JavaScript is disabled in your browser. Please enable JavaScript to view this website.
AB259997

Anti-Pepsinogen II/PGC antibody [EPR22843-269] - BSA and Azide free

Be the first to review this product! Submit a review

|

(1 Publication)

Rabbit Recombinant Monoclonal Pepsinogen II/PGC antibody. Carrier free. Suitable for WB, IHC-P, IHC-Fr and reacts with Recombinant full length protein - Human, Mouse, Rat, Human samples. Cited in 1 publication.

View Alternative Names

Gastricsin, Pepsinogen C, PGC

5 Images
Immunohistochemistry (Frozen sections) - Anti-Pepsinogen II/PGC antibody [EPR22843-269] - BSA and Azide free (AB259997)
  • IHC-Fr

Unknown

Immunohistochemistry (Frozen sections) - Anti-Pepsinogen II/PGC antibody [EPR22843-269] - BSA and Azide free (AB259997)

Immunohistochemical analysis of frozen section of 4% PFA-fixed, 0.2% Triton X-100 permeabilized rat stomach tissue labeling Annexin-4/ANXA4 with ab255826 at 1/500 dilution, followed by ab150077 AlexaFluor®488 Goat anti-Rabbit secondary at 1/1000 dilution (green). Positive staining on rat gastric mucosa (PMID : 10883891) is observed. The nuclear counter stain is DAPI (blue).
Secondary antibody only control : Used PBS instead of primary antibody, secondary antibody is ab150077 AlexaFluor®488 Goat anti-Rabbit secondary at 1/1000 dilution.

Heat mediated antigen retrieval using sodium citrate buffer (10mM citrate pH 6.0 + 0.05% Tween-20).

This data was developed using the same antibody clone in a different buffer formulation containing PBS, BSA, glycerol, and sodium azide (ab255826).

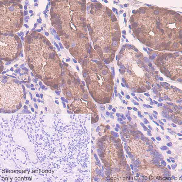
Immunohistochemistry (Formalin/PFA-fixed paraffin-embedded sections) - Anti-Pepsinogen II/PGC antibody [EPR22843-269] - BSA and Azide free (AB259997)
  • IHC-P

Unknown

Immunohistochemistry (Formalin/PFA-fixed paraffin-embedded sections) - Anti-Pepsinogen II/PGC antibody [EPR22843-269] - BSA and Azide free (AB259997)

Immunohistochemical analysis of paraffin-embedded Mouse stomach tissue labeling Pepsinogen II/PGC with ab255826 at 1/5000 dilution (0.129 ug/ml) followed by a ready to use Rabbit specific IHC polymer detection kit HRP/DAB (ab209101). Positive staining on mouse stomach. The section was incubated with ab255826 for 10 mins at RT. The immunostaining staining was performed on a Leica Biosystems BOND® RX instrument. Counterstained with Hematoxylin.

Secondary antibody only control/ Secondary antibody is a ready to use Rabbit specific IHC polymer detection kit HRP/DAB (ab209101).

Heat mediated antigen retrieval with citrate buffer (pH 6.0, epitope retrieval solution 1) for 20 mins.

This data was developed using the same antibody clone in a different buffer formulation containing PBS, BSA, glycerol, and sodium azide (ab255826).

Immunohistochemistry (Frozen sections) - Anti-Pepsinogen II/PGC antibody [EPR22843-269] - BSA and Azide free (AB259997)
  • IHC-Fr

Unknown

Immunohistochemistry (Frozen sections) - Anti-Pepsinogen II/PGC antibody [EPR22843-269] - BSA and Azide free (AB259997)

Immunohistochemical analysis of frozen section of 4% PFA-fixed, 0.2% Triton X-100 permeabilized mouse stomach tissue labeling Annexin-4/ANXA4 with ab255826 at 1/500 dilution, followed by ab150077 AlexaFluor®488 Goat anti-Rabbit secondary at 1/1000 dilution (green). Positive staining on mouse gastric mucosa (PMID : 10883891) is observed. The nuclear counter stain is DAPI (blue).
Secondary antibody only control : Used PBS instead of primary antibody, secondary antibody is ab150077 AlexaFluor®488 Goat anti-Rabbit secondary at 1/1000 dilution.

Heat mediated antigen retrieval using sodium citrate buffer (10mM citrate pH 6.0 + 0.05% Tween-20).

This data was developed using the same antibody clone in a different buffer formulation containing PBS, BSA, glycerol, and sodium azide (ab255826).

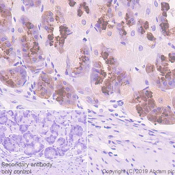
Immunohistochemistry (Formalin/PFA-fixed paraffin-embedded sections) - Anti-Pepsinogen II/PGC antibody [EPR22843-269] - BSA and Azide free (AB259997)
  • IHC-P

Unknown

Immunohistochemistry (Formalin/PFA-fixed paraffin-embedded sections) - Anti-Pepsinogen II/PGC antibody [EPR22843-269] - BSA and Azide free (AB259997)

Immunohistochemical analysis of paraffin-embedded Rat stomach tissue labeling Pepsinogen II/PGC with ab255826 at 1/5000 dilution (0.129 ug/ml) followed by a ready to use Rabbit specific IHC polymer detection kit HRP/DAB (ab209101). Positive staining on rat stomach. The section was incubated with ab255826 for 10 mins at RT. The immunostaining staining was performed on a Leica Biosystems BOND® RX instrument. Counterstained with Hematoxylin.

Secondary antibody only control/ Secondary antibody is a ready to use Rabbit specific IHC polymer detection kit HRP/DAB (ab209101).

Heat mediated antigen retrieval with citrate buffer (pH 6.0, epitope retrieval solution 1) for 20 mins.

This data was developed using the same antibody clone in a different buffer formulation containing PBS, BSA, glycerol, and sodium azide (ab255826).

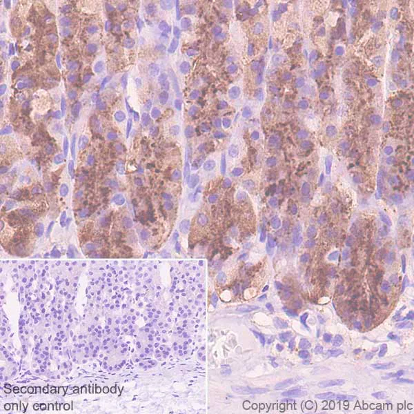
Immunohistochemistry (Formalin/PFA-fixed paraffin-embedded sections) - Anti-Pepsinogen II/PGC antibody [EPR22843-269] - BSA and Azide free (AB259997)
  • IHC-P

Unknown

Immunohistochemistry (Formalin/PFA-fixed paraffin-embedded sections) - Anti-Pepsinogen II/PGC antibody [EPR22843-269] - BSA and Azide free (AB259997)

Immunohistochemical analysis of paraffin-embedded Human stomach tissue labeling Pepsinogen II/PGC with ab255826 at 1/5000 dilution (0.129 ug/ml) followed by a ready to use Rabbit specific IHC polymer detection kit HRP/DAB (ab209101). Positive staining on human stomach (PMID 10883891). The section was incubated with ab255826 for 10 mins at RT. The immunostaining staining was performed on a Leica Biosystems BOND® RX instrument. Counterstained with Hematoxylin.

Secondary antibody only control/ Secondary antibody is a ready to use Rabbit specific IHC polymer detection kit HRP/DAB (ab209101).

Heat mediated antigen retrieval with citrate buffer (pH 6.0, epitope retrieval solution 1) for 20 mins.

This data was developed using the same antibody clone in a different buffer formulation containing PBS, BSA, glycerol, and sodium azide (ab255826).

  • Unconjugated

    Anti-Pepsinogen II/PGC antibody [EPR22843-269]

Key facts

Host species

Rabbit

Clonality

Monoclonal

Clone number

EPR22843-269

Isotype

IgG

Carrier free

Yes

Reacts with

Mouse, Rat, Human

Applications

WB, IHC-Fr, IHC-P

applications

Immunogen

The exact immunogen used to generate this antibody is proprietary information.

Reactivity data

{ "title": "Reactivity Data", "filters": { "stats": ["", "Species", "Dilution Info", "Notes"], "tabs": { "all-applications": {"fullname" : "All Applications", "shortname": "All Applications"}, "WB" : {"fullname" : "Western blot", "shortname":"WB"}, "IHCP" : {"fullname" : "Immunohistochemistry (Formalin/PFA-fixed paraffin-embedded sections)", "shortname":"IHC-P"}, "IHCFr" : {"fullname" : "Immunohistochemistry (Frozen sections)", "shortname":"IHC-Fr"}, "IP" : {"fullname" : "Immunoprecipitation", "shortname":"IP"} }, "product-promise": { "all": "all", "testedAndGuaranteed": "tested", "guaranteed": "expected", "predicted": "predicted", "notRecommended": "not-recommended" } }, "values": { "Human": { "WB-species-checked": "testedAndGuaranteed", "WB-species-dilution-info": "", "WB-species-notes": "<p></p>", "IHCP-species-checked": "testedAndGuaranteed", "IHCP-species-dilution-info": "", "IHCP-species-notes": "<p></p>", "IHCFr-species-checked": "guaranteed", "IHCFr-species-dilution-info": "", "IHCFr-species-notes": "", "IP-species-checked": "notRecommended", "IP-species-dilution-info": "", "IP-species-notes": "<p></p>" }, "Mouse": { "WB-species-checked": "testedAndGuaranteed", "WB-species-dilution-info": "", "WB-species-notes": "<p></p>", "IHCP-species-checked": "testedAndGuaranteed", "IHCP-species-dilution-info": "", "IHCP-species-notes": "<p></p>", "IHCFr-species-checked": "testedAndGuaranteed", "IHCFr-species-dilution-info": "", "IHCFr-species-notes": "<p></p>", "IP-species-checked": "notRecommended", "IP-species-dilution-info": "", "IP-species-notes": "<p></p>" }, "Rat": { "WB-species-checked": "testedAndGuaranteed", "WB-species-dilution-info": "", "WB-species-notes": "<p></p>", "IHCP-species-checked": "testedAndGuaranteed", "IHCP-species-dilution-info": "", "IHCP-species-notes": "<p></p>", "IHCFr-species-checked": "testedAndGuaranteed", "IHCFr-species-dilution-info": "", "IHCFr-species-notes": "<p></p>", "IP-species-checked": "notRecommended", "IP-species-dilution-info": "", "IP-species-notes": "<p></p>" }, "Recombinant full length protein - Human": { "WB-species-checked": "testedAndGuaranteed", "WB-species-dilution-info": "", "WB-species-notes": "<p></p>", "IHCP-species-checked": "notRecommended", "IHCP-species-dilution-info": "", "IHCP-species-notes": "", "IHCFr-species-checked": "notRecommended", "IHCFr-species-dilution-info": "", "IHCFr-species-notes": "", "IP-species-checked": "notRecommended", "IP-species-dilution-info": "", "IP-species-notes": "" } } }

Product details

ab259997 is the carrier-free version of ab255826.

Patented technology
Our RabMAb® technology is a patented hybridoma-based technology for making rabbit monoclonal antibodies. For details on our patents, please refer to RabMAb® patents.

What are the advantages of a recombinant monoclonal antibody?
This product is a recombinant monoclonal antibody, which offers several advantages including:

  • - High batch-to-batch consistency and reproducibility
  • - Improved sensitivity and specificity
  • - Long-term security of supply
  • - Animal-free batch production

For more information, read more on recombinant antibodies.

Conjugation ready
Our carrier-free antibodies are typically supplied in a PBS-only formulation, purified and free of BSA, sodium azide and glycerol. This conjugation-ready format is designed for use with fluorochromes, metal isotopes, oligonucleotides, and enzymes, which makes them ideal for antibody labelling, functional and cell-based assays, flow-based assays (e.g. mass cytometry) and Multiplex Imaging applications.

Use our conjugation kits for antibody conjugates that are ready-to-use in as little as 20 minutes with 1 minute hands-on-time and 100% antibody recovery: available for fluorescent dyes, HRP, biotin and gold.

Compatibility
This product is compatible with the Maxpar® Antibody Labeling Kit from Fluidigm, without the need for antibody preparation. Maxpar® is a trademark of Fluidigm Canada Inc.

Properties and storage information

Form
Liquid
Purification technique
Affinity purification Protein A
Storage buffer
pH: 7.2 - 7.4 Constituents: PBS
Shipped at conditions
Blue Ice
Appropriate short-term storage conditions
+4°C
Appropriate long-term storage conditions
+4°C
Storage information
Do Not Freeze

Supplementary information

This supplementary information is collated from multiple sources and compiled automatically.

Pepsinogen II also known as PGC or progastricsin functions as a digestive zymogen activated to pepsin in the acidic environment of the stomach. This enzyme precursor has a molecular mass of approximately 42-47 kDa. It is primarily expressed in the gastric chief cells and mucous cells of the stomach lining. Pepsinogen II plays an important role in the initial digestion of proteins breaking down complex protein molecules into peptides.
Biological function summary

Pepsinogen II contributes to digestive processes by converting into active pepsin at low pH levels facilitating protein degradation. Unlike some other digestive enzymes pepsin works independently from a complex. The production and secretion of pepsinogen II align with the gastric acid production ensuring efficient digestive activity. Its expression is vital for proper nutritional absorption and maintenance of gastrointestinal health.

Pathways

Pepsinogen II is closely involved in the proteolytic enzyme pathway. It connects with other gastric enzymes such as pepsin A through the activation processes influenced by gastric acid secretion. This interplay among digestive enzymes ensures optimal protein breakdown and nutrient absorption. The regulatory mechanisms that modulate gastric acid and pepsinogen secretion play an integral role in maintaining the digestive efficiency.

Pepsinogen II levels can serve as biomarkers for certain gastric conditions including gastritis and gastric cancer. Altered levels of pepsinogen II are associated with atrophic gastritis where reduced enzyme levels reflect damage to gastric mucosa. Also increased serum pepsinogen II concentration can indicate potential gastric cancer risk. These conditions highlight pepsinogen II's clinical importance in gastrointestinal disease diagnosis and management.

Product protocols

For this product, it's our understanding that no specific protocols are required. You can visit:

Target data

Hydrolyzes a variety of proteins.
See full target information PGC

Publications (1)

Recent publications for all applications. Explore the full list and refine your search

Cellular and molecular gastroenterology and hepatology 12:395-425 PubMed33676046

2021

Helicobacter pylori-Induced Rev-erbα Fosters Gastric Bacteria Colonization by Impairing Host Innate and Adaptive Defense.

Applications

Unspecified application

Species

Unspecified reactive species

Fang-Yuan Mao,Yi-Pin Lv,Chuan-Jie Hao,Yong-Sheng Teng,Yu-Gang Liu,Ping Cheng,Shi-Ming Yang,Weisan Chen,Tao Liu,Quan-Ming Zou,Rui Xie,Jing-Yu Xu,Yuan Zhuang
View all publications

Product promise

We are committed to supporting your work with high-quality reagents, and we're here for you every step of the way. In the unlikely event that one of our products does not perform as expected, you're protected by our Product Promise.
For full details, please see our Terms & Conditions

Please note: All products are 'FOR RESEARCH USE ONLY. NOT FOR USE IN DIAGNOSTIC OR THERAPEUTIC PROCEDURES'.

For licensing inquiries, please contact partnerships@abcam.com