JavaScript is disabled in your browser. Please enable JavaScript to view this website.
AB316116

Anti-Perilipin-1 antibody [EPR28189-12] - BSA and Azide free

  • BOND RX™ Validated
  • RabMAb
  • Recombinant
  • Advanced Validation
  • What is this?

Be the first to review this product! Submit a review

|

(0 Publication)

Rabbit Recombinant Monoclonal Perilipin-1 antibody. Carrier free. Suitable for IP, IHC-P, ICC/IF, mIHC and reacts with Mouse samples.

View Alternative Names

Peri, Plin, Cnlp, Camp, Cramp, Perilipin-1, Lipid droplet-associated protein, Perilipin A

8 Images
Multiplex immunohistochemistry - Anti-Perilipin-1 antibody [EPR28189-12] - BSA and Azide free (AB316116)
  • mIHC

Lab

Multiplex immunohistochemistry - Anti-Perilipin-1 antibody [EPR28189-12] - BSA and Azide free (AB316116)

This data was developed using ab316115, the same antibody clone in a different buffer formulation.

Multiplex immunohistochemistry analysis of formalin/PFA-fixed paraffin-embedded mouse breast tissue staining CD34 with ab316277 at a 1 : 10000 (0.05 ug/ml) dilution, ab324191 E Cadherin used at 1 : 500 (0.228 ug/ml) dilution and ab316115 Perilipin-1 used at 1 : 2000 (0.251 μg/ml) dilution.

Panel A : merged staining of anti-CD34 (green; Opal™570), anti-E Cadherin (magenta; Opal™690) and anti-Perilipin-1 (gray; Opal™570) on mouse breast.

Panel B : anti-CD34 staining endothelium in mouse breast.

Panel C : ant-E Cadherin staining epithelium in mouse breast.

Panel D : ant-Perilipin-1 staining adipocytes in mouse breast.

Nuclear DNA was labeled with DAPI (shown in blue).

The section was incubated in three rounds of staining : in the order of ab316277, ab324191 and ab316115 for 30 mins at room temperature. Each round was followed by a separate fluorescent tyramide signal amplification system.

The immunostaining was performed on a Leica Biosystems BOND® RX instrument with an Opal™ 4-color kit. Image acquisition was performed with Leica SP8 confocal microscope.

Heat mediated antigen retrieval was performed with Tris-EDTA buffer (pH 9.0, Epitope Retrieval Solution2) for 20 mins.

Immunohistochemistry (Formalin/PFA-fixed paraffin-embedded sections) - Anti-Perilipin-1 antibody [EPR28189-12] - BSA and Azide free (AB316116)
  • IHC-P

Supplier Data

Immunohistochemistry (Formalin/PFA-fixed paraffin-embedded sections) - Anti-Perilipin-1 antibody [EPR28189-12] - BSA and Azide free (AB316116)

This data was developed using ab316115, the same antibody clone in a different buffer formulation.

Immunohistochemical analysis of paraffin-embedded Mouse skeletal muscle tissue labeling Perilipin-1 with ab316115 at 1/2000 (0.251 ug/ml) dilution, followed by a ready to use LeicaDS9800 (Bond™ Polymer Refine Detection).

Negative control : No staining on mouse skeletal muscle.
The section was incubated with ab316115 for 30 mins at room temperature.
The immunostaining was performed on a Leica Biosystems BOND® RX instrument

Counterstained with Hematoxylin.

Secondary antibody only control : Secondary antibody is a ready to use LeicaDS9800 (Bond™ Polymer Refine Detection).

Heat mediated antigen retrieval was performed with Tris-EDTA buffer (pH 9.0, Epitope Retrieval Solution2) for 20 mins

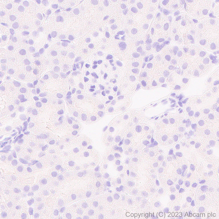
Immunohistochemistry (Formalin/PFA-fixed paraffin-embedded sections) - Anti-Perilipin-1 antibody [EPR28189-12] - BSA and Azide free (AB316116)
  • IHC-P

Supplier Data

Immunohistochemistry (Formalin/PFA-fixed paraffin-embedded sections) - Anti-Perilipin-1 antibody [EPR28189-12] - BSA and Azide free (AB316116)

This data was developed using ab316115, the same antibody clone in a different buffer formulation.

Immunohistochemical analysis of paraffin-embedded Mouse kidney tissue labeling Perilipin-1 with ab316115 at 1/2000 (0.251 ug/ml) dilution, followed by a ready to use LeicaDS9800 (Bond™ Polymer Refine Detection).

Negative control : No staining on mouse kidney.
The section was incubated with ab316115 for 30 mins at room temperature.
The immunostaining was performed on a Leica Biosystems BOND® RX instrument

Counterstained with Hematoxylin.

Secondary antibody only control : Secondary antibody is a ready to use LeicaDS9800 (Bond™ Polymer Refine Detection).

Heat mediated antigen retrieval was performed with Tris-EDTA buffer (pH 9.0, Epitope Retrieval Solution2) for 20 mins

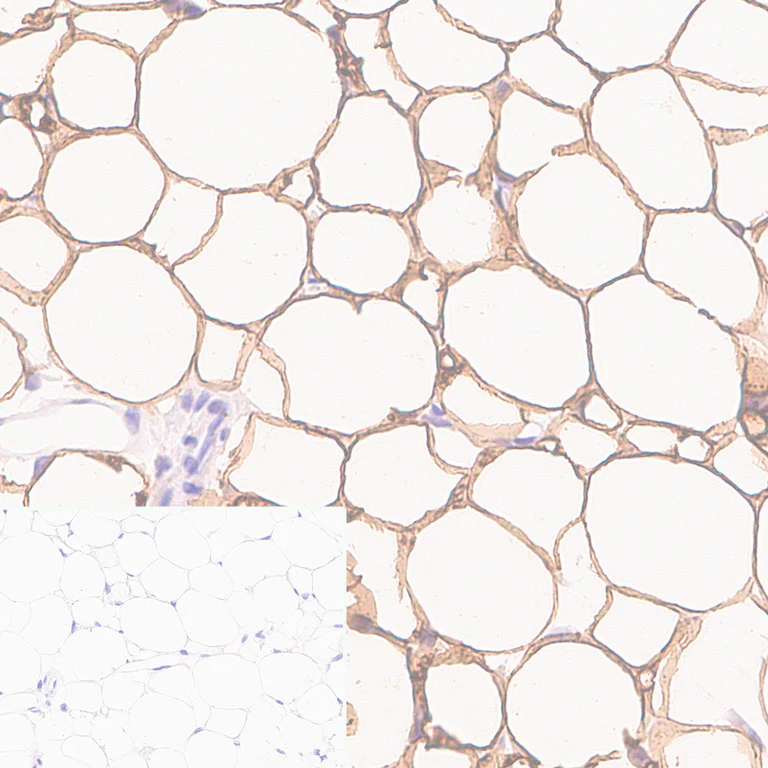
Immunohistochemistry (Formalin/PFA-fixed paraffin-embedded sections) - Anti-Perilipin-1 antibody [EPR28189-12] - BSA and Azide free (AB316116)
  • IHC-P

Supplier Data

Immunohistochemistry (Formalin/PFA-fixed paraffin-embedded sections) - Anti-Perilipin-1 antibody [EPR28189-12] - BSA and Azide free (AB316116)

This data was developed using ab316115, the same antibody clone in a different buffer formulation.

Immunohistochemical analysis of paraffin-embedded Mouse adipose tissue tissue labeling Perilipin-1 with ab316115 at 1/2000 (0.251 ug/ml) dilution, followed by a ready to use LeicaDS9800 (Bond™ Polymer Refine Detection).

Positive staining on mouse adipose tissue (PMID : 25289234).
The section was incubated with ab316115 for 30 mins at room temperature.
The immunostaining was performed on a Leica Biosystems BOND® RX instrument

Counterstained with Hematoxylin.

Secondary antibody only control : Secondary antibody is a ready to use LeicaDS9800 (Bond™ Polymer Refine Detection).

Heat mediated antigen retrieval was performed with Tris-EDTA buffer (pH 9.0, Epitope Retrieval Solution2) for 20 mins

Immunohistochemistry (Formalin/PFA-fixed paraffin-embedded sections) - Anti-Perilipin-1 antibody [EPR28189-12] - BSA and Azide free (AB316116)
  • IHC-P

Supplier Data

Immunohistochemistry (Formalin/PFA-fixed paraffin-embedded sections) - Anti-Perilipin-1 antibody [EPR28189-12] - BSA and Azide free (AB316116)

This data was developed using ab316115, the same antibody clone in a different buffer formulation.

Immunohistochemical analysis of paraffin-embedded Mouse testis tissue labeling Perilipin-1 with ab316115 at 1/2000 (0.251 ug/ml) dilution, followed by a ready to use LeicaDS9800 (Bond™ Polymer Refine Detection).

Positive staining on Leydig cells of mouse testis (PMID : 32580404).
The section was incubated with ab316115 for 30 mins at room temperature.
The immunostaining was performed on a Leica Biosystems BOND® RX instrument

Counterstained with Hematoxylin.

Secondary antibody only control : Secondary antibody is a ready to use LeicaDS9800 (Bond™ Polymer Refine Detection).

Heat mediated antigen retrieval was performed with Tris-EDTA buffer (pH 9.0, Epitope Retrieval Solution2) for 20 mins

Immunocytochemistry/ Immunofluorescence - Anti-Perilipin-1 antibody [EPR28189-12] - BSA and Azide free (AB316116)
  • ICC/IF

Supplier Data

Immunocytochemistry/ Immunofluorescence - Anti-Perilipin-1 antibody [EPR28189-12] - BSA and Azide free (AB316116)

This data was developed using ab316115, the same antibody clone in a different buffer formulation.

Immunofluorescent analysis of 4% Paraformaldehyde-fixed, 0.1% TritonX-100 permeabilized 3T3-L1 (mouse embryonic fibroblast) cells labelling Perilipin-1 with ab316115 at 1/500 (1.004 ug/ml) dilution, followed by ab150081 Goat Anti-Rabbit IgG H&L (Alexa Fluor® 488) preadsorbed antibody at 1/1000 (2 ug/mL) dilution (Green).

Confocal image showing cytoplasmic staining in differentiated 3T3-L1 cells.
Image was taken with a confocal microscope(Leica-Microsystems, TCS SP8).

ab195889 Anti-alpha Tubulin mouse monoclonal antibody - Microtubule Marker (Alexa Fluor® 594) was used to counterstain tubulin at 1/200 (2.5 ug/ml) dilution (Red). The Nuclear counterstain was DAPI (Blue).

Secondary antibody only control : Secondary antibody is ab150081 Goat Anti-Rabbit IgG H&L (Alexa Fluor® 488) preadsorbed at 1/1000 (2 ug/mL) dilution.

Multiplex immunohistochemistry - Anti-Perilipin-1 antibody [EPR28189-12] - BSA and Azide free (AB316116)
  • mIHC

Lab

Multiplex immunohistochemistry - Anti-Perilipin-1 antibody [EPR28189-12] - BSA and Azide free (AB316116)

This data was developed using ab316115, the same antibody clone in a different buffer formulation.

Multiplex immunohistochemistry analysis of formalin/PFA-fixed paraffin-embedded mouse breast tissue staining Heparan Sulfate Proteoglycan 2/Perlecan with ab315029 at a 1/100 dilution, ab324191 anti-E Cadherin used at 1/500 dilution and ab316115 anti-Perilipin-1 used at a 1/2000 dilution.

Panel A : merged staining of anti-Perlecan (green; Opal™520), anti-E Cadherin (magenta; Opal™690) and anti-Perilipin-1 (gray; Opal™570) on mouse breast.

Panel B : anti-Perlecan staining endothelium and basement membrane in mouse breast.

Panel C : anti-E Cadherin staining epithelium in mouse breast.

Panel D : anti-Perilipin-1 staining adipocytes in mouse breast.

Nuclear DNA was labeled with DAPI (shown in blue).

The section was incubated in three rounds of staining : in the order of ab325029, ab324191 and ab316115 for 30 mins at room temperature. Each round was followed by a separate fluorescent tyramide signal amplification system.

The immunostaining was performed on a Leica Biosystems BOND® RX instrument with an Opal™ 4-color kit. Image acquisition was performed with Leica SP8 confocal microscope.

Heat mediated antigen retrieval was performed with Tris-EDTA buffer (pH 9.0, Epitope Retrieval Solution2) for 20 mins.

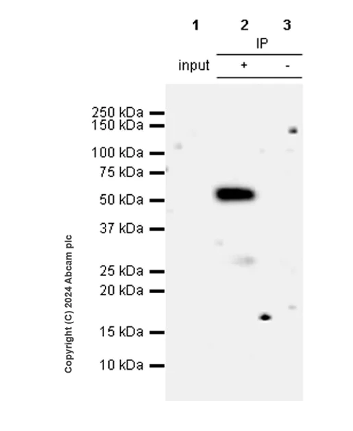
Immunoprecipitation - Anti-Perilipin-1 antibody [EPR28189-12] - BSA and Azide free (AB316116)
  • IP

Supplier Data

Immunoprecipitation - Anti-Perilipin-1 antibody [EPR28189-12] - BSA and Azide free (AB316116)

This data was developed using ab316115, the same antibody clone in a different buffer formulation.

Blocking and diluting buffer and concentration : 5% NFDM/TBST.

Perilipin-1 was immunoprecipitated from 0.35 mg 3T3-L1 (mouse embryonic fibroblast) differentiation for 6 days whole cell lysate with ab316115 at 1/30 dilution (2ug in 0.35mg lysates). Western blot was performed on the immunoprecipitate using ab316115 at 1/1000 dilution. VeriBlot for IP secondary antibody(HRP)(ab131366) was used at 1/5000 dilution.

Lane 1 : 3T3-L1 (mouse embryonic fibroblast) differentiation for 6 days whole cell lysate
Lane 2 : ab316115 IP in 3T3-L1 (mouse embryonic fibroblast) differentiation for 6 days whole cell lysate
Lane 3 : Rabbit monoclonal IgG (ab172730) instead of ab316115 in 3T3-L1 differentiation for 6 days whole cell lysate.

All lanes:

Immunoprecipitation - Anti-Perilipin-1 antibody [EPR28189-12] (<a href='/en-us/products/primary-antibodies/perilipin-1-antibody-epr28189-12-ab316115'>ab316115</a>) at 1/30 dilution

All lanes:

3T3-L1 (mouse embryonic fibroblast) differentiation for 6 days whole cell lysate

Secondary

All lanes:

Immunoprecipitation - VeriBlot for IP Detection Reagent (HRP) (<a href='/en-us/products/reagents/veriblot-for-ip-detection-reagent-hrp-ab131366'>ab131366</a>) at 1/5000 dilution

false

Exposure time: 137s

Key facts

Host species

Rabbit

Clonality

Monoclonal

Clone number

EPR28189-12

Isotype

IgG

Carrier free

Yes

Reacts with

Mouse

Applications

ICC/IF, mIHC, IHC-P, IP

applications

Immunogen

The exact immunogen used to generate this antibody is proprietary information.

Reactivity data

{ "title": "Reactivity Data", "filters": { "stats": ["", "Species", "Dilution Info", "Notes"], "tabs": { "all-applications": {"fullname" : "All Applications", "shortname": "All Applications"}, "IP" : {"fullname" : "Immunoprecipitation", "shortname":"IP"}, "IHCP" : {"fullname" : "Immunohistochemistry (Formalin/PFA-fixed paraffin-embedded sections)", "shortname":"IHC-P"}, "ICCIF" : {"fullname" : "Immunocytochemistry/ Immunofluorescence", "shortname":"ICC/IF"}, "WB" : {"fullname" : "Western blot", "shortname":"WB"}, "FlowCytIntra" : {"fullname" : "Flow Cytometry (Intracellular)", "shortname":"Flow Cyt (Intra)"}, "mIHC" : {"fullname" : "Multiplex immunohistochemistry", "shortname":"mIHC"} }, "product-promise": { "all": "all", "testedAndGuaranteed": "tested", "guaranteed": "expected", "predicted": "predicted", "notRecommended": "not-recommended" } }, "values": { "Human": { "IP-species-checked": "notRecommended", "IP-species-dilution-info": "", "IP-species-notes": "", "IHCP-species-checked": "notRecommended", "IHCP-species-dilution-info": "", "IHCP-species-notes": "<p></p>", "ICCIF-species-checked": "notRecommended", "ICCIF-species-dilution-info": "", "ICCIF-species-notes": "", "WB-species-checked": "notRecommended", "WB-species-dilution-info": "", "WB-species-notes": "<p></p>", "FlowCytIntra-species-checked": "notRecommended", "FlowCytIntra-species-dilution-info": "", "FlowCytIntra-species-notes": "", "mIHC-species-checked": "notRecommended", "mIHC-species-dilution-info": "", "mIHC-species-notes": "" }, "Mouse": { "IP-species-checked": "testedAndGuaranteed", "IP-species-dilution-info": "", "IP-species-notes": "<p></p>", "IHCP-species-checked": "testedAndGuaranteed", "IHCP-species-dilution-info": "", "IHCP-species-notes": "<p></p>", "ICCIF-species-checked": "testedAndGuaranteed", "ICCIF-species-dilution-info": "", "ICCIF-species-notes": "<p></p>", "WB-species-checked": "notRecommended", "WB-species-dilution-info": "", "WB-species-notes": "<p></p>", "FlowCytIntra-species-checked": "notRecommended", "FlowCytIntra-species-dilution-info": "", "FlowCytIntra-species-notes": "<p></p>", "mIHC-species-checked": "testedAndGuaranteed", "mIHC-species-dilution-info": "", "mIHC-species-notes": "<p></p>" }, "Rat": { "IP-species-checked": "notRecommended", "IP-species-dilution-info": "", "IP-species-notes": "", "IHCP-species-checked": "notRecommended", "IHCP-species-dilution-info": "", "IHCP-species-notes": "<p></p>", "ICCIF-species-checked": "notRecommended", "ICCIF-species-dilution-info": "", "ICCIF-species-notes": "", "WB-species-checked": "notRecommended", "WB-species-dilution-info": "", "WB-species-notes": "<p></p>", "FlowCytIntra-species-checked": "notRecommended", "FlowCytIntra-species-dilution-info": "", "FlowCytIntra-species-notes": "", "mIHC-species-checked": "notRecommended", "mIHC-species-dilution-info": "", "mIHC-species-notes": "" } } }

Product details

ab316116 is the carrirer-free version of ab316115.

Patented technology
Our RabMAb® technology is a patented hybridoma-based technology for making rabbit monoclonal antibodies. For details on our patents, please refer to RabMAb® patents.

What are the advantages of a recombinant monoclonal antibody?
This product is a recombinant monoclonal antibody, which offers several advantages including:

  • - High batch-to-batch consistency and reproducibility
  • - Improved sensitivity and specificity
  • - Long-term security of supply
  • - Animal-free batch production

For more information, read more on recombinant antibodies.

Conjugation ready
Our carrier-free antibodies are typically supplied in a PBS-only formulation, purified and free of BSA, sodium azide and glycerol. This conjugation-ready format is designed for use with fluorochromes, metal isotopes, oligonucleotides, and enzymes, which makes them ideal for antibody labelling, functional and cell-based assays, flow-based assays (e.g. mass cytometry) and Multiplex Imaging applications.

Use our conjugation kits for antibody conjugates that are ready-to-use in as little as 20 minutes with 1 minute hands-on-time and 100% antibody recovery: available for fluorescent dyes, HRP, biotin and gold.

Compatibility
This product is compatible with the Maxpar® Antibody Labeling Kit from Fluidigm, without the need for antibody preparation. Maxpar® is a trademark of Fluidigm Canada Inc.

Properties and storage information

Form
Liquid
Purification technique
Affinity purification Protein A
Storage buffer
pH: 7.2 - 7.4 Constituents: PBS
Shipped at conditions
Blue Ice
Appropriate short-term storage conditions
+4°C
Appropriate long-term storage conditions
+4°C

Supplementary information

This supplementary information is collated from multiple sources and compiled automatically.

Perilipin-1 also known as PLIN1 is a protein with a mass of approximately 57 kDa. It plays an important role in lipid metabolism within adipose tissue. This protein is mainly found in adipocytes where it coats lipid droplets. By controlling the access of lipases to the lipid core Perilipin-1 regulates lipolysis. It prevents unnecessary breakdown of lipids by acting as a barrier and ensuring the protection and storage of energy reserves. This targeted regulation is important for maintaining energy homeostasis in the body.
Biological function summary

Perilipin-1 influences cellular energy balance and fat storage. It is an important member of the PAT family of proteins which includes perilipin A. Perilipin-1 does not typically form part of a larger protein complex; however it works closely with other proteins on the surface of lipid droplets. Its presence on the droplet surface is essential for controlling lipid mobilization particularly during fasting or energy-deprived states when organisms require a mechanism to access stored energy efficiently.

Pathways

The activity of Perilipin-1 is important in the lipolytic pathway. This pathway is involved in hydrolyzing stored triglycerides into free fatty acids and glycerol an essential process in energy metabolism. Perilipin-1 acts in tandem with hormone-sensitive lipase (HSL) to regulate this pathway. Upon activation by adrenaline or other stimuli perilipin-1 undergoes phosphorylation which in turn facilitates HSL translocation to the lipid droplet and enhances lipolysis. Besides its direct role Perilipin-1 also interacts with adipose triglyceride lipase (ATGL) further impacting lipid breakdown processes.

The dysfunction of Perilipin-1 can lead to metabolic diseases like obesity and type 2 diabetes. Abnormal regulation or mutations in the Perilipin-1 gene have been observed in these conditions affecting normal lipid metabolism. Disordered Perilipin-1 function can lead to excessive lipid storage impaired energy mobilization and increased insulin resistance. Additionally Perilipin-1 interacts indirectly with other proteins such as perilipin-2 which can also influence the development of these metabolic disorders. Understanding these interactions helps in exploring therapeutic strategies aimed at targeting lipid metabolism and related diseases.

Product protocols

For this product, it's our understanding that no specific protocols are required. You can visit:

Target data

Modulator of adipocyte lipid metabolism. Coats lipid storage droplets to protect them from breakdown by hormone-sensitive lipase (HSL). Its absence may result in leanness (By similarity). Plays a role in unilocular lipid droplet formation by activating CIDEC. Their interaction promotes lipid droplet enlargement and directional net neutral lipid transfer. May modulate lipolysis and triglyceride levels.
See full target information Plin1

Product promise

We are committed to supporting your work with high-quality reagents, and we're here for you every step of the way. In the unlikely event that one of our products does not perform as expected, you're protected by our Product Promise.
For full details, please see our Terms & Conditions

Please note: All products are 'FOR RESEARCH USE ONLY. NOT FOR USE IN DIAGNOSTIC OR THERAPEUTIC PROCEDURES'.

For licensing inquiries, please contact partnerships@abcam.com