JavaScript is disabled in your browser. Please enable JavaScript to view this website.
AB237034

Anti-Pericentrin antibody [EPR21987] - BSA and Azide free

Be the first to review this product! Submit a review

|

(1 Publication)

Rabbit Recombinant Monoclonal Pericentrin antibody. Carrier free. Suitable for IP, ICC/IF, Flow Cyt (Intra), IHC-P and reacts with Mouse, Human samples. Cited in 1 publication.

View Alternative Names

KIAA0402, PCNT2, PCNT, Pericentrin, Kendrin, Pericentrin-B

9 Images
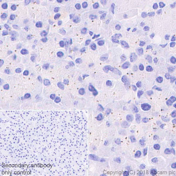
Immunohistochemistry (Formalin/PFA-fixed paraffin-embedded sections) - Anti-Pericentrin antibody [EPR21987] - BSA and Azide free (AB237034)
  • IHC-P

Supplier Data

Immunohistochemistry (Formalin/PFA-fixed paraffin-embedded sections) - Anti-Pericentrin antibody [EPR21987] - BSA and Azide free (AB237034)

Immunohistochemical analysis of paraffin-embedded human pancreas tissue labeling Pericentin with ab220784 at 1/2000 dilution, followed by Goat Anti-Rabbit IgG H&L (HRP) Ready to use. Positive staining of centrosomes in human pancreas (PMID : 16534625, PMID : 22031837). Counterstained with hematoxylin.

Secondary antibody only control : Used PBS instead of primary antibody, secondary antibody is Goat Anti-Rabbit IgG H&L (HRP) Ready to use.

This data was developed using the same antibody clone in a different buffer formulation containing PBS, BSA, glycerol, and sodium azide (ab220784).

Heat mediated antigen retrieval was performed with Tris/EDTA buffer pH 9.0 before commencing with IHC staining protocol.

Multiplex immunohistochemistry - Anti-Pericentrin antibody [EPR21987] - BSA and Azide free (AB237034)
  • mIHC

Supplier Data

Multiplex immunohistochemistry - Anti-Pericentrin antibody [EPR21987] - BSA and Azide free (AB237034)

Multiplex immunohistochemistry analysis of formalin/PFA-fixed paraffin-embedded human colon tissue staining PCM1 with ab324615 at a 1 : 200 (2.5 ug/ml) dilution, ab237034 anti-Pericentrin used at 1 : 200 (5.0 ug/ml) dilution.

Panel A : merged staining of anti-PCM1 (green; Opal™520) and anti-Pericentrin (magenta; Opal™570) on human colon.
Panel B : anti-PCM1 staining centrosomes in human colon.
Panel C : ant-Pericentrin staining centrosomes in human colon.
Panel D : Nuclear DNA was labeled with DAPI (shown in blue).

The section was incubated in three rounds of staining : in the order of ab324615 and ab237034 for 30 mins at room temperature. Each round was followed by a separate fluorescent tyramide signal amplification system.

The immunostaining was performed on a Leica Biosystems BOND® RX instrument with an Opal™ 4-color kit. Image acquisition was performed with Leica SP8 confocal microscope.

Nuclear counter stain with DAPI.

Heat mediated antigen retrieval with Tris-EDTA buffer (pH 9.0, epitope retrieval solution2) for 20 mins.

Immunocytochemistry/ Immunofluorescence - Anti-Pericentrin antibody [EPR21987] - BSA and Azide free (AB237034)
  • ICC/IF

Supplier Data

Immunocytochemistry/ Immunofluorescence - Anti-Pericentrin antibody [EPR21987] - BSA and Azide free (AB237034)

Immunofluorescent analysis of 100% Methanol-fixed NIH/3T3 (mouse embyro fibroblast cell line) cells labeling Pericentrin with ab220784 at 1/2000 dilution, followed by Goat Anti-Rabbit IgG H&L (Alexa Fluor® 488) (ab150077) secondary antibody at 1/1000 dilution (green). Confocal image showing centrosome staining in NIH/3T3 cell line.

The nuclear counter stain is DAPI (blue). Tubulin is detected with Anti-alpha Tubulin antibody [DM1A] - Microtubule Marker (Alexa Fluor® 594) (ab195889) (red) at 1/200 dilution.

Secondary antibody only control : Used PBS instead of primary antibody, secondary antibody is Goat Anti-Rabbit IgG H&L (Alexa Fluor® 488) (ab150077) secondary antibody at 1/1000 dilution.

This data was developed using the same antibody clone in a different buffer formulation containing PBS, BSA, glycerol, and sodium azide (ab220784).

Flow Cytometry (Intracellular) - Anti-Pericentrin antibody [EPR21987] - BSA and Azide free (AB237034)
  • Flow Cyt (Intra)

Supplier Data

Flow Cytometry (Intracellular) - Anti-Pericentrin antibody [EPR21987] - BSA and Azide free (AB237034)

Intracellular flow cytometric analysis of 4% paraformaldehyde-fixed, 90% methanol-permeabilized HeLa (human epithelial cell line from cervix adenocarcinoma) cell line labeling Pericentrin with ab220784 at 1/60 dilution (red) compared with a Rabbit IgG, monoclonal [EPR25A] - Isotype Control (ab172730) (black) and an unlabeled control (cells incubated with secondary antibody only) (blue). Goat anti rabbit IgG (Alexa Fluor® 488, ab150077) at 1/2000 dilution was used as the secondary antibody.

This data was developed using the same antibody clone in a different buffer formulation containing PBS, BSA, glycerol, and sodium azide (ab220784).

Immunocytochemistry/ Immunofluorescence - Anti-Pericentrin antibody [EPR21987] - BSA and Azide free (AB237034)
  • ICC/IF

Supplier Data

Immunocytochemistry/ Immunofluorescence - Anti-Pericentrin antibody [EPR21987] - BSA and Azide free (AB237034)

Immunofluorescent analysis of 100% Methanol-fixed HeLa (human epithelial cell line from cervix adenocarcinoma) cells labeling Pericentrin with ab220784 at 1/2000 dilution, followed by Goat Anti-Rabbit IgG H&L (Alexa Fluor® 488) (ab150077) secondary antibody at 1/1000 dilution (green). Confocal image showing centrosome staining in HeLa cell line.

The nuclear counter stain is DAPI (blue). Tubulin is detected with Anti-alpha Tubulin antibody [DM1A] - Microtubule Marker (Alexa Fluor® 594) (ab195889) (red) at 1/200 dilution.

Secondary antibody only control : Used PBS instead of primary antibody, secondary antibody is Goat Anti-Rabbit IgG H&L (Alexa Fluor® 488) (ab150077) secondary antibody at 1/1000 dilution.

This data was developed using the same antibody clone in a different buffer formulation containing PBS, BSA, glycerol, and sodium azide (ab220784).

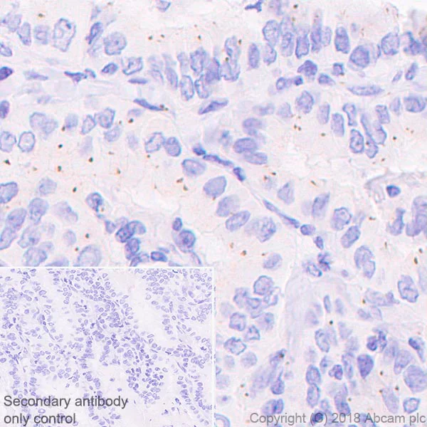
Immunohistochemistry (Formalin/PFA-fixed paraffin-embedded sections) - Anti-Pericentrin antibody [EPR21987] - BSA and Azide free (AB237034)
  • IHC-P

Supplier Data

Immunohistochemistry (Formalin/PFA-fixed paraffin-embedded sections) - Anti-Pericentrin antibody [EPR21987] - BSA and Azide free (AB237034)

Immunohistochemical analysis of paraffin-embedded human thyroid carcinoma tissue labeling Pericentin with ab220784 at 1/2000 dilution, followed by Goat Anti-Rabbit IgG H&L (HRP) Ready to use. Positive staining of centrosomes in human thyroid carcinoma (PMID : 16534625, PMID : 22031837). Counterstained with hematoxylin.

Secondary antibody only control : Used PBS instead of primary antibody, secondary antibody is Goat Anti-Rabbit IgG H&L (HRP) Ready to use.

This data was developed using the same antibody clone in a different buffer formulation containing PBS, BSA, glycerol, and sodium azide (ab220784).

Heat mediated antigen retrieval was performed with Tris/EDTA buffer pH 9.0 before commencing with IHC staining protocol.

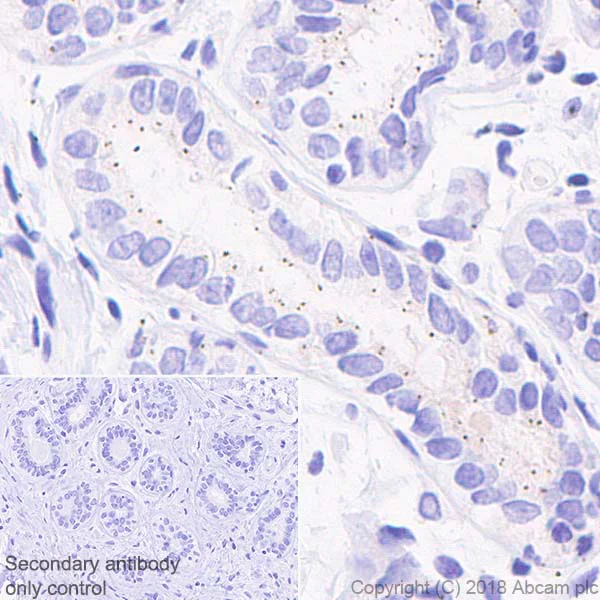
Immunohistochemistry (Formalin/PFA-fixed paraffin-embedded sections) - Anti-Pericentrin antibody [EPR21987] - BSA and Azide free (AB237034)
  • IHC-P

Supplier Data

Immunohistochemistry (Formalin/PFA-fixed paraffin-embedded sections) - Anti-Pericentrin antibody [EPR21987] - BSA and Azide free (AB237034)

Immunohistochemical analysis of paraffin-embedded human breast tissue labeling Pericentin with ab220784 at 1/2000 dilution, followed by Goat Anti-Rabbit IgG H&L (HRP) Ready to use. Positive staining of centrosomes in human mammary epithelial cells (PMID : 16534625, PMID : 22031837). Counterstained with hematoxylin.

Secondary antibody only control : Used PBS instead of primary antibody, secondary antibody is Goat Anti-Rabbit IgG H&L (HRP) Ready to use.

This data was developed using the same antibody clone in a different buffer formulation containing PBS, BSA, glycerol, and sodium azide (ab220784).

Heat mediated antigen retrieval was performed with Tris/EDTA buffer pH 9.0 before commencing with IHC staining protocol.

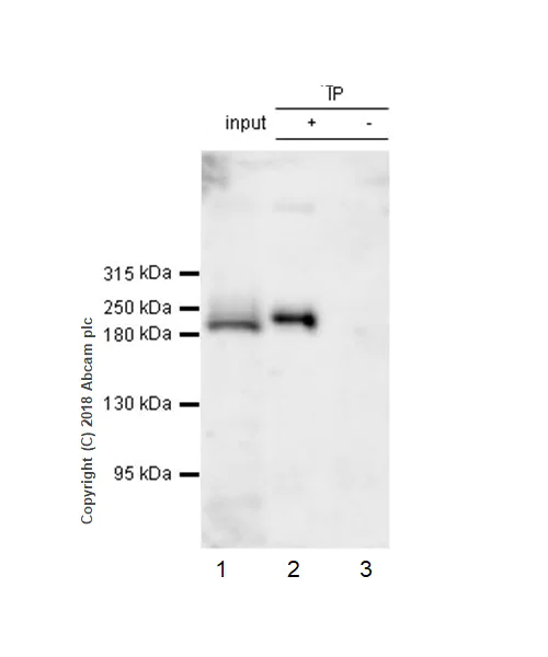
Immunoprecipitation - Anti-Pericentrin antibody [EPR21987] - BSA and Azide free (AB237034)
  • IP

Supplier Data

Immunoprecipitation - Anti-Pericentrin antibody [EPR21987] - BSA and Azide free (AB237034)

Pericentrin was immunoprecipitated from 0.35 mg HepG2 (Human liver hepatocellular carcinoma cell line) whole cell lysate with ab220784 at 1/30 dilution. Western blot was performed from the immunoprecipitate using ab220784 at 1/1000 dilution. VeriBlot for IP Detection Reagent (HRP) (ab131366), was used for detection at 1/1000 dilution.

Lane 1 : HepG2 whole cell lysate 10 μg (input).
Lane 2 : ab220784 IP in HepG2 whole cell lysate (+).
Lane 3 : Rabbit monoclonal IgG (ab172730) instead of ab220784 in HepG2 whole cell lysate (-).

Blocking and dilution buffer and concentration : 5% NFDM/TBST
Exposure time : 30 seconds

The 220 kDa band represent an isoform of Pericentrin (PMID : 23060948). We used a high sensitivity ECL substrate to develop this blot.

This data was developed using the same antibody clone in a different buffer formulation containing PBS, BSA, glycerol, and sodium azide (ab220784).

All lanes:

Immunoprecipitation - Anti-Pericentrin antibody [EPR21987] - Centrosome Marker (<a href='/en-us/products/primary-antibodies/pericentrin-antibody-epr21987-centrosome-marker-ab220784'>ab220784</a>)

Predicted band size: 378 kDa

false

Immunoprecipitation - Anti-Pericentrin antibody [EPR21987] - BSA and Azide free (AB237034)
  • IP

Supplier Data

Immunoprecipitation - Anti-Pericentrin antibody [EPR21987] - BSA and Azide free (AB237034)

Pericentrin was immunoprecipitated from 0.35 mg NIH/3T3 (mouse embryonic fibroblast cell line) whole cell lysate with ab220784 at 1/30 dilution. Western blot was performed from the immunoprecipitate using ab220784 at 1/1000 dilution. VeriBlot for IP Detection Reagent (HRP) (ab131366), was used for detection at 1/1000 dilution.

Lane 1 : NIH/3T3 whole cell lysate 10 μg (input).
Lane 2 : ab220784 IP in NIH/3T3 whole cell lysate (+).
Lane 3 : Rabbit monoclonal IgG (ab172730) instead of ab220784 in NIH/3T3 whole cell lysate (-).

Blocking and dilution buffer and concentration : 5% NFDM/TBST
Exposure time : 30 seconds

The 220 kDa band represent an isoform of Pericentrin (PMID : 23060948). We use high sensitive ECL substrate.

This data was developed using the same antibody clone in a different buffer formulation containing PBS, BSA, glycerol, and sodium azide (ab220784).

All lanes:

Immunoprecipitation - Anti-Pericentrin antibody [EPR21987] - Centrosome Marker (<a href='/en-us/products/primary-antibodies/pericentrin-antibody-epr21987-centrosome-marker-ab220784'>ab220784</a>)

Predicted band size: 378 kDa

Observed band size: 220 kDa

false

  • Unconjugated

    Anti-Pericentrin antibody [EPR21987] - Centrosome Marker

  • 617 Alexa Fluor® 594

    Alexa Fluor® 594 Anti-Pericentrin - Centrosome Marker antibody [EPR21987]

  • 565 Alexa Fluor® 555

    Alexa Fluor® 555 Anti-Pericentrin antibody [EPR21987] - Centrosome Marker

  • 578 PE

    PE Anti-Pericentrin antibody [EPR21987] - Centrosome Marker

  • 519 Alexa Fluor® 488

    Alexa Fluor® 488 Anti-Pericentrin antibody [EPR21987] - Centrosome Marker

  • 665 Alexa Fluor® 647

    Alexa Fluor® 647 Anti-Pericentrin antibody [EPR21987] - Centrosome Marker

Key facts

Host species

Rabbit

Clonality

Monoclonal

Clone number

EPR21987

Isotype

IgG

Carrier free

Yes

Reacts with

Mouse, Human

Applications

Flow Cyt (Intra), IP, IHC-P, ICC/IF

applications

Immunogen

The exact immunogen used to generate this antibody is proprietary information.

Specificity

IHC is recommended for human only.

Reactivity data

{ "title": "Reactivity Data", "filters": { "stats": ["", "Species", "Dilution Info", "Notes"], "tabs": { "all-applications": {"fullname" : "All Applications", "shortname": "All Applications"}, "IP" : {"fullname" : "Immunoprecipitation", "shortname":"IP"}, "ICCIF" : {"fullname" : "Immunocytochemistry/ Immunofluorescence", "shortname":"ICC/IF"}, "FlowCytIntra" : {"fullname" : "Flow Cytometry (Intracellular)", "shortname":"Flow Cyt (Intra)"}, "IHCP" : {"fullname" : "Immunohistochemistry (Formalin/PFA-fixed paraffin-embedded sections)", "shortname":"IHC-P"} }, "product-promise": { "all": "all", "testedAndGuaranteed": "tested", "guaranteed": "expected", "predicted": "predicted", "notRecommended": "not-recommended" } }, "values": { "Human": { "IP-species-checked": "guaranteed", "IP-species-dilution-info": "", "IP-species-notes": "", "ICCIF-species-checked": "guaranteed", "ICCIF-species-dilution-info": "", "ICCIF-species-notes": "", "FlowCytIntra-species-checked": "testedAndGuaranteed", "FlowCytIntra-species-dilution-info": "", "FlowCytIntra-species-notes": "<p></p>", "IHCP-species-checked": "testedAndGuaranteed", "IHCP-species-dilution-info": "", "IHCP-species-notes": "<p></p>" }, "Mouse": { "IP-species-checked": "testedAndGuaranteed", "IP-species-dilution-info": "", "IP-species-notes": "<p></p>", "ICCIF-species-checked": "testedAndGuaranteed", "ICCIF-species-dilution-info": "", "ICCIF-species-notes": "<p></p>", "FlowCytIntra-species-checked": "guaranteed", "FlowCytIntra-species-dilution-info": "", "FlowCytIntra-species-notes": "", "IHCP-species-checked": "guaranteed", "IHCP-species-dilution-info": "", "IHCP-species-notes": "" } } }

Product details

ab237034 is the carrier-free version of ab220784.

Patented technology
Our RabMAb® technology is a patented hybridoma-based technology for making rabbit monoclonal antibodies. For details on our patents, please refer to RabMAb® patents.

What are the advantages of a recombinant monoclonal antibody?
This product is a recombinant monoclonal antibody, which offers several advantages including:

  • - High batch-to-batch consistency and reproducibility
  • - Improved sensitivity and specificity
  • - Long-term security of supply
  • - Animal-free batch production

For more information, read more on recombinant antibodies.

Conjugation ready
Our carrier-free antibodies are typically supplied in a PBS-only formulation, purified and free of BSA, sodium azide and glycerol. This conjugation-ready format is designed for use with fluorochromes, metal isotopes, oligonucleotides, and enzymes, which makes them ideal for antibody labelling, functional and cell-based assays, flow-based assays (e.g. mass cytometry) and Multiplex Imaging applications.

Use our conjugation kits for antibody conjugates that are ready-to-use in as little as 20 minutes with 1 minute hands-on-time and 100% antibody recovery: available for fluorescent dyes, HRP, biotin and gold.

Compatibility
This product is compatible with the Maxpar® Antibody Labeling Kit from Fluidigm, without the need for antibody preparation. Maxpar® is a trademark of Fluidigm Canada Inc.

Properties and storage information

Form
Liquid
Purification technique
Affinity purification Protein A
Storage buffer
pH: 7.2 - 7.4 Constituents: PBS
Shipped at conditions
Blue Ice
Appropriate short-term storage conditions
+4°C
Appropriate long-term storage conditions
+4°C
Storage information
Do Not Freeze

Supplementary information

This supplementary information is collated from multiple sources and compiled automatically.

Pericentrin also known as PCNT is a large protein with a mass of approximately 360 kDa. It primarily localizes at the centrosome an organelle serving as the main microtubule organizing center in cells. Expressed in most cell types pericentrin is an essential structural component of the centrosome. Researchers often use pericentrin staining techniques to visualize centrosomes aiding in the study of cell division. This protein functions prominently as a centrosome marker facilitating centrosome image and imaging of centrosome-related structures.
Biological function summary

Pericentrin contributes significantly to maintaining centrosome integrity and organizing microtubules during cell division. It is a part of the pericentriolar material a complex that stabilizes and anchors microtubules to the centrosome. By forming a scaffold at the centrosome pericentrin plays an important role in recruiting other proteins like γ-tubulin enhancing its function in nucleating microtubules. The pericentrin protein is vital for proper spindle organization during mitosis affecting accurate chromosome segregation.

Pathways

Pericentrin is integral to the cell cycle and mitotic spindle assembly pathways. It interacts with several other proteins involved in mitosis including γ-tubulin and ninein to manage the assembly and stability of the mitotic spindle. By participating in these pathways pericentrin ensures correct cellular replication and division therefore maintaining genetic stability within organisms.

Mutations in the pericentrin gene have been linked to microcephalic osteodysplastic primordial dwarfism type II and Seckel syndrome. These conditions suggest a connection between defective pericentrin function and disruptions in cell division and growth. Studies also show that alterations in pericentrin levels can influence tumorigenesis by affecting centrosome function and chromosome segregation increasing the importance of this protein in cancer research.

Product protocols

For this product, it's our understanding that no specific protocols are required. You can visit:

Target data

Integral component of the filamentous matrix of the centrosome involved in the initial establishment of organized microtubule arrays in both mitosis and meiosis. Plays a role, together with DISC1, in the microtubule network formation. Is an integral component of the pericentriolar material (PCM). May play an important role in preventing premature centrosome splitting during interphase by inhibiting NEK2 kinase activity at the centrosome.
See full target information PCNT

Publications (1)

Recent publications for all applications. Explore the full list and refine your search

Journal of experimental & clinical cancer research 38:278 PubMed31238980

2019

Long noncoding RNA MYOSLID promotes invasion and metastasis by modulating the partial epithelial-mesenchymal transition program in head and neck squamous cell carcinoma.

Applications

Unspecified application

Species

Unspecified reactive species

Hong-Gang Xiong,Hao Li,Yao Xiao,Qi-Chao Yang,Lei-Lei Yang,Lei Chen,Lin-Lin Bu,Wen-Feng Zhang,Jia-Li Zhang,Zhi-Jun Sun
View all publications

Product promise

We are committed to supporting your work with high-quality reagents, and we're here for you every step of the way. In the unlikely event that one of our products does not perform as expected, you're protected by our Product Promise.
For full details, please see our Terms & Conditions

Please note: All products are 'FOR RESEARCH USE ONLY. NOT FOR USE IN DIAGNOSTIC OR THERAPEUTIC PROCEDURES'.

For licensing inquiries, please contact partnerships@abcam.com