JavaScript is disabled in your browser. Please enable JavaScript to view this website.
AB224594

Anti-PER3 antibody

5

(1 Review)

|

(5 Publications)

Rabbit Polyclonal PER3 antibody. Suitable for WB, IHC-P, ICC/IF and reacts with Human, Mouse samples. Cited in 5 publications. Immunogen corresponding to Recombinant Fragment Protein within Human PER3 aa 1-150.

View Alternative Names

GIG13, PER3, Period circadian protein homolog 3, hPER3, Cell growth-inhibiting gene 13 protein, Circadian clock protein PERIOD 3

4 Images
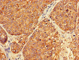
Immunohistochemistry (Formalin/PFA-fixed paraffin-embedded sections) - Anti-PER3 antibody (AB224594)
  • IHC-P

Supplier Data

Immunohistochemistry (Formalin/PFA-fixed paraffin-embedded sections) - Anti-PER3 antibody (AB224594)

Paraffin-embedded human ovarian cancer tissue stained for PER3 using ab224594 at 1/100 dilution in immunohistochemical analysis.

Immunocytochemistry/ Immunofluorescence - Anti-PER3 antibody (AB224594)
  • ICC/IF

Supplier Data

Immunocytochemistry/ Immunofluorescence - Anti-PER3 antibody (AB224594)

HeLa (human epithelial cell line from cervix adenocarcinoma) cells stained for PER3 (green) using ab224594 at 1/100 dilution in ICC/IF.

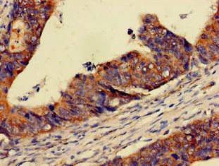
Immunohistochemistry (Formalin/PFA-fixed paraffin-embedded sections) - Anti-PER3 antibody (AB224594)
  • IHC-P

Supplier Data

Immunohistochemistry (Formalin/PFA-fixed paraffin-embedded sections) - Anti-PER3 antibody (AB224594)

Paraffin-embedded human colon cancer tissue stained for PER3 using ab224594 at 1/100 dilution in immunohistochemical analysis.

Western blot - Anti-PER3 antibody (AB224594)
  • WB

Supplier Data

Western blot - Anti-PER3 antibody (AB224594)

All lanes:

Western blot - Anti-PER3 antibody (ab224594) at 1/500 dilution

Lane 1:

HeLa (human epithelial cell line from cervix adenocarcinoma) cell lysate

Lane 2:

Mouse skeletal tissue lysate

Secondary

All lanes:

Goat polyclonal to rabbit IgG at 1/50000 dilution

Predicted band size: 132 kDa

Observed band size: 132 kDa

false

Key facts

Host species

Rabbit

Clonality

Polyclonal

Isotype

IgG

Carrier free

No

Reacts with

Mouse, Human

Applications

IHC-P, ICC/IF, WB

applications

Immunogen

Recombinant Fragment Protein within Human PER3 aa 1-150. The exact immunogen used to generate this antibody is proprietary information.

P56645

Reactivity data

{ "title": "Reactivity Data", "filters": { "stats": ["", "Species", "Dilution Info", "Notes"], "tabs": { "all-applications": {"fullname" : "All Applications", "shortname": "All Applications"}, "WB" : {"fullname" : "Western blot", "shortname":"WB"}, "IHCP" : {"fullname" : "Immunohistochemistry (Formalin/PFA-fixed paraffin-embedded sections)", "shortname":"IHC-P"}, "ICCIF" : {"fullname" : "Immunocytochemistry/ Immunofluorescence", "shortname":"ICC/IF"} }, "product-promise": { "all": "all", "testedAndGuaranteed": "tested", "guaranteed": "expected", "predicted": "predicted", "notRecommended": "not-recommended" } }, "values": { "Human": { "WB-species-checked": "testedAndGuaranteed", "WB-species-dilution-info": "1/500 - 1/5000", "WB-species-notes": "<p></p>", "IHCP-species-checked": "testedAndGuaranteed", "IHCP-species-dilution-info": "1/20 - 1/200", "IHCP-species-notes": "<p></p>", "ICCIF-species-checked": "testedAndGuaranteed", "ICCIF-species-dilution-info": "1/50 - 1/200", "ICCIF-species-notes": "<p></p>" }, "Mouse": { "WB-species-checked": "testedAndGuaranteed", "WB-species-dilution-info": "1/500 - 1/5000", "WB-species-notes": "<p></p>", "IHCP-species-checked": "guaranteed", "IHCP-species-dilution-info": "", "IHCP-species-notes": "", "ICCIF-species-checked": "guaranteed", "ICCIF-species-dilution-info": "", "ICCIF-species-notes": "" } } }

Properties and storage information

Form
Liquid
Purification technique
Affinity purification Protein G
Storage buffer
pH: 7.4 Preservative: 0.03% Proclin 300 Constituents: PBS, 50% Glycerol (glycerin, glycerine)
Shipped at conditions
Blue Ice
Appropriate short-term storage duration
1-2 weeks
Appropriate short-term storage conditions
+4°C
Appropriate long-term storage conditions
-20°C
Aliquoting information
Upon delivery aliquot
Storage information
Avoid freeze / thaw cycle

Supplementary information

This supplementary information is collated from multiple sources and compiled automatically.

The PER3 protein also known as Period circadian protein homolog 3 plays an important role in maintaining the circadian rhythm. It has a molecular weight of approximately 126 kDa. PER3 is ubiquitously expressed with higher expression noted in tissues such as liver brain and heart. In particular its expression in the suprachiasmatic nucleus of the brain highlights its role in circadian regulation.
Biological function summary

PER3 contributes to the regulation of circadian rhythms and is a part of the circadian clock complex. Together with PER1 and PER2 PER3 participates in feedback loops that control transcriptional-translational cycles which impact various bodily functions such as sleep and metabolism. It binds with proteins like CRY1 CRY2 CLOCK and BMAL1 to establish and maintain the body's 24-hour cycle.

Pathways

PER3 integrates into the circadian rhythm signaling pathway. It interacts directly with other proteins like CLOCK and BMAL1 to modulate gene expression influencing sleep patterns hormonal control and metabolic processes. These interactions highlight its essential role in maintaining homeostasis within the circadian clock machinery and its impact on the sleep-wake cycle.

PER3's dysfunction associates with sleep disorders and certain mood disorders. Variants in the PER3 gene have shown links to delayed sleep phase disorder and bipolar disorder. Additionally PER3's interaction with other proteins such as PER1 and PER2 plays a significant role in these pathways indicating how disturbances in these interactions can lead to circadian-related pathologies.

Product protocols

For this product, it's our understanding that no specific protocols are required. You can visit:

Target data

Originally described as a core component of the circadian clock. The circadian clock, an internal time-keeping system, regulates various physiological processes through the generation of approximately 24 hour circadian rhythms in gene expression, which are translated into rhythms in metabolism and behavior. It is derived from the Latin roots 'circa' (about) and 'diem' (day) and acts as an important regulator of a wide array of physiological functions including metabolism, sleep, body temperature, blood pressure, endocrine, immune, cardiovascular, and renal function. Consists of two major components : the central clock, residing in the suprachiasmatic nucleus (SCN) of the brain, and the peripheral clocks that are present in nearly every tissue and organ system. Both the central and peripheral clocks can be reset by environmental cues, also known as Zeitgebers (German for 'timegivers'). The predominant Zeitgeber for the central clock is light, which is sensed by retina and signals directly to the SCN. The central clock entrains the peripheral clocks through neuronal and hormonal signals, body temperature and feeding-related cues, aligning all clocks with the external light/dark cycle. Circadian rhythms allow an organism to achieve temporal homeostasis with its environment at the molecular level by regulating gene expression to create a peak of protein expression once every 24 hours to control when a particular physiological process is most active with respect to the solar day. Transcription and translation of core clock components (CLOCK, NPAS2, BMAL1, BMAL2, PER1, PER2, PER3, CRY1 and CRY2) plays a critical role in rhythm generation, whereas delays imposed by post-translational modifications (PTMs) are important for determining the period (tau) of the rhythms (tau refers to the period of a rhythm and is the length, in time, of one complete cycle). A diurnal rhythm is synchronized with the day/night cycle, while the ultradian and infradian rhythms have a period shorter and longer than 24 hours, respectively. Disruptions in the circadian rhythms contribute to the pathology of cardiovascular diseases, cancer, metabolic syndromes and aging. A transcription/translation feedback loop (TTFL) forms the core of the molecular circadian clock mechanism. Transcription factors, CLOCK or NPAS2 and BMAL1 or BMAL2, form the positive limb of the feedback loop, act in the form of a heterodimer and activate the transcription of core clock genes and clock-controlled genes (involved in key metabolic processes), harboring E-box elements (5'-CACGTG-3') within their promoters. The core clock genes : PER1/2/3 and CRY1/2 which are transcriptional repressors form the negative limb of the feedback loop and interact with the CLOCK|NPAS2-BMAL1|BMAL2 heterodimer inhibiting its activity and thereby negatively regulating their own expression. This heterodimer also activates nuclear receptors NR1D1, NR1D2, RORA, RORB and RORG, which form a second feedback loop and which activate and repress BMAL1 transcription, respectively. Has a redundant role with the other PER proteins PER1 and PER2 and is not essential for the circadian rhythms maintenance. In contrast, plays an important role in sleep-wake timing and sleep homeostasis probably through the transcriptional regulation of sleep homeostasis-related genes, without influencing circadian parameters. Can bind heme.
See full target information PER3

Publications (5)

Recent publications for all applications. Explore the full list and refine your search

The world journal of men's health 42:797-809 PubMed38311375

2024

Uncovering the Penile Clock: Expression of Molecular Clock Proteins in Human Penile Cavernous Tissue.

Applications

Unspecified application

Species

Unspecified reactive species

Ilter Alkan,Begum Durkut,Melike Ucak,Muammer Bozkurt,Halil Lutfi Canat,Ciler Celik-Ozenci

Journal of molecular medicine (Berlin, Germany) 101:279-294 PubMed36790533

2023

The PER3 SNP induces pigmentation phenotypes of dyschromatosis universalis hereditaria.

Applications

Unspecified application

Species

Unspecified reactive species

Hongyu Chen,Pingping Yang,Dan Yang,Dongsheng Wang,Mao Lu,Yadong Li,Zhiqiang Zhong,Jing Zhang,Zhen Zeng,Zhi Liu,Xiaohua Zeng,Xu Jia,Qinghe Xing,Ding'an Zhou

Science advances 8:eabj9949 PubMed35319981

2022

A transcriptomics-guided drug target discovery strategy identifies receptor ligands for lung regeneration.

Applications

Unspecified application

Species

Unspecified reactive species

Xinhui Wu,I Sophie T Bos,Thomas M Conlon,Meshal Ansari,Vicky Verschut,Luke van der Koog,Lars A Verkleij,Angela D'Ambrosi,Aleksey Matveyenko,Herbert B Schiller,Melanie Königshoff,Martina Schmidt,Loes E M Kistemaker,Ali Önder Yildirim,Reinoud Gosens

Nature communications 12:4977 PubMed34404786

2021

Single-cell sequencing of immune cells from anticitrullinated peptide antibody positive and negative rheumatoid arthritis.

Applications

Unspecified application

Species

Unspecified reactive species

Xunyao Wu,Yi Liu,Shanzhao Jin,Min Wang,Yuhao Jiao,Bo Yang,Xin Lu,Xin Ji,Yunyun Fei,Huaxia Yang,Lidan Zhao,Hua Chen,Yaran Zhang,Hao Li,Peter E Lipsky,George C Tsokos,Fan Bai,Xuan Zhang

Bratislavske lekarske listy 122:235-241 PubMed33729814

2021

Complex changes of circadian proteins expression in inflammatory bowel disease.

Applications

Unspecified application

Species

Unspecified reactive species

K Mosna,P Janega,J Sedlak,P Babal
View all publications

Product promise

We are committed to supporting your work with high-quality reagents, and we're here for you every step of the way. In the unlikely event that one of our products does not perform as expected, you're protected by our Product Promise.
For full details, please see our Terms & Conditions

Please note: All products are 'FOR RESEARCH USE ONLY. NOT FOR USE IN DIAGNOSTIC OR THERAPEUTIC PROCEDURES'.

For licensing inquiries, please contact partnerships@abcam.com