JavaScript is disabled in your browser. Please enable JavaScript to view this website.
AB269861

Anti-Peripherin antibody [EPR23445-28] - BSA and Azide free

Be the first to review this product! Submit a review

|

(1 Publication)

Rabbit Recombinant Monoclonal Peripherin antibody. Carrier free. Suitable for IP, WB, ICC/IF, IHC-Fr, Flow Cyt (Intra), IHC-P and reacts with Human, Mouse, Rat samples. Cited in 1 publication.

View Alternative Names

NEF4, PRPH1, PRPH, Peripherin, Neurofilament 4

10 Images
Flow Cytometry (Intracellular) - Anti-Peripherin antibody [EPR23445-28] - BSA and Azide free (AB269861)
  • Flow Cyt (Intra)

Unknown

Flow Cytometry (Intracellular) - Anti-Peripherin antibody [EPR23445-28] - BSA and Azide free (AB269861)

Intracellular flow cytometric analysis of 4% paraformaldehyde fixed, 90% methanol permeabilized SH-SY5Y (human neuroblastoma epithelial cell) cells labelling Peripherin with ab246502 at 1/50 dilution (Red) compared with a Rabbit monoclonal IgG (ab172730) (Black) isotype control and an unlabelled control (cells without incubation with primary antibody and secondary antibody) (Blue). A Goat anti rabbit IgG (Alexa Fluor®488, ab150077) at 1/2000 dilution was used as the secondary antibody.

This data was developed using the same antibody clone in a different buffer formulation containing PBS, BSA, glycerol, and sodium azide (ab246502).

Immunocytochemistry/ Immunofluorescence - Anti-Peripherin antibody [EPR23445-28] - BSA and Azide free (AB269861)
  • ICC/IF

Unknown

Immunocytochemistry/ Immunofluorescence - Anti-Peripherin antibody [EPR23445-28] - BSA and Azide free (AB269861)

Immunofluorescent analysis of4% paraformaldehyde-fixed, 0.1% Triton X-100 permeabilized SH-SY5Y (human neuroblastoma epithelial cell) cells labeling Peripherin with ab246502 at 1/100 dilution, followed by ab150077 AlexaFluor®488 Goat anti-Rabbit secondary antibody at 1/1000 dilution (Green). Confocal image showing cytoplasmic staining in SH-SY5Y cell line. Tubulin is detected using ab195889 Anti-alpha Tubulin antibody [DM1A] - Microtubule Marker (Alexa Fluor® 594) at 1/200 dilution (Red). The nuclear counter stain is DAPI (Blue).

Secondary antibody only control : Used PBS instead of primary antibody, followed by ab150077 AlexaFluor®488 Goat anti-Rabbit secondary antibody at 1/1000 dilution.

This data was developed using the same antibody clone in a different buffer formulation containing PBS, BSA, glycerol, and sodium azide (ab246502).

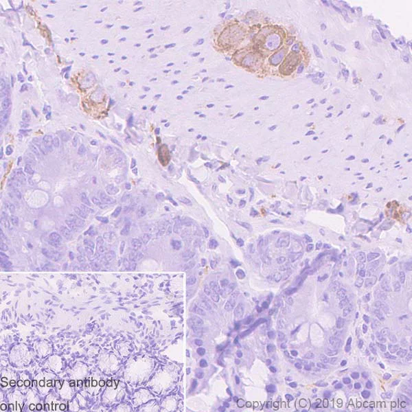
Immunohistochemistry (Formalin/PFA-fixed paraffin-embedded sections) - Anti-Peripherin antibody [EPR23445-28] - BSA and Azide free (AB269861)
  • IHC-P

Unknown

Immunohistochemistry (Formalin/PFA-fixed paraffin-embedded sections) - Anti-Peripherin antibody [EPR23445-28] - BSA and Azide free (AB269861)

Immunohistochemical analysis of paraffin-embedded Human colon tissue labeling Peripherin with ab246502 at 1/2000 dilution (0.227 ug/ml) followed by a ready to use Rabbit specific IHC polymer detection kit HRP/DAB (ab209101). Positive staining on the ganglion cells in human colon (PMID : 26469323). The section was incubated with ab246502 for 10 mins at room temperature. The immunostaining staining was performed on a Leica Biosystems BOND® RX instrument. Counterstained with Hematoxylin.

Secondary antibody only control : Secondary antibody is a ready to use Rabbit specific IHC polymer detection kit HRP/DAB (ab209101).

Heat mediated antigen retrieval with Tris-EDTA buffer (pH 9.0, epitope retrieval solution 2) for 20 mins.

This data was developed using the same antibody clone in a different buffer formulation containing PBS, BSA, glycerol, and sodium azide (ab246502).

Immunoprecipitation - Anti-Peripherin antibody [EPR23445-28] - BSA and Azide free (AB269861)
  • IP

Unknown

Immunoprecipitation - Anti-Peripherin antibody [EPR23445-28] - BSA and Azide free (AB269861)

Peripherin was immunoprecipitated from 0.35 mg Human spinal cord lysate with ab246502 at 1/30 dilution (2ug in 0.35mg lysates). Western blot was performed on the immunoprecipitate using ab246502 at 1/1000 dilution. VeriBlot for IP Detection Reagent (HRP) (ab131366) was used at 1/5000 dilution.

Lane 1 : Human spinal cord lysate 10ug

Lane 2 : ab246502 IP in Human spinal cord lysate

Lane 3 : Rabbit monoclonal IgG (ab172730) instead of ab246502 in Human spinal cord lysate

Blocking and dilution buffer and concentration : 5% NFDM/TBST.

Exposure time : 40 seconds.

The 58KD isoform of peripherin observed is consistent with what has been described in the literature (PMID : 20587592, 18287500, 17475883).

This data was developed using the same antibody clone in a different buffer formulation containing PBS, BSA, glycerol, and sodium azide (ab246502).

All lanes:

Immunoprecipitation - Anti-Peripherin antibody [EPR23445-28] (<a href='/en-us/products/primary-antibodies/peripherin-antibody-epr23445-28-ab246502'>ab246502</a>)

Predicted band size: 53 kDa

Observed band size: 58 kDa

false

Immunohistochemistry (Frozen sections) - Anti-Peripherin antibody [EPR23445-28] - BSA and Azide free (AB269861)
  • IHC-Fr

Unknown

Immunohistochemistry (Frozen sections) - Anti-Peripherin antibody [EPR23445-28] - BSA and Azide free (AB269861)

Immunohistochemical analysis of frozen section of 4% PFA-fixed, 0.2% Triton X-100 permeabilized mouse colon tissue labeling Peripherin with ab246502 at 1/250 dilution, followed by ab150077 AlexaFluor®488 Goat anti-Rabbit secondary at 1/1000 dilution (Green). Positive staining on the ganglion cells in mouse colon is observed. The nuclear counter stain is DAPI (Blue).

Heat mediated antigen retrieval using sodium citrate buffer (10mM citrate pH 6.0 + 0.05% Tween-20).

Secondary antibody only control : Used PBS instead of primary antibody, secondary antibody is ab150077 AlexaFluor®488 Goat anti-Rabbit secondary at 1/1000 dilution.

This data was developed using the same antibody clone in a different buffer formulation containing PBS, BSA, glycerol, and sodium azide (ab246502).

Immunohistochemistry (Frozen sections) - Anti-Peripherin antibody [EPR23445-28] - BSA and Azide free (AB269861)
  • IHC-Fr

Unknown

Immunohistochemistry (Frozen sections) - Anti-Peripherin antibody [EPR23445-28] - BSA and Azide free (AB269861)

Immunohistochemical analysis of frozen section of 4% PFA-fixed, 0.2% Triton X-100 permeabilized rat colon tissue labeling Peripherin with ab246502 at 1/250 dilution, followed by ab150077 AlexaFluor®488 Goat anti-Rabbit secondary at 1/1000 dilution (Green). Positive staining on the ganglion cells in rat colon is observed. The nuclear counter stain is DAPI (Blue).

Heat mediated antigen retrieval using sodium citrate buffer (10mM citrate pH 6.0 + 0.05% Tween-20).

Secondary antibody only control : Used PBS instead of primary antibody, secondary antibody is ab150077 AlexaFluor®488 Goat anti-Rabbit secondary at 1/1000 dilution.

This data was developed using the same antibody clone in a different buffer formulation containing PBS, BSA, glycerol, and sodium azide (ab246502).

Immunohistochemistry (Formalin/PFA-fixed paraffin-embedded sections) - Anti-Peripherin antibody [EPR23445-28] - BSA and Azide free (AB269861)
  • IHC-P

Unknown

Immunohistochemistry (Formalin/PFA-fixed paraffin-embedded sections) - Anti-Peripherin antibody [EPR23445-28] - BSA and Azide free (AB269861)

Immunohistochemical analysis of paraffin-embedded Mouse colon tissue labeling Peripherin with ab246502 at 1/10,000 dilution (0.05 ug/ml) followed by a ready to use Rabbit specific IHC polymer detection kit HRP/DAB (ab209101). Positive staining on the ganglion cells in mouse colon is observed. The section was incubated with ab246502 for 10 mins at room temperature. The immunostaining staining was performed on a Leica Biosystems BOND® RX instrument. Counterstained with Hematoxylin.

Secondary antibody only control : Secondary antibody is a ready to use Rabbit specific IHC polymer detection kit HRP/DAB (ab209101).

Heat mediated antigen retrieval with Tris-EDTA buffer (pH 9.0, epitope retrieval solution 2) for 20 mins.

This data was developed using the same antibody clone in a different buffer formulation containing PBS, BSA, glycerol, and sodium azide (ab246502).

Immunocytochemistry/ Immunofluorescence - Anti-Peripherin antibody [EPR23445-28] - BSA and Azide free (AB269861)
  • ICC/IF

Unknown

Immunocytochemistry/ Immunofluorescence - Anti-Peripherin antibody [EPR23445-28] - BSA and Azide free (AB269861)

Immunofluorescent analysis of 4% paraformaldehyde-fixed, 0.1% Triton X-100 permeabilized Neuro-2a (mouse neuroblastoma neuroblast) cells labeling Peripherin with ab246502 at 1/100 dilution, followed by ab150077 AlexaFluor®488 Goat anti-Rabbit secondary secondary antibody at 1/1000 dilution (Green). Confocal image showing cytoplasmic staining in Neuro-2a cell line. Tubulin is detected using ab195889 Anti-alpha Tubulin antibody [DM1A] - Microtubule Marker (Alexa Fluor® 594) at 1/200 dilution (Red). The nuclear counter stain is DAPI (Blue).

Secondary antibody only control : Used PBS instead of primary antibody, followed by ab150077 AlexaFluor®488 Goat anti-Rabbit secondary antibody at 1/1000 dilution.

This data was developed using the same antibody clone in a different buffer formulation containing PBS, BSA, glycerol, and sodium azide (ab246502).

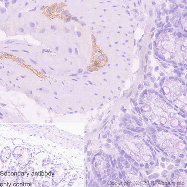
Immunohistochemistry (Formalin/PFA-fixed paraffin-embedded sections) - Anti-Peripherin antibody [EPR23445-28] - BSA and Azide free (AB269861)
  • IHC-P

Unknown

Immunohistochemistry (Formalin/PFA-fixed paraffin-embedded sections) - Anti-Peripherin antibody [EPR23445-28] - BSA and Azide free (AB269861)

Immunohistochemical analysis of paraffin-embedded Rat colon tissue labeling Peripherin with ab246502 at 1/10,000 dilution (0.05 ug/ml) followed by a ready to use Rabbit specific IHC polymer detection kit HRP/DAB (ab209101). Positive staining on the ganglion cells in rat colon is observed. The section was incubated with ab246502 for 10 mins at room temperature. The immunostaining staining was performed on a Leica Biosystems BOND® RX instrument. Counterstained with Hematoxylin.

Secondary antibody only control : Secondary antibody is a ready to use Rabbit specific IHC polymer detection kit HRP/DAB (ab209101).

Heat mediated antigen retrieval with Tris-EDTA buffer (pH 9.0, epitope retrieval solution 2) for 20 mins.

This data was developed using the same antibody clone in a different buffer formulation containing PBS, BSA, glycerol, and sodium azide (ab246502).

Flow Cytometry (Intracellular) - Anti-Peripherin antibody [EPR23445-28] - BSA and Azide free (AB269861)
  • Flow Cyt (Intra)

Unknown

Flow Cytometry (Intracellular) - Anti-Peripherin antibody [EPR23445-28] - BSA and Azide free (AB269861)

Intracellular flow cytometric analysis of 4% paraformaldehyde fixed, 90% methanol permeabilized Neuro-2a (mouse neuroblastoma neuroblast) cells labelling Peripherin with ab246502 at 1/50 dilution (Red) compared with a Rabbit monoclonal IgG (ab172730) (Black) isotype control and an unlabelled control (cells without incubation with primary antibody and secondary antibody) (Blue). A Goat anti rabbit IgG (Alexa Fluor®488, ab150077) at 1/2000 dilution was used as the secondary antibody.

This data was developed using the same antibody clone in a different buffer formulation containing PBS, BSA, glycerol, and sodium azide (ab246502).

  • Unconjugated

    Anti-Peripherin antibody [EPR23445-28]

  • 775 Alexa Fluor® 750

    Alexa Fluor® 750 Anti-Peripherin antibody [EPR23445-28]

  • 665 Alexa Fluor® 647

    Alexa Fluor® 647 Anti-Peripherin antibody [EPR23445-28]

  • 519 Alexa Fluor® 488

    Alexa Fluor® 488 Anti-Peripherin antibody [EPR23445-28]

  • 578 PE

    PE Anti-Peripherin antibody [EPR23445-28]

  • 660 APC

    APC Anti-Peripherin antibody [EPR23445-28]

  • HRP

    HRP Anti-Peripherin antibody [EPR23445-28]

  • 565 Alexa Fluor® 555

    Alexa Fluor® 555 Anti-Peripherin antibody [EPR23445-28]

  • 603 Alexa Fluor® 568

    Alexa Fluor® 568 Anti-Peripherin antibody [EPR23445-28]

Key facts

Host species

Rabbit

Clonality

Monoclonal

Clone number

EPR23445-28

Isotype

IgG

Carrier free

Yes

Reacts with

Mouse, Rat, Human

Applications

IHC-Fr, IHC-P, WB, Flow Cyt (Intra), ICC/IF, IP

applications

Immunogen

The exact immunogen used to generate this antibody is proprietary information.

Reactivity data

{ "title": "Reactivity Data", "filters": { "stats": ["", "Species", "Dilution Info", "Notes"], "tabs": { "all-applications": {"fullname" : "All Applications", "shortname": "All Applications"}, "IP" : {"fullname" : "Immunoprecipitation", "shortname":"IP"}, "WB" : {"fullname" : "Western blot", "shortname":"WB"}, "ICCIF" : {"fullname" : "Immunocytochemistry/ Immunofluorescence", "shortname":"ICC/IF"}, "IHCFr" : {"fullname" : "Immunohistochemistry (Frozen sections)", "shortname":"IHC-Fr"}, "FlowCytIntra" : {"fullname" : "Flow Cytometry (Intracellular)", "shortname":"Flow Cyt (Intra)"}, "IHCP" : {"fullname" : "Immunohistochemistry (Formalin/PFA-fixed paraffin-embedded sections)", "shortname":"IHC-P"} }, "product-promise": { "all": "all", "testedAndGuaranteed": "tested", "guaranteed": "expected", "predicted": "predicted", "notRecommended": "not-recommended" } }, "values": { "Human": { "IP-species-checked": "testedAndGuaranteed", "IP-species-dilution-info": "", "IP-species-notes": "<p></p>", "WB-species-checked": "testedAndGuaranteed", "WB-species-dilution-info": "", "WB-species-notes": "<p></p>", "ICCIF-species-checked": "testedAndGuaranteed", "ICCIF-species-dilution-info": "", "ICCIF-species-notes": "<p></p>", "IHCFr-species-checked": "guaranteed", "IHCFr-species-dilution-info": "", "IHCFr-species-notes": "", "FlowCytIntra-species-checked": "testedAndGuaranteed", "FlowCytIntra-species-dilution-info": "", "FlowCytIntra-species-notes": "<p></p>", "IHCP-species-checked": "testedAndGuaranteed", "IHCP-species-dilution-info": "", "IHCP-species-notes": "<p></p>" }, "Mouse": { "IP-species-checked": "guaranteed", "IP-species-dilution-info": "", "IP-species-notes": "", "WB-species-checked": "testedAndGuaranteed", "WB-species-dilution-info": "", "WB-species-notes": "<p></p>", "ICCIF-species-checked": "testedAndGuaranteed", "ICCIF-species-dilution-info": "", "ICCIF-species-notes": "<p></p>", "IHCFr-species-checked": "testedAndGuaranteed", "IHCFr-species-dilution-info": "", "IHCFr-species-notes": "<p>Heat mediated antigen retrieval using sodium citrate buffer (10mM citrate pH 6.0 + 0.05% Tween-20).</p>", "FlowCytIntra-species-checked": "testedAndGuaranteed", "FlowCytIntra-species-dilution-info": "", "FlowCytIntra-species-notes": "<p></p>", "IHCP-species-checked": "testedAndGuaranteed", "IHCP-species-dilution-info": "", "IHCP-species-notes": "<p></p>" }, "Rat": { "IP-species-checked": "guaranteed", "IP-species-dilution-info": "", "IP-species-notes": "", "WB-species-checked": "testedAndGuaranteed", "WB-species-dilution-info": "", "WB-species-notes": "<p></p>", "ICCIF-species-checked": "guaranteed", "ICCIF-species-dilution-info": "", "ICCIF-species-notes": "", "IHCFr-species-checked": "testedAndGuaranteed", "IHCFr-species-dilution-info": "", "IHCFr-species-notes": "<p>Heat mediated antigen retrieval using sodium citrate buffer (10mM citrate pH 6.0 + 0.05% Tween-20).</p>", "FlowCytIntra-species-checked": "guaranteed", "FlowCytIntra-species-dilution-info": "", "FlowCytIntra-species-notes": "", "IHCP-species-checked": "testedAndGuaranteed", "IHCP-species-dilution-info": "", "IHCP-species-notes": "<p></p>" } } }

Product details

ab269861 is the carrier-free version of ab246502.

Patented technology
Our RabMAb® technology is a patented hybridoma-based technology for making rabbit monoclonal antibodies. For details on our patents, please refer to RabMAb® patents.

What are the advantages of a recombinant monoclonal antibody?
This product is a recombinant monoclonal antibody, which offers several advantages including:

  • - High batch-to-batch consistency and reproducibility
  • - Improved sensitivity and specificity
  • - Long-term security of supply
  • - Animal-free batch production

For more information, read more on recombinant antibodies.

Conjugation ready
Our carrier-free antibodies are typically supplied in a PBS-only formulation, purified and free of BSA, sodium azide and glycerol. This conjugation-ready format is designed for use with fluorochromes, metal isotopes, oligonucleotides, and enzymes, which makes them ideal for antibody labelling, functional and cell-based assays, flow-based assays (e.g. mass cytometry) and Multiplex Imaging applications.

Use our conjugation kits for antibody conjugates that are ready-to-use in as little as 20 minutes with 1 minute hands-on-time and 100% antibody recovery: available for fluorescent dyes, HRP, biotin and gold.

Compatibility
This product is compatible with the Maxpar® Antibody Labeling Kit from Fluidigm, without the need for antibody preparation. Maxpar® is a trademark of Fluidigm Canada Inc.

Properties and storage information

Form
Liquid
Purification technique
Affinity purification Protein A
Storage buffer
pH: 7.2 - 7.4 Constituents: PBS
Shipped at conditions
Blue Ice
Appropriate short-term storage conditions
+4°C
Appropriate long-term storage conditions
+4°C
Storage information
Do Not Freeze

Supplementary information

This supplementary information is collated from multiple sources and compiled automatically.

Peripherin also known as 8G2 or 7C5 is a protein expressed strongly in peripheral and certain central nervous system neurons. The mass of the peripherin protein is approximately 57 kDa. This intermediate filament protein structurally supports neurons aiding in their proper formation maintenance and regeneration. Peripherin localizes to the axons of mature neurons and serves important functions in the neuronal cytoskeleton and its stability.
Biological function summary

Peripherin impacts the nervous system's structure and dynamics. As part of the cytoskeleton it contributes to neurofilament networks which are essential for neuronal shape and mechanical integrity. Peripherin plays a role in neuronal differentiation and apoptosis. It operates independently but occasionally interacts with other cytoskeletal proteins like neurofilament light protein to perform its duties in neuronal cells.

Pathways

Peripherin is involved in processes associated with neuronal development and injury response. It features in neurogenesis pathways where it influences the growth and repair of axons. Peripherin interacts with proteins such as vimentin which helps manage cell dynamics and stress responses. The axonal transport pathway also utilizes peripherin to support axonal transport under stressful conditions ensuring cellular integrity and function.

Peripherin connects strongly to neurodegenerative diseases such as amyotrophic lateral sclerosis (ALS) and spinal muscular atrophy (SMA). Its overexpression or aggregation can create abnormal filamentous structures that contribute to motor neuron degeneration. In ALS peripherin may interact with TAR DNA-binding protein 43 (TDP-43) and superoxide dismutase 1 (SOD1) proteins known to be significant in the disease pathogenesis. Understanding peripherin’s role in these diseases aids in unraveling mechanisms underlying neuronal degeneration.

Product protocols

For this product, it's our understanding that no specific protocols are required. You can visit:

Target data

Class-III neuronal intermediate filament protein (By similarity). May form an independent structural network without the involvement of other neurofilaments or may cooperate with the neuronal intermediate filament proteins NEFL, NEFH, NEFM and INA to form a filamentous network (PubMed : 15322088, PubMed : 15446584). Assembly of the neuronal intermediate filaments may be regulated by RAB7A (By similarity). Plays a role in the development of unmyelinated sensory neurons (By similarity). May be involved in axon elongation and axon regeneration after injury (By similarity). Inhibits neurite extension in type II spiral ganglion neurons in the cochlea (By similarity).
See full target information PRPH

Publications (1)

Recent publications for all applications. Explore the full list and refine your search

International journal of stem cells 17:91-98 PubMed37996245

2023

Mimicking the Human Articular Joint with Model of Neurons-Synoviocytes Co-Culture.

Applications

Unspecified application

Species

Unspecified reactive species

Jakub Chwastek,Marta Kędziora,Małgorzata Borczyk,Michał Korostyński,Katarzyna Starowicz
View all publications

Product promise

We are committed to supporting your work with high-quality reagents, and we're here for you every step of the way. In the unlikely event that one of our products does not perform as expected, you're protected by our Product Promise.
For full details, please see our Terms & Conditions

Please note: All products are 'FOR RESEARCH USE ONLY. NOT FOR USE IN DIAGNOSTIC OR THERAPEUTIC PROCEDURES'.

For licensing inquiries, please contact partnerships@abcam.com