown

Immunohistochemistry (Formalin/PFA-fixed paraffin-embedded sections) - Anti-PELP1 antibody [EPR22864-62] (AB256488)

Immunohistochemical analysis of paraffin-embedded human breast cancer tissue labeling PELP1 with ab256488 at 1/ 2000 dilution (0.24μg/ml) followed by a ready to use Rabbit specific IHC polymer detection kit HRP/DAB (ab209101). Positive staining in human breast cancer (PMID : 19495959) is observed. The section was incubated with ab256488 for 15 mins at room temperature. Counterstained with hematoxylin.

Secondary antibody only control : Secondary antibody is a ready to use Rabbit specific IHC polymer detection kit HRP/DAB (ab209101).

Heat mediated antigen retrieval with Tris-EDTA buffer (pH 9.0, epitope retrieval solution 2) for 20 mins.

Flow Cytometry (Intracellular) - Anti-PELP1 antibody [EPR22864-62] (AB256488)
  • Flow Cyt (Intra)

Unknown

Flow Cytometry (Intracellular) - Anti-PELP1 antibody [EPR22864-62] (AB256488)

Intracellular flow cytometric analysis of 4% paraformaldehyde fixed 90% methanol permeabilized MCF7 (Human breast adenocarcinoma epithelial cell) cells labeling PELP1 with ab256488 at 1/500 (Red) compared with a Rabbit monoclonal IgG (ab172730) / Black isotype control and an unlabeled control (cells without incubation with primary antibody and secondary antibody) (Blue). A Goat anti rabbit IgG (Alexa Fluor® 488, ab150077) at 1/2000 dilution was used as the secondary antibody.

Immunocytochemistry/ Immunofluorescence - Anti-PELP1 antibody [EPR22864-62] (AB256488)
  • ICC/IF

Unknown

Immunocytochemistry/ Immunofluorescence - Anti-PELP1 antibody [EPR22864-62] (AB256488)

Immunofluorescent analysis of 4% Paraformaldehyde-fixed, 0.1% Triton X-100 permeabilized HeLa (human cervix adenocarcinoma epithelial cell) cells labeling PELP1 with ab256488 at 1/2000 (0.2 μg/ml) dilution, followed by ab150077 AlexaFluor®488 Goat anti-Rabbit secondary antibody at 1/1000 (2 μg/ml) dilution (Green). Confocal image showing nuclear staining in HeLa cell line. ab195889 Anti-alpha Tubulin antibody [DM1A] - Microtubule Marker (Alexa Fluor® 594) was used to counterstain tubulin at 1/200 dilution (Red). The nuclear counterstain was DAPI (Blue).

Secondary antibody only control : Secondary antibody is ab150077 AlexaFluor®488 Goat anti-Rabbit secondary at 1/1000 (2 μg/ml) dilution.

Flow Cytometry (Intracellular) - Anti-PELP1 antibody [EPR22864-62] (AB256488)
  • Flow Cyt (Intra)

Unknown

Flow Cytometry (Intracellular) - Anti-PELP1 antibody [EPR22864-62] (AB256488)

Intracellular flow cytometric analysis of 4% paraformaldehyde fixed 90% methanol permeabilized HeLa (Human cervix adenocarcinoma epithelial cell) cells labeling PELP1 with ab256488 at 1/500 (Red) compared with a Rabbit monoclonal IgG (ab172730) / Black isotype control and an unlabeled control (cells without incubation with primary antibody and secondary antibody) (Blue). A Goat anti rabbit IgG (Alexa Fluor® 488, ab150077) at 1/2000 dilution was used as the secondary antibody.

Immunocytochemistry/ Immunofluorescence - Anti-PELP1 antibody [EPR22864-62] (AB256488)
  • ICC/IF

Unknown

Immunocytochemistry/ Immunofluorescence - Anti-PELP1 antibody [EPR22864-62] (AB256488)

Immunofluorescent analysis of 4% Paraformaldehyde-fixed, 0.1% Triton X-100 permeabilized MCF7 (Human breast adenocarcinoma epithelial cell) cells labeling PELP1 with ab256488 at 1/2000 (0.2 μg/ml) dilution, followed by ab150077 AlexaFluor®488 Goat anti-Rabbit secondary antibody at 1/1000 (2 μg/ml) dilution (Green). Confocal image showing nuclear staining in MCF7 cell line. ab195889 Anti-alpha Tubulin antibody [DM1A] - Microtubule Marker (Alexa Fluor® 594) was used to counterstain tubulin at 1/200 dilution (Red). The nuclear counterstain was DAPI (Blue).

Secondary antibody only control : Secondary antibody is ab150077 AlexaFluor®488 Goat anti-Rabbit secondary at 1/1000 (2 μg/ml) dilution.

Western blot - Anti-PELP1 antibody [EPR22864-62] (AB256488)
  • WB

Lab

Western blot - Anti-PELP1 antibody [EPR22864-62] (AB256488)

Blocking and Dilution Buffer and concentration : 5% NFDM/TBST. The expression molecular weight observed is consistent with what has been described in the literature (PMID : PMID : 11481323).

All lanes:

Western blot - Anti-PELP1 antibody [EPR22864-62] (ab256488) at 1/1000 dilution

Lane 1:

MCF7 (human breast adenocarcinoma epithelial cell), whole cell lysate at 20 µg

Lane 2:

HeLa (human cervix adenocarcinoma epithelial cell), whole cell lysate at 20 µg

Lane 3:

HEK-293 (human embryonic kidney epithelial cell), whole cell lysate at 20 µg

Secondary

All lanes:

Western blot - Goat Anti-Rabbit IgG H&L (HRP) (<a href='/en-us/products/secondary-antibodies/goat-rabbit-igg-h-l-hrp-ab97051'>ab97051</a>) at 1/100000 dilution

Predicted band size: 120 kDa

Observed band size: 160 kDa

false

Exposure time: 16s

  • Carrier free

    Anti-PELP1 antibody [EPR22864-62] - BSA and Azide free

Key facts

Host species

Rabbit

Clonality

Monoclonal

Clone number

EPR22864-62

Isotype

IgG

Carrier free

No

Reacts with

Human

Applications

Flow Cyt (Intra), ICC/IF, IHC-P, WB

applications

Immunogen

The exact immunogen used to generate this antibody is proprietary information.

Reactivity data

{ "title": "Reactivity Data", "filters": { "stats": ["", "Species", "Dilution Info", "Notes"], "tabs": { "all-applications": {"fullname" : "All Applications", "shortname": "All Applications"}, "IP" : {"fullname" : "Immunoprecipitation", "shortname":"IP"}, "WB" : {"fullname" : "Western blot", "shortname":"WB"}, "ICCIF" : {"fullname" : "Immunocytochemistry/ Immunofluorescence", "shortname":"ICC/IF"}, "FlowCytIntra" : {"fullname" : "Flow Cytometry (Intracellular)", "shortname":"Flow Cyt (Intra)"}, "IHCP" : {"fullname" : "Immunohistochemistry (Formalin/PFA-fixed paraffin-embedded sections)", "shortname":"IHC-P"} }, "product-promise": { "all": "all", "testedAndGuaranteed": "tested", "guaranteed": "expected", "predicted": "predicted", "notRecommended": "not-recommended" } }, "values": { "Human": { "IP-species-checked": "notRecommended", "IP-species-dilution-info": "", "IP-species-notes": "<p></p>", "WB-species-checked": "testedAndGuaranteed", "WB-species-dilution-info": "1/1000", "WB-species-notes": "<p></p>", "ICCIF-species-checked": "testedAndGuaranteed", "ICCIF-species-dilution-info": "1/2000", "ICCIF-species-notes": "<p></p>", "FlowCytIntra-species-checked": "testedAndGuaranteed", "FlowCytIntra-species-dilution-info": "1/500", "FlowCytIntra-species-notes": "<p></p>", "IHCP-species-checked": "testedAndGuaranteed", "IHCP-species-dilution-info": "1/2000", "IHCP-species-notes": "<p></p> Perform heat-mediated antigen retrieval with Tris/EDTA buffer pH 9.0 before commencing with IHC staining protocol." } } }

Product details

Patented technology
Our RabMAb® technology is a patented hybridoma-based technology for making rabbit monoclonal antibodies. For details on our patents, please refer to RabMAb® patents.

What are the advantages of a recombinant monoclonal antibody?
This product is a recombinant monoclonal antibody, which offers several advantages including:

  • - High batch-to-batch consistency and reproducibility
  • - Improved sensitivity and specificity
  • - Long-term security of supply
  • - Animal-free batch production

For more information, read more on recombinant antibodies.

Properties and storage information

Form
Liquid
Purification technique
Affinity purification Protein A
Storage buffer
pH: 7.2 - 7.4 Preservative: 0.01% Sodium azide Constituents: PBS, 40% Glycerol (glycerin, glycerine), 0.05% BSA
Shipped at conditions
Blue Ice
Appropriate short-term storage duration
1-2 weeks
Appropriate short-term storage conditions
+4°C
Appropriate long-term storage conditions
-20°C
Aliquoting information
Upon delivery aliquot
Storage information
Avoid freeze / thaw cycle

Supplementary information

This supplementary information is collated from multiple sources and compiled automatically.

The Proline Glutamic acid and Leucine-rich Protein 1 (PELP1) also known as Modulator of Nongenomic Activity of Estrogen Receptor (MNAR) plays a significant role in chromatin remodeling and transcriptional regulation. PELP1 has a molecular mass of approximately 160 kDa. It is broadly expressed in various tissues with particularly high levels in reproductive tissues and the brain. PELP1 participates in the recruitment of histone-modifying enzymes and acts as a scaffolding protein that interacts with several nuclear receptors and transcription factors.
Biological function summary

PELP1 acts within the nucleus and is central to gene expression regulation. It is an integral part of diverse protein complexes that engage in remodeling chromatin and modifying transcriptional activity. PELP1 interacts with estrogen receptors where it modulates both genomic and non-genomic signaling pathways affecting gene expression programs related to cell growth and differentiation. Additionally PELP1 associates with various other hormone receptors and transcription factors assisting in the intricate regulation of cell functions.

Pathways

Cellular growth and differentiation rely on the signaling roles that PELP1 performs. PELP1 is involved in the estrogen signaling pathway where it closely interacts with estrogen receptor alpha (ERα). This interaction links estrogen signaling to the cell cycle machinery and PI3K/AKT pathway influencing cell proliferation and survival. Another pathway in which PELP1 plays a critical role is the MAPK/ERK pathway where it cooperates with Src kinase highlighting its importance in cell signaling networks that regulate growth and differentiation.

PELP1 holds a strong association with hormone-driven cancers particularly breast and prostate cancers. In these contexts PELP1's interaction with estrogen and androgen receptors can dramatically alter tumor progression suggesting its role as an oncogene. Additionally aberrant expression and activity of PELP1 have implications in neurological disorders. In breast cancer PELP1 collaborates with ERα to drive estrogen-mediated growth whereas in prostate cancer it engages with androgen receptor (AR) promoting cell proliferation and resistance to therapy.

Product protocols

For this product, it's our understanding that no specific protocols are required. You can visit:

Target data

Coactivator of estrogen receptor-mediated transcription and a corepressor of other nuclear hormone receptors and sequence-specific transcription factors (PubMed : 14963108). Plays a role in estrogen receptor (ER) genomic activity when present in the nuclear compartment by activating the ER target genes in a hormonal stimulation dependent manner. Can facilitate ER non-genomic signaling via SRC and PI3K interaction in the cytosol. Plays a role in E2-mediated cell cycle progression by interacting with RB1. May have important functional implications in ER/growth factor cross-talk. Interacts with several growth factor signaling components including EGFR and HRS. Functions as the key stabilizing component of the Five Friends of Methylated CHTOP (5FMC) complex; the 5FMC complex is recruited to ZNF148 by methylated CHTOP, leading to desumoylation of ZNF148 and subsequent transactivation of ZNF148 target genes. Component of the PELP1 complex involved in the nucleolar steps of 28S rRNA maturation and the subsequent nucleoplasmic transit of the pre-60S ribosomal subunit. Regulates pre-60S association of the critical remodeling factor MDN1 (PubMed : 21326211). May promote tumorigenesis via its interaction with and modulation of several oncogenes including SRC, PI3K, STAT3 and EGFR. Plays a role in cancer cell metastasis via its ability to modulate E2-mediated cytoskeleton changes and cell migration via its interaction with SRC and PI3K.
See full target information PELP1

Publications (1)

Recent publications for all applications. Explore the full list and refine your search

Cell reports 44:116031 PubMed40690364

2025

PPM1M, an LRRK2-counteracting, phosphoRab12-preferring phosphatase with a potential link to Parkinson's disease.

Applications

Unspecified application

Species

Unspecified reactive species

Claire Y Chiang,Neringa Pratuseviciute,Yu-En Lin,Ayan Adhikari,Wondwossen M Yeshaw,Chloe Flitton,Pemba L Sherpa,Francesca Tonelli,Irena Rektorova,Timothy Lynch,Joanna Siuda,Monika Rudzińska-Bar,Oleksandr Pulyk,Peter Bauer,Christian Beetz,Dennis W Dickson,Owen A Ross,Zbigniew K Wszolek,Zih-Hua Fang,Christine Klein,Alexander Zimprich,Dario R Alessi,Esther M Sammler,Suzanne R Pfeffer
View all publications

Product promise

We are committed to supporting your work with high-quality reagents, and we're here for you every step of the way. In the unlikely event that one of our products does not perform as expected, you're protected by our Product Promise.
For full details, please see our Terms & Conditions

Please note: All products are 'FOR RESEARCH USE ONLY. NOT FOR USE IN DIAGNOSTIC OR THERAPEUTIC PROCEDURES'.

For licensing inquiries, please contact partnerships@abcam.com