JavaScript is disabled in your browser. Please enable JavaScript to view this website.
AB251669

Anti-Peregrin/BRPF1 antibody

Be the first to review this product! Submit a review

|

(1 Publication)

Rabbit Polyclonal Peregrin/BRPF1 antibody. Suitable for IHC-P and reacts with Human samples. Cited in 1 publication. Immunogen corresponding to Recombinant Fragment Protein within Human BRPF1 aa 750-900.

View Alternative Names

BR140, BRPF1, Peregrin, Bromodomain and PHD finger-containing protein 1, Protein Br140

2 Images
Immunohistochemistry (Formalin/PFA-fixed paraffin-embedded sections) - Anti-Peregrin/BRPF1 antibody (AB251669)
  • IHC-P

Unknown

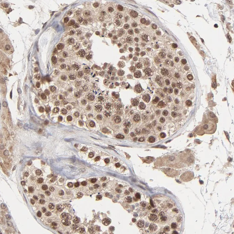
Immunohistochemistry (Formalin/PFA-fixed paraffin-embedded sections) - Anti-Peregrin/BRPF1 antibody (AB251669)

Paraffin-embedded human testis tissue stained for Peregrin/BRPF1 using ab251669 at 1/200 dilution in immunohistochemical analysis.

Immunohistochemistry (Formalin/PFA-fixed paraffin-embedded sections) - Anti-Peregrin/BRPF1 antibody (AB251669)
  • IHC-P

Unknown

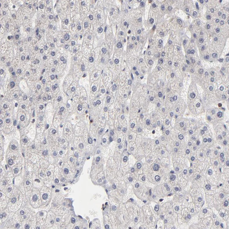
Immunohistochemistry (Formalin/PFA-fixed paraffin-embedded sections) - Anti-Peregrin/BRPF1 antibody (AB251669)

Paraffin-embedded human liver tissue stained for Peregrin/BRPF1 using ab251669 at 1/200 dilution in immunohistochemical analysis. Low expression as expected.

Key facts

Host species

Rabbit

Clonality

Polyclonal

Isotype

IgG

Carrier free

No

Reacts with

Human

Applications

IHC-P

applications

Immunogen

Recombinant Fragment Protein within Human BRPF1 aa 750-900. The exact immunogen used to generate this antibody is proprietary information.

P55201

Reactivity data

{ "title": "Reactivity Data", "filters": { "stats": ["", "Species", "Dilution Info", "Notes"], "tabs": { "all-applications": {"fullname" : "All Applications", "shortname": "All Applications"}, "IHCP" : {"fullname" : "Immunohistochemistry (Formalin/PFA-fixed paraffin-embedded sections)", "shortname":"IHC-P"} }, "product-promise": { "all": "all", "testedAndGuaranteed": "tested", "guaranteed": "expected", "predicted": "predicted", "notRecommended": "not-recommended" } }, "values": { "Human": { "IHCP-species-checked": "testedAndGuaranteed", "IHCP-species-dilution-info": "1/200 - 1/500", "IHCP-species-notes": "<p></p> Perform heat-mediated antigen retrieval with citrate buffer pH 6 before commencing with IHC staining protocol." }, "Mouse": { "IHCP-species-checked": "predicted", "IHCP-species-dilution-info": "", "IHCP-species-notes": "" } } }

Properties and storage information

Form
Liquid
Purification technique
Affinity purification Immunogen
Storage buffer
pH: 7.2 Preservative: 0.02% Sodium azide Constituents: PBS, 40% Glycerol (glycerin, glycerine)
Shipped at conditions
Blue Ice
Appropriate short-term storage duration
1-2 weeks
Appropriate short-term storage conditions
+4°C
Appropriate long-term storage conditions
-20°C
Aliquoting information
Upon delivery aliquot
Storage information
Avoid freeze / thaw cycle

Supplementary information

This supplementary information is collated from multiple sources and compiled automatically.

Peregrin/BRPF1 also known as Peregrins is a protein with a molecular mass around 130 kDa. It functions primarily as a component of the MOZ/MORF histone acetyltransferase (HAT) complex. Peregrin/BRPF1 plays a mechanical role in the regulation of gene expression by altering chromatin structure through histone modification. It is expressed in various tissues with higher expression in the brain and testis indicating its importance in neurological and reproductive functions.
Biological function summary

Peregrin/BRPF1 is a part of the MOZ/MORF complex which is important for acetylating histone H3 at lysine 23 influencing transcriptional activation. This action aids in transcription regulation and chromatin remodeling facilitating access of transcription factors to DNA. By participating in these processes Peregrin/BRPF1 helps maintain proper gene expression patterns essential for normal cell function and development.

Pathways

BRPF1 has roles in processes like the cell cycle and embryonic development pathways because its histone acetylation influences gene expression. It interacts with other acetyltransferases such as EP300 and CREBBP which play key roles in transcription regulation and chromatin remodeling within these pathways. These interactions highlight BRPF1's critical involvement in coordinating cellular events and developmental processes.

Dysregulation of BRPF1 is associated with neurological disorders such as intellectual disability and specific cancers due to its role in chromatin remodeling and gene expression. In the context of intellectual disability it interacts with other proteins involved in chromatin structure like NSD1 and KDM6A. These connections illustrate the significant impact of Peregrin/BRPF1's regulation and its influence on health when its function becomes impaired.

Product protocols

For this product, it's our understanding that no specific protocols are required. You can visit:

Target data

Scaffold subunit of various histone acetyltransferase (HAT) complexes, such as the MOZ/MORF and HBO1 complexes, which have a histone H3 acetyltransferase activity (PubMed : 16387653, PubMed : 24065767, PubMed : 27939640). Plays a key role in HBO1 complex by directing KAT7/HBO1 specificity towards histone H3 'Lys-14' acetylation (H3K14ac) (PubMed : 24065767). Some HAT complexes preferentially mediate histone H3 'Lys-23' (H3K23ac) acetylation (PubMed : 27939640). Positively regulates the transcription of RUNX1 and RUNX2 (PubMed : 18794358).
See full target information BRPF1

Publications (1)

Recent publications for all applications. Explore the full list and refine your search

Frontiers in oncology 11:766656 PubMed34926268

2021

Transcriptional Networks Identify BRPF1 as a Potential Drug Target Based on Inflammatory Signature in Primary Lower-Grade Gliomas.

Applications

Unspecified application

Species

Unspecified reactive species

Mingyang Xia,Huiyao Chen,Tong Chen,Ping Xue,Xinran Dong,Yifeng Lin,Duan Ma,Wenhao Zhou,Wei Shi,Hao Li
View all publications

Product promise

We are committed to supporting your work with high-quality reagents, and we're here for you every step of the way. In the unlikely event that one of our products does not perform as expected, you're protected by our Product Promise.
For full details, please see our Terms & Conditions

Please note: All products are 'FOR RESEARCH USE ONLY. NOT FOR USE IN DIAGNOSTIC OR THERAPEUTIC PROCEDURES'.

For licensing inquiries, please contact partnerships@abcam.com