JavaScript is disabled in your browser. Please enable JavaScript to view this website.
AB181452

Anti-Perilipin-2 antibody [2C5H8]

0

(1 Review)

|

(6 Publications)

Mouse Monoclonal Perilipin-2 antibody. Suitable for Flow Cyt, WB, IHC-P, ICC/IF and reacts with Human, Transfected cell lysate samples. Cited in 6 publications. Immunogen corresponding to Recombinant Fragment Protein within Human PLIN2 aa 250 to C-terminus.

View Alternative Names

ADFP, PLIN2, Perilipin-2, Adipophilin, Adipose differentiation-related protein, ADRP

7 Images
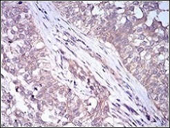
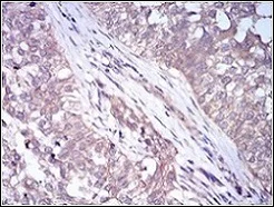
Immunohistochemistry (Formalin/PFA-fixed paraffin-embedded sections) - Anti-Perilipin-2 antibody [2C5H8] (AB181452)
  • IHC-P

Supplier Data

Immunohistochemistry (Formalin/PFA-fixed paraffin-embedded sections) - Anti-Perilipin-2 antibody [2C5H8] (AB181452)

Immunohistochemical analysis of paraffin-embedded Human bladder cancer tissue labeling Perilipin-2 with ab181452 at 1/200 dilution.

Immunocytochemistry/ Immunofluorescence - Anti-Perilipin-2 antibody [2C5H8] (AB181452)
  • ICC/IF

Supplier Data

Immunocytochemistry/ Immunofluorescence - Anti-Perilipin-2 antibody [2C5H8] (AB181452)

Immunofluorescent analysis of HepG2 cells labeling Perilipin-2 with ab181452 (green) at 1/200 dilution. Blue : DRAQ5 fluorescent DNA dye.

Flow Cytometry - Anti-Perilipin-2 antibody [2C5H8] (AB181452)
  • Flow Cyt

Supplier Data

Flow Cytometry - Anti-Perilipin-2 antibody [2C5H8] (AB181452)

Flow cytometric analysis of HepG2 cells labeling Perilipin-2 with ab181452 (green) at 1/200 dilution, and negative control (red).

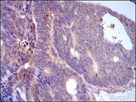
Immunohistochemistry (Formalin/PFA-fixed paraffin-embedded sections) - Anti-Perilipin-2 antibody [2C5H8] (AB181452)
  • IHC-P

Supplier Data

Immunohistochemistry (Formalin/PFA-fixed paraffin-embedded sections) - Anti-Perilipin-2 antibody [2C5H8] (AB181452)

Immunohistochemical analysis of paraffin-embedded Human rectum cancer tissue labeling Perilipin-2 with ab181452 at 1/200 dilution.

Western blot - Anti-Perilipin-2 antibody [2C5H8] (AB181452)
  • WB

Supplier Data

Western blot - Anti-Perilipin-2 antibody [2C5H8] (AB181452)

All lanes:

Western blot - Anti-Perilipin-2 antibody [2C5H8] (ab181452) at 1/500 dilution

All lanes:

HepG2 cell lysate

Predicted band size: 48 kDa

false

Western blot - Anti-Perilipin-2 antibody [2C5H8] (AB181452)
  • WB

Supplier Data

Western blot - Anti-Perilipin-2 antibody [2C5H8] (AB181452)

All lanes:

Western blot - Anti-Perilipin-2 antibody [2C5H8] (ab181452) at 1/500 dilution

All lanes:

Perilipin-2 recombinant protein

Predicted band size: 48 kDa

false

Western blot - Anti-Perilipin-2 antibody [2C5H8] (AB181452)
  • WB

Supplier Data

Western blot - Anti-Perilipin-2 antibody [2C5H8] (AB181452)

All lanes:

Western blot - Anti-Perilipin-2 antibody [2C5H8] (ab181452) at 1/500 dilution

Lane 1:

HEK293 cell lysate

Lane 2:

Perilipin-2-transfected HEK293 cell lysate

Predicted band size: 48 kDa

false

Key facts

Host species

Mouse

Clonality

Monoclonal

Clone number

2C5H8

Isotype

IgG1

Carrier free

No

Reacts with

Human

Applications

IHC-P, WB, ICC/IF, Flow Cyt

applications

Immunogen

Recombinant Fragment Protein within Human PLIN2 aa 250 to C-terminus. The exact immunogen used to generate this antibody is proprietary information.

Q99541

Reactivity data

{ "title": "Reactivity Data", "filters": { "stats": ["", "Species", "Dilution Info", "Notes"], "tabs": { "all-applications": {"fullname" : "All Applications", "shortname": "All Applications"}, "FlowCyt" : {"fullname" : "Flow Cytometry", "shortname":"Flow Cyt"}, "WB" : {"fullname" : "Western blot", "shortname":"WB"}, "IHCP" : {"fullname" : "Immunohistochemistry (Formalin/PFA-fixed paraffin-embedded sections)", "shortname":"IHC-P"}, "ICCIF" : {"fullname" : "Immunocytochemistry/ Immunofluorescence", "shortname":"ICC/IF"} }, "product-promise": { "all": "all", "testedAndGuaranteed": "tested", "guaranteed": "expected", "predicted": "predicted", "notRecommended": "not-recommended" } }, "values": { "Human": { "FlowCyt-species-checked": "testedAndGuaranteed", "FlowCyt-species-dilution-info": "1/200 - 1/400", "FlowCyt-species-notes": "<p><a href='/en-us/products/primary-antibodies/mouse-igg1-kappa-monoclonal-15-6e10a7-isotype-control-ab170190'>ab170190</a> - Mouse monoclonal IgG1, is suitable for use as an isotype control with this antibody.</p>", "WB-species-checked": "testedAndGuaranteed", "WB-species-dilution-info": "1/500 - 1/2000", "WB-species-notes": "<p></p>", "IHCP-species-checked": "testedAndGuaranteed", "IHCP-species-dilution-info": "1/200 - 1/1000", "IHCP-species-notes": "<p></p>", "ICCIF-species-checked": "testedAndGuaranteed", "ICCIF-species-dilution-info": "1/200 - 1/1000", "ICCIF-species-notes": "<p></p>" }, "Cow": { "FlowCyt-species-checked": "predicted", "FlowCyt-species-dilution-info": "", "FlowCyt-species-notes": "", "WB-species-checked": "predicted", "WB-species-dilution-info": "", "WB-species-notes": "", "IHCP-species-checked": "predicted", "IHCP-species-dilution-info": "", "IHCP-species-notes": "", "ICCIF-species-checked": "predicted", "ICCIF-species-dilution-info": "", "ICCIF-species-notes": "" }, "Transfected cell lysate": { "FlowCyt-species-checked": "notRecommended", "FlowCyt-species-dilution-info": "", "FlowCyt-species-notes": "", "WB-species-checked": "testedAndGuaranteed", "WB-species-dilution-info": "1/500 - 1/2000", "WB-species-notes": "<p></p>", "IHCP-species-checked": "notRecommended", "IHCP-species-dilution-info": "", "IHCP-species-notes": "", "ICCIF-species-checked": "notRecommended", "ICCIF-species-dilution-info": "", "ICCIF-species-notes": "" } } }

Product details

This product was changed from ascites to supernatant. Lot no's high than GR197175-12 are from Tissue Culture Supernatant

Properties and storage information

Form
Liquid
Purification technique
Affinity purification Protein G
Purification notes
Purified from tissue culture supernatant.
Storage buffer
Preservative: 0.05% Sodium azide Constituents: PBS
Shipped at conditions
Blue Ice
Appropriate short-term storage duration
1-2 weeks
Appropriate short-term storage conditions
+4°C
Appropriate long-term storage conditions
-20°C
Aliquoting information
Upon delivery aliquot
Storage information
Avoid freeze / thaw cycle

Supplementary information

This supplementary information is collated from multiple sources and compiled automatically.

The protein Perilipin-2 also known as PLIN2 ADFP or adipophilin has an approximate molecular weight of 48 kDa. It is primarily expressed in tissues involved in lipid metabolism like adipose tissue liver and muscle. The main role of Perilipin-2 is to coat lipid droplets in cells thereby regulating lipid storage and breakdown. This protein serves as a critical component of the lipid droplet surface providing structure and protecting the lipid core from excessive unregulated lipolysis.
Biological function summary

Perilipin-2 is a member of the PAT family proteins involved in lipid droplet formation and maintenance. It does not typically form part of larger complexes but it plays a significant role in cellular energy regulation by controlling lipid reserves. This regulation ensures an efficient balance between energy storage and mobilization. The presence and levels of Perilipin-2 can influence how cells respond to nutrients particularly during periods of energy surplus or fasting.

Pathways

Perilipin-2 is heavily involved in the regulation of lipid metabolic pathways and the storage-related signaling cascades. It interacts with key metabolic proteins including hormone-sensitive lipase (HSL) to modulate lipolysis. By doing so Perilipin-2 influences processes like fatty acid mobilization and glycerol release integrating perfectly into the cellular energy balance system. The protein is also related to perilipin another member of the lipid droplet-associated proteins emphasizing its participation in lipid metabolism.

Altered expression of Perilipin-2 can have implications in obesity and fatty liver disease. The protein is involved in the accumulation of lipid droplets which is a common feature in these conditions. Obesity and associated disorders often show elevated levels of Perilipin-2 which mirrors increased lipid storage capacity. The protein’s interplay with adipose tissue composition highlights its connection to obesity-related factors including other lipid droplet-associated proteins like adipose triglyceride lipase (ATGL) which influence the progression of metabolic diseases.

Product protocols

For this product, it's our understanding that no specific protocols are required. You can visit:

Target data

Structural component of lipid droplets, which is required for the formation and maintenance of lipid storage droplets.
See full target information PLIN2

Publications (6)

Recent publications for all applications. Explore the full list and refine your search

Journal of dairy science 107:9897-9914 PubMed38851581

2024

Diacylglycerol O-acyltransferase isoforms play a role in peridroplet mitochondrial fatty acid metabolism in bovine liver.

Applications

Unspecified application

Species

Unspecified reactive species

Shuang Wang,Bingbing Zhang,John Mauck,Juan J Loor,Wenwen Fan,Yan Tian,Tianjiao Yang,Yaqi Chang,Meng Xie,Ben Aernouts,Wei Yang,Chuang Xu

Nature communications 13:6577 PubMed36323699

2022

Phosphorylation of 17β-hydroxysteroid dehydrogenase 13 at serine 33 attenuates nonalcoholic fatty liver disease in mice.

Applications

Unspecified application

Species

Unspecified reactive species

Wen Su,Sijin Wu,Yongliang Yang,Yanlin Guo,Haibo Zhang,Jie Su,Lei Chen,Zhuo Mao,Rongfeng Lan,Rong Cao,Chunjiong Wang,Hu Xu,Cong Zhang,Sha Li,Min Gao,Xiaocong Chen,Zhiyou Zheng,Bing Wang,Yi'ao Liu,Zuojun Liu,Zimei Wang,Baohua Liu,Xinmin Fan,Xiaoyan Zhang,Youfei Guan

Cell death discovery 8:401 PubMed36180463

2022

ACE2 deficiency exacerbates obesity-related glomerulopathy through its role in regulating lipid metabolism.

Applications

Unspecified application

Species

Unspecified reactive species

Yin-Yin Che,Han Hong,Yu-Ting Lei,Jia Zou,Yi-Ya Yang,Li-Yu He

Frontiers in oncology 12:824235 PubMed35372038

2022

Lipid Droplet-Related PLIN2 in CD68 Tumor-Associated Macrophage of Oral Squamous Cell Carcinoma: Implications for Cancer Prognosis and Immunotherapy.

Applications

Unspecified application

Species

Unspecified reactive species

Yijia He,Yuexin Dong,Xinwen Zhang,Zhuang Ding,Yuxian Song,Xiaofeng Huang,Sheng Chen,Zhiyong Wang,Yanhong Ni,Liang Ding

Cancer science 110:3533-3542 PubMed31489722

2019

Mitochondrial E3 ubiquitin ligase 1 promotes autophagy flux to suppress the development of clear cell renal cell carcinomas.

Applications

Unspecified application

Species

Unspecified reactive species

Yaoji Yuan,Xiezhao Li,Yuyu Xu,Haibo Zhao,Zhengming Su,Dehui Lai,Weiqing Yang,Shuangxing Chen,Yongzhong He,Xun Li,Leyuan Liu,Guibin Xu

Medicine 97:e12392 PubMed30278515

2018

Optical tissue clearing in combination with perfusion and immunofluorescence for placental vascular imaging.

Applications

Unspecified application

Species

Unspecified reactive species

Maira Carrillo,Marcel Chuecos,Kushal Gandhi,Andrey Bednov,David Lee Moore,James Maher,Gary Ventolini,Guangchen Ji,Natalia Schlabritz-Loutsevitch
View all publications

Product promise

We are committed to supporting your work with high-quality reagents, and we're here for you every step of the way. In the unlikely event that one of our products does not perform as expected, you're protected by our Product Promise.
For full details, please see our Terms & Conditions

Please note: All products are 'FOR RESEARCH USE ONLY. NOT FOR USE IN DIAGNOSTIC OR THERAPEUTIC PROCEDURES'.

For licensing inquiries, please contact partnerships@abcam.com