JavaScript is disabled in your browser. Please enable JavaScript to view this website.
AB181463

Anti-Perilipin-2 antibody [2C5A3]

Be the first to review this product! Submit a review

|

(3 Publications)

Mouse Monoclonal Perilipin-2 antibody. Suitable for WB, IHC-P and reacts with Transfected cell lysate, Human samples. Cited in 3 publications. Immunogen corresponding to Recombinant Fragment Protein within Human PLIN2 aa 250 to C-terminus.

View Alternative Names

ADFP, PLIN2, Perilipin-2, Adipophilin, Adipose differentiation-related protein, ADRP

4 Images
Immunohistochemistry (Formalin/PFA-fixed paraffin-embedded sections) - Anti-Perilipin-2 antibody [2C5A3] (AB181463)
  • IHC-P

Supplier Data

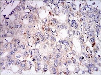
Immunohistochemistry (Formalin/PFA-fixed paraffin-embedded sections) - Anti-Perilipin-2 antibody [2C5A3] (AB181463)

Immunohistochemical analysis of paraffin-embedded Human liver cancer tissue labeling Perilipin-2 with ab181463 at 1/200 dilution.

Immunohistochemistry (Formalin/PFA-fixed paraffin-embedded sections) - Anti-Perilipin-2 antibody [2C5A3] (AB181463)
  • IHC-P

Supplier Data

Immunohistochemistry (Formalin/PFA-fixed paraffin-embedded sections) - Anti-Perilipin-2 antibody [2C5A3] (AB181463)

Immunohistochemical analysis of paraffin-embedded Human esophageal cancer tissue labeling Perilipin-2 with ab181463 at 1/200 dilution.

Western blot - Anti-Perilipin-2 antibody [2C5A3] (AB181463)
  • WB

Supplier Data

Western blot - Anti-Perilipin-2 antibody [2C5A3] (AB181463)

All lanes:

Western blot - Anti-Perilipin-2 antibody [2C5A3] (ab181463) at 1/500 dilution

Lane 1:

HEK293 cell lysate.

Lane 2:

Perilipin-2 (Amino acids : 286-437)-hIgGFc transfected HEK293 cell lysate.

Predicted band size: 48 kDa

false

Western blot - Anti-Perilipin-2 antibody [2C5A3] (AB181463)
  • WB

Supplier Data

Western blot - Anti-Perilipin-2 antibody [2C5A3] (AB181463)

Expected MWt is 42.6 kDa.

All lanes:

Western blot - Anti-Perilipin-2 antibody [2C5A3] (ab181463) at 1/500 dilution

All lanes:

Perilipin-2 recombinant protein.

Predicted band size: 48 kDa

false

Key facts

Host species

Mouse

Clonality

Monoclonal

Clone number

2C5A3

Isotype

IgG1

Carrier free

No

Reacts with

Human

Applications

IHC-P, WB

applications

Immunogen

Recombinant Fragment Protein within Human PLIN2 aa 250 to C-terminus. The exact immunogen used to generate this antibody is proprietary information.

Q99541

Reactivity data

{ "title": "Reactivity Data", "filters": { "stats": ["", "Species", "Dilution Info", "Notes"], "tabs": { "all-applications": {"fullname" : "All Applications", "shortname": "All Applications"}, "WB" : {"fullname" : "Western blot", "shortname":"WB"}, "IHCP" : {"fullname" : "Immunohistochemistry (Formalin/PFA-fixed paraffin-embedded sections)", "shortname":"IHC-P"} }, "product-promise": { "all": "all", "testedAndGuaranteed": "tested", "guaranteed": "expected", "predicted": "predicted", "notRecommended": "not-recommended" } }, "values": { "Human": { "WB-species-checked": "testedAndGuaranteed", "WB-species-dilution-info": "1/500 - 1/2000", "WB-species-notes": "<p></p>", "IHCP-species-checked": "testedAndGuaranteed", "IHCP-species-dilution-info": "1/200 - 1/1000", "IHCP-species-notes": "<p></p>" }, "Transfected cell lysate": { "WB-species-checked": "testedAndGuaranteed", "WB-species-dilution-info": "1/500 - 1/2000", "WB-species-notes": "<p></p>", "IHCP-species-checked": "notRecommended", "IHCP-species-dilution-info": "", "IHCP-species-notes": "" } } }

Product details

This product was changed from ascites to supernatant. Lot no's high than GR154667-17 are from Tissue Culture Supernatant

Properties and storage information

Form
Liquid
Purification technique
Affinity purification Protein G
Purification notes
Purified from tissue culture supernatant.
Storage buffer
Preservative: 0.05% Sodium azide Constituents: PBS
Shipped at conditions
Blue Ice
Appropriate short-term storage duration
1-2 weeks
Appropriate short-term storage conditions
+4°C
Appropriate long-term storage conditions
-20°C
Aliquoting information
Upon delivery aliquot
Storage information
Avoid freeze / thaw cycle

Supplementary information

This supplementary information is collated from multiple sources and compiled automatically.

The protein Perilipin-2 also known as PLIN2 ADFP or adipophilin has an approximate molecular weight of 48 kDa. It is primarily expressed in tissues involved in lipid metabolism like adipose tissue liver and muscle. The main role of Perilipin-2 is to coat lipid droplets in cells thereby regulating lipid storage and breakdown. This protein serves as a critical component of the lipid droplet surface providing structure and protecting the lipid core from excessive unregulated lipolysis.
Biological function summary

Perilipin-2 is a member of the PAT family proteins involved in lipid droplet formation and maintenance. It does not typically form part of larger complexes but it plays a significant role in cellular energy regulation by controlling lipid reserves. This regulation ensures an efficient balance between energy storage and mobilization. The presence and levels of Perilipin-2 can influence how cells respond to nutrients particularly during periods of energy surplus or fasting.

Pathways

Perilipin-2 is heavily involved in the regulation of lipid metabolic pathways and the storage-related signaling cascades. It interacts with key metabolic proteins including hormone-sensitive lipase (HSL) to modulate lipolysis. By doing so Perilipin-2 influences processes like fatty acid mobilization and glycerol release integrating perfectly into the cellular energy balance system. The protein is also related to perilipin another member of the lipid droplet-associated proteins emphasizing its participation in lipid metabolism.

Altered expression of Perilipin-2 can have implications in obesity and fatty liver disease. The protein is involved in the accumulation of lipid droplets which is a common feature in these conditions. Obesity and associated disorders often show elevated levels of Perilipin-2 which mirrors increased lipid storage capacity. The protein’s interplay with adipose tissue composition highlights its connection to obesity-related factors including other lipid droplet-associated proteins like adipose triglyceride lipase (ATGL) which influence the progression of metabolic diseases.

Product protocols

For this product, it's our understanding that no specific protocols are required. You can visit:

Target data

Structural component of lipid droplets, which is required for the formation and maintenance of lipid storage droplets.
See full target information PLIN2

Publications (3)

Recent publications for all applications. Explore the full list and refine your search

JCI insight 7: PubMed35801590

2022

Abnormal lipid metabolism in epidermal Langerhans cells mediates psoriasis-like dermatitis.

Applications

Unspecified application

Species

Unspecified reactive species

Xilin Zhang,Xiaorui Li,Yuanyuan Wang,Youdong Chen,Yijun Hu,Chunyuan Guo,Zengyang Yu,Peng Xu,Yangfeng Ding,Qing-Sheng Mi,Jianhua Wu,Jun Gu,Yuling Shi

American journal of respiratory and critical care medicine 204:227-230 PubMed34015242

2021

Lipofibroblasts in Structurally Normal, Fibrotic, and Emphysematous Human Lungs.

Applications

Unspecified application

Species

Unspecified reactive species

Julia Schipke,Susanne Kuhlmann,Jan Hegermann,Susanne Fassbender,Mark Kühnel,Danny Jonigk,Christian Mühlfeld

Open life sciences 16:384-394 PubMed33981845

2021

Long noncoding RNA TUG1 regulates degradation of chondrocyte extracellular matrix via miR-320c/MMP-13 axis in osteoarthritis.

Applications

Unspecified application

Species

Unspecified reactive species

Hu Han,Lijuan Liu
View all publications

Product promise

We are committed to supporting your work with high-quality reagents, and we're here for you every step of the way. In the unlikely event that one of our products does not perform as expected, you're protected by our Product Promise.
For full details, please see our Terms & Conditions

Please note: All products are 'FOR RESEARCH USE ONLY. NOT FOR USE IN DIAGNOSTIC OR THERAPEUTIC PROCEDURES'.

For licensing inquiries, please contact partnerships@abcam.com