JavaScript is disabled in your browser. Please enable JavaScript to view this website.
AB192591

Anti-PERK (phospho T982) antibody

4

(19 Reviews)

|

(95 Publications)

Rabbit Polyclonal PERK phospho T982 antibody. Suitable for IHC-P and reacts with Human samples. Cited in 95 publications. Immunogen corresponding to Synthetic Peptide within Human EIF2AK3 phospho T982 aa 950-1000.

View Alternative Names

PEK, PERK, EIF2AK3, Eukaryotic translation initiation factor 2-alpha kinase 3, PRKR-like endoplasmic reticulum kinase, Pancreatic eIF2-alpha kinase, Protein tyrosine kinase EIF2AK3, HsPEK

1 Images
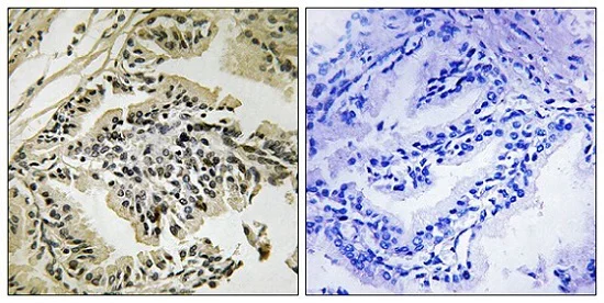
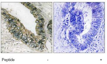
Immunohistochemistry (Formalin/PFA-fixed paraffin-embedded sections) - Anti-PERK (phospho T982) antibody (AB192591)
  • IHC-P

Supplier Data

Immunohistochemistry (Formalin/PFA-fixed paraffin-embedded sections) - Anti-PERK (phospho T982) antibody (AB192591)

Immunohistochemical analysis of paraffin-embedded human prostate carcinoma tissue labeling PERK (phospho T982) with ab192591 at a 1/50 dilution. The image on the right shows the same antibody preincubated with blocking peptide.

Key facts

Host species

Rabbit

Clonality

Polyclonal

Isotype

IgG

Carrier free

No

Reacts with

Human

Applications

IHC-P

applications

Immunogen

Synthetic Peptide within Human EIF2AK3 phospho T982 aa 950-1000. The exact immunogen used to generate this antibody is proprietary information.

Q9NZJ5

Reactivity data

{ "title": "Reactivity Data", "filters": { "stats": ["", "Species", "Dilution Info", "Notes"], "tabs": { "all-applications": {"fullname" : "All Applications", "shortname": "All Applications"}, "IHCP" : {"fullname" : "Immunohistochemistry (Formalin/PFA-fixed paraffin-embedded sections)", "shortname":"IHC-P"} }, "product-promise": { "all": "all", "testedAndGuaranteed": "tested", "guaranteed": "expected", "predicted": "predicted", "notRecommended": "not-recommended" } }, "values": { "Human": { "IHCP-species-checked": "testedAndGuaranteed", "IHCP-species-dilution-info": "1/50 - 1/100", "IHCP-species-notes": "<p></p>" }, "Mouse": { "IHCP-species-checked": "predicted", "IHCP-species-dilution-info": "", "IHCP-species-notes": "" }, "Rat": { "IHCP-species-checked": "predicted", "IHCP-species-dilution-info": "", "IHCP-species-notes": "" } } }

Properties and storage information

Form
Liquid
Purification technique
Affinity purification Immunogen
Purification notes
ab192591 was purified by affinity-chromatography using epitope-specific phosphopeptide. Non-phospho specific antibodies were removed by chromatogramphy using non-phosphopeptide.
Storage buffer
pH: 7.4 Preservative: 0.02% Sodium azide Constituents: PBS, 50% Glycerol (glycerin, glycerine), 0.87% Sodium chloride
Shipped at conditions
Blue Ice
Appropriate short-term storage duration
1-2 weeks
Appropriate short-term storage conditions
+4°C
Appropriate long-term storage conditions
-20°C
Aliquoting information
Upon delivery aliquot
Storage information
Avoid freeze / thaw cycle

Supplementary information

This supplementary information is collated from multiple sources and compiled automatically.

PERK also known as EIF2AK3 is a protein kinase involved in the unfolded protein response (UPR). Researchers commonly identify it by its phosphorylation state in western blots recognizable as phospho-PERK or p-PERK. The molecular weight of PERK is approximately 125 kDa. It is predominantly expressed in the endoplasmic reticulum (ER) of cells acting as a sensor for misfolded proteins. PERK acts mechanistically by phosphorylating the translation initiation factor eIF2α reducing overall protein synthesis and alleviating ER stress.
Biological function summary

PERK plays an important role in maintaining cellular homeostasis during stress conditions. It forms part of a larger complex that regulates the adaptive response to ER stress. Upon activation PERK arrests general protein translation while allowing for selective translation of stress response proteins. This mechanism prevents the accumulation of unfolded proteins and assists in the survival of cells under adverse conditions. PERK also contributes to the regulation of oxidative stress and cell apoptosis adding further layers to its biological significance.

Pathways

PERK's activity intersects with the integrated stress response and UPR pathways. It shares a close functional relationship with proteins like ATF4 which is synthesized upon PERK activation and is important for the transcription of genes related to stress adaptation. The UPR pathway coordinates with the IRE1 and ATF6 pathways forming an important network for managing ER stress. These pathways collectively ensure cellular resilience adjusting metabolic demands and promoting cellular recovery.

PERK's malfunction can contribute to conditions such as diabetes and neurodegenerative diseases like Alzheimer's. In diabetes improper regulation of PERK affects insulin synthesis and secretion leading to pancreatic β-cell dysfunction. Alzheimer’s disease shows links with heightened ER stress and dysregulation of the PERK-eIF2α signaling pathway potentially contributing to neuronal death. PERK dysfunction can also associate with other proteins such as CHOP which mediates apoptosis during prolonged ER stress exacerbating these conditions.

Product protocols

For this product, it's our understanding that no specific protocols are required. You can visit:

Target data

Metabolic-stress sensing protein kinase that phosphorylates the alpha subunit of eukaryotic translation initiation factor 2 (EIF2S1/eIF-2-alpha) in response to various stress, such as unfolded protein response (UPR) (PubMed : 10026192, PubMed : 10677345, PubMed : 11907036, PubMed : 12086964, PubMed : 25925385, PubMed : 31023583). Key effector of the integrated stress response (ISR) to unfolded proteins : EIF2AK3/PERK specifically recognizes and binds misfolded proteins, leading to its activation and EIF2S1/eIF-2-alpha phosphorylation (PubMed : 10677345, PubMed : 27917829, PubMed : 31023583). EIF2S1/eIF-2-alpha phosphorylation in response to stress converts EIF2S1/eIF-2-alpha in a global protein synthesis inhibitor, leading to a global attenuation of cap-dependent translation, while concomitantly initiating the preferential translation of ISR-specific mRNAs, such as the transcriptional activators ATF4 and QRICH1, and hence allowing ATF4- and QRICH1-mediated reprogramming (PubMed : 10026192, PubMed : 10677345, PubMed : 31023583, PubMed : 33384352). The EIF2AK3/PERK-mediated unfolded protein response increases mitochondrial oxidative phosphorylation by promoting ATF4-mediated expression of COX7A2L/SCAF1, thereby increasing formation of respiratory chain supercomplexes (PubMed : 31023583). In contrast to most subcellular compartments, mitochondria are protected from the EIF2AK3/PERK-mediated unfolded protein response due to EIF2AK3/PERK inhibition by ATAD3A at mitochondria-endoplasmic reticulum contact sites (PubMed : 39116259). In addition to EIF2S1/eIF-2-alpha, also phosphorylates NFE2L2/NRF2 in response to stress, promoting release of NFE2L2/NRF2 from the BCR(KEAP1) complex, leading to nuclear accumulation and activation of NFE2L2/NRF2 (By similarity). Serves as a critical effector of unfolded protein response (UPR)-induced G1 growth arrest due to the loss of cyclin-D1 (CCND1) (By similarity). Involved in control of mitochondrial morphology and function (By similarity).
See full target information EIF2AK3 phospho T982

Publications (95)

Recent publications for all applications. Explore the full list and refine your search

American journal of translational research 17:6504-6521 PubMed40950286

2025

NLBK alleviates airway remodeling in COPD by inhibiting RXRA-mediated transcription of PLA2G2A.

Applications

Unspecified application

Species

Unspecified reactive species

Teng Zhang,Fang Fang,Dan Wu,Guodong Wang

Stem cell research & therapy 16:382 PubMed40671164

2025

Endothelial cell-secreted bone targeting exosomes promote angiogenesis coupling with osteogenesis via the PERK-ATF4-CRELD2 pathway.

Applications

Unspecified application

Species

Unspecified reactive species

Zhilong Pi,You Wu,Jingyi Wu,Tao Zhang,Pingyue Li,Renkai Wang

Bone & joint research 14:516-526 PubMed40511498

2025

Hederagenin promotes SIRT6 to attenuate epidural scar formation by aggravating PRMT1 deacetylation.

Applications

Unspecified application

Species

Unspecified reactive species

Xiao-Chen Fan,Jue Wang

Redox report : communications in free radical research 30:2511458 PubMed40489575

2025

Fucoxanthin alleviates renal aging by regulating the oxidative stress process and the inflammatory response and models.

Applications

Unspecified application

Species

Unspecified reactive species

Xiaomei Zhang,Weidong Qiang,Yongxin Guo,Jingli Gong,Huan Yu,Di Wu,Pengxiang Tang,Ma Yidan,Huifeng Zhang,Xin Sun

Cellular and molecular life sciences : CMLS 82:32 PubMed39741209

2025

Microtubule acetylation and PERK activation facilitate eribulin-induced mitochondrial calcium accumulation and cell death.

Applications

Unspecified application

Species

Unspecified reactive species

Seongeun Song,Panseon Ko,Seula Keum,Jangho Jeong,Ye Eun Hwang,Minwoo Lee,Jee-Hye Choi,Youn-Sang Jung,Sung Hyun Kim,Sangmyung Rhee

Redox biology 79:103450 PubMed39667306

2024

Polysulfide and persulfide-mediated activation of the PERK-eIF2α-ATF4 pathway increases Sestrin2 expression and reduces methylglyoxal toxicity.

Applications

Unspecified application

Species

Unspecified reactive species

Shin Koike,Hideo Kimura,Yuki Ogasawara

American journal of translational research 16:5829-5845 PubMed39544779

2024

Zhi Zhu Ma Ren pill relieves constipation in mice through endoplasmic reticulum stress-mediated apoptosis.

Applications

Unspecified application

Species

Unspecified reactive species

Yong Wen,Yu Zhan,Jun Li,Ling Xu,Chengzi Huang,Rong Wu,Xuegui Tang

Nature communications 15:8586 PubMed39362879

2024

Polymeric nanocarrier via metabolism regulation mediates immunogenic cell death with spatiotemporal orchestration for cancer immunotherapy.

Applications

Unspecified application

Species

Unspecified reactive species

Yichen Guo,Yongjuan Li,Mengzhe Zhang,Rong Ma,Yayun Wang,Xiao Weng,Jinjie Zhang,Zhenzhong Zhang,Xiaoyuan Chen,Weijing Yang

Allergologia et immunopathologia 52:38-45 PubMed38970263

2024

Deciphering the mechanism of cimifugin in mitigating LPS-induced neuroinflammation in BV-2 cells.

Applications

Unspecified application

Species

Unspecified reactive species

Zhang Bu,Shan Xu,Feng Xu

Immunology 172:210-225 PubMed38366844

2024

Psychological stress to ovalbumin peptide-specific T-cell receptor transgenic mice impairs the suppressive ability of type 1 regulatory T cell.

Applications

Unspecified application

Species

Unspecified reactive species

Xiaoyu Liu,Xuejie Xu,Yun Liao,Wenkai Yao,Xiaorui Geng,Xianhai Zeng,Xizhuo Sun,Aifa Tang,Pingchang Yang
View all publications

Product promise

We are committed to supporting your work with high-quality reagents, and we're here for you every step of the way. In the unlikely event that one of our products does not perform as expected, you're protected by our Product Promise.
For full details, please see our Terms & Conditions

Please note: All products are 'FOR RESEARCH USE ONLY. NOT FOR USE IN DIAGNOSTIC OR THERAPEUTIC PROCEDURES'.

For licensing inquiries, please contact partnerships@abcam.com