JavaScript is disabled in your browser. Please enable JavaScript to view this website.
AB217322

Anti-PERK antibody

Be the first to review this product! Submit a review

|

(5 Publications)

Rabbit Polyclonal PERK antibody. Suitable for IHC-P and reacts with Mouse, Rat samples. Cited in 5 publications. Immunogen corresponding to Synthetic Peptide within Human EIF2AK3 aa 1050 to C-terminus conjugated to Keyhole Limpet Haemocyanin.

View Alternative Names

PEK, PERK, EIF2AK3, Eukaryotic translation initiation factor 2-alpha kinase 3, PRKR-like endoplasmic reticulum kinase, Pancreatic eIF2-alpha kinase, Protein tyrosine kinase EIF2AK3, HsPEK

2 Images
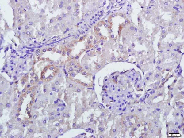
Immunohistochemistry (Formalin/PFA-fixed paraffin-embedded sections) - Anti-PERK antibody (AB217322)
  • IHC-P

Supplier Data

Immunohistochemistry (Formalin/PFA-fixed paraffin-embedded sections) - Anti-PERK antibody (AB217322)

Immunohistochemical analysis of paraformaldehyde-fixed, paraffin-embedded rat kidney tissue labeling PERK with ab217322 at 1/500 dilution, followed by secondary antibody detection and DAB staining.

Antigen retrieval by boiling in sodium citrate buffer (pH6) for 15 minutes; Block endogenous peroxidase by 3% hydrogen peroxide for 30 minutes; Blocking buffer (normal goat serum) at 37°C for 20 minutes.

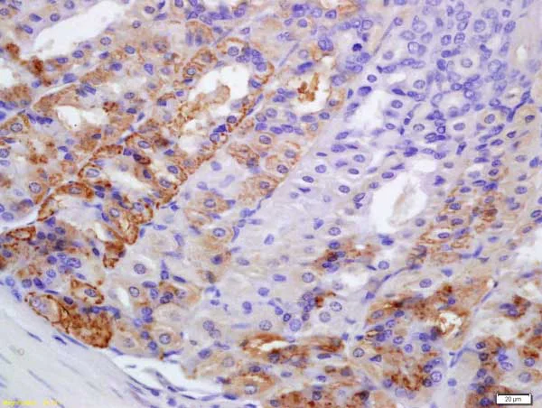
Immunohistochemistry (Formalin/PFA-fixed paraffin-embedded sections) - Anti-PERK antibody (AB217322)
  • IHC-P

Supplier Data

Immunohistochemistry (Formalin/PFA-fixed paraffin-embedded sections) - Anti-PERK antibody (AB217322)

Immunohistochemical analysis of formalin-fixed, paraffin-embedded mouse stomach tissue labeling PERK with ab217322 at 1/200 dilution, followed by secondary antibody detection and DAB staining.

Key facts

Host species

Rabbit

Clonality

Polyclonal

Isotype

IgG

Carrier free

No

Reacts with

Mouse, Rat

Applications

IHC-P

applications

Immunogen

Synthetic Peptide within Human EIF2AK3 aa 1050 to C-terminus conjugated to Keyhole Limpet Haemocyanin. The exact immunogen used to generate this antibody is proprietary information.

Q9NZJ5

Reactivity data

{ "title": "Reactivity Data", "filters": { "stats": ["", "Species", "Dilution Info", "Notes"], "tabs": { "all-applications": {"fullname" : "All Applications", "shortname": "All Applications"}, "IHCP" : {"fullname" : "Immunohistochemistry (Formalin/PFA-fixed paraffin-embedded sections)", "shortname":"IHC-P"} }, "product-promise": { "all": "all", "testedAndGuaranteed": "tested", "guaranteed": "expected", "predicted": "predicted", "notRecommended": "not-recommended" } }, "values": { "Human": { "IHCP-species-checked": "predicted", "IHCP-species-dilution-info": "", "IHCP-species-notes": "" }, "Mouse": { "IHCP-species-checked": "testedAndGuaranteed", "IHCP-species-dilution-info": "1/100 - 1/500", "IHCP-species-notes": "<p></p>" }, "Rat": { "IHCP-species-checked": "testedAndGuaranteed", "IHCP-species-dilution-info": "1/100 - 1/500", "IHCP-species-notes": "<p></p>" } } }

Properties and storage information

Form
Liquid
Purification technique
Affinity purification Protein A
Storage buffer
pH: 7.4 Preservative: 0.02% Proclin 300 Constituents: 50% Glycerol (glycerin, glycerine), 48.98% TBS, 1X, 1% BSA
Shipped at conditions
Blue Ice
Appropriate short-term storage duration
1-2 weeks
Appropriate short-term storage conditions
+4°C
Appropriate long-term storage conditions
-20°C
Aliquoting information
Upon delivery aliquot
Storage information
Avoid freeze / thaw cycle

Supplementary information

This supplementary information is collated from multiple sources and compiled automatically.

PERK also known as EIF2AK3 is a protein kinase involved in the unfolded protein response (UPR). Researchers commonly identify it by its phosphorylation state in western blots recognizable as phospho-PERK or p-PERK. The molecular weight of PERK is approximately 125 kDa. It is predominantly expressed in the endoplasmic reticulum (ER) of cells acting as a sensor for misfolded proteins. PERK acts mechanistically by phosphorylating the translation initiation factor eIF2α reducing overall protein synthesis and alleviating ER stress.
Biological function summary

PERK plays an important role in maintaining cellular homeostasis during stress conditions. It forms part of a larger complex that regulates the adaptive response to ER stress. Upon activation PERK arrests general protein translation while allowing for selective translation of stress response proteins. This mechanism prevents the accumulation of unfolded proteins and assists in the survival of cells under adverse conditions. PERK also contributes to the regulation of oxidative stress and cell apoptosis adding further layers to its biological significance.

Pathways

PERK's activity intersects with the integrated stress response and UPR pathways. It shares a close functional relationship with proteins like ATF4 which is synthesized upon PERK activation and is important for the transcription of genes related to stress adaptation. The UPR pathway coordinates with the IRE1 and ATF6 pathways forming an important network for managing ER stress. These pathways collectively ensure cellular resilience adjusting metabolic demands and promoting cellular recovery.

PERK's malfunction can contribute to conditions such as diabetes and neurodegenerative diseases like Alzheimer's. In diabetes improper regulation of PERK affects insulin synthesis and secretion leading to pancreatic β-cell dysfunction. Alzheimer’s disease shows links with heightened ER stress and dysregulation of the PERK-eIF2α signaling pathway potentially contributing to neuronal death. PERK dysfunction can also associate with other proteins such as CHOP which mediates apoptosis during prolonged ER stress exacerbating these conditions.

Product protocols

For this product, it's our understanding that no specific protocols are required. You can visit:

Target data

Metabolic-stress sensing protein kinase that phosphorylates the alpha subunit of eukaryotic translation initiation factor 2 (EIF2S1/eIF-2-alpha) in response to various stress, such as unfolded protein response (UPR) (PubMed : 10026192, PubMed : 10677345, PubMed : 11907036, PubMed : 12086964, PubMed : 25925385, PubMed : 31023583). Key effector of the integrated stress response (ISR) to unfolded proteins : EIF2AK3/PERK specifically recognizes and binds misfolded proteins, leading to its activation and EIF2S1/eIF-2-alpha phosphorylation (PubMed : 10677345, PubMed : 27917829, PubMed : 31023583). EIF2S1/eIF-2-alpha phosphorylation in response to stress converts EIF2S1/eIF-2-alpha in a global protein synthesis inhibitor, leading to a global attenuation of cap-dependent translation, while concomitantly initiating the preferential translation of ISR-specific mRNAs, such as the transcriptional activators ATF4 and QRICH1, and hence allowing ATF4- and QRICH1-mediated reprogramming (PubMed : 10026192, PubMed : 10677345, PubMed : 31023583, PubMed : 33384352). The EIF2AK3/PERK-mediated unfolded protein response increases mitochondrial oxidative phosphorylation by promoting ATF4-mediated expression of COX7A2L/SCAF1, thereby increasing formation of respiratory chain supercomplexes (PubMed : 31023583). In contrast to most subcellular compartments, mitochondria are protected from the EIF2AK3/PERK-mediated unfolded protein response due to EIF2AK3/PERK inhibition by ATAD3A at mitochondria-endoplasmic reticulum contact sites (PubMed : 39116259). In addition to EIF2S1/eIF-2-alpha, also phosphorylates NFE2L2/NRF2 in response to stress, promoting release of NFE2L2/NRF2 from the BCR(KEAP1) complex, leading to nuclear accumulation and activation of NFE2L2/NRF2 (By similarity). Serves as a critical effector of unfolded protein response (UPR)-induced G1 growth arrest due to the loss of cyclin-D1 (CCND1) (By similarity). Involved in control of mitochondrial morphology and function (By similarity).
See full target information EIF2AK3

Publications (5)

Recent publications for all applications. Explore the full list and refine your search

Materials today. Bio 34:102234 PubMed40893347

2025

Cationic microbubble loading hSIRT3 and hTIMP3 optimize cardiac-targeted delivery and myocardial protection in the porcine MI/R model.

Applications

Unspecified application

Species

Unspecified reactive species

Peian Cai,Kegong Chen,Xionghai Qin,Xingpei Jiang,Xuan Jiao,Kexun Liu,Erliang Guo,Zipeng Li,Xianxin Qiu,Chang Liu,Lu Sun,Junbo Chuai,Jie Wu,Wei Chen,Hai Tian

British journal of pharmacology 179:5089-5108 PubMed35760458

2022

6-Shogaol (enexasogoal) treatment improves experimental knee osteoarthritis exerting a pleiotropic effect over immune innate signalling responses in chondrocytes.

Applications

Unspecified application

Species

Unspecified reactive species

Paula Gratal,Aránzazu Mediero,Ana Lamuedra,Alejandra Matamoros-Recio,Carmen Herencia,Gabriel Herrero-Beaumont,Sonsoles Martín-Santamaría,Raquel Largo

Experimental and therapeutic medicine 20:84 PubMed32968441

2020

Effects of CD4 T lymphocytes from ovariectomized mice on bone marrow mesenchymal stem cell proliferation and osteogenic differentiation.

Applications

Unspecified application

Species

Unspecified reactive species

Bing-Yi Shao,Lan Wang,Yang Yu,Liang Chen,Ning Gan,Wen-Ming Huang

Cell 176:581-596.e18 PubMed30661753

2019

Environmental Control of Astrocyte Pathogenic Activities in CNS Inflammation.

Applications

Unspecified application

Species

Unspecified reactive species

Michael A Wheeler,Merja Jaronen,Ruxandra Covacu,Stephanie E J Zandee,Giulia Scalisi,Veit Rothhammer,Emily C Tjon,Chun-Cheih Chao,Jessica E Kenison,Manon Blain,Vijayaraghava T S Rao,Patrick Hewson,Andreia Barroso,Cristina Gutiérrez-Vázquez,Alexandre Prat,Jack P Antel,Russ Hauser,Francisco J Quintana

IUBMB life 71:587-600 PubMed30589231

2018

MicroRNA-23a inhibits melanoma cell proliferation, migration, and invasion in mice through a negative feedback regulation of sdcbp and the MAPK/ERK signaling pathway.

Applications

Unspecified application

Species

Unspecified reactive species

Shelian Lu,Qunyuan Xu
View all publications

Product promise

We are committed to supporting your work with high-quality reagents, and we're here for you every step of the way. In the unlikely event that one of our products does not perform as expected, you're protected by our Product Promise.
For full details, please see our Terms & Conditions

Please note: All products are 'FOR RESEARCH USE ONLY. NOT FOR USE IN DIAGNOSTIC OR THERAPEUTIC PROCEDURES'.

For licensing inquiries, please contact partnerships@abcam.com