JavaScript is disabled in your browser. Please enable JavaScript to view this website.
AB325639

Anti-Pentraxin 3/PTX3 antibody [EPR30744-540]

  • RabMAb
  • Recombinant
  • 20ul selling size
  • Advanced Validation
  • What is this?

Be the first to review this product! Submit a review

|

(0 Publication)

Rabbit Recombinant Monoclonal Pentraxin 3/PTX3 antibody. Suitable for IHC-P, WB, mIHC and reacts with Transfected cell line - Human, Mouse samples.

View Alternative Names

Tsg14, Ptx3, Pentraxin-related protein PTX3, Pentaxin-related protein PTX3, Tumor necrosis factor-inducible gene 14 protein, TSG-14

8 Images
Immunohistochemistry (Formalin/PFA-fixed paraffin-embedded sections) - Anti-Pentraxin 3/PTX3 antibody [EPR30744-540] (AB325639)
  • IHC-P

Lab

Immunohistochemistry (Formalin/PFA-fixed paraffin-embedded sections) - Anti-Pentraxin 3/PTX3 antibody [EPR30744-540] (AB325639)

Immunohistochemical analysis of paraffin-embedded (A) HEK-293T (human epithelial cell line from embryonic kidney) transfected with a human PTX3 expression vector containing a Myc-His tag and (B) HEK-293T transfected with empty vector containing a Myc-His tag tissue labeling Pentraxin 3/PTX3 with ab325639 at 1/2000 (0.254 µg/ml) dilution, followed by a ready to use LeicaDS9800 (Bond™ Polymer Refine Detection).

Positive staining on (A) HEK-293T transfected with a human PTX3 expression vector containing a Myc-His tag, no staining on (B) HEK-293T transfected with empty vector containing a Myc-His tag. The primary antibody was incubated for 30 mins at room temperature.

The immunostaining was performed on a Leica Biosystems BOND® RX instrument

Counterstained with Hematoxylin.

Secondary antibody only control : Secondary antibody is a ready to use LeicaDS9800 (Bond™ Polymer Refine Detection).

Heat mediated antigen retrieval was performed with Tris-EDTA buffer (pH 9.0, Epitope Retrieval Solution2) for 20 mins

Immunohistochemistry (Formalin/PFA-fixed paraffin-embedded sections) - Anti-Pentraxin 3/PTX3 antibody [EPR30744-540] (AB325639)
  • IHC-P

Lab

Immunohistochemistry (Formalin/PFA-fixed paraffin-embedded sections) - Anti-Pentraxin 3/PTX3 antibody [EPR30744-540] (AB325639)

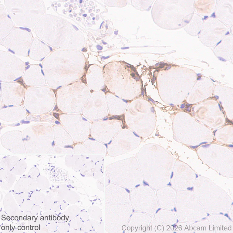
Immunohistochemical analysis of paraffin-embedded Mouse skeletal muscle tissue labeling Pentraxin 3/PTX3 with ab325639 at 1/100 (5.07 µg/ml) dilution, followed by a ready to use LeicaDS9800 (Bond™ Polymer Refine Detection).

Positive staining on stroma of mouse skeletal muscle (PMID : 27900389). The primary antibody was incubated for 30 mins at room temperature.

The immunostaining was performed on a Leica Biosystems BOND® RX instrument

Counterstained with Hematoxylin.

Secondary antibody only control : Secondary antibody is a ready to use LeicaDS9800 (Bond™ Polymer Refine Detection).

Heat mediated antigen retrieval was performed with Tris-EDTA buffer (pH 9.0, Epitope Retrieval Solution2) for 20 mins

Immunohistochemistry (Formalin/PFA-fixed paraffin-embedded sections) - Anti-Pentraxin 3/PTX3 antibody [EPR30744-540] (AB325639)
  • IHC-P

Lab

Immunohistochemistry (Formalin/PFA-fixed paraffin-embedded sections) - Anti-Pentraxin 3/PTX3 antibody [EPR30744-540] (AB325639)

Immunohistochemical analysis of paraffin-embedded Mouse cardiac muscle tissue labeling Pentraxin 3/PTX3 with ab325639 at 1/100 (5.07 µg/ml) dilution, followed by a ready to use LeicaDS9800 (Bond™ Polymer Refine Detection).

Positive staining on stroma of mouse cardiac muscle (PMID : 31209269; PMID : 23372656). The primary antibody was incubated for 30 mins at room temperature.

The immunostaining was performed on a Leica Biosystems BOND® RX instrument

Counterstained with Hematoxylin.

Secondary antibody only control : Secondary antibody is a ready to use LeicaDS9800 (Bond™ Polymer Refine Detection).

Heat mediated antigen retrieval was performed with Tris-EDTA buffer (pH 9.0, Epitope Retrieval Solution2) for 20 mins

Immunohistochemistry (Formalin/PFA-fixed paraffin-embedded sections) - Anti-Pentraxin 3/PTX3 antibody [EPR30744-540] (AB325639)
  • IHC-P

Lab

Immunohistochemistry (Formalin/PFA-fixed paraffin-embedded sections) - Anti-Pentraxin 3/PTX3 antibody [EPR30744-540] (AB325639)

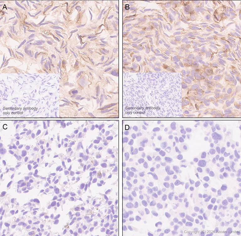
Immunohistochemical analysis of paraffin-embedded (A) 3T3-L1 (mouse embryonic fibroblast) cell pellet (B) NIH/3T3 (mouse embryonic fibroblast) cell pellet (C) B16-F10 (mouse skin melanoma cell) cell pellet (D) Neuro-2a (mouse neuroblastoma cell) cell pellet labeling Pentraxin 3/PTX3 with ab325639 at 1/100 (5.07 µg/ml) dilution, followed by a ready to use LeicaDS9800 (Bond™ Polymer Refine Detection).

Positive staining on (A) 3T3-L1 cell pellet, (B) NIH/3T3 cell pellet, no staining on (C) B16-F10 cell pellet, (D) Neuro-2a cell pellet. The primary antibody was incubated for 30 mins at room temperature.

The immunostaining was performed on a Leica Biosystems BOND® RX instrument

Counterstained with Hematoxylin.

Secondary antibody only control : Secondary antibody is a ready to use LeicaDS9800 (Bond™ Polymer Refine Detection).

Heat mediated antigen retrieval was performed with Tris-EDTA buffer (pH 9.0, Epitope Retrieval Solution2) for 20 mins

Multiplex immunohistochemistry - Anti-Pentraxin 3/PTX3 antibody [EPR30744-540] (AB325639)
  • mIHC

Lab

Multiplex immunohistochemistry - Anti-Pentraxin 3/PTX3 antibody [EPR30744-540] (AB325639)

Multiplex immunohistochemistry analysis of formalin/PFA-fixed paraffin-embedded mouse lung treated with lps (1ug/ml 16h)+bfa (1ug/ml 16h) (+) ex vivo tissue staining Pentraxin 3/PTX3 with ab325639 at a 1 : 100 (5.07 µg/ml) dilution, ab283654 anti-CD68 used at 1 : 100 (4.15 µg/ml) dilution.

Panel A : merged staining of anti-Pentraxin 3 (green; Opal™520), anti-E CD68 (magenta; Opal™570) on mouse lung treated with LPS (1ug/ml 16h)+BFA (1ug/ml 16h) ex vivo.
Panel B : anti-Pentraxin 3 staining stroma cells in mouse lung treated with LPS (1ug/ml 16h)+BFA (1ug/ml 16h) ex vivo.
Panel C : anti-CD68 staining macrophages in mouse lung treated with LPS (1ug/ml 16h)+BFA (1ug/ml 16h) ex vivo.
Panel D : Nuclear DNA was labeled with DAPI (shown in blue).

The section was incubated in three rounds of staining : in the order of ab325639 and ab283654 for 30 mins at room temperature. Each round was followed by a separate fluorescent tyramide signal amplification system.

The immunostaining was performed on a Leica Biosystems BOND® RX instrument with an Opal™ 4-color kit. Image acquisition was performed with Leica SP8 confocal microscope.

Nuclear counter stain with DAPI.

Heat mediated antigen retrieval with Tris-EDTA buffer (pH 9.0, epitope retrieval solution2) for 20 mins.

Western blot - Anti-Pentraxin 3/PTX3 antibody [EPR30744-540] (AB325639)
  • WB

Lab

Western blot - Anti-Pentraxin 3/PTX3 antibody [EPR30744-540] (AB325639)

Blocking and diluting buffer and concentration : 5% NFDM/TBST.

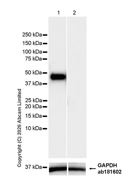
Low expression : B16-F10.

In Western blot, Anti-GAPDH antibody [EPR16891] - Loading Control (ab181602) (1 : 200000) (36KDa).

All lanes:

Western blot - Anti-Pentraxin 3/PTX3 antibody [EPR30744-540] (ab325639)

Lane 1:

NIH/3T3 (mouse embryonic fibroblast) whole cell lysate at 20 µg

Lane 2:

B16-F10 (mouse skin melanoma cell) whole cell lysate at 20 µg

Secondary

All lanes:

Western blot - Goat Anti-Rabbit IgG H&L (HRP) (<a href='/en-us/products/secondary-antibodies/goat-rabbit-igg-h-l-hrp-ab97051'>ab97051</a>) at 1/20000 dilution

Observed band size: 42 kDa,36 kDa

false

Exposure time: 15s

Western blot - Anti-Pentraxin 3/PTX3 antibody [EPR30744-540] (AB325639)
  • WB

Lab

Western blot - Anti-Pentraxin 3/PTX3 antibody [EPR30744-540] (AB325639)

Blocking and diluting buffer and concentration : 5% NFDM/TBST.

Low expression : Neuro-2a.

In Western blot, Anti-GAPDH antibody [EPR16891] - Loading Control (ab181602) (1 : 200000) (36KDa).

All lanes:

Western blot - Anti-Pentraxin 3/PTX3 antibody [EPR30744-540] (ab325639)

Lane 1:

3T3-L1 (mouse embryonic fibroblast) whole cell lysate at 50 µg

Lane 2:

Neuro-2a (mouse neuroblastoma neuroblast) whole cell lysate at 50 µg

Secondary

All lanes:

Western blot - Goat Anti-Rabbit IgG H&L (HRP) (<a href='/en-us/products/secondary-antibodies/goat-rabbit-igg-h-l-hrp-ab97051'>ab97051</a>) at 1/20000 dilution

Observed band size: 42 kDa,36 kDa

false

Exposure time: 6s

Western blot - Anti-Pentraxin 3/PTX3 antibody [EPR30744-540] (AB325639)
  • WB

Lab

Western blot - Anti-Pentraxin 3/PTX3 antibody [EPR30744-540] (AB325639)

Blocking and diluting buffer and concentration : 5% NFDM/TBST.

In Western blot, Anti-GAPDH antibody [EPR16891] - Loading Control (ab181602) (1 : 200000) (36KDa).

All lanes:

Western blot - Anti-Pentraxin 3/PTX3 antibody [EPR30744-540] (ab325639)

All lanes:

Mouse skeletal muscle tissue lysate at 50 µg

Secondary

All lanes:

Western blot - Goat Anti-Rabbit IgG H&L (HRP) (<a href='/en-us/products/secondary-antibodies/goat-rabbit-igg-h-l-hrp-ab97051'>ab97051</a>) at 1/20000 dilution

Observed band size: 42 kDa,36 kDa

false

Exposure time: 180s

Key facts

Host species

Rabbit

Clonality

Monoclonal

Isotype

IgG

Carrier free

No

Reacts with

Mouse

Applications

IHC-P, mIHC, WB

applications

Reactivity data

{ "title": "Reactivity Data", "filters": { "stats": ["", "Species", "Dilution Info", "Notes"], "tabs": { "all-applications": {"fullname" : "All Applications", "shortname": "All Applications"}, "IHCP" : {"fullname" : "Immunohistochemistry (Formalin/PFA-fixed paraffin-embedded sections)", "shortname":"IHC-P"}, "WB" : {"fullname" : "Western blot", "shortname":"WB"}, "mIHC" : {"fullname" : "Multiplex immunohistochemistry", "shortname":"mIHC"} }, "product-promise": { "all": "all", "testedAndGuaranteed": "tested", "guaranteed": "expected", "predicted": "predicted", "notRecommended": "not-recommended" } }, "values": { "Human": { "IHCP-species-checked": "notRecommended", "IHCP-species-dilution-info": "", "IHCP-species-notes": "<p></p>", "WB-species-checked": "notRecommended", "WB-species-dilution-info": "", "WB-species-notes": "", "mIHC-species-checked": "notRecommended", "mIHC-species-dilution-info": "", "mIHC-species-notes": "" }, "Mouse": { "IHCP-species-checked": "testedAndGuaranteed", "IHCP-species-dilution-info": "1/100", "IHCP-species-notes": "<p></p> Perform heat-mediated antigen retrieval with Tris/EDTA buffer pH 9.0 before commencing with IHC staining protocol.", "WB-species-checked": "testedAndGuaranteed", "WB-species-dilution-info": "1/1000", "WB-species-notes": "<p></p>", "mIHC-species-checked": "testedAndGuaranteed", "mIHC-species-dilution-info": "1/100", "mIHC-species-notes": "<p></p> Perform heat-mediated antigen retrieval with Tris/EDTA buffer pH 9.0 before commencing with IHC staining protocol." }, "Transfected cell line - Human": { "IHCP-species-checked": "testedAndGuaranteed", "IHCP-species-dilution-info": "1/2000", "IHCP-species-notes": "<p></p> Perform heat-mediated antigen retrieval with Tris/EDTA buffer pH 9.0 before commencing with IHC staining protocol.", "WB-species-checked": "notRecommended", "WB-species-dilution-info": "", "WB-species-notes": "", "mIHC-species-checked": "notRecommended", "mIHC-species-dilution-info": "", "mIHC-species-notes": "" } } }

Product details

Patented technology
Our RabMAb® technology is a patented hybridoma-based technology for making rabbit monoclonal antibodies. For details on our patents, please refer to RabMAb® patents.

What are the advantages of a recombinant monoclonal antibody?
This product is a recombinant monoclonal antibody, which offers several advantages including:

  • - High batch-to-batch consistency and reproducibility
  • - Improved sensitivity and specificity
  • - Long-term security of supply
  • - Animal-free batch production

For more information, read more on recombinant antibodies.

Properties and storage information

Form
Liquid
Purification technique
Affinity purification Protein A
Storage buffer
pH: 7.2 - 7.4 Preservative: 0.01% Sodium azide Constituents: PBS, 40% Glycerol (glycerin, glycerine), 0.05% BSA
Shipped at conditions
Blue Ice
Appropriate short-term storage duration
1-2 weeks
Appropriate short-term storage conditions
+4°C
Appropriate long-term storage conditions
-20°C
Aliquoting information
Upon delivery aliquot
Storage information
Avoid freeze / thaw cycle

Product protocols

For this product, it's our understanding that no specific protocols are required. You can visit:

Target data

Plays a role in the regulation of innate resistance to pathogens, inflammatory reactions, possibly clearance of self-components and female fertility.
See full target information Ptx3

Product promise

We are committed to supporting your work with high-quality reagents, and we're here for you every step of the way. In the unlikely event that one of our products does not perform as expected, you're protected by our Product Promise.
For full details, please see our Terms & Conditions

Please note: All products are 'FOR RESEARCH USE ONLY. NOT FOR USE IN DIAGNOSTIC OR THERAPEUTIC PROCEDURES'.

For licensing inquiries, please contact partnerships@abcam.com