JavaScript is disabled in your browser. Please enable JavaScript to view this website.
AB52356

Anti-Perilipin 2 antibody

4

(3 Reviews)

|

(38 Publications)

Anti-Perilipin 2 antibody (ab52356) is a rabbit polyclonal antibody detecting Perilipin-2 in Western Blot, IHC-P. Suitable for Human, Mouse.

- Over 30 publications
- Trusted since 2007

View Alternative Names

ADFP, PLIN2, Perilipin-2, Adipophilin, Adipose differentiation-related protein, ADRP

3 Images
Western blot - Anti-Perilipin 2 antibody (AB52356)
  • WB

Unknown

Western blot - Anti-Perilipin 2 antibody (AB52356)

All lanes:

Western blot - Anti-Perilipin 2 antibody (ab52356) at 2 µg/mL

All lanes:

mouse liver lysate

Predicted band size: 48 kDa

Observed band size: 48 kDa

false

Immunocytochemistry - Anti-Perilipin 2 antibody (AB52356)
  • ICC

Supplier Data

Immunocytochemistry - Anti-Perilipin 2 antibody (AB52356)

ab52356 staining Perilipin-2 in HeLa cells at 1/50 dilution. Hoechst 33258 was used as a nuclear counterstain.

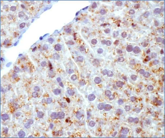
Immunohistochemistry (Formalin/PFA-fixed paraffin-embedded sections) - Anti-Perilipin 2 antibody (AB52356)
  • IHC-P

Lab

Immunohistochemistry (Formalin/PFA-fixed paraffin-embedded sections) - Anti-Perilipin 2 antibody (AB52356)

Immunohistochemical analysis of mouse liver tissue staining Perilipin-2 using ab52356.

Key facts

Host species

Rabbit

Clonality

Polyclonal

Isotype

IgG

Carrier free

No

Reacts with

Mouse, Human

Applications

IHC-P, WB, ICC

applications

Immunogen

Synthetic Peptide within Mouse Plin2. The exact immunogen used to generate this antibody is proprietary information.

P43883

Reactivity data

{ "title": "Reactivity Data", "filters": { "stats": ["", "Species", "Dilution Info", "Notes"], "tabs": { "all-applications": {"fullname" : "All Applications", "shortname": "All Applications"}, "ICC" : {"fullname" : "Immunocytochemistry", "shortname":"ICC"}, "WB" : {"fullname" : "Western blot", "shortname":"WB"}, "IHCP" : {"fullname" : "Immunohistochemistry (Formalin/PFA-fixed paraffin-embedded sections)", "shortname":"IHC-P"} }, "product-promise": { "all": "all", "testedAndGuaranteed": "tested", "guaranteed": "expected", "predicted": "predicted", "notRecommended": "not-recommended" } }, "values": { "Human": { "ICC-species-checked": "testedAndGuaranteed", "ICC-species-dilution-info": "1/50 - 1/200", "ICC-species-notes": "<p></p>", "WB-species-checked": "guaranteed", "WB-species-dilution-info": "", "WB-species-notes": "", "IHCP-species-checked": "guaranteed", "IHCP-species-dilution-info": "", "IHCP-species-notes": "" }, "Mouse": { "ICC-species-checked": "guaranteed", "ICC-species-dilution-info": "", "ICC-species-notes": "", "WB-species-checked": "testedAndGuaranteed", "WB-species-dilution-info": "2 µg/mL", "WB-species-notes": "<p></p>", "IHCP-species-checked": "testedAndGuaranteed", "IHCP-species-dilution-info": "1/200", "IHCP-species-notes": "<p></p>" } } }

Have you thought about this alternative?

AB108323

Anti-Perilipin 2 antibody [EPR3713]

4
3 Reviews
View product

We’re constantly upgrading our range to offer the highest quality products. We have selected this alternative product for your review because it gives improved performance, is easier and more convenient to use, or is available faster.

Product details

What is this antibody validated in?
Anti-Perilipin 2 antibody (ab52356) is a rabbit polyclonal antibody and is validated for use in Western Blot (WB), Immunohistochemistry (IHC-P) in Human, Mouse samples.

What is the molecular weight of Perilipin-2?
Anti-Perilipin 2 (ab52356) specifically detects a band for Perilipin-2 (UniProt: Q99541) at a molecular weight of 48kDa.

Trusted by the scientific community
Anti-Perilipin 2 (ab52356) was first used in a scientific publication in 2007 and has been cited over 30 times in peer-reviewed journals.

Properties and storage information

Form
Liquid
Purification technique
Affinity purification Immunogen
Storage buffer
pH: 7.4 Constituents: PBS, 30% Glycerol (glycerin, glycerine)
Shipped at conditions
Blue Ice
Appropriate short-term storage conditions
+4°C
Appropriate long-term storage conditions
-20°C
Aliquoting information
Upon delivery aliquot
Storage information
Avoid freeze / thaw cycle

Supplementary information

This supplementary information is collated from multiple sources and compiled automatically.

The protein Perilipin-2 also known as PLIN2 ADFP or adipophilin has an approximate molecular weight of 48 kDa. It is primarily expressed in tissues involved in lipid metabolism like adipose tissue liver and muscle. The main role of Perilipin-2 is to coat lipid droplets in cells thereby regulating lipid storage and breakdown. This protein serves as a critical component of the lipid droplet surface providing structure and protecting the lipid core from excessive unregulated lipolysis.
Biological function summary

Perilipin-2 is a member of the PAT family proteins involved in lipid droplet formation and maintenance. It does not typically form part of larger complexes but it plays a significant role in cellular energy regulation by controlling lipid reserves. This regulation ensures an efficient balance between energy storage and mobilization. The presence and levels of Perilipin-2 can influence how cells respond to nutrients particularly during periods of energy surplus or fasting.

Pathways

Perilipin-2 is heavily involved in the regulation of lipid metabolic pathways and the storage-related signaling cascades. It interacts with key metabolic proteins including hormone-sensitive lipase (HSL) to modulate lipolysis. By doing so Perilipin-2 influences processes like fatty acid mobilization and glycerol release integrating perfectly into the cellular energy balance system. The protein is also related to perilipin another member of the lipid droplet-associated proteins emphasizing its participation in lipid metabolism.

Altered expression of Perilipin-2 can have implications in obesity and fatty liver disease. The protein is involved in the accumulation of lipid droplets which is a common feature in these conditions. Obesity and associated disorders often show elevated levels of Perilipin-2 which mirrors increased lipid storage capacity. The protein’s interplay with adipose tissue composition highlights its connection to obesity-related factors including other lipid droplet-associated proteins like adipose triglyceride lipase (ATGL) which influence the progression of metabolic diseases.

Product protocols

For this product, it's our understanding that no specific protocols are required. You can visit:

Target data

Structural component of lipid droplets, which is required for the formation and maintenance of lipid storage droplets.
See full target information PLIN2

Publications (38)

Recent publications for all applications. Explore the full list and refine your search

Nature communications 14:5197 PubMed37626048

2023

Microglial REV-ERBα regulates inflammation and lipid droplet formation to drive tauopathy in male mice.

Applications

Unspecified application

Species

Unspecified reactive species

Jiyeon Lee,Julie M Dimitry,Jong Hee Song,Minsoo Son,Patrick W Sheehan,Melvin W King,G Travis Tabor,Young Ah Goo,Mitchell A Lazar,Leonard Petrucelli,Erik S Musiek

Journal of cachexia, sarcopenia and muscle 14:1454-1467 PubMed37057345

2023

Identification of Ubr1 as an amino acid sensor of steatosis in liver and muscle.

Applications

Unspecified application

Species

Unspecified reactive species

Wanni Zhao,Yansong Zhang,Siyuan Lin,Yajuan Li,Alan Jian Zhu,Hanping Shi,Min Liu

International journal of molecular sciences 24: PubMed36901715

2023

Effects of Long-Term Physical Activity and BCAA Availability on the Subcellular Associations between Intramyocellular Lipids, Perilipins and PGC-1.

Applications

Unspecified application

Species

Unspecified reactive species

Vasco Fachada,Mika Silvennoinen,Ulla-Maria Sahinaho,Paavo Rahkila,Riikka Kivelä,Juha J Hulmi,Urho Kujala,Heikki Kainulainen

Cell reports 41:111591 PubMed36351388

2022

The ApoA-I mimetic peptide 5A enhances remyelination by promoting clearance and degradation of myelin debris.

Applications

Unspecified application

Species

Unspecified reactive species

Sam Vanherle,Winde Jorissen,Tess Dierckx,Melanie Loix,Elien Grajchen,Fleur Mingneau,Jeroen Guns,Pascal Gervois,Ivo Lambrichts,Jonas Dehairs,Johannes V Swinnen,Monique T Mulder,Alan T Remaley,Mansour Haidar,Jerome J A Hendriks,Jeroen J F Bogie

Science advances 8:eabo2510 PubMed36223464

2022

Lipid droplet turnover at the lysosome inhibits growth of hepatocellular carcinoma in a BNIP3-dependent manner.

Applications

Unspecified application

Species

Unspecified reactive species

Damian E Berardi,Althea Bock-Hughes,Alexander R Terry,Lauren E Drake,Grazyna Bozek,Kay F Macleod

Basic research in cardiology 117:48 PubMed36205817

2022

Cardiomyocyte p38 MAPKα suppresses a heart-adipose tissue-neutrophil crosstalk in heart failure development.

Applications

Unspecified application

Species

Unspecified reactive species

Katharina Bottermann,Lisa Kalfhues,Rianne Nederlof,Anne Hemmers,Lucia M Leitner,Vici Oenarto,Jana Nemmer,Mirjam Pfeffer,Vidisha Raje,Rene Deenen,Patrick Petzsch,Heba Zabri,Karl Köhrer,Andreas S Reichert,Maria Grandoch,Jens W Fischer,Diran Herebian,Johannes Stegbauer,Thurl E Harris,Axel Gödecke

Diabetes & metabolism journal 46:829-842 PubMed35746892

2022

Peroxisomal Fitness: A Potential Protective Mechanism of Fenofibrate against High Fat Diet-Induced Non-Alcoholic Fatty Liver Disease in Mice.

Applications

Unspecified application

Species

Unspecified reactive species

Songling Jiang,Md Jamal Uddin,Xiaoying Yu,Lingjuan Piao,Debra Dorotea,Goo Taeg Oh,Hunjoo Ha

Life science alliance 5: PubMed35459739

2022

Adipose tissue-specific ablation of Ces1d causes metabolic dysregulation in mice.

Applications

Unspecified application

Species

Unspecified reactive species

Gang Li,Xin Li,Li Yang,Shuyue Wang,Yulin Dai,Baharan Fekry,Lucas Veillon,Lin Tan,Rebecca Berdeaux,Kristin Eckel-Mahan,Philip L Lorenzi,Zhongming Zhao,Richard Lehner,Kai Sun

Journal of lipid research 63:100194 PubMed35283217

2022

Hormone-sensitive lipase protects adipose triglyceride lipase-deficient mice from lethal lipotoxic cardiomyopathy.

Applications

Unspecified application

Species

Unspecified reactive species

Mika Yamada,Jinya Suzuki,Satsuki Sato,Yasuo Zenimaru,Rie Saito,Tadashi Konoshita,Fredric B Kraemer,Tamotsu Ishizuka

PloS one 17:e0265007 PubMed35259201

2022

Cardiac specific knock-down of peroxisome proliferator activated receptor α prevents fasting-induced cardiac lipid accumulation and reduces perilipin 2.

Applications

Unspecified application

Species

Unspecified reactive species

Natasha Fillmore,Vincent Hou,Junhui Sun,Danielle Springer,Elizabeth Murphy
View all publications

Product promise

We are committed to supporting your work with high-quality reagents, and we're here for you every step of the way. In the unlikely event that one of our products does not perform as expected, you're protected by our Product Promise.
For full details, please see our Terms & Conditions

Associated Products

Select an associated product type
Alternative Product
Primary Antibodies

AB201721

HRP Anti-Perilipin 2 antibody [EPR3713]

primary-antibodies

hrp-perilipin-2-antibody-epr3713-ab201721

0

(0 reviews)

Alternative Product
Primary Antibodies

AB232483

Anti-Perilipin 2 antibody [EPR3713] - BSA and Azide free

primary-antibodies

perilipin-2-antibody-epr3713-bsa-and-azide-free-ab232483

0

(0 reviews)

Please note: All products are 'FOR RESEARCH USE ONLY. NOT FOR USE IN DIAGNOSTIC OR THERAPEUTIC PROCEDURES'.

For licensing inquiries, please contact partnerships@abcam.com