JavaScript is disabled in your browser. Please enable JavaScript to view this website.
AB219057

Anti-Periostin antibody [EPR19936]

Be the first to review this product! Submit a review

|

(0 Publication)

Rabbit Recombinant Monoclonal Periostin antibody. Suitable for IP, WB and reacts with Human samples.

View Alternative Names

OSF2, POSTN, Periostin, PN, Osteoblast-specific factor 2, OSF-2

4 Images
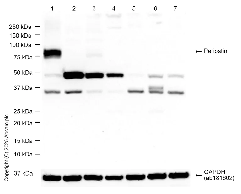
Western blot - Anti-Periostin antibody [EPR19936] (AB219057)
  • WB

Supplier Data

Western blot - Anti-Periostin antibody [EPR19936] (AB219057)

Blocking and diluting buffer and concentration : 5% NFDM/TBST.

Low expression tissues : liver, pancreas (PMID : 15514205, PMID : 29163770).

This antibody is not suitable for cell line testing.

All lanes:

Western blot - Anti-Periostin antibody [EPR19936] (ab219057) at 1/1000 dilution

Lane 1:

Human colon tissue lysate at 20 µg

Lane 2:

Human liver tissue lysate at 20 µg

Lane 3:

Human pancreas tissue lysate at 20 µg

Lane 4:

A549 (human lung carcinoma epithelial cell) whole cell lysate at 20 µg

Lane 5:

MCF7 (human breast adenocarcinoma epithelial cell) whole cell lysate at 20 µg

Lane 6:

MDA-MB-468 (human breast adenocarcinoma epithelial cell) whole cell lysate at 20 µg

Lane 7:

MG-63 (human osteosarcoma fibroblast) whole cell lysate at 20 µg

Secondary

All lanes:

Western blot - Goat Anti-Rabbit IgG H&L (HRP) (<a href='/en-us/products/secondary-antibodies/goat-rabbit-igg-h-l-hrp-ab97051'>ab97051</a>) at 1/20000 dilution

Predicted band size: 93 kDa

Observed band size: 93 kDa

false

Exposure time: 180s

Immunoprecipitation - Anti-Periostin antibody [EPR19936] (AB219057)
  • IP

Supplier Data

Immunoprecipitation - Anti-Periostin antibody [EPR19936] (AB219057)

Periostin was immunoprecipitated from 0.35 mg of Human fetal heart lysate with ab219057 at 1/30 dilution. Western blot was performed from the immunoprecipitate using ab219057 at 1/1000 dilution. VeriBlot for IP Detection Reagent (HRP) (ab131366), was used for detection at 1/10000 dilution.

Lane 1 : Human fetal heart lysate 10 μg (Input).

Lane 2 : ab219057 IP in Human fetal heart lysate.

Lane 3 : Rabbit monoclonal IgG (ab172730) instead of ab219057 in Human fetal heart lysate.

Blocking and dilution buffer and concentration : 5% NFDM/TBST.

Exposure time : 3 minutes.

All lanes:

Immunoprecipitation - Anti-Periostin antibody [EPR19936] (ab219057)

Predicted band size: 93 kDa

false

Western blot - Anti-Periostin antibody [EPR19936] (AB219057)
  • WB

Supplier Data

Western blot - Anti-Periostin antibody [EPR19936] (AB219057)

Blocking/Dilution buffer : 5% NFDM/TBST.

All lanes:

Western blot - Anti-Periostin antibody [EPR19936] (ab219057) at 1/1000 dilution

Lane 1:

Human fetal heart lysate at 10 µg

Lane 2:

Human fetal kidney lysate at 10 µg

Secondary

All lanes:

Goat Anti-Rabbit IgG Peroxidase Conjugate, specific to the non-reduced form of IgG at 1/10000 dilution

Predicted band size: 93 kDa

Observed band size: 93 kDa

false

Exposure time: 30s

Western blot - Anti-Periostin antibody [EPR19936] (AB219057)
  • WB

Supplier Data

Western blot - Anti-Periostin antibody [EPR19936] (AB219057)

Blocking/Dilution buffer : 5% NFDM/TBST.

Exposure time : Lane 1-3 : 30 seconds; Lane 4 : 5 seconds.

All lanes:

Western blot - Anti-Periostin antibody [EPR19936] (ab219057) at 1/1000 dilution

Lane 1:

Human colon cancer lysate at 20 µg

Lane 2:

Human stomach lysate at 20 µg

Lane 3:

HeLa (Human epithelial cell line from cervix adenocarcinoma) whole cell lysate at 20 µg

Lane 4:

Human breast cancer lysate at 20 µg

Secondary

All lanes:

Western blot - Goat Anti-Rabbit IgG H&L (HRP) (<a href='/en-us/products/secondary-antibodies/goat-rabbit-igg-h-l-hrp-ab97051'>ab97051</a>) at 1/100000 dilution

Predicted band size: 93 kDa

Observed band size: 93 kDa

false

  • Carrier free

    Anti-Periostin antibody [EPR19936] - BSA and Azide free

Key facts

Host species

Rabbit

Clonality

Monoclonal

Clone number

EPR19936

Isotype

IgG

Carrier free

No

Reacts with

Human

Applications

IP, WB

applications

Immunogen

The exact immunogen used to generate this antibody is proprietary information.

Specificity

This antibody recognizes a different epitope of Periostin compared to ab219056.

Reactivity data

{ "title": "Reactivity Data", "filters": { "stats": ["", "Species", "Dilution Info", "Notes"], "tabs": { "all-applications": {"fullname" : "All Applications", "shortname": "All Applications"}, "IP" : {"fullname" : "Immunoprecipitation", "shortname":"IP"}, "WB" : {"fullname" : "Western blot", "shortname":"WB"}, "IHCP" : {"fullname" : "Immunohistochemistry (Formalin/PFA-fixed paraffin-embedded sections)", "shortname":"IHC-P"} }, "product-promise": { "all": "all", "testedAndGuaranteed": "tested", "guaranteed": "expected", "predicted": "predicted", "notRecommended": "not-recommended" } }, "values": { "Human": { "IP-species-checked": "testedAndGuaranteed", "IP-species-dilution-info": "1/30", "IP-species-notes": "<p></p>", "WB-species-checked": "testedAndGuaranteed", "WB-species-dilution-info": "1/1000", "WB-species-notes": "<p>This antibody is not suitable for cell line testing.</p>", "IHCP-species-checked": "notRecommended", "IHCP-species-dilution-info": "", "IHCP-species-notes": "<p></p> Perform heat-mediated antigen retrieval with Tris/EDTA buffer pH 9.0 before commencing with IHC staining protocol." } } }

You may be interested in:

AB309314

Human Periostin ELISA Kit

5

1 Reviews

View product

We recommend this product because it’s often used in the same experiment or related research.

We advise that you always check the datasheet to ensure it fits your experiments, or contact ourtechnical teamfor help.

Product details

Properties and storage information

Form
Liquid
Purification technique
Affinity purification Protein A
Storage buffer
pH: 7.2 - 7.4 Preservative: 0.01% Sodium azide Constituents: 59% PBS, 40% Glycerol (glycerin, glycerine), 0.05% BSA
Shipped at conditions
Blue Ice
Appropriate short-term storage duration
1-2 weeks
Appropriate short-term storage conditions
+4°C
Appropriate long-term storage conditions
-20°C
Aliquoting information
Upon delivery aliquot
Storage information
Avoid freeze / thaw cycle

Supplementary information

This supplementary information is collated from multiple sources and compiled automatically.

Periostin also known as POSTN or OSF-2 is an extracellular matrix protein with a molecular weight of approximately 90 kDa. It plays a mechanical role in tissue remodeling by binding to integrins which supports tissue repair and regeneration. Periostin is mainly expressed in collagen-rich tissues such as bone periodontal ligament and cardiac tissues. It is synthesized by osteoblasts fibroblasts and other stromal cells functioning as a structural protein that supports cell adhesion and migration.
Biological function summary

The periostin protein contributes to the maintenance of tissue integrity and mechanical properties. It does not solely act; it forms part of a multiprotein complex with collagen and other extracellular matrix components. This involvement is necessary for maintaining cellular interactions and promoting tissue healing processes. Additionally periostin influences cell proliferation and migration impacting developmental and wound healing biology.

Pathways

Periostin is involved in the integrin signaling pathway and the Wnt/β-catenin pathway both important for cell communication and movement. Through these pathways periostin interacts with integrins αvβ3 and αvβ5 facilitating cell adhesion and migration. The Wnt/β-catenin pathway interaction involves several proteins including Frizzled receptors ensuring regulation of cellular proliferation and differentiation. These pathways make periostin a coordinator of complex cellular processes.

The periostin protein is associated with conditions such as fibrotic diseases and cardiovascular disorders. In fibrosis periostin promotes collagen cross-linking exacerbating tissue stiffness. This involves increased interaction with proteins like collagen types I and V contributing to pathological fibrotic progression. In cardiovascular disorders elevated periostin levels after myocardial injury are linked with fibrotic scarring where it collaborates with matrix metalloproteinases to remodel the cardiac tissue architecture. Understanding these connections can lead to novel therapeutic strategies.

Product protocols

For this product, it's our understanding that no specific protocols are required. You can visit:

Target data

Induces cell attachment and spreading and plays a role in cell adhesion (PubMed : 12235007). Enhances incorporation of BMP1 in the fibronectin matrix of connective tissues, and subsequent proteolytic activation of lysyl oxidase LOX (By similarity).
See full target information POSTN

Product promise

We are committed to supporting your work with high-quality reagents, and we're here for you every step of the way. In the unlikely event that one of our products does not perform as expected, you're protected by our Product Promise.
For full details, please see our Terms & Conditions

Associated Products

Select an associated product type
Alternative Product
Primary Antibodies

AB92460

Anti-Periostin antibody

primary-antibodies

periostin-antibody-ab92460

4

(1 reviews)

Alternative Product
Primary Antibodies

AB152099

Anti-Periostin antibody

primary-antibodies

periostin-antibody-ab152099

0

(0 reviews)

Alternative Product
Primary Antibodies

AB14041

Anti-Periostin antibody

primary-antibodies

periostin-antibody-ab14041

5

(20 reviews)

Alternative Product
Primary Antibodies

AB231130

Anti-Periostin antibody

primary-antibodies

periostin-antibody-ab231130

0

(0 reviews)

Alternative Product
Primary Antibodies

AB219056

Anti-Periostin antibody [EPR19934]

primary-antibodies

periostin-antibody-epr19934-ab219056

0

(0 reviews)

Alternative Product
Primary Antibodies

AB215199

Anti-Periostin antibody [EPR20806]

primary-antibodies

periostin-antibody-epr20806-ab215199

0

(0 reviews)

Alternative Product
Primary Antibodies

AB227049

Anti-Periostin antibody [EPR20806] - BSA and Azide free

primary-antibodies

periostin-antibody-epr20806-bsa-and-azide-free-ab227049

5

(1 reviews)

Please note: All products are 'FOR RESEARCH USE ONLY. NOT FOR USE IN DIAGNOSTIC OR THERAPEUTIC PROCEDURES'.

For licensing inquiries, please contact partnerships@abcam.com