JavaScript is disabled in your browser. Please enable JavaScript to view this website.
AB41906

Anti-Peroxiredoxin 1/PAG antibody

4

(5 Reviews)

|

(39 Publications)

Rabbit Polyclonal Peroxiredoxin 1/PAG antibody. Suitable for IHC-P, WB and reacts with Human samples. Cited in 39 publications.

View Alternative Names

PAGA, PAGB, TDPX2, PRDX1, Peroxiredoxin-1, Natural killer cell-enhancing factor A, Proliferation-associated gene protein, Thioredoxin peroxidase 2, Thioredoxin-dependent peroxide reductase 2, Thioredoxin-dependent peroxiredoxin 1, NKEF-A, PAG

6 Images
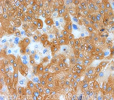
Immunohistochemistry (Formalin/PFA-fixed paraffin-embedded sections) - Anti-Peroxiredoxin 1/PAG antibody (AB41906)
  • IHC-P

Unknown

Immunohistochemistry (Formalin/PFA-fixed paraffin-embedded sections) - Anti-Peroxiredoxin 1/PAG antibody (AB41906)

IHC image of Peroxiredoxin 1/PAG staining in human liver carcinoma FFPE section, performed on a BondTM system using the standard protocol F. The section was pre-treated using heat mediated antigen retrieval with sodium citrate buffer (pH6, epitope retrieval solution 1) for 20 mins. The section was then incubated with ab41906, 1μg/ml, for 15 mins at room temperature and detected using an HRP conjugated compact polymer system. DAB was used as the chromogen. The section was then counterstained with haematoxylin and mounted with DPX.

Western blot - Anti-Peroxiredoxin 1/PAG antibody (AB41906)
  • WB

Collaborator

Western blot - Anti-Peroxiredoxin 1/PAG antibody (AB41906)

ab41906 was shown to react with PRDX1 in wild-type U-2 OS cells in Western blot with loss of signal observed in a PRDX1 knockout cell line. Wild-type U-2 OS and PRDX1 knockout cell lysates were subjected to SDS-PAGE. Membranes were blocked in 5% milk in TBST for 1 hr before incubation with ab41906 overnight at 4 °C at a 1/1000 dilution. Blots were incubated with goat anti-rabbit HRP secondary antibodies at 0.2ug/mL before imaging. This data was kindly provided by the YCharOS Inc., an open science company with the mission of characterizing every commercially available antibody reagent. Abcam are working with YCharOS to support their mission of antibody characterisation using knockout cell lines.

All lanes:

Western blot - Anti-Peroxiredoxin 1/PAG antibody (ab41906) at 1/1000 dilution

Lane 1:

Wild-type U-2 OS cell lysate at 20 µg

Lane 2:

PRDX1 knockout U-2 OS cell lysate at 20 µg

Predicted band size: 22 kDa

false

Western blot - Anti-Peroxiredoxin 1/PAG antibody (AB41906)
  • WB

Lab

Western blot - Anti-Peroxiredoxin 1/PAG antibody (AB41906)

Lane 1 : Wild-type HAP1 cell lysate (20 μg)
Lane 2 : Peroxiredoxin 1/PAG knockout HAP1 cell lysate (20 μg)
Lane 3 : A431 cell lysate (20 μg)
Lane 4 : Jurkat cell lysate (20 μg)
Lanes 1 - 4 : Merged signal (red and green). Green - ab41906 observed at 23 kDa. Red - loading control, ab8245, observed at 37 kDa.

ab41906 was shown to recognize Peroxiredoxin 1/PAG when Peroxiredoxin 1/PAG knockout samples were used, along with additional cross-reactive bands. Wild-type and Peroxiredoxin 1/PAG knockout samples were subjected to SDS-PAGE. ab41906 and ab8245 (loading control to GAPDH) at a concentration of 1 μg/ml and diluted to 1/10000 respectively were incubated overnight at 4°C. Blots were developed with Goat anti-Rabbit IgG H&L (IRDye® 800CW) preadsorbed (ab216773) and Goat anti-Mouse IgG H&L (IRDye® 680RD) preadsorbed (ab216776) secondary antibodies at 1/10000 dilution for 1 hour at room temperature before imaging.

All lanes:

Western blot - Anti-Peroxiredoxin 1/PAG antibody (ab41906)

Predicted band size: 22 kDa

false

Western blot - Anti-Peroxiredoxin 1/PAG antibody (AB41906)
  • WB

Project3009****

Western blot - Anti-Peroxiredoxin 1/PAG antibody (AB41906)

All lanes:

Western blot - Anti-Peroxiredoxin 1/PAG antibody (ab41906) at 1 µg/mL

Lane 1:

HeLa (Human epithelial carcinoma cell line) Whole Cell Lysate at 10 µg

Lane 2:

Jurkat (Human T cell lymphoblast-like cell line) Whole Cell Lysate at 10 µg

Lane 3:

A431 (Human epithelial carcinoma cell line) Whole Cell Lysate at 10 µg

Lane 4:

HEK293 (Human embryonic kidney cell line) Whole Cell Lysate at 10 µg

Lane 5:

HepG2 (Human hepatocellular liver carcinoma cell line) Whole Cell Lysate at 10 µg

Lane 6:

MCF7 (Human breast adenocarcinoma cell line) Whole Cell Lysate at 10 µg

Lane 7:

SHSY-5Y (Human neuroblastoma cell line) Whole Cell Lysate at 10 µg

Lane 8:

U2OS (Human osteosarcoma cell line) Whole Cell Lysate at 10 µg

Secondary

All lanes:

Goat Polyclonal to rabbit IgG - H&L - Pre adsorbed (HRP) at 1/3000 dilution

Predicted band size: 22 kDa

Observed band size: 24 kDa

false

Western blot - Anti-Peroxiredoxin 1/PAG antibody (AB41906)
  • WB

Lab

Western blot - Anti-Peroxiredoxin 1/PAG antibody (AB41906)

ab41906 was shown to react with PRDX1 in wild-type U2OS cells in Western blot with loss of signal observed in PRDX1 knockout cell line. Wild-type U2OS and PRDX1 knockout cell lysates were subjected to SDS-PAGE. Membranes were blocked in 5% milk in TBST for 1 hr before incubation with ab41906 overnight at 4 °C at a 1/1000 dilution. Blots were incubated with secondary antibodies at 0.2 µg/mL before imaging.

These data were provided by YCharOS Inc., an open science company with the mission of characterizing commercially available antibody reagents for all human proteins. Abcam and YCharOS are working together to help address the reproducibility crisis by enabling the life science community to better evaluate commercially available antibodies.

All lanes:

Western blot - Anti-Peroxiredoxin 1/PAG antibody (ab41906) at 1/1000 dilution

Lane 1:

Wild-type U2OS lysate at 10 µg

Lane 2:

PRDX1 knock-out U2OS lysate at 10 µg

false

Western blot - Anti-Peroxiredoxin 1/PAG antibody (AB41906)
  • WB

Unknown

Western blot - Anti-Peroxiredoxin 1/PAG antibody (AB41906)

This protein is a homodimer consisting of two subunits with an expected molecular weight of 23kDa.

All lanes:

Western blot - Anti-Peroxiredoxin 1/PAG antibody (ab41906) at 1 µg/mL

All lanes:

Western blot - Recombinant human Peroxiredoxin 1/PAG protein (<a href='/en-us/products/proteins-peptides/recombinant-human-peroxiredoxin-1-pag-protein-ab79945'>ab79945</a>) at 0.01 µg

Secondary

All lanes:

Western blot - Goat Anti-Rabbit IgG H&L (HRP) preadsorbed (<a href='/en-us/products/secondary-antibodies/goat-rabbit-igg-h-l-hrp-preadsorbed-ab97080'>ab97080</a>) at 1/5000 dilution

Predicted band size: 22 kDa

true

Exposure time: 30s

Key facts

Host species

Rabbit

Clonality

Polyclonal

Isotype

IgG

Carrier free

No

Reacts with

Human

Applications

IHC-P, WB

applications

Immunogen

The exact immunogen used to generate this antibody is proprietary information.

Reactivity data

{ "title": "Reactivity Data", "filters": { "stats": ["", "Species", "Dilution Info", "Notes"], "tabs": { "all-applications": {"fullname" : "All Applications", "shortname": "All Applications"}, "IHCP" : {"fullname" : "Immunohistochemistry (Formalin/PFA-fixed paraffin-embedded sections)", "shortname":"IHC-P"}, "WB" : {"fullname" : "Western blot", "shortname":"WB"} }, "product-promise": { "all": "all", "testedAndGuaranteed": "tested", "guaranteed": "expected", "predicted": "predicted", "notRecommended": "not-recommended" } }, "values": { "Human": { "IHCP-species-checked": "testedAndGuaranteed", "IHCP-species-dilution-info": "1 µg/mL", "IHCP-species-notes": "<p></p>", "WB-species-checked": "testedAndGuaranteed", "WB-species-dilution-info": "1 µg/mL", "WB-species-notes": "<p></p>" }, "Mouse": { "IHCP-species-checked": "predicted", "IHCP-species-dilution-info": "", "IHCP-species-notes": "", "WB-species-checked": "predicted", "WB-species-dilution-info": "", "WB-species-notes": "" }, "Rat": { "IHCP-species-checked": "predicted", "IHCP-species-dilution-info": "", "IHCP-species-notes": "", "WB-species-checked": "predicted", "WB-species-dilution-info": "", "WB-species-notes": "" }, "Cow": { "IHCP-species-checked": "predicted", "IHCP-species-dilution-info": "", "IHCP-species-notes": "", "WB-species-checked": "predicted", "WB-species-dilution-info": "", "WB-species-notes": "" }, "Rabbit": { "IHCP-species-checked": "predicted", "IHCP-species-dilution-info": "", "IHCP-species-notes": "", "WB-species-checked": "predicted", "WB-species-dilution-info": "", "WB-species-notes": "" } } }

Properties and storage information

Form
Liquid
Purification technique
Affinity purification Immunogen
Storage buffer
pH: 7.4 Preservative: 0.02% Sodium azide Constituents: PBS, 1% BSA
Shipped at conditions
Blue Ice
Appropriate short-term storage duration
1-2 weeks
Appropriate short-term storage conditions
+4°C
Appropriate long-term storage conditions
-20°C
Aliquoting information
Upon delivery aliquot
Storage information
Avoid freeze / thaw cycle

Supplementary information

This supplementary information is collated from multiple sources and compiled automatically.

Peroxiredoxin 1 also known as PAG plays an important role as an antioxidant enzyme. It is part of the peroxiredoxin family with a molecular mass of around 22 kDa. This protein helps reduce hydrogen peroxide and organic hydroperoxides to water and corresponding alcohols using reducing equivalents provided by thiol-containing donor molecules. Peroxiredoxin 1/PAG expresses widely in human tissues and cells including liver and erythrocytes reflecting its involvement in cellular redox regulation.
Biological function summary

Peroxiredoxin 1 helps maintain cellular homeostasis by protecting cells from oxidative stress. It forms homodimers or interacts with other proteins to propagate cellular responses to changes in redox state. As an important member of the antioxidant defense mechanism it contributes to cellular signaling through modulation of hydrogen peroxide signaling pathways. The protein also plays a role in cell proliferation and apoptosis making it significant for cellular health and disease prevention.

Pathways

Peroxiredoxin 1 participates in critical processes such as the MAPK signaling and TGF-beta pathways. It interacts with MAPK-related proteins influencing cell survival and growth. Peroxiredoxin 1 indirectly modulates downstream signaling molecules that contribute to cellular responses. In these pathways the protein's antioxidant properties allow regulation of reactive oxygen species levels which directly affect cellular signaling cascades.

Peroxiredoxin 1 is relevant to cancer and neurodegenerative disorders. Overexpression or misregulation of this protein has been linked to various cancers where it potentially interacts with oncogenic proteins like c-Myc to promote tumor progression. Additionally abnormal levels of Peroxiredoxin 1 associate with neurodegenerative diseases as oxidative stress is a common factor in their pathology. These connections suggest the protein as a promising target in therapeutic interventions for these diseases.

Product protocols

For this product, it's our understanding that no specific protocols are required. You can visit:

Target data

Thiol-specific peroxidase that catalyzes the reduction of hydrogen peroxide and organic hydroperoxides to water and alcohols, respectively. Plays a role in cell protection against oxidative stress by detoxifying peroxides and as sensor of hydrogen peroxide-mediated signaling events. Might participate in the signaling cascades of growth factors and tumor necrosis factor-alpha by regulating the intracellular concentrations of H(2)O(2) (PubMed : 9497357). Reduces an intramolecular disulfide bond in GDPD5 that gates the ability to GDPD5 to drive postmitotic motor neuron differentiation (By similarity).
See full target information PRDX1

Publications (39)

Recent publications for all applications. Explore the full list and refine your search

Oncotarget 16:362-378 PubMed40387816

2025

PRDX1 protects ATM from arsenite-induced proteotoxicity and maintains its stability during DNA damage signaling.

Applications

Unspecified application

Species

Unspecified reactive species

Reem Ali,Mashael Algethami,Amera Sheha,Shatha Alqahtani,Ahmad Altayyar,Ayat Lashen,Emad Rakha,Abdallah Alhaj Sulaiman,Srinivasan Madhusudan,Dindial Ramotar

Free radical biology & medicine 204:252-265 PubMed37192685

2023

Performance benchmarking microplate-immunoassays for quantifying target-specific cysteine oxidation reveals their potential for understanding redox-regulation and oxidative stress.

Applications

Unspecified application

Species

Unspecified reactive species

Ahmet Tuncay,Daniel R Crabtree,David J Muggeridge,Holger Husi,James N Cobley

Cancers 14: PubMed35626147

2022

Mutational Activation of the NRF2 Pathway Upregulates Kynureninase Resulting in Tumor Immunosuppression and Poor Outcome in Lung Adenocarcinoma.

Applications

Unspecified application

Species

Unspecified reactive species

Johannes F Fahrmann,Ichidai Tanaka,Ehsan Irajizad,Xiangying Mao,Jennifer B Dennison,Eunice Murage,Julian Casabar,Jeffrey Mayo,Qian Peng,Muge Celiktas,Jody V Vykoukal,Soyoung Park,Ayumu Taguchi,Oliver Delgado,Satyendra C Tripathi,Hiroyuki Katayama,Luisa Maren Solis Soto,Jaime Rodriguez-Canales,Carmen Behrens,Ignacio Wistuba,Samir Hanash,Edwin J Ostrin

Antioxidants (Basel, Switzerland) 10: PubMed34356388

2021

β-Hydroxybutyrate, a Ketone Body, Potentiates the Antioxidant Defense via Thioredoxin 1 Upregulation in Cardiomyocytes.

Applications

Unspecified application

Species

Unspecified reactive species

Shin-Ichi Oka,Fan Tang,Adave Chin,Guersom Ralda,Xiaoyong Xu,Chengchen Hu,Zhi Yang,Maha Abdellatif,Junichi Sadoshima

Experimental and therapeutic medicine 20:269 PubMed33199994

2020

Dimethyl fumarate protects nucleus pulposus cells from inflammation and oxidative stress and delays the intervertebral disc degeneration.

Applications

Unspecified application

Species

Unspecified reactive species

Hainian Zhu,Gang Chen,Yuhua Wang,Xuchen Lin,Jingyuan Zhou,Zengshun Wang,Nanangxiu Suo

Science advances 6: PubMed33087357

2020

CD1d1 intrinsic signaling in macrophages controls NLRP3 inflammasome expression during inflammation.

Applications

Unspecified application

Species

Unspecified reactive species

Shan Cui,Chenhui Wang,Weizhi Bai,Jiao Li,Yue Pan,Xiaoyong Huang,Han Yang,Zeqing Feng,Qun Xiang,Lei Fei,Lixin Zheng,Jian Huang,Qinggao Zhang,Yuzhang Wu,Yongwen Chen

Free radical biology & medicine 160:566-574 PubMed32898624

2020

S-nitrosocysteine and glutathione depletion synergize to induce cell death in human tumor cells: Insights into the redox and cytotoxic mechanisms.

Applications

Unspecified application

Species

Unspecified reactive species

Alaa Knany,Rotem Engelman,Hiba Abu Hariri,Shyam Biswal,Haguy Wolfenson,Moran Benhar

Free radical biology & medicine 160:199-207 PubMed32784030

2020

2-Cys peroxiredoxin oxidation in response to hydrogen peroxide and contractile activity in skeletal muscle: A novel insight into exercise-induced redox signalling?

Applications

Unspecified application

Species

Unspecified reactive species

Clare Stretton,Jamie N Pugh,Brian McDonagh,Anne McArdle,Graeme L Close,Malcolm J Jackson

Redox biology :101623 PubMed32826201

2020

Oxidative stress in the retina and retinal pigment epithelium (RPE): Role of aging, and DJ-1.

Applications

Unspecified application

Species

Unspecified reactive species

Mala Upadhyay,Caroline Milliner,Brent A Bell,Vera L Bonilha

Kidney international 98:645-662 PubMed32739204

2020

Decoy receptor 2 mediation of the senescent phenotype of tubular cells by interacting with peroxiredoxin 1 presents a novel mechanism of renal fibrosis in diabetic nephropathy.

Applications

Unspecified application

Species

Unspecified reactive species

Chen Jia,Chen Ke-Hong,Xiao Fei,Dai Huan-Zi,Yang Jie,Wang Li-Ming,Wang Xiao-Yue,Zhang Jian-Guo,He Ya-Ni
View all publications

Product promise

We are committed to supporting your work with high-quality reagents, and we're here for you every step of the way. In the unlikely event that one of our products does not perform as expected, you're protected by our Product Promise.
For full details, please see our Terms & Conditions

Please note: All products are 'FOR RESEARCH USE ONLY. NOT FOR USE IN DIAGNOSTIC OR THERAPEUTIC PROCEDURES'.

For licensing inquiries, please contact partnerships@abcam.com