JavaScript is disabled in your browser. Please enable JavaScript to view this website.
AB268229

Anti-Perforin antibody [PRF1/2470] - BSA and Azide free

Be the first to review this product! Submit a review

|

(0 Publication)

Mouse Monoclonal Perforin antibody. Carrier free. Suitable for Protein Array, IHC-P and reacts with Human samples. Immunogen corresponding to Recombinant Fragment Protein within Human PRF1 aa 400 to C-terminus.

View Alternative Names

PFP, PRF1, Perforin-1, P1, Cytolysin, Lymphocyte pore-forming protein

2 Images
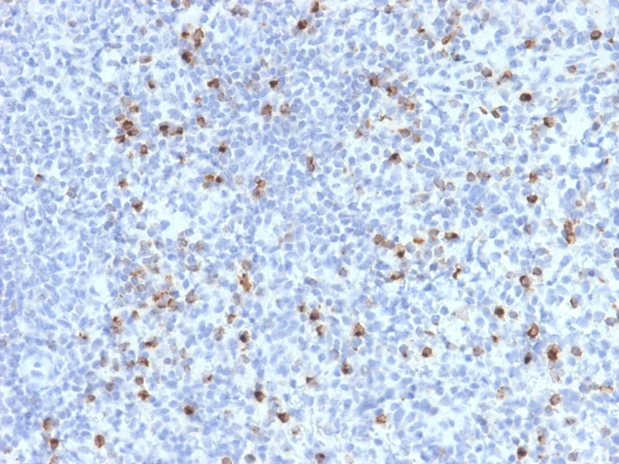
Immunohistochemistry (Formalin/PFA-fixed paraffin-embedded sections) - Anti-Perforin antibody [PRF1/2470] - BSA and Azide free (AB268229)
  • IHC-P

Unknown

Immunohistochemistry (Formalin/PFA-fixed paraffin-embedded sections) - Anti-Perforin antibody [PRF1/2470] - BSA and Azide free (AB268229)

Formalin-fixed, paraffin-embedded human spleen tissue stained for Perforin using ab268108 at 2 μg/ml in immunohistochemical analysis.

This data was developed using the same antibody clone in a different buffer formulation containing PBS, BSA and Sodium azide (ab268108)

Protein Array - Anti-Perforin antibody [PRF1/2470] - BSA and Azide free (AB268229)
  • Protein Array

Unknown

Protein Array - Anti-Perforin antibody [PRF1/2470] - BSA and Azide free (AB268229)

Protein Array containing more than 19,000 full-length human proteins using ab268108.

Z- and S- Score : The Z-score represents the strength of a signal that a monoclonal antibody (Monoclonal Antibody) (in combination with a fluorescently-tagged anti-IgG secondary antibody) produces when binding to a particular protein on the HuProtTM array. Z-scores are described in units of standard deviations (SD's) above the mean value of all signals generated on that array. If targets on HuProtTM are arranged in descending order of the Z-score, the S-score is the difference (also in units of SD's) between the Z-score. S-score therefore represents the relative target specificity of a Monoclonal Antibody to its intended target. A Monoclonal Antibody is considered to specific to its intended target, if the Monoclonal Antibody has an S-score of at least 2.5. For example, if a Monoclonal Antibody binds to protein X with a Z-score of 43 and to protein Y with a Z-score of 14, then the S-score for the binding of that Monoclonal Antibody to protein X is equal to 29.

This data was developed using the same antibody clone in a different buffer formulation containing PBS, BSA and Sodium azide (ab268108)

Key facts

Host species

Mouse

Clonality

Monoclonal

Clone number

PRF1/2470

Isotype

IgG2c

Light chain type

kappa

Carrier free

Yes

Reacts with

Human

Applications

IHC-P, Protein Array

applications

Immunogen

Recombinant Fragment Protein within Human PRF1 aa 400 to C-terminus. The exact immunogen used to generate this antibody is proprietary information.

P14222

Reactivity data

{ "title": "Reactivity Data", "filters": { "stats": ["", "Species", "Dilution Info", "Notes"], "tabs": { "all-applications": {"fullname" : "All Applications", "shortname": "All Applications"}, "ProteinArray" : {"fullname" : "Protein Array", "shortname":"Protein Array"}, "IHCP" : {"fullname" : "Immunohistochemistry (Formalin/PFA-fixed paraffin-embedded sections)", "shortname":"IHC-P"} }, "product-promise": { "all": "all", "testedAndGuaranteed": "tested", "guaranteed": "expected", "predicted": "predicted", "notRecommended": "not-recommended" } }, "values": { "Human": { "ProteinArray-species-checked": "testedAndGuaranteed", "ProteinArray-species-dilution-info": "", "ProteinArray-species-notes": "<p></p>", "IHCP-species-checked": "testedAndGuaranteed", "IHCP-species-dilution-info": "1-2 µg/mL", "IHCP-species-notes": "<p></p> Perform heat-mediated antigen retrieval with Tris/EDTA buffer pH 9.0 before commencing with IHC staining protocol." } } }

Product details

ab268229 is the carrier-free version of ab268108.

Conjugation ready
Our carrier-free antibodies are typically supplied in a PBS-only formulation, purified and free of BSA, sodium azide and glycerol. This conjugation-ready format is designed for use with fluorochromes, metal isotopes, oligonucleotides, and enzymes, which makes them ideal for antibody labelling, functional and cell-based assays, flow-based assays (e.g. mass cytometry) and Multiplex Imaging applications.

Use our conjugation kits for antibody conjugates that are ready-to-use in as little as 20 minutes with 1 minute hands-on-time and 100% antibody recovery: available for fluorescent dyes, HRP, biotin and gold.

Properties and storage information

Form
Liquid
Purification technique
Affinity purification Protein A/G
Purification notes
Purified from bioreactor concentrate.
Storage buffer
pH: 7.2 - 7.4 Constituents: PBS
Shipped at conditions
Blue Ice
Appropriate short-term storage duration
1-2 weeks
Appropriate short-term storage conditions
+4°C
Appropriate long-term storage conditions
-20°C
Aliquoting information
Upon delivery aliquot
Storage information
Avoid freeze / thaw cycle

Supplementary information

This supplementary information is collated from multiple sources and compiled automatically.

Perforin also referred to as PRF1 is a pore-forming protein that plays an important role in immune response. It appears as a 67-kDa protein and is mainly expressed in cytotoxic T cells and natural killer (NK) cells. The function of perforin involves the formation of transmembrane pores in the membranes of target cells aiding in the delivery of pro-apoptotic molecules. This mechanism is essential for the destruction of virus-infected cells and tumor cells. Techniques like perforin IHC and perforin ELISA are suitable for detecting and quantifying this protein in various samples.
Biological function summary

Perforin helps the immune system respond effectively against infected or malignant cells. It works in conjunction with granzymes forming a complex that perforates target cell membranes allowing granzymes to enter and induce apoptosis. Perforin's role in immune surveillance prevents the propagation of harmful cells within the body. Deficiency or malfunction in perforin can lead to compromised immune function or immune cell dysregulation.

Pathways

Perforin integrates into the cytotoxic T lymphocyte (CTL) and NK cell-mediated cytotoxicity pathways. These pathways include critical interactions with proteins like granzymes and Fas ligand (FasL) which orchestrate the apoptosis of abnormal cells. Through these pathways perforin ensures the body's ability to identify and eliminate threats. The granule exocytosis pathway in particular heavily depends on perforin's activity to execute effective immune responses.

Mutations or defects in perforin are linked to familial hemophagocytic lymphohistiocytosis (FHL) and some types of cancer. These conditions arise when perforin's ability to function correctly is impaired. For instance in FHL defective perforin hampers the immune cells' ability to kill target cells leading to uncontrolled immune activation. Furthermore in the context of cancer the proper functioning of perforin alongside proteins like granzyme B is critical for the surveillance and elimination of tumor cells.

Product protocols

For this product, it's our understanding that no specific protocols are required. You can visit:

Target data

Pore-forming protein that plays a key role in granzyme-mediated programmed cell death, and in defense against virus-infected or neoplastic cells (PubMed : 20889983, PubMed : 21037563, PubMed : 24558045, PubMed : 9058810, PubMed : 9164947). Plays an important role in killing other cells that are recognized as non-self by the immune system, e.g. in transplant rejection or some forms of autoimmune disease (PubMed : 9058810). Can insert into the membrane of target cells in its calcium-bound form, oligomerize and form large pores (PubMed : 20889983, PubMed : 21037563). Promotes cytolysis and apoptosis of target cells by mediating the passage and uptake of cytotoxic granzymes (PubMed : 20038786, PubMed : 20225066, PubMed : 24558045, PubMed : 32299851). Facilitates the delivery of cationic cargo protein, while anionic or neural proteins are not delivered efficiently (PubMed : 24558045). Perforin pores allow the release of mature caspase-7 (CASP7) into the extracellular milieu (By similarity).
See full target information PRF1

Product promise

We are committed to supporting your work with high-quality reagents, and we're here for you every step of the way. In the unlikely event that one of our products does not perform as expected, you're protected by our Product Promise.
For full details, please see our Terms & Conditions

Please note: All products are 'FOR RESEARCH USE ONLY. NOT FOR USE IN DIAGNOSTIC OR THERAPEUTIC PROCEDURES'.

For licensing inquiries, please contact partnerships@abcam.com