JavaScript is disabled in your browser. Please enable JavaScript to view this website.
AB220784

Anti-Pericentrin antibody [EPR21987] - Centrosome Marker

4

(2 Reviews)

|

(6 Publications)

Anti-Pericentrin antibody [EPR21987] - Centrosome Marker (ab220784) is a rabbit monoclonal antibody detecting Pericentrin in Flow Cytometry (Intra), Flow Cytometry, IP, IHC-P, ICC/IF. Suitable for Human, Mouse.

- Biophysical QC for unrivalled batch-batch consistency

View Alternative Names

KIAA0402, PCNT2, PCNT, Pericentrin, Kendrin, Pericentrin-B

8 Images
Immunohistochemistry (Formalin/PFA-fixed paraffin-embedded sections) - Anti-Pericentrin antibody [EPR21987] - Centrosome Marker (AB220784)
  • IHC-P

Supplier Data

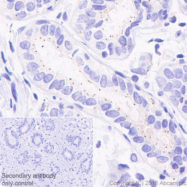
Immunohistochemistry (Formalin/PFA-fixed paraffin-embedded sections) - Anti-Pericentrin antibody [EPR21987] - Centrosome Marker (AB220784)

Immunohistochemical analysis of paraffin-embedded human pancreas tissue labeling Pericentin with ab220784 at 1/2000 dilution, followed by Goat Anti-Rabbit IgG H&L (HRP) Ready to use. Positive staining of centrosomes in human pancreas (PMID : 16534625, PMID : 22031837). Counterstained with hematoxylin.

Secondary antibody only control : Used PBS instead of primary antibody, secondary antibody is Goat Anti-Rabbit IgG H&L (HRP) Ready to use.

Heat mediated antigen retrieval was performed with Tris/EDTA buffer pH 9.0 before commencing with IHC staining protocol.

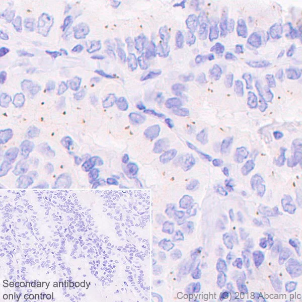
Immunohistochemistry (Formalin/PFA-fixed paraffin-embedded sections) - Anti-Pericentrin antibody [EPR21987] - Centrosome Marker (AB220784)
  • IHC-P

Supplier Data

Immunohistochemistry (Formalin/PFA-fixed paraffin-embedded sections) - Anti-Pericentrin antibody [EPR21987] - Centrosome Marker (AB220784)

Immunohistochemical analysis of paraffin-embedded human breast tissue labeling Pericentin with ab220784 at 1/2000 dilution, followed by Goat Anti-Rabbit IgG H&L (HRP) Ready to use. Positive staining of centrosomes in human mammary epithelial cells (PMID : 16534625, PMID : 22031837). Counterstained with hematoxylin.

Secondary antibody only control : Used PBS instead of primary antibody, secondary antibody is Goat Anti-Rabbit IgG H&L (HRP) Ready to use.

Heat mediated antigen retrieval was performed with Tris/EDTA buffer pH 9.0 before commencing with IHC staining protocol.

Immunocytochemistry/ Immunofluorescence - Anti-Pericentrin antibody [EPR21987] - Centrosome Marker (AB220784)
  • ICC/IF

Supplier Data

Immunocytochemistry/ Immunofluorescence - Anti-Pericentrin antibody [EPR21987] - Centrosome Marker (AB220784)

Immunofluorescent analysis of 100% Methanol-fixed NIH/3T3 (mouse embyro fibroblast cell line) cells labeling Pericentrin with ab220784 at 1/2000 dilution, followed by Goat Anti-Rabbit IgG H&L (Alexa Fluor® 488) (ab150077) secondary antibody at 1/1000 dilution (green). Confocal image showing centrosome staining in NIH/3T3 cell line.

The nuclear counter stain is DAPI (blue). Tubulin is detected with Anti-alpha Tubulin antibody [DM1A] - Microtubule Marker (Alexa Fluor® 594) (ab195889) (red) at 1/200 dilution.

Secondary antibody only control : Used PBS instead of primary antibody, secondary antibody is Goat Anti-Rabbit IgG H&L (Alexa Fluor® 488) (ab150077) secondary antibody at 1/1000 dilution.

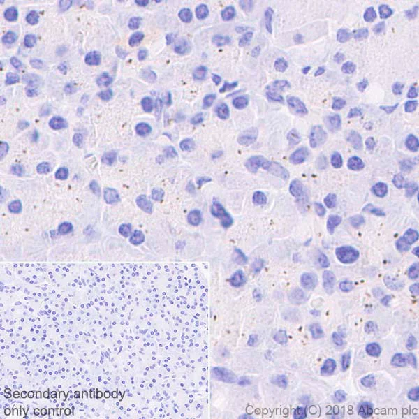
Immunohistochemistry (Formalin/PFA-fixed paraffin-embedded sections) - Anti-Pericentrin antibody [EPR21987] - Centrosome Marker (AB220784)
  • IHC-P

Supplier Data

Immunohistochemistry (Formalin/PFA-fixed paraffin-embedded sections) - Anti-Pericentrin antibody [EPR21987] - Centrosome Marker (AB220784)

Immunohistochemical analysis of paraffin-embedded human thyroid carcinoma tissue labeling Pericentin with ab220784 at 1/2000 dilution, followed by Goat Anti-Rabbit IgG H&L (HRP) Ready to use. Positive staining of centrosomes in human thyroid carcinoma (PMID : 16534625, PMID : 22031837). Counterstained with hematoxylin.

Secondary antibody only control : Used PBS instead of primary antibody, secondary antibody is Goat Anti-Rabbit IgG H&L (HRP) Ready to use.

Heat mediated antigen retrieval was performed with Tris/EDTA buffer pH 9.0 before commencing with IHC staining protocol.

Flow Cytometry (Intracellular) - Anti-Pericentrin antibody [EPR21987] - Centrosome Marker (AB220784)
  • Flow Cyt (Intra)

Supplier Data

Flow Cytometry (Intracellular) - Anti-Pericentrin antibody [EPR21987] - Centrosome Marker (AB220784)

Intracellular flow cytometric analysis of 4% paraformaldehyde-fixed, 90% methanol-permeabilized HeLa (human epithelial cell line from cervix adenocarcinoma) cell line labeling Pericentrin with ab220784 at 1/60 dilution (red) compared with a Rabbit IgG, monoclonal [EPR25A] - Isotype Control (ab172730) (black) and an unlabeled control (cells incubated with secondary antibody only) (blue). Goat anti rabbit IgG (Alexa Fluor® 488, ab150077) at 1/2000 dilution was used as the secondary antibody.

Immunocytochemistry/ Immunofluorescence - Anti-Pericentrin antibody [EPR21987] - Centrosome Marker (AB220784)
  • ICC/IF

Supplier Data

Immunocytochemistry/ Immunofluorescence - Anti-Pericentrin antibody [EPR21987] - Centrosome Marker (AB220784)

Immunofluorescent analysis of 100% Methanol-fixed HeLa (human epithelial cell line from cervix adenocarcinoma) cells labeling Pericentrin with ab220784 at 1/2000 dilution, followed by Goat Anti-Rabbit IgG H&L (Alexa Fluor® 488) (ab150077) secondary antibody at 1/1000 dilution (green). Confocal image showing centrosome staining in HeLa cell line.

The nuclear counter stain is DAPI (blue). Tubulin is detected with Anti-alpha Tubulin antibody [DM1A] - Microtubule Marker (Alexa Fluor® 594) (ab195889) (red) at 1/200 dilution.

Secondary antibody only control : Used PBS instead of primary antibody, secondary antibody is Goat Anti-Rabbit IgG H&L (Alexa Fluor® 488) (ab150077) secondary antibody at 1/1000 dilution.

Immunoprecipitation - Anti-Pericentrin antibody [EPR21987] - Centrosome Marker (AB220784)
  • IP

Supplier Data

Immunoprecipitation - Anti-Pericentrin antibody [EPR21987] - Centrosome Marker (AB220784)

Pericentrin was immunoprecipitated from 0.35 mg HepG2 (Human liver hepatocellular carcinoma cell line) whole cell lysate with ab220784 at 1/30 dilution. Western blot was performed from the immunoprecipitate using ab220784 at 1/1000 dilution. VeriBlot for IP Detection Reagent (HRP) (ab131366), was used for detection at 1/1000 dilution.

Lane 1 : HepG2 whole cell lysate 10 μg (input).
Lane 2 : ab220784 IP in HepG2 whole cell lysate (+).
Lane 3 : Rabbit monoclonal IgG (ab172730) instead of ab220784 in HepG2 whole cell lysate (-).

Blocking and dilution buffer and concentration : 5% NFDM/TBST
Exposure time : 30 seconds

The 220 kDa band represent an isoform of Pericentrin (PMID : 23060948). We used a high sensitivity ECL substrate to develop this blot.

All lanes:

Immunoprecipitation - Anti-Pericentrin antibody [EPR21987] - Centrosome Marker (ab220784)

Predicted band size: 378 kDa

false

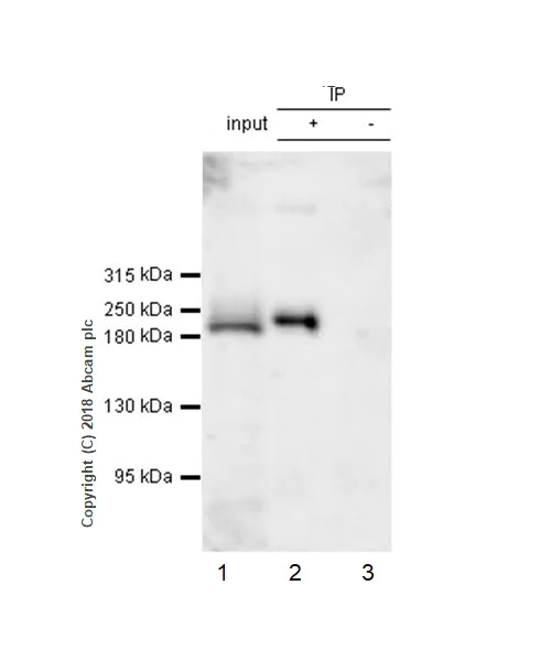
Immunoprecipitation - Anti-Pericentrin antibody [EPR21987] - Centrosome Marker (AB220784)
  • IP

Supplier Data

Immunoprecipitation - Anti-Pericentrin antibody [EPR21987] - Centrosome Marker (AB220784)

Pericentrin was immunoprecipitated from 0.35 mg NIH/3T3 (mouse embryonic fibroblast cell line) whole cell lysate with ab220784 at 1/30 dilution. Western blot was performed from the immunoprecipitate using ab220784 at 1/1000 dilution. VeriBlot for IP Detection Reagent (HRP) (ab131366), was used for detection 1/1000 dilution.

Lane 1 : NIH/3T3 whole cell lysate 10 μg (input).
Lane 2 : ab220784 IP in NIH/3T3 whole cell lysate (+).
Lane 3 : Rabbit monoclonal IgG (ab172730) instead of ab220784 in NIH/3T3 whole cell lysate (-).

Blocking and dilution buffer and concentration : 5% NFDM/TBST
Exposure time : 30 seconds

The 220 kDa band represent an isoform of Pericentrin (PMID : 23060948). We use high sensitive ECL substrate.

All lanes:

Immunoprecipitation - Anti-Pericentrin antibody [EPR21987] - Centrosome Marker (ab220784)

Predicted band size: 378 kDa

Observed band size: 220 kDa

false

  • 519 Alexa Fluor® 488

    Alexa Fluor® 488 Anti-Pericentrin antibody [EPR21987] - Centrosome Marker

  • 665 Alexa Fluor® 647

    Alexa Fluor® 647 Anti-Pericentrin antibody [EPR21987] - Centrosome Marker

  • Carrier free

    Anti-Pericentrin antibody [EPR21987] - BSA and Azide free

  • 617 Alexa Fluor® 594

    Alexa Fluor® 594 Anti-Pericentrin - Centrosome Marker antibody [EPR21987]

  • 565 Alexa Fluor® 555

    Alexa Fluor® 555 Anti-Pericentrin antibody [EPR21987] - Centrosome Marker

  • 578 PE

    PE Anti-Pericentrin antibody [EPR21987] - Centrosome Marker

Key facts

Host species

Rabbit

Clonality

Monoclonal

Clone number

EPR21987

Isotype

IgG

Carrier free

No

Reacts with

Mouse, Human

Applications

ICC/IF, IP, Flow Cyt (Intra), IHC-P

applications

Immunogen

The exact immunogen used to generate this antibody is proprietary information.

Specificity

IHC is recommended for human only.

Reactivity data

{ "title": "Reactivity Data", "filters": { "stats": ["", "Species", "Dilution Info", "Notes"], "tabs": { "all-applications": {"fullname" : "All Applications", "shortname": "All Applications"}, "IP" : {"fullname" : "Immunoprecipitation", "shortname":"IP"}, "ICCIF" : {"fullname" : "Immunocytochemistry/ Immunofluorescence", "shortname":"ICC/IF"}, "FlowCytIntra" : {"fullname" : "Flow Cytometry (Intracellular)", "shortname":"Flow Cyt (Intra)"}, "IHCP" : {"fullname" : "Immunohistochemistry (Formalin/PFA-fixed paraffin-embedded sections)", "shortname":"IHC-P"} }, "product-promise": { "all": "all", "testedAndGuaranteed": "tested", "guaranteed": "expected", "predicted": "predicted", "notRecommended": "not-recommended" } }, "values": { "Human": { "IP-species-checked": "testedAndGuaranteed", "IP-species-dilution-info": "1/30", "IP-species-notes": "<p></p>", "ICCIF-species-checked": "testedAndGuaranteed", "ICCIF-species-dilution-info": "1/2000", "ICCIF-species-notes": "<p></p>", "FlowCytIntra-species-checked": "testedAndGuaranteed", "FlowCytIntra-species-dilution-info": "1/60", "FlowCytIntra-species-notes": "<p></p>", "IHCP-species-checked": "testedAndGuaranteed", "IHCP-species-dilution-info": "1/2000", "IHCP-species-notes": "<p></p>" }, "Mouse": { "IP-species-checked": "testedAndGuaranteed", "IP-species-dilution-info": "1/30", "IP-species-notes": "<p></p>", "ICCIF-species-checked": "testedAndGuaranteed", "ICCIF-species-dilution-info": "1/2000", "ICCIF-species-notes": "<p></p>", "FlowCytIntra-species-checked": "guaranteed", "FlowCytIntra-species-dilution-info": "", "FlowCytIntra-species-notes": "", "IHCP-species-checked": "guaranteed", "IHCP-species-dilution-info": "", "IHCP-species-notes": "" } } }

Product details

What is this antibody validated in?
Anti-Pericentrin antibody [EPR21987] - Centrosome Marker (ab220784) is a rabbit recombinant monoclonal antibody and is validated for use in Flow Cytometry (Intra), Flow Cytometry (Flow Cyt), Immunoprecipitation (IP), Immunohistochemistry (IHC-P), Immunocytochemistry/immunofluorescence (ICC/IF) in Human, Mouse samples.

Trial sizes available!
Test your antibody or perform pre-screening before committing to a larger quantity. Sold in 10µl. Discover our selection of trial-size antibodies.

Other related products
We have a range of other formats of antibody clone [EPR21987] also available for your convenience: ab220784, Carrier free - ab237034, Alexa Fluor® 488 - ab270118, Alexa Fluor® 647 - ab270119, Alexa Fluor® 594 - ab314881, Alexa Fluor® 555 - ab319181, PE - ab322452

Patented technology
Our RabMAb® technology is a patented hybridoma-based technology for making rabbit monoclonal antibodies. For details on our patents, please refer to RabMAb® patents.

What are the advantages of a recombinant monoclonal antibody?
This product is a recombinant monoclonal antibody, which offers several advantages including:

  • - High batch-to-batch consistency and reproducibility
  • - Improved sensitivity and specificity
  • - Long-term security of supply
  • - Animal-free batch production

For more information, read more on recombinant antibodies.

Properties and storage information

Form
Liquid
Purification technique
Affinity purification Protein A
Storage buffer
pH: 7.2 - 7.4 Preservative: 0.01% Sodium azide Constituents: PBS, 40% Glycerol (glycerin, glycerine), 0.05% BSA
Shipped at conditions
Blue Ice
Appropriate short-term storage duration
1-2 weeks
Appropriate short-term storage conditions
+4°C
Appropriate long-term storage conditions
-20°C
Aliquoting information
Upon delivery aliquot
Storage information
Avoid freeze / thaw cycle

Supplementary information

This supplementary information is collated from multiple sources and compiled automatically.

Pericentrin also known as PCNT is a large protein with a mass of approximately 360 kDa. It primarily localizes at the centrosome an organelle serving as the main microtubule organizing center in cells. Expressed in most cell types pericentrin is an essential structural component of the centrosome. Researchers often use pericentrin staining techniques to visualize centrosomes aiding in the study of cell division. This protein functions prominently as a centrosome marker facilitating centrosome image and imaging of centrosome-related structures.
Biological function summary

Pericentrin contributes significantly to maintaining centrosome integrity and organizing microtubules during cell division. It is a part of the pericentriolar material a complex that stabilizes and anchors microtubules to the centrosome. By forming a scaffold at the centrosome pericentrin plays an important role in recruiting other proteins like γ-tubulin enhancing its function in nucleating microtubules. The pericentrin protein is vital for proper spindle organization during mitosis affecting accurate chromosome segregation.

Pathways

Pericentrin is integral to the cell cycle and mitotic spindle assembly pathways. It interacts with several other proteins involved in mitosis including γ-tubulin and ninein to manage the assembly and stability of the mitotic spindle. By participating in these pathways pericentrin ensures correct cellular replication and division therefore maintaining genetic stability within organisms.

Mutations in the pericentrin gene have been linked to microcephalic osteodysplastic primordial dwarfism type II and Seckel syndrome. These conditions suggest a connection between defective pericentrin function and disruptions in cell division and growth. Studies also show that alterations in pericentrin levels can influence tumorigenesis by affecting centrosome function and chromosome segregation increasing the importance of this protein in cancer research.

Product protocols

For this product, it's our understanding that no specific protocols are required. You can visit:

Target data

Integral component of the filamentous matrix of the centrosome involved in the initial establishment of organized microtubule arrays in both mitosis and meiosis. Plays a role, together with DISC1, in the microtubule network formation. Is an integral component of the pericentriolar material (PCM). May play an important role in preventing premature centrosome splitting during interphase by inhibiting NEK2 kinase activity at the centrosome.
See full target information PCNT

Publications (6)

Recent publications for all applications. Explore the full list and refine your search

EMBO reports 24:e54935 PubMed36314725

2022

Actin filaments form a size-dependent diffusion barrier around centrosomes.

Applications

Unspecified application

Species

Unspecified reactive species

Hsuan Cheng,Yu-Lin Kao,Ting Chen,Lohitaksh Sharma,Wen-Ting Yang,Yi-Chien Chuang,Shih-Han Huang,Hong-Rui Lin,Yao-Shen Huang,Chi-Ling Kao,Lee-Wei Yang,Rachel Bearon,Hui-Chun Cheng,Kuo-Chiang Hsia,Yu-Chun Lin

Nature 609:183-190 PubMed35922507

2022

A mitotic chromatin phase transition prevents perforation by microtubules.

Applications

Unspecified application

Species

Unspecified reactive species

Maximilian W G Schneider,Bryan A Gibson,Shotaro Otsuka,Maximilian F D Spicer,Mina Petrovic,Claudia Blaukopf,Christoph C H Langer,Paul Batty,Thejaswi Nagaraju,Lynda K Doolittle,Michael K Rosen,Daniel W Gerlich

Cell reports 37:109808 PubMed34644583

2021

Quantitative differences between cyclin-dependent kinases underlie the unique functions of CDK1 in human cells.

Applications

Unspecified application

Species

Unspecified reactive species

Ho Wai Lau,Hoi Tang Ma,Tsz Kwan Yeung,Man Yee Tam,Danyi Zheng,Siu Ki Chu,Randy Yat Choi Poon

Cancer science 112:4641-4654 PubMed34510663

2021

Inhibitor library screening identifies ispinesib as a new potential chemotherapeutic agent for pancreatic cancers.

Applications

Unspecified application

Species

Unspecified reactive species

Yoshiki Murase,Hiroaki Ono,Kosuke Ogawa,Risa Yoshioka,Yoshiya Ishikawa,Hiroki Ueda,Keiichi Akahoshi,Daisuke Ban,Atsushi Kudo,Shinji Tanaka,Minoru Tanabe

Experimental dermatology 30:792-803 PubMed33455013

2021

Increase in primary cilia in the epidermis of patients with atopic dermatitis and psoriasis.

Applications

Unspecified application

Species

Unspecified reactive species

Defri Rizaldy,Manami Toriyama,Hiroko Kato,Runa Fukui,Fumitaka Fujita,Motoki Nakamura,Fumihiro Okada,Akimichi Morita,Ken J Ishii

eLife 9: PubMed33295871

2020

AKAP6 orchestrates the nuclear envelope microtubule-organizing center by linking golgi and nucleus via AKAP9.

Applications

Unspecified application

Species

Unspecified reactive species

Silvia Vergarajauregui,Robert Becker,Ulrike Steffen,Maria Sharkova,Tilman Esser,Jana Petzold,Florian Billing,Michael S Kapiloff,George Schett,Ingo Thievessen,Felix B Engel
View all publications

Product promise

We are committed to supporting your work with high-quality reagents, and we're here for you every step of the way. In the unlikely event that one of our products does not perform as expected, you're protected by our Product Promise.
For full details, please see our Terms & Conditions

Please note: All products are 'FOR RESEARCH USE ONLY. NOT FOR USE IN DIAGNOSTIC OR THERAPEUTIC PROCEDURES'.

For licensing inquiries, please contact partnerships@abcam.com