JavaScript is disabled in your browser. Please enable JavaScript to view this website.
AB112474

Anti-Peptide YY/PYY antibody [1]

5

(1 Review)

|

(4 Publications)

Mouse Monoclonal Peptide YY/PYY antibody. Suitable for IHC-P and reacts with Human samples. Cited in 4 publications. Immunogen corresponding to Synthetic Peptide within Human PYY.

View Alternative Names

Peptide YY, PYY, PYY-I, Peptide tyrosine tyrosine

2 Images
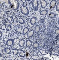
Immunohistochemistry (Formalin/PFA-fixed paraffin-embedded sections) - Anti-Peptide YY/PYY antibody [1] (AB112474)
  • IHC-P

Unknown

Immunohistochemistry (Formalin/PFA-fixed paraffin-embedded sections) - Anti-Peptide YY/PYY antibody [1] (AB112474)

ab112474, staining paraffin embedded Human small intestine tissue by Immunohistochemistry.

Immunohistochemistry (Formalin/PFA-fixed paraffin-embedded sections) - Anti-Peptide YY/PYY antibody [1] (AB112474)
  • IHC-P

Unknown

Immunohistochemistry (Formalin/PFA-fixed paraffin-embedded sections) - Anti-Peptide YY/PYY antibody [1] (AB112474)

ab112474, staining paraffin embedded Human small intestine tissue by Immunohistochemistry.

Key facts

Host species

Mouse

Clonality

Monoclonal

Clone number

1

Isotype

IgG1

Light chain type

kappa

Carrier free

No

Reacts with

Human

Applications

IHC-P

applications

Immunogen

Synthetic Peptide within Human PYY. The exact immunogen used to generate this antibody is proprietary information.

P10082

Reactivity data

{ "title": "Reactivity Data", "filters": { "stats": ["", "Species", "Dilution Info", "Notes"], "tabs": { "all-applications": {"fullname" : "All Applications", "shortname": "All Applications"}, "IHCP" : {"fullname" : "Immunohistochemistry (Formalin/PFA-fixed paraffin-embedded sections)", "shortname":"IHC-P"} }, "product-promise": { "all": "all", "testedAndGuaranteed": "tested", "guaranteed": "expected", "predicted": "predicted", "notRecommended": "not-recommended" } }, "values": { "Human": { "IHCP-species-checked": "testedAndGuaranteed", "IHCP-species-dilution-info": "", "IHCP-species-notes": "<p></p>" } } }

Properties and storage information

Form
Liquid
Purification technique
Affinity purification Protein A
Storage buffer
pH: 7.4 Preservative: 0.1% Sodium azide Constituents: PBS, 2.9% Sodium chloride
Shipped at conditions
Blue Ice
Appropriate short-term storage duration
1-2 weeks
Appropriate short-term storage conditions
+4°C
Appropriate long-term storage conditions
-20°C
Storage information
Avoid freeze / thaw cycle

Supplementary information

This supplementary information is collated from multiple sources and compiled automatically.

Peptide YY (PYY) also known as PYY1 or PYY3-36 is a 36-amino acid peptide hormone with a molecular weight of approximately 4 kDa. Expressed primarily in the L-cells of the ileum and colon PYY is released into the bloodstream postprandially. This hormone serves as an important messenger in appetite control and energy homeostasis. Peptide YY reduces gastric motility and increases water and electrolyte absorption in the colon playing an integral role in digestion and nutrient absorption processes.
Biological function summary

The hormone influences several physiological functions beyond its mechanical roles. Peptide YY hormone function includes inhibiting appetite through interactions with the neuropeptide Y (NPY) receptors in the brain's hypothalamus. It acts together with similar peptides including pancreatic polypeptide (PP) and neuropeptide Y (NPY) establishing a complex regulatory system that governs energy balance and food intake. PYY contributes to short-term and long-term body weight management linking gut to brain signals.

Pathways

Peptide YY hormone function integrates into the gut-brain axis and the neuroendocrine system. It engages mainly in the regulation of the Y2 receptor pathway interacting with proteins like the ghrelin receptor and insulin pathways. Moreover PYY can influence the feeding pathway by modulating the arcuate nucleus neurons establishing connections with the melanocortin system and agouti-related peptide (AgRP). This integration importantly contributes to satiety and appetite modulation.

Peptide YY is linked to obesity and irritable bowel syndrome (IBS). Altered levels of PYY associate with increased risk of obesity due to dysregulated appetite signals. Disorders like IBS relate to the imbalance of functional gut hormones including PYY which impacts bowel motility and gastrointestinal comfort. Other proteins such as ghrelin and leptin participate in these pathways providing insight into potential therapeutic targets for these conditions.

Product protocols

For this product, it's our understanding that no specific protocols are required. You can visit:

Target data

This gut peptide inhibits exocrine pancreatic secretion, has a vasoconstrictory action and inhibitis jejunal and colonic mobility.
See full target information PYY

Publications (4)

Recent publications for all applications. Explore the full list and refine your search

The Journal of physiology 603:2071-2088 PubMed39557601

2024

Bioelectronic block of stellate ganglia mitigates pacing-induced heterogeneous release of catecholamine and neuropeptide Y in the infarcted pig heart.

Applications

Unspecified application

Species

Unspecified reactive species

Tina Vrabec,Shane Bender,Shyue-An Chan,Steven Cha,Sahil Haridas,Peter Hanna,Olujimi A Ajijola,Kalyanam Shivkumar,Corey Smith,Jeffrey L Ardell

EMBO reports 25:304-333 PubMed38177905

2024

The olfactory receptor Olfr78 promotes differentiation of enterochromaffin cells in the mouse colon.

Applications

Unspecified application

Species

Unspecified reactive species

Gilles Dinsart,Morgane Leprovots,Anne Lefort,Frédérick Libert,Yannick Quesnel,Alex Veithen,Gilbert Vassart,Sandra Huysseune,Marc Parmentier,Marie-Isabelle Garcia

Nature communications 12:4458 PubMed34294685

2021

Pancreatic Ppy-expressing γ-cells display mixed phenotypic traits and the adaptive plasticity to engage insulin production.

Applications

Unspecified application

Species

Unspecified reactive species

Marta Perez-Frances,Léon van Gurp,Maria Valentina Abate,Valentina Cigliola,Kenichiro Furuyama,Eva Bru-Tari,Daniel Oropeza,Taïna Carreaux,Yoshio Fujitani,Fabrizio Thorel,Pedro L Herrera

Cancer drug resistance (Alhambra, Calif.) 3:586-602 PubMed33062960

2020

Identification of sequence-specific interactions of the CD44-intracellular domain with RUNX2 in the transcription of matrix metalloprotease-9 in human prostate cancer cells.

Applications

Unspecified application

Species

Unspecified reactive species

Linda T Senbanjo,Hanan AlJohani,Mohammed AlQranei,Sunipa Majumdar,Tao Ma,Meenakshi A Chellaiah
View all publications

Product promise

We are committed to supporting your work with high-quality reagents, and we're here for you every step of the way. In the unlikely event that one of our products does not perform as expected, you're protected by our Product Promise.
For full details, please see our Terms & Conditions

Please note: All products are 'FOR RESEARCH USE ONLY. NOT FOR USE IN DIAGNOSTIC OR THERAPEUTIC PROCEDURES'.

For licensing inquiries, please contact partnerships@abcam.com