JavaScript is disabled in your browser. Please enable JavaScript to view this website.
AB324161

Anti-PER2 antibody [EPR28181-56]

Be the first to review this product! Submit a review

|

(0 Publication)

Rabbit Recombinant Monoclonal PER2 antibody. Suitable for WB and reacts with Transfected cell lysate - Human, Mouse samples.

View Alternative Names

Period circadian protein homolog 2, mPER2, Circadian clock protein PERIOD 2, Per2

5 Images
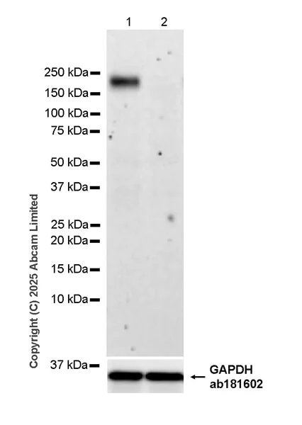
Western blot - Anti-PER2 antibody [EPR28181-56] (AB324161)
  • WB

Supplier Data

Western blot - Anti-PER2 antibody [EPR28181-56] (AB324161)

Blocking and diluting buffer and concentration : 5% NFDM/TBST.

The expression profile/ molecular weight observed is consistent with what has been described in the literature (PMID : 11009419, PMID : 18662546).

In Western blot, Anti-GAPDH antibody [EPR16891] - Loading Control (ab181602) staining at 1/200000 dilution.

All lanes:

Western blot - Anti-PER2 antibody [EPR28181-56] (ab324161) at 1/1000 dilution

Lane 1:

NIH/3T3 (mouse embryonic fibroblast) transfected with scrambled siRNA control whole cell lysate at 72 µg

Lane 2:

NIH/3T3 transfected with siRNA specifically targeting PER2 whole cell lysate at 72 µg

Secondary

All lanes:

Western blot - Goat Anti-Rabbit IgG H&L (HRP) (<a href='/en-us/products/secondary-antibodies/goat-rabbit-igg-h-l-hrp-ab97051'>ab97051</a>) at 1/20000 dilution

Observed band size: 200 kDa,36 kDa

false

Exposure time: 180s

Western blot - Anti-PER2 antibody [EPR28181-56] (AB324161)
  • WB

Supplier Data

Western blot - Anti-PER2 antibody [EPR28181-56] (AB324161)

Blocking and diluting buffer and concentration : 5% NFDM/TBST.

Low expression : EL4.

The expression profile/ molecular weight observed is consistent with what has been described in the literature (PMID : 11009419, PMID : 18662546).

In Western blot, Anti-GAPDH antibody [EPR16891] - Loading Control (ab181602) staining at 1/200000 dilution.

All lanes:

Western blot - Anti-PER2 antibody [EPR28181-56] (ab324161) at 1/1000 dilution

Lane 1:

CT26.WT (mouse colon fibroblast) whole cell lysate at 72 µg

Lane 2:

EL4 (mouse lymphoma T lymphocyte) whole cell lysate at 72 µg

Secondary

All lanes:

Western blot - Goat Anti-Rabbit IgG H&L (HRP) (<a href='/en-us/products/secondary-antibodies/goat-rabbit-igg-h-l-hrp-ab97051'>ab97051</a>) at 1/20000 dilution

Observed band size: 200 kDa,36 kDa

false

Exposure time: 180s

Western blot - Anti-PER2 antibody [EPR28181-56] (AB324161)
  • WB

Supplier Data

Western blot - Anti-PER2 antibody [EPR28181-56] (AB324161)

Blocking and diluting buffer and concentration : 5% NFDM/TBST.

The expression profile/ molecular weight observed is consistent with what has been described in the literature (PMID : 11009419, PMID : 18662546).

To minimize protein degradation, tissues were lysed immediately after harvest and then applied to a gel and transfer membrane for Western blotting as soon as possible.

This blot was developed using a high-sensitivity ECL substrate, allowing for the detection of proteins in the mid-femtogram range.

In Western blot, Anti-GAPDH antibody [EPR16891] - Loading Control (ab181602) staining at 1/200000 dilution.

All lanes:

Western blot - Anti-PER2 antibody [EPR28181-56] (ab324161) at 1/1000 dilution

Lane 1:

Mouse brain tissue lysate at 20 µg

Lane 2:

Mouse testis tissue lysate at 20 µg

Secondary

All lanes:

Western blot - Goat Anti-Rabbit IgG H&L (HRP) (<a href='/en-us/products/secondary-antibodies/goat-rabbit-igg-h-l-hrp-ab97051'>ab97051</a>) at 1/20000 dilution

Observed band size: 200 kDa,36 kDa

false

Exposure time: 81s

Western blot - Anti-PER2 antibody [EPR28181-56] (AB324161)
  • WB

Supplier Data

Western blot - Anti-PER2 antibody [EPR28181-56] (AB324161)

Blocking and diluting buffer and concentration : 5% NFDM/TBST.

Low expression : B16-F10.

The expression of PER2 is upregulated in response to Dexamethasone treatment (PMID : 25662220).

The expression profile/ molecular weight observed is consistent with what has been described in the literature (PMID : 11009419, PMID : 18662546).

The identity of the bands lower than 75 kDa are unknown.

In Western blot, Anti-GAPDH antibody [EPR16891] - Loading Control (ab181602) staining at 1/200000 dilution.

All lanes:

Western blot - Anti-PER2 antibody [EPR28181-56] (ab324161) at 1/1000 dilution

Lane 1:

Untreated MEF (mouse embryo fibroblast) whole cell lysate at 50 µg

Lane 2:

MEF treated with 100nM Dexamethasone for 32 hours whole cell lysate at 50 µg

Lane 3:

L-929 (mouse connective tissue fibroblast) whole cell lysate at 50 µg

Lane 4:

Neuro-2a (mouse neuroblastoma neuroblast) whole cell lysate at 50 µg

Lane 5:

B16-F10 (mouse skin melanoma cell) whole cell lysate at 50 µg

Secondary

All lanes:

Western blot - Goat Anti-Rabbit IgG H&L (HRP) (<a href='/en-us/products/secondary-antibodies/goat-rabbit-igg-h-l-hrp-ab97051'>ab97051</a>) at 1/20000 dilution

Observed band size: 200 kDa,36 kDa

false

Exposure time: 37s

Western blot - Anti-PER2 antibody [EPR28181-56] (AB324161)
  • WB

Supplier Data

Western blot - Anti-PER2 antibody [EPR28181-56] (AB324161)

Blocking and diluting buffer and concentration : 5% NFDM/TBST.

This antibody does not cross-react with human PER1 and PER3.

In Western blot, Anti-Histone H3 antibody [EPR16987] - Nuclear Marker and ChIP Grade (ab176842) 1 : 100000 (15Kda); Anti-6X His tag® antibody [EPR20547] - ChIP Grade (ab213204) staining at 1/5000 dilution.

All lanes:

Western blot - Anti-PER2 antibody [EPR28181-56] (ab324161) at 1/1000 dilution

Lane 1:

293T cells transfected with an empty vector containing a His-tag, whole cell lysate at 20 µg

Lane 2:

293T cells transfected with a human PER2 expression vector containing a His-tag, whole cell lysate at 20 µg

Lane 3:

293T cells transfected with a human PER1 expression vector containing a His-tag, whole cell lysate at 20 µg

Lane 4:

293T cells transfected with a human PER3 expression vector containing a His-tag, whole cell lysate at 20 µg

Secondary

All lanes:

Western blot - Goat Anti-Rabbit IgG H&L (HRP) (<a href='/en-us/products/secondary-antibodies/goat-rabbit-igg-h-l-hrp-ab97051'>ab97051</a>) at 1/20000 dilution

Observed band size: 200 kDa,20-250 kDa,15 kDa

false

Exposure time: 1s

Key facts

Host species

Rabbit

Clonality

Monoclonal

Clone number

EPR28181-56

Isotype

IgG

Carrier free

No

Reacts with

Mouse

Applications

WB

applications

Immunogen

The exact immunogen used to generate this antibody is proprietary information.

Reactivity data

{ "title": "Reactivity Data", "filters": { "stats": ["", "Species", "Dilution Info", "Notes"], "tabs": { "all-applications": {"fullname" : "All Applications", "shortname": "All Applications"}, "WB" : {"fullname" : "Western blot", "shortname":"WB"}, "ICCIF" : {"fullname" : "Immunocytochemistry/ Immunofluorescence", "shortname":"ICC/IF"}, "IHCP" : {"fullname" : "Immunohistochemistry (Formalin/PFA-fixed paraffin-embedded sections)", "shortname":"IHC-P"} }, "product-promise": { "all": "all", "testedAndGuaranteed": "tested", "guaranteed": "expected", "predicted": "predicted", "notRecommended": "not-recommended" } }, "values": { "Human": { "WB-species-checked": "notRecommended", "WB-species-dilution-info": "", "WB-species-notes": "", "ICCIF-species-checked": "notRecommended", "ICCIF-species-dilution-info": "", "ICCIF-species-notes": "", "IHCP-species-checked": "notRecommended", "IHCP-species-dilution-info": "", "IHCP-species-notes": "<p></p>" }, "Mouse": { "WB-species-checked": "testedAndGuaranteed", "WB-species-dilution-info": "", "WB-species-notes": "<p></p>", "ICCIF-species-checked": "notRecommended", "ICCIF-species-dilution-info": "", "ICCIF-species-notes": "<p></p>", "IHCP-species-checked": "notRecommended", "IHCP-species-dilution-info": "", "IHCP-species-notes": "<p></p>" }, "Transfected cell lysate - Human": { "WB-species-checked": "testedAndGuaranteed", "WB-species-dilution-info": "1/1000", "WB-species-notes": "<p></p>", "ICCIF-species-checked": "notRecommended", "ICCIF-species-dilution-info": "", "ICCIF-species-notes": "", "IHCP-species-checked": "notRecommended", "IHCP-species-dilution-info": "", "IHCP-species-notes": "" } } }

Product details

Patented technology
Our RabMAb® technology is a patented hybridoma-based technology for making rabbit monoclonal antibodies. For details on our patents, please refer to RabMAb® patents.

What are the advantages of a recombinant monoclonal antibody?
This product is a recombinant monoclonal antibody, which offers several advantages including:

  • - High batch-to-batch consistency and reproducibility
  • - Improved sensitivity and specificity
  • - Long-term security of supply
  • - Animal-free batch production

For more information, read more on recombinant antibodies.

Properties and storage information

Form
Liquid
Purification technique
Affinity purification Protein A
Storage buffer
pH: 7.2 - 7.4 Preservative: 0.01% Sodium azide Constituents: PBS, 40% Glycerol (glycerin, glycerine), 0.05% BSA
Shipped at conditions
Blue Ice
Appropriate short-term storage duration
1-2 weeks
Appropriate short-term storage conditions
+4°C
Appropriate long-term storage conditions
-20°C
Aliquoting information
Upon delivery aliquot
Storage information
Avoid freeze / thaw cycle

Product protocols

For this product, it's our understanding that no specific protocols are required. You can visit:

Target data

Transcriptional repressor which forms a core component of the circadian clock. The circadian clock, an internal time-keeping system, regulates various physiological processes through the generation of approximately 24 hour circadian rhythms in gene expression, which are translated into rhythms in metabolism and behavior. It is derived from the Latin roots 'circa' (about) and 'diem' (day) and acts as an important regulator of a wide array of physiological functions including metabolism, sleep, body temperature, blood pressure, endocrine, immune, cardiovascular, and renal function. Consists of two major components : the central clock, residing in the suprachiasmatic nucleus (SCN) of the brain, and the peripheral clocks that are present in nearly every tissue and organ system. Both the central and peripheral clocks can be reset by environmental cues, also known as Zeitgebers (German for 'timegivers'). The predominant Zeitgeber for the central clock is light, which is sensed by retina and signals directly to the SCN. The central clock entrains the peripheral clocks through neuronal and hormonal signals, body temperature and feeding-related cues, aligning all clocks with the external light/dark cycle. Circadian rhythms allow an organism to achieve temporal homeostasis with its environment at the molecular level by regulating gene expression to create a peak of protein expression once every 24 hours to control when a particular physiological process is most active with respect to the solar day. Transcription and translation of core clock components (CLOCK, NPAS2, BMAL1, BMAL2, PER1, PER2, PER3, CRY1 and CRY2) plays a critical role in rhythm generation, whereas delays imposed by post-translational modifications (PTMs) are important for determining the period (tau) of the rhythms (tau refers to the period of a rhythm and is the length, in time, of one complete cycle). A diurnal rhythm is synchronized with the day/night cycle, while the ultradian and infradian rhythms have a period shorter and longer than 24 hours, respectively. Disruptions in the circadian rhythms contribute to the pathology of cardiovascular diseases, cancer, metabolic syndrome and aging. A transcription/translation feedback loop (TTFL) forms the core of the molecular circadian clock mechanism. Transcription factors, CLOCK or NPAS2 and BMAL1 or BMAL2, form the positive limb of the feedback loop, act in the form of a heterodimer and activate the transcription of core clock genes and clock-controlled genes (involved in key metabolic processes), harboring E-box elements (5'-CACGTG-3') within their promoters. The core clock genes : PER1/2/3 and CRY1/2 which are transcriptional repressors form the negative limb of the feedback loop and interact with the CLOCK|NPAS2-BMAL1|BMAL2 heterodimer inhibiting its activity and thereby negatively regulating their own expression. This heterodimer also activates nuclear receptors NR1D1/2 and RORA/B/G, which form a second feedback loop and which activate and repress BMAL1 transcription, respectively. PER1 and PER2 proteins transport CRY1 and CRY2 into the nucleus with appropriate circadian timing, but also contribute directly to repression of clock-controlled target genes through interaction with several classes of RNA-binding proteins, helicases and others transcriptional repressors. PER appears to regulate circadian control of transcription by at least three different modes. First, interacts directly with the CLOCK-BMAL1 at the tail end of the nascent transcript peak to recruit complexes containing the SIN3-HDAC that remodel chromatin to repress transcription. Second, brings H3K9 methyltransferases such as SUV39H1 and SUV39H2 to the E-box elements of the circadian target genes, like PER2 itself or PER1. The recruitment of each repressive modifier to the DNA seems to be very precisely temporally orchestrated by the large PER complex, the deacetylases acting before than the methyltransferases. Additionally, large PER complexes are also recruited to the target genes 3' termination site through interactions with RNA-binding proteins and helicases that may play a role in transcription termination to regulate transcription independently of CLOCK-BMAL1 interactions. Recruitment of large PER complexes to the elongating polymerase at PER and CRY termination sites inhibited SETX action, impeding RNA polymerase II release and thereby repressing transcriptional reinitiation. May propagate clock information to metabolic pathways via the interaction with nuclear receptors. Coactivator of PPARA and corepressor of NR1D1, binds rhythmically at the promoter of nuclear receptors target genes like BMAL1 or G6PC1. Directly and specifically represses PPARG proadipogenic activity by blocking PPARG recruitment to target promoters and thereby transcriptional activation. Required for fatty acid and lipid metabolism, is involved as well in the regulation of circulating insulin levels. Plays an important role in the maintenance of cardiovascular functions through the regulation of NO and vasodilatatory prostaglandins production in aortas. Controls circadian glutamate uptake in synaptic vesicles through the regulation of VGLUT1 expression. May also be involved in the regulation of inflammatory processes. Represses the CLOCK-BMAL1 induced transcription of BHLHE40/DEC1 and ATF4. Negatively regulates the formation of the TIMELESS-CRY1 complex by competing with TIMELESS for binding to CRY1.
See full target information Period circadian protein homolog 2

Product promise

We are committed to supporting your work with high-quality reagents, and we're here for you every step of the way. In the unlikely event that one of our products does not perform as expected, you're protected by our Product Promise.
For full details, please see our Terms & Conditions

Please note: All products are 'FOR RESEARCH USE ONLY. NOT FOR USE IN DIAGNOSTIC OR THERAPEUTIC PROCEDURES'.

For licensing inquiries, please contact partnerships@abcam.com