JavaScript is disabled in your browser. Please enable JavaScript to view this website.
AB315105

Anti-Periostin antibody [RM1074] - BSA and Azide free

Be the first to review this product! Submit a review

|

(0 Publication)

Rabbit Recombinant Multiclonal Periostin antibody. Carrier free. Suitable for WB, I-ELISA, IHC-Fr, ICC/IF, IHC-P, IP and reacts with Human, Recombinant fragment - Human, Recombinant fragment - Mouse, Rat, Mouse samples.

View Alternative Names

OSF2, POSTN, Periostin, PN, Osteoblast-specific factor 2, OSF-2

11 Images
Immunohistochemistry (Formalin/PFA-fixed paraffin-embedded sections) - Anti-Periostin antibody [RM1074] - BSA and Azide free (AB315105)
  • IHC-P

Supplier Data

Immunohistochemistry (Formalin/PFA-fixed paraffin-embedded sections) - Anti-Periostin antibody [RM1074] - BSA and Azide free (AB315105)

This data was developed using ab315104, the same antibody clone in a different buffer formulation.

Immunohistochemical analysis of paraffin-embedded Human lung cancer tissue labeling Periostin with ab315104 at 1/1000 (0.511 ug/ml) dilution, followed by a ready to use LeicaDS9800 (Bond™ Polymer Refine Detection).

Positive extracellular matrix staining on human lung cancer.
The section was incubated with ab315104 for 30 mins at room temperature.
The immunostaining was performed on a Leica Biosystems BOND® RX instrument.

Counterstained with Hematoxylin.

Secondary antibody only control : Secondary antibody is a ready to use LeicaDS9800 (Bond™ Polymer Refine Detection).

Heat mediated antigen retrieval was performed with Tris-EDTA buffer (pH 9.0, Epitope Retrieval Solution2) for 20 mins.

Immunocytochemistry/ Immunofluorescence - Anti-Periostin antibody [RM1074] - BSA and Azide free (AB315105)
  • ICC/IF

Supplier Data

Immunocytochemistry/ Immunofluorescence - Anti-Periostin antibody [RM1074] - BSA and Azide free (AB315105)

This data was developed using ab315104, the same antibody clone in a different buffer formulation.

Immunofluorescent analysis of 4% Paraformaldehyde-fixed, 0.1% TritonX-100 permeabilized SK-N-SH (human neuroblastoma epithelial cell) cells labelling Periostin with ab315104 at 1/100 (5.11 ug/ml) dilution, followed by ab150081 Goat Anti-Rabbit IgG H&L (Alexa Fluor® 488) preadsorbed antibody at 1/1000 (2 ug/ml) dilution (Green).

Confocal image showing cytoplasmic staining in SK-N-SH cell line.
Negative control : LNCap.
Image was taken with a confocal microscope(Leica-Microsystems, TCS SP8).

ab195889 Anti-alpha Tubulin mouse monoclonal antibody - Microtubule Marker (Alexa Fluor® 594) was used to counterstain tubulin at 1/500 (1ug/ml) dilution (Red). The Nuclear counterstain was DAPI (Blue).

Secondary antibody only control : Secondary antibody is ab150081 Goat Anti-Rabbit IgG H&L (Alexa Fluor® 488) preadsorbed at 1/1000 (2 ug/ml) dilution.

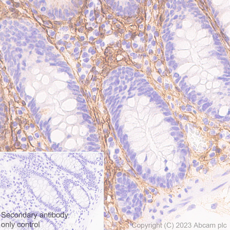
Immunohistochemistry (Formalin/PFA-fixed paraffin-embedded sections) - Anti-Periostin antibody [RM1074] - BSA and Azide free (AB315105)
  • IHC-P

Supplier Data

Immunohistochemistry (Formalin/PFA-fixed paraffin-embedded sections) - Anti-Periostin antibody [RM1074] - BSA and Azide free (AB315105)

This data was developed using ab315104, the same antibody clone in a different buffer formulation.

Immunohistochemical analysis of paraffin-embedded Human colon tissue labeling Periostin with ab315104 at 1/1000 (0.511 ug/ml) dilution, followed by a ready to use LeicaDS9800 (Bond™ Polymer Refine Detection).

Positive extracellular matrix staining on human colon.
The section was incubated with ab315104 for 30 mins at room temperature.
The immunostaining was performed on a Leica Biosystems BOND® RX instrument.

Counterstained with Hematoxylin.

Secondary antibody only control : Secondary antibody is a ready to use LeicaDS9800 (Bond™ Polymer Refine Detection).

Heat mediated antigen retrieval was performed with Tris-EDTA buffer (pH 9.0, Epitope Retrieval Solution2) for 20 mins.

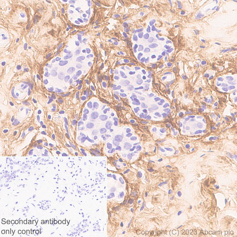
Immunohistochemistry (Formalin/PFA-fixed paraffin-embedded sections) - Anti-Periostin antibody [RM1074] - BSA and Azide free (AB315105)
  • IHC-P

Supplier Data

Immunohistochemistry (Formalin/PFA-fixed paraffin-embedded sections) - Anti-Periostin antibody [RM1074] - BSA and Azide free (AB315105)

This data was developed using ab315104, the same antibody clone in a different buffer formulation.

Immunohistochemical analysis of paraffin-embedded Human breast tissue labeling Periostin with ab315104 at 1/1000 (0.511 ug/ml) dilution, followed by a ready to use LeicaDS9800 (Bond™ Polymer Refine Detection).

Positive extracellular matrix staining on human breast.
The section was incubated with ab315104 for 30 mins at room temperature.
The immunostaining was performed on a Leica Biosystems BOND® RX instrument.

Counterstained with Hematoxylin.

Secondary antibody only control : Secondary antibody is a ready to use LeicaDS9800 (Bond™ Polymer Refine Detection).

Heat mediated antigen retrieval was performed with Tris-EDTA buffer (pH 9.0, Epitope Retrieval Solution2) for 20 mins.

Immunoprecipitation - Anti-Periostin antibody [RM1074] - BSA and Azide free (AB315105)
  • IP

Supplier Data

Immunoprecipitation - Anti-Periostin antibody [RM1074] - BSA and Azide free (AB315105)

This data was developed using ab315104, the same antibody clone in a different buffer formulation.

Periostin was immunoprecipitated from 0.35 mg SK-N-SH (Human neuroblastoma) whole cell lysate with ab315104 at 1/30 dilution (2ug in 0.35mg lysates). Western blot was performed on the immunoprecipitate using ab315104 at 1/1000 dilution. VeriBlot for IP secondary antibody(HRP)(ab131366) was used at 1/5000 dilution.

Lane 1 : SK-N-SH (Human neuroblastoma) whole cell lysate

Lane 2 : ab315104 at 1/30 IP in SK-N-SH (Human neuroblastoma) whole cell lysate

Lane 3 : Rabbit monoclonal IgG (ab172730) instead of ab315104 in SK-N-SH whole cell lysate

This blot was developed using a high sensitivity ECL substrate. The high-sensitivity ECL substrate used allows for the detection of proteins in the mid-femtogram range.

All lanes:

Immunoprecipitation - Anti-Periostin antibody [RM1074] (<a href='/en-us/products/primary-antibodies/periostin-antibody-rm1074-ab315104'>ab315104</a>) at 1/1000 dilution

Lane 1:

SK-N-SH (Human neuroblastoma) whole cell lysate at 10 µg

Lane 2:

<a href='/en-us/products/primary-antibodies/periostin-antibody-rm1074-ab315104'>ab315104</a> at 1/30 IP in SK-N-SH at 10 µg

Secondary

All lanes:

Immunoprecipitation - VeriBlot for IP Detection Reagent (HRP) (<a href='/en-us/products/reagents/veriblot-for-ip-detection-reagent-hrp-ab131366'>ab131366</a>) at 1/5000 dilution

true

Exposure time: 47s

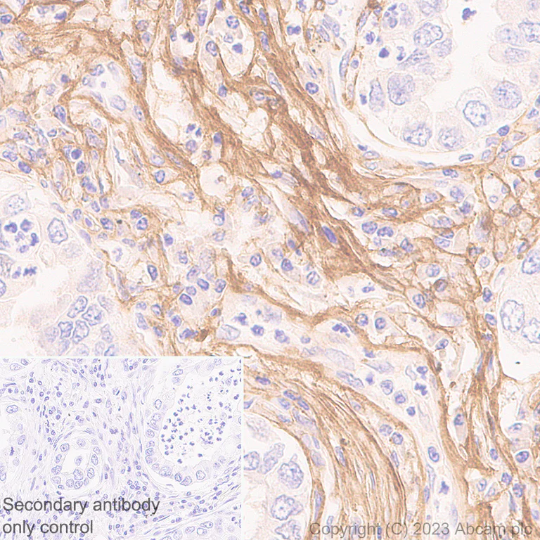
Immunohistochemistry (Formalin/PFA-fixed paraffin-embedded sections) - Anti-Periostin antibody [RM1074] - BSA and Azide free (AB315105)
  • IHC-P

Supplier Data

Immunohistochemistry (Formalin/PFA-fixed paraffin-embedded sections) - Anti-Periostin antibody [RM1074] - BSA and Azide free (AB315105)

This data was developed using ab315104, the same antibody clone in a different buffer formulation.

Immunohistochemical analysis of paraffin-embedded Rat stomach tissue labeling Periostin with ab315104 at 1/1000 (0.511 ug/ml) dilution, followed by a ready to use LeicaDS9800 (Bond™ Polymer Refine Detection).

Positive extracellular matrix staining on rat stomach.
The section was incubated with ab315104 for 30 mins at room temperature.
The immunostaining was performed on a Leica Biosystems BOND® RX instrument.

Counterstained with Hematoxylin.

Secondary antibody only control : Secondary antibody is a ready to use LeicaDS9800 (Bond™ Polymer Refine Detection).

Heat mediated antigen retrieval was performed with Tris-EDTA buffer (pH 9.0, Epitope Retrieval Solution2) for 20 mins.

Immunohistochemistry (Frozen sections) - Anti-Periostin antibody [RM1074] - BSA and Azide free (AB315105)
  • IHC-Fr

Supplier Data

Immunohistochemistry (Frozen sections) - Anti-Periostin antibody [RM1074] - BSA and Azide free (AB315105)

This data was developed using ab315104, the same antibody clone in a different buffer formulation.

Immunohistochemical analysis of 4% PFA-fixed, 0.2% Triton X-100 permeabilized frozen Rat stomach (fresh) tissue labeling Periostin with ab315104 at 1/50 (10.22 ug/ml) dilution followed by ab150081 Goat Anti-Rabbit IgG H&L (Alexa Fluor® 488) preadsorbed at 1/1000 (2 ug/mL) dilution (Green).

Confocal image showing positive staining on rat stomach. The nuclear counterstain was DAPI (Blue). The section was incubated with ab315104 for 60 mins at room temperature. The section was then mounted using Fluoromount®. The immunostaining was performed on a Leica Biosystems BOND® RX instrument. Image was taken with a confocal microscope (Leica-Microsystems, TCS SP8).

Secondary antibody control : Secondary antibody is ab150081 Goat Anti-Rabbit IgG H&L (Alexa Fluor® 488) preadsorbedat 1/1000 (2 ug/mL) dilution.

Western blot - Anti-Periostin antibody [RM1074] - BSA and Azide free (AB315105)
  • WB

Supplier Data

Western blot - Anti-Periostin antibody [RM1074] - BSA and Azide free (AB315105)

This data was developed using ab315104, the same antibody clone in a different buffer formulation.

Negative control : Human skeletal muscle (PMID : 15731169).

The expression profile observed in human skeletal muscle is consistent with what has been described in the literature (PMID : 15731169).

In Western blot, Anti-GAPDH antibody [EPR16891] - Loading Control (ab181602) staining at 1/200000 dilution.

All lanes:

Western blot - Anti-Periostin antibody [RM1074] (<a href='/en-us/products/primary-antibodies/periostin-antibody-rm1074-ab315104'>ab315104</a>) at 1/1000 dilution

Lane 1:

Human breast tissue lysate at 20 µg

Lane 2:

Human skeletal muscle tissue lysate at 20 µg

Secondary

All lanes:

Western blot - VeriBlot for IP Detection Reagent (HRP) (<a href='/en-us/products/reagents/veriblot-for-ip-detection-reagent-hrp-ab131366'>ab131366</a>) at 1/100000 dilution

Observed band size: 95 kDa,36 kDa

false

Exposure time: 26s

Western blot - Anti-Periostin antibody [RM1074] - BSA and Azide free (AB315105)
  • WB

Supplier Data

Western blot - Anti-Periostin antibody [RM1074] - BSA and Azide free (AB315105)

This data was developed using ab315104, the same antibody clone in a different buffer formulation.

Periostin is a secreted protein and Brefeldin A which could inhibit protein transport from the endoplasmic reticulum to the golgi complex increases the detected signal of Periostin in cell lysate.

In Western blot, Anti-GAPDH antibody [EPR16891] - Loading Control (ab181602) staining at 1/200000 dilution.

All lanes:

Western blot - Anti-Periostin antibody [RM1074] (<a href='/en-us/products/primary-antibodies/periostin-antibody-rm1074-ab315104'>ab315104</a>) at 1/1000 dilution

Lane 1:

Untreated SK-N-SH (Human neuroblastoma) whole cell lysate at 20 µg

Lane 2:

SK-N-SH treated with /ml Brefeldin A for 24 hours whole cell lysate at 20 µg

Secondary

All lanes:

Western blot - Goat Anti-Rabbit IgG H&L (HRP) (<a href='/en-us/products/secondary-antibodies/goat-rabbit-igg-h-l-hrp-ab97051'>ab97051</a>) at 1/20000 dilution

Observed band size: 95 kDa,36 kDa

false

Exposure time: 6s

Indirect ELISA - Anti-Periostin antibody [RM1074] - BSA and Azide free (AB315105)
  • I-ELISA

Supplier Data

Indirect ELISA - Anti-Periostin antibody [RM1074] - BSA and Azide free (AB315105)

This data was developed using ab315104, the same antibody clone in a different buffer formulation.

Indirect ELISA analysis of ab315104 at 1000-0 ng/ml. The Secondary antibody used was Alkaline Phosphatase-conjugated AffiniPure Goat Anti-Rabbit IgG (H+L) at 1 : 2500 dilution.

Antigen : Mouse Periostin.

Antigen concentration : 1000 ng/ml

Indirect ELISA - Anti-Periostin antibody [RM1074] - BSA and Azide free (AB315105)
  • I-ELISA

Supplier Data

Indirect ELISA - Anti-Periostin antibody [RM1074] - BSA and Azide free (AB315105)

This data was developed using ab315104, the same antibody clone in a different buffer formulation.

Indirect ELISA analysis of ab315104 at 1000-0 ng/ml. The Secondary antibody used was Alkaline Phosphatase-conjugated AffiniPure Goat Anti-Rabbit IgG (H+L) at 1 : 2500 dilution.

Antigen : Human Periostin.

Antigen concentration : 1000 ng/ml

Key facts

Host species

Rabbit

Clonality

Multiclonal

Clone number

RM1074

Isotype

IgG

Carrier free

Yes

Reacts with

Human, Mouse, Rat

Applications

WB, IHC-P, ICC/IF, IHC-Fr, I-ELISA, IP

applications

Immunogen

The exact immunogen used to generate this antibody is proprietary information.

Specificity

Non-specific signal is observed with Mouse tissue by IHC-Fr and IHC-P.

Reactivity data

{ "title": "Reactivity Data", "filters": { "stats": ["", "Species", "Dilution Info", "Notes"], "tabs": { "all-applications": {"fullname" : "All Applications", "shortname": "All Applications"}, "WB" : {"fullname" : "Western blot", "shortname":"WB"}, "IELISA" : {"fullname" : "Indirect ELISA", "shortname":"I-ELISA"}, "IHCFr" : {"fullname" : "Immunohistochemistry (Frozen sections)", "shortname":"IHC-Fr"}, "ICCIF" : {"fullname" : "Immunocytochemistry/ Immunofluorescence", "shortname":"ICC/IF"}, "IHCP" : {"fullname" : "Immunohistochemistry (Formalin/PFA-fixed paraffin-embedded sections)", "shortname":"IHC-P"}, "IP" : {"fullname" : "Immunoprecipitation", "shortname":"IP"}, "FlowCytIntra" : {"fullname" : "Flow Cytometry (Intracellular)", "shortname":"Flow Cyt (Intra)"} }, "product-promise": { "all": "all", "testedAndGuaranteed": "tested", "guaranteed": "expected", "predicted": "predicted", "notRecommended": "not-recommended" } }, "values": { "Human": { "WB-species-checked": "testedAndGuaranteed", "WB-species-dilution-info": "", "WB-species-notes": "<p></p>", "IELISA-species-checked": "guaranteed", "IELISA-species-dilution-info": "", "IELISA-species-notes": "", "IHCFr-species-checked": "guaranteed", "IHCFr-species-dilution-info": "", "IHCFr-species-notes": "", "ICCIF-species-checked": "testedAndGuaranteed", "ICCIF-species-dilution-info": "", "ICCIF-species-notes": "<p></p>", "IHCP-species-checked": "testedAndGuaranteed", "IHCP-species-dilution-info": "", "IHCP-species-notes": "<p></p> Perform heat-mediated antigen retrieval with Tris/EDTA buffer pH 9.0 before commencing with IHC staining protocol.", "IP-species-checked": "testedAndGuaranteed", "IP-species-dilution-info": "", "IP-species-notes": "<p></p>", "FlowCytIntra-species-checked": "notRecommended", "FlowCytIntra-species-dilution-info": "", "FlowCytIntra-species-notes": "<p></p>" }, "Mouse": { "WB-species-checked": "notRecommended", "WB-species-dilution-info": "", "WB-species-notes": "<p></p>", "IELISA-species-checked": "guaranteed", "IELISA-species-dilution-info": "", "IELISA-species-notes": "<p></p>", "IHCFr-species-checked": "notRecommended", "IHCFr-species-dilution-info": "", "IHCFr-species-notes": "<p></p>", "ICCIF-species-checked": "guaranteed", "ICCIF-species-dilution-info": "", "ICCIF-species-notes": "<p></p>", "IHCP-species-checked": "notRecommended", "IHCP-species-dilution-info": "", "IHCP-species-notes": "<p></p>", "IP-species-checked": "guaranteed", "IP-species-dilution-info": "", "IP-species-notes": "<p></p>", "FlowCytIntra-species-checked": "notRecommended", "FlowCytIntra-species-dilution-info": "", "FlowCytIntra-species-notes": "<p></p>" }, "Rat": { "WB-species-checked": "notRecommended", "WB-species-dilution-info": "", "WB-species-notes": "<p></p>", "IELISA-species-checked": "guaranteed", "IELISA-species-dilution-info": "", "IELISA-species-notes": "", "IHCFr-species-checked": "testedAndGuaranteed", "IHCFr-species-dilution-info": "", "IHCFr-species-notes": "<p></p>", "ICCIF-species-checked": "guaranteed", "ICCIF-species-dilution-info": "", "ICCIF-species-notes": "", "IHCP-species-checked": "testedAndGuaranteed", "IHCP-species-dilution-info": "", "IHCP-species-notes": "<p></p> Perform heat-mediated antigen retrieval with Tris/EDTA buffer pH 9.0 before commencing with IHC staining protocol.", "IP-species-checked": "guaranteed", "IP-species-dilution-info": "", "IP-species-notes": "", "FlowCytIntra-species-checked": "notRecommended", "FlowCytIntra-species-dilution-info": "", "FlowCytIntra-species-notes": "<p></p>" }, "Recombinant fragment - Human": { "WB-species-checked": "notRecommended", "WB-species-dilution-info": "", "WB-species-notes": "", "IELISA-species-checked": "testedAndGuaranteed", "IELISA-species-dilution-info": "", "IELISA-species-notes": "<p></p>", "IHCFr-species-checked": "notRecommended", "IHCFr-species-dilution-info": "", "IHCFr-species-notes": "", "ICCIF-species-checked": "notRecommended", "ICCIF-species-dilution-info": "", "ICCIF-species-notes": "", "IHCP-species-checked": "notRecommended", "IHCP-species-dilution-info": "", "IHCP-species-notes": "", "IP-species-checked": "notRecommended", "IP-species-dilution-info": "", "IP-species-notes": "", "FlowCytIntra-species-checked": "notRecommended", "FlowCytIntra-species-dilution-info": "", "FlowCytIntra-species-notes": "" }, "Recombinant fragment - Mouse": { "WB-species-checked": "notRecommended", "WB-species-dilution-info": "", "WB-species-notes": "", "IELISA-species-checked": "testedAndGuaranteed", "IELISA-species-dilution-info": "", "IELISA-species-notes": "<p></p>", "IHCFr-species-checked": "notRecommended", "IHCFr-species-dilution-info": "", "IHCFr-species-notes": "", "ICCIF-species-checked": "notRecommended", "ICCIF-species-dilution-info": "", "ICCIF-species-notes": "", "IHCP-species-checked": "notRecommended", "IHCP-species-dilution-info": "", "IHCP-species-notes": "", "IP-species-checked": "notRecommended", "IP-species-dilution-info": "", "IP-species-notes": "", "FlowCytIntra-species-checked": "notRecommended", "FlowCytIntra-species-dilution-info": "", "FlowCytIntra-species-notes": "" } } }

Product details

ab315105 is the carrier-free version of ab315104.

What are recombinant multiclonals?
Recombinant multiclonals are a mixture of recombinant antibodies co-expressed from a library of heavy and light chains. They offer several advantages including:

  • - The sensitivity of polyclonal antibodies by recognising multiple epitopes
  • - High batch-to-batch consistency and reproducibility
  • - Improved sensitivity and specificity
  • - Long-term security of supply
  • - Animal-free batch production

View our range of recombinant multiclonal antibodies.

Patented technology
Our RabMAb® technology is a patented hybridoma-based technology for making rabbit monoclonal antibodies. For details on our patents, please refer to RabMAb® patents.

Conjugation ready
Our carrier-free antibodies are typically supplied in a PBS-only formulation, purified and free of BSA, sodium azide and glycerol. This conjugation-ready format is designed for use with fluorochromes, metal isotopes, oligonucleotides, and enzymes, which makes them ideal for antibody labelling, functional and cell-based assays, flow-based assays (e.g. mass cytometry) and Multiplex Imaging applications.

Use our conjugation kits for antibody conjugates that are ready-to-use in as little as 20 minutes with 1 minute hands-on-time and 100% antibody recovery: available for fluorescent dyes, HRP, biotin and gold.

Compatibility
This product is compatible with the Maxpar® Antibody Labeling Kit from Fluidigm, without the need for antibody preparation. Maxpar® is a trademark of Fluidigm Canada Inc.

Properties and storage information

Form
Liquid
Purification technique
Affinity purification Protein A
Storage buffer
pH: 7.2 - 7.4 Constituents: PBS
Shipped at conditions
Blue Ice
Appropriate short-term storage conditions
+4°C
Appropriate long-term storage conditions
+4°C

Supplementary information

This supplementary information is collated from multiple sources and compiled automatically.

Periostin also known as POSTN or OSF-2 is an extracellular matrix protein with a molecular weight of approximately 90 kDa. It plays a mechanical role in tissue remodeling by binding to integrins which supports tissue repair and regeneration. Periostin is mainly expressed in collagen-rich tissues such as bone periodontal ligament and cardiac tissues. It is synthesized by osteoblasts fibroblasts and other stromal cells functioning as a structural protein that supports cell adhesion and migration.
Biological function summary

The periostin protein contributes to the maintenance of tissue integrity and mechanical properties. It does not solely act; it forms part of a multiprotein complex with collagen and other extracellular matrix components. This involvement is necessary for maintaining cellular interactions and promoting tissue healing processes. Additionally periostin influences cell proliferation and migration impacting developmental and wound healing biology.

Pathways

Periostin is involved in the integrin signaling pathway and the Wnt/β-catenin pathway both important for cell communication and movement. Through these pathways periostin interacts with integrins αvβ3 and αvβ5 facilitating cell adhesion and migration. The Wnt/β-catenin pathway interaction involves several proteins including Frizzled receptors ensuring regulation of cellular proliferation and differentiation. These pathways make periostin a coordinator of complex cellular processes.

The periostin protein is associated with conditions such as fibrotic diseases and cardiovascular disorders. In fibrosis periostin promotes collagen cross-linking exacerbating tissue stiffness. This involves increased interaction with proteins like collagen types I and V contributing to pathological fibrotic progression. In cardiovascular disorders elevated periostin levels after myocardial injury are linked with fibrotic scarring where it collaborates with matrix metalloproteinases to remodel the cardiac tissue architecture. Understanding these connections can lead to novel therapeutic strategies.

Product protocols

For this product, it's our understanding that no specific protocols are required. You can visit:

Target data

Induces cell attachment and spreading and plays a role in cell adhesion (PubMed : 12235007). Enhances incorporation of BMP1 in the fibronectin matrix of connective tissues, and subsequent proteolytic activation of lysyl oxidase LOX (By similarity).
See full target information POSTN

Product promise

We are committed to supporting your work with high-quality reagents, and we're here for you every step of the way. In the unlikely event that one of our products does not perform as expected, you're protected by our Product Promise.
For full details, please see our Terms & Conditions

Please note: All products are 'FOR RESEARCH USE ONLY. NOT FOR USE IN DIAGNOSTIC OR THERAPEUTIC PROCEDURES'.

For licensing inquiries, please contact partnerships@abcam.com